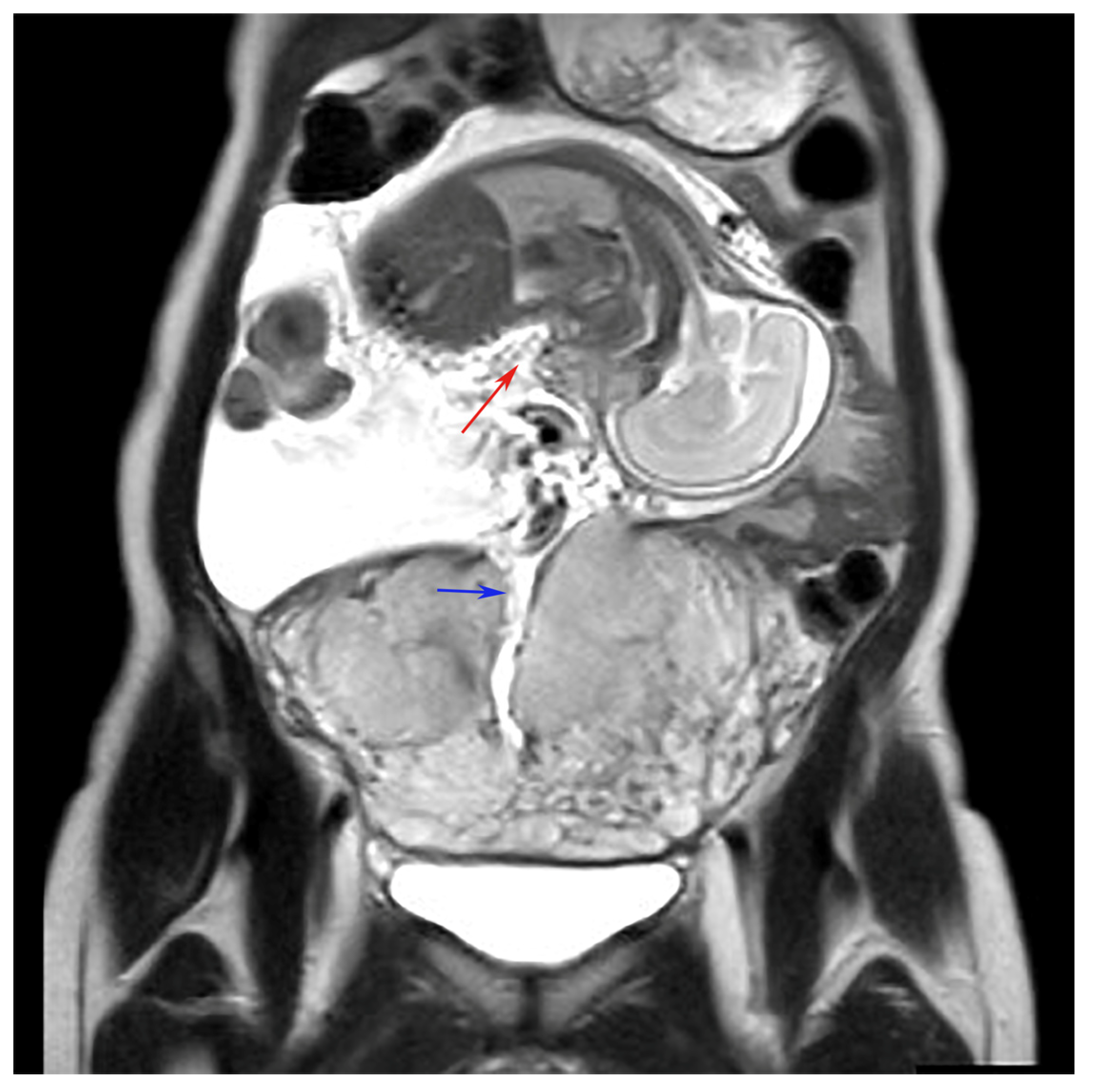
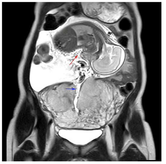
Fetus in the Abdominal Cavity After Uterine Rupture in a Primigravida Post-Adenomyosis Enucleation
Abstract
Author Contributions
Funding
Institutional Review Board Statement
Informed Consent Statement
Data Availability Statement
Conflicts of Interest
References
- Cozzolino, M.; Tartaglia, S.; Pellegrini, L.; Troiano, G.; Rizzo, G.; Petraglia, F. The effect of uterine adenomyosis on IVF outcomes: A systematic review and meta-analysis. Reprod. Sci. 2022, 29, 3177–3319. [Google Scholar] [CrossRef] [PubMed]
- Younes, G.; Tulandi, T. Effects of adenomyosis on in vitro fertilization treatment outcomes: A meta-analysis. Fertil. Steril. 2017, 108, 483–490. [Google Scholar] [CrossRef] [PubMed]
- Sayama, S.; Iriyama, T.; Hashimoto, A.; Suzuki, K.; Ariyoshi, Y.; Yano, E.; Toshimitsu, M.; Ichinose, M.; Seyama, T.; Sone, K.; et al. Possible risks and benefits of adenomyomectomy on pregnancy outcomes: A retrospective analysis. AJOG Glob. Rep. 2023, 3, 100265. [Google Scholar] [CrossRef] [PubMed]
- Ronel, D.; Wiznitzer, A.; Sergienko, R.; Zlotnik, A.; Sheiner, E. Trends, risk factors and pregnancy outcome in women with uterine rupture. Arch. Gynecol. Obstet. 2012, 285, 317–321. [Google Scholar] [CrossRef] [PubMed]
- Nagao, Y.; Osato, K.; Kubo, M.; Kawamura, T.; Ikeda, T.; Yamawaki, T. Spontaneous uterine rupture in the 35th week of gestation after laparoscopic adenomyomectomy. Int. Med. Case Rep. J 2016, 9, 1–4. [Google Scholar] [CrossRef] [PubMed][Green Version]
- Osada, H. Uterine adenomyosis and adenomyoma: The surgical approach. Fertil. Steril. 2018, 109, 406–417. [Google Scholar] [CrossRef] [PubMed]
- Guiliano, M.; Closset, E.; Therby, D.; LeGoueff, F.; Deruelle, P.; Subtil, D. Signs, symptoms and complications of complete and partial uterine ruptures during pregnancy and delivery. Eur. J. Obstet. Gynecol. Reprod. Biol. 2014, 179, 130–134. [Google Scholar] [CrossRef] [PubMed]
- Langhe, R.; Shah, U.F.; Alfathil, A.; Gannon, M. Silent uterine rupture in scarred uterus. BMJ Case Rep. 2017, 2017, bcr2016218189. [Google Scholar] [CrossRef] [PubMed]
- Xiao, J.; Zhang, C.; Zhang, Y.; Zhao, F.; Yang, J.; Li, G.; Zhou, X. Ultrasonic manifestations and clinical analysis of 25 uterine rupture cases. J. Obstet. Gynaecol. Res. 2021, 47, 1397–1408. [Google Scholar] [CrossRef] [PubMed]
- Aboughalia, H.; Basavalingu, D.; Revzin, M.V.; Sienas, L.E.; Katz, D.S.; Moshiri, M. Imaging evaluation of uterine perforation and rupture. Abdom. Radiol. 2021, 46, 4946–4966. [Google Scholar] [CrossRef] [PubMed]



Disclaimer/Publisher’s Note: The statements, opinions and data contained in all publications are solely those of the individual author(s) and contributor(s) and not of MDPI and/or the editor(s). MDPI and/or the editor(s) disclaim responsibility for any injury to people or property resulting from any ideas, methods, instructions or products referred to in the content. |
© 2024 by the authors. Licensee MDPI, Basel, Switzerland. This article is an open access article distributed under the terms and conditions of the Creative Commons Attribution (CC BY) license (https://creativecommons.org/licenses/by/4.0/).
Share and Cite
Kamata, S.; Ando, H.; Matsuda, E.; Aoki, A.; Komatsu, A.; Kawana, K. Fetus in the Abdominal Cavity After Uterine Rupture in a Primigravida Post-Adenomyosis Enucleation. Diagnostics 2024, 14, 2470. https://doi.org/10.3390/diagnostics14222470
Kamata S, Ando H, Matsuda E, Aoki A, Komatsu A, Kawana K. Fetus in the Abdominal Cavity After Uterine Rupture in a Primigravida Post-Adenomyosis Enucleation. Diagnostics. 2024; 14(22):2470. https://doi.org/10.3390/diagnostics14222470
Chicago/Turabian StyleKamata, Saki, Hanano Ando, Erina Matsuda, Aiko Aoki, Atsushi Komatsu, and Kei Kawana. 2024. "Fetus in the Abdominal Cavity After Uterine Rupture in a Primigravida Post-Adenomyosis Enucleation" Diagnostics 14, no. 22: 2470. https://doi.org/10.3390/diagnostics14222470
APA StyleKamata, S., Ando, H., Matsuda, E., Aoki, A., Komatsu, A., & Kawana, K. (2024). Fetus in the Abdominal Cavity After Uterine Rupture in a Primigravida Post-Adenomyosis Enucleation. Diagnostics, 14(22), 2470. https://doi.org/10.3390/diagnostics14222470
