Comparison of the Efficacy of Percutaneous Microwave Ablation Therapy versus Laparoscopic Partial Nephrectomy for Early-Stage Renal Tumors
Abstract
1. Introduction
2. Materials and Methods
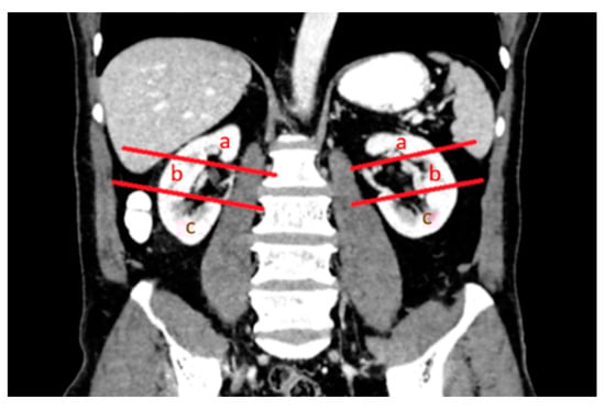
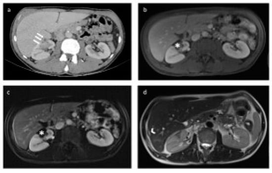
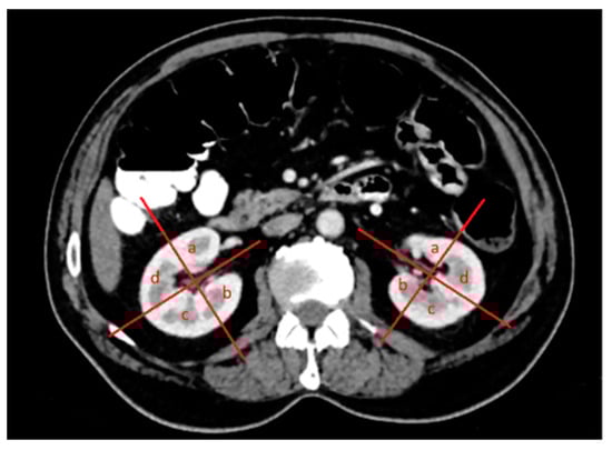
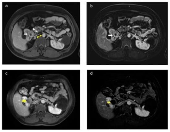
2.1. Percutaneous Microwave Ablation Therapy
2.2. Laparoscopic Partial Nephrectomy
2.3. Laparoscopic Ultrasound-Guided Percutaneous Microwave Ablation Therapy
3. Results
4. Discussion
5. Limitations
6. Conclusions
Author Contributions
Funding
Institutional Review Board Statement
Informed Consent Statement
Data Availability Statement
Acknowledgments
Conflicts of Interest
References
- Escudier, B.; Porta, C.; Schmidinger, M.; Rioux-Leclercq, N.; Bex, A.; Khoo, V.; Grünwald, V.; Gillessen, S.; Horwich, A. Renal cell carcinoma: ESMO Clinical Practice Guidelines for diagnosis, treatment and follow-up†. Ann. Oncol. Off. J. Eur. Soc. Med. Oncol. 2019, 30, 706–720. [Google Scholar] [CrossRef] [PubMed]
- Lightfoot, N.; Conlon, M.; Kreiger, N.; Bissett, R.; Desai, M.; Warde, P.; Prichard, H.M. Impact of noninvasive imaging on increased incidental detection of renal cell carcinoma. Eur. Urol. 2000, 37, 521–527. [Google Scholar] [CrossRef] [PubMed]
- Whitson, J.M.; Harris, C.R.; Meng, M.V. Population-based comparative effectiveness of nephron-sparing surgery vs ablation for small renal masses. BJU Int. 2012, 110, 1438–1443; discussion 1443. [Google Scholar] [CrossRef] [PubMed]
- Hou, Q.; Wang, Y.; Zhang, D.; Luo, Y.; Dong, L.; Mu, M.; Yu, J.; Liang, P. Prognostic Significance of Advanced Age in Patients with T1a Renal Cell Carcinoma Treated by Microwave Ablation: A 16-Year Experience. Technol. Cancer Res. Treat. 2023, 22, 15330338231183585. [Google Scholar] [CrossRef]
- Choueiri, T.K.; Schutz, F.A.; Hevelone, N.D.; Nguyen, P.L.; Lipsitz, S.R.; Williams, S.B.; Silverman, S.G.; Hu, J.C. Thermal ablation vs surgery for localized kidney cancer: A Surveillance, Epidemiology, and End Results (SEER) database analysis. Urology 2011, 78, 93–98. [Google Scholar] [CrossRef] [PubMed]
- Campbell, S.C.; Novick, A.C.; Belldegrun, A.; Blute, M.L.; Chow, G.K.; Derweesh, I.H.; Faraday, M.M.; Kaouk, J.H.; Leveillee, R.J.; Matin, S.F.; et al. Guideline for management of the clinical T1 renal mass. J. Urol. 2009, 182, 1271–1279. [Google Scholar] [CrossRef] [PubMed]
- Larcher, A.; Meskawi, M.; Valdivieso, R.; Boehm, K.; Trudeau, V.; Tian, Z.; Fossati, N.; Dell’Oglio, P.; Lughezzani, G.; Buffi, N.; et al. Comparison of renal function detriments after local tumor ablation or partial nephrectomy for renal cell carcinoma. World J. Urol. 2016, 34, 383–389. [Google Scholar] [CrossRef] [PubMed]
- Chan, V.W.; Lenton, J.; Smith, J.; Jagdev, S.; Ralph, C.; Vasudev, N.; Bhattarai, S.; Lewington, A.; Kimuli, M.; Cartledge, J.; et al. Multimodal image-guided ablation on management of renal cancer in Von-Hippel-Lindau syndrome patients from 2004 to 2021 at a specialist centre: A longitudinal observational study. Eur. J. Surg. Oncol. 2022, 48, 672–679. [Google Scholar] [CrossRef] [PubMed]
- Lucignani, G.; De Lorenzis, E.; Ierardi, A.M.; Silvani, C.; Marmiroli, A.; Nizzardo, M.; Albo, G.; Carrafiello, G.; Montanari, E.; Boeri, L. Perioperative and Survival Outcomes of Patients Treated With Robot-Assisted Partial Nephrectomy and Percutaneous Microwave Ablation for Small Renal Masses: A Single Center Experience. Clin. Genitourin. Cancer 2024, 22, 237–243. [Google Scholar] [CrossRef]
- Katsanos, K.; Mailli, L.; Krokidis, M.; McGrath, A.; Sabharwal, T.; Adam, A. Systematic review and meta-analysis of thermal ablation versus surgical nephrectomy for small renal tumours. Cardiovasc. Interv. Radiol. 2014, 37, 427–437. [Google Scholar] [CrossRef]
- Uhlig, J.; Strauss, A.; Rücker, G.; Seif Amir Hosseini, A.; Lotz, J.; Trojan, L.; Kim, H.S.; Uhlig, A. Partial nephrectomy versus ablative techniques for small renal masses: A systematic review and network meta-analysis. Eur. Radiol. 2019, 29, 1293–1307. [Google Scholar] [CrossRef] [PubMed]
- El Dib, R.; Touma, N.J.; Kapoor, A. Cryoablation vs radiofrequency ablation for the treatment of renal cell carcinoma: A meta-analysis of case series studies. BJU Int. 2012, 110, 510–516. [Google Scholar] [CrossRef] [PubMed]
- Lucignani, G.; Rizzo, M.; Ierardi, A.M.; Piasentin, A.; De Lorenzis, E.; Trombetta, C.; Liguori, G.; Bertolotto, M.; Carrafiello, G.; Montanari, E.; et al. Percutaneous Microwave Ablation is Comparable to Cryoablation for the Treatment of T1a Renal Masses: Results From a Cross-Sectional Study. Clin. Genitourin. Cancer 2022, 20, e506–e511. [Google Scholar] [CrossRef] [PubMed]
- Yu, J.; Zhang, X.; Liu, H.; Zhang, R.; Yu, X.; Cheng, Z.; Han, Z.; Liu, F.; Hao, G.; Mu, M.J.; et al. Percutaneous Microwave Ablation versus Laparoscopic Partial Nephrectomy for cT1a Renal Cell Carcinoma: A Propensity-matched Cohort Study of 1955 Patients. Radiology 2020, 294, 698–706. [Google Scholar] [CrossRef] [PubMed]
- Klapperich, M.E.; Abel, E.J.; Ziemlewicz, T.J.; Best, S.; Lubner, M.G.; Nakada, S.Y.; Hinshaw, J.L.; Brace, C.L.; Lee, F.T., Jr.; Wells, S.A. Effect of Tumor Complexity and Technique on Efficacy and Complications after Percutaneous Microwave Ablation of Stage T1a Renal Cell Carcinoma: A Single-Center, Retrospective Study. Radiology 2017, 284, 272–280. [Google Scholar] [CrossRef] [PubMed]
- Fan, W.; Li, X.; Zhang, L.; Jiang, H.; Zhang, J. Comparison of microwave ablation and multipolar radiofrequency ablation in vivo using two internally cooled probes. AJR. Am. J. Roentgenol. 2012, 198, W46–W50. [Google Scholar] [CrossRef]
- Campbell, S.; Uzzo, R.G.; Allaf, M.E.; Bass, E.B.; Cadeddu, J.A.; Chang, A.; Clark, P.E.; Davis, B.J.; Derweesh, I.H.; Giambarresi, L.; et al. Renal Mass and Localized Renal Cancer: AUA Guideline. J. Urol. 2017, 198, 520–529. [Google Scholar] [CrossRef]
- Yeaman, C.; Marchant, R.; Lobo, J.M.; DeNovio, A.; O’Connor, L.; Wanchek, T.; Ballantyne, C.; Lambert, D.L.; Mithqal, A.; Schenkman, N. Cost-effectiveness analysis: Percutaneous microwave ablation vs robotic-assisted partial nephrectomy for small renal masses. Abdom. Radiol. (N. Y.) 2023, 48, 411–417. [Google Scholar] [CrossRef]
- Chehab, M.; Friedlander, J.A.; Handel, J.; Vartanian, S.; Krishnan, A.; Wong, C.Y.; Korman, H.; Seifman, B.; Ciacci, J. Percutaneous Cryoablation vs Partial Nephrectomy: Cost Comparison of T1a Tumors. J. Endourol. 2016, 30, 170–176. [Google Scholar] [CrossRef]
- Castle, S.M.; Gorbatiy, V.; Avallone, M.A.; Eldefrawy, A.; Caulton, D.E.; Leveillee, R.J. Cost comparison of nephron-sparing treatments for cT1a renal masses. Urol. Oncol. 2013, 31, 1327–1332. [Google Scholar] [CrossRef]
- Thompson, R.H.; Atwell, T.; Schmit, G.; Lohse, C.M.; Kurup, A.N.; Weisbrod, A.; Psutka, S.P.; Stewart, S.B.; Callstrom, M.R.; Cheville, J.C.; et al. Comparison of partial nephrectomy and percutaneous ablation for cT1 renal masses. Eur. Urol. 2015, 67, 252–259. [Google Scholar] [CrossRef] [PubMed]
- Uhlig, A.; Hahn, O.; Strauss, A.; Lotz, J.; Trojan, L.; Müller-Wille, R.; Uhlig, J. Treatment for Localized T1a Clear Cell Renal Cell Carcinoma: Survival Benefit for Cryosurgery and Thermal Ablation Compared to Deferred Therapy. Cardiovasc. Interv. Radiol. 2018, 41, 277–283. [Google Scholar] [CrossRef] [PubMed]
- Huang, W.C.; Levey, A.S.; Serio, A.M.; Snyder, M.; Vickers, A.J.; Raj, G.V.; Scardino, P.T.; Russo, P. Chronic kidney disease after nephrectomy in patients with renal cortical tumours: A retrospective cohort study. Lancet. Oncol. 2006, 7, 735–740. [Google Scholar] [CrossRef] [PubMed]
- Pedraza-Sánchez, J.P.; Chaves-Marcos, R.; Mazuecos-Quirós, J.; Bisonó-Castillo, Á.L.; Osmán-García, I.; Gutiérrez-Marín, C.M.; Medina López, R.A.; Juárez Soto, Á. Percutaneous radiofrequency ablation is an effective treatment option for small renal masses, comparable to partial nephrectomy. Eur. Radiol. 2023, 33, 7371–7379. [Google Scholar] [CrossRef] [PubMed]
- Zhou, W.; Arellano, R.S. Thermal Ablation of T1c Renal Cell Carcinoma: A Comparative Assessment of Technical Performance, Procedural Outcome, and Safety of Microwave Ablation, Radiofrequency Ablation, and Cryoablation. J. Vasc. Interv. Radiol. 2018, 29, 943–951. [Google Scholar] [CrossRef] [PubMed]
- Floridi, C.; De Bernardi, I.; Fontana, F.; Muollo, A.; Ierardi, A.M.; Agostini, A.; Fonio, P.; Squillaci, E.; Brunese, L.; Fugazzola, C.; et al. Microwave ablation of renal tumors: State of the art and development trends. La Radiol. Med. 2014, 119, 533–540. [Google Scholar] [CrossRef] [PubMed]
- Horn, J.C.; Patel, R.S.; Kim, E.; Nowakowski, F.S.; Lookstein, R.A.; Fischman, A.M. Percutaneous microwave ablation of renal tumors using a gas-cooled 2.4-GHz probe: Technique and initial results. J. Vasc. Interv. Radiol. 2014, 25, 448–453. [Google Scholar] [CrossRef] [PubMed]
- De Cobelli, F.; Papa, M.; Panzeri, M.; Colombo, M.; Steidler, S.; Ambrosi, A.; Cao, R.; Gusmini, S.; Marra, P.; Capitanio, U.; et al. Percutaneous Microwave Ablation Versus Cryoablation in the Treatment of T1a Renal Tumors. Cardiovasc. Interv. Radiol. 2020, 43, 76–83. [Google Scholar] [CrossRef] [PubMed]
- Sterrett, S.P.; Nakada, S.Y.; Wingo, M.S.; Williams, S.K.; Leveillee, R.J. Renal thermal ablative therapy. Urol. Clin. N. Am. 2008, 35, 397–414. [Google Scholar] [CrossRef] [PubMed]
- Lee, S.H.; Son, H.S.; Cho, S.; Kim, S.J.; Yoo, D.S.; Kang, S.H.; Park, S.Y.; Park, J.; Chang, S.G.; Jeon, S.H. Which Patients Should We Follow up beyond 5 Years after Definitive Therapy for Localized Renal Cell Carcinoma? Cancer Res. Treat. 2015, 47, 489–494. [Google Scholar] [CrossRef][Green Version]







| Grade | Definition |
|---|---|
| Grade I | Any deviation from normal postoperative course without the need pharmacological treatment or surgical, endoscopic or radiological interventions. Allowed therapeutic regimens are drugs such as antiemetics, analgesics, diuretics, electrolytes, and physiotherapy. This grade also includes wound infections opened at the bedside. |
| Grade II | Requiring pharmacological treatment with drugs other than such allowed for Grade I complications. Blood transfusions an total parenteral nutrition are also included. |
| Grade III | Requiring surgical, endoscopic, or radiological interventions. |
| Grade IIIa | Intervention not under general anesthesia |
| Grade IIIb | Intervention under general anesthesia |
| Grade IV | Life-threatening complications (including CNS complications) * requiring IC-ICU management. |
| Grade IVa | Single organ dysfunction (including dialysis) |
| Grade IVb | Multiorgan dysfunction |
| Grade V | Death of patient |
| Suffix ‘’d’’ | If the patient suffer from a complication at the time of discharge the suffix ‘’d’’ (for ‘’disability’’) is added to the respective grade of complication. This label indicates the need for a follow-up fully evaluate the complication. |
| Parameter | MWA (n = 55) | LPN (n = 55) | p Value |
|---|---|---|---|
| Age (year) | 64 ± 13 | 56 ± 13 | 0.002 * |
| Sex | 0.167 | ||
| Male | 38 (69%) | 31 (56%) | |
| Female | 17 (31%) | 24 (44%) | |
| Solitary kidney | 0.118 | ||
| Yes | 4 (7.3%) | 0 (0%) | |
| No | 51 (93%) | 55 (100%) | |
| Preoperative serum urea (mg/dL) | 38 (12, 134) | 33 (15, 63) | 0.040 * |
| Preoperative serum creatinine (mg/dL) | 0.90 (0.52, 7.42) | 0.80 (0.51, 1.80) | 0.013 * |
| Preoperative e GFR (mL/min/1.73 m²) | 78.5 (7.8, 118) | 98.3 (36.7, 139.3) | 0.001 * |
| Chronic kidney disease | 0.067 | ||
| Yes | 9 (16.4%) | 3 (5.5%) | |
| No | 46 (83.6%) | 52 (94.5%) | |
| Previous kidney surgery | 0.242 | ||
| Yes | 3 (5.5%) | 0 (0%) | |
| No | 52 (94.5%) | 55 (100%) | |
| VHL syndrome | 0.118 | ||
| Yes | 4 (7.3%) | 0 (0%) | |
| No | 51 (92.7%) | 55 (100%) |
| Parameter | MWA (n = 55) | LPN (n = 55) | p Value |
|---|---|---|---|
| Tumor diameter (mm) | 23 (8, 46) | 30 (10, 43) | <0.001 * |
| Tumor diameter subgroups | <0.001 * | ||
| ≤2 cm | 19 (35%) | 13 (24%) | |
| 2–3 cm | 28 (51%) | 9 (16%) | |
| ≥3 cm | 8 (15%) | 33 (60%) | |
| Tumor side | 0.849 | ||
| Left | 26 (47%) | 27 (49%) | |
| Right | 29 (53%) | 28 (51%) | |
| Tumor location on CC axis | 0.883 | ||
| Upper pole | 15 (27%) | 13 (24%) | |
| Middle pole | 18 (33%) | 20 (36%) | |
| Lower pole | 22 (40%) | 22 (40%) | |
| Tumor location on AP axis | 0.243 | ||
| Anterior | 19 (35%) | 25 (45%) | |
| Posterior | 36 (65%) | 30 (55%) | |
| Tumor location on ML axis | 0.003 * | ||
| Medial | 13 (24%) | 28 (51%) | |
| Lateral | 42 (76%) | 27 (49%) | |
| Tumor location relative to parenchyma | 0.018 * | ||
| Completely endophytic | 23 (42%) | 10 (18%) | |
| <50% exophytic | 11 (20%) | 20 (36%) | |
| ≥50% exophytic | 21 (38%) | 25 (45%) | |
| Proximity to renal sinus or collecting system (mm) | 3.0 (0.0, 21.0) | 4.0 (0.0, 18.0) | 0.676 |
| N score | 0.922 | ||
| 1 | 15 (27%) | 16 (29%) | |
| 2 | 7 (13%) | 8 (15%) | |
| 3 | 33 (60%) | 31 (56%) | |
| L score | 0.676 | ||
| 1 | 16 (29%) | 14 (25%) | |
| 2 | 12 (22%) | 16 (29%) | |
| 3 | 27 (49%) | 25 (45%) |
| Parameter | MWA (n = 55) | LPN (n = 55) | p Value |
|---|---|---|---|
| Postoperative serum urea (mg/dL) | 35 (14, 119) | 27 (8, 73) | <0.001 * |
| Postoperative serum creatinine (mg/dL) | 0.93 (0.52, 8.80) | 0.76 (0.50, 1.60) | 0.003 * |
| Postoperative e GFR (mL/min/1.73 m²) | 77.8 (6.3, 118) | 98.3 (51.8, 133.3) | 0.002 * |
| Procedure time (Min) | 32,8(28, 37) | 113 (94,177) | <0.001 * |
| Hospitalization time (Day) | 1.00 (1.00, 5.00) | 4.00 (2.00, 15.00) | <0.001 * |
| Complication | 0.271 | ||
| Yes | 2 (3.6%) | 6 (11%) | |
| No | 53 (96%) | 49 (89%) | |
| No. Of Patients on Clavien-Dindo Classification of Complications | >0.999 | ||
| Grade 1 | 1 (50%) | 1 (17%) | |
| Grade 2 | 1 (50%) | 2 (33%) | |
| Grade 3A | 0 (0%) | 2 (33%) | |
| Grade 3B | 0 (0%) | 1 (17%) | |
| Cost (U.S. dollars) | 828 (162, 1,637) | 1,051 (446, 1,843) | 0.002 * |
| Follow-up time (Month) | 13 (6, 71) | 40 (11, 64) | <0.001 * |
| Parameter | MWA (n = 55) | LPN (n = 55) | p Value |
|---|---|---|---|
| Residual tumoral lesion | 2 (3.6%) | 3 (5.5%) | >0.999 |
| Local tumor progession | 1 (1.8%) | 1 (1.8%) | >0.999 |
| Parameter | MWA | LPN | p Value |
|---|---|---|---|
| Disease free survival (month) | 69 (65.1, 72.8) | 62.9 (60.9, 64.9) | 0.741 |
| Overall survival | No exist | No exist |
Disclaimer/Publisher’s Note: The statements, opinions and data contained in all publications are solely those of the individual author(s) and contributor(s) and not of MDPI and/or the editor(s). MDPI and/or the editor(s) disclaim responsibility for any injury to people or property resulting from any ideas, methods, instructions or products referred to in the content. |
© 2024 by the authors. Licensee MDPI, Basel, Switzerland. This article is an open access article distributed under the terms and conditions of the Creative Commons Attribution (CC BY) license (https://creativecommons.org/licenses/by/4.0/).
Share and Cite
Kula, O.; Ateş, Y.; Çek, H.M.; Tozsin, A.; Günay, B.; Akgül, B.; Korkmaz, S.; Karataş, G.; Solak, S.; Ustabaşıoğlu, F.E.; et al. Comparison of the Efficacy of Percutaneous Microwave Ablation Therapy versus Laparoscopic Partial Nephrectomy for Early-Stage Renal Tumors. Diagnostics 2024, 14, 1574. https://doi.org/10.3390/diagnostics14141574
Kula O, Ateş Y, Çek HM, Tozsin A, Günay B, Akgül B, Korkmaz S, Karataş G, Solak S, Ustabaşıoğlu FE, et al. Comparison of the Efficacy of Percutaneous Microwave Ablation Therapy versus Laparoscopic Partial Nephrectomy for Early-Stage Renal Tumors. Diagnostics. 2024; 14(14):1574. https://doi.org/10.3390/diagnostics14141574
Chicago/Turabian StyleKula, Osman, Yeliz Ateş, Hakkı Mete Çek, Atınç Tozsin, Burak Günay, Burak Akgül, Selçuk Korkmaz, Gökhan Karataş, Serdar Solak, Fethi Emre Ustabaşıoğlu, and et al. 2024. "Comparison of the Efficacy of Percutaneous Microwave Ablation Therapy versus Laparoscopic Partial Nephrectomy for Early-Stage Renal Tumors" Diagnostics 14, no. 14: 1574. https://doi.org/10.3390/diagnostics14141574
APA StyleKula, O., Ateş, Y., Çek, H. M., Tozsin, A., Günay, B., Akgül, B., Korkmaz, S., Karataş, G., Solak, S., Ustabaşıoğlu, F. E., & Arda, E. (2024). Comparison of the Efficacy of Percutaneous Microwave Ablation Therapy versus Laparoscopic Partial Nephrectomy for Early-Stage Renal Tumors. Diagnostics, 14(14), 1574. https://doi.org/10.3390/diagnostics14141574

