Artificial Intelligence in Transcatheter Aortic Valve Replacement: Its Current Role and Ongoing Challenges
Abstract
1. Introduction
- Making a diagnosis of severe aortic stenosis
- Patient selection
- Procedural planning and execution
- Predicting post-procedural morbidity and mortality
2. Diagnosis of Severe Aortic Stenosis
3. Patient Selection
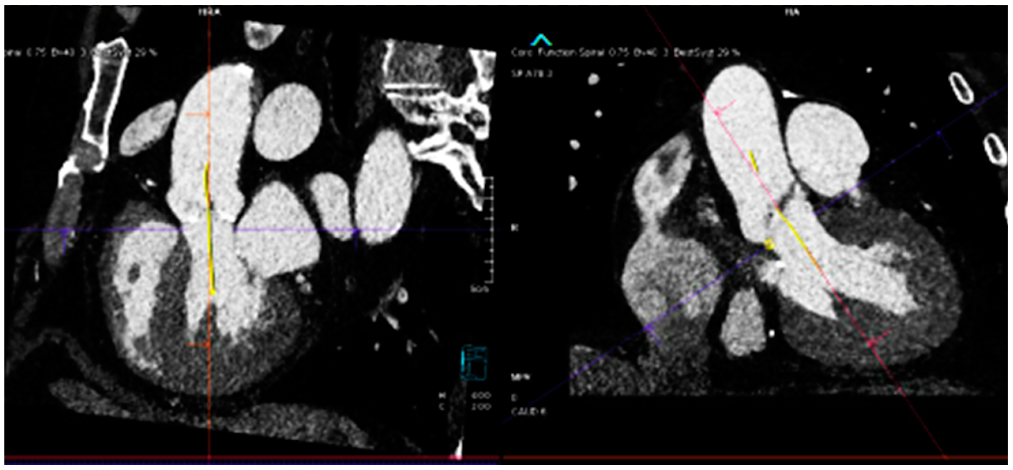
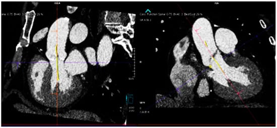
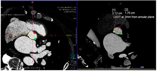
4. Pre-Procedural Planning
5. Predicting Mortality Risk
6. Predicting Specific Outcomes
| Reference | Study Cases | Comparison | Outcome | ML Model | Main Results |
|---|---|---|---|---|---|
| Diagnosing severe AS | |||||
| Kwon [5] | 39,371 EKGs. 6453 for internal validation and 10 865 for external validation | none | More than moderate. AS confirmed by echocardiography. | DNN + CNN | AUC 0.884 (95% CI, 0.880–0.887) and 0.861 (95% CI, 0.858–0.863) for internal and external validation, respectively |
| Chang [9] | 589 CTs (412 training, 40 validation and 137 testing) | Manually measured AV calcium volume and Agatston score | Accurate grading of AS severity | modified 3D U-net CNN | Agatston score accuracy of grading = 92.9%. AUC = 0.933 (95% CI 0.885–0.981), outperformed radiologist readers. |
| Patient selection | |||||
| Hasimbegovic [13] | 532 patients from VICTORY Registry | Heart team decision | SAVR versus TAVR | ML-based 3-layer model | AUC 0.91 (90% accuracy, 92% sensitivity and 90% specificity) |
| Pre-procedural planning | |||||
| Santaló-Corcoy [20] | 200 CTs (35 for training, and 17 for testing) | Manual CT measurement by an expert cardiologist using 3Mensio. | Correlation between manual and automated measurements | DL algorithms (MeshDeformNet) for landmark detection followed by segmentation | mean absolute relative error was within 5% for most measurements, except for coronary height (11.6% and 16.5%). |
| Theriault-Lauzier [21] | 94 CTs of severe AS (K-fold cross-validation with K=) | Manually segmented AV annulus | Correlation between manual and automated measurements | recursive multiresolution CNN for localization of the AV annulus centroid | average out-of-plane localization error of 0.9 ± 0.8 mm for the evaluation dataset. The proposed algorithm is on par with automated methods for localization and approaches in providing an expert-level accuracy. |
| Samin [22] | 60 CTs (24 retrospectively, 36 prospectively) | fluoroscopy | accurate prediction (<5° difference) of LP | Not detailed | Automated 3D analysis of CTs accurately predicted the LP aortic annulus and the corresponding C-arm position required in 8/8, 16/17, and 10/11 in patients with mild, moderate, or severe calcifications. |
| Predicting mortality risk | |||||
| Abdul Ghaffar [37] | 354 TAVR cases divided into 2 cohorts | STS score | In-hospital and 30-day CV and all-cause mortality | TDA and a cloud-based supervised AutoML platform (OptiML) | The patient similarity network identified five patient phenogroups with substantial variations in clinical comorbidities and in-hospital and 30-day outcomes. Group 5 was associated with higher rates of 30-day CV mortality (OR 18, 95% CI 3–94), and 30-day all-cause mortality (OR 3, 95% CI 1.2–9). |
| Gomes [38] | Retrospective study of 451 TAVR cases | STS score | In-hospital and 30-day all-cause mortality; Secondary outcomes; Stroke, vascular complications; Paravalvular leak; and PPI | neural networks, support vector machines, and RF | performance of all MLmodels in predicting all-cause intrahospital mortality (AUC 0.94–0.97) was significantly higher than both the STS score (AUC 0.64), the STS/ACC TAVR score (AUC 0.65). Secondary outcomes could not be accurately predicted. |
| Agasthi [39] | 1055 TAVR cases | TAVI2-SCORE and CoreValve score. | One-year mortality | GTB | AUC for GTB vs. TAVI2-SCORE and CoreValve Score was 0.72 (95% CI 0.68–0.78) vs. 0.56 (95%CI 0.51–0.62) and 0.53 (95% CI 0.47–0.59) |
| Hernandez-Suarez [40] | NIS database (2012–2015). (development: 7615, validation: 3268). | none | In-hospital mortality | Logistic regression, artificial NN, naive Bayes, and random forest | The prediction models showed good AUC performance AUC (>0.80). The best model was obtained by logistic regression (area under the curve: 0.92; 95% confidence interval: 0.89 to 0.95). Most obtained models plateaued after 10 variables were introduced. |
| Predicting specific complications | |||||
| Judson [41] | 9360 cases from the BIOME dataset (2017–2021) | standard multivariate model | short length of stay (<36 h) and long length of stay (≥72 h) | RF | The predictive power, of both the short LOS (AUC 0.82) and long LOS (AUC 0.85) ML model, was more robust than the standard multivariate model (SLOS AUC 0.65, LLOS AUC 0.65). |
| Khan [42] | 92,363 cases from National Readmission Database (2015–2018; 70% training, 20% validation, 10% testing) | none | 30-day readmission for heart failure | “AutoScore” package, a ML-based automatic clinical score generator | AUC of TAVR-HF Score was 0.761 (95% CI 0.744–0.778) |
| Okuno [46] | 2279 TAVR patients from Swiss TAVR registry (2/3 training, 1/3 test) | none | 30-day Cerebrovascular events | ANN | The constructed model uses less than 107 clinical and imaging variables, and has AUC of 0.79 (0.65–0.93). |
| Truong [49] | 557 cases-single center (75% training, 25% test) | logistic regression | Permanent pacemaker implantation (PPI) | RF | The RF model performed better than logistic regression model in predicting PPI risk (AUC: 0.81 vs. 0.69). |
| Navarese [51] | 5185 cases from RISPEVA, validated in 5043 cases from the prospective POL-TAVI | PARIS and HAS-BLED scores | Major and minor bleeding within 30 days and 1 year | ML and univariate analyses were used for variable selection | The Optimism bootstrap-corrected AUC was 0.79 (95% CI: 0.75–0.83). Compared with PARIS and HAS-BLED, PREDICT-TAVR showed superior net benefit and improved predictive performance for all bleeding risk thresholds >2.5% |
| Jia [52] | 668 cases-single center | Traditional Cox-PH and RF | Major or life-threatening bleeding | CNN | The BLeNet model outperformed the Cox-PH and RSF models [optimism-corrected c-index of BLeNet vs. Cox-PH vs. RSF: 0.81 (95% CI: 0.79–0.92) vs. 0.72 (95% CI: 0.63–0.77) vs. 0.70 (95% CI: 0.61–0.74)] |
| Lopes [58] | 1478 cases-single center (70% training, 30% testing) | traditional logistic regression | One year mortality and improvement in dyspnea | SVM, RFC, MLP, and GTB | The RF classifier achieved the highest AUC (0.70) for predicting mortality. Logistic regression had the highest AUC (0.56) in predicting the improvement of dyspnea. |
7. Limitations, Challenges and Future Directions
Funding
Conflicts of Interest
References
- Makkar, R.R.; Thourani, V.H.; Mack, M.J.; Kodali, S.K.; Kapadia, S.; Webb, J.G.; Yoon, S.-H.; Trento, A.; Svensson, L.G.; Herrmann, H.C.; et al. Five-Year Outcomes of Transcatheter or Surgical Aortic-Valve Replacement. N. Engl. J. Med. 2020, 382, 799–809. [Google Scholar] [CrossRef]
- Mack, M.J.; Leon, M.B.; Thourani, V.H.; Makkar, R.; Kodali, S.K.; Russo, M.; Kapadia, S.R.; Malaisrie, S.C.; Cohen, D.J.; Pibarot, P.; et al. Transcatheter Aortic-Valve Replacement with a Balloon-Expandable Valve in Low-Risk Patients. N. Engl. J. Med. 2019, 380, 1695–1705. [Google Scholar] [CrossRef]
- Nguyen, V.; Willner, N.; Eltchaninoff, H.; Burwash, I.G.; Michel, M.; Durand, E.; Gilard, M.; Dindorf, C.; Iung, B.; Cribier, A.; et al. Trends in aortic valve replacement for aortic stenosis: A French nationwide study. Eur. Heart J. 2022, 43, 666–679. [Google Scholar] [CrossRef]
- LeCun, Y.; Bengio, Y.; Hinton, G. Deep learning. Nature 2015, 521, 436–444. [Google Scholar] [CrossRef]
- Kwon, J.M.; Lee, S.Y.; Jeon, K.H.; Lee, Y.; Kim, K.H.; Park, J.; Oh, B.H.; Lee, M.M. Deep Learning-Based Algorithm for Detecting Aortic Stenosis Using Electrocardiography. J. Am. Heart Assoc. 2020, 9, e014717. [Google Scholar] [CrossRef] [PubMed]
- Sánchez-Puente, A.; Dorado-Díaz, P.I.; Sampedro-Gómez, J.; Bermejo, J.; Martinez-Legazpi, P.; Fernández-Avilés, F.; Sánchez-González, J.; Pérez Del Villar, C.; Vicente-Palacios, V.; Sanchez, P.L. Machine Learning to Optimize the Echocardiographic Follow-Up of Aortic Stenosis. JACC Cardiovasc. Imaging 2023, 16, 733–744. [Google Scholar] [CrossRef] [PubMed]
- Evertz, R.; Lange, T.; Backhaus, S.J.; Schulz, A.; Beuthner, B.E.; Topci, R.; Toischer, K.; Puls, M.; Kowallick, J.T.; Hasenfuß, G.; et al. Artificial Intelligence Enabled Fully Automated CMR Function Quantification for Optimized Risk Stratification in Patients Undergoing Transcatheter Aortic Valve Replacement. J. Interv. Cardiol. 2022, 1368878. [Google Scholar] [CrossRef]
- Anastasiou, V.; Daios, S.; Bazmpani, M.A.; Moysidis, D.V.; Zegkos, T.; Karamitsos, T.; Ziakas, A.; Kamperidis, V. Shifting from Left Ventricular Ejection Fraction to Strain Imaging in Aortic Stenosis. Diagnostics 2023, 13, 1756. [Google Scholar] [CrossRef] [PubMed]
- Chang, S.; Kim, H.; Suh, Y.J.; Choi, D.M.; Kim, H.; Kim, D.K.; Kim, J.Y.; Yoo, J.Y.; Choi, B.W. Development of a deep learning-based algorithm for the automatic detection and quantification of aortic valve calcium. Eur. J. Radiol. 2021, 137, 109582. [Google Scholar] [CrossRef] [PubMed]
- Lessmann, N.; van Ginneken, B.; Zreik, M.; de Jong, P.A.; de Vos, B.D.; Viergever, M.A.; Isgum, I. Automatic Calcium Scoring in Low-Dose Chest CT Using Deep Neural Networks with Dilated Convolutions. IEEE Trans. Med. Imaging 2018, 37, 615–625. [Google Scholar] [CrossRef]
- Baumgartner, H.; Falk, V.; Bax, J.J.; De Bonis, M.; Hamm, C.; Holm, P.J.; Iung, B.; Lancellotti, P.; Lansac, E.; Rodriguez Muñoz, D.; et al. 2017 ESC/EACTS Guidelines for the management of valvular heart disease. Eur. Heart J. 2017, 38, 2739–2791. [Google Scholar] [CrossRef]
- Otto, C.M.; Nishimura, R.A.; Bonow, R.O.; Carabello, B.A.; Erwin, J.P., 3rd; Gentile, F.; Jneid, H.; Krieger, E.V.; Mack, M.; McLeod, C.; et al. 2020 ACC/AHA Guideline for the Management of Patients with Valvular Heart Disease: A Report of the American College of Cardiology/American Heart Association Joint Committee on Clinical Practice Guidelines. Circulation 2021, 143, e72–e227. [Google Scholar]
- Hasimbegovic, E.; Papp, L.; Grahovac, M.; Krajnc, D.; Poschner, T.; Hasan, W.; Andreas, M.; Gross, C.; Strouhal, A.; Delle-Karth, G.; et al. A Sneak-Peek into the Physician’s Brain: A Retrospective Machine Learning-Driven Investigation of Decision-Making in TAVR versus SAVR for Young High-Risk Patients with Severe Symptomatic Aortic Stenosis. J. Pers. Med. 2021, 11, 1062. [Google Scholar] [CrossRef]
- Coenen, A.; Kim, Y.H.; Kruk, M.; Tesche, C.; De Geer, J.; Kurata, A.; Lubbers, M.L.; Daemen, J.; Itu, L.; Rapaka, S. Diagnostic accuracy of a machine-learning approach to coronary computed tomographic angiography–based fractional flow reserve: Results from the MACHINE consortium. Circ. Cardiovasc. Imaging 2018, 11, e007217. [Google Scholar] [CrossRef]
- Rabbat, M.G.; Berman, D.S.; Kern, M.; Raff, G.; Chinnaiyan, K.; Koweek, L.; Shaw, L.J.; Blanke, P.; Scherer, M.; Jensen, J.M.; et al. Interpreting results of coronary computed tomography angiography-derived fractional flow reserve in clinical practice. J. Cardiovasc. Comput. Tomogr. 2017, 11, 383–388. [Google Scholar] [CrossRef]
- Rabbat, M.; Leipsic, J.; Bax, J.; Kauh, B.; Verma, R.; Doukas, D.; Allen, S.; Pontone, G.; Wilber, D.; Mathew, V.; et al. Fractional Flow Reserve Derived from Coronary Computed Tomography Angiography Safely Defers Invasive Coronary Angiography in Patients with Stable Coronary Artery Disease. J. Clin. Med. 2020, 9, 604. [Google Scholar] [CrossRef] [PubMed]
- Watanabe, Y.; Morice, M.C.; Bouvier, E.; Leong, T.; Hayashida, K.; Lefèvre, T.; Hovasse, T.; Romano, M.; Chevalier, B.; Donzeau-Gouge, P.; et al. Automated 3-dimensional aortic annular assessment by multidetector computed tomography in transcatheter aortic valve implantation. JACC Cardiovasc. Interv. 2013, 6, 955–964. [Google Scholar] [CrossRef]
- Astudillo, P.; Mortier, P.; Bosmans, J.; De Backer, O.; de Jaegere, P.; De Beule, M.; Dambre, J. Enabling Automated Device Size Selection for Transcatheter Aortic Valve Implantation. J. Interv. Cardiol. 2019, 2019, 3591314. [Google Scholar] [CrossRef] [PubMed]
- Lou, J.; Obuchowski, N.A.; Krishnaswamy, A.; Popovic, Z.; Flamm, S.D.; Kapadia, S.R.; Svensson, L.G.; Bolen, M.A.; Desai, M.Y.; Halliburton, S.S.; et al. Manual, semiautomated, and fully automated measurement of the aortic annulus for planning of transcatheter aortic valve replacement (TAVR/TAVI): Analysis of interchangeability. J. Cardiovasc. Comput. Tomogr. 2015, 9, 42–49. [Google Scholar] [CrossRef] [PubMed]
- Theriault-Lauzier, P.; Alsosaimi, H.; Mousavi, N.; Buithieu, J.; Spaziano, M.; Martucci, G.; Brophy, J.; Piazza, N. Recursive multiresolution convolutional neural networks for 3D aortic valve annulus planimetry. Int. J. Comput. Assist. Radiol. Surg. 2020, 15, 577–588. [Google Scholar] [CrossRef] [PubMed]
- Santaló-Corcoy, M.; Corbin, D.; Tastet, O.; Lesage, F.; Modine, T.; Asgar, A.; Ben Ali, W. TAVI-PREP: A Deep Learning-Based Tool for Automated Measurements Extraction in TAVI Planning. Diagnostics 2023, 13, 3181. [Google Scholar] [CrossRef]
- Samin, M.; Juthier, F.; Van Belle, C.; Agostoni, P.; Kluin, J.; Stella, P.R.; Ramjankhan, F.; Budde, R.P.; Sieswerda, G.; Algeri, E.; et al. Automated 3D analysis of multislice computed tomography to define the line of perpendicularity of the aortic annulus and of the implanted valve: Benefit on planning transcatheter aortic valve replacement. Catheter. Cardiovasc. Interv. 2014, 83, E119–E127. [Google Scholar] [CrossRef]
- Zakerzadeh, R.; Hsu, M.C.; Sacks, M.S. Computational methods for the aortic heart valve and its replacements. Expert Rev. Med. Devices 2017, 14, 849–866. [Google Scholar] [CrossRef]
- Wu, M.C.H.; Muchowski, H.M.; Johnson, E.L.; Rajanna, M.R.; Hsu, M.C. Immersogeometric fluid-structure interaction modeling and simulation of transcatheter aortic valve replacement. Comput. Methods Appl. Mech. Eng. 2019, 357, 112556. [Google Scholar] [CrossRef] [PubMed]
- Kandail, H.S.; Trivedi, S.D.; Shaikh, A.C.; Bajwa, T.K.; O’Hair, D.P.; Jahangir, A.; LaDisa, J.F., Jr. Impact of annular and supra-annular CoreValve deployment locations on aortic and coronary artery hemodynamics. J. Mech. Behav. Biomed. Mater. 2018, 86, 131–142. [Google Scholar] [CrossRef] [PubMed]
- Ghosh, R.P.; Marom, G.; Bianchi, M.; D’souza, K.; Zietak, W.; Bluestein, D. Numerical evaluation of transcatheter aortic valve performance during heart beating and its post-deployment fluid-structure interaction analysis. Biomech. Model. Mechanobiol. 2020, 19, 1725–1740. [Google Scholar] [CrossRef] [PubMed]
- Liang, L.; Liu, M.; Martin, C.; Sun, W. A deep learning approach to estimate stress distribution: A fast and accurate surrogate of finite-element analysis. J. R. Soc. Interface 2018, 15, 20170844. [Google Scholar] [CrossRef] [PubMed]
- Liang, L.; Mao, W.; Sun, W. A feasibility study of deep learning for predicting hemodynamics of human thoracic aorta. J. Biomech. 2020, 99, 109544. [Google Scholar] [CrossRef]
- Balu, A.; Nallagonda, S.; Xu, F.; Krishnamurthy, A.; Hsu, M.C.; Sarkar, S. A Deep Learning Framework for Design and Analysis of Surgical Bioprosthetic Heart Valves. Sci. Rep. 2019, 9, 18560. [Google Scholar] [CrossRef] [PubMed]
- Oldenburg, J.; Renkewitz, J.; Stiehm, M.; Schmitz, K.P. Contributions towards data driven Deep Learning methods to predict steady state fluid flow in mechanical heart valves. Curr. Dir. Biomed. Eng. 2021, 7, 625–628. [Google Scholar] [CrossRef]
- Nashef, S.A.; Roques, F.; Michel, P.; Gauducheau, E.; Lemeshow, S.; Salamon, R. European system for cardiac operative risk evaluation (EuroSCORE). Eur. J. Cardiothorac. Surg. 1999, 16, 9–13. [Google Scholar] [CrossRef]
- O’Brien, S.M.; Shahian, D.M.; Filardo, G.; Ferraris, V.A.; Haan, C.K.; Rich, J.B.; Normand, S.L.; DeLong, E.R.; Shewan, C.M.; Dokholyan, R.S.; et al. The Society of Thoracic Surgeons 2008 cardiac surgery risk models: Part 2—Isolated valve surgery. Ann. Thorac. Surg. 2009, 88, S23–S42. [Google Scholar] [CrossRef]
- Pilgrim, T.; Franzone, A.; Stortecky, S.; Nietlispach, F.; Haynes, A.G.; Tueller, D.; Toggweiler, S.; Muller, O.; Ferrari, E.; Noble, S.; et al. Predicting Mortality after Transcatheter Aortic Valve Replacement: External Validation of the Transcatheter Valve Therapy Registry Model. Circ. Cardiovasc. Interv. 2017, 10, e005481. [Google Scholar] [CrossRef]
- Debonnaire, P.; Fusini, L.; Wolterbeek, R.; Kamperidis, V.; van Rosendael, P.; van der Kley, F.; Katsanos, S.; Joyce, E.; Tamborini, G.; Muratori, M.; et al. Value of the “TAVI2-SCORe” versus surgical risk scores for prediction of one year mortality in 511 patients who underwent transcatheter aortic valve implantation. Am. J. Cardiol. 2015, 115, 234–242. [Google Scholar] [CrossRef] [PubMed]
- Hermiller, J.B., Jr.; Yakubov, S.J.; Reardon, M.J.; Deeb, G.M.; Adams, D.H.; Afilalo, J.; Huang, J.; Popma, J.J.; CoreValve United States Clinical Investigators. Predicting Early and Late Mortality after Transcatheter Aortic Valve Replacement. J. Am. Coll. Cardiol. 2016, 68, 343–352. [Google Scholar] [CrossRef] [PubMed]
- Lantelme, P.; Eltchaninoff, H.; Rabilloud, M.; Souteyrand, G.; Dupré, M.; Spaziano, M.; Bonnet, M.; Becle, C.; Riche, B.; Durand, E.; et al. Development of a Risk Score Based on Aortic Calcification to Predict 1-Year Mortality after Transcatheter Aortic Valve Replacement. JACC Cardiovasc. Imaging 2019, 12, 123–132. [Google Scholar] [CrossRef] [PubMed]
- Abdul Ghffar, Y.; Osman, M.; Shrestha, S.; Shaukat, F.; Kagiyama, N.; Alkhouli, M.; Raybuck, B.; Badhwar, V.; Sengupta, P.P. Usefulness of Semisupervised Machine-Learning-Based Phenogrouping to Improve Risk Assessment for Patients Undergoing Transcatheter Aortic Valve Implantation. Am. J. Cardiol. 2020, 136, 122–130. [Google Scholar] [CrossRef]
- Gomes, B.; Pilz, M.; Reich, C.; Leuschner, F.; Konstandin, M.; Katus, H.A.; Meder, B. Machine learning-based risk prediction of intrahospital clinical outcomes in patients undergoing TAVI. Clin. Res. Cardiol. 2021, 110, 343–356. [Google Scholar] [CrossRef]
- Agasthi, P.; Ashraf, H.; Pujari, S.H.; Girardo, M.E.; Tseng, A.; Mookadam, F.; Venepally, N.R.; Buras, M.; Khetarpal, B.K.; Allam, M.; et al. Artificial Intelligence Trumps TAVI2-SCORE and CoreValve Score in Predicting 1-Year Mortality Post-Transcatheter Aortic Valve Replacement. Cardiovasc. Revascularization Med. 2021, 24, 33–41. [Google Scholar] [CrossRef]
- Hernandez-Suarez, D.F.; Kim, Y.; Villablanca, P.; Gupta, T.; Wiley, J.; Nieves-Rodriguez, B.G.; Rodriguez-Maldonado, J.; Feliu Maldonado, R.; da Luz Sant’Ana, I.; Sanina, C.; et al. Machine Learning Prediction Models for In-Hospital Mortality after Transcatheter Aortic Valve Replacement. JACC Cardiovasc. Interv. 2019, 12, 1328–1338. [Google Scholar] [CrossRef]
- Judson, G.; Luck, J.; Lawrence, S.; Khaki, R.; Agrawal, H.; Vineet Soni, K.; Nguyen, T.C.; Tolstrup, K.; Mahadevan, V.S. Predictors of Short Versus Long Length of Stay Among Transcatheter Aortic Valve Replacement Patients Using a Novel Machine Learning Algorithm. J. Am. Coll. Cardiol. 2023, 81 (Suppl. S8), 2194. [Google Scholar] [CrossRef]
- Khan, M.; Zahid, S.; Ullah, W.; Balla, S. Development and Validation of a Machine Learning Risk-Prediction Model for 30 Day Readmission for Heart Failure Following Transcatheter Aortic Valve Replacement (TAVR-HF SCORE). J. Am. Coll. Cardiol. 2023, 81 (Suppl. S8), 825. [Google Scholar] [CrossRef]
- Bailoor, S.; Seo, J.H.; Dasi, L.; Schena, S.; Mittal, R. Prosthetic Valve Monitoring via In Situ Pressure Sensors: Machine Learning for Prospective Detection of Individual Leaflet Dysfunction. JACC Cardiovasc. Interv. 2023, 16, 1072–1075. [Google Scholar]
- Grabert, S.; Lange, R.; Bleiziffer, S. Incidence and causes of silent and symptomatic stroke following surgical and transcatheter aortic valve replacement: A comprehensive review. Interact. Cardiovasc. Thorac. Surg. 2016, 23, 469–476. [Google Scholar] [CrossRef]
- Holmes DRJr Nishimura, R.A.; Grover, F.L.; Brindis, R.G.; Carroll, J.D.; Edwards, F.H.; Peterson, E.D.; Rumsfeld, J.S.; Shahian, D.M.; Thourani, V.H.; Tuzcu, E.M.; et al. Annual Outcomes with Transcatheter Valve Therapy: From the STS/ACC TVT Registry. Ann. Thorac. Surg. 2016, 101, 789–800. [Google Scholar] [CrossRef]
- Okuno, T.; Overtchouk, P.; Asami, M.; Tomii, D.; Stortecky, S.; Praz, F.; Lanz, J.; Siontis, G.C.M.; Gräni, C.; Windecker, S.; et al. Deep learning-based prediction of early cerebrovascular events after transcatheter aortic valve replacement. Sci. Rep. 2021, 11, 18754. [Google Scholar] [CrossRef]
- Baig, A.; Manion, C.; Khawar, W.; Donnelly, B.; Monteiro, A.; Lyer, V.; Levy, E.; Siddiqui, A.H. 554 Cerebral Emboli Detection Using Robotic Transcranial Doppler with Artificial Intelligence During Transcatheter Aortic Valve Replacement—A Novel and Autonomous Neuromonitoring Tool. Neurosurgery 2023, 69 (Suppl. S1), 121–122. [Google Scholar] [CrossRef]
- Mahajan, S.; Gupta, R.; Malik, A.H.; Mahajan, P.; Aedma, S.K.; Aronow, W.S.; Mehta, S.S.; Lakkireddy, D.R. Predictors of permanent pacemaker insertion after TAVR: A systematic review and updated meta-analysis. J. Cardiovasc. Electrophysiol. 2021, 32, 1411–1420. [Google Scholar] [CrossRef]
- Truong, V.T.; Beyerbach, D.; Mazur, W.; Wigle, M.; Bateman, E.; Pallerla, A.; Ngo, T.N.M.; Shreenivas, S.; Tretter, J.T.; Palmer, C.; et al. Machine learning method for predicting pacemaker implantation following transcatheter aortic valve replacement. Pacing Clin. Electrophysiol. 2021, 44, 334–340. [Google Scholar] [CrossRef]
- Avvedimento, M.; Nuche, J.; Farjat-Pasos, J.I.; Rodés-Cabau, J. Bleeding Events after Transcatheter Aortic Valve Replacement: JACC State-of-the-Art Review. J. Am. Coll. Cardiol. 2023, 81, 684–702. [Google Scholar] [CrossRef]
- Navarese, E.P.; Zhang, Z.; Kubica, J.; Andreotti, F.; Farinaccio, A.; Bartorelli, A.L.; Bedogni, F.; Rupji, M.; Tomai, F.; Giordano, A.; et al. Development and Validation of a Practical Model to Identify Patients at Risk of Bleeding after TAVR. JACC Cardiovasc. Interv. 2021, 14, 1196–1206. [Google Scholar] [CrossRef]
- Jia, Y.; Luosang, G.; Li, Y.; Wang, J.; Li, P.; Xiong, T.; Li, Y.; Liao, Y.; Zhao, Z.; Peng, Y.; et al. Deep Learning in Prediction of Late Major Bleeding after Transcatheter Aortic Valve Replacement. Clin. Epidemiol. 2022, 14, 9–20. [Google Scholar] [CrossRef]
- Asheghan, M.M.; Javadikasgari, H.; Attary, T.; Rouhollahi, A.; Straughan, R.; Willi, J.N.; Awal, R.; Sabe, A.; de la Cruz, K.I.; Nezami, F.R. Predicting one-year left ventricular mass index regression following transcatheter aortic valve replacement in patients with severe aortic stenosis: A new era is coming. Front. Cardiovasc. Med. 2023, 10, 1130152. [Google Scholar] [CrossRef]
- Crouch, G.; Tully, P.J.; Bennetts, J.; Sinhal, A.; Bradbrook, C.; Penhall, A.L.; De Pasquale, C.G.; Baker, R.A.; Selvanayagam, J.B. Quantitative assessment of paravalvular regurgitation following transcatheter aortic valve replacement. J. Cardiovasc. Magn. Reson. 2015, 17, 32. [Google Scholar] [CrossRef]
- Ribeiro, H.B.; Larose, É.; de la Paz Ricapito, M.; Le Ven, F.; Nombela-Franco, L.; Urena, M.; Allende, R.; Amat-Santos, I.; Dahou, A.; Capoulade, R.; et al. Myocardial injury following transcatheter aortic valve implantation: Insights from delayed-enhancement cardiovascular magnetic resonance. EuroIntervention 2015, 11, 205–213. [Google Scholar] [CrossRef]
- Buckert, D.; Tibi, R.; Cieslik, M.; Radermacher, M.; Qu, Y.Y.; Rasche, V.; Bernhardt, P.; Hombach, V.; Rottbauer, W.; Wöhrle, J. Myocardial strain characteristics and outcomes after transcatheter aortic valve replacement. Cardiol. J. 2018, 25, 203–212. [Google Scholar] [CrossRef]
- Meyer, C.G.; Frick, M.; Lotfi, S.; Altiok, E.; Koos, R.; Kirschfink, A.; Lehrke, M.; Autschbach, R.; Hoffmann, R. Regional left ventricular function after transapical vs. transfemoral transcatheter aortic valve implantation analysed by cardiac magnetic resonance feature tracking. Eur. Heart J. Cardiovasc. Imaging 2014, 15, 1168–1176. [Google Scholar] [CrossRef]
- Lopes, R.R.; van Mourik, M.S.; Schaft, E.V.; Ramos, L.A.; Baan, J., Jr.; Vendrik, J.; de Mol, B.A.J.M.; Vis, M.M.; Marquering, H.A. Value of machine learning in predicting TAVI outcomes. Neth. Heart J. 2019, 27, 443–450. [Google Scholar] [CrossRef]
- Mathur, P.; Srivastava, S.; Xu, X.; Mehta, J.L. Artificial Intelligence, Machine Learning, and Cardiovascular Disease. Clin. Med. Insights Cardiol. 2020, 14, 1179546820927404. [Google Scholar] [CrossRef]
- Berner, E.S.; Webster, G.D.; Shugerman, A.A.; Jackson, J.R.; Algina, J.; Baker, A.L.; Ball, E.V.; Cobbs, C.G.; Dennis, V.W.; Frenkel, E.P.; et al. Performance of four computer-based diagnostic systems. N. Engl. J. Med. 1994, 330, 1792–1796. [Google Scholar] [CrossRef]
- Szolovits, P.; Patil, R.S.; Schwartz, W.B. Artificial intelligence in medical diagnosis. Ann. Intern. Med. 1988, 108, 80–87. [Google Scholar] [CrossRef] [PubMed]
- Davenport, T.; Kalakota, R. The potential for artificial intelligence in healthcare. Future Healthc. J. 2019, 6, 94–98. [Google Scholar] [CrossRef] [PubMed]
- Tat, E.; Bhatt, D.L.; Rabbat, M.G. Addressing bias: Artificial intelligence in cardiovascular medicine. Lancet Digit. Health 2020, 2, e635–e636. [Google Scholar] [CrossRef] [PubMed]



Disclaimer/Publisher’s Note: The statements, opinions and data contained in all publications are solely those of the individual author(s) and contributor(s) and not of MDPI and/or the editor(s). MDPI and/or the editor(s) disclaim responsibility for any injury to people or property resulting from any ideas, methods, instructions or products referred to in the content. |
© 2024 by the authors. Licensee MDPI, Basel, Switzerland. This article is an open access article distributed under the terms and conditions of the Creative Commons Attribution (CC BY) license (https://creativecommons.org/licenses/by/4.0/).
Share and Cite
Benjamin, M.M.; Rabbat, M.G. Artificial Intelligence in Transcatheter Aortic Valve Replacement: Its Current Role and Ongoing Challenges. Diagnostics 2024, 14, 261. https://doi.org/10.3390/diagnostics14030261
Benjamin MM, Rabbat MG. Artificial Intelligence in Transcatheter Aortic Valve Replacement: Its Current Role and Ongoing Challenges. Diagnostics. 2024; 14(3):261. https://doi.org/10.3390/diagnostics14030261
Chicago/Turabian StyleBenjamin, Mina M., and Mark G. Rabbat. 2024. "Artificial Intelligence in Transcatheter Aortic Valve Replacement: Its Current Role and Ongoing Challenges" Diagnostics 14, no. 3: 261. https://doi.org/10.3390/diagnostics14030261
APA StyleBenjamin, M. M., & Rabbat, M. G. (2024). Artificial Intelligence in Transcatheter Aortic Valve Replacement: Its Current Role and Ongoing Challenges. Diagnostics, 14(3), 261. https://doi.org/10.3390/diagnostics14030261

