The Application of Cone Beam Computed Tomography (CBCT) on the Diagnosis and Management of Maxillofacial Trauma
Abstract
1. Introduction
2. Cone Beam CT Dosimetry and Safety in Facial Trauma
3. Applications for Cone Beam CT Imaging in Maxillofacial Trauma
3.1. Cone Beam CT for Assessment of Dentoalveolar Fractures
3.2. Cone Beam CT for Assessment of Mandibular Fractures
3.3. Cone Beam CT for Assessment of Frontal Sinus Fractures
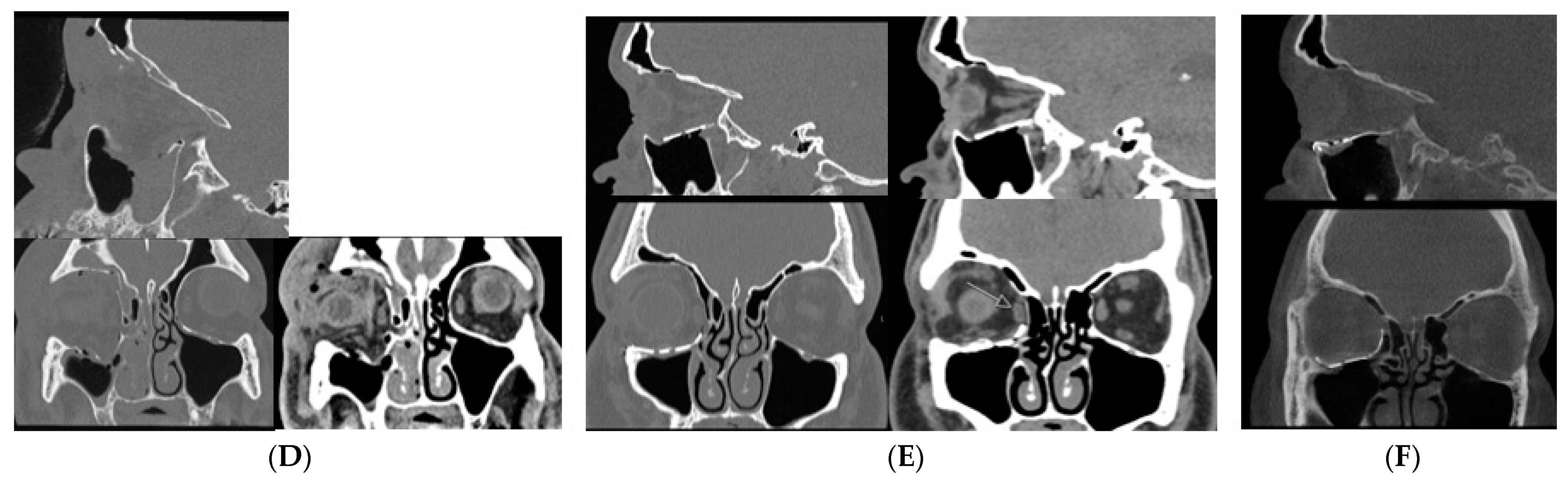
3.4. Cone Beam CT for Assessment of Orbital Fractures
3.5. Cone Beam CT for Assessment of Nasal Fractures
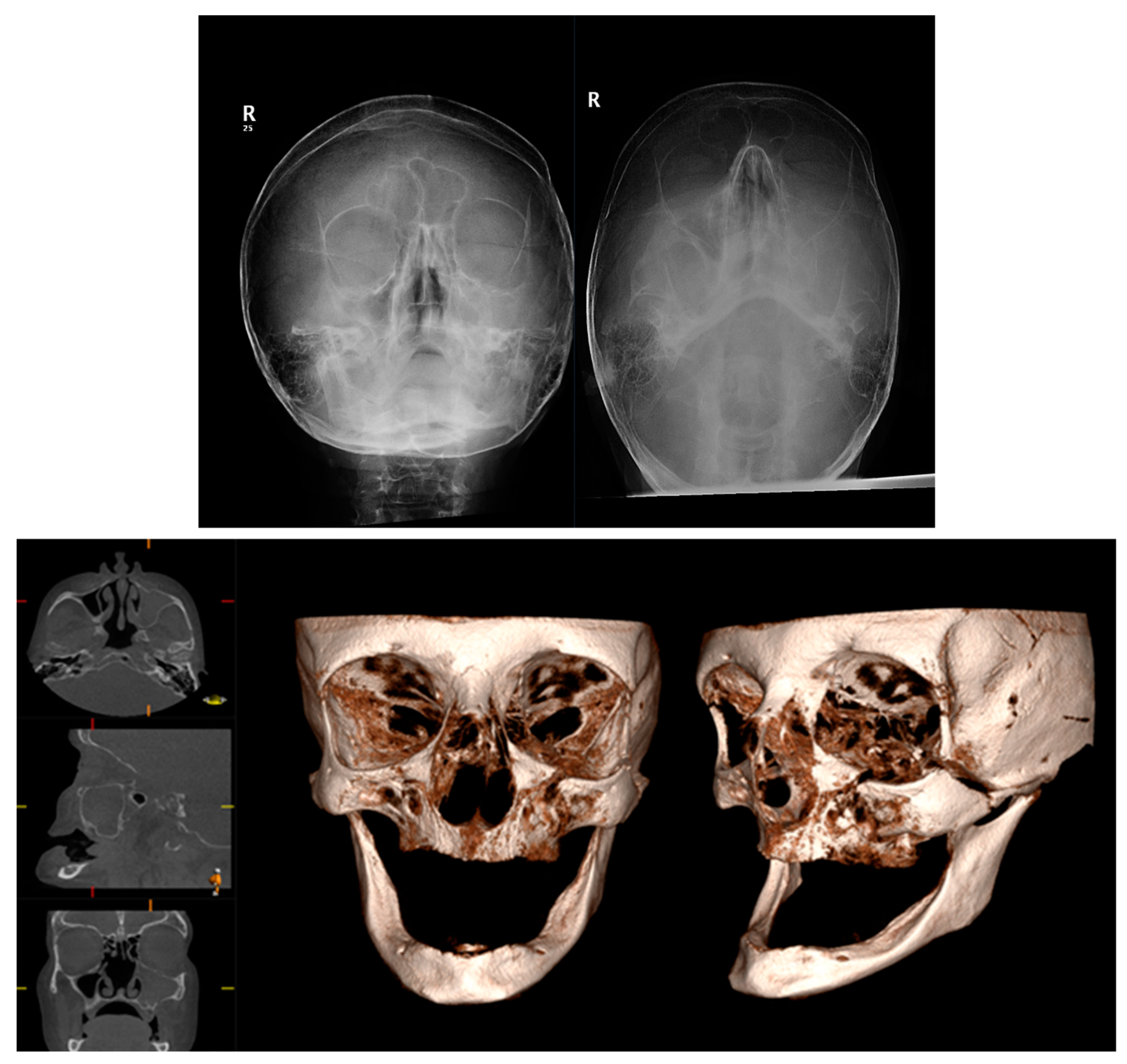
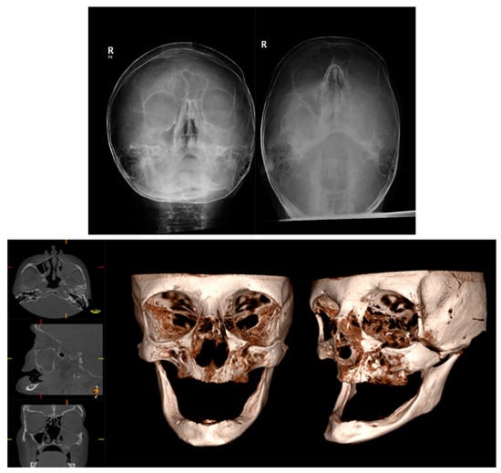
3.6. Cone Beam CT for Assessment Fractures of the Zygomatic Maxillary Complex and Midface
4. Intraoperative Use of CBCT in Surgical Management of Facial Fractures
5. Other Applications of CBCT in the Facial Trauma Setting
6. Limitations and Drawbacks of CBCT
7. Conclusions
Author Contributions
Funding
Institutional Review Board Statement
Informed Consent Statement
Data Availability Statement
Conflicts of Interest
Appendix A. Summative Table
| Study | Research Aim | Participants | Method | Summary of Findings |
| Theme One: CBCT for Dentoalveolar Fractures | ||||
| Long et al., 2014 [18] | To determine the diagnostic accuracy of CBCT for tooth fractures in vivo | Meta-analysis; 12 studies included | Quality Assessment of Diagnostic Accuracy Studies 2 (QUADAS-2) used to assess quality of included studies |
|
| Sha et al., 2022 [19] | To compare the efficacy of periapical; radiography and CBCT for diagnosis of trauma to the anterior maxillary dentoalveolar region in children and adolescents | 190 patients (120 males and 70 females) mean age: 11.1 years (range: 6–17 years) | Retrospective observational study. Images of patients who underwent both periapical radiography and CBCT between January 2016 and January 2020. Pairwise comparison between the receiver operating characteristic curves were performed for diagnosis of crown fractures, root fractures, alveolar bone fractures, and periapical radiolucencies. |
|
| Bernardes et al., 2009 [20] | To compare 2D images with CBCT when diagnosing root fractures in the general practice setting | 20 patients with suspected root fractures | Included patients who were submitted to examination by periapical radiography and CBCT; two professionals examined images according to pre-established scores. |
|
| Chavda et al., 2014 [21] | To determine whether there is a difference in the in vivo diagnostic accuracy of digital radiography and CBCT in the detection of vertical root fracture | 21 unsalvageable teeth from 20 patients with vertical root fracture | Digital radiograph and CBCT images compared with visual inspection of extracted tooth under a microscope. |
|
| Theme 2: CBCT for Mandibular Fractures | ||||
| Kaeppler et al., 2013 [28] | To determine the clinical efficacy of CBCT for suspected mandibular fractures and to evaluate whether findings would lead to a change in management | 164 patients with suspected mandible fracture (231 sites) but equivocal clinical and 2D radiograph findings | Images were interpreted by oral and maxillofacial surgeons and treatment decisions based on pre and post-imaging were compared. Linear regression analyses were performed. |
|
| Orhan et al., 2021 [32] | To investigate whether panoramic radiography and lateral skull projection images with lower radiation dose can be used instead of CBCT in the diagnosis of vertical condylar fractures | 15 fresh cadaver mandibles with 30 condyles with vertical fractures created | Each condyle was imaged with panoramic, LSP, and CBCT. |
|
| Viveka et al., 2023 [34] | To estimate the probable post-operative nerve injury in CBCT images | Observational study; 55 consecutive participants with a mandibular fracture between March 2021 and August 2022 | Preop CBCT to estimate post-operative probable nerve dysfunction. Nerve function assessed with brush directional stroke test, two point discrimination, and sharp and blunt test. |
|
| Theme 3: CBCT for Midface Fractures | ||||
| Brisco et al., 2014 [42] | Comparison of the image quality and dosimetry data for CBCT of patients with suspected orbital fractures with similar data from 3 different conventional multi-slice CT techniques | 10 patients CBCT (15 cm FOV) 10 trauma patients conventional CT |
| |
| Roman et al., 2016 [43] | Evaluate the reliability on specific multi-planar CBCT reconstruction in orbital floor fractures | 93 trauma patients CBCT examination | 2 radiologist assessment of axial, coronal, and sagittal sections and also oblique coronal and sagittal sections evaluating the location of orbital fractures, size, displacement, involvement of infraorbital foramen, herniation of fat or muscle, and type of fracture. |
|
| Thiele, 2018 [44] | Investigating the feasibility of using CBCT data to design and generate customised implants for patients requiring craniomaxillofacial reconstruction | CBCT data used to generate 62 implants for 51 consecutive patients between January 2015 and December 2017. |
| |
| Rozema et al., 2018 [48] | To assess the diagnostic reliability of low dose medical CT vs. CBCT | Unilateral ZMC fractures in 4 out of 6 fresh, frozen human cadaver head specimens | Blind; 16 radiologists and 8 OMFS surgeons performed randomised image assessments. |
|
| Theme Four: Intraoperative CBCT | ||||
| Heiland et al., 2005 [49] | Assessment of the adequacy of intraoperative CBCT | 14 patients undergoing surgical treatment for ZMC fractures | CBCT dataset generated and axial, coronal, and sagittal reconstructions evaluated by 5 examiners assessing 6 defined criteria. |
|
| Pohlenz et al., 2009 [54] | Describe the first clinical application of CBCT with an integrated flat-panel detector for ZMC fractures | 9 CBCT datasets of patients with a ZMC fracture were acquired intraoperatively using a mobile isocentric C-arm including a flat-panel detector | 4 OMFS surgeons and 2 radiologists evaluated each dataset regarding noise, transition, and delineation of landmarks. |
|
| Singh et al., 2015 [56] | Describe the use of intraoperative CBCT C arm for ZMC malpositioning | 1 case ZMC malpositioning in a patient with panfacial fractures | Case report |
|
| Alasraj et al., 2021 [57] | To determine how intraoperative CT affects the intraoperative revision rate | 22 patients underwent 25 intraoperative scans | Retrospective study. Primary outcome variable: immediate revision rate. Secondary outcome: total scanning time. |
|
| Gander et al., 2018 [58] | Assess the use of intraoperative CBCT for determining intraoperative revision rate and need for additional reconstruction of the orbit | 47 consecutive patients with simple or complex ZMC fractures | Retrospective analysis. Intraoperative CBCT (Xoran Technologies, Ann Arbor, MI, USA) was overlaid on preoperative image using iPlan software (Brainlab, Feldkirchen, Germany). |
|
| Cuddy et al., 2018 [59] | To quantify the effect of intraoperative CT on surgical decision making | 161 patients, consecutive recruitment | Retrospective case series; level 1 trauma centre. |
|
References
- Davies, R.; Hammond, D.; Ridout, F.; Hutchison, I.; Magennis, P. British Association of Oral and Maxillofacial Surgeons’ National Facial Injury Surveys: Hard tissue facial injuries presenting to UK emergency departments. Br. J. Oral Maxillofac. Surg. 2020, 58, 152–157. [Google Scholar] [CrossRef] [PubMed]
- Scarfe, W.C.; Farman, A.G. Cone beam computed tomography: Volume acquisition. In Oral Radiology Principles and Interpretation, 7th ed.; White, S.C., Pharoah, M.J., Eds.; Mosby: St. Louis, MO, USA, 2014; pp. 185–198. [Google Scholar]
- Scarfe, W.C. Imaging of maxillofacial trauma: Evolutions and emerging revolutions. Oral Surg. Oral Med. Oral Pathol. Oral Radiol. Endodontol. 2005, 100, S75–S96. [Google Scholar] [CrossRef] [PubMed]
- Eskandarlou, A.; Poorolajal, J.; Talaeipour, A.R.; Talebi, S.; Talaeipour, M. Comparison between cone beam computed tomography in diagnostic accuracy of maxillofacial fractures in dried human skull: An in vitro study. Dent. Traumatol. 2014, 30, 162–168. [Google Scholar] [CrossRef] [PubMed]
- Mah, J.K.; Danforth, R.A.; Bumann, A.; Hatcher, D. Radiation absorbed in maxillofacial imaging with a new dental computed tomography device. Oral Surg. Oral Med. Oral Pathol. Oral Radiol. Endodontol. 2003, 96, 508–513. [Google Scholar] [CrossRef] [PubMed]
- Schulze, D.; Heiland, M.; Thurmann, H.; Adam, G. Radiation exposure during midfacial imaging using 4- and 16-slice computed tomography, cone beam computed tomography systems and conventional radiography. Dentomaxillofac. Radiol. 2004, 33, 83–86. [Google Scholar] [CrossRef] [PubMed]
- ICRP. The 2007 Recommendations of the International Commission on Radiological Protection. ICRP Publication 103. Ann. ICRP 2007, 37. Available online: www.icrp.org/publication.asp?id=ICRP%20Publication%20103 (accessed on 1 September 2023).
- Royal College of Radiologists. iRefer: Making the Best Use of Clinical Radiology, 8th ed.; 2017; Available online: www.rcr.ac.uk/publication/irefer-making-best-use-clinical-radiology-eighth-edition (accessed on 1 September 2023).
- Horner, K.; Eaton, K. Selection Criteria for Dental Radiography Standards, 3rd ed. 2018. Available online: www.fgdp.org.uk/selection-criteria-dental-radiography (accessed on 1 September 2023).
- Ludlow, J.B.; Timothy, R.; Walker, C.; Hunter, R.; Benavides, E.; Samuelson, D.B.; Scheske, M.J. Effective dose of dental CBCT—A meta analysis of published data and additional data for nine CBCT units. Dentomaxillofac. Radiol. 2015, 44, 20140197, Erratum in Dentomaxillofac. Radiol. 2015, 44, 20159003. [Google Scholar] [CrossRef] [PubMed]
- Ludlow, J.B.; Ivanovic, M. Comparative dosimetry of dental CBCT devices and 64-slice CT for oral and maxillofacial radiology. Oral Surg. Oral Med. Oral Pathol. Oral Radiol. Endodontol. 2008, 106, 106–114. [Google Scholar] [CrossRef]
- Suomalainen, A.; Kiljunen, T.; Käser, Y.; Peltola, J.; Kortesniemi, M. Dosimetry and image quality of four dental cone beam computed tomography scanners compared with multislice computed tomography scanners. Dentomaxillofac. Radiol. 2009, 38, 367–378, Erratum in Dentomaxillofac. Radiol. 2009, 38, 554. [Google Scholar] [CrossRef]
- Davies, J.; Johnson, B.; Drage, N. Effective doses from cone beam CT investigation of the jaws. Dentomaxillofac. Radiol. 2012, 41, 30–36. [Google Scholar] [CrossRef]
- Feinberg, L.W.; Nixon, P.P. An update on radiation protection and the ionizing radiation regulations. Dent. Update 2023, 48, 707–709. [Google Scholar] [CrossRef]
- Shah, S.; Uppal, S.K.; Mittal, R.K.; Garg, R.; Saggar, K.; Dhawan, R. Diagnostic tools in maxillofacial fractures: Is there really a need of three-dimensional computed tomography? Indian J. Plast. Surg. 2016, 49, 225–233. [Google Scholar] [CrossRef]
- Petti, S.; Glendor, U.; Andersson, L. World traumatic dental injury prevalence and incidence, a meta-analysis—One billion living people have had traumatic dental injuries. Dent. Traumatol. 2018, 34, 71–86. [Google Scholar] [CrossRef]
- Tagar, H.; Djemal, S. Oral Surgery II: Part 1. Acute management of dentoalveolar trauma. Br. Dent. J. 2017, 223, 407–416. [Google Scholar] [CrossRef]
- Long, H.; Zhou, Y.; Ye, N.; Liao, L.; Jian, F.; Wang, Y.; Lai, W. Diagnostic accuracy of CBCT for tooth fractures: A meta-analysis. J. Dent. 2014, 42, 240–248. [Google Scholar] [CrossRef] [PubMed]
- Sha, X.; Jin, L.; Han, J.; Li, Y.; Zhang, L.; Qi, S. Comparison between periapical radiography and cone beam computed tomography for the diagnosis of anterior maxillary trauma in children and adolescents. Dent. Traumatol. 2022, 38, 62–70. [Google Scholar] [CrossRef] [PubMed]
- Bernardes, R.A.; de Moraes, I.G.; Duarte, M.A.H.; Azevedo, B.C.; de Azevedo, J.R.; Bramante, C.M. Use of cone-beam volumetric tomography in the diagnosis of root fractures. Oral Surg. Oral Med. Oral Pathol. Oral Radiol. Endodontol. 2009, 108, 270–277. [Google Scholar] [CrossRef]
- Chavda, R.; Mannocci, F.; Andiappan, M.; Patel, S. Comparing the in vivo diagnostic accuracy of digital periapical radiography with cone-beam computed tomography for the detection of vertical root fracture. J. Endod. 2014, 40, 1524–1529. [Google Scholar] [CrossRef] [PubMed]
- Andersson, L.; Andreasen, J.O.; Day, P.; Heithersay, G.; Trope, M.; DiAngelis, A.J.; Kenny, D.J.; Sigurdsson, A.; Bourguignon, C.; Flores, M.T.; et al. International Association of Dental Traumatology guidelines for the management of traumatic dental injuries: 2. Avulsion of permanent teeth. Dent. Traumatol. 2012, 28, 88–96. [Google Scholar] [CrossRef]
- Diangelis, A.J.; Andreasen, J.O.; Ebeleseder, K.A.; Kenny, D.J.; Trope, M.; Sigurdsson, A.; Andersson, L.; Bourguignon, C.; Flores, M.T.; Hicks, M.L.; et al. International Association of Dental Traumatology guidelines for the management of traumatic dental injuries: 1. Fractures and luxations of permanent teeth. Dent. Traumatol. 2012, 28, 2–12. [Google Scholar] [CrossRef]
- Ellis, E., III; Moos, K.F.; el-Attar, A. Ten years of mandibular fractures: An analysis of 2,137 cases. Oral Surg. Oral Med. Oral Pathol. 1985, 59, 120–129. [Google Scholar] [CrossRef]
- Rashid, A.; Eyeson, J.; Haider, D.; van Gijn, D.; Fan, K. Incidence and patterns of mandibular fractures during a 5-year period in a London teaching hospital. Br. J. Oral Maxillofac. Surg. 2013, 51, 794–798. [Google Scholar] [CrossRef]
- Markowitz, B.L.; Sinow, J.D.; Kawamoto, H.K., Jr.; Shewmake, K.; Khoumehr, F. Prospective comparison of axial computed tomography and standard and panoramic radiographs in the diagnosis of mandibular fractures. Ann. Plast. Surg. 1999, 42, 163–169. [Google Scholar] [CrossRef]
- Roth, F.S.; Kokoska, M.S.; Awwad, E.E.; Martin, D.S.; Olson, G.T.; Hollier, L.H.; Hollenbeak, C.S. The identification of mandible fractures by helical computed tomography and panorex tomography. J. Craniofac. Surg. 2005, 16, 394–399. [Google Scholar] [CrossRef]
- Kaeppler, G.; Cornelius, C.-P.; Ehrenfeld, M.; Mast, G. Diagnostic efficacy of cone-beam computed tomography for mandibular fractures. Oral Surg. Oral Med. Oral Pathol. Oral Radiol. 2013, 116, 98–104. [Google Scholar] [CrossRef]
- Loukota, R.; Neff, A.; Rasse, M. Nomenclature/classification of fractures of the mandibular condylar head. Br. J. Oral Maxillofac. Surg. 2010, 48, 477–478. [Google Scholar] [CrossRef]
- Brooks, S.L.; Brand, J.W.; Gibbs, S.; Hollender, L.; Lurie, A.G.; Omnell, K.; Westesson, P.-L.; White, S.C. Imaging of the temporomandibular joint: A position paper of the American Academy of Oral and Maxillofacial Radiology. Oral Surg. Oral Med. Oral Pathol. Oral Radiol. Endodontol. 1997, 83, 609–618. [Google Scholar] [CrossRef] [PubMed]
- Raustia, A.M.; Pyhtinen, J.; Oikarinen, K.S.; Altonen, M. Conventional radiographic and computed tomographic findings in cases of fracture of the mandibular condylar process. J. Oral Maxillofac. Surg. 1990, 48, 1258–1263. [Google Scholar] [CrossRef] [PubMed]
- Orhan, K.; Ozemre, M.O.; Koseoglu Secgin, C.; Karslioglu, H.; Kamburoglu, K.; Gur, G.; Atalay Vural, S. Comparison of panoramic, lateral skull projection and CBCT images in the detection of mandibular condyle fractures. Cumhur. Dent. J. 2021, 24, 129–136. [Google Scholar] [CrossRef]
- Wang, P.; Yang, J.; Yu, Q. MR imaging assessment of temporomandibular joint soft tissue injuries in dislocated and nondislocated mandibular condylar fractures. Am. J. Neuroradiol. 2009, 30, 59–63. [Google Scholar] [CrossRef] [PubMed]
- Mahesh, K.; Viveka, S.; Patil, K. Probability prediction of nerve injury using CBCT images in mandibular fractures: An observational study. J. Indian Acad. Oral Med. Radiol. 2023, 35, 191–196. [Google Scholar] [CrossRef]
- Chouake, R.J.; Miles, B.A. Current opinion in otolaryngology and head and neck surgery: Frontal sinus fractures. Curr. Opin. Otolaryngol. Head Neck Surg. 2017, 25, 326–331. [Google Scholar] [CrossRef] [PubMed]
- Gonty, A.A.; Marciani, R.D.; Adornato, D.C. Management of frontal sinus fractures: A review of 33 cases. J. Oral Maxillofac. Surg. 1999, 57, 372–379. [Google Scholar] [CrossRef] [PubMed]
- Banica, B.; Ene, P.; Dabu, A.; Ene, R.; Cirstoiu, C. Rationale for management of frontal sinus fractures. Maedica 2013, 8, 398–403. [Google Scholar] [PubMed]
- McRae, M.; Momeni, R.; Narayan, D. Frontal sinus fractures: A review of trends, diagnosis, treatment, and outcomes at a level 1 trauma center in Connecticut. Conn. Med. 2008, 72, 133–138. [Google Scholar] [PubMed]
- Shintaku, W.H.; Venturin, J.S.; Azevedo, B.; Noujeim, M. Applications of cone-beam computed tomography in fractures of the maxillofacial complex. Dent. Traumatol. 2009, 25, 358–366. [Google Scholar] [CrossRef] [PubMed]
- Kunz, C.; Audigé, L.; Cornelius, C.-P.; Buitrago-Téllez, C.H.; Rudderman, R.; Prein, J. The Comprehensive AOCMF Classification System: Orbital Fractures—Level 3 Tutorial. Craniomaxillofac. Trauma Reconstr. 2014, 7 (Suppl. 1), S092–S102. [Google Scholar] [CrossRef] [PubMed]
- Ilankovan, V.; Hadley, D.; Moos, K.; El Attar, A. A comparison of imaging techniques with surgical experience in orbital injuries. J. Cranio-Maxillofac. Surg. 1991, 19, 348–352. [Google Scholar] [CrossRef] [PubMed]
- Brisco, J.; Fuller, K.; Lee, N.; Andrew, D. Cone beam computed tomography for imaging orbital trauma—Image quality and radiation dose compared with conventional multislice computed tomography. Br. J. Oral Maxillofac. Surg. 2014, 52, 76–80. [Google Scholar] [CrossRef]
- Roman, R.; Hedeșiu, M.; Fildan, F.; Ileșan, R.; Mitea, D.; Dinu, C.; Băciuț, M. The use of reformatted Cone Beam CT images in assessing mid-face trauma, with a focus on the orbital floor fractures. Clujul Med. 2016, 89, 519–524. [Google Scholar] [CrossRef]
- Thiele, O.C.; Nolte, I.M.; Mischkowski, R.A.; Safi, A.F.; Perrin, J.; Zinser, M.; Zoller, J.E.; Kreppel, M. Craniomaxillofacial patient specific CAD/CAM implants based on cone-beam tomography data—A feasibility study. J. Craniomaxillofac. Surg. 2018, 46, 1461–1464. [Google Scholar] [CrossRef]
- CT/CBCT Scan Protocol. For TRUMATCHTM CMF Products and Services. Available online: https://www.jnjmedtech.com/system/files/pdf/195166-220315%20Synthes%20CMF%20CT-CBCT%20Scan%20Protocol.pdf (accessed on 8 September 2023).
- Yabe, T.; Tsuda, T.; Hirose, S.; Ozawa, T. Comparison of pediatric and adult nasal fractures. J. Craniofac. Surg. 2012, 23, 1364–1366. [Google Scholar] [CrossRef]
- Leapo, L.; Uemura, M.; Stahl, M.C.; Patil, N.; Shah, J.; Otteson, T. Efficacy of X-ray in the diagnosis of pediatric nasal fracture. Int. J. Pediatr. Otorhinolaryngol. 2022, 162, 111305. [Google Scholar] [CrossRef] [PubMed]
- Rozema, R.; Doff, M.H.; van Ooijen, P.M.; Postmus, D.; Westerlaan, H.E.; Boomsma, M.F.; van Minnen, B. Diagnostic reliability of low dose multidetector CT and cone beam CT in maxillofacial trauma—An experimental blinded and randomized study. Dentomaxillofac. Radiol. 2018, 47, 20170423. [Google Scholar] [CrossRef] [PubMed]
- Heiland, M.; Schulze, D.; Blake, F.; Schmelzle, R. Intraoperative imaging of zygomaticomaxillary complex fractures using a 3D C-arm system. Int. J. Oral Maxillofac. Surg. 2005, 34, 369–375. [Google Scholar] [CrossRef] [PubMed]
- Schnetzke, M.; Fuchs, J.; Vetter, S.Y.; Beisemann, N.; Keil, H.; Grützner, P.-A.; Franke, J. Intraoperative 3D imaging in the treatment of elbow fractures—A retrospective analysis of indications, intraoperative revision rates, and implications in 36 cases. BMC Med. Imaging 2016, 16, 24. [Google Scholar] [CrossRef]
- von Recum, J.; Wendl, K.; Vock, B.; Grützner, P.; Franke, J. Intraoperative 3D C-arm imaging. State of the art. Unfallchirurg 2012, 115, 196–201. [Google Scholar] [CrossRef]
- Stanley, J.R.B. Use of intraoperative computed tomography during repair of orbitozygomatic fractures. Arch. Fac. Plast. Surg. 1999, 1, 19–24. [Google Scholar] [CrossRef]
- Manson, P.N. Computed tomography use and repair of orbitozygomatic fractures. Arch. Fac. Plast. Surg. 1999, 1, 25–26. [Google Scholar] [CrossRef]
- Pohlenz, P.; Blake, F.; Blessmann, M.; Smeets, R.; Habermann, C.; Begemann, P.; Schmelzle, R.; Heiland, M. Intraoperative cone-beam computed tomography in Oral and Maxillofacial Surgery using a C-Arm Prototype: First clinical experiences after treatment of zygomaticomaxillary complex fractures. J. Oral Maxillofac. Surg. 2009, 67, 515–521. [Google Scholar] [CrossRef]
- Assouline, S.; Meyer, C.; Weber, E.; Chatelain, B.; Barrabe, A.; Sigaux, N.; Louvrier, A. How useful is intraoperative cone beam computed tomography in maxillofacial surgery? An overview of the current literature. Int. J. Oral Maxillofac. Surg. 2021, 50, 198–204. [Google Scholar] [CrossRef] [PubMed]
- Singh, M.; Ricci, J.A.; Caterson, E.J. Use of intraoperative computed tomography for revisional procedures in patients with complex maxillofacial trauma. Plast. Reconstr. Surg.—Glob. Open 2015, 3, e463. [Google Scholar] [CrossRef] [PubMed]
- Alasraj, A.; Alasseri, N.; Al-Moraissi, E. Does intraoperative computed tomography scanning in Maxillofacial Trauma surgery affect the revision rate? J. Oral Maxillofac. Surg. 2020, 79, 412–419. [Google Scholar] [CrossRef]
- Gander, T.; Blumer, M.; Rostetter, C.; Wagner, M.; Zweifel, D.; Schumann, P.; Wiedemeier, D.B.; Rücker, M.; Essig, H. Intraoperative 3-dimensional cone beam computed tomographic imaging during reconstruction of the zygoma and orbit. Oral Surg. Oral Med. Oral Pathol. Oral Radiol. 2018, 126, 192–197. [Google Scholar] [CrossRef] [PubMed]
- Cuddy, K.; Khatib, B.; Bell, R.B.; Cheng, A.; Patel, A.; Amundson, M.; Dierks, E.J. Use of intraoperative Computed tomography in Craniomaxillofacial Trauma Surgery. J. Oral Maxillofac. Surg. 2018, 76, 1016–1025. [Google Scholar] [CrossRef]
- Klatt, J.; Heiland, M.; Blessmann, M.; Blake, F.; Schmelzle, R.; Pohlenz, P. Clinical indication for intraoperative 3D imaging during open reduction of fractures of the neck and head of the mandibular condyle. J. Craniomaxillofac. Surg. 2011, 39, 244–248. [Google Scholar] [CrossRef]
- Grobe, A.; Weber, C.; Schmelzle, R.; Heiland, M.; Klatt, J.; Pohlenz, P. The use of navigation (BrainLAB Vector vision2) and intraoperative 3D imaging system (Siemens Arcadis Orbit 3D) in the treatment of gunshot wounds of the maxillofacial region. Oral Maxillofac. Surg. 2009, 13, 153–158. [Google Scholar] [CrossRef]
- Johner, J.-P.; Wiedemeier, D.; Hingsammer, L.; Gander, T.; Blumer, M.; Wagner, M.E. Improved results in closed reduction of zygomatic arch fractures by the use of intraoperative cone-beam computed tomography imaging. J. Oral Maxillofac. Surg. 2020, 78, 414–422. [Google Scholar] [CrossRef] [PubMed]
- Olivetto, M.; Testelin, S. Use of intraoperative 3D imaging in the maxillofacial operating room: A French national survey. J. Stomatol. Oral Maxillofac. Surg. 2023, 101542. [Google Scholar] [CrossRef] [PubMed]
- Stuehmer, C.; Essig, H.; Bormann, K.-H.; Majdani, O.; Gellrich, N.-C.; Rücker, M. Cone beam CT imaging of airgun injuries to the craniomaxillofacial region. Int. J. Oral Maxillofac. Surg. 2008, 37, 903–906. [Google Scholar] [CrossRef]
- Shigeta, Y.; Enciso, R.; Ogawa, T.; Shintaku, W.H.; Clark, G.T. Correlation between retroglossal airway size and body mass index in OSA and non-OSA patients using cone beam CT imaging. Sleep Breath. 2008, 12, 347–352. [Google Scholar] [CrossRef] [PubMed]
- Osorio, F.; Perilla, M.; Doyle, D.J.; Palomo, J.M. Cone beam computed tomography: An innovative tool for airway assessment. Obstet. Anesthesia Dig. 2008, 106, 1803–1807. [Google Scholar] [CrossRef] [PubMed]
- De Vos, W.; Casselman, J.; Swennen, G. Cone-beam computerized tomography (CBCT) imaging of the oral and maxillofacial region: A systematic review of the literature. Int. J. Oral Maxillofac. Surg. 2009, 38, 609–625. [Google Scholar] [CrossRef] [PubMed]
- Angelopoulos, C.; Scarfe, W.C.; Farman, A.G. A Comparison of maxillofacial CBCT and medical CT. Atlas Oral Maxillofac. Surg. Clin. N. Am. 2012, 20, 1–17. [Google Scholar] [CrossRef]








| Imaging Modality | Effective Dose µSv |
|---|---|
| Facial X-ray | 10 |
| Panoramic X-ray | 20 |
| CBCT Full Facial Skeleton | 200 |
| CT Full Facial Skeleton | 1000 |
| Maxillofacial Injury Region | Suggested Imaging Modality |
|---|---|
| Dentoalveolar Injury | 1st Line: Plain films (PA/occlusal/OPG) and clinical examination 2nd Line: CBCT if suspected occult root fracture or concomitant dentoalveolar fracture |
| Mandible Fracture | 1st Line: Plain films (OPG/PA mandible views) 2nd Line: CBCT for comminuted and segmental fractures to allow for 3D printing and surgical planning; 3D assessment of condyle fractures; post-operative evaluation of complications with healing and metal work |
| Nasal Fracture | 1st Line: Clinical examination 2nd Line: CBCT or CT if suspicion of naso-orbital-ethmoid fracture |
| Midface Fractures | 1st Line: CBCT (if ambulatory and without suspicion of traumatic head injury and for intraoperative and post-operative assessment); plain radiographs (OM views) if isolated zygomatic arch fracture 2nd Line: Conventional CT if concomitant head injury |
| Orbital Fractures | 1st Line: Conventional CT 2nd Line: MRI for detailed assessment of muscle entrapment; CBCT in the absence of eye signs for surgical planning and post-operative reconstruction assessment |
| Frontal Bone Fractures | Conventional CT for assessment of concomitant traumatic head injury |
Disclaimer/Publisher’s Note: The statements, opinions and data contained in all publications are solely those of the individual author(s) and contributor(s) and not of MDPI and/or the editor(s). MDPI and/or the editor(s) disclaim responsibility for any injury to people or property resulting from any ideas, methods, instructions or products referred to in the content. |
© 2024 by the authors. Licensee MDPI, Basel, Switzerland. This article is an open access article distributed under the terms and conditions of the Creative Commons Attribution (CC BY) license (https://creativecommons.org/licenses/by/4.0/).
Share and Cite
Rashid, A.; Feinberg, L.; Fan, K. The Application of Cone Beam Computed Tomography (CBCT) on the Diagnosis and Management of Maxillofacial Trauma. Diagnostics 2024, 14, 373. https://doi.org/10.3390/diagnostics14040373
Rashid A, Feinberg L, Fan K. The Application of Cone Beam Computed Tomography (CBCT) on the Diagnosis and Management of Maxillofacial Trauma. Diagnostics. 2024; 14(4):373. https://doi.org/10.3390/diagnostics14040373
Chicago/Turabian StyleRashid, Arif, Lee Feinberg, and Kathleen Fan. 2024. "The Application of Cone Beam Computed Tomography (CBCT) on the Diagnosis and Management of Maxillofacial Trauma" Diagnostics 14, no. 4: 373. https://doi.org/10.3390/diagnostics14040373
APA StyleRashid, A., Feinberg, L., & Fan, K. (2024). The Application of Cone Beam Computed Tomography (CBCT) on the Diagnosis and Management of Maxillofacial Trauma. Diagnostics, 14(4), 373. https://doi.org/10.3390/diagnostics14040373
