Spatial Position and Anatomical Characteristics Associated with Impacted Third Molars Using a Map-Reading Strategy on Cone-Beam Computed Tomography Scans: A Retrospective Analysis
Abstract
1. Introduction
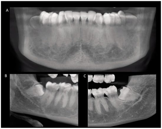
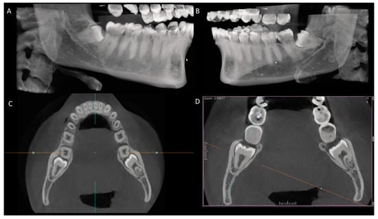
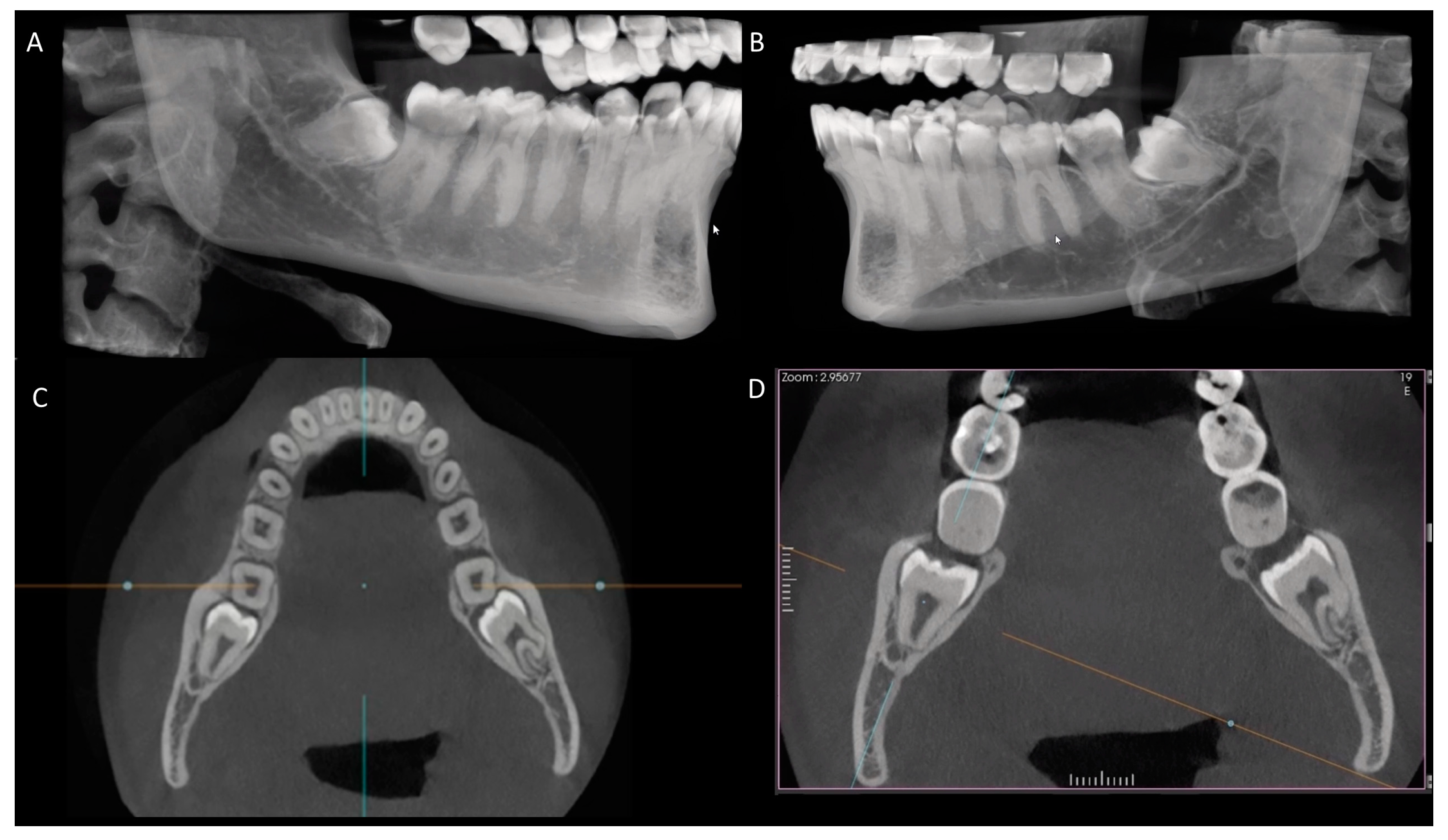
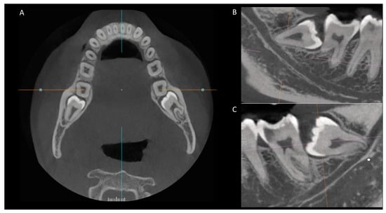
2. Materials and Methods
3. Results
3.1. Patient Characteristics
3.2. Positioning of Impacted Third Molars
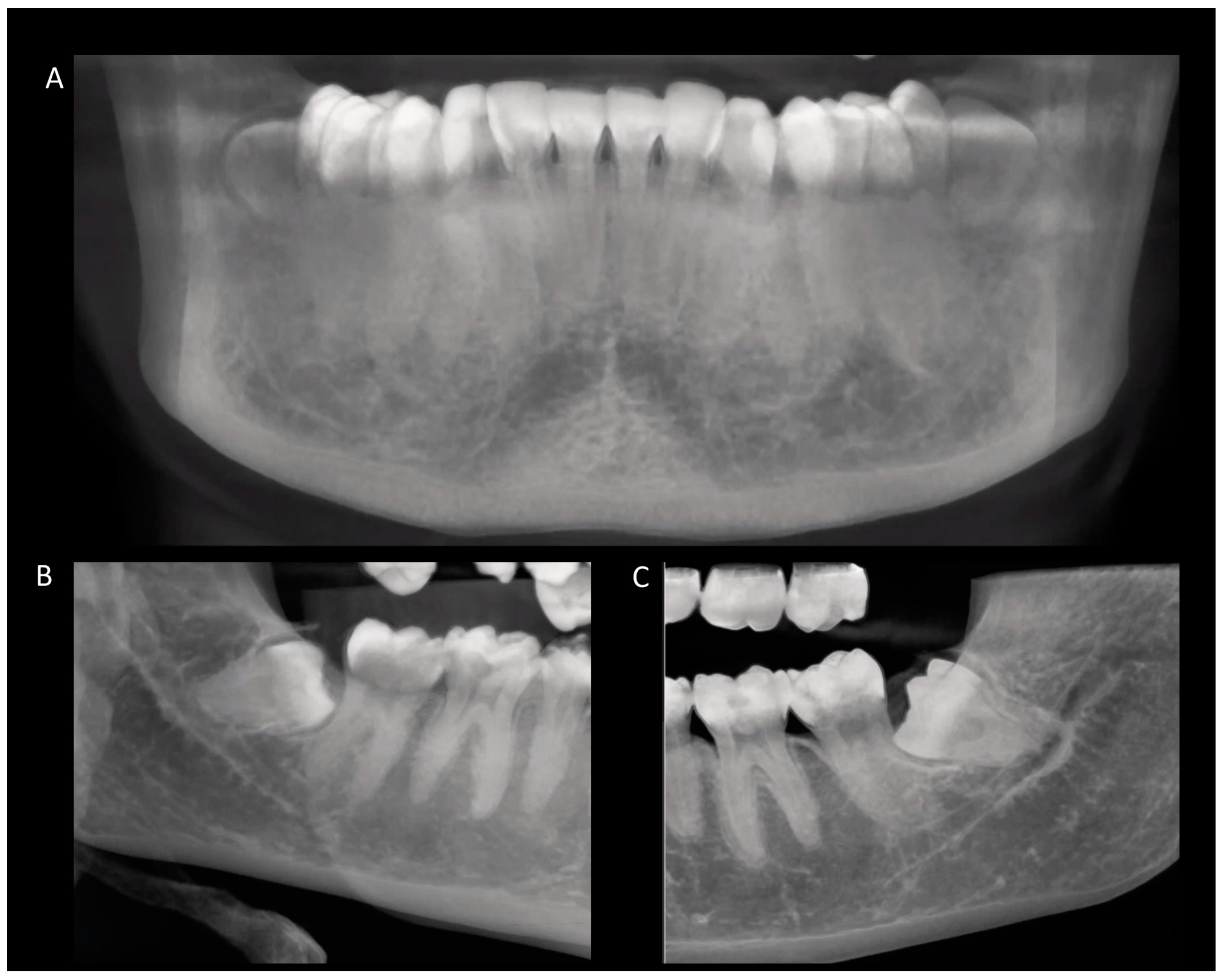
3.3. Anatomical Relationship between the Root Apex of the Impacted Third Molar and the Mandibular Canal
3.4. Occurrence of External Root Resorption on the Distal Side of the Mandibular Second Molar
4. Discussion
5. Conclusions
Author Contributions
Funding
Institutional Review Board Statement
Informed Consent Statement
Data Availability Statement
Conflicts of Interest
References
- Hatem, M.; Bugaughis, I.; Taher, E. Pattern of third molar impaction in Libyan population: A retrospective radiographic study. Saudi. J. Dent. Res. 2016, 7, 7–12. [Google Scholar] [CrossRef][Green Version]
- Carvalho, J.R.S.; Leite, J.S.; Oliveira, R.S. Evaluation of impacted lower third molars using cone beam computed tomography. J. Dent. 2021, 9, 1–6. [Google Scholar]
- Singh, P.; Ajmera, D.H.; Xiao, S.S.; Yang, X.Z.; Liu, X.; Peng, B. Analysis of potential dynamic concealed factors in the difficulty of lower third molar extraction. Med. Oral Patol. Oral Cir. Bucal 2016, 21, e713–e723. [Google Scholar] [CrossRef] [PubMed][Green Version]
- Contar, C.M.; de Oliveira, P.; Kanegusuku, K.; Berticelli, R.D.; Azevedo-Alanis, L.R.; Machado, M.A. Complications in third molar removal: A retrospective study of 588 patients. Med. Oral Patol. Oral Cir. Bucal 2010, 15, e74–e78. [Google Scholar] [CrossRef]
- Oenning, A.C.C.; Neves, F.S.; Alencar, P.N.B.; Prado, R.F.; Groppo, F.C.; Haiter-Neto, F. External root resorption of the second molar associated with third molar impaction: Comparison of panoramic radiography and cone beam computed tomography. J. Oral Maxillofac. Surg. 2014, 72, 1444–1455. [Google Scholar] [CrossRef] [PubMed]
- Glória, J.C.R.; Martins, C.C.; Armond, A.C.V.; Galvão, E.L.; Dos Santos, C.R.R.; Falci, S.G.M. Third molar and their relationship with caries on the distal surface of second molar: A meta-analysis. J. Oral Maxillofac. Surg. 2018, 17, 129–141. [Google Scholar] [CrossRef] [PubMed]
- Ghaeminia, H.; Meijer, G.J.; Soehardi, A.; Borstlap, W.A.; Melder, J.; Berge, S.J. Position of the impacted third molar in relation to the mandibular canal. Diagnostic accuracy of cone beam computed tomography compared with panoramic radiography. Int. J. Oral Maxillofac. Surg. 2009, 38, 964–971. [Google Scholar] [CrossRef] [PubMed]
- Ghaeminia, H.; Meijer, G.J.; Soehardi, A.; Borstlap, W.A.; Mulder, J.; Vlijmen, O.J.; Berge, S.J.; Maal, T.J. The use of cone beam CT for the removal of wisdom teeth changes the surgical approach compared with panoramic radiography: A pilot study. Int. J. Oral Maxillofac. Surg. 2011, 40, 834–839. [Google Scholar] [CrossRef]
- Liu, M.Q.; Xu, Z.N.; Mao, W.Y.; Li, Y.; Zhang, X.H.; Bai, H.L.; Ding, P.; Fu, K.Y. Deep learning-based evaluation of the relationship between mandibular third molar and mandibular canal on CBCT. Clin. Oral Investig. 2022, 26, 981–991. [Google Scholar] [CrossRef]
- Kim, Y.-S.; Park, Y.-M.; Cosola, S.; Riad, A.; Giammarinaro, E.; Covani, U.; Marconcini, S. Retrospective analysis on inferior third molar position by means of orthopantomography or CBCT: Periapical band-like radiolucent sign. Appl. Sci. 2021, 11, 6389. [Google Scholar] [CrossRef]
- Estrela, C.; Bueno, M.R.; Leles, C.R.; Azevedo, B.; Azevedo, J.R. Accuracy of cone beam computed tomography and panoramic and periapical radiography for detection of apical periodontitis. J. Endod. 2008, 34, 273–279. [Google Scholar] [CrossRef] [PubMed]
- Dalili, Z.; Mahjoub, P.; Sigaroudi, A.K. Comparison between cone beam computed tomography and panoramic radiography in the assessment of the relationship between the mandibular canal and impacted class C mandibular third molars. Dent. Res. J. 2011, 8, 203–210. [Google Scholar] [CrossRef] [PubMed]
- Momin, M.A.; Matsumoto, K.; Ejima, K.; Asaumi, R.; Kawai, T.; Arai, Y.; Honda, K.; Yosue, T. Correlation of mandibular impacted tooth and bone morphology determined by cone beam computed topography on a premise of third molar operation. Surg. Radiol. Anat. 2013, 35, 311–318. [Google Scholar] [CrossRef] [PubMed]
- Peker, I.; Sarikir, C.; Alkurt, M.T.; Zor, Z.F. Panoramic radiography and cone-beam computed tomography findings in the preoperative examination of impacted mandibular third molars. BMC Oral Health 2014, 14, 71. [Google Scholar] [CrossRef] [PubMed]
- Baena, R.R.; Beltrami, R.; Tagliabo, A.; Rizzo, S.; Lupi, S.M. Differences between panoramic and cone beam-CT in the surgical evaluation of lower third molars. J. Clin. Exp. Dent. 2017, 9, e259–e265. [Google Scholar] [CrossRef]
- Bueno, M.R.; Estrela, C.; Azevedo, B.C.; Diogenes, A. Development of a new cone-beam computed tomography software for endodontic diagnosis. Braz. Dent. J. 2018, 29, 517–529. [Google Scholar] [CrossRef]
- Hermann, L.; Wenzel, A.; Schropp, L.; Matzen, L.H. Impact of CBCT on treatment decision related to surgical removal of impacted maxillary third molars: Does CBCT change the surgical approach? Dentomaxillofac. Radiol. 2019, 48, 20190209. [Google Scholar] [CrossRef]
- Wanzeler, A.M.V.; Silveira, H.L.D.; Buligon, R.P.; Corsetti, A.; Vieira, H.T.; Arus, N.A.; Vizotto, M.B. Can CBCT change the level of confidence of oral maxillofacial surgeons in mandibular third molar management? Braz. Oral Res. 2022, 36, e078. [Google Scholar] [CrossRef]
- Winter, G.B. Principles of Exodontia as Applied to the Impacted Third Molar: A Complete Treatise on the Operative Technique with Clinical Diagnosis and Radiographic Interpretations; American Medical Books: St. Louis, MI, USA, 1926. [Google Scholar]
- Pell, G.J.; Gregory, G.T. Impacted mandibular third molars: Classification and modified technique for removal. Dent. Digest. 1933, 9, 330–338. [Google Scholar]
- Deppe, H.; Mücke, T.; Wagenpfeil, S.; Kesting, M.; Linsenmeyer, E.; Tölle, T. Trigeminal nerve injuries after mandibular oral surgery in a university outpatient setting--a retrospective analysis of 1,559 cases. Clin. Oral Investig. 2015, 9, 149–157. [Google Scholar] [CrossRef]
- Glera-Suárez, P.; Soto-Peñaloza, D.; Peñarrocha-Oltra, D.; Peñarrocha-Diago, M. Patient morbidity after impacted third molar extraction with different flap designs. A systematic review and meta-analysis. Med. Oral Patol. Oral Cir. Bucal 2020, 25, e233–e239. [Google Scholar] [CrossRef] [PubMed]
- Gay-Escoda, C.; Sánchez-Torres, A.; Borrás-Ferreres, J.; Valmaseda-Castellón, E. Third molar surgical difficulty scales: Systematic review and preoperative assessment form. Med. Oral Patol. Oral Cir. Bucal 2022, 27, E68–E76. [Google Scholar] [CrossRef] [PubMed]
- Suomalainen, A.; Venta, I.; Mattila, M.; Turtola, L.; Vehmas, T.; Peltola, J.S. Reliability of CBCT and other radiographic methods in preoperative evaluation of lower third molars. Oral Surg. Oral Med. Oral Pathol. Oral Radiol. Endod. 2010, 109, 276–284. [Google Scholar] [CrossRef] [PubMed]
- Brasil, D.M.; Nascimento, E.H.L.; Gaêta-Araujo, H.; Oliveira-Santos, C.; Almeida, S.M. Is panoramic imaging equivalent to cone-beam computed tomography for classifying impacted lower third molars? J. Oral Maxillofac. Surg. 2019, 77, 1968–1974. [Google Scholar] [CrossRef] [PubMed]
- Almpani, K.; Kolokitha, O.E. Role of third molars in orthodontics. World J. Clin. Cases 2015, 3, 132–140. [Google Scholar] [CrossRef] [PubMed]
- Estrela, C.R.A.; Bueno, M.R.; Estrela, M.R.A.; Estrela, L.R.A.; Guedes, O.A.; Azevedo, B.C.; Cintra, L.T.A.; Estrela, C. Frequency and risk factors of maxillary sinusitis of endodontic origin evaluated by a dynamic navigation and a new filter of cone-beam computed tomography. J. Endod. 2022, 48, 1263–1272. [Google Scholar] [CrossRef] [PubMed]
- Lopes, L.S.; Cardoso, L.S.; Morais, M.N.S.; Ferreira, U.M.; Paula, L.G.F.; Mariano-Júnior, W.J. Prevalência dos tipos de impacção de terceiros molares na clínica odontológica de ensino do Centro Universitário de Anápolis—UniEvangélica. Sci. InvestIG. Dent. 2019, 24, 13–22. [Google Scholar] [CrossRef]
- Gu, L.; Zhu, C.; Chen, K.; Liu, X.; Tang, Z. Anatomic study of the position of the mandibular canal and corresponding mandibular third molar on cone beam computed tomography images. Surg. Radiol. Anat. 2018, 40, 609–614. [Google Scholar] [CrossRef]
- Tassoker, M. Diversion of the mandibular canal: Is it the best predictor of inferior alveolar nerve damage during mandibular third molar surgery on panoramic radiographs? Imaging Sci. Dent. 2019, 49, 213–218. [Google Scholar] [CrossRef]
- Mendonça, L.M.; Gaêta-Araujo, H.; Cruvinel, P.B.; Tosin, I.W.; Azenha, M.R.; Ferraz, E.P.; Oliveira-Santos, C.; Tirapelli, C. Can diagnostic changes caused by cone beam computed tomography alter the clinical decision in impacted lower third molar treatment plan? Dentomaxillofac. Radiol. 2021, 50, 20200412. [Google Scholar] [CrossRef]
- Nitzan, D.; Keren, T.; Marmary, Y. Does an impacted tooth cause root resorption of the adjacent one? Oral Surg. Oral Med. Oral Pathol. 1981, 51, 221. [Google Scholar] [CrossRef] [PubMed]
- Akarslan, Z.Z.; Kocabay, C. Assessment of the associated symptoms, pathologies, positions, and angulations of bilateral occurring mandibular third molars: Is there any similarity? Oral Surg. Oral Med. Oral Pathol. Oral Radiol. Endod. 2009, 108, e26–e32. [Google Scholar] [CrossRef] [PubMed]
- Oenning, A.C.; Melo, S.L.; Groppo, F.C.; Haiter-Neto, F. Mesial inclination of impacted third molars and its propensity to stimulate external root resorption in second molars--a cone-beam computed tomographic evaluation. J. Oral Maxillofac. Surg. 2015, 73, 379–386. [Google Scholar] [CrossRef] [PubMed]
- Li, D.; Tao, Y.; Cui, M.; Zhang, W.; Zhang, X.; Hu, X. External root resorption in maxillary and mandibular second molars associated with impacted third molars: A cone-beam computed tomographic study. Clin. Oral Investig. 2019, 23, 4195–4203. [Google Scholar] [CrossRef]



| Winter’s Classification | N | % |
|---|---|---|
| Mesioangular | 149 | 48.06 |
| Vertical | 86 | 27.74 |
| Distoangular | 64 | 20.64 |
| Horizontal | 6 | 1.93 |
| Vestibuloversion | 5 | 1.61 |
| Inverted | 0 | 0 |
| Linguoversion | 0 | 0 |
| Pell and Gregory Classification | N | % |
|---|---|---|
| Position A | 42 | 13.54 |
| Position B | 134 | 43.22 |
| Position C | 134 | 43.22 |
| Pell and Gregory’s Classification | N | % |
|---|---|---|
| Class I | 17 | 5.48 |
| Class II | 168 | 54.2 |
| Class III | 125 | 40.32 |
| Anatomical Relationship | N | % |
|---|---|---|
| Superposition | 71 | 22.9 |
| Apical contact | 23 | 7.4 |
| No contact | 216 | 69.7 |
| Relation | Class | Position | p-Value | ||
|---|---|---|---|---|---|
| A N (%) | B N (%) | C N (%) | |||
| Superposition | Class I | 0 | 1 (0.32) | 3 (0.96) | ˂0.001 |
| Class II | 4 (1.29) | 25 (8;06) | 8 (2.58) | ||
| Class III | 0 | 5 (1.61) | 25 (8.06) | ||
| Apical contact | Class I | 0 | 0 | 0 | 0.63 |
| Class II | 0 | 7 (2.25) | 3 (0.96) | ||
| Class III | 0 | 4 (1.29) | 9 (2.90) | ||
| No contact | Class I | 1 (0.32) | 4 (1.29) | 8 (2.58) | ˂0.001 |
| Class II | 37 (11.93) | 67 (21.6) | 17 (5.48) | ||
| Class III | 0 | 21 (6.77) | 61 (19.67) | ||
| Relation | Position | |||||
|---|---|---|---|---|---|---|
| Vertical | Horizontal | Mesioangular | Distoangular | Vestibuloversion | p-Value | |
| Superposition | 28 | 1 | 33 | 8 | 1 | 0.002 |
| Apical contact | 3 | 4 | 15 | 1 | 0 | |
| No contact | 55 | 1 | 101 | 55 | 4 | |
Disclaimer/Publisher’s Note: The statements, opinions and data contained in all publications are solely those of the individual author(s) and contributor(s) and not of MDPI and/or the editor(s). MDPI and/or the editor(s) disclaim responsibility for any injury to people or property resulting from any ideas, methods, instructions or products referred to in the content. |
© 2024 by the authors. Licensee MDPI, Basel, Switzerland. This article is an open access article distributed under the terms and conditions of the Creative Commons Attribution (CC BY) license (https://creativecommons.org/licenses/by/4.0/).
Share and Cite
Lima, D.M.d.; Estrela, C.R.d.A.; Bernardes, C.M.R.; Estrela, L.R.d.A.; Bueno, M.R.; Estrela, C. Spatial Position and Anatomical Characteristics Associated with Impacted Third Molars Using a Map-Reading Strategy on Cone-Beam Computed Tomography Scans: A Retrospective Analysis. Diagnostics 2024, 14, 260. https://doi.org/10.3390/diagnostics14030260
Lima DMd, Estrela CRdA, Bernardes CMR, Estrela LRdA, Bueno MR, Estrela C. Spatial Position and Anatomical Characteristics Associated with Impacted Third Molars Using a Map-Reading Strategy on Cone-Beam Computed Tomography Scans: A Retrospective Analysis. Diagnostics. 2024; 14(3):260. https://doi.org/10.3390/diagnostics14030260
Chicago/Turabian StyleLima, Djalma Maciel de, Cyntia Rodrigues de Araújo Estrela, Cristiane Martins Rodrigues Bernardes, Lucas Rodrigues de Araújo Estrela, Mike Reis Bueno, and Carlos Estrela. 2024. "Spatial Position and Anatomical Characteristics Associated with Impacted Third Molars Using a Map-Reading Strategy on Cone-Beam Computed Tomography Scans: A Retrospective Analysis" Diagnostics 14, no. 3: 260. https://doi.org/10.3390/diagnostics14030260
APA StyleLima, D. M. d., Estrela, C. R. d. A., Bernardes, C. M. R., Estrela, L. R. d. A., Bueno, M. R., & Estrela, C. (2024). Spatial Position and Anatomical Characteristics Associated with Impacted Third Molars Using a Map-Reading Strategy on Cone-Beam Computed Tomography Scans: A Retrospective Analysis. Diagnostics, 14(3), 260. https://doi.org/10.3390/diagnostics14030260

