Percutaneous Computed Tomography (CT) Fluoroscopy-Guided Biopsy of the Spleen Using Fibrin Glue as a Sealant
Abstract
1. Introduction
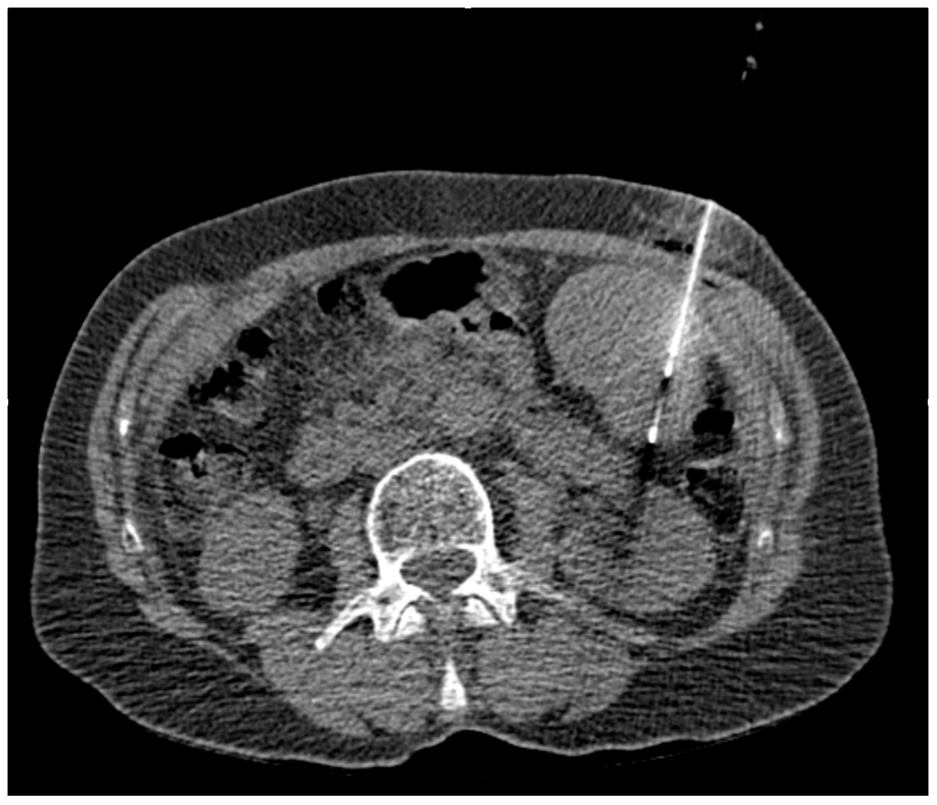
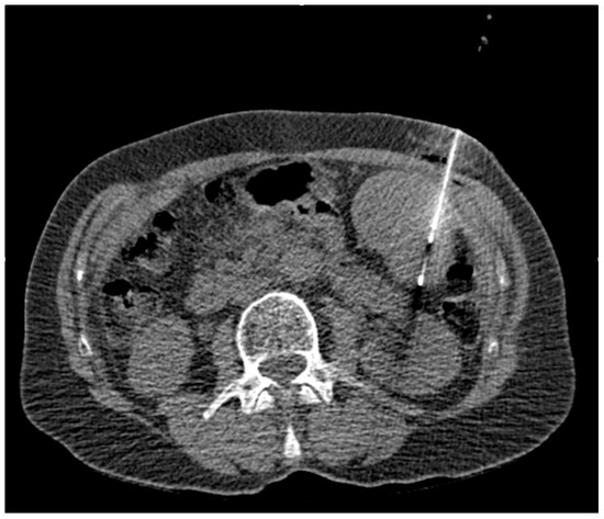
2. Materials and Methods
2.1. Study Population
2.2. Outcome Measures
3. Results
Complications
4. Discussion
5. Conclusions
Supplementary Materials
Author Contributions
Funding
Institutional Review Board Statement
Informed Consent Statement
Data Availability Statement
Acknowledgments
Conflicts of Interest
References
- Siewert, B.; Millo, N.Z.; Sahi, K.; Sheiman, R.G.; Brook, O.R.; Sun, M.R.M.; Kane, R.A. The Incidental Splenic Mass at CT: Does It Need Further Work-up? An Observational Study. Radiology 2018, 287, 156–166. [Google Scholar] [CrossRef] [PubMed]
- Corvino, A.; Granata, V.; Tafuri, D.; Cocco, G.; Catalano, O. Incidental Focal Spleen Lesions: Integrated Imaging and Pattern Recognition Approach to the Differential Diagnosis. Diagnostics 2023, 13, 2536. [Google Scholar] [CrossRef] [PubMed]
- Pugalenthi, A.; Bradley, C.; Gonen, M.; Do, K.G.; Strong, V.; Jarnagin, W.; Coit, D.; Kingham, T.P. Splenectomy to Treat Splenic Lesions: An Analysis of 148 Cases at a Cancer Center: Splenectomy for Splenic Lesions. J. Surg. Oncol. 2013, 108, 521–525. [Google Scholar] [CrossRef] [PubMed]
- Fasih, N.; Gulati, A.; Ryan, J.; Ramanathan, S.; Prasad Shanbhogue, A.K.; McInnes, M.; Macdonald, D.B.; Fraser-Hill, M.A.; Walsh, C.; Kielar, A.Z.; et al. The Mysterious Organ. Spectrum of Focal Lesions within the Splenic Parenchyma: Cross-Sectional Imaging with Emphasis on Magnetic Resonance Imaging. Can. Assoc. Radiol. J. 2014, 65, 19–28. [Google Scholar] [CrossRef] [PubMed]
- Kaza, R.K.; Azar, S.; Al-Hawary, M.M.; Francis, I.R. Review: Primary and Secondary Neoplasms of the Spleen. Cancer Imaging 2010, 10, 173–182. [Google Scholar] [CrossRef]
- Patel, N.; Dawe, G.; Tung, K. Ultrasound-Guided Percutaneous Splenic Biopsy Using an 18-G Core Biopsy Needle: Our Experience with 52 Cases. BJR 2015, 88, 20150400. [Google Scholar] [CrossRef] [PubMed]
- John, S.; Shabana, W.; Salameh, J.-P.; McInnes, M.D.F. Percutaneous Image-Guided Biopsy of the Spleen: Experience at a Single Tertiary Care Center. Can. Assoc. Radiol. J. 2021, 72, 311–316. [Google Scholar] [CrossRef]
- Weledji, E.P. Benefits and Risks of Splenectomy. Int. J. Surg. 2014, 12, 113–119. [Google Scholar] [CrossRef]
- McInnes, M.D.F.; Kielar, A.Z.; Macdonald, D.B. Percutaneous Image-Guided Biopsy of the Spleen: Systematic Review and Meta-Analysis of the Complication Rate and Diagnostic Accuracy. Radiology 2011, 260, 699–708. [Google Scholar] [CrossRef]
- Atwell, T.D.; Smith, R.L.; Hesley, G.K.; Callstrom, M.R.; Schleck, C.D.; Harmsen, W.S.; Charboneau, J.W.; Welch, T.J. Incidence of Bleeding After 15,181 Percutaneous Biopsies and the Role of Aspirin. Am. J. Roentgenol. 2010, 194, 784–789. [Google Scholar] [CrossRef]
- Liang, P.; Gao, Y.; Wang, Y.; Yu, X.; Yu, D.; Dong, B. US-Guided Percutaneous Needle Biopsy of the Spleen Using 18-Gauge versus 21-Gauge Needles. J. Clin. Ultrasound 2007, 35, 477–482. [Google Scholar] [CrossRef]
- Neal, D.; Robila, V.; Chesney, A.; Sayeed, S. Fine Needle Aspiration and Core Needle Biopsy of the Spleen: A Case Series Illustrating Current Practices and Challenges. Diagn. Cytopathol. 2021, 49, 1196–1206. [Google Scholar] [CrossRef]
- Lisotti, A.; Crinò, S.F.; Mangiavillano, B.; Cominardi, A.; Ofosu, A.; Brighi, N.; Metelli, F.; Zagari, R.M.; Facciorusso, A.; Fusaroli, P. Diagnostic Performance of Endoscopic Ultrasound-Guided Tissue Acquisition of Splenic Lesions: Systematic Review with Pooled Analysis. Gastroenterol. Rep. 2022, 10, goac022. [Google Scholar] [CrossRef]
- Olmi, S.; Scaini, A.; Erba, L.; Bertolini, A.; Croce, E. Use of Fibrin Glue (Tissucol) as a Hemostatic in Laparoscopic Conservative Treatment of Spleen Trauma. Surg. Endosc. 2007, 21, 2051–2054. [Google Scholar] [CrossRef]
- Tsang, W.; Luk, W.; Lo, A.X. Ultrasound-Guided Plugged Percutaneous Biopsy of Solid Organs in Patients with Bleeding Tendencies. Hong Kong Med. J. 2014, 20, 107–112. [Google Scholar] [CrossRef]
- Paulson, E.K.; Stephenson, G.R.; Neal, M.C.; Rossin, V.; Lawson, J.H. Use of Fibrin Sealant as a Hemostatic Agent after Liver Biopsy in Swine. J. Vasc. Interv. Radiol. 2000, 11, 905–911. [Google Scholar] [CrossRef]
- Chisholm, R.A.; Jones, S.N.; Lees, W.R. Fibrin Sealant as a Plug for the Post Liver Biopsy Needle Track. Clin. Radiol. 1989, 40, 627–628. [Google Scholar] [CrossRef]
- Keogan, M.T.; Freed, K.S.; Paulson, E.K.; Nelson, R.C.; Dodd, L.G. Imaging-Guided Percutaneous Biopsy of Focal Splenic Lesions: Update on Safety and Effectiveness. Am. J. Roentgenol. 1999, 172, 933–937. [Google Scholar] [CrossRef]
- Filippiadis, D.K.; Binkert, C.; Pellerin, O.; Hoffmann, R.T.; Krajina, A.; Pereira, P.L. Cirse Quality Assurance Document and Standards for Classification of Complications: The Cirse Classification System. Cardiovasc. Interv. Radiol. 2017, 40, 1141–1146. [Google Scholar] [CrossRef]
- Kumar, A.; Kindell, D.; Desai, C.S. Littoral Cell Angioma of the Spleen. J. Gastrointest. Surg. 2021, 25, 2426–2428. [Google Scholar] [CrossRef] [PubMed]
- Jones, D.; Neal, R.D.; Duffy, S.R.G.; Scott, S.E.; Whitaker, K.L.; Brain, K. Impact of the COVID-19 Pandemic on the Symptomatic Diagnosis of Cancer: The View from Primary Care. Lancet Oncol. 2020, 21, 748–750. [Google Scholar] [CrossRef]
- Fleckenstein, F.N.; Maleitzke, T.; Böning, G.; Kahl, V.; Petukhova-Greenstein, A.; Kucukkaya, A.S.; Gebauer, B.; Hamm, B.; Aigner, A. Changes of Radiological Examination Volumes over the Course of the COVID-19 Pandemic: A Comprehensive Analysis of the Different Waves of Infection. Insights Imaging 2022, 13, 41. [Google Scholar] [CrossRef]
- Heller, M.T.; Harisinghani, M.; Neitlich, J.D.; Yeghiayan, P.; Berland, L.L. Managing Incidental Findings on Abdominal and Pelvic CT and MRI, Part 3: White Paper of the ACR Incidental Findings Committee II on Splenic and Nodal Findings. J. Am. Coll. Radiol. 2013, 10, 833–839. [Google Scholar] [CrossRef]
- Rodríguez-Luna, M.R.; Balagué, C.; Fernández-Ananín, S.; Vilallonga, R.; Targarona Soler, E.M. Outcomes of Laparoscopic Splenectomy for Treatment of Splenomegaly: A Systematic Review and Meta-Analysis. World J. Surg. 2021, 45, 465–479. [Google Scholar] [CrossRef]
- Dutta, R.; Okhunov, Z.; Vernez, S.L.; Kaler, K.; Gulati, A.T.; Youssef, R.F.; Nelson, K.; Lotan, Y.; Landman, J. Cost Comparisons Between Different Techniques of Percutaneous Renal Biopsy for Small Renal Masses. J. Endourol. 2016, 30, S-28–S-33. [Google Scholar] [CrossRef]
- Pasha, T.; Gabriel, S.; Therneau, T.; Dickson, E.R.; Lindor, K.D. Cost-Effectiveness of Ultrasound-Guided Liver Biopsy. Hepatology 1998, 27, 1220–1226. [Google Scholar] [CrossRef]
- Kliewer, M.A.; Sheafor, D.H.; Paulson, E.K.; Helsper, R.S.; Hertzberg, B.S.; Nelson, R.C. Percutaneous Liver Biopsy: A Cost-Benefit Analysis Comparing Sonographic and CT Guidance. Am. J. Roentgenol. 1999, 173, 1199–1202. [Google Scholar] [CrossRef] [PubMed][Green Version]
- Olson, M.C.; Atwell, T.D.; Harmsen, W.S.; Konrad, A.; King, R.L.; Lin, Y.; Wall, D.J. Safety and Accuracy of Percutaneous Image-Guided Core Biopsy of the Spleen. Am. J. Roentgenol. 2016, 206, 655–659. [Google Scholar] [CrossRef]
- Guo, R.-Q.; Li, X.-G. Seven Case Reports on the Prevention of Hemorrhage after Percutaneous Computed Tomography-Guided Core-Needle Biopsy of the Spleen. J. Can. Res. Ther. 2020, 16, 1182. [Google Scholar] [CrossRef]



| Study Population | |
|---|---|
| Age in years (median + IQR) | 65 + 16.5 years |
| Male-to-female ratio | 12 to 8 |
| Median biopsy duration | 19 min |
| Median radiation dose per procedure (dose-length product) | 316 mGy-cm (DLP) |
| n= | Histologic Results |
|---|---|
| 10 | B-cell lymphoma |
| 1 | Extramedullary hematopoesis |
| 1 | Normal spleen tissue, slight increase in histiocytes (= inconclusive) |
| 1 | Infarction |
| 1 | Metastasis of an estrogen receptor-positive, HER2-negative carcinoma |
| 1 | Dendritic/histiocytic sarcoma (Langerhans cell sarcoma) |
| 1 | Angiosarcoma |
| 1 | Purulent infection |
| 3 | Regular spleen tissue |
Disclaimer/Publisher’s Note: The statements, opinions and data contained in all publications are solely those of the individual author(s) and contributor(s) and not of MDPI and/or the editor(s). MDPI and/or the editor(s) disclaim responsibility for any injury to people or property resulting from any ideas, methods, instructions or products referred to in the content. |
© 2024 by the authors. Licensee MDPI, Basel, Switzerland. This article is an open access article distributed under the terms and conditions of the Creative Commons Attribution (CC BY) license (https://creativecommons.org/licenses/by/4.0/).
Share and Cite
Segger, L.; Lerchbaumer, M.H.; Collettini, F.; Hamm, B.; Fleckenstein, F.N.; Fehrenbach, U.; Gebauer, B.; Auer, T.A. Percutaneous Computed Tomography (CT) Fluoroscopy-Guided Biopsy of the Spleen Using Fibrin Glue as a Sealant. Diagnostics 2024, 14, 162. https://doi.org/10.3390/diagnostics14020162
Segger L, Lerchbaumer MH, Collettini F, Hamm B, Fleckenstein FN, Fehrenbach U, Gebauer B, Auer TA. Percutaneous Computed Tomography (CT) Fluoroscopy-Guided Biopsy of the Spleen Using Fibrin Glue as a Sealant. Diagnostics. 2024; 14(2):162. https://doi.org/10.3390/diagnostics14020162
Chicago/Turabian StyleSegger, Laura, Markus Herbert Lerchbaumer, Federico Collettini, Bernd Hamm, Florian Nima Fleckenstein, Uli Fehrenbach, Bernhard Gebauer, and Timo A. Auer. 2024. "Percutaneous Computed Tomography (CT) Fluoroscopy-Guided Biopsy of the Spleen Using Fibrin Glue as a Sealant" Diagnostics 14, no. 2: 162. https://doi.org/10.3390/diagnostics14020162
APA StyleSegger, L., Lerchbaumer, M. H., Collettini, F., Hamm, B., Fleckenstein, F. N., Fehrenbach, U., Gebauer, B., & Auer, T. A. (2024). Percutaneous Computed Tomography (CT) Fluoroscopy-Guided Biopsy of the Spleen Using Fibrin Glue as a Sealant. Diagnostics, 14(2), 162. https://doi.org/10.3390/diagnostics14020162

