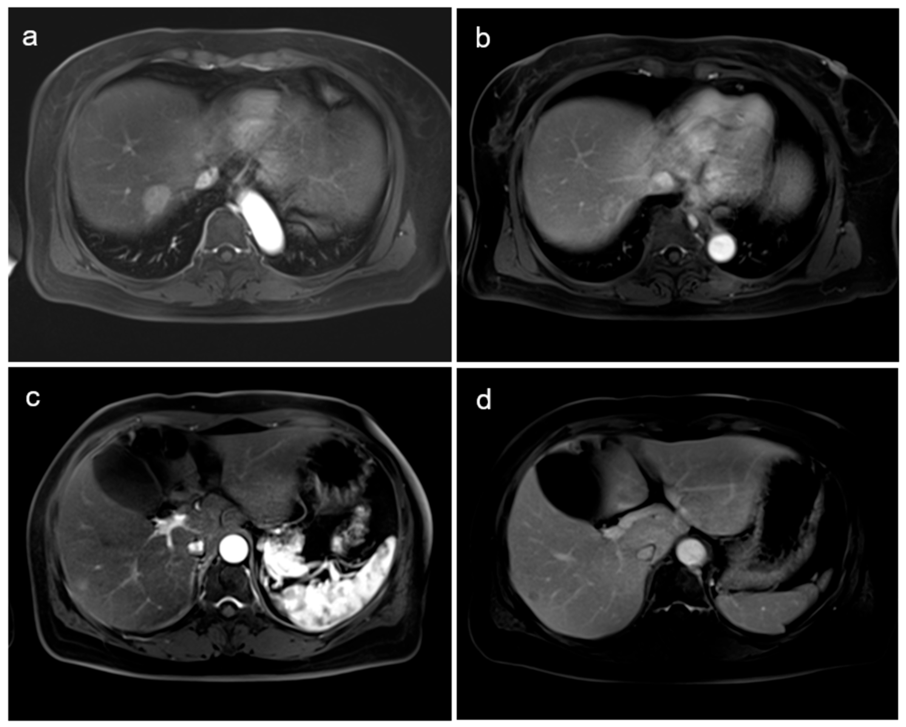
Detection of Hepatic Metastasis from Early Delayed Images of Modified Dual-Time-Point F-18 FDG PET/CT Images in a Patient with Breast Cancer
Abstract
Author Contributions
Funding
Institutional Review Board Statement
Informed Consent Statement
Data Availability Statement
Conflicts of Interest
References
- Yen, Y.; Huang, W.; Chiu, C.; Tyan, Y.; Wang, J.; Wu, L.; Feng, I.J.; Lee, C.H. Does routine triple-time-point FDG PET/CT imaging improve the detection of liver metastases? Diagnostics 2020, 10, 609. [Google Scholar] [CrossRef] [PubMed]
- Lin, W.Y.; Tsai, S.C.; Hung, G.U. Value of delayed 18F-FDG PET imaging in the detection of hepatocellular carcinoma. Nucl. Med. Commun. 2005, 26, 315–321. [Google Scholar] [CrossRef] [PubMed]
- Boanova, L.G.; Altmayer, S.; Watte, G.; Raupp, A.A.; Francisco, M.Z.; De Oliveira, G.S.; Hochhegger, B.; Andrade, R.G.F. Detection of liver lesions in colorectal cancer patients using 18F-FDG PET/CT dual-time-point scan imaging. Cancers 2023, 15, 5403. [Google Scholar] [CrossRef]
- Mao, W.; Zhou, J.; Qiu, L.; Yin, H.; Tan, H.; Shi, H. The added value of dual-time-point 18F-FDG PET/CT imaging in the diagnosis of colorectal cancer liver metastases. Abdom. Radiol. 2020, 45, 1075–1081. [Google Scholar] [CrossRef] [PubMed]
- Pietrzak, A.; Kazmierska, J.; Cholewinski, W. Sequential 18F-FDG PET/CT imaging parameters for differentiating benign from malignant lymph nodes in head and neck carcinoma. Hell. J. Nucl. Med. 2017, 20, 80–92. [Google Scholar] [PubMed]
- Miyake, K.K.; Nakamoto, Y.; Togashi, K. Dual-time-point 18F-FDG PET/CT in patients with colorectal cancer: Clinical value of early delayed scanning. Ann. Nucl. Med. 2012, 26, 492–500. [Google Scholar] [CrossRef][Green Version]
- Lee, J.Y.; Song, H.; Choi, J.H.; Hyun, C.L. Dual-time-point FDG uptake correlates with prognostic factors of invasive breast cancer: Clinical usefulness of early delayed scanning. Diagnostics 2019, 9, 40. [Google Scholar] [CrossRef] [PubMed]



Disclaimer/Publisher’s Note: The statements, opinions and data contained in all publications are solely those of the individual author(s) and contributor(s) and not of MDPI and/or the editor(s). MDPI and/or the editor(s) disclaim responsibility for any injury to people or property resulting from any ideas, methods, instructions or products referred to in the content. |
© 2024 by the authors. Licensee MDPI, Basel, Switzerland. This article is an open access article distributed under the terms and conditions of the Creative Commons Attribution (CC BY) license (https://creativecommons.org/licenses/by/4.0/).
Share and Cite
Lee, J.Y.; Song, H.-S. Detection of Hepatic Metastasis from Early Delayed Images of Modified Dual-Time-Point F-18 FDG PET/CT Images in a Patient with Breast Cancer. Diagnostics 2024, 14, 1653. https://doi.org/10.3390/diagnostics14151653
Lee JY, Song H-S. Detection of Hepatic Metastasis from Early Delayed Images of Modified Dual-Time-Point F-18 FDG PET/CT Images in a Patient with Breast Cancer. Diagnostics. 2024; 14(15):1653. https://doi.org/10.3390/diagnostics14151653
Chicago/Turabian StyleLee, Ji Young, and Hee-Sung Song. 2024. "Detection of Hepatic Metastasis from Early Delayed Images of Modified Dual-Time-Point F-18 FDG PET/CT Images in a Patient with Breast Cancer" Diagnostics 14, no. 15: 1653. https://doi.org/10.3390/diagnostics14151653
APA StyleLee, J. Y., & Song, H.-S. (2024). Detection of Hepatic Metastasis from Early Delayed Images of Modified Dual-Time-Point F-18 FDG PET/CT Images in a Patient with Breast Cancer. Diagnostics, 14(15), 1653. https://doi.org/10.3390/diagnostics14151653

