A Novel Algorithm for Forensic Identification Using Geometric Cranial Patterns in Digital Lateral Cephalometric Radiographs in Forensic Dentistry
Abstract
1. Introduction
2. Materials and Methods
2.1. The Proposed K-VIN Algorithm
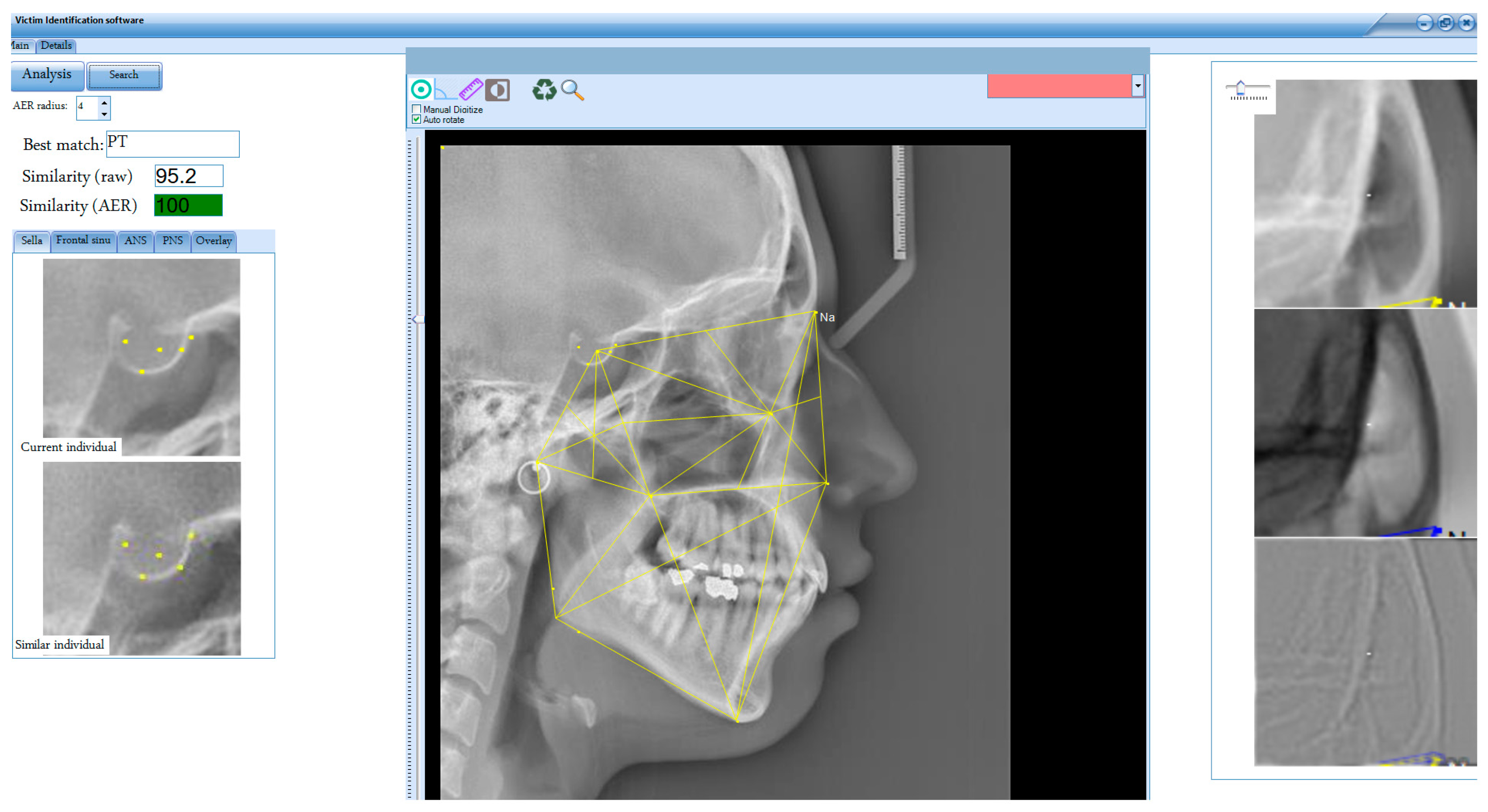
2.2. Radiographic Landmark Selection for Encoding Cranial AM Structural Patterns
2.3. Geometric Measurement of Craniofacial Bone Structures
2.4. Ratio Calculation
2.5. Encoding
- Encoder_1 = Code (RD) + Code (RD) + Code (RD × RAg) + Code (RD × RAr).
- Encoder_2 = Code (RAg) + Code (RAg) + Code (RAg × RD) + Code (Rag × RAr).
- Encoder_3 = Code (RAr) + Code (RAr) + Code (RAr × RD) + Code (RAr × RAg).
- Combination (string) = Encoder_1 + Encoder_2 + Encoder_3.
- Regularizer 1: This regularizer addresses the algorithm’s sensitivity to less stable cranial structures, such as the mandibular position (lower jaw). The position of the mandible can change over time due to factors like tooth loss, decay, and minor growth during adulthood [46], which can affect its reliability for identity recognition and reduce accuracy. To mitigate this issue, the regularizer assigns greater weight to measurements of more stable structures, such as the maxilla and cranial base, and less weight to the mandible (Figure 2).
- Regularizer 2: This regularizer defines interval values for encoding, with options for 2%, 5%, or 10% intervals. For example, values can be encoded in 2%, 5%, or 10% intervals, where values from 0 to 0.02 or 0 to 0.05 are assigned a specific code (e.g., code A). The same applies to the 10% interval. By default, a 5% interval is used, balancing between hypersensitivity (2%) and hyposensitivity (10%) in the encoding process.
2.6. Storage of Encoded Cephalogram Data
2.7. Victim Identification Stage
2.8. Algorithm Testing (Experimental Setup)
3. Results
4. Discussion
5. Conclusions
6. Patents
Author Contributions
Funding
Institutional Review Board Statement
Informed Consent Statement
Data Availability Statement
Conflicts of Interest
References
- Devereux, L.; Moles, D.; Cunningham, S.J.; McKnight, M. How important are lateral cephalometric radiographs in orthodontic treatment planning? Am. J. Orthod. Dentofac. Orthop. 2011, 139, e175–e181. [Google Scholar] [CrossRef]
- Proffit, W.R.; Fields, H.; Larson, B.; Sarver, D.M. Contemporary Orthodontics-E-Book; Elsevier Health Sciences: Amsterdam, The Netherlands, 2018. [Google Scholar]
- Cericato, G.; Bittencourt, M.; Paranhos, L. Validity of the assessment method of skeletal maturation by cervical vertebrae: A systematic review and meta-analysis. Dentomaxillofacial Radiol. 2015, 44, 20140270. [Google Scholar] [CrossRef]
- Alkofide, E. Pituitary adenoma: A cephalometric finding. Am. J. Orthod. Dentofac. Orthop. 2001, 120, 559–562. [Google Scholar] [CrossRef] [PubMed]
- Kolokitha, O.-E.; Topouzelis, N. Cephalometric methods of prediction in orthognathic surgery. J. Maxillofac. Oral Surg. 2011, 10, 236–245. [Google Scholar] [CrossRef] [PubMed]
- Ciaffi, R.; Gibelli, D.; Cattaneo, C. Forensic radiology and personal identification of unidentified bodies: A review. La Radiol. Medica 2011, 116, 960–968. [Google Scholar] [CrossRef] [PubMed]
- Stephan, C.N.; Winburn, A.P.; Christensen, A.F.; Tyrrell, A.J. Skeletal identification by radiographic comparison: Blind tests of a morphoscopic method using antemortem chest radiographs. J. Forensic Sci. 2011, 56, 320–332. [Google Scholar] [CrossRef]
- Niespodziewanski, E.; Stephan, C.N.; Guyomarc’h, P.; Fenton, T.W. Human identification via lateral patella radiographs: A validation study. J. Forensic Sci. 2016, 61, 134–140. [Google Scholar] [CrossRef]
- Reesu, G.V.; Woodsend, B.; Mânica, S.; Revie, G.F.; Brown, N.L.; Mossey, P.A. Automated Identification from Dental Data (AutoIDD): A new development in digital forensics. Forensic Sci. Int. 2020, 309, 110218. [Google Scholar] [CrossRef]
- Joshi, S.V.; Kanphade, R.D. Forensic approach of human identification using dual cross pattern of hand radiographs. In Proceedings of the Intelligent Systems Design and Applications: 18th International Conference on Intelligent Systems Design and Applications (ISDA 2018), Vellore, India, 6–8 December 2018; Volume 2, pp. 1075–1084. [Google Scholar]
- Bikker, J. Identification of missing persons and unidentified remains in disaster victim identification. Adv. Forensic Hum. Identif. 2014, 24, 37–58. [Google Scholar]
- Leo, C.; O’Connor, J.A.; McNulty, J. Combined radiographic and anthropological approaches to victim identification of partially decomposed or skeletal remains. Radiography 2013, 19, 353–362. [Google Scholar] [CrossRef]
- Jayakrishnan, J.M.; Reddy, J.; Kumar, R.V. Role of forensic odontology and anthropology in the identification of human remains. J. Oral Maxillofac. Pathol. JOMFP 2021, 25, 543. [Google Scholar] [CrossRef] [PubMed]
- Bastir, M.; Rosas, A.; O’Higgins, P. Craniofacial levels and the morphological maturation of the human skull. J. Anat. 2006, 209, 637–654. [Google Scholar] [CrossRef] [PubMed]
- Huang, G.J.; Graber, L.W.; Vanarsdall, R.L.; Vig, K.W. Orthodontics-E-Book: Current Principles and Techniques; Elsevier Health Sciences: St. Louis, MO, USA, 2016. [Google Scholar]
- Nie, X. Cranial base in craniofacial development: Developmental features, influence on facial growth, anomaly, and molecular basis. Acta Odontol. Scand. 2005, 63, 127–135. [Google Scholar] [CrossRef]
- Hallgrímsson, B.; Lieberman, D.E.; Liu, W.; Ford-Hutchinson, A.; Jirik, F. Epigenetic interactions and the structure of phenotypic variation in the cranium. Evol. Dev. 2007, 9, 76–91. [Google Scholar] [CrossRef]
- Jayaprakash, P.T.; Srinivasan, G. Skull sutures: Changing morphology during preadolescent growth and its implications in forensic identification. Forensic Sci. Int. 2013, 229, 166.e1–166.e13. [Google Scholar] [CrossRef]
- von Dorsche, S.H.; Fanghänel, J.; Kubein-Meesenburg, D.; Nägerl, H.; Hanschke, M. Interpretation of the vertical and longitudinal growth of the human skull. Ann. Anat. Anat. Anz. 1999, 181, 99–103. [Google Scholar] [CrossRef] [PubMed]
- Avelar, L.E.T.; Cardoso, M.A.; Bordoni, L.S.; de Miranda Avelar, L.; de Miranda Avelar, J.V. Aging and sexual differences of the human skull. Plast. Reconstr. Surg.–Glob. Open 2017, 5, e1297. [Google Scholar]
- Pereira, J.G.D.; Santos, J.B.S.; Sousa, S.P.d.; Franco, A.; Silva, R.H.A. Frontal sinuses as tools for human identification: A systematic review of imaging methods. Dentomaxillofacial Radiol. 2021, 50, 20200599. [Google Scholar] [CrossRef] [PubMed]
- Reichs, K.J. Quantified comparison of frontal sinus patterns by means of computed tomography. Forensic Sci. Int. 1993, 61, 141–168. [Google Scholar] [CrossRef]
- Uthman, A.T.; Al-Rawi, N.H.; Al-Naaimi, A.S.; Tawfeeq, A.S.; Suhail, E.H. Evaluation of frontal sinus and skull measurements using spiral CT scanning: An aid in unknown person identification. Forensic Sci. Int. 2010, 197, 124.e1–124.e7. [Google Scholar] [CrossRef]
- Moore, K.; Ross, A. Frontal sinus development and juvenile age estimation. Anat. Rec. 2017, 300, 1609–1617. [Google Scholar] [CrossRef] [PubMed]
- Sardi, M.L.; Joosten, G.G.; Pandiani, C.D.; Gould, M.M.; Anzelmo, M.; Ventrice, F. Frontal sinus ontogeny and covariation with bone structures in a modern human population. J. Morphol. 2018, 279, 871–882. [Google Scholar] [CrossRef]
- Butaric, L.N.; Campbell, J.L.; Fischer, K.M.; Garvin, H.M. Ontogenetic patterns in human frontal sinus shape: A longitudinal study using elliptical Fourier analysis. J. Anat. 2022, 241, 195–210. [Google Scholar] [CrossRef]
- Yoshino, M.; Miyasaka, S.; Sato, H.; Seta, S. Classification system of frontal sinus patterns by radiography. Its application to identification of unknown skeletal remains. Forensic Sci. Int. 1987, 34, 289–299. [Google Scholar] [CrossRef]
- Beaini, T.L.; Duailibi-Neto, E.F.; Chilvarquer, I.; Melani, R.F. Human identification through frontal sinus 3D superimposition: Pilot study with Cone Beam Computer Tomography. J. Forensic Leg. Med. 2015, 36, 63–69. [Google Scholar] [CrossRef]
- Carvalho, Y.; Jacometti, V.; Franco, A.; Da Silva, R.; Silva, R. Postmortem Computed Tomography of the Skull for Human Identification Based on the Morphology of Frontal Sinuses. Рoссийский Электрoнный Журнал Лучевoй Диагнoстики 2019, 9, 170–176. [Google Scholar] [CrossRef]
- Mohan, G.; Dharman, S. Sex determination and personal identification using frontal sinus and nasal septum–A forensic radiographic study. Prof. RK Sharma 2019, 13, 125. [Google Scholar] [CrossRef]
- Silva, R.F.; Rodrigues, L.G.; Manica, S.; do Rosario Junior, A.F. Human identification established by the analysis of frontal sinus seen in anteroposterior skull radiographs using the mento-naso technique: A forensic case report. RBOL-Rev. Bras. Odontol. Leg. 2019, 6, 1. [Google Scholar]
- Gómez, Ó.; Mesejo, P.; Ibáñez, Ó.; Valsecchi, A.; Bermejo, E.; Cerezo, A.; Pérez, J.; Alemán, I.; Kahana, T.; Damas, S. Evaluating artificial intelligence for comparative radiography. Int. J. Leg. Med. 2024, 138, 307–327. [Google Scholar] [CrossRef]
- Palamenghi, A.; Borlando, A.; De Angelis, D.; Sforza, C.; Cattaneo, C.; Gibelli, D. Exploring the potential of cranial non-metric traits as a tool for personal identification: The never-ending dilemma. Int. J. Leg. Med. 2021, 135, 2509–2518. [Google Scholar] [CrossRef]
- Dosi, T.; Vahanwala, S.; Gupta, D. Assessment of the effect of dimensions of the mandibular ramus and mental foramen on age and gender using digital panoramic radiographs: A retrospective study. Contemp. Clin. Dent. 2018, 9, 343–348. [Google Scholar]
- Albalawi, A.S.; Alam, M.K.; Vundavalli, S.; Ganji, K.K.; Patil, S. Mandible: An indicator for sex determination–A three-dimensional cone-beam computed tomography study. Contemp. Clin. Dent. 2019, 10, 69–73. [Google Scholar] [PubMed]
- Bozkurt, M.H.; Karagol, S. Statistical elimination based approach to jaw and tooth separation on panoramic radiographs for dental human identification. Multimed. Tools Appl. 2023, 82, 32117–32150. [Google Scholar]
- Manigandan, T.; Sumathy, C.; Elumalai, M.; Sathasivasubramanian, S.; Kannan, A. Forensic radiology in dentistry. J. Pharm. Bioallied Sci. 2015, 7, S260–S264. [Google Scholar]
- Ferreira Silva, R.; Fortes Picoli, F.; de Lucena Botelho, T.; Gomes Resende, R.; Franco, A. Forensic identification of decomposed human body through comparison between ante-mortem and post-mortem CT images of frontal sinuses: Case report. Acta Stomatol. Croat. Int. J. Oral. Sci. Dent. Med. 2017, 51, 227–231. [Google Scholar]
- Nikam, S.S.; Gadgil, R.M.; Bhoosreddy, A.R.; Shah, K.R.; Shirsekar, V.U. Personal identification in forensic science using uniqueness of radiographic image of frontal sinus. J. Forensic Odonto-Stomatol. 2015, 33, 1. [Google Scholar]
- Dedouit, F.; Savall, F.; Mokrane, F.; Rousseau, H.; Crubézy, E.; Rougé, D.; Telmon, N. Virtual anthropology and forensic identification using multidetector CT. Br. J. Radiol. 2014, 87, 20130468. [Google Scholar]
- Re, G.; Argo, A.; Midiri, M.; Cattaneo, C. Radiology in Forensic Medicine from Identification to Post-Mortem Imaging; Springer: Cham, Switzerland, 2020. [Google Scholar]
- Proffit, W.R.; Fields, H.W.; Sarver, D.M. Contemporary Orthodontics; Elsevier: São Paulo, Brasil, 2007. [Google Scholar]
- Phulari, B. An Atlas on Cephalometric Landmarks; JP Medical Ltd.: Hong Kong, China, 2013. [Google Scholar]
- Rakosi, T.; Jonas, I.; Graber, T.M. Color atlas of dental medicine, Orthodontic-Diagnosis. Am. J. Orthod. Dentofac. Orthop. 1994, 105, 613. [Google Scholar]
- Weisstein, E.W. Heron’s Formula. 2003. Available online: https://mathworld.wolfram.com/HeronsFormula.html (accessed on 15 August 2024).
- Ozturk, C.N.; Ozturk, C.; Bozkurt, M.; Uygur, H.S.; Papay, F.A.; Zins, J.E. Dentition, bone loss, and the aging of the mandible. Aesthet. Surg. J. 2013, 33, 967–974. [Google Scholar] [CrossRef]
- Zhang, S.; Hu, Y.; Bian, G. Research on string similarity algorithm based on Levenshtein Distance. In Proceedings of the 2017 IEEE 2nd Advanced Information Technology, Electronic and Automation Control Conference (IAEAC), Chongqing, China, 25–26 March 2017; pp. 2247–2251. [Google Scholar]
- Trpkova, B.; Major, P.; Prasad, N.; Nebbe, B. Cephalometric landmarks identification and reproducibility: A meta analysis. Am. J. Orthod. Dentofac. Orthop. 1997, 112, 165–170. [Google Scholar] [CrossRef]
- Hägg, U.; Cooke, M.S.; Chan, T.C.; Tng, T.T.; Lau, P.Y. The reproducibility of cephalometric landmarks: An experimental study on skulls. Australas. Orthod. J. 1998, 15, 177–185. [Google Scholar] [CrossRef]
- Christensen, A.M. Testing the reliability of frontal sinuses in positive identification. J. Forensic Sci. 2005, 50, JFS2004145. [Google Scholar] [CrossRef]
- Da Silva, R.F.; Prado, F.B.; Caputo, I.G.C.; Devito, K.L.; de Luscena Botelho, T.; Júnior, E.D. The forensic importance of frontal sinus radiographs. J. Forensic Leg. Med. 2009, 16, 18–23. [Google Scholar] [CrossRef]
- Patil, N.; Karjodkar, F.R.; Sontakke, S.; Sansare, K.; Salvi, R. Uniqueness of radiographic patterns of the frontal sinus for personal identification. Imaging Sci. Dent. 2012, 42, 213–217. [Google Scholar] [CrossRef]
- Kirk, N.J.; Wood, R.E.; Goldstein, M. Skeletal identification using the frontal sinus region: A retrospective study of 39 cases. J. Forensic Sci. 2002, 47, 318–323. [Google Scholar] [CrossRef]
- Marsya, G.; Sasmita, I.S.; Oscandar, F. Overview of the frontal sinus anteroposterior size based on against lateral cephalometric radiographs chronological age as forensic identification. Padjadjaran J. Dent. 2017, 29, 2. [Google Scholar] [CrossRef]
- de Barros, F.; da Costa Serra, M.; Kuhnen, B.; Matos, R.A.; da Silva Fernandes, C.M. Orthodontic 2D and 3D frontal sinus imaging records: An important role in human identification. Res. Soc. Dev. 2021, 10, e49110313608. [Google Scholar] [CrossRef]
- Chiam, S.-L.; Page, M.; Higgins, D.; Taylor, J. Validity of forensic odontology identification by comparison of conventional dental radiographs: A scoping review. Sci. Justice 2019, 59, 93–101. [Google Scholar] [CrossRef]
- de Boer, H.H.; Blau, S.; Delabarde, T.; Hackman, L. The role of forensic anthropology in disaster victim identification (DVI): Recent developments and future prospects. Forensic Sci. Res. 2019, 4, 303–315. [Google Scholar] [CrossRef]
- Ghanbari, S.; Ashtyani, Z.P.; Masouleh, M.T. User identification based on hand geometrical biometrics using media-pipe. In Proceedings of the 2022 30th International Conference on Electrical Engineering (ICEE), Tehran, Iran, 17–19 May 2022; pp. 373–378. [Google Scholar]
- von Cramon-Taubadel, N. Evolutionary insights into global patterns of human cranial diversity: Population history, climatic and dietary effects. J. Anthropol. Sci. 2014, 92, 43–77. [Google Scholar]
- Silva, R.; Botelho, T.; Prado, F.; Kawagushi, J.; Daruge Júnior, E.; Bérzin, F. Human identification based on cranial computed tomography scan—A case report. Dentomaxillofacial Radiol. 2011, 40, 257–261. [Google Scholar] [CrossRef]
- Wang, J.-J.; Wang, J.-L.; Chen, Y.-L.; Li, W.-S. A post-processing technique for cranial CT image identification. Forensic Sci. Int. 2012, 221, 23–28. [Google Scholar] [CrossRef]
- Šavc, M.; Sedej, G.; Potočnik, B. Cephalometric landmark detection in lateral skull X-ray images by using improved SpatialConfiguration-Net. Appl. Sci. 2022, 12, 4644. [Google Scholar] [CrossRef]
- Polizzi, A.; Leonardi, R. Automatic cephalometric landmark identification with artificial intelligence: An umbrella review of systematic reviews. J. Dent. 2024, 146, 105056. [Google Scholar] [CrossRef]
- Li, H.; Xu, Y.; Lei, Y.; Wang, Q.; Gao, X. Automatic classification for sagittal craniofacial patterns based on different convolutional neural networks. Diagnostics 2022, 12, 1359. [Google Scholar] [CrossRef] [PubMed]
- Araya-Díaz, P.; Ruz, G.A.; Palomino, H.M. Discovering Craniofacial Patterns Using Multivariate Cephalometric Data for Treatment Decision Making in Orthodontics. Int. J. Morphol. 2013, 31, 1109–1115. [Google Scholar] [CrossRef][Green Version]













| Landmark | Description |
|---|---|
| Nasion (NA) | The anterior point where the nasal and frontal bones intersect [42,43]. |
| Sella (S) | The midpoint of the pituitary fossa, also known as the sella turcica [42,43]. |
| Orbitale (Or) | The lowest point on the inferior margin of the orbit [42,43]. |
| ANS | Anterior nasal spine, the tip of the anterior nasal spine (sometimes modified as the point on the upper or lower contour of the spine where it is 3 mm thick) [42,43]. |
| PNS | The posterior nasal spine, defined as the tip of the palatine bone’s posterior spine at the junction between the hard and soft palates [42,43]. |
| Articulare (Ar) | The point where the contour of the posterior surface of the mandibular condyle intersects with the temporal bone [42,43]. |
| Gonion (Go) |
|
| Menton (Me) | The most inferior point on the chin [42,43]. |
| Parameter | Definition | Formula |
|---|---|---|
| Distance (D) | The Euclidean distance between each pair of landmarks, denoted as p1 and p2, respectively.
| D = |
| Angle ( | The angle between every set of three landmarks (p1, p2, and p3) with coordinates (x1, y1), (x2, y2), and (x3, y3) can be calculated by the following: First, vectors A and B are defined; then, their lengths are computed, followed by calculating their dot product, and finally, the angle ( between the three landmarks is obtained.
| |
| Area (Ar) | The area of each triangle by each set of three landmarks can be determined using Heron’s formula [45]. To calculate the area of a triangle given the lengths of its sides (a, b, and c), first, the semi-perimeter (s) is defined; then, Heron’s formula is used to determine the area.
|
| Parameter | Definition | Formula | Output (List of Values) |
|---|---|---|---|
| RD | The ratio of each line segment’s length to another was calculated and constrained between 0 and 1 by always dividing the smaller length by the larger length. | RD = {a1, a2, …, an} 0 < a <= 1 | |
| RAg | The ratio of each angle to another angle was calculated to obtain this index, ensuring values between 0 and 1 by always dividing the smaller angle by the larger angle. | RAg = {b1, b2, …, bn} 0 < b <= 1 | |
| RAr | The ratio of each triangle’s area to another triangle’s area was computed, ensuring values between 0 and 1 by always dividing the smaller area by the larger area. | RAr = {c1, c2, …, cn} 0 < c <= 1 |
| Value | Code |
|---|---|
| 0–0.1 | A |
| 0.1–0.2 | B |
| 0.2–0.3 | C |
| 0.3–0.4 | D |
| 0.4–0.5 | E |
| 0.5–0.6 | F |
| 0.6–0.7 | G |
| 0.7–0.8 | H |
| 0.8–0.9 | I |
| 0.9–1 | J |
| Parameter | Definition | Result |
|---|---|---|
| Age (years) | Mean age ± standard deviation (SD) of samples | 22.21 ± 4.5 |
| Similarity | Mean similarity ± SD | 91.02 ± 2.6% |
| Similarity_AER | Mean similarity ± SD after applying the AER function | 98.10 ± 3.37% |
| Accuracy | (TP + TN)/(TP + TN + FP + FN) | 0.975 |
| Sensitivity | TP/(TP + FN) | 0.977 |
| Specificity | TN/(TN + FP) | 0.952 |
| Na | S | Or | Ar | ANS | PNS | Go1 | Go2 | Me | |
|---|---|---|---|---|---|---|---|---|---|
| 1 | 4.233824 | 4.241515 | 3.035855 | 1.607974 | 2.95384 | 1.104472 | 4.896409 | 0.8858 | 4.854231 |
| 2 | 3.041754 | 4.631722 | 2.73602 | 3.530173 | 3.316864 | 1.459843 | 3.550859 | 0.966853 | 4.613667 |
| 3 | 3.279826 | 4.121985 | 2.573237 | 1.756341 | 4.302755 | 0.0854 | 4.44715 | 2.540002 | 4.421004 |
| 4 | 3.685795 | 4.362348 | 2.158848 | 1.821404 | 4.142899 | 2.22766 | 3.914375 | 1.915114 | 3.360346 |
| 5 | 3.045192 | 3.952148 | 2.215952 | 2.259347 | 3.713335 | 2.177729 | 4.085907 | 1.808773 | 3.816824 |
| 6 | 2.013631 | 4.297177 | 3.405217 | 0.985085 | 3.595169 | 1.449267 | 4.303165 | 1.838328 | 5.654552 |
| 7 | 4.738587 | 4.166425 | 3.456717 | 1.496716 | 4.764213 | 0.534224 | 4.581135 | 1.980466 | 4.912953 |
| 8 | 2.89302 | 4.155614 | 2.137153 | 3.506202 | 4.763274 | 0.514616 | 3.138656 | 2.695381 | 4.352564 |
| 9 | 1.551962 | 3.596292 | 2.295773 | 2.629039 | 2.685305 | 2.10584 | 4.133792 | 2.322259 | 3.718152 |
| 10 | 3.614392 | 3.609049 | 4.107028 | 3.739961 | 3.343799 | 0.92952 | 5.922959 | 2.687414 | 3.890276 |
| 11 | 2.1054 | 3.300165 | 3.393195 | 1.387695 | 3.034395 | 1.733976 | 4.372208 | 1.746393 | 3.356147 |
| 12 | 1.913625 | 4.078769 | 2.612472 | 2.188649 | 3.986002 | 1.062368 | 2.900914 | 1.117798 | 4.692608 |
| 13 | 2.268908 | 3.204426 | 4.185395 | 2.02836 | 3.406368 | 1.14404 | 4.631237 | 1.294914 | 3.921766 |
| 14 | 3.17777 | 3.490724 | 3.138276 | 1.924587 | 3.488155 | 2.142705 | 3.980733 | 2.246511 | 4.373506 |
| 15 | 3.074464 | 4.85546 | 3.241534 | 3.69165 | 3.600555 | 1.556844 | 3.824773 | 1.272621 | 4.184124 |
| 16 | 3.478464 | 2.838455 | 1.829814 | 2.50061 | 3.110236 | 0.745751 | 4.058575 | 2.336319 | 5.099332 |
| 17 | 2.835942 | 4.613818 | 3.104121 | 2.795506 | 2.58939 | 0.645531 | 3.949099 | 1.552377 | 3.230014 |
| 18 | 4.883149 | 5.029736 | 3.564132 | 0.380446 | 3.33089 | 3.066221 | 2.801093 | 3.5481 | 4.848982 |
| 19 | 2.494161 | 5.070583 | 2.616539 | 2.177864 | 2.492837 | 1.143635 | 4.83874 | 2.328205 | 5.04226 |
| 20 | 2.979627 | 3.883471 | 2.772158 | 2.207089 | 4.396735 | 1.729498 | 3.392602 | 2.778084 | 5.392706 |
Disclaimer/Publisher’s Note: The statements, opinions and data contained in all publications are solely those of the individual author(s) and contributor(s) and not of MDPI and/or the editor(s). MDPI and/or the editor(s) disclaim responsibility for any injury to people or property resulting from any ideas, methods, instructions or products referred to in the content. |
© 2024 by the authors. Licensee MDPI, Basel, Switzerland. This article is an open access article distributed under the terms and conditions of the Creative Commons Attribution (CC BY) license (https://creativecommons.org/licenses/by/4.0/).
Share and Cite
Kavousinejad, S.; Yazdanian, M.; Kanafi, M.M.; Tahmasebi, E. A Novel Algorithm for Forensic Identification Using Geometric Cranial Patterns in Digital Lateral Cephalometric Radiographs in Forensic Dentistry. Diagnostics 2024, 14, 1840. https://doi.org/10.3390/diagnostics14171840
Kavousinejad S, Yazdanian M, Kanafi MM, Tahmasebi E. A Novel Algorithm for Forensic Identification Using Geometric Cranial Patterns in Digital Lateral Cephalometric Radiographs in Forensic Dentistry. Diagnostics. 2024; 14(17):1840. https://doi.org/10.3390/diagnostics14171840
Chicago/Turabian StyleKavousinejad, Shahab, Mohsen Yazdanian, Mohammad Mahboob Kanafi, and Elahe Tahmasebi. 2024. "A Novel Algorithm for Forensic Identification Using Geometric Cranial Patterns in Digital Lateral Cephalometric Radiographs in Forensic Dentistry" Diagnostics 14, no. 17: 1840. https://doi.org/10.3390/diagnostics14171840
APA StyleKavousinejad, S., Yazdanian, M., Kanafi, M. M., & Tahmasebi, E. (2024). A Novel Algorithm for Forensic Identification Using Geometric Cranial Patterns in Digital Lateral Cephalometric Radiographs in Forensic Dentistry. Diagnostics, 14(17), 1840. https://doi.org/10.3390/diagnostics14171840

