Mesenchymal Stem Cell Transplantation Has a Regenerative Effect in Ischemic Myocardium: An Experimental Rat Model Evaluated by SPECT-CT Assessment
Abstract
1. Introduction
2. Methods
2.1. Animals and Study Protocol
2.2. Surgical Procedure
2.3. Isolation and Culture of ADSCs
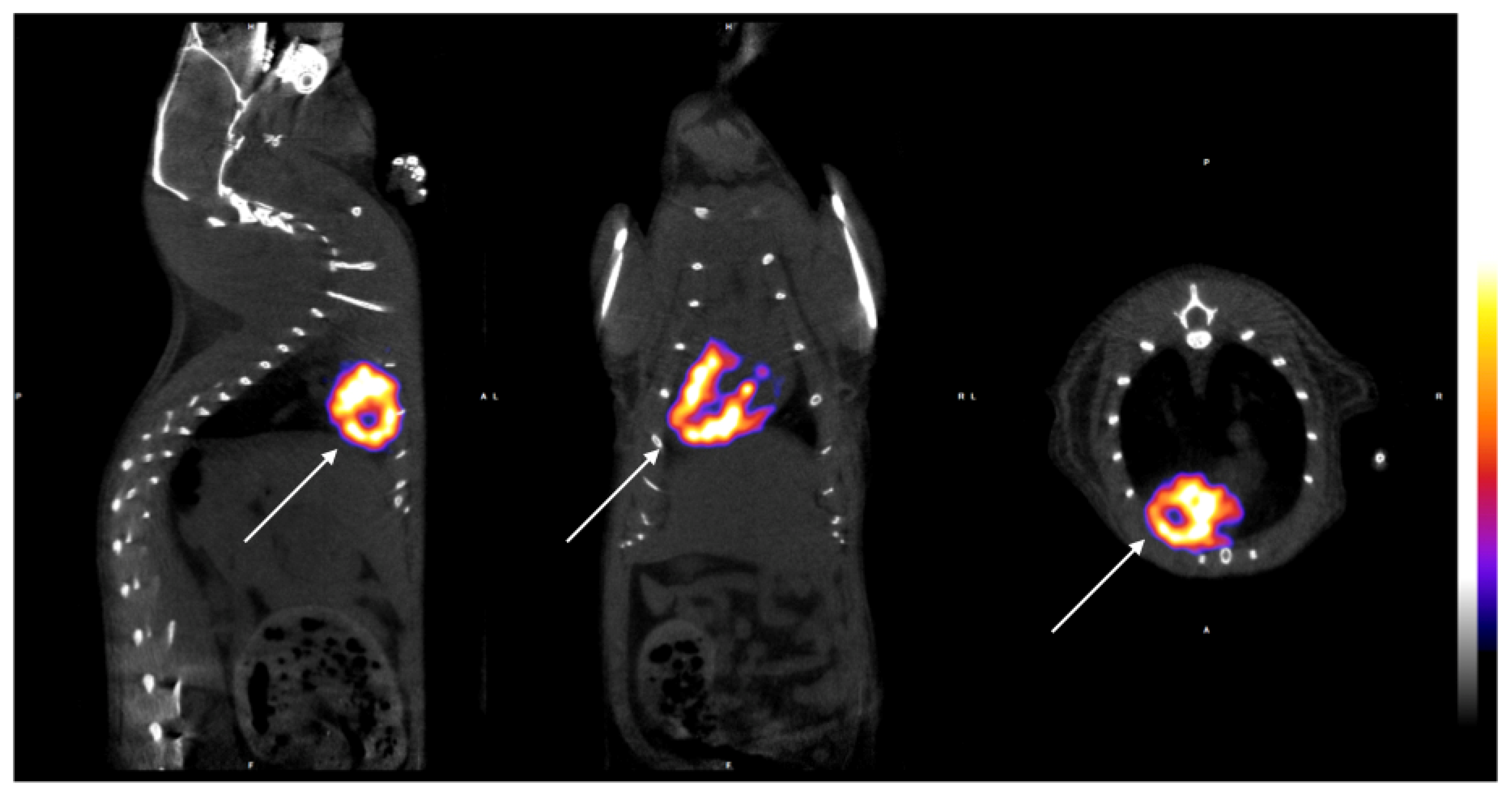
2.4. SPECT-CT Acquisition and Reconstruction
2.5. Histological and Immunohistochemical Analysis
2.6. Statistical Evaluation and Analysis
3. Results
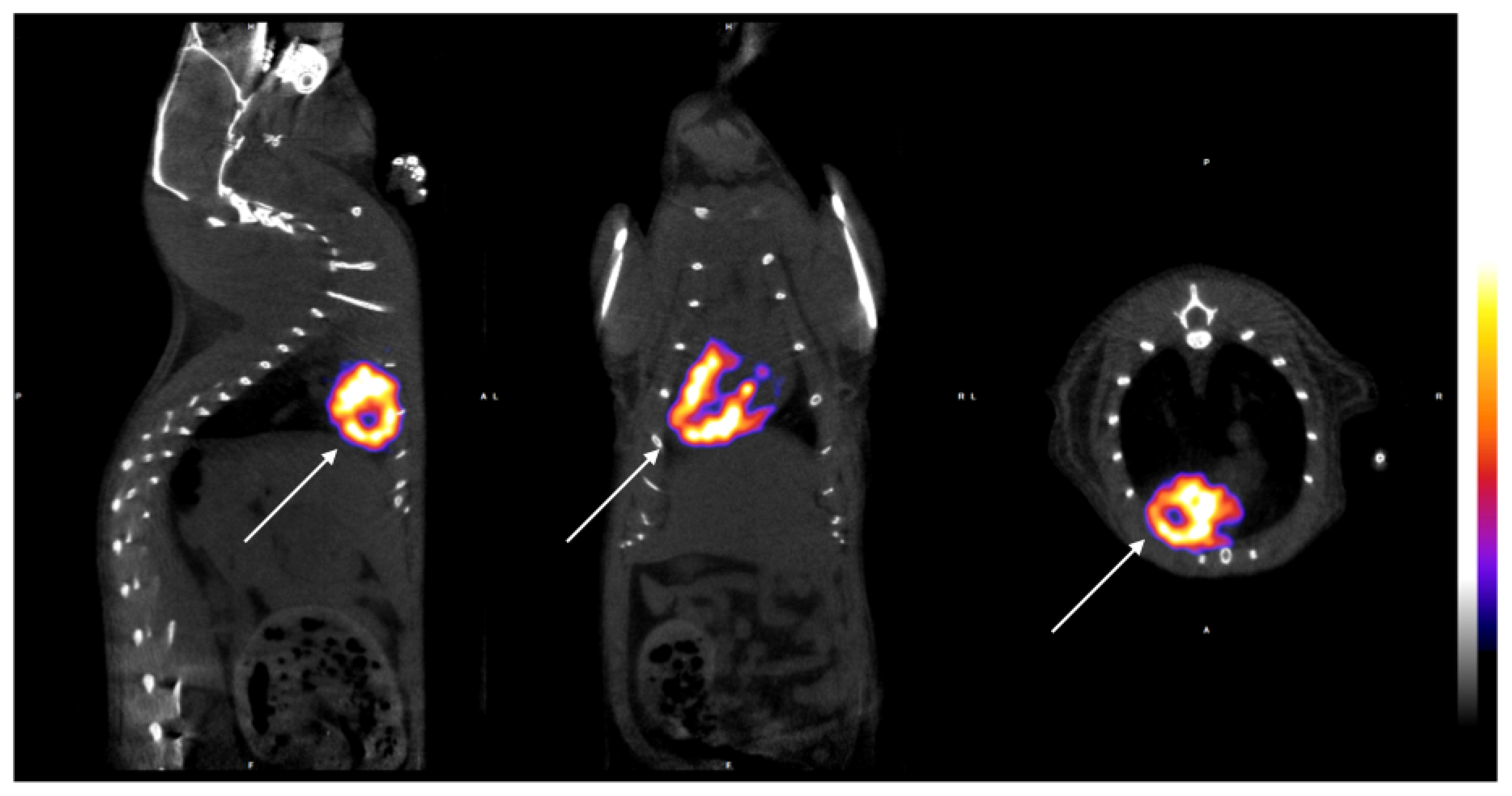
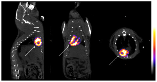
3.1. SPECT-CT Evaluation
3.2. Left Ventricle/Right Ventricle Ratio (LV/RV Ratio)
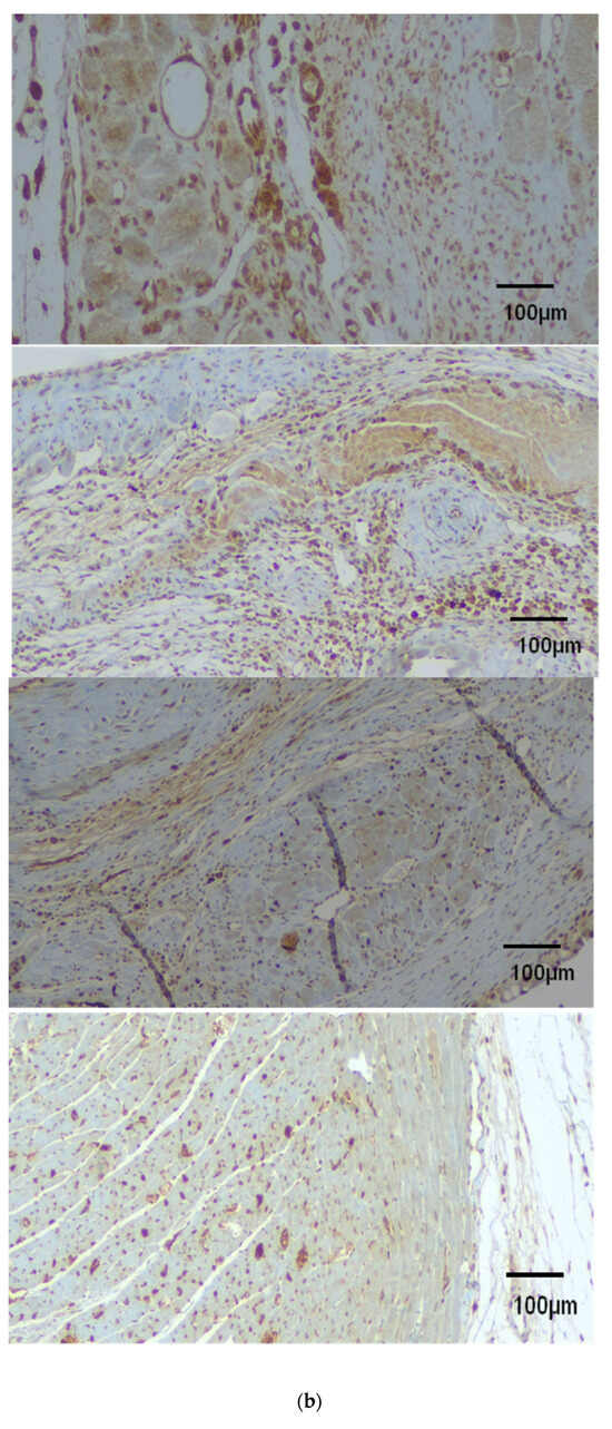
3.3. Immunohistochemical Analysis and Evaluation of Immunohistochemistry
4. Discussion
5. Limitations of the Study
6. Conclusions
Author Contributions
Funding
Institutional Review Board Statement
Informed Consent Statement
Data Availability Statement
Acknowledgments
Conflicts of Interest
Abbreviations
| ADSCs | adipose-derived stem cells |
| ARRIVE | Animal Research Reporting of In Vivo Experiments |
| BrdU | 5-bromo-2-deoxyuritidine |
| CD45, CD105, CD73, CD44, CD29, CD133 | cell markers—cluster of differentiation (surface markers that are very useful for the identification and characterization of leukocytes and subpopulations of leukocytes) |
| CTGF | cell marker—connective tissue growth factor |
| DAPI | 6-diamino-2-phenylindole |
| DNA | deoxyribonucleic acid |
| DMEM | Dulbecco’s modified eagle medium |
| ECG | electrocardiogram |
| FBS | fetal bovine serum |
| GATA4 | mesenchymal factor—transcription factor located in nucleus |
| IVC | inferior vena cava |
| ISRA | Image Space Reconstruction Algorithm |
| KCl | potassium chloride |
| LAD | left anterior descending coronary artery |
| LCA | left coronary artery |
| LV/RV | left ventricle/right ventricle (volume) |
| MSCT | mesenchymal stem cell transplantation |
| Nkx2.5 | mesenchymal factor—transcription factor located in cytoplasm |
| PBS | phosphate-buffered saline |
| PO | postoperatively |
| SCT | stem cell transplantation |
| SPECT/CT | single positron emission computed tomography/computed tomography |
References
- Koutela, A.; Loudos, G.; Rouchota, M.; Kletsas, D.; Karameris, A.; Vilaras, G.; Zografos, G.C.; Grypari, I.-M.; Dougenis, D.; Papalois, A.E. A Novel Experimental Rat Model for the in vivo Assessment of Myocardial Ischemia Based on Single Photon Emission Computed Tomography. Vivo 2023, 37, 649–654. [Google Scholar] [CrossRef]
- Li, H.; Huang, J.; Liu, C.; Zhang, Z.; Song, K.; Ma, K.; Dennewitz, C.W.; Wang, S. A New Model of Heart Failure Post-Myocardial Infarction in the Rat. J. Vis. Exp. 2021, 172, e62540. [Google Scholar] [CrossRef] [PubMed]
- Goldman, S.; Raya, T.E. Rat infarct model of myocardial infarction and heart failure. J. Card. Fail. 1995, 1, 169–177. [Google Scholar] [CrossRef]
- Krzemiński, T.F.; Nożyński, J.K.; Grzyb, J.; Porc, M. Wide-spread myocardial remodeling after acute myocardial infarction in rat. Features for heart failure progression. Vasc. Pharmacol. 2008, 48, 100–108. [Google Scholar] [CrossRef] [PubMed]
- Muthuramu, I.; Lox, M.; Jacobs, F.; De Geest, B. Permanent ligation of the left anterior descending coronary artery in mice: A model of post-myocardial infarction remodelling and heart failure. J. Vis. Exp. 2014, 94, e5220. [Google Scholar] [CrossRef]
- Lindsey, M.L.; Bolli, R.; Canty, J.M., Jr.; Du, X.-J.; Frangogiannis, N.G.; Frantz, S.; Gourdie, R.G.; Holmes, J.W.; Jones, S.P.; Kloner, R.A.; et al. Guidelines for experimental models of myocardial ischemia and infarction. Am. J. Physiol. Heart Circ. Physiol. 2018, 314, H812–H838. [Google Scholar] [CrossRef]
- Suzuki, Y.J.; Nagase, H.; Day, R.M.; Das, D.K. GATA-4 regulation of myocardial survival in the preconditioned heart. J. Mol. Cell. Cardiol. 2004, 37, 1195–1203, Erratum in: J. Mol. Cell Cardiol. 2016, 101, 25. [Google Scholar] [CrossRef]
- Välimäki, M.J.; Ruskoaho, H.J. Targeting GATA4 for cardiac repair. IUBMB Life 2019, 72, 68–79. [Google Scholar] [CrossRef]
- Broderick, T.L.; Jankowski, M.; Wang, D.; Danalache, B.A.; Parrott, C.R.; Gutkowska, J. Downregulation in GATA4 and Downstream Structural and Contractile Genes in the db/db Mouse Heart. ISRN Endocrinol. 2012, 2012, 736860. [Google Scholar] [CrossRef]
- Cheng, K.; Malliaras, K.; Li, T.-S.; Sun, B.; Houde, C.; Galang, G.; Smith, J.; Matsushita, N.; Marbán, E. Magnetic enhancement of cell retention, engraftment, and functional benefit after intracoronary delivery of cardiac-derived stem cells in a rat model of ischemia/reperfusion. Cell Transplant. 2012, 21, 1121–1135. [Google Scholar] [CrossRef]
- Zhang, Z.; Tian, H.; Yang, C.; Liu, J.; Zhang, H.; Wang, J.; Hu, S.; Sun, Z.; He, K.; Chen, G. Mesenchymal Stem Cells Promote the Resolution of Cardiac Inflammation After Ischemia Reperfusion Via Enhancing Efferocytosis of Neutrophils. J. Am. Hear Assoc. 2020, 9, e014397. [Google Scholar] [CrossRef] [PubMed]
- Kinnunen, S.M.; Tölli, M.; Välimäki, M.J.; Gao, E.; Szabo, Z.; Rysä, J.; Ferreira, M.P.A.; Ohukainen, P.; Serpi, R.; Correia, A.; et al. Cardiac Actions of a Small Molecule Inhibitor Targeting GATA4–NKX2-5 Interaction. Sci. Rep. 2018, 8, 4611. [Google Scholar] [CrossRef] [PubMed]
- Katanasaka, Y.; Suzuki, H.; Sunagawa, Y.; Hasegawa, K.; Morimoto, T. Regulation of Cardiac Transcription Factor GATA4 by Post-Translational Modification in Cardiomyocyte Hypertrophy and Heart Failure. Int. Hear. J. 2016, 57, 672–675. [Google Scholar] [CrossRef] [PubMed]
- Välimäki, M.J.; Tölli, M.A.; Kinnunen, S.M.; Aro, J.; Serpi, R.; Pohjolainen, L.; Talman, V.; Poso, A.; Ruskoaho, H.J. Discovery of Small Molecules Targeting the Synergy of Cardiac Transcription Factors GATA4 and NKX2-5. J. Med. Chem. 2017, 60, 7781–7798. [Google Scholar] [CrossRef] [PubMed]
- George, V.; Colombo, S.; Targoff, K.L. An early requirement for nkx2.5 ensures the first and second heart field ventricular identity and cardiac function into adulthood. Dev. Biol. 2015, 400, 10–22. [Google Scholar] [CrossRef] [PubMed]
- Khalid, A.B.; Pence, J.; Suthon, S.; Lin, J.; Miranda-Carboni, G.A.; Krum, S.A. GATA4 regulates mesenchymal stem cells via direct transcriptional regulation of the WNT signalosome. Bone 2021, 144, 115819. [Google Scholar] [CrossRef] [PubMed]
- Xin, M.; Olson, E.N.; Bassel-Duby, R. Mending broken hearts: Cardiac development as a basis for adult heart regeneration and repair. Nat. Rev. Mol. Cell Biol. 2013, 14, 529–541. [Google Scholar] [CrossRef]
- Zhang, Z.; Shayani, G.; Xu, Y.; Kim, A.; Hong, Y.; Feng, H.; Zhu, H. Induction of Senescence by Loss of Gata4 in Cardiac Fibroblasts. Cells 2023, 12, 1652. [Google Scholar] [CrossRef]
- Alexopoulos, P.; Panoutsopoulou, K.; Vogiatzis, G.; Koletsis, E.; Dougenis, D.; Tsopanoglou, N.E. Combined treatment with exenatide and cyclosporine A or parstatin 1–26 results in enhanced reduction of infarct size in a rabbit model. J. Cardiovasc. Pharmacol. 2017, 70, 34–41. [Google Scholar] [CrossRef]
- Heusch, G. Critical Issues for the Translation of Cardioprotection. Circ. Res. 2017, 120, 1477–1486. [Google Scholar] [CrossRef]
- Mitsos, S.; Katsanos, K.; Dougeni, E.; Koletsis, E.N.; Dougenis, D. A critical appraisal of open- and closed-chest models of experimental myocardial ischemia. Lab Anim. 2009, 38, 167–177. [Google Scholar] [CrossRef]
- Golestani, R.; Wu, C.; Tio, R.A.; Zeebregts, C.J.; Petrov, A.D.; Beekman, F.J.; Dierckx, R.A.J.O.; Boersma, H.H.; Slart, R.H.J.A. Small-animal SPECT and SPECT/CT: Application in cardiovascular research. Eur. J. Nucl. Med. 2010, 37, 1766–1777. [Google Scholar] [CrossRef]
- Garikipati, V.N.S.; Jadhav, S.; Pal, L.; Prakash, P.; Dikshit, M.; Nityanand, S. Mesenchymal stem cells from fetal heart attenuate myocardial injury after infarction: An in vivo serial pinhole gated SPECT-CT study in rats. PLoS ONE 2014, 9, e100982. [Google Scholar] [CrossRef]
- Strydhorst, J.H.; Ruddy, T.D.; Wells, R.G. Effects of CT-based attenuation correction of rat microSPECT images on relative myocardial perfusion and quantitative tracer uptake. Med. Phys. 2015, 42, 1818–1824. [Google Scholar] [CrossRef]
- du Sert, N.P.; Ahluwalia, A.; Alam, S.; Avey, M.T.; Baker, M.; Browne, W.J.; Clark, A.; Cuthill, I.C.; Dirnagl, U.; Emerson, M.; et al. Reporting animal research: Explanation and elaboration for the ARRIVE guidelines 2.0. PLoS Biol. 2020, 18, e3000411. [Google Scholar] [CrossRef]
- Lewis, D.I. Animal experimentation: Implementation and application of the 3Rs. Emerg. Top. Life Sci. 2019, 3, 675–679. [Google Scholar] [CrossRef] [PubMed]
- Papadopoulou, A.; Kalodimou, V.E.; Mavrogonatou, E.; Karamanou, K.; Yiacoumettis, A.M.; Panagiotou, P.N.; Pratsinis, H.; Kletsas, D. Decreased differentiation capacity and altered expression of extracellular matrix components in irradiation-mediated senescent human breast adipose-derived stem cells. IUBMB Life 2022, 74, 969–981. [Google Scholar] [CrossRef] [PubMed]
- Fukushima, K.; Momose, M.; Kondo, C.; Hagiwara, N.; Sakai, S. Accelerated BMIPP uptake immediately after reperfused ischemia in the isolated rat heart model. Ann. Nucl. Med. 2011, 25, 560–565. [Google Scholar] [CrossRef] [PubMed]
- Hirai, T.; Nohara, R.; Hosokawa, R.; Tanaka, M.; Inada, H.; Fujibayashi, Y.; Fujita, M.; Konishi, J.; Sasayama, S. Evaluation of myocardial infarct size in rat heart by pinhole SPECT. J. Nucl. Cardiol. 2000, 7, 107–111. [Google Scholar] [CrossRef] [PubMed]
- Liu, Z.; Zhao, M.; Zhu, X.; Furenlid, L.R.; Chen, Y.-C.; Barrett, H.H. In vivo dynamic imaging of myocardial cell death using 99mTc-labeled C2A domain of synaptotagmin I in a rat model of ischemia and reperfusion. Nucl. Med. Biol. 2007, 34, 907–915. [Google Scholar] [CrossRef] [PubMed][Green Version]
- Acton, P.D.; Thomas, D.; Zhou, R. Quantitative imaging of myocardial infarct in rats with high resolution pinhole SPECT. Int. J. Cardiovasc. Imaging 2006, 22, 429–434. [Google Scholar] [CrossRef] [PubMed]







| Molecular Factors | Brand Kit Used | Properties | Dilution |
|---|---|---|---|
| GATA-4 | Origene AP2030PU-N | Key role in cardiac development | Supplier instruction: IHC-P 1/50-1/200 Used dilution: IHC-P 1/75 |
| Nkx2.5 | Abcam Ab214296 | Differentiation of myocardial lineage | Supplier instruction: IHC-P 1/100-1/500 Used dilution: IHC-P 1/300 |
| CD133 | Origene TA354470 | Cell differentiation, proliferation, and apoptosis | Supplier instruction: IHC 2-10 μg/mL Used dilution: IHC 6 μg/ml |
| CTGF | Origene TA323092 | Connective tissue mitoattractant secreted by vascular endothelial cells | Supplier instruction: IHC-Fr 1/200 Used dilution: IHC-Fr 1/200 |
| Variable | Group | p-Value | ||
|---|---|---|---|---|
| Sham | Control | Stem Cells | ||
| CTGF negative/positive; n (%) | 6 (60)/4 (40) † | 11 (100)/0 (0) ** | 4 (40)/6 (60) | 0.011 |
| CD133 negative/positive; n (%) | 10 (100)/0 (0) ** | 11 (100)/0 (0) ** | 2 (20)/8 (80) | <0.005 |
| GATA4 negative/positive; n (%) | 9 (90)/1 (10) ** | 11 (100)/0 (0) ** | 0 (0)/10 (100) | <0.005 |
| Nkx2.5 negative/positive; n (%) | 8 (80)/2 (20) * | 11 (100)/0 (0) ** | 2 (20)/8 (80) | <0.005 |
| Variable | Group | p-Value | ||
|---|---|---|---|---|
| Sham | Control | Stem Cells | ||
| RATIO LV/RV (−7d) | 8.72 ± 0.36 | 8.77 ± 0.20 | 8.86 ± 0.22 | 0.480 |
| RATIO LV/RV (7d) | 8.69 ± 0.37 | 7.50 ± 0.24 * | 7.50 ± 0.29 * | <0.005 |
| RATIO LV/RV (14d) | 8.71 ± 0.34 | 7.59 ± 0.28 * | 8.00 ± 0.27 *,† | <0.005 |
Disclaimer/Publisher’s Note: The statements, opinions and data contained in all publications are solely those of the individual author(s) and contributor(s) and not of MDPI and/or the editor(s). MDPI and/or the editor(s) disclaim responsibility for any injury to people or property resulting from any ideas, methods, instructions or products referred to in the content. |
© 2024 by the authors. Licensee MDPI, Basel, Switzerland. This article is an open access article distributed under the terms and conditions of the Creative Commons Attribution (CC BY) license (https://creativecommons.org/licenses/by/4.0/).
Share and Cite
Koutela, A.; Loudos, G.; Rouchota, M.; Kletsas, D.; Karameris, A.; Vilaras, G.; Zografos, G.C.; Myoteri, D.; Dougenis, D.; Papalois, A.E. Mesenchymal Stem Cell Transplantation Has a Regenerative Effect in Ischemic Myocardium: An Experimental Rat Model Evaluated by SPECT-CT Assessment. Diagnostics 2024, 14, 401. https://doi.org/10.3390/diagnostics14040401
Koutela A, Loudos G, Rouchota M, Kletsas D, Karameris A, Vilaras G, Zografos GC, Myoteri D, Dougenis D, Papalois AE. Mesenchymal Stem Cell Transplantation Has a Regenerative Effect in Ischemic Myocardium: An Experimental Rat Model Evaluated by SPECT-CT Assessment. Diagnostics. 2024; 14(4):401. https://doi.org/10.3390/diagnostics14040401
Chicago/Turabian StyleKoutela, Antonella, George Loudos, Maritina Rouchota, Dimitrios Kletsas, Andreas Karameris, George Vilaras, George C. Zografos, Despoina Myoteri, Dimitrios Dougenis, and Apostolos E. Papalois. 2024. "Mesenchymal Stem Cell Transplantation Has a Regenerative Effect in Ischemic Myocardium: An Experimental Rat Model Evaluated by SPECT-CT Assessment" Diagnostics 14, no. 4: 401. https://doi.org/10.3390/diagnostics14040401
APA StyleKoutela, A., Loudos, G., Rouchota, M., Kletsas, D., Karameris, A., Vilaras, G., Zografos, G. C., Myoteri, D., Dougenis, D., & Papalois, A. E. (2024). Mesenchymal Stem Cell Transplantation Has a Regenerative Effect in Ischemic Myocardium: An Experimental Rat Model Evaluated by SPECT-CT Assessment. Diagnostics, 14(4), 401. https://doi.org/10.3390/diagnostics14040401

