Postoperative Imaging of Bone and Soft Tissue Tumors in the Extremity: A Comprehensive Review
Abstract
1. Introduction
2. Surgical Procedures According to the Biological Behavior of the Tumor
- Intralesional excision: This procedure involves removing only a portion of the tumor, leaving behind the pseudocapsule and macroscopic tumor tissue. It is typically used for diagnostic purposes or for the subtotal removal of a tumor.
- Marginal excision: In this procedure, the dissection plane passes through the pseudocapsule of the tumor, meaning the surgeon removes the tumor at its gross edge but may leave behind microscopic disease. This approach is suitable for general benign tumors or locally invasive benign tumors, such as the giant cell tumor of bone (GCTB), especially when combined with adjuvant therapy. However, it is not appropriate for malignant tumors due to the risk of residual tissue.
- Wide excision: This is the preferred approach for malignant tumors. It involves removing the entire tumor, its pseudocapsule, and a surrounding margin of normal tissue in all directions to minimize the risk of leaving behind tumor cells. The ideal width of the margin is debated among experts, as it can depend on the type and location of the tumor. The goal is to achieve clear margins while balancing the extent of normal tissue resected with the need to preserve function.
- Radical excision: This more extensive procedure entails removing the tumor and the entire anatomical compartment in which it is located. For example, if a tumor is in a muscle compartment, the entire muscle group may be excised. Radical excision is typically reserved for aggressive or advanced tumors where complete anatomical clearance is necessary.
3. Expected Postoperative Imaging Findings
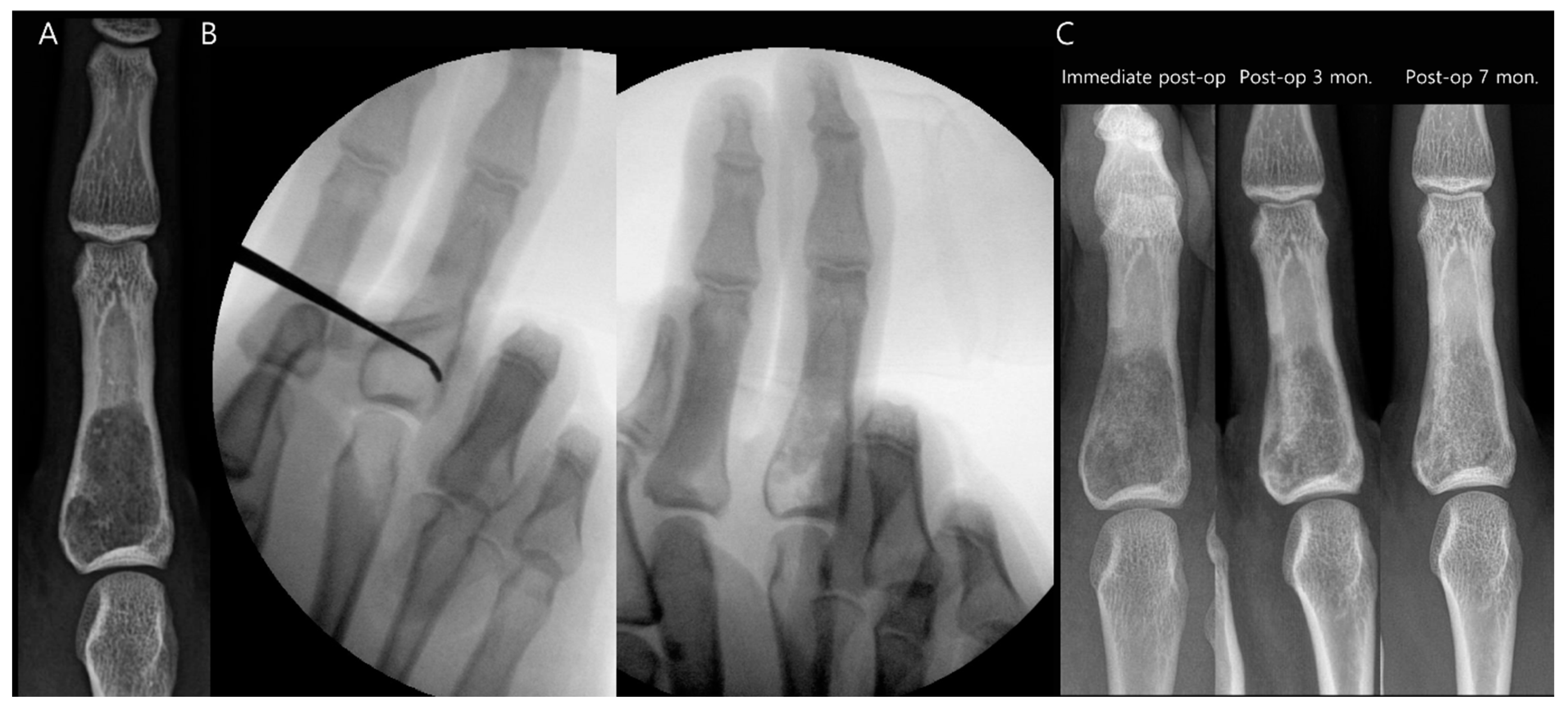
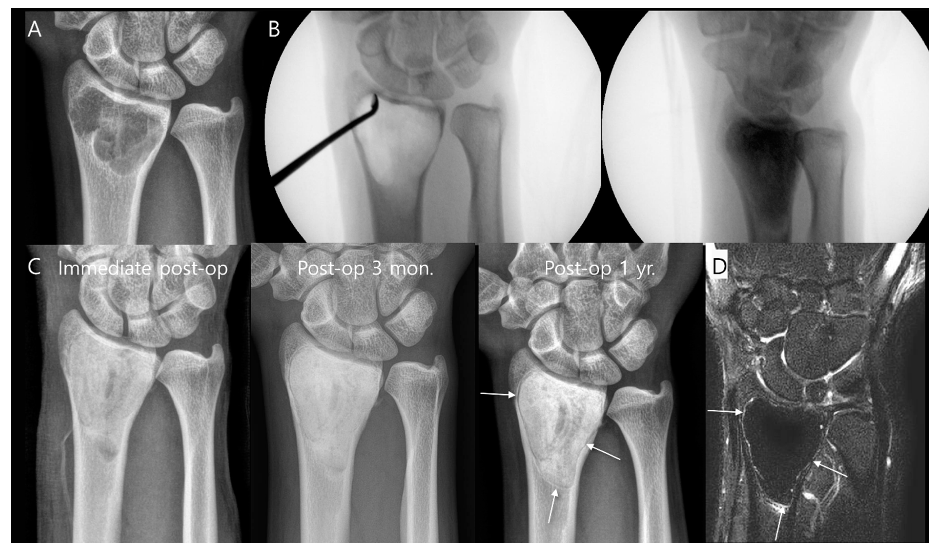
3.1. Bone Tumors
3.2. Soft Tissue Tumors
4. Unexpected Postoperative Imaging Findings
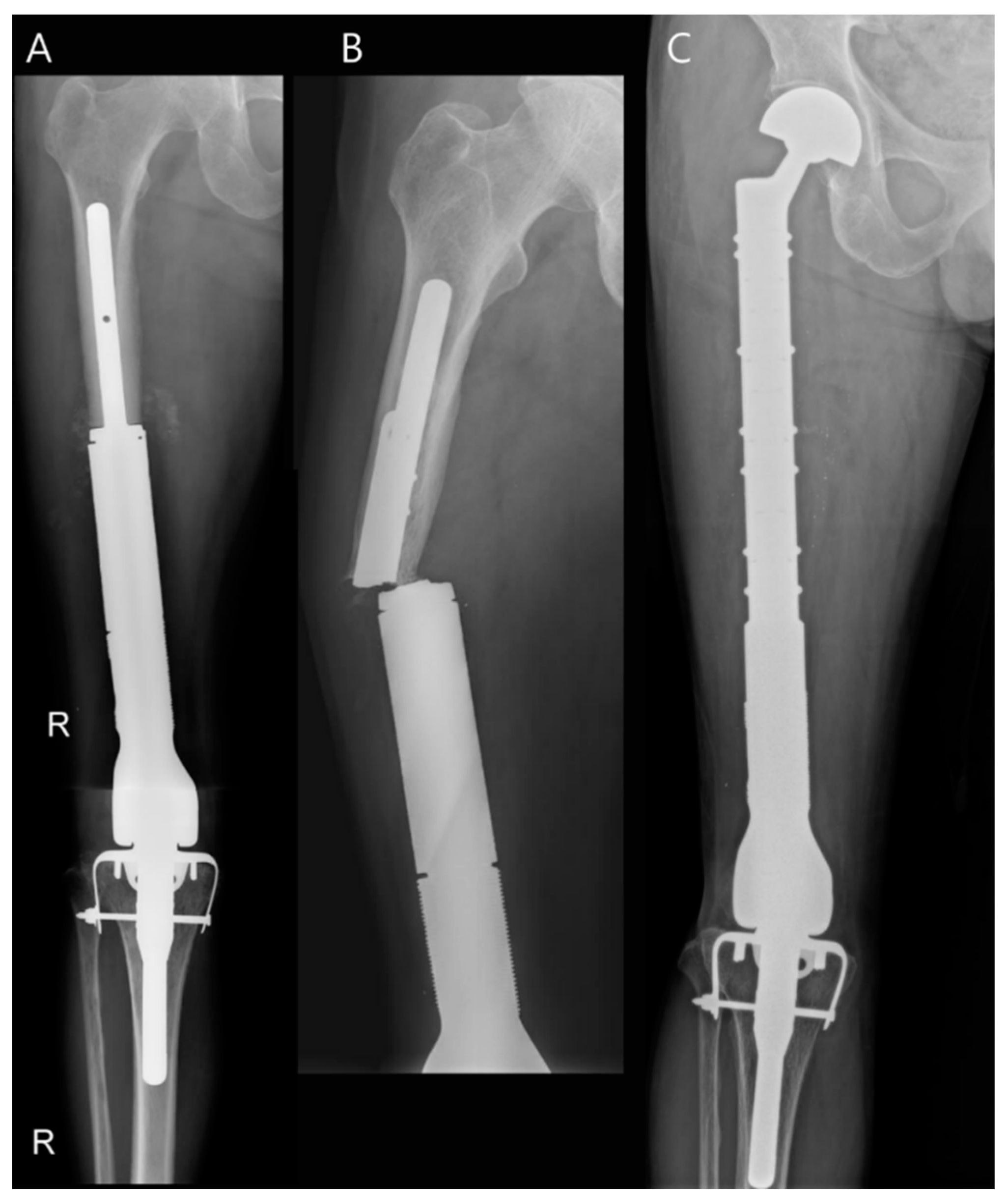
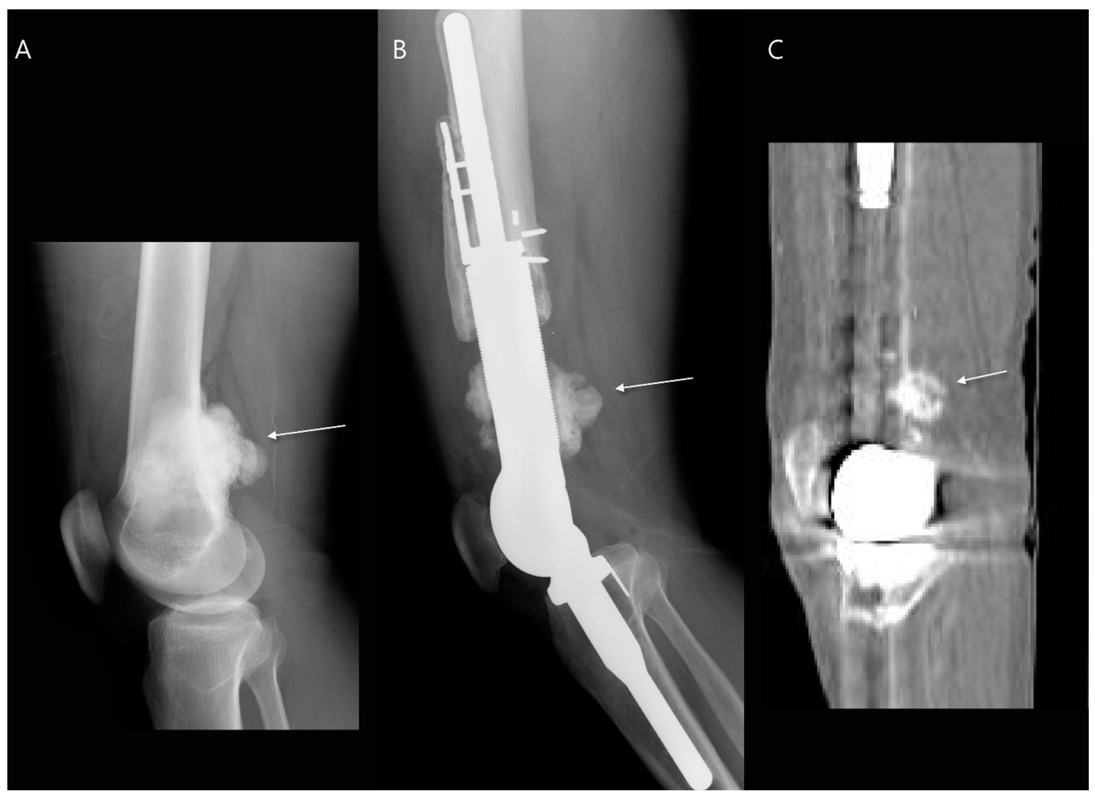
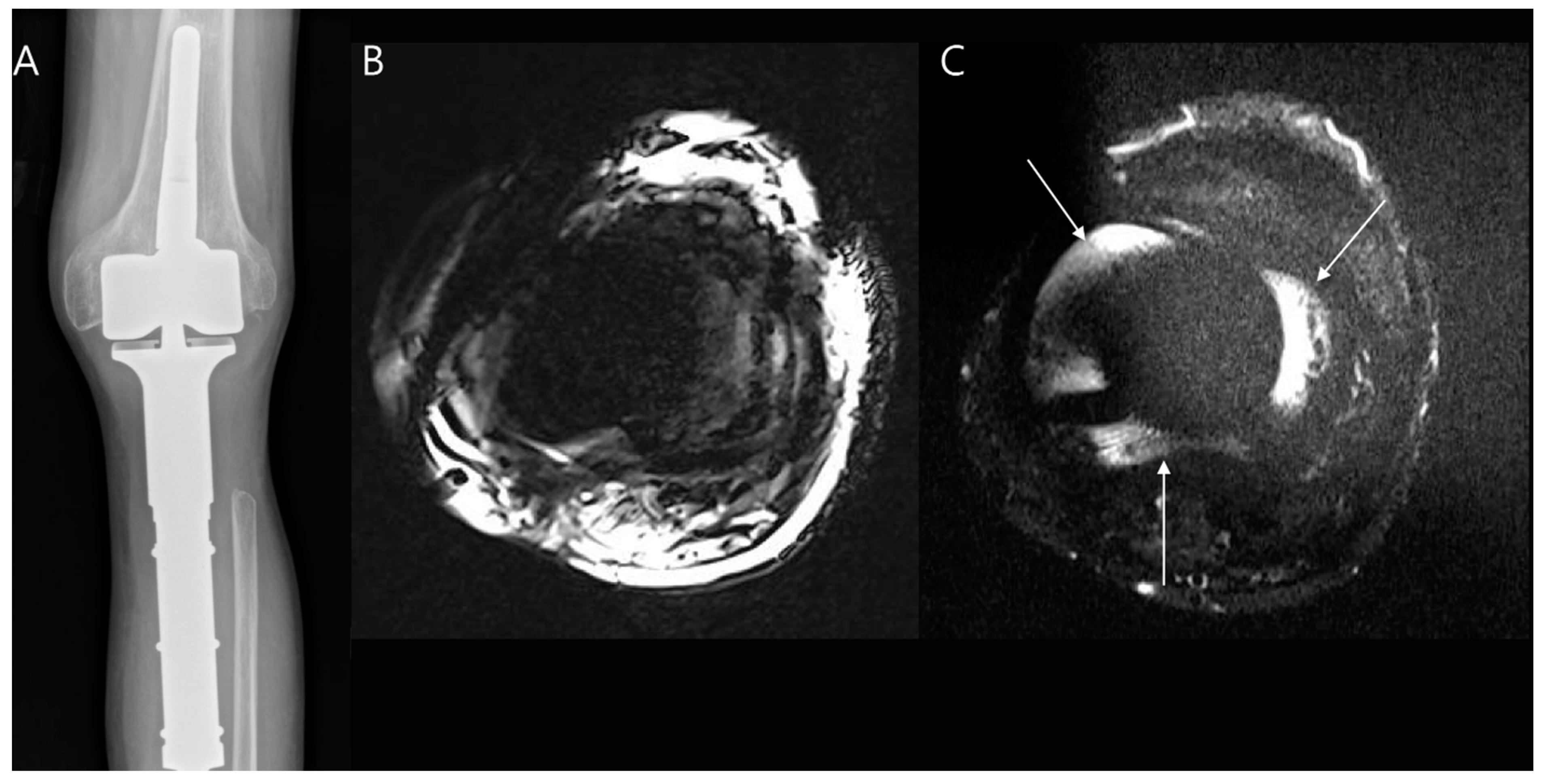
4.1. Postoperative Complication of Endoprostheses for Bone Tumors
4.1.1. Periprosthetic Infection
4.1.2. Aseptic Loosening
4.1.3. Mechanical Failure
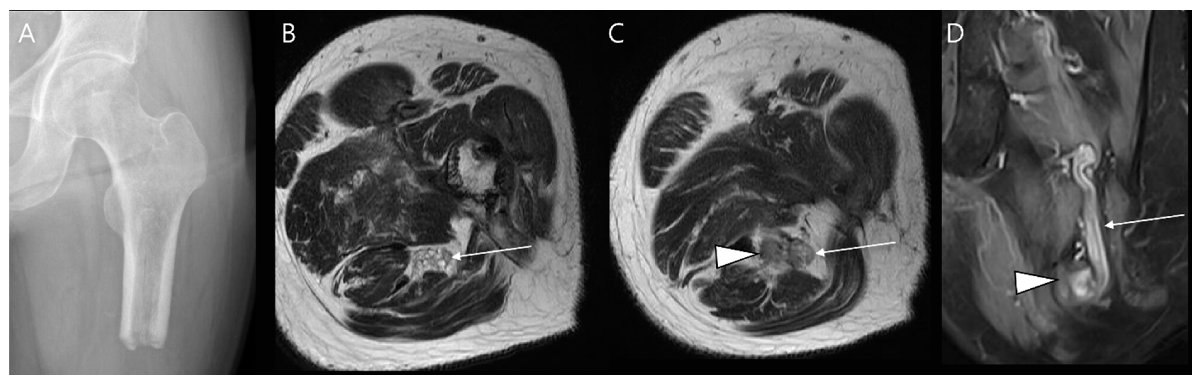
4.2. Postoperative Complication of Reconstructive Surgery for Soft Tissue Tumors
4.2.1. Seroma
4.2.2. Hematoma
4.2.3. Wound Infection
4.2.4. Denervation-Induced Muscle Change
4.3. Postoperative Complication After Amputation
5. Local Recurrence
5.1. Guidelines for Imaging Surveillance
- According to the American College of Radiology (ACR) Appropriateness Criteria, imaging should be performed every 3–6 months during the first 10 years, with annular MRI scans recommended between Years 5 and 10, along with any additional imaging based on new symptoms [73].
- The European Society of Skeletal Radiology (ESSR) recommends imaging every 3–4 months during the first 3 years, every 6 months from Years 3 to 5, and then annual follow-ups from Years 5 and 10 [74].
- Tumor biology: (i) aggressive histological subtypes, such as undifferentiated pleomorphic sarcoma; (ii) high-grade tumors; (iii) large tumor size (>10 cm) in its greatest dimension
- Patient demographics: older age (>64 years)
- Treatment factors: (i) positive or uncertain resection margins; (ii) previous recurrence
- Tumor location: head, neck, or deep trunk
5.2. Imaging Appearance of Local Recurrence
5.3. Special Consideration for Imaging Assessment of Local Recurrence
6. Conclusions
Author Contributions
Funding
Institutional Review Board Statement
Informed Consent Statement
Data Availability Statement
Conflicts of Interest
References
- Baljer, B.C.; Kolhe, S.; Chan, C.D.; Nicoli, F.; Ghanbasha, A.; Brookes, M.J.; Gamie, Z.; Ghosh, K.M.; Beckingsale, T.B.; Saleh, D.B.; et al. Advances in image enhancement for sarcoma surgery. Cancer Lett. 2020, 483, 1–11. [Google Scholar] [CrossRef] [PubMed]
- Kantzos, A.J.; Fayad, L.M.; Abiad, J.E.; Ahlawat, S.; Sabharwal, S.; Vaynrub, M.; Morris, C.D. The role of imaging in extremity sarcoma surgery. Skelet. Radiol. 2024, 53, 1937–1953. [Google Scholar] [CrossRef] [PubMed]
- Ahn, H.; Lee, M.H.; Byun, S.H.; Kim, H.J.; Kim, W.; Chee, C.G.; Chung, H.W.; Yoon, M.A.; Lee, S.H. Detecting residual soft tissue sarcoma after unplanned excision; model-free analysis of dynamic contrast-enhanced MRI at short-term follow-up. Br. J. Radiol. 2023, 96, 20230410. [Google Scholar] [CrossRef] [PubMed]
- Khan, I.; Gerrand, C.; Saifuddin, A. Imaging following surgery for primary appendicular bone tumours. Skelet. Radiol. 2021, 50, 1527–1555. [Google Scholar] [CrossRef]
- Kwee, R.M.; Kwee, T.C. Diagnostic performance of MRI in detecting residual soft tissue sarcoma after unplanned excision: Systematic review and meta-analysis. Eur. J. Radiol. 2021, 145, 110049. [Google Scholar] [CrossRef]
- Shafiei, M.; Chalian, M.; Luna, R.; Ahlawat, S.; Fayad, L.M. Imaging in Musculoskeletal Oncology: Special Considerations in the Elderly. Radiol. Clin. 2022, 60, 657–668. [Google Scholar] [CrossRef]
- Goller, S.S.; Reidler, P.; Rudolph, J.; Rückel, J.; Hesse, N.; Schmidt, V.F.; Dürr, H.R.; Klein, A.; Lindner, L.H.; Di Gioia, D.; et al. Impact of postoperative baseline MRI on diagnostic confidence and performance in detecting local recurrence of soft-tissue sarcoma of the limb. Skelet. Radiol. 2023, 52, 1987–1995. [Google Scholar] [CrossRef]
- Enneking, W.F.; Spanier, S.S.; Goodman, M.A. A system for the surgical staging of musculoskeletal sarcoma. Clin. Orthop. Relat. Res. 1980, 153, 106–120. [Google Scholar] [CrossRef]
- Stacy, G.S.; Mahal, R.S.; Peabody, T.D. Staging of bone tumors: A review with illustrative examples. Am. J. Roentgenol. 2006, 186, 967–976. [Google Scholar] [CrossRef]
- Shapeero, L.G.; Poffyn, B.; De Visschere, P.J.; Sys, G.; Uyttendaele, D.; Vanel, D.; Forsyth, R.; Verstraete, K.L. Complications of bone tumors after multimodal therapy. Eur. J. Radiol. 2011, 77, 51–67. [Google Scholar] [CrossRef]
- Li, X.; Zhang, Y.; Wan, S.; Li, H.; Li, D.; Xia, J.; Yuan, Z.; Ren, M.; Yu, S.; Li, S.; et al. A comparative study between limb-salvage and amputation for treating osteosarcoma. J. Bone Oncol. 2016, 5, 15–21. [Google Scholar] [CrossRef] [PubMed]
- Murphey, M.D.; Kransdorf, M.J. Staging and Classification of Primary Musculoskeletal Bone and Soft-Tissue Tumors According to the 2020 WHO Update, From the AJR Special Series on Cancer Staging. Am. J. Roentgenol. 2021, 217, 1038–1052. [Google Scholar] [CrossRef] [PubMed]
- Chang, C.Y.; Garner, H.W.; Ahlawat, S.; Amini, B.; Bucknor, M.D.; Flug, J.A.; Khodarahmi, I.; Mulligan, M.E.; Peterson, J.J.; Riley, G.M.; et al. Society of Skeletal Radiology- white paper. Guidelines for the diagnostic management of incidental solitary bone lesions on CT and MRI in adults: Bone reporting and data system (Bone-RADS). Skelet. Radiol. 2022, 51, 1743–1764. [Google Scholar] [CrossRef] [PubMed]
- Horstmann, P.F.; Hettwer, W.H.; Petersen, M.M. Treatment of benign and borderline bone tumors with combined curettage and bone defect reconstruction. J. Orthop. Surg. 2018, 26, 2309499018774929. [Google Scholar] [CrossRef] [PubMed]
- Baldwin, P.; Li, D.J.; Auston, D.A.; Mir, H.S.; Yoon, R.S.; Koval, K.J. Autograft, Allograft, and Bone Graft Substitutes: Clinical Evidence and Indications for Use in the Setting of Orthopaedic Trauma Surgery. J. Orthop. Trauma 2019, 33, 203–213. [Google Scholar] [CrossRef]
- Lin, P.P.; Frink, S.J. Intralesional treatment of bone tumors. Oper. Tech. Orthop. 2004, 14, 251–258. [Google Scholar] [CrossRef]
- Roudbari, S.; Haji Aliloo Sami, S.; Roudbari, M. The clinical results of benign bone tumor treatment with allograft or autograft. Arch. Iran. Med. 2015, 18, 109–113. [Google Scholar]
- Komiya, S.; Inoue, A. Cementation in the treatment of giant cell tumor of bone. Arch. Orthop. Trauma Surg. 1993, 112, 51–55. [Google Scholar] [CrossRef]
- Wada, T.; Kaya, M.; Nagoya, S.; Kawaguchi, S.; Isu, K.; Yamashita, T.; Yamawaki, S.; Ishii, S. Complications associated with bone cementing for the treatment of giant cell tumors of bone. J. Orthop. Sci. 2002, 7, 194–198. [Google Scholar] [CrossRef]
- Fritz, J.; Fishman, E.K.; Corl, F.; Carrino, J.A.; Weber, K.L.; Fayad, L.M. Imaging of limb salvage surgery. Am. J. Roentgenol. 2012, 198, 647–660. [Google Scholar] [CrossRef]
- Cirstoiu, C.; Cretu, B.; Serban, B.; Panti, Z.; Nica, M. Current review of surgical management options for extremity bone sarcomas. EFORT Open Rev. 2019, 4, 174–182. [Google Scholar] [CrossRef] [PubMed]
- Kropej, D.; Schiller, C.; Ritschl, P.; Salzer-Kuntschik, M.; Kotz, R. The management of IIB osteosarcoma. Experience from 1976 to 1985. Clin. Orthop. Relat. Res. 1991, 270, 40–44. [Google Scholar] [CrossRef]
- Heisel, C.; Kinkel, S.; Bernd, L.; Ewerbeck, V. Megaprostheses for the treatment of malignant bone tumours of the lower limbs. Int. Orthop. 2006, 30, 452–457. [Google Scholar] [CrossRef]
- Gikas, P.D.; Keller, S.; Boyle, R.; Stalley, P.D. (ii) Principles of the surgical management of bone tumours. Orthop. Trauma 2015, 29, 160–162. [Google Scholar] [CrossRef]
- Perez, J.R.; Jose, J.; Mohile, N.V.; Boden, A.L.; Greif, D.N.; Barrera, C.M.; Conway, S.; Subhawong, T.; Ugarte, A.; Pretell-Mazzini, J. Limb salvage reconstruction: Radiologic features of common reconstructive techniques and their complications. J. Orthop. 2020, 21, 183–191. [Google Scholar] [CrossRef]
- Chhabra, A.; Ashikyan, O.; Ratakonda, R.; Bajaj, G.; Thakur, U.; Pezeshk, P.; Xi, Y.; Zaid, M.; Callan, A.; Murphy, W.; et al. Soft-Tissue Tumor Reporting and Data System (St-Rads): Mri Reporting Guideline with Multi-Institutional Validation Study of Extremity Soft Tissue Tumors. Res. Sq. 2022. submitted. [Google Scholar] [CrossRef]
- Mayerson, J.L.; Scharschmidt, T.J.; Lewis, V.O.; Morris, C.D. Diagnosis and Management of Soft-tissue Masses. J. Am. Acad. Orthop. Surg. 2014, 22, 742–750. [Google Scholar] [CrossRef]
- Church, D.J.; Krumme, J.; Kotwal, S. Evaluating Soft-Tissue Lumps and Bumps. Mo. Med. 2017, 114, 289–294. [Google Scholar]
- Pisters, P.W.; O’Sullivan, B.; Maki, R.G. Evidence-based recommendations for local therapy for soft tissue sarcomas. J. Clin. Oncol. 2007, 25, 1003–1008. [Google Scholar] [CrossRef]
- Elswick, S.M.; Wu, P.; Arkhavan, A.A.; Molinar, V.E.; Mohan, A.T.; Sim, F.H.; Martinez-Jorge, J.; Saint-Cyr, M. A reconstructive algorithm after thigh soft tissue sarcoma resection including predictors of free flap reconstruction ✰. J. Plast. Reconstr. Aesthet. Surg. 2019, 72, 1304–1315. [Google Scholar] [CrossRef]
- Aten, D.M.; Chang, E.I. Practical Strategies in Reconstruction of Soft-Tissue Sarcoma. Plast. Reconstr. Surg. 2022, 150, 1082e–1094e. [Google Scholar] [CrossRef] [PubMed]
- Parikh, R.P.; Sacks, J.M. Lower Extremity Reconstruction After Soft Tissue Sarcoma Resection. Clin. Plast. Surg. 2021, 48, 307–319. [Google Scholar] [CrossRef] [PubMed]
- Frobert, P.; Vaucher, R.; Vaz, G.; Gouin, F.; Meeus, P.; Delay, E. The role of reconstructive surgery after soft tissue sarcoma resection. Ann. Chir. Plast. Esthet. 2020, 65, 394–422. [Google Scholar] [CrossRef] [PubMed]
- Stiles, Z.E.; Lohman, R.F.; Mann, G.N. Plastic Surgery Reconstruction of Sarcoma Resection Defects: Form and Function. Surg. Clin. 2022, 102, 583–599. [Google Scholar] [CrossRef]
- Nemir, S.; Mericli, A.F.; Adelman, D.M.; Liu, J.; Feig, B.W.; Lin, P.P.; Roubaud, M.S. A reconstructive algorithm of oncologic defects of the upper trunk and shoulder girdle: Factors predicting complexity and outcomes. J. Surg. Oncol. 2020, 122, 283–292. [Google Scholar] [CrossRef]
- Garner, H.W.; Kransdorf, M.J.; Bancroft, L.W.; Peterson, J.J.; Berquist, T.H.; Murphey, M.D. Benign and malignant soft-tissue tumors: Posttreatment MR imaging. Radiographics 2009, 29, 119–134. [Google Scholar] [CrossRef]
- Fox, M.G.; Bancroft, L.W.; Peterson, J.J.; Kransdorf, M.J.; Terkonda, S.P.; O’Connor, M.I. MRI appearance of myocutaneous flaps commonly used in orthopedic reconstructive surgery. Am. J. Roentgenol. 2006, 187, 800–806. [Google Scholar] [CrossRef]
- Magerkurth, O.; Girish, G.; Jacobson, J.A.; Kim, S.M.; Brigido, M.K.; Dong, Q.; Jamadar, D.A. MR imaging appearances of soft tissue flaps following reconstructive surgery of the lower extremity. Korean J. Radiol. 2015, 16, 160–168. [Google Scholar] [CrossRef]
- Parrett, B.M.; Talbot, S.G.; Pribaz, J.J.; Lee, B.T. A review of local and regional flaps for distal leg reconstruction. J. Reconstr. Microsurg. 2009, 25, 445–455. [Google Scholar] [CrossRef]
- Noebauer-Huhmann, I.M.; Chaudhary, S.R.; Papakonstantinou, O.; Panotopoulos, J.; Weber, M.A.; Lalam, R.K.; Albtoush, O.M.; Fueger, B.J.; Szomolanyi, P.; Grieser, T.; et al. Soft Tissue Sarcoma Follow-up Imaging: Strategies to Distinguish Post-treatment Changes from Recurrence. Semin. Musculoskelet. Radiol. 2020, 24, 627–644. [Google Scholar] [CrossRef]
- Kim, H.-S. Endoprosthetic Reconstruction in the Limb Salvage Surgery for Treatment of Malignant Bone Tumors. J. Korean Orthop. Assoc. 2015, 50, 453–461. [Google Scholar] [CrossRef]
- Jeys, L.M.; Kulkarni, A.; Grimer, R.J.; Carter, S.R.; Tillman, R.M.; Abudu, A. Endoprosthetic reconstruction for the treatment of musculoskeletal tumors of the appendicular skeleton and pelvis. J. Bone Jt. Surg. 2008, 90, 1265–1271. [Google Scholar] [CrossRef] [PubMed]
- Seeger, L.L.; Farooki, S.; Yao, L.; Kabo, J.M.; Eckardt, J.J. Custom endoprostheses for limb salvage: A historical perspective and imaging evaluation. Am. J. Roentgenol. 1998, 171, 1525–1529. [Google Scholar] [CrossRef] [PubMed][Green Version]
- Pala, E.; Trovarelli, G.; Calabrò, T.; Angelini, A.; Abati, C.N.; Ruggieri, P. Survival of modern knee tumor megaprostheses: Failures, functional results, and a comparative statistical analysis. Clin. Orthop. Relat. Res. 2015, 473, 891–899. [Google Scholar] [CrossRef]
- Cyteval, C.; Bourdon, A. Imaging orthopedic implant infections. Diagn. Interv. Imaging 2012, 93, 547–557. [Google Scholar] [CrossRef]
- Simpfendorfer, C.S. Radiologic Approach to Musculoskeletal Infections. Infect. Dis. Clin. 2017, 31, 299–324. [Google Scholar] [CrossRef]
- Turcotte, R.E.; Stavropoulos, N.A.; Toreson, J.; Alsultan, M. Radiographic assessment of distal femur cemented stems in tumor endoprostheses. Eur. J. Orthop. Surg. Traumatol. 2017, 27, 821–827. [Google Scholar] [CrossRef]
- Henderson, E.R.; Groundland, J.S.; Pala, E.; Dennis, J.A.; Wooten, R.; Cheong, D.; Windhager, R.; Kotz, R.I.; Mercuri, M.; Funovics, P.T.; et al. Failure mode classification for tumor endoprostheses: Retrospective review of five institutions and a literature review. J. Bone Jt. Surg. 2011, 93, 418–429. [Google Scholar] [CrossRef]
- DiCaprio, M.R.; Friedlaender, G.E. Malignant bone tumors: Limb sparing versus amputation. J. Am. Acad. Orthop. Surg. 2003, 11, 25–37. [Google Scholar] [CrossRef]
- Shah, A.; Cardoso, F.N.; Souza, F.; Montreuil, J.; Pretell-Mazzini, J.; Temple, H.T.; Hornicek, F.; Crawford, B.; Subhawong, T.K. Failure Modes in Orthopedic Oncologic Reconstructive Surgery: A Review of Imaging Findings and Failure Rates. Curr. Oncol. 2024, 31, 6245–6266. [Google Scholar] [CrossRef]
- Shapeero, L.G.; De Visschere, P.J.; Verstraete, K.L.; Poffyn, B.; Forsyth, R.; Sys, G.; Uyttendaele, D. Post-treatment complications of soft tissue tumours. Eur. J. Radiol. 2009, 69, 209–221. [Google Scholar] [CrossRef] [PubMed]
- Vanel, D.; Shapeero, L.G.; De Baere, T.; Gilles, R.; Tardivon, A.; Genin, J.; Guinebretière, J.M. MR imaging in the follow-up of malignant and aggressive soft-tissue tumors: Results of 511 examinations. Radiology 1994, 190, 263–268. [Google Scholar] [CrossRef] [PubMed]
- Shah, A.; Ramanujan, V.; Muralidharan, K.; AnRaja, A. Outcomes of Vascular Resection and Reconstruction in Extremity Soft Tissue Sarcoma and Bone Tumors. Vasc. Spec. Int. 2021, 37, 22–28. [Google Scholar] [CrossRef] [PubMed]
- Varma, D.G.; Jackson, E.F.; Pollock, R.E.; Benjamin, R.S. Soft-tissue sarcoma of the extremities. MR appearance of post-treatment changes and local recurrences. Magn. Reson. Imaging Clin. North Am. 1995, 3, 695–712. [Google Scholar] [CrossRef]
- Davies, A.M.; Vanel, D. Follow-up of musculoskeletal tumors. I. Local recurrence. Eur. Radiol. 1998, 8, 791–799. [Google Scholar] [CrossRef]
- Pezzi, C.M.; Pollock, R.E.; Evans, H.L.; Lorigan, J.G.; Pezzi, T.A.; Benjamin, R.S.; Romsdahl, M.M. Preoperative chemotherapy for soft-tissue sarcomas of the extremities. Ann. Surg. 1990, 211, 476–481. [Google Scholar] [CrossRef]
- Olapoju, O.M.; Botros, J.; Damani, B.; Tiesenga, F. Chronic Expanding Hematoma in the Upper Extremity: A Case Report on Diagnostic and Management Challenges. Cureus 2024, 16, e62330. [Google Scholar] [CrossRef]
- Liu, P.T.; Leslie, K.O.; Beauchamp, C.P.; Cherian, S.F. Chronic expanding hematoma of the thigh simulating neoplasm on gadolinium-enhanced MRI. Skelet. Radiol. 2006, 35, 254–257. [Google Scholar] [CrossRef]
- Reid, J.D.; Kommareddi, S.; Lankerani, M.; Park, M.C. Chronic expanding hematomas. A clinicopathologic entity. JAMA 1980, 244, 2441–2442. [Google Scholar] [CrossRef]
- Serra Del Carpio, G.; Tapia Viñé, M.; Torena, N.; Bernabeu Taboada, D. Chronic expanding hematoma. Radiología 2023, 65 (Suppl. 2), S78–S82. [Google Scholar] [CrossRef]
- Galantini, G.; Mushtaq, B.; Ottaway, J.; Long, C.D. Successful Treatment of a Chronic Recurrent Expanding Hematoma of the Thigh. Plast. Reconstr. Surg. Glob. Open 2024, 12, e6133. [Google Scholar] [CrossRef] [PubMed]
- Baldini, E.H.; Lapidus, M.R.; Wang, Q.; Manola, J.; Orgill, D.P.; Pomahac, B.; Marcus, K.J.; Bertagnolli, M.M.; Devlin, P.M.; George, S.; et al. Predictors for major wound complications following preoperative radiotherapy and surgery for soft-tissue sarcoma of the extremities and trunk: Importance of tumor proximity to skin surface. Ann. Surg. Oncol. 2013, 20, 1494–1499. [Google Scholar] [CrossRef] [PubMed]
- Morii, T.; Mochizuki, K.; Tajima, T.; Ichimura, S.; Satomi, K. Surgical site infection in malignant soft tissue tumors. J. Orthop. Sci. 2012, 17, 51–57. [Google Scholar] [CrossRef] [PubMed]
- Tan, E.T.; Zochowski, K.C.; Sneag, D.B. Diffusion MRI fiber diameter for muscle denervation assessment. Quant. Imaging Med. Surg. 2022, 12, 80–94. [Google Scholar] [CrossRef]
- Chung, B.M.; Lee, G.Y.; Kim, W.T.; Kim, I.; Lee, Y.; Park, S.B. MRI features of symptomatic amputation neuromas. Eur. Radiol. 2021, 31, 7684–7695. [Google Scholar] [CrossRef]
- Sandomenico, F.; Corvino, A.; Setola, S.V.; Simonetti, I.; Porcaro, M.; Trovato, P.; Catalano, O.; Petrillo, A. Post-amputation neuroma of radial nerve in a patient with ephitelioid sarcoma: Case report and literature review. Acta Biomed. 2020, 91, 122–127. [Google Scholar] [CrossRef]
- Kerimoglu, U.; Canyigit, M. Paradoxic hypertrophy of the sciatic nerve in adult patients after above-knee amputation. Acta Radiol. 2007, 48, 1028–1031. [Google Scholar] [CrossRef]
- Van Vliet, E.; Raasveld, F.V.; Liu, W.C.; Valerio, I.L.; Eberlin, K.R.; Newman, E.T.; Jarraya, M.; Simeone, F.J.; Husseini, J.S. Evaluation of MRI features of neuromas in oncological amputees, and the relation to pain. Skelet. Radiol. 2024. [Google Scholar] [CrossRef]
- Gronchi, A.; Miah, A.B.; Dei Tos, A.P.; Abecassis, N.; Bajpai, J.; Bauer, S.; Biagini, R.; Bielack, S.; Blay, J.Y.; Bolle, S.; et al. Soft tissue and visceral sarcomas: ESMO-EURACAN-GENTURIS Clinical Practice Guidelines for diagnosis, treatment and follow-up ☆. Ann. Oncol. 2021, 32, 1348–1365. [Google Scholar] [CrossRef]
- Strauss, S.J.; Frezza, A.M.; Abecassis, N.; Bajpai, J.; Bauer, S.; Biagini, R.; Bielack, S.; Blay, J.Y.; Bolle, S.; Bonvalot, S.; et al. Bone sarcomas: ESMO-EURACAN-GENTURIS-ERN PaedCan Clinical Practice Guideline for diagnosis, treatment and follow-up. Ann. Oncol. 2021, 32, 1520–1536. [Google Scholar] [CrossRef]
- Stanborough, R.; Demertzis, J.L.; Wessell, D.E.; Lenchik, L.; Ahlawat, S.; Baker, J.C.; Banks, J.; Caracciolo, J.T.; Garner, H.W.; Hentz, C.; et al. ACR Appropriateness Criteria® Malignant or Aggressive Primary Musculoskeletal Tumor-Staging and Surveillance: 2022 Update. J. Am. Coll. Radiol. 2022, 19, S374–S389. [Google Scholar] [CrossRef] [PubMed]
- Dammerer, D.; Van Beeck, A.; Schneeweiss, V.; Schwabegger, A. Follow-up Strategies for Primary Extremity Soft-tissue Sarcoma in Adults: A Systematic Review of the Published Literature. Vivo 2020, 34, 3057–3068. [Google Scholar] [CrossRef] [PubMed]
- Roberts, C.C.; Kransdorf, M.J.; Beaman, F.D.; Adler, R.S.; Amini, B.; Appel, M.; Bernard, S.A.; Fries, I.B.; Germano, I.M.; Greenspan, B.S.; et al. ACR Appropriateness Criteria Follow-Up of Malignant or Aggressive Musculoskeletal Tumors. J. Am. Coll. Radiol. 2016, 13, 389–400. [Google Scholar] [CrossRef] [PubMed]
- Noebauer-Huhmann, I.M.; Weber, M.A.; Lalam, R.K.; Trattnig, S.; Bohndorf, K.; Vanhoenacker, F.; Tagliafico, A.; van Rijswijk, C.; Vilanova, J.C.; Afonso, P.D.; et al. Soft Tissue Tumors in Adults: ESSR-Approved Guidelines for Diagnostic Imaging. Semin. Musculoskelet. Radiol. 2015, 19, 475–482. [Google Scholar] [CrossRef] [PubMed]
- Ahmad, Z.Y.; Ahlawat, S.; Levin, A.S.; Fayad, L.M. Bones and Soft-Tissue Tumors: Considerations for Postsurgical Imaging Follow-up. Radiol. Clin. 2022, 60, 327–338. [Google Scholar] [CrossRef]
- Noebauer-Huhmann, I.M.; Grieser, T.; Panotopoulos, J.; Dieckmann, K.; Lalam, R.K.; Bloem, J.L.; Weber, M.A. Presurgical Perspective and Posttreatment Evaluation of Soft Tissue Tumors of the Ankle and Foot in Adults. Semin. Musculoskelet. Radiol. 2022, 26, 730–743. [Google Scholar] [CrossRef]
- Schwartz, H.S. CORR Insights®: Does Advanced Imaging Have a Role in Detecting Local Recurrence of Soft-tissue Sarcoma? Clin. Orthop. Relat. Res. 2020, 478, 2821–2822. [Google Scholar] [CrossRef]
- Gorelik, N.; Rula, E.Y.; Pelzl, C.E.; Hemingway, J.; Christensen, E.W.; Brophy, J.M.; Gyftopoulos, S. Imaging Utilization Patterns in the Follow-Up of Extremity Soft Tissue Sarcomas in the United States. Curr. Probl. Diagn. Radiol. 2023, 52, 357–366. [Google Scholar] [CrossRef]
- Ezuddin, N.S.; Pretell-Mazzini, J.; Yechieli, R.L.; Kerr, D.A.; Wilky, B.A.; Subhawong, T.K. Local recurrence of soft-tissue sarcoma: Issues in imaging surveillance strategy. Skelet. Radiol. 2018, 47, 1595–1606. [Google Scholar] [CrossRef]
- Tirotta, F.; Sayyed, R.; Jones, R.L.; Hayes, A.J. Risk factors for the development of local recurrence in extremity soft-tissue sarcoma. Expert. Rev. Anticancer. Ther. 2022, 22, 83–95. [Google Scholar] [CrossRef]
- Spolverato, G.; Callegaro, D.; Gronchi, A. Defining Which Patients Are at High Risk for Recurrence of Soft Tissue Sarcoma. Curr. Treat. Options Oncol. 2020, 21, 56. [Google Scholar] [CrossRef] [PubMed]
- Weskamp, P.; Ufton, D.; Drysch, M.; Wagner, J.M.; Dadras, M.; Lehnhardt, M.; Behr, B.; Wallner, C. Risk Factors for Occurrence and Relapse of Soft Tissue Sarcoma. Cancers 2022, 14, 1273. [Google Scholar] [CrossRef] [PubMed]
- Scalas, G.; Parmeggiani, A.; Martella, C.; Tuzzato, G.; Bianchi, G.; Facchini, G.; Clinca, R.; Spinnato, P. Magnetic resonance imaging of soft tissue sarcoma: Features related to prognosis. Eur. J. Orthop. Surg. Traumatol. 2021, 31, 1567–1575. [Google Scholar] [CrossRef] [PubMed]
- Zagars, G.K.; Ballo, M.T.; Pisters, P.W.; Pollock, R.E.; Patel, S.R.; Benjamin, R.S.; Evans, H.L. Prognostic factors for patients with localized soft-tissue sarcoma treated with conservation surgery and radiation therapy: An analysis of 1225 patients. Cancer 2003, 97, 2530–2543. [Google Scholar] [CrossRef]
- Sedaghat, S.; Sedaghat, M.; Meschede, J.; Jansen, O.; Both, M. Diagnostic value of MRI for detecting recurrent soft-tissue sarcoma in a long-term analysis at a multidisciplinary sarcoma center. BMC Cancer 2021, 21, 398. [Google Scholar] [CrossRef]
- Kransdorf, M.J.; Murphey, M.D. Imaging of Soft-Tissue Musculoskeletal Masses: Fundamental Concepts. Radiographics 2016, 36, 1931–1948. [Google Scholar] [CrossRef]
- Wang, J.E.; Bai, R.J.; Zhan, H.L.; Li, W.T.; Qian, Z.H.; Wang, N.L.; Yin, Y. High-resolution 3T magnetic resonance imaging and histological analysis of capsuloligamentous complex of the first metatarsophalangeal joint. J. Orthop. Surg. Res. 2021, 16, 638. [Google Scholar] [CrossRef]
- Bloem, J.L.; Reidsma, I.I. Bone and soft tissue tumors of hip and pelvis. Eur. J. Radiol. 2012, 81, 3793–3801. [Google Scholar] [CrossRef]
- Grieser, T.; Nöbauer-Huhmann, I.M. Postoperative und posttherapeutische Veränderungen nach primären Knochentumoren. Radiol. 2017, 57, 938–957. [Google Scholar] [CrossRef]
- Song, E.H.; Lee, S.Y.; Lee, S.; Jung, J.Y.; Shin, S.H.; Chung, Y.G.; Jung, C.K. Diagnosis of Local Recurrence of Malignant Soft Tissue Tumors after Reconstructive Surgery on MRI. J. Clin. Med. 2023, 12, 4369. [Google Scholar] [CrossRef]
- Kwee, R.M.; Kwee, T.C. Diagnostic performance of MRI in detecting locally recurrent soft tissue sarcoma: Systematic review and meta-analysis. Eur. Radiol. 2022, 32, 3915–3930. [Google Scholar] [CrossRef] [PubMed]
- Tavare, A.N.; Robinson, P.; Altoos, R.; LiMarzi, G.M.; Scherer, K.F.; Kransdorf, M.J.; Bancroft, L.W. Postoperative Imaging of Sarcomas. Am. J. Roentgenol. 2018, 211, 506–518. [Google Scholar] [CrossRef] [PubMed]
- Sedaghat, S.; Salehi Ravesh, M.; Sedaghat, M.; Meschede, J.; Jansen, O.; Both, M. Does the primary soft-tissue sarcoma configuration predict configuration of recurrent tumors on magnetic resonance imaging? Acta Radiol. 2022, 63, 642–651. [Google Scholar] [CrossRef]
- Verstraete, K.L.; Van der Woude, H.J.; Hogendoorn, P.C.; De-Deene, Y.; Kunnen, M.; Bloem, J.L. Dynamic contrast-enhanced MR imaging of musculoskeletal tumors: Basic principles and clinical applications. J. Magn. Reson. Imaging 1996, 6, 311–321. [Google Scholar] [CrossRef]
- Vibhakar, A.M.; Cassels, J.A.; Botchu, R.; Rennie, W.J.; Shah, A. Imaging update on soft tissue sarcoma. J. Clin. Orthop. Trauma 2021, 22, 101568. [Google Scholar] [CrossRef]
- Hirschmann, A.; van Praag, V.M.; Haas, R.L.; van de Sande, M.A.J.; Bloem, J.L. Can we use MRI to detect clinically silent recurrent soft-tissue sarcoma? Eur. Radiol. 2020, 30, 4724–4733. [Google Scholar] [CrossRef]
- Lee, S.K.; Jee, W.H.; Jung, C.K.; Chung, Y.G. Multiparametric quantitative analysis of tumor perfusion and diffusion with 3T MRI: Differentiation between benign and malignant soft tissue tumors. Br. J. Radiol. 2020, 93, 20191035. [Google Scholar] [CrossRef]
- Erber, B.M.; Reidler, P.; Goller, S.S.; Ricke, J.; Dürr, H.R.; Klein, A.; Lindner, L.; Di Gioia, D.; Geith, T.; Baur-Melnyk, A.; et al. Impact of Dynamic Contrast Enhanced and Diffusion-Weighted MR Imaging on Detection of Early Local Recurrence of Soft Tissue Sarcoma. J. Magn. Reson. Imaging 2023, 57, 622–630. [Google Scholar] [CrossRef]
- Del Grande, F.; Subhawong, T.; Weber, K.; Aro, M.; Mugera, C.; Fayad, L.M. Detection of soft-tissue sarcoma recurrence: Added value of functional MR imaging techniques at 3.0 T. Radiology 2014, 271, 499–511. [Google Scholar] [CrossRef]
- Messina, C.; Bignone, R.; Bruno, A.; Bruno, A.; Bruno, F.; Calandri, M.; Caruso, D.; Coppolino, P.; Robertis, R.; Gentili, F.; et al. Diffusion-Weighted Imaging in Oncology: An Update. Cancers 2020, 12, 1493. [Google Scholar] [CrossRef]
- Zampa, V.; Aringhieri, G.; Tintori, R.; Rossi, P.; Andreani, L.; Franchi, A. The added value of the visual analysis of DWI in post-surgery follow-up of soft tissue sarcoma of the extremities: Do we really need ADC? Radiol. Med. 2023, 128, 467–479. [Google Scholar] [CrossRef] [PubMed]
- Jungmann, P.M.; Ganter, C.; Schaeffeler, C.J.; Bauer, J.S.; Baum, T.; Meier, R.; Nittka, M.; Pohlig, F.; Rechl, H.; von Eisenhart-Rothe, R.; et al. View-Angle Tilting and Slice-Encoding Metal Artifact Correction for Artifact Reduction in MRI: Experimental Sequence Optimization for Orthopaedic Tumor Endoprostheses and Clinical Application. PLoS ONE 2015, 10, e0124922. [Google Scholar] [CrossRef] [PubMed]
- Zhao, B.Y.H.; Khan, N.A.; Wichuk, S.; Sommerfeldt, M.F.; Panu, A.; Jaremko, J.L.; Hui, C. The use of slice encoding for metal artifact correction (SEMAC) sequencing improves the diagnostic evaluation of graft integrity following anterior cruciate ligament reconstruction. J. ISAKOS 2023, 8, 318–324. [Google Scholar] [CrossRef] [PubMed]
- Busch, A.; Jäger, M.; Beck, S.; Wegner, A.; Portegys, E.; Wassenaar, D.; Theysohn, J.; Haubold, J. Metal Artefact Reduction Sequences (MARS) in Magnetic Resonance Imaging (MRI) after Total Hip Arthroplasty (THA): A non-invasive approach for preoperative differentiation between periprosthetic joint infection (PJI) and aseptic complications? BMC Musculoskelet. Disord. 2022, 23, 620. [Google Scholar] [CrossRef]
- Schwaiger, B.J.; Gassert, F.T.; Suren, C.; Gersing, A.S.; Haller, B.; Pfeiffer, D.; Dangelmaier-Dawirs, J.; Roski, F.; von Eisenhart-Rothe, R.; Prodinger, P.M.; et al. Diagnostic accuracy of MRI with metal artifact reduction for the detection of periprosthetic joint infection and aseptic loosening of total hip arthroplasty. Eur. J. Radiol. 2020, 131, 109253. [Google Scholar] [CrossRef]
- Feuerriegel, G.C.; Sutter, R. Managing hardware-related metal artifacts in MRI: Current and evolving techniques. Skelet. Radiol. 2024, 53, 1737–1750. [Google Scholar] [CrossRef]
- Sundermann, B.; Billebaut, B.; Bauer, J.; Iacoban, C.G.; Alykova, O.; Schülke, C.; Gerdes, M.; Kugel, H.; Neduvakkattu, S.; Bösenberg, H.; et al. Practical Aspects of novel MRI Techniques in Neuroradiology: Part 1-3D Acquisitions, Dixon Techniques and Artefact Reduction. Rofo 2022, 194, 1100–1108. [Google Scholar] [CrossRef]
- Khodarahmi, I.; Keerthivasan, M.B.; Brinkmann, I.M.; Grodzki, D.; Fritz, J. Modern Low-Field MRI of the Musculoskeletal System: Practice Considerations, Opportunities, and Challenges. Invest. Radiol. 2023, 58, 76–87. [Google Scholar] [CrossRef]
- Felisi, M.; Monti, A.F.; Lizio, D.; Nici, S.; Pellegrini, R.G.; Riga, S.; Bortolato, B.; Brambilla, M.G.; Carbonini, C.; Abujami, M.; et al. MRI only in a patient with prostate cancer with bilateral metal hip prostheses: Case study. Tumori 2021, 107, NP41–NP44. [Google Scholar] [CrossRef]
- Moreta-Martinez, R.; Pose-Díez-de-la-Lastra, A.; Calvo-Haro, J.A.; Mediavilla-Santos, L.; Pérez-Mañanes, R.; Pascau, J. Combining Augmented Reality and 3D Printing to Improve Surgical Workflows in Orthopedic Oncology: Smartphone Application and Clinical Evaluation. Sensors 2021, 21, 1370. [Google Scholar] [CrossRef]




















| After Endoprosthesis for Bone Tumor | After Reconstructive Surgery for Soft Tissue Tumor | After Amputation |
|---|---|---|
| Periprosthetic infection | Seroma | Amputation neuroma |
| Aseptic loosening | Hematoma | |
| Mechanical failure | Wound infection | |
| Denervation-induced muscle change |
Disclaimer/Publisher’s Note: The statements, opinions and data contained in all publications are solely those of the individual author(s) and contributor(s) and not of MDPI and/or the editor(s). MDPI and/or the editor(s) disclaim responsibility for any injury to people or property resulting from any ideas, methods, instructions or products referred to in the content. |
© 2024 by the authors. Licensee MDPI, Basel, Switzerland. This article is an open access article distributed under the terms and conditions of the Creative Commons Attribution (CC BY) license (https://creativecommons.org/licenses/by/4.0/).
Share and Cite
Lee, S.K.; Joo, M.W.; Kim, J.-Y.; Bernthal, N.M. Postoperative Imaging of Bone and Soft Tissue Tumors in the Extremity: A Comprehensive Review. Diagnostics 2024, 14, 2794. https://doi.org/10.3390/diagnostics14242794
Lee SK, Joo MW, Kim J-Y, Bernthal NM. Postoperative Imaging of Bone and Soft Tissue Tumors in the Extremity: A Comprehensive Review. Diagnostics. 2024; 14(24):2794. https://doi.org/10.3390/diagnostics14242794
Chicago/Turabian StyleLee, Seul Ki, Min Wook Joo, Jee-Young Kim, and Nicholas Matthew Bernthal. 2024. "Postoperative Imaging of Bone and Soft Tissue Tumors in the Extremity: A Comprehensive Review" Diagnostics 14, no. 24: 2794. https://doi.org/10.3390/diagnostics14242794
APA StyleLee, S. K., Joo, M. W., Kim, J.-Y., & Bernthal, N. M. (2024). Postoperative Imaging of Bone and Soft Tissue Tumors in the Extremity: A Comprehensive Review. Diagnostics, 14(24), 2794. https://doi.org/10.3390/diagnostics14242794

