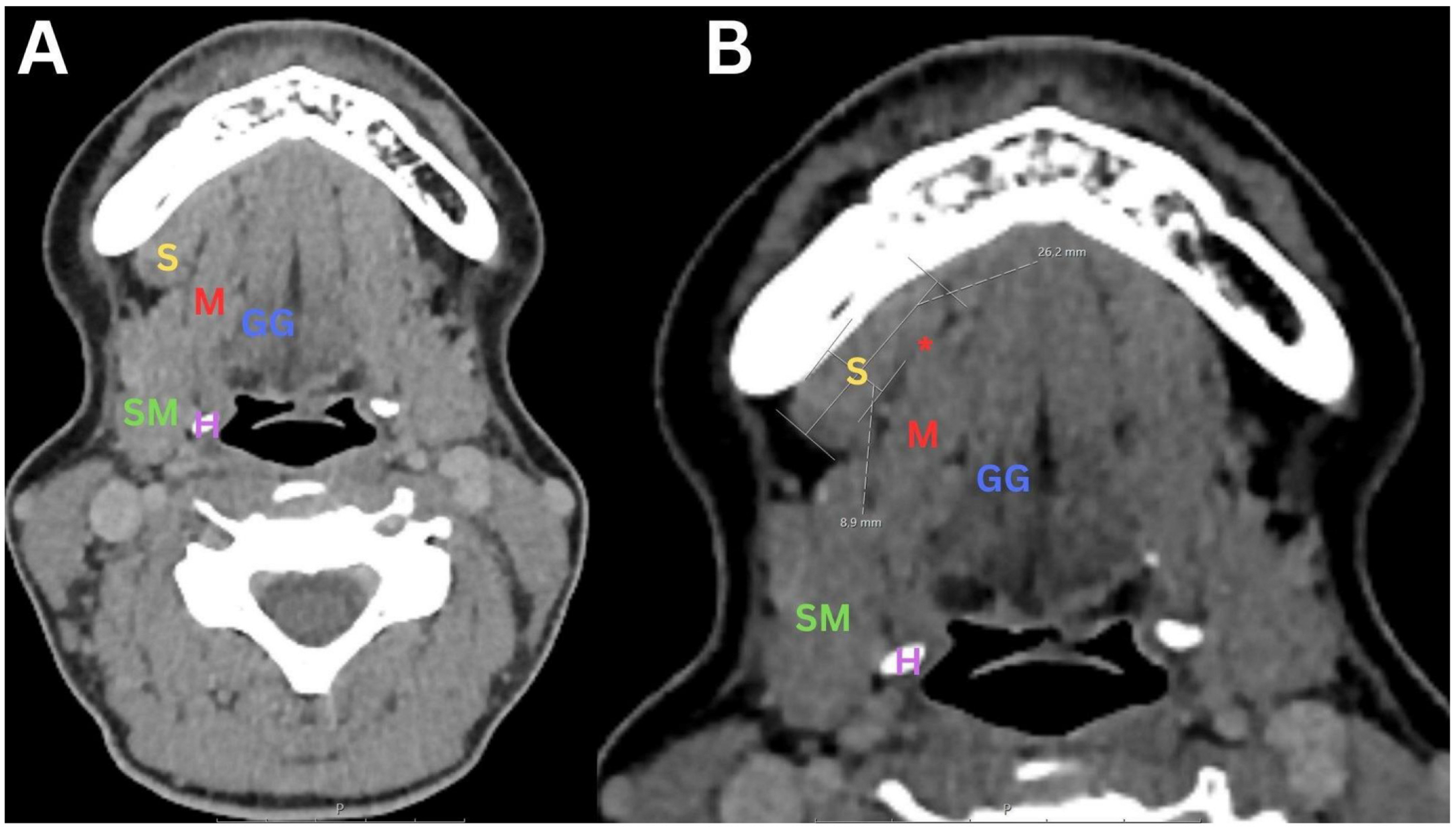
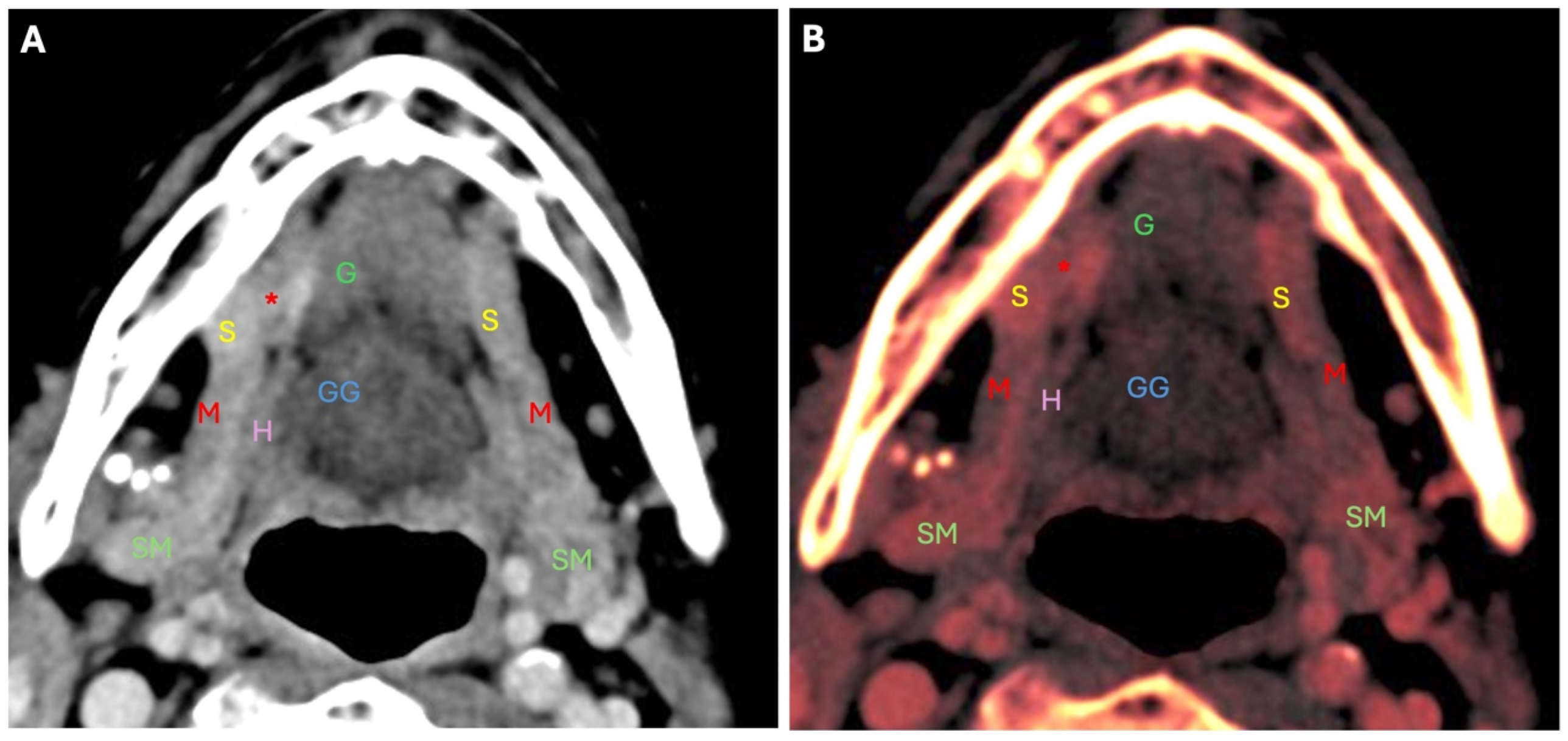
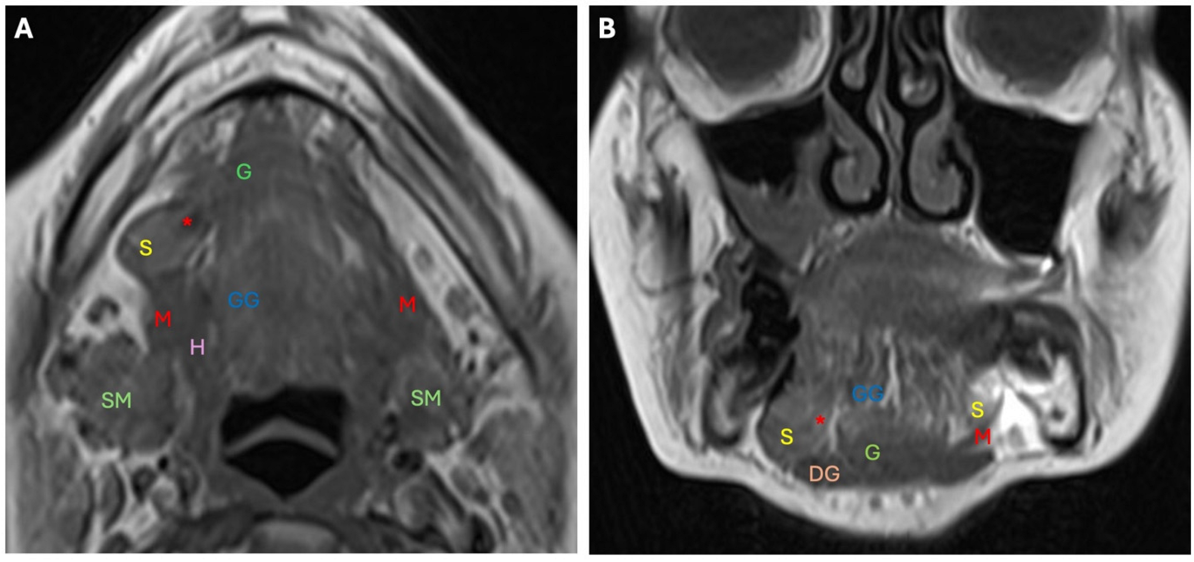
Misleading Imaging Findings: Bilateral Mylohyoid Defect Presenting as a Submandibular Mass Due to Sublingual Gland Protrusion
Abstract







Author Contributions
Funding
Institutional Review Board Statement
Informed Consent Statement
Conflicts of Interest
References
- Haktanir, A. CT and MR findings of bilateral submandibular gland aplasia associated with hypertrophied symmetrical sublingual glands herniated through mylohyoid defects. Dentomaxillofac. Radiol. 2012, 41, 79. [Google Scholar] [CrossRef] [PubMed]
- Thimmappa, S.B.; Suman, A.; Dixit, R.; Garg, A. Bilateral submandibular gland aplasia: An unusual cause of sublingual swelling—The role of imaging in patient management. Indian J. Radiol. Imaging 2021, 31, 1043. [Google Scholar] [CrossRef] [PubMed]
- Kiesler, K.; Gugatschka, M.; Friedrich, G. Incidence and clinical relevance of herniation of the mylohyoid muscle with penetration of the sublingual gland. Eur. Arch. Oto-Rhino-Laryngol. 2007, 264, 1071–1074. [Google Scholar] [CrossRef] [PubMed]
- de Araujo, M.R.; Centurion, B.S.; de Albuquerque, D.F.; Marchesano, L.H.; Damante, J.H. Management of a parotid sialocele in a young patient: Case report and literature review. J. Appl. Oral Sci. 2010, 18, 432. [Google Scholar] [CrossRef] [PubMed]
- Miyasaka, Y.; Hiyama, T.; Kuno, H.; Shinozaki, T.; Tomioka, T.; Sakashita, S.; Kobayashi, T. Imaging of salivary gland cancers derived from a sublingual gland herniated into the submandibular space: A report of three cases. Neuroradiology 2024, 66, 931–935. [Google Scholar] [CrossRef] [PubMed]
Disclaimer/Publisher’s Note: The statements, opinions and data contained in all publications are solely those of the individual author(s) and contributor(s) and not of MDPI and/or the editor(s). MDPI and/or the editor(s) disclaim responsibility for any injury to people or property resulting from any ideas, methods, instructions or products referred to in the content. |
© 2024 by the authors. Licensee MDPI, Basel, Switzerland. This article is an open access article distributed under the terms and conditions of the Creative Commons Attribution (CC BY) license (https://creativecommons.org/licenses/by/4.0/).
Share and Cite
Grabovska, D.; Li, J.; Radziņa, M.; Balodis, A. Misleading Imaging Findings: Bilateral Mylohyoid Defect Presenting as a Submandibular Mass Due to Sublingual Gland Protrusion. Diagnostics 2024, 14, 2833. https://doi.org/10.3390/diagnostics14242833
Grabovska D, Li J, Radziņa M, Balodis A. Misleading Imaging Findings: Bilateral Mylohyoid Defect Presenting as a Submandibular Mass Due to Sublingual Gland Protrusion. Diagnostics. 2024; 14(24):2833. https://doi.org/10.3390/diagnostics14242833
Chicago/Turabian StyleGrabovska, Dagnija, Junsiyuan Li, Maija Radziņa, and Arturs Balodis. 2024. "Misleading Imaging Findings: Bilateral Mylohyoid Defect Presenting as a Submandibular Mass Due to Sublingual Gland Protrusion" Diagnostics 14, no. 24: 2833. https://doi.org/10.3390/diagnostics14242833
APA StyleGrabovska, D., Li, J., Radziņa, M., & Balodis, A. (2024). Misleading Imaging Findings: Bilateral Mylohyoid Defect Presenting as a Submandibular Mass Due to Sublingual Gland Protrusion. Diagnostics, 14(24), 2833. https://doi.org/10.3390/diagnostics14242833

