Next Article in Journal
Application of the 5th WHO Guidelines for the Diagnosis of Lung Carcinoma in Small Lung Biopsies in a Tertiary Care Center: Is Insecurity of Pathologists for the Accurate Diagnosis Justified?
Next Article in Special Issue
The Bleeding Edge: Managing Coagulation and Bleeding Risk in Patients with Cirrhosis Undergoing Interventional Procedures
Previous Article in Journal
Review of In Situ Hybridization (ISH) Stain Images Using Computational Techniques
Previous Article in Special Issue
The Impact of Histologic Portal T-Cell Density on the Clinical Outcomes in Hepatic Graft-versus-Host Disease and Autoimmune Liver Diseases
 
 
Font Type:
Arial Georgia Verdana
Font Size:
Aa Aa Aa
Line Spacing:
Column Width:
Background:
Interesting Images

Atraumatic Hepatic Laceration with Hemoperitoneum

by
Gaetano Maria Russo
*,
Evangelia Zoi
,
Imma D’Iglio
and
Maria Luisa Mangoni di Santo Stefano
Ospedali Riuniti Area Nolana, 80035 Napoli, Italy
*
Author to whom correspondence should be addressed.
Diagnostics 2024, 14(18), 2088; https://doi.org/10.3390/diagnostics14182088
Submission received: 29 August 2024 / Revised: 18 September 2024 / Accepted: 19 September 2024 / Published: 21 September 2024
(This article belongs to the Special Issue Diagnosis and Management of Liver Diseases—2nd Edition)

Abstract

Introduction: A rare case of atraumatic liver laceration associated with hemoperitoneum is presented in a patient with amyloidosis who came to the hospital for abdominal pain. Case Presentation: The imaging findings reveal significant hepatomegaly with finely heterogeneous hepatic density and subcapsular hypo-dense streaks in segments VI and VII, likely representing lesions. Post-contrast enhancement shows a punctiform contrast medium extravasation within the subhepatic fluid collection, visible from the arterial phase and intensifying in subsequent study phases. Discussion: These imaging findings suggest an atraumatic hepatic laceration, a diagnosis confirmed by the presence of hemoperitoneum distributed bilaterally under the diaphragm, in the paracolic gutters, along the mesentery root, and predominantly in the peri-hepatic region. Conclusion: The detailed imaging analysis provided critical insights into the diagnosis and management of this rare clinical presentation.

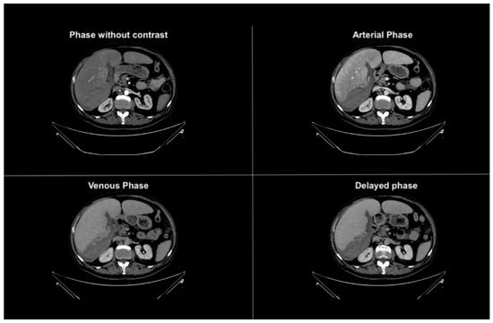
Figure 1. Axial phases without and with contrast CT images demonstrating hepatomegaly with a liver length of approximately 25 cm. The liver parenchyma displays a finely and diffusely heterogeneous density.
Figure 1. Axial phases without and with contrast CT images demonstrating hepatomegaly with a liver length of approximately 25 cm. The liver parenchyma displays a finely and diffusely heterogeneous density.
Diagnostics 14 02088 g001
Figure 2. Coronal CT images in different phases showing subdiaphragmatic fluid collection bilaterally, within the paracolic gutters, and prominently around the liver. The fluid collection is suggestive of hemoperitoneum.
Figure 2. Coronal CT images in different phases showing subdiaphragmatic fluid collection bilaterally, within the paracolic gutters, and prominently around the liver. The fluid collection is suggestive of hemoperitoneum.
Diagnostics 14 02088 g002
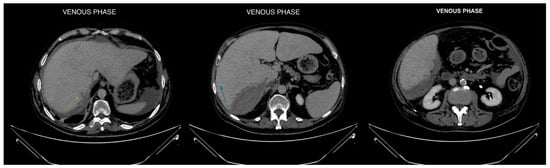
Figure 3. Axial CT images in venous phase focused on liver segments VI and VII, revealing hypodense subcapsular streaks (maximum extension of approximately 1.5 cm). These findings are consistent with hepatic lesions, likely indicative of a laceration [1,2].
Figure 3. Axial CT images in venous phase focused on liver segments VI and VII, revealing hypodense subcapsular streaks (maximum extension of approximately 1.5 cm). These findings are consistent with hepatic lesions, likely indicative of a laceration [1,2].
Diagnostics 14 02088 g003
Figure 4. Axial CT images in different phases, highlighting extravasation of contrast medium within the subhepatic fluid collection. The extravasation becomes more prominent in the last phases, confirming the presence of active bleeding. The purple arrow demonstrates blood extravasation in the collection during the venous and delayed phases of the study, not visible in the baseline and arterial phases.
Figure 4. Axial CT images in different phases, highlighting extravasation of contrast medium within the subhepatic fluid collection. The extravasation becomes more prominent in the last phases, confirming the presence of active bleeding. The purple arrow demonstrates blood extravasation in the collection during the venous and delayed phases of the study, not visible in the baseline and arterial phases.
Diagnostics 14 02088 g004
Figure 5. Axial CT images in different phases, highlighting extravasation of contrast medium within the subhepatic fluid collection. In the venous and delayed contrast-enhanced phases, a difference in the density of the perihepatic fluid collection is observed, indicating ongoing active bleeding. The lower border of the liver shows a blurred contour, especially evident along its inferior surface [3].
Figure 5. Axial CT images in different phases, highlighting extravasation of contrast medium within the subhepatic fluid collection. In the venous and delayed contrast-enhanced phases, a difference in the density of the perihepatic fluid collection is observed, indicating ongoing active bleeding. The lower border of the liver shows a blurred contour, especially evident along its inferior surface [3].
Diagnostics 14 02088 g005

Author Contributions

Conceptualization, G.M.R. and M.L.M.d.S.S.; methodology, E.Z. and I.D.; software, G.M.R.; validation, M.L.M.d.S.S.; formal analysis, E.Z. and I.D.; investigation, E.Z. and I.D.; resources, G.M.R.; data curation, G.M.R.; writing—original draft preparation, G.M.R. and I.D.; writing—review and editing, G.M.R.; visualization, E.Z.; supervision, M.L.M.d.S.S.; project administration, G.M.R.; funding acquisition, M.L.M.d.S.S. All authors have read and agreed to the published version of the manuscript.

Funding

This research received no external funding.

Institutional Review Board Statement

Not applicable.

Informed Consent Statement

Informed consent was obtained from all subjects involved in the study, according to the guidelines of the SIRM.

Conflicts of Interest

The authors declare no conflicts of interest.

References

  1. Bujanda, L.; Beguiristain, A.; Alberdi, F.; Cosme, A.; Ruíz de la Hermosa, J.; Gutiérrez-Stampa, F.; Arenas, J.I. Spontaneous rupture of the liver in amyloidosis. Am. J. Gastroenterol. 1997, 92, 1385–1386. [Google Scholar] [PubMed]
  2. Huang, B.; Gkekas, I.; Sparellid, E. Amyloidosis and Spontaneous Liver Bleeding: A Case Report and Literature Review. J. Surg. 2019, 7, 96–100. [Google Scholar] [CrossRef]
  3. Leonard-Murali, S.; Nasser, H.; Ivanics, T.; Woodward, A. Spontaneous hepatic rupture due to primary amyloidosis. BMJ Case Rep. 2019, 12, e232448. [Google Scholar] [CrossRef] [PubMed] [PubMed Central]
Disclaimer/Publisher’s Note: The statements, opinions and data contained in all publications are solely those of the individual author(s) and contributor(s) and not of MDPI and/or the editor(s). MDPI and/or the editor(s) disclaim responsibility for any injury to people or property resulting from any ideas, methods, instructions or products referred to in the content.

Share and Cite

MDPI and ACS Style

Russo, G.M.; Zoi, E.; D’Iglio, I.; Mangoni di Santo Stefano, M.L. Atraumatic Hepatic Laceration with Hemoperitoneum. Diagnostics 2024, 14, 2088. https://doi.org/10.3390/diagnostics14182088

AMA Style

Russo GM, Zoi E, D’Iglio I, Mangoni di Santo Stefano ML. Atraumatic Hepatic Laceration with Hemoperitoneum. Diagnostics. 2024; 14(18):2088. https://doi.org/10.3390/diagnostics14182088

Chicago/Turabian Style

Russo, Gaetano Maria, Evangelia Zoi, Imma D’Iglio, and Maria Luisa Mangoni di Santo Stefano. 2024. "Atraumatic Hepatic Laceration with Hemoperitoneum" Diagnostics 14, no. 18: 2088. https://doi.org/10.3390/diagnostics14182088

APA Style

Russo, G. M., Zoi, E., D’Iglio, I., & Mangoni di Santo Stefano, M. L. (2024). Atraumatic Hepatic Laceration with Hemoperitoneum. Diagnostics, 14(18), 2088. https://doi.org/10.3390/diagnostics14182088

Note that from the first issue of 2016, this journal uses article numbers instead of page numbers. See further details here.

Article Metrics

Back to TopTop