Next Article in Journal
Dynamic Perviousness Has Predictive Value for Clot Fibrin Content in Acute Ischemic Stroke
Next Article in Special Issue
Predictive Models for Non-Alcoholic Fatty Liver Disease Diagnosis in Mexican Patients with Gallstone Disease: Sex-Specific Insights
Previous Article in Journal
The Usefulness of 55° Wide-Field Spectral-Domain Optical Coherence Tomography in Monitoring the Features of Peripheral Subretinal Fluid Remnants after Rhegmatogenous Retinal Detachment Surgery
 
 
Font Type:
Arial Georgia Verdana
Font Size:
Aa Aa Aa
Line Spacing:
Column Width:
Background:
Interesting Images

Cholecystocutaneous Fistula

by
Francisco Tustumi
1,2,*,
Giane Prata da Costa Filha
1 and
Guilherme Carvalhal Gnipper Cirillo
1
1
Department of Health Sciences, Hospital Israelita Albert Einstein, Sao Paulo 05652-900, Brazil
2
Department of Gastroenterology, Universidade de São Paulo, Sao Paulo 05508-220, Brazil
*
Author to whom correspondence should be addressed.
Diagnostics 2024, 14(13), 1386; https://doi.org/10.3390/diagnostics14131386
Submission received: 10 June 2024 / Revised: 25 June 2024 / Accepted: 28 June 2024 / Published: 29 June 2024
(This article belongs to the Special Issue Diagnosis of Hepatobiliary and Pancreatic Diseases)

Abstract

This image article presents an 88-year-old indigenous woman with a history of several episodes of abdominal pain, for which she went to numerous different hospitals in the countryside, was always treated with analgesics, and then discharged. After a long time, the patient eventually was evaluated with magnetic resonance imaging. The test revealed a displaced gallbladder with thickened walls, multiple stones, and a fistulous tract extending to the skin. This case underscores the significant challenges faced by patients in regions with limited healthcare access, highlighting the impact of delayed diagnosis and inadequate management on patient outcomes.

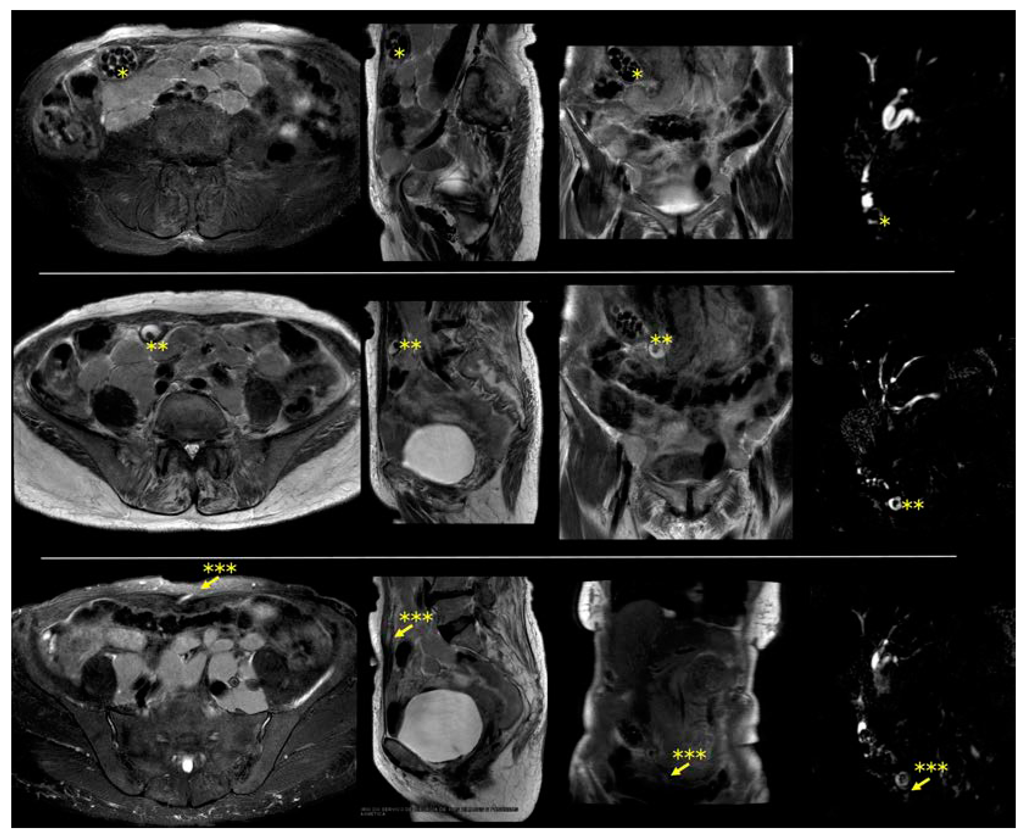
Supplementary Video S1. Magnetic resonance imaging showing a cholecystocutaneous fistula. An 88-year-old indigenous woman from the Brazilian countryside was referred for surgical evaluation due to a small lump in the anterior abdominal wall, with the main diagnostic hypothesis being a sebaceous cyst. This lump emerged years ago, and it used to become painful and inflamed on some days. Additionally, the patient reported that, occasionally, some stones emerged from this lump. The patient had no comorbidities. However, the patient had a history of several episodes of abdominal pain, for which she went to numerous different hospitals in the countryside, was always treated with analgesics, and then discharged. She also reported occasional fever. The intensity of symptoms had decreased in the last few years. She had never undergone any imaging test. The results of serum tests were unremarkable. After surgical team evaluation, the patient underwent magnetic resonance, which showed a displaced gallbladder with diffusely thickened walls, multiple stones, and a fistulous tract extending from the gallbladder to the skin of the anterior abdominal wall. In addition, multiple confluent retroperitoneal enlarged lymph nodes were found in this exam. The patient was referred for hematological consultation to investigate retroperitoneal lymph node enlargement. The patient died of pneumonia some months later without treating the cholecystocutaneous fistula. The cholecystocutaneous fistula usually affects elderly women, with an average age of 72 years, with poor socioeconomic conditions and poor access to the health system [1,2]. Although the definitive treatment for this condition is a cholecystectomy with fistula excision, high-risk patients may experience treatment delays [2,3]. Vulnerable patients face inefficient and slow healthcare, and the time required for diagnosis and treatment planning can extend over years. Consequently, the patient remained untreated, enduring symptoms and an impaired quality of life. This case underscores the significant challenges faced by patients in regions with limited healthcare access, highlighting the impact of delayed diagnosis and inadequate management on patient outcomes (Figure 1).

Supplementary Materials

The following supporting information can be downloaded at: https://www.mdpi.com/article/10.3390/diagnostics14131386/s1. Video S1: Magnetic resonance imaging shows a cholecystocutaneous fistula.

Author Contributions

Conceptualization, F.T.; methodology, G.C.G.C.; validation, G.P.d.C.F. and G.C.G.C.; investigation, G.C.G.C.; data curation, G.P.d.C.F. and G.C.G.C.; writing—original draft preparation, G.P.d.C.F.; writing—review and editing, G.P.d.C.F.; visualization, F.T.; supervision, F.T.; project administration, F.T. All authors have read and agreed to the published version of the manuscript.

Funding

This research received no external funding.

Informed Consent Statement

Written informed consent has been obtained from the patient’s family to publish this paper.

Data Availability Statement

No new data were created or analyzed in this study. Data sharing does not apply to this article.

Conflicts of Interest

The authors declare no conflicts of interest.

References

  1. Brimo Alsaman, M.Z.; Mazketly, M.; Ziadeh, M.; Aleter, O.; Ghazal, A. Cholecystocutaneous fistula incidence, Etiology, Clinical Manifestations, Diagnosis and treatment. A literature review. Ann. Med. Surg. 2020, 59, 180–185. [Google Scholar] [CrossRef] [PubMed]
  2. Ballesteros-Suárez, E.; Navarro-Tovar, F.; Díaz-Barrientos, C.Z.; Marín-Pardo, E.I.; Hernández-Pérez, E. Cholecystocutaneous fistula, an uncommon pathology today. Rev. Gastroenterol. Mex. 2023, 88, 177–179. [Google Scholar] [CrossRef] [PubMed] [PubMed Central]
  3. Coelho, J.C.U.; Costa, M.A.R.D.; Enne, M.; Torres, O.J.M.; Andraus, W.; Campos, A.C.L. Acute Cholecystitis in High-Risk Patients. Surgical, Radiological, or Endoscopic Treatment? Brazilian College of Digestive Surgery Position Paper. Arq. Bras. Cir. Dig. 2023, 36, e1749. [Google Scholar] [CrossRef] [PubMed] [PubMed Central]
Figure 1. Magnetic resonance imaging shows a caudally displaced gallbladder with numerous stones and with cholecystocutaneous fistula. Left to right: axial, sagittal, coronal, and cholangiography. * Displaced gallbladder; ** stone inside the fistula; *** cholecystocutaneous fistula (indicated by arrow).
Figure 1. Magnetic resonance imaging shows a caudally displaced gallbladder with numerous stones and with cholecystocutaneous fistula. Left to right: axial, sagittal, coronal, and cholangiography. * Displaced gallbladder; ** stone inside the fistula; *** cholecystocutaneous fistula (indicated by arrow).
Diagnostics 14 01386 g001
Disclaimer/Publisher’s Note: The statements, opinions and data contained in all publications are solely those of the individual author(s) and contributor(s) and not of MDPI and/or the editor(s). MDPI and/or the editor(s) disclaim responsibility for any injury to people or property resulting from any ideas, methods, instructions or products referred to in the content.

Share and Cite

MDPI and ACS Style

Tustumi, F.; da Costa Filha, G.P.; Gnipper Cirillo, G.C. Cholecystocutaneous Fistula. Diagnostics 2024, 14, 1386. https://doi.org/10.3390/diagnostics14131386

AMA Style

Tustumi F, da Costa Filha GP, Gnipper Cirillo GC. Cholecystocutaneous Fistula. Diagnostics. 2024; 14(13):1386. https://doi.org/10.3390/diagnostics14131386

Chicago/Turabian Style

Tustumi, Francisco, Giane Prata da Costa Filha, and Guilherme Carvalhal Gnipper Cirillo. 2024. "Cholecystocutaneous Fistula" Diagnostics 14, no. 13: 1386. https://doi.org/10.3390/diagnostics14131386

APA Style

Tustumi, F., da Costa Filha, G. P., & Gnipper Cirillo, G. C. (2024). Cholecystocutaneous Fistula. Diagnostics, 14(13), 1386. https://doi.org/10.3390/diagnostics14131386

Note that from the first issue of 2016, this journal uses article numbers instead of page numbers. See further details here.

Article Metrics

Back to TopTop