Point-of-Care Ultrasound (POCUS) in Adult Cardiac Arrest: Clinical Review
Abstract
1. Introduction
- Diagnosis and subsequent intervention;
- Identification of reversible causes of cardiac arrest;
- Monitoring and guidance of advanced resuscitation.
2. Materials and Methods
3. Discussion
3.1. Technique
3.2. Clinical Validation
3.3. Prognostic Role of POCUS in Cardiac Arrest
3.4. Diagnostic Role of POCUS in Cardiac Arrest
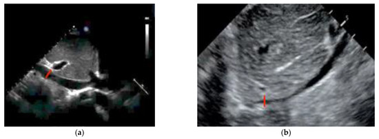
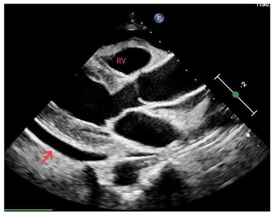
3.4.1. Cardiac Tamponade
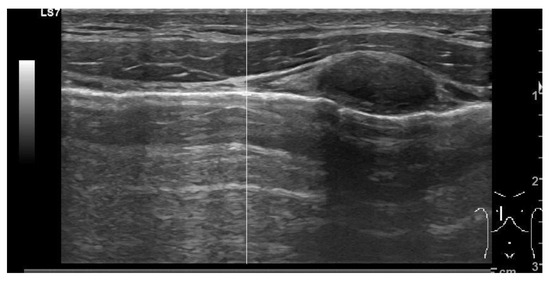
3.4.2. Tension Pneumothorax
3.4.3. Hypovolemia
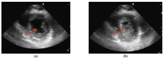
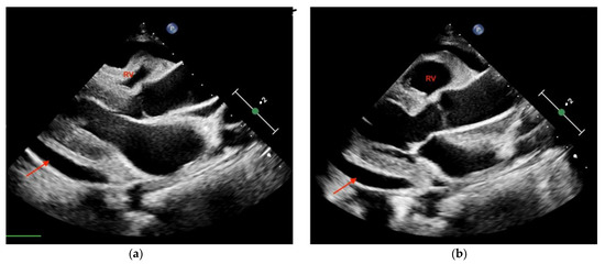
3.4.4. Pulmonary Embolism
3.4.5. Hypoxia
3.5. Other Applications
3.6. Limitations
4. Conclusions
Author Contributions
Funding
Institutional Review Board Statement
Informed Consent Statement
Data Availability Statement
Conflicts of Interest
References
- ATLS Subcommittee; American College of Surgeons’ Committee on Trauma; International ATLS working group Advanced Trauma Life Support (ATLS®): The Ninth Edition. J. Trauma. Acute Care Surg. 2013, 74, 1363–1366. [CrossRef]
- Gitto, L.; Serinelli, S.; Busardò, F.P.; Panebianco, V.; Bolino, G.; Maiese, A. Can Post-Mortem Computed Tomography Be Considered an Alternative for Autopsy in Deaths Due to Hemopericardium? J. Geriatr. Cardiol. 2014, 11, 363–367. [Google Scholar] [CrossRef] [PubMed]
- Paul, J.A.; Panzer, O.P.F. Point-of-Care Ultrasound in Cardiac Arrest. Anesthesiology 2021, 135, 508–519. [Google Scholar] [CrossRef] [PubMed]
- Soar, J.; Nolan, J.P.; Böttiger, B.W.; Perkins, G.D.; Lott, C.; Carli, P.; Pellis, T.; Sandroni, C.; Skrifvars, M.B.; Smith, G.B.; et al. European Resuscitation Council Guidelines for Resuscitation 2015: Section 3. Adult Advanced Life Support. Resuscitation 2015, 95, 100–147. [Google Scholar] [CrossRef] [PubMed]
- Rocca, E.; Zanza, C.; Longhitano, Y.; Piccolella, F.; Romenskaya, T.; Racca, F.; Savioli, G.; Saviano, A.; Piccioni, A.; Mongodi, S. Lung Ultrasound in Critical Care and Emergency Medicine: Clinical Review. Adv. Respir. Med. 2023, 91, 203–223. [Google Scholar] [CrossRef]
- Panchal, A.R.; Bartos, J.A.; Cabañas, J.G.; Donnino, M.W.; Drennan, I.R.; Hirsch, K.G.; Kudenchuk, P.J.; Kurz, M.C.; Lavonas, E.J.; Morley, P.T.; et al. Part 3: Adult Basic and Advanced Life Support: 2020 American Heart Association Guidelines for Cardiopulmonary Resuscitation and Emergency Cardiovascular Care. Circulation 2020, 142, S366–S468. [Google Scholar] [CrossRef] [PubMed]
- Knudtson, J.L.; Dort, J.M.; Helmer, S.D.; Smith, R.S. Surgeon-Performed Ultrasound for Pneumothorax in the Trauma Suite. J. Trauma. 2004, 56, 527–530. [Google Scholar] [CrossRef] [PubMed]
- Dulchavsky, S.A.; Schwarz, K.L.; Kirkpatrick, A.W.; Billica, R.D.; Williams, D.R.; Diebel, L.N.; Campbell, M.R.; Sargysan, A.E.; Hamilton, D.R. Prospective Evaluation of Thoracic Ultrasound in the Detection of Pneumothorax. J. Trauma. 2001, 50, 201–205. [Google Scholar] [CrossRef]
- Zanza, C.; Saglietti, F.; Tesauro, M.; Longhitano, Y.; Savioli, G.; Balzanelli, M.G.; Romenskaya, T.; Cofone, L.; Pindinello, I.; Racca, G.; et al. Cardiogenic Pulmonary Edema in Emergency Medicine. Adv. Respir. Med. 2023, 91, 445–463. [Google Scholar] [CrossRef]
- Andrus, P.; Dean, A. Focused Cardiac Ultrasound. Glob. Heart 2013, 8, 299–303. [Google Scholar] [CrossRef]
- Mishra, P.R.; Bhoi, S.; Sinha, T.P. Integration of Point-of-Care Ultrasound during Rapid Sequence Intubation in Trauma Resuscitation. J. Emerg. Trauma. Shock. 2018, 11, 92–97. [Google Scholar] [CrossRef]
- Hilty, W.M.; Hudson, P.A.; Levitt, M.A.; Hall, J.B. Real-Time Ultrasound–Guided Femoral Vein Catheterization During Cardiopulmonary Resuscitation. Ann. Emerg. Med. 1997, 29, 331–337. [Google Scholar] [CrossRef]
- Blumenstein, J.; Kempfert, J.; Walther, T.; Van Linden, A.; Fassl, J.; Borger, M.; Mohr, F.W. Cerebral Flow Pattern Monitoring by Transcranial Doppler during Cardiopulmonary Resuscitation. Anaesth. Intensive Care 2010, 38, 376–380. [Google Scholar] [CrossRef] [PubMed]
- Breitkreutz, R.; Walcher, F.; Seeger, F.H. Focused Echocardiographic Evaluation in Resuscitation Management: Concept of an Advanced Life Support-Conformed Algorithm. Crit. Care Med. 2007, 35, S150–S161. [Google Scholar] [CrossRef] [PubMed]
- Hernandez, C.; Shuler, K.; Hannan, H.; Sonyika, C.; Likourezos, A.; Marshall, J.C.A. U.S.E.: Cardiac Arrest Ultra-Sound Exam—A Better Approach to Managing Patients in Primary Non-Arrhythmogenic Cardiac Arrest. Resuscitation 2008, 76, 198–206. [Google Scholar] [CrossRef] [PubMed]
- Breitkreutz, R.; Price, S.; Steiger, H.V.; Seeger, F.H.; Ilper, H.; Ackermann, H.; Rudolph, M.; Uddin, S.; Weigand, M.A.; Müller, E.; et al. Focused Echocardiographic Evaluation in Life Support and Peri-Resuscitation of Emergency Patients: A Prospective Trial. Resuscitation 2010, 81, 1527–1533. [Google Scholar] [CrossRef] [PubMed]
- Testa, A.; Cibinel, G.A.; Portale, G.; Forte, P.; Giannuzzi, R.; Pignataro, G.; Silveri, N.G. The Proposal of an Integrated Ultrasonographic Approach into the ALS Algorithm for Cardiac Arrest: The PEA Protocol. Eur. Rev. Med. Pharmacol. Sci. 2010, 14, 77–88. [Google Scholar] [PubMed]
- Zanza, C.; Longhitano, Y.; Artico, M.; Cammarota, G.; Barbanera, A.; Racca, F.; Audo, A.; Ravera, E.; Migneco, A.; Piccioni, A.; et al. Bedside Cardiac Pocus in Emergency Setting: A Practice Review. Rev. Recent Clin. Trials 2020, 15, 269–277. [Google Scholar] [CrossRef] [PubMed]
- Atkinson, P.; Bowra, J.; Milne, J.; Lewis, D.; Lambert, M.; Jarman, B.; Noble, V.E.; Lamprecht, H.; Harris, T.; Connolly, J.; et al. International Federation for Emergency Medicine Consensus Statement: Sonography in Hypotension and Cardiac Arrest (SHoC): An International Consensus on the Use of Point of Care Ultrasound for Undifferentiated Hypotension and during Cardiac Arrest. CJEM 2017, 19, 459–470. [Google Scholar] [CrossRef]
- Gardner, K.F.; Clattenburg, E.J.; Wroe, P.; Singh, A.; Mantuani, D.; Nagdev, A. The Cardiac Arrest Sonographic Assessment (CASA) Exam—A Standardized Approach to the Use of Ultrasound in PEA. Am. J. Emerg. Med. 2018, 36, 729–731. [Google Scholar] [CrossRef]
- Bughrara, N.; Herrick, S.L.; Leimer, E.; Sirigaddi, K.; Roberts, K.; Pustavoitau, A. Focused Cardiac Ultrasound and the Periresuscitative Period: A Case Series of Resident-Performed Echocardiographic Assessment Using Subcostal-Only View in Advanced Life Support. A A Pract. 2020, 14, e01278. [Google Scholar] [CrossRef]
- Andersen, L.W.; Holmberg, M.J.; Berg, K.M.; Donnino, M.W.; Granfeldt, A. In-Hospital Cardiac Arrest: A Review. JAMA 2019, 321, 1200–1210. [Google Scholar] [CrossRef]
- Salen, P.; Melniker, L.; Chooljian, C.; Rose, J.S.; Alteveer, J.; Reed, J.; Heller, M. Does the Presence or Absence of Sonographically Identified Cardiac Activity Predict Resuscitation Outcomes of Cardiac Arrest Patients? Am. J. Emerg. Med. 2005, 23, 459–462. [Google Scholar] [CrossRef]
- Gaspari, R.; Weekes, A.; Adhikari, S.; Noble, V.E.; Nomura, J.T.; Theodoro, D.; Woo, M.; Atkinson, P.; Blehar, D.; Brown, S.M.; et al. Emergency Department Point-of-Care Ultrasound in out-of-Hospital and in-ED Cardiac Arrest. Resuscitation 2016, 109, 33–39. [Google Scholar] [CrossRef]
- Tsou, P.-Y.; Kurbedin, J.; Chen, Y.-S.; Chou, E.H.; Lee, M.-T.G.; Lee, M.C.-H.; Ma, M.H.-M.; Chen, S.-C.; Lee, C.-C. Accuracy of Point-of-Care Focused Echocardiography in Predicting Outcome of Resuscitation in Cardiac Arrest Patients: A Systematic Review and Meta-Analysis. Resuscitation 2017, 114, 92–99. [Google Scholar] [CrossRef]
- Alerhand, S.; Adrian, R.J.; Long, B.; Avila, J. Pericardial Tamponade: A Comprehensive Emergency Medicine and Echocardiography Review. Am. J. Emerg. Med. 2022, 58, 159–174. [Google Scholar] [CrossRef]
- Ferrada, P.; Wolfe, L.; Anand, R.J.; Whelan, J.; Vanguri, P.; Malhotra, A.; Goldberg, S.; Duane, T.; Aboutanos, M. Use of Limited Transthoracic Echocardiography in Patients with Traumatic Cardiac Arrest Decreases the Rate of Nontherapeutic Thoracotomy and Hospital Costs. J. Ultrasound Med. 2014, 33, 1829–1832. [Google Scholar] [CrossRef]
- Kirkpatrick, A.W.; Sirois, M.; Laupland, K.B.; Liu, D.; Rowan, K.; Ball, C.G.; Hameed, S.M.; Brown, R.; Simons, R.; Dulchavsky, S.A.; et al. Hand-Held Thoracic Sonography for Detecting Post-Traumatic Pneumothoraces: The Extended Focused Assessment with Sonography for Trauma (EFAST). J. Trauma Acute Care Surg. 2004, 57, 288–295. [Google Scholar] [CrossRef]
- Jalota Sahota, R.; Sayad, E. Tension Pneumothorax. In StatPearls; StatPearls Publishing: Treasure Island, FL, USA, 2023. [Google Scholar]
- Lott, C.; Truhlář, A.; Alfonzo, A.; Barelli, A.; González-Salvado, V.; Hinkelbein, J.; Nolan, J.P.; Paal, P.; Perkins, G.D.; Thies, K.-C.; et al. European Resuscitation Council Guidelines 2021: Cardiac Arrest in Special Circumstances. Resuscitation 2021, 161, 152–219. [Google Scholar] [CrossRef]
- Brown, J.M. Use of Echocardiography for Hemodynamic Monitoring. Crit. Care Med. 2002, 30, 1361. [Google Scholar] [CrossRef]
- Perera, P.; Mailhot, T.; Riley, D.; Mandavia, D. The RUSH Exam: Rapid Ultrasound in SHock in the Evaluation of the Critically Lll. Emerg. Med. Clin. North. Am. 2010, 28, 29–56. [Google Scholar] [CrossRef]
- Denault, A.Y.; Langevin, S.; Lessard, M.R.; Courval, J.F.; Desjardins, G. Transthoracic Echocardiographic Evaluation of the Heart and Great Vessels. Can. J. Anesth/J. Can. Anesth. 2018, 65, 449–472. [Google Scholar] [CrossRef]
- Kaptein, M.J.; Kaptein, E.M. Inferior Vena Cava Collapsibility Index: Clinical Validation and Application for Assessment of Relative Intravascular Volume. Adv. Chronic Kidney Dis. 2021, 28, 218–226. [Google Scholar] [CrossRef]
- Di Nicolò, P.; Tavazzi, G.; Nannoni, L.; Corradi, F. Inferior Vena Cava Ultrasonography for Volume Status Evaluation: An Intriguing Promise Never Fulfilled. J. Clin. Med. 2023, 12, 2217. [Google Scholar] [CrossRef]
- Feltes, J.; Popova, M.; Hussein, Y.; Pierce, A.; Yamane, D. Thrombolytics in Cardiac Arrest from Pulmonary Embolism: A Systematic Review and Meta Analysis. J. Intensive Care Med. 2023, 08850666231214754. [Google Scholar] [CrossRef]
- Kürkciyan, I.; Meron, G.; Sterz, F.; Janata, K.; Domanovits, H.; Holzer, M.; Berzlanovich, A.; Bankl, H.C.; Laggner, A.N. Pulmonary Embolism as Cause of Cardiac Arrest: Presentation and Outcome. Arch. Intern. Med. 2000, 160, 1529–1535. [Google Scholar] [CrossRef]
- Konstantinides, S.V.; Meyer, G.; Becattini, C.; Bueno, H.; Geersing, G.-J.; Harjola, V.-P.; Huisman, M.V.; Humbert, M.; Jennings, C.S.; Jiménez, D.; et al. 2019 ESC Guidelines for the Diagnosis and Management of Acute Pulmonary Embolism Developed in Collaboration with the European Respiratory Society (ERS): The Task Force for the Diagnosis and Management of Acute Pulmonary Embolism of the European Society of Cardiology (ESC). Eur. Heart J. 2020, 41, 543–603. [Google Scholar] [CrossRef]
- Wardi, G.; Blanchard, D.; Dittrich, T.; Kaushal, K.; Sell, R. Right Ventricle Dysfunction and Echocardiographic Parameters in the First 24h Following Resuscitation in the Post-Cardiac Arrest Patient: A Retrospective Cohort Study. Resuscitation 2016, 103, 71–74. [Google Scholar] [CrossRef]
- Riley, D.C.; Hultgren, A.; Merino, D.; Gerson, S. Emergency Department Bedside Echocardiography Diagnosis of Massive Pulmonary Embolism with Direct Visualization of Thrombus in the Pulmonary Artery. Crit. Ultrasound J. 2011, 3, 155–160. [Google Scholar] [CrossRef][Green Version]
- Lichtenstein, D.; Malbrain, M.L.N.G. Critical Care Ultrasound in Cardiac Arrest. Technological Requirements for Performing the SESAME-Protocol—A Holistic Approach. Anaesthesiol. Intensive Ther. 2015, 47, 471–481. [Google Scholar] [CrossRef]
- Badra, K.; Coutin, A.; Simard, R.; Pinto, R.; Lee, J.S.; Chenkin, J. The POCUS Pulse Check: A Randomized Controlled Crossover Study Comparing Pulse Detection by Palpation versus by Point-of-Care Ultrasound. Resuscitation 2019, 139, 17–23. [Google Scholar] [CrossRef]
- Zengin, S.; Gümüşboğa, H.; Sabak, M.; Eren, Ş.H.; Altunbas, G.; Al, B. Comparison of Manual Pulse Palpation, Cardiac Ultrasonography and Doppler Ultrasonography to Check the Pulse in Cardiopulmonary Arrest Patients. Resuscitation 2018, 133, 59–64. [Google Scholar] [CrossRef]
- Smith, D.J.; Simard, R.; Chenkin, J. Checking the Pulse in the 21st Century: Interobserver Reliability of Carotid Pulse Detection by Point-of-Care Ultrasound. Am. J. Emerg. Med. 2021, 45, 280–283. [Google Scholar] [CrossRef]
- Hwang, S.O.; Zhao, P.G.; Choi, H.J.; Park, K.H.; Cha, K.C.; Park, S.M.; Kim, S.C.; Kim, H.; Lee, K.H. Compression of the Left Ventricular Outflow Tract during Cardiopulmonary Resuscitation. Acad. Emerg. Med. 2009, 16, 928–933. [Google Scholar] [CrossRef]
- Shin, J.; Rhee, J.E.; Kim, K. Is the Inter-Nipple Line the Correct Hand Position for Effective Chest Compression in Adult Cardiopulmonary Resuscitation? Resuscitation 2007, 75, 305–310. [Google Scholar] [CrossRef]
- Wyckoff, M.H.; Greif, R.; Morley, P.T.; Ng, K.-C.; Olasveengen, T.M.; Singletary, E.M.; Soar, J.; Cheng, A.; Drennan, I.R.; Liley, H.G.; et al. 2022 International Consensus on Cardiopulmonary Resuscitation and Emergency Cardiovascular Care Science With Treatment Recommendations: Summary From the Basic Life Support; Advanced Life Support; Pediatric Life Support; Neonatal Life Support; Education, Implementation, and Teams; and First Aid Task Forces. Resuscitation 2022, 181, 208–288. [Google Scholar] [CrossRef]
- Olszynski, P.A.; Bryce, R.; Hussain, Q.; Dunn, S.; Blondeau, B.; Atkinson, P.; Woods, R. Use of a Simple Ultrasound Device to Identify the Optimal Area of Compression for Out-of-Hospital Cardiac Arrest. Cureus 2021, 13, e12785. [Google Scholar] [CrossRef]
- Cunningham, L.M.; Mattu, A.; O’Connor, R.E.; Brady, W.J. Cardiopulmonary Resuscitation for Cardiac Arrest: The Importance of Uninterrupted Chest Compressions in Cardiac Arrest Resuscitation. Am. J. Emerg. Med. 2012, 30, 1630–1638. [Google Scholar] [CrossRef]
- Huis in ’t Veld, M.A.; Allison, M.G.; Bostick, D.S.; Fisher, K.R.; Goloubeva, O.G.; Witting, M.D.; Winters, M.E. Ultrasound Use during Cardiopulmonary Resuscitation Is Associated with Delays in Chest Compressions. Resuscitation 2017, 119, 95–98. [Google Scholar] [CrossRef]
- Clattenburg, E.J.; Wroe, P.; Brown, S.; Gardner, K.; Losonczy, L.; Singh, A.; Nagdev, A. Point-of-Care Ultrasound Use in Patients with Cardiac Arrest Is Associated Prolonged Cardiopulmonary Resuscitation Pauses: A Prospective Cohort Study. Resuscitation 2018, 122, 65–68. [Google Scholar] [CrossRef]
- Gaspari, R.J.; Gleeson, T.; Alerhand, S.; Caputo, W.; Damewood, S.; Dicroce, C.; Dwyer, K.; Gibbons, R.; Greenstein, J.; Harvey, J.; et al. A Multicenter, Prospective Study Comparing Subxiphoid and Parasternal Views During Brief Echocardiography: Effect on Image Quality, Acquisition Time, and Visualized Anatomy. J. Emerg. Med. 2022, 62, 648–656. [Google Scholar] [CrossRef]
- Gaspari, R.; Harvey, J.; DiCroce, C.; Nalbandian, A.; Hill, M.; Lindsay, R.; Nordberg, A.; Graham, P.; Kamilaris, A.; Gleeson, T. Echocardiographic Pre-Pause Imaging and Identifying the Acoustic Window during CPR Reduces CPR Pause Time during ACLS—A Prospective Cohort Study. Resusc. Plus 2021, 6, 100094. [Google Scholar] [CrossRef]
- Teran, F.; Dean, A.J.; Centeno, C.; Panebianco, N.L.; Zeidan, A.J.; Chan, W.; Abella, B.S. Evaluation of Out-of-Hospital Cardiac Arrest Using Transesophageal Echocardiography in the Emergency Department. Resuscitation 2019, 137, 140–147. [Google Scholar] [CrossRef]
- Arntfield, R.; Lau, V.; Landry, Y.; Priestap, F.; Ball, I. Impact of Critical Care Transesophageal Echocardiography in Medical–Surgical ICU Patients: Characteristics and Results From 274 Consecutive Examinations. J. Intensive Care Med. 2020, 35, 896–902. [Google Scholar] [CrossRef]
- Fair, J.; Mallin, M.P.; Adler, A.; Ockerse, P.; Steenblik, J.; Tonna, J.; Youngquist, S.T. Transesophageal Echocardiography During Cardiopulmonary Resuscitation Is Associated With Shorter Compression Pauses Compared With Transthoracic Echocardiography. Ann. Emerg. Med. 2019, 73, 610–616. [Google Scholar] [CrossRef]









Disclaimer/Publisher’s Note: The statements, opinions and data contained in all publications are solely those of the individual author(s) and contributor(s) and not of MDPI and/or the editor(s). MDPI and/or the editor(s) disclaim responsibility for any injury to people or property resulting from any ideas, methods, instructions or products referred to in the content. |
© 2024 by the authors. Licensee MDPI, Basel, Switzerland. This article is an open access article distributed under the terms and conditions of the Creative Commons Attribution (CC BY) license (https://creativecommons.org/licenses/by/4.0/).
Share and Cite
Magon, F.; Longhitano, Y.; Savioli, G.; Piccioni, A.; Tesauro, M.; Del Duca, F.; Napoletano, G.; Volonnino, G.; Maiese, A.; La Russa, R.; et al. Point-of-Care Ultrasound (POCUS) in Adult Cardiac Arrest: Clinical Review. Diagnostics 2024, 14, 434. https://doi.org/10.3390/diagnostics14040434
Magon F, Longhitano Y, Savioli G, Piccioni A, Tesauro M, Del Duca F, Napoletano G, Volonnino G, Maiese A, La Russa R, et al. Point-of-Care Ultrasound (POCUS) in Adult Cardiac Arrest: Clinical Review. Diagnostics. 2024; 14(4):434. https://doi.org/10.3390/diagnostics14040434
Chicago/Turabian StyleMagon, Federica, Yaroslava Longhitano, Gabriele Savioli, Andrea Piccioni, Manfredi Tesauro, Fabio Del Duca, Gabriele Napoletano, Gianpietro Volonnino, Aniello Maiese, Raffaele La Russa, and et al. 2024. "Point-of-Care Ultrasound (POCUS) in Adult Cardiac Arrest: Clinical Review" Diagnostics 14, no. 4: 434. https://doi.org/10.3390/diagnostics14040434
APA StyleMagon, F., Longhitano, Y., Savioli, G., Piccioni, A., Tesauro, M., Del Duca, F., Napoletano, G., Volonnino, G., Maiese, A., La Russa, R., Di Paolo, M., & Zanza, C. (2024). Point-of-Care Ultrasound (POCUS) in Adult Cardiac Arrest: Clinical Review. Diagnostics, 14(4), 434. https://doi.org/10.3390/diagnostics14040434

