Next Article in Journal
Hybrid Explainable Artificial Intelligence Models for Targeted Metabolomics Analysis of Diabetic Retinopathy
Previous Article in Journal
Central Vein Sign and Paramagnetic Rim Lesions: Susceptibility Changes in Brain Tissues and Their Implications for the Study of Multiple Sclerosis Pathology
Previous Article in Special Issue
Color-Transfer-Enhanced Data Construction and Validation for Deep Learning-Based Upper Gastrointestinal Landmark Classification in Wireless Capsule Endoscopy
 
 
Font Type:
Arial Georgia Verdana
Font Size:
Aa Aa Aa
Line Spacing:
Column Width:
Background:
Article

Diagnostic Benefits and Surgical Implications of Methods for Tumor Localization in Sigmoid and Rectum Tumors

1
Surgical Oncology Clinic, Malatya Training Research Hospital, 44000 Malatya, Turkey
2
Faculty of Medicine, Department of Radiology, Malatya Turgut Özal University, 44000 Malatya, Turkey
3
Surgical Oncology Clinic, Bursa City Hospital, 16110 Bursa, Turkey
4
General Surgery, Osmaneli Mustafa Selahattin Çetintaş State Hospital, 11500 Bilecik, Turkey
5
Gastroenterology Surgery, Malatya Training Research Hospital, 44000 Malatya, Turkey
6
Faculty of Medicine, Department of Surgical Oncology, Cukurova University, 01330 Adana, Turkey
*
Author to whom correspondence should be addressed.
Diagnostics 2024, 14(13), 1363; https://doi.org/10.3390/diagnostics14131363
Submission received: 26 May 2024 / Revised: 13 June 2024 / Accepted: 24 June 2024 / Published: 27 June 2024
(This article belongs to the Special Issue Endoscopy in Diagnosis of Gastrointestinal Disorders)

Abstract

(1) Background: In our study, we aimed to determine the accuracy rates of imaging methods for sigmoid, rectosigmoid colon, and rectum cancer. (2) Methods: Patients with tumors located in the rectosigmoid colon, sigmoid colon, and rectum who were operated on were included. Upon admission, we examined the patients’ first diagnostic colonoscopies and their preoperative repeat control colonoscopies and computed tomography (CT) report. (3) Results: In this study, 23 patients (57.5%) were male. The overall accuracy rates were 80.0% (32/40) in colonoscopy, 65.0% (26/40) in preoperative CT, and 87.5% (35/40) in retro CT, and the differences among the examination methods were statistically significant (p = 0.049). The sensitivity levels decreased to 50.0% for colonoscopy and preoperative CT and 75.0% for retro CT in rectosigmoid colon tumors. In rectal tumors, the sensitivity levels were 75.0% in colonoscopy, 60.0% in preoperative CT, and 80.0% in retro CT. In two patients, the tumor location was given incorrectly, and postoperative pathological evaluations indicated T3N0 tumors; the initially planned treatment was thus changed to include radiotherapy in addition to chemotherapy in the postoperative period because the tumor was located in the middle rectum. (4) Conclusions: Accuracy in tumor localization in sigmoid, rectosigmoid, and rectum tumors still needs to be improved, which could be accomplished with prospective studies. CT evaluations for cancer localization in this patient group should be re-evaluated by a radiologist.

1. Introduction

Colorectal cancer is the fourth leading cause of cancer death and the third most common malignancy worldwide [1]. Based on colonoscopic examination and mostly contrast-enhanced tomographic evaluation, the tumor locations in colon tumor patients are determined, and surgical planning is performed. Today, colonoscopy is still considered the “gold standard” for the diagnosis of colorectal cancer (CRC) and the determination of the anatomical colon segment where the lesion is located [2,3]. However, especially in rectosigmoid colon tumors, sometimes this is insufficient to clearly determine the location of the tumor [2]. Some previous and current studies state that colonoscopic evaluation is the most effective method for performing tumor localization [4]. However, there are also studies that argue the opposite and emphasize that further evaluations are needed for more accurate colorectal tumor localization after colonoscopic examination [5]. The latter may need to be repeated for the operation, especially in the preoperative period. According to the literature, colonoscopic examination or imaging performed for colon tumors can sometimes be misleading and leave the surgeon and the patient unprepared for the disease. In their study, Borda et al. stated that colonoscopic tumor localization evaluation is better than tomography and that localization in the descending colon, cecum, and obstructive tumors is more difficult. In another study, the authors reported that both endoscopists and radiologists should not be overconfident in upper-rectal or low-sigmoidal cancer cases and that erroneous evaluations may occur [3]. In our study, the frequency of tumors with uncertain location, preoperative, and perioperative results was high in the rectum, sigmoid colon, and rectosigmoid colon. We designed this study to calculate the accuracy rates of imaging localization methods for adenocarcinomas in these regions.

2. Materials and Methods

Patients with tumors located in the rectosigmoid colon, sigmoid colon, and rectum who were operated on by Malatya Training and Research Hospital Surgical oncology doctors between January 2017 and January 2024 were included in our study. This study received the approval of the Ethics Committee of Turgut Özal University Malatya Training and Research Hospital (approval number E-30785963-020-220617). Only rectum and colon operations performed in our hospital by the authors’ team were included in the study. The rectosigmoid colon was considered the segment between the initial area of the sigmoid colon segment and the last Houston valve. The coiled segment of the sigmoid colon between 40 and 15 cm from the anus was considered the sigmoid colon. All tumors located in the segment from 4 cm from the entrance of the anus or 2 cm above the dentate line to the rectosigmoid area were considered rectum tumors (Figure 1) [6]. Anal canal tumors were excluded from the study.
Upon admission, we examined the patients’ first diagnostic flexible colonoscopies and preoperative control colonoscopies, if any, and calculated the number of patients with a significant change in the type of surgery or oncological treatment by subtracting the number of treatments planned after the initial presentation and that of the treatments required after surgery.
The histopathological evaluations of the patients were examined to ascertain the number of lymph nodes removed, the number of lymph node metastases, lymphovascular invasion, and perineural invasion status. Patients who did not have a colonoscopy at our hospital and were admitted to our clinic after having had a colonoscopy at an external center, who did not have a tomography at our hospital and underwent surgery after an external center’s tomography was evaluated, whose data were missing or uncertain in the information operating system, who underwent emergency surgery and only had a tomography scan, or who were operated on due to perforation without an imaging examination were excluded from the study. The rates were calculated without statistical evaluation, since control colonoscopies were performed primarily on patients whose tumor location was uncertain and whose number was insufficient. Since magnetic resonance imaging was not used in all patients, it was not included in the comparison. Anterior resection was performed on sigmoid colon tumors. In tumors in the part of the sigmoid colon close to the rectosigmoid region or in the rectosigmoid region, in addition to anterior resection, resection of the upper rectum (an area of approximately 5 cm) was performed to preserve the surgical margin. The operations of this patient group were coded as low anterior resections involving the upper rectum (Figure 2). In other rectum tumors, surgery involving total mesorectum was performed, whether or not neoadjuvant chemoradiotherapy was received by the patient (Figure 3). Loop ileostomy was performed in all patients who underwent total mesorectal excision, or coloanal or colorectal anastomosis.

2.1. CT Scanning Evaluation

All patients had computed tomography (CT) scans with contrast, and patients who were evaluated with CT without contrast or did not have a tomography were excluded from the study. The CT evaluations of the patients were performed at our hospital, or an external center due to service procurement; the CT scans taken for tumor patients were either evaluated through a discussion in the tumor council or discussed with radiologists experienced in abdominal tomography, and the patients were then taken into surgery. The preoperative contrast-enhanced tomography reports of the patients were re-examined by a single radiologist for the study, and tumor localization was defined in centimeters (cm) and location. This group was called retro CT evaluation. Axial CT scans were performed with a section thickness of 2.5 mm following the application of intravenous contrast material, using the 128 Slice GE Revolution EVO CT Scan multidetector device (General Healthcare, Chicago, IL, USA) after cleaning the patients’ bowels and making the necessary preparations. The axial images were processed on the workstation, and sagittal and coronal reformatted images were obtained.
The rectum, which has no haustral structures and is accompanied by the mesorectal layer, up to the rectosigmoid junction at the level of the 3rd sacral vertebra, from the anorectal angle, consists of the lower (up to 8 cm), middle (between 8–12 cm), and upper (12–15 cm) sections, all of which were examined. Sigmoid take-off was defined as the point at which the sigmoid moves horizontally away from the sacrum on the sagittal view MRI and as the point at which the sigmoid exits ventrally in the axial view. Axial, coronal, and sagittal CT images were used together to calculate the distance from the tumor to the anorectal junction. For segments that continued without angulation, the total distance was calculated by multiplying the section thickness, spacing, and number of sections, and for segments that were angulated and where a specific section was observed in a single section, this was performed by adding these distances together and measuring the entire length of the part included in the section.

2.2. Statistical Analysis

The data obtained in the study were analyzed by using the IBM SPSS Statistics for Windows version 29 program (Armonk, New york, NY, USA). Descriptive data were presented as numbers (n), rates (%), means, and standard deviation values. The tumor localization performed during surgery was considered the gold standard, and the sensitivity and specificity levels of colonoscopy, preoperative CT, and retro CT findings were calculated. Fisher–Freeman–Halton’s exact test was used to compare the localization accuracy rates of the examination methods according to the tumor regions. Cohen’s Kappa coefficient was used to evaluate compatibility between surgical locations and colonoscopy, preoperative CT, and re-read CT results. The chi-square test and Fisher’s exact test were used to examine the effects of individual and medical characteristics on the accuracy level of colonoscopy, preoperative CT, and retro CT findings. The statistical significance level was accepted when p < 0.05 in all analyses.

3. Results

In this study, 23 patients (57.5%) were male. Only one patient (2.5%) had a high-grade tubular adenoma, as per the preoperative pathology report, and the surgery was performed due to the presence of cancer. The remaining patients had adenocarcinoma (n = 39, 97.5%), and all specimen pathologies were reported as adenocarcinoma. The most frequently detected pathological stage after the operation was stage 2A (n = 18, 45.0%), followed by stage 1 (n = 11, 27.5%) and stage 3B (n = 6, 15.0%). A total of 48.7% (n = 19) of the tumors were well differentiated. Table 1 shows the demographic and clinicopathological characteristics of the patients. The mean largest tumor size was 45.2 mm (+SD 20.8). A total of 40% (n = 16) of the patients had lymphovascular invasion, 20% (n = 8) had perineural invasion, and 15% (n = 6) had tumor budding. A total of seven patients received neoadjuvant therapy (17.5%). Further, 42.5% (n = 17) of the surgeries were performed with open surgery and 57.5% (n = 23) with laparoscopic surgery. In 10% (n = 4) of cases, there were ileus findings, even though there was no complete obstruction before the operation, and the rate of patients who underwent ileostomy during the surgery was 52.5% (n = 21).
During surgery, 40% (n = 16) of colorectal tumors were detected in the sigmoid colon, 10% (n = 4) in the rectosigmoid region, and 50% (n = 20) in the rectum. The tumor localization results from both surgery and imaging evaluations are given in Table 2. As shown in Table 3, the sensitivity levels of the tests were highest in sigmoid colon tumors (93.8% for colonoscopy, 75.0% for preoperative CT, and 100.0% for retro CT). The sensitivity levels decreased to 50.0% for colonoscopy and preoperative CT and to 75.0% for retro CT in rectosigmoid colon tumors. In rectal tumors, the sensitivity levels were 75.0% for colonoscopy, 60.0% for preoperative CT, and 80.0% for retro CT. When comparing accuracy rates according to the tumor region, no statistically significant relationships were found for all three examination types (Table 4). With respect to surgery localization, the Kappa test showed agreement values of 0.675 for the colonoscopy findings, 0.791 for retro CT, and 0.491 for preoperative CT (all p < 0.001).
No statistically significant relationships were found in the analyses examining the effect of the individual and medical characteristics of the patients on the accuracy levels of tumor localization in colonoscopy, preoperative CT, and retro CT (Table 5). The overall accuracy rates were 80.0% (32/40) in colonoscopy, 65.0% (26/40) in preoperative CT, and 87.5% (35/40) in retro CT, and the differences among the examination methods were statistically significant (p = 0.049) (Table 6). In pairwise comparisons, the accuracy rate of retro CT was found to be higher than that of preoperative CT (p = 0.018). No significant difference was found in other pairwise comparisons. When the accuracy rates were evaluated according to tumor localization, there were no statistically significant differences among the examination methods. If we exclude tumors not seen/reported in the preoperative CT evaluation, the overall accuracy rate of preoperative CT increases to 81.3% (26/32), and the rates by location increase to 100% for the sigmoid colon, to 50% for the rectosigmoid colon, and to 75% for the rectum.
Patients with widespread metastases in the abdomen who were operated on for palliative treatment were excluded from the study; only one (2.5%) patient with a sigmoid colon tumor had two millimetric metastases in the pelvic region, and cytoreductive surgery and anterior resection were performed. In a patient with a sigmoid colon tumor (44-year-old male), due to a widespread family history of endometrium and colon cancer, total colectomy and ileorectal anastomosis were performed laparoscopically. Control endoscopy was performed before the operation in 13 (32.5%) patients; cancer in six of these patients was interpreted as rectum cancer; in three, as rectosigmoid cancer; and in four, as sigmoid colon cancer. All three rectosigmoid colon tumors that underwent control endoscopy were found to extend from the upper rectum to the middle rectum, and total mesorectal excision and loop ileostomy were performed in these patients. As an operational finding in these three patient groups, we noticed that the pelvic peritoneum adhered to the rectum serosa at the lower border of the middle rectum and that the area identified as reflection extended from a lower location.
Of the eight patients whose tumor localization evaluation results were different between colonoscopic or CT imaging and surgery, only five of them had the type of surgery changed in a way that changed the patient’s treatment. Although ileostomy was initially considered unlikely in these two patients, it was performed in all of them after the operation. In addition, in two of these patients, cancer was postoperatively pathologically evaluated as T3N0, and the patients received radiotherapy in addition to chemotherapy in the postoperative period because the tumors were located in the middle rectum (Table 7).

4. Discussion

Correct lesion localization before surgery is one of the most important aspects of optimal preoperative surgical planning. Incorrect localization causes on-table changes in surgical treatment, especially in minimally invasive surgery, or leads to the need to place a different type of robotic/laparoscopic port [7,8]. Although no situation that could have compromised the surgical procedure of the patients or posed a life-threatening risk occurred in our study, in a total of five patients, the type of surgery was changed, and a more advanced operation was performed.
Although colonoscopy is considered the gold standard for detecting colorectal lesions, studies on its accuracy in lesion localization are still insufficient [9]. In addition, studies have reported that it is not clear whether computed tomography scans, which assist in tumor staging, can be considered an aid in accurately localizing colon lesions [8,10]. Various publications have shown variability in the accuracy of colonoscopy, ranging from 79% to 88% [2,8,11,12]. In contrast, few studies have investigated the accuracy of CT in determining lesion location and reported that overall accuracy ranged from 42.3% to 90.5% [3,10,13]. Lee et al., in a retrospective analysis of 104 patients with cancer located throughout the colon, reported accuracy rates of 79.8% for colonoscopy and 50% for CT and noted that lesions were missed in 32.7% of cases [10]. However, we noticed that in the above study, no information was given about how the tomography results had been evaluated and whether re-evaluation had been performed. Similarly, Feuerlein et al. analyzed data from 46 patients and showed that colonoscopy and CT imaging had accuracy rates of 78.7% and 67.4%, respectively, in localizing colon lesions [14]. In contrast, Loffeld et al. reported that colonoscopy and CT scans showed higher accuracy rates in localizing sigmoidal and rectal lesions compared with the literature [3]. Nayor et al. stated that errors in endoscopic colon cancer localization are high and emphasized that they occur especially in right-colon tumors [15]. Another study reported overall accuracy rates of 87.5% for colonoscopy and 90.5% for imaging. In a prospective, multicenter analysis of 79 patients with colorectal cancer, Johnstone et al. showed that with colonoscopy, 81% of tumors were accurately detected. The same study showed that based on CT, the primary tumor could not be detected in 23.1% of the cases and that the accuracy rate in cases where cancer was detected was 88.3% [16]. In a study conducted by Souza et al., it was investigated whether the measurement of the sigmoid colon in sample analysis can confirm the preoperative starting point to define the rectum. The authors of the study stated that the distance between the rectosigmoid area and the peritoneal reflection is approximately 2 cm. Furthermore, the study highlighted that no direct evaluation in the literature can distinguish and define the rectum sigmoid colon based on MRI, histopathological evaluation, and operation findings [17]. In our study, there were patients with errors in tumor localization despite multiple colonoscopic examinations, and the fact that numerous colonoscopies and re-evaluations of CT did not provide a complete result made us think that there were other factors explaining this situation. Although we supposed that this was due to different pelvic types in the patients and peritoneal reflection varying from person to person, we could not evaluate this because we did not have data. By performing rigid rectosigmoidoscopy during colorectal surgery, Neto et al. determined that peritoneal reflection was in a lower location in overweight patients and women who had given birth more than twice [18]. Yigun et al. reported that in women, the distance from the distal border of the anal canal to the anterior pelvic reflection was longer than in men [19]. It was reported that especially women who have given birth have larger pelvises than men and that giving birth may be one of the factors affecting this distance.
Based on data from 729 patients, in Manigrasso et al.’s study, colonoscopy and CT scans were accurate in 74.6% and 70.1% of cases, respectively. However, when only lesions detected based on CT were considered, this imaging tool’s accuracy in localizing colon lesions increased to 77.2% [6]. Elnaggar et al. reported that colonoscopy and contrast-enhanced computed tomography had equal accuracy rates in tumor localization in right-colon, splenic flexure, and descending colon tumors. However, only the rates were evaluated, and no statistical data were shared. It was also emphasized in the same study that colonoscopy is superior in rectal cancer detection [20]. In our study, the overall accuracy rates were found to be 80.0% (32/40) in colonoscopy, 65.0% (26/40) in preoperative CT, 87.5% (35/40) in retro CT, and the differences among the examination methods were statistically significant (p = 0.049). In pairwise comparisons, the accuracy rate of retro CT was found to be higher than that of preoperative CT (p = 0.018).
The accurate localization of the tumor is critical for surgical planning, especially in laparoscopic surgery, where the surgeon cannot palpate the colon to detect the cancer mass. To avoid complications, many surgeons prefer to perform a repeat endoscopy when performed by the endoscopist who directed the initial colonoscopy. The CT staging of the abdomen/pelvis is a standard investigation in CRC patients; however, only a few studies have evaluated its utility in correcting localization errors and potentially eliminating the need for repeat endoscopy [3,10,21]. Despite years of research on the accuracy and utility of CT in correcting localization errors during the initial endoscopy, clear guidelines and definitions are limited [6,22]. The general application of the results of these studies is limited by small sample sizes and strict selection criteria, making it difficult to draw meaningful conclusions about the utility of this method. Not many studies have compared staging CT with re-evaluation and repeat endoscopy. Clinically, this is also important because repeat endoscopy has been shown to prevent the occurrence of localization errors, and many surgeons consider repeat endoscopy to be the standard of care for referred cases [21,23]. Therefore, surgeons may not consider repeating the colonoscopy if they see a CT mass compatible with the first colonoscopy result. Incorrect tumor localization may change the surgical procedure and the planned surgical strategy, including switching from laparoscopic surgery to open surgery, in 4–12% of cases [24,25]. Studies have reported that under certain circumstances, an error does not affect the surgical procedure (e.g., only right hemicolectomy rather than extended right hemicolectomy due to misdiagnosis between the cecum and ascending colon). However, various publications have shown that serious situations, such as the resection of a colon segment that does not contain a tumor, are due to previous incorrect cancer localization [10,26,27]. In their study on the causes of errors in the surgical localization of CRC in the proximal or distal segment, Borda et al. reported that the initial surgical plan had to be changed in only one case and that it was necessary to switch to open surgery and perform intraoperative colonoscopy in two cases [2]. This situation is not compatible with our study, and no problems developed in our study except for errors such as high–low anterior resection when anterior resection was planned or low anterior resection with complete mesorectal excision when high–low anterior resection was planned. There were no cases where the tumor was not removed in our study.
Azin et al. confirmed that repeat endoscopy is superior to staging CT as a diagnostic tool to correct localization errors derived from the initial endoscopy [28], with overall sensitivity rates of 80.8% for repeat endoscopy and 42.3% for CT staging (p < 0.01). They reported that adding repeat endoscopy to staging CT following diagnostic endoscopy was associated with fewer location-based surgical changes in the surgical plan and complications. Although the number of repeated endoscopy operations in our study was limited, employing this method could not provide accurate tumor locations in three patients whose previous imaging was incompatible with surgery. Accuracy in preoperative tumor localization in colorectal cancer is essential for adequate resection and treatment planning. In their review, Acuna et al. found that the rate of localization errors was higher in traditional colonoscopy (15.4%) than in colonoscopic marking (9.5%), which was deemed to be safer and to cause fewer errors [7]. This discrepancy underscores the need for improved localization techniques, especially with the increasing adoption of laparoscopic resection for colorectal cancer. Therefore, colonoscopic tattooing has been recommended for routine use due to its lower error rate and safety profile. This significant difference highlights the impact of surgical techniques on the accuracy of tumor localization in colorectal surgeries. The recommendation for routine colonoscopic tattooing is driven by increased safety and reduced error rates, highlighting a clear preference for more reliable methods in surgical planning. In this study, although the errors in tumor localization during surgery or the effectiveness rates of the methods were not compared, the margin of error of colonoscopic surgery and what could be achieved were determined and are here stated. Nayor et al. performed tattooing on 20% of patients with colon cancer and stated that it increased colonoscopy accuracy rates during surgery [15]. El-Kefraoui et al. emphasized that erroneous bowel segments might be removed in patients without tattooing and may cause the prolongation of surgery time [29]. In our study, in two patients, because tumor localization could not be performed, colonoscopy was performed perioperatively, and the surgical strategy did not change compared with the preoperative period. Marking and tattooing in preoperative colonoscopy cannot solve the above-mentioned problems. The two patients in our study in whom tattooing was performed had early-stage cancer, and only laparoscopic cases where there was no palpation sensation were used. We do not think this procedure has an advantage other than facilitating the surgery by aiding in determining the patient’s tumor location. We believe that the aim of current research should be to plan the treatment of patients and increase their survival based on methods that allow for clear staging and tumor localization.
There are a few limitations to our study. First, it was retrospectively based. Second, we did not report on the pelvic floor types of our patients. Third, not all patients underwent control colonoscopy or rectosigmoidoscopy for tumor detection. We observed repeated endoscopies in patients in whom tumor localization errors were suspected. Another limitation of our study is that the pelvic types of male and female patients were not determined, and the comparative results were not given. Furthermore, given the importance of knowledge and awareness about the way in which the operation is performed and operational situations in the endoscopists and radiologists evaluating the tomography results, a limitation of our study is that, in exceptional cases, not all of the information obtained from the tomography and colonoscopy results checked immediately before the operation was recorded (for the study). The fact that our hospital was used as a pandemic hospital for approximately 1.5 years during the COVID-19 pandemic during the study period and that elective tumor cases were not admitted for approximately eight months after a major earthquake in our city is a final limitation of our study, as it limited the number of cases.

5. Conclusions

Studies are ongoing to increase the accuracy rates of sigmoid, rectosigmoid colon, and rectum tumor localization. To achieve high rates, all radiological, histopathological, and operational findings of prospective studies must be recorded, and new studies must be conducted. It is recommended that tomography evaluations involving this patient group be re-evaluated by the radiologist and the surgeon who is to operate. Due to the margin of error in rectosigmoid colon tumors, patients must be evaluated based on MRI, CT, and colonoscopy, together, as well as tumor localization performed by multidisciplinary units.

Author Contributions

Conceptualization, M.O.G. and M.A.; methodology, M.O.G., M.A. and K.C.; software, M.G., C.A.E. and K.C.; validation, M.O.G., M.G., C.A.E. and N.I.; formal analysis, M.O.G. and K.C.; investigation, M.O.G., K.C. and N.I.; resources, M.O.G., M.G. and C.A.E.; data curation, M.O.G. and M.A.; writing—original draft preparation, M.O.G., M.A. and K.C.; writing—review and editing, M.O.G., N.I., K.C. and C.K.P.; visualization, M.O.G. and C.K.P.; supervision, M.O.G., C.K.P. and N.I.; project administration, M.O.G. and M.A.; funding acquisition, no one. All authors have read and agreed to the published version of the manuscript.

Funding

This research study received no external funding.

Institutional Review Board Statement

The study was conducted in accordance with the Declaration of Helsinki and was approved by the Ethics Committee of Turgut Özal University Malatya Training and Research Hospital (protocol code: E-30785963-020-220617; date of approval: 16 April 2024).

Informed Consent Statement

Informed consent was obtained from all subjects involved in the study.

Data Availability Statement

Data are unavailable due to privacy or ethical restrictions. However, we have data to be shared with the journal editor if the journal so requests.

Conflicts of Interest

The authors declare no conflicts of interest.

References

  1. Sung, H.; Ferlay, J.; Siegel, R.L.; Laversanne, M.; Soerjomataram, I.; Jemal, A.; Bray, F. Global cancer statistics 2020: GLOBOCAN estimates of incidence and mortality worldwide for 36 cancers in 185 countries. CA A Cancer J. Clin. 2021, 71, 209–249. [Google Scholar] [CrossRef] [PubMed]
  2. Borda, F.; Jiménez, F.J.; Borda, A.; Urman, J.; Goñi, S.; Ostiz, M.; Zozaya, J.M. Endoscopic localization of colorectal cancer: Study of its accuracy and possible error factors. Rev. Esp. Enferm. Dig. 2012, 104, 512–517. [Google Scholar] [CrossRef]
  3. Loffeld, R.J.; Flens, M.; Fransen, G.; den Boer, F.C.; van Bochove, A. The localisation of cancer in the sigmoid, rectum or rectosigmoid junction using endoscopy or radiology—What is the most accurate method? J. Gastrointest. Oncol. 2014, 5, 469. [Google Scholar] [PubMed]
  4. Lam, D.; Kwong, K.; Lam, C.; Leong, H.; Kwok, S. How useful is colonoscopy in locating colorectal lesions? Surg. Endosc. 1998, 12, 839–841. [Google Scholar] [CrossRef] [PubMed]
  5. Herraiz, M. Accuracy of colonoscopy in localizing colorectal cancer-a quality issue? Rev. Esp. Enferm. Dig. 2012, 104, 509–511. [Google Scholar] [CrossRef][Green Version]
  6. Manigrasso, M.; Milone, M.; Musella, M.; Venetucci, P.; Maione, F.; Elmore, U.; Gallo, G.; Perinotti, R.; De Palma, G.D. Preoperative localization in colonic surgery (PLoCoS Study): A multicentric experience on behalf of the Italian Society of Colorectal Surgery (SICCR). Updates Surg. 2022, 74, 137–144. [Google Scholar] [CrossRef]
  7. Acuna, S.A.; Elmi, M.; Shah, P.S.; Coburn, N.G.; Quereshy, F.A. Preoperative localization of colorectal cancer: A systematic review and meta-analysis. Surg. Endosc. 2017, 31, 2366–2379. [Google Scholar] [CrossRef] [PubMed]
  8. Azin, A.; Saleh, F.; Cleghorn, M.; Yuen, A.; Jackson, T.; Okrainec, A.; Quereshy, F.A. A comparison of endoscopic localization error rate between operating surgeons and referring endoscopists in colorectal cancer. Surg. Endosc. 2017, 31, 1318–1326. [Google Scholar] [CrossRef]
  9. Gamaleldin, M.; Benlice, C.; Delaney, C.P.; Steele, S.; Gorgun, E. Management of the colorectal polyp referred for resection: A case-matched comparison of advanced endoscopic surgery and laparoscopic colectomy. Surgery 2018, 163, 522–527. [Google Scholar] [CrossRef]
  10. Lee, J.; Voytovich, A.; Pennoyer, W.; Thurston, K.; Kozol, R.A. Accuracy of colon tumor localization: Computed tomography scanning as a complement to colonoscopy. World J. Gastrointest. Surg. 2010, 2, 22. [Google Scholar] [CrossRef]
  11. Cho, Y.B.; Lee, W.Y.; Yun, H.R.; Lee, W.S.; Yun, S.H.; Chun, H.K. Tumor localization for laparoscopic colorectal surgery. World J. Surg. 2007, 31, 1491–1495. [Google Scholar] [CrossRef]
  12. Vaziri, K.; Choxi, S.C.; Orkin, B.A. Accuracy of colonoscopic localization. Surg. Endosc. 2010, 24, 2502–2505. [Google Scholar] [CrossRef]
  13. Solon, J.G.; Al-Azawi, D.; Hill, A.; Deasy, J.; McNamara, D.A. Colonoscopy and computerized tomography scan are not sufficient to localize right-sided colonic lesions accurately. Color. Dis. 2010, 12, e267–e272. [Google Scholar] [CrossRef] [PubMed]
  14. Feuerlein, S.; Grimm, L.J.; Davenport, M.S.; Haystead, C.M.; Miller, C.M.; Neville, A.M.; Jaffe, T.A. Can the localization of primary colonic tumors be improved by staging CT without specific bowel preparation compared to optical colonoscopy? Eur. J. Radiol. 2012, 81, 2538–2542. [Google Scholar] [CrossRef]
  15. Nayor, J.; Rotman, S.R.; Chan, W.W.; Goldberg, J.E.; Saltzman, J.R. Endoscopic localization of colon cancer is frequently inaccurate. Dig. Dis. Sci. 2017, 62, 2120–2125. [Google Scholar] [CrossRef] [PubMed]
  16. Johnstone, M.; Moug, S., on behalf of The West of Scotland Surgical Research Network. The accuracy of colonoscopic localisation of colorectal tumours: A prospective, multi-centred observational study. Scott. Med. J. 2014, 59, 85–90. [Google Scholar] [CrossRef] [PubMed]
  17. D’Souza, N.; Lord, A.; Shaw, A.; Patel, A.; Balyasnikova, S.; Tudyka, V.; Abulafi, M.; Moran, B.; Rasheed, S.; Tekkis, P. The sigmoid take-off: An anatomical imaging definition of the rectum validated on specimen analysis. Eur. J. Surg. Oncol. 2020, 46, 1668–1672. [Google Scholar] [CrossRef]
  18. Neto, I.J.F.C.; de Oliveira, M.C.; Robles, L.; Santos, L.M.L.; Rolim, A.S.; Souza, R.F.L.; Watté, H.H.; da Silva Cecchini, A.R. Is there a precise correlation between the lengths of the peritoneal reflection and the middle rectal valve? J. Coloproctol. 2022, 42, 115–119. [Google Scholar]
  19. Yiqun, S.; Tong, T.; Fangqi, L.; Sanjun, C.; Chao, X.; Yajia, G.; Ye, X. Recognition of anterior peritoneal reflections and their relationship with rectal tumors using rectal magnetic resonance imaging. Medicine 2016, 95, e2889. [Google Scholar] [CrossRef] [PubMed]
  20. Elnaggar, M.; Pratheepan, P.; Paramagurunathan, B.; Colemeadow, J.; Hussein, B.; Bashkirova, V.; Pillai, K.; Singh, L.; Chawla, M. The Accuracy of Different Modalities Used for Preoperative Primary Tumour Localisation in Operated Colorectal Cancer Patients. Cureus 2023, 15, e36737. [Google Scholar] [CrossRef]
  21. Azin, A.; Jimenez, M.C.; Cleghorn, M.C.; Jackson, T.D.; Okrainec, A.; Rossos, P.G.; Quereshy, F.A. Discrepancy between gastroenterologists’ and general surgeons’ perspectives on repeat endoscopy in colorectal cancer. Can. J. Surg. 2016, 59, 29. [Google Scholar] [CrossRef] [PubMed]
  22. Manson, P.N.; Corman, M.L.; Coller, J.A.; Veidenheimer, M.C. Anterior resection for adenocarcinoma: Lahey Clinic experience from 1963 through 1969. Am. J. Surg. 1976, 131, 434–441. [Google Scholar] [CrossRef] [PubMed]
  23. Saleh, F.; Abbasi, T.A.; Cleghorn, M.; Jimenez, M.C.; Jackson, T.D.; Okrainec, A.; Quereshy, F.A. Preoperative endoscopy localization error rate in patients with colorectal cancer. Surg. Endosc. 2015, 29, 2569–2575. [Google Scholar] [CrossRef]
  24. Kim, J.H.; Kim, W.H.; Kim, T.I.; Kim, N.K.; Lee, K.Y.; Kim, M.-J.; Kim, K.W. Incomplete colonoscopy in patients with occlusive colorectal cancer: Usefulness of CT colonography according to tumor location. Yonsei Med. J. 2007, 48, 934. [Google Scholar] [CrossRef] [PubMed][Green Version]
  25. Piscatelli, N.; Hyman, N.; Osler, T. Localizing colorectal cancer by colonoscopy. Arch. Surg. 2005, 140, 932–935. [Google Scholar] [CrossRef] [PubMed]
  26. Frager, D.H.; Frager, J.D.; Wolf, E.L.; Beneventano, T.C. Problems in the colonoscopic localization of tumors: Continued value of the barium enema. Gastrointest. Radiol. 1987, 12, 343–346. [Google Scholar] [CrossRef] [PubMed]
  27. Wexner, S.D.; Cohen, S.M.; Ulrich, A.; Reissman, P. Laparoscopic colorectal surgery—Are we being honest with our patients? Dis. Colon Rectum 1995, 38, 723–727. [Google Scholar] [CrossRef] [PubMed]
  28. Azin, A.; Wood, T.; Hirpara, D.; Le Souder, E.; Chadi, S.A.; Jackson, T.; Okrainec, A.; Quereshy, F.A. Diagnostic utility of staging abdominal computerized tomography and repeat endoscopy in detecting localization errors at initial endoscopy in colorectal cancer. Surg. Endosc. 2018, 32, 3303–3310. [Google Scholar] [CrossRef]
  29. El-Kefraoui, C.; Johnson, G.; Singh, H.; Helewa, R.M. Optimal endoscopic localization of colorectal neoplasms: A comparison of rural versus urban documentation practices. World J. Surg. Oncol. 2023, 21, 115. [Google Scholar] [CrossRef]
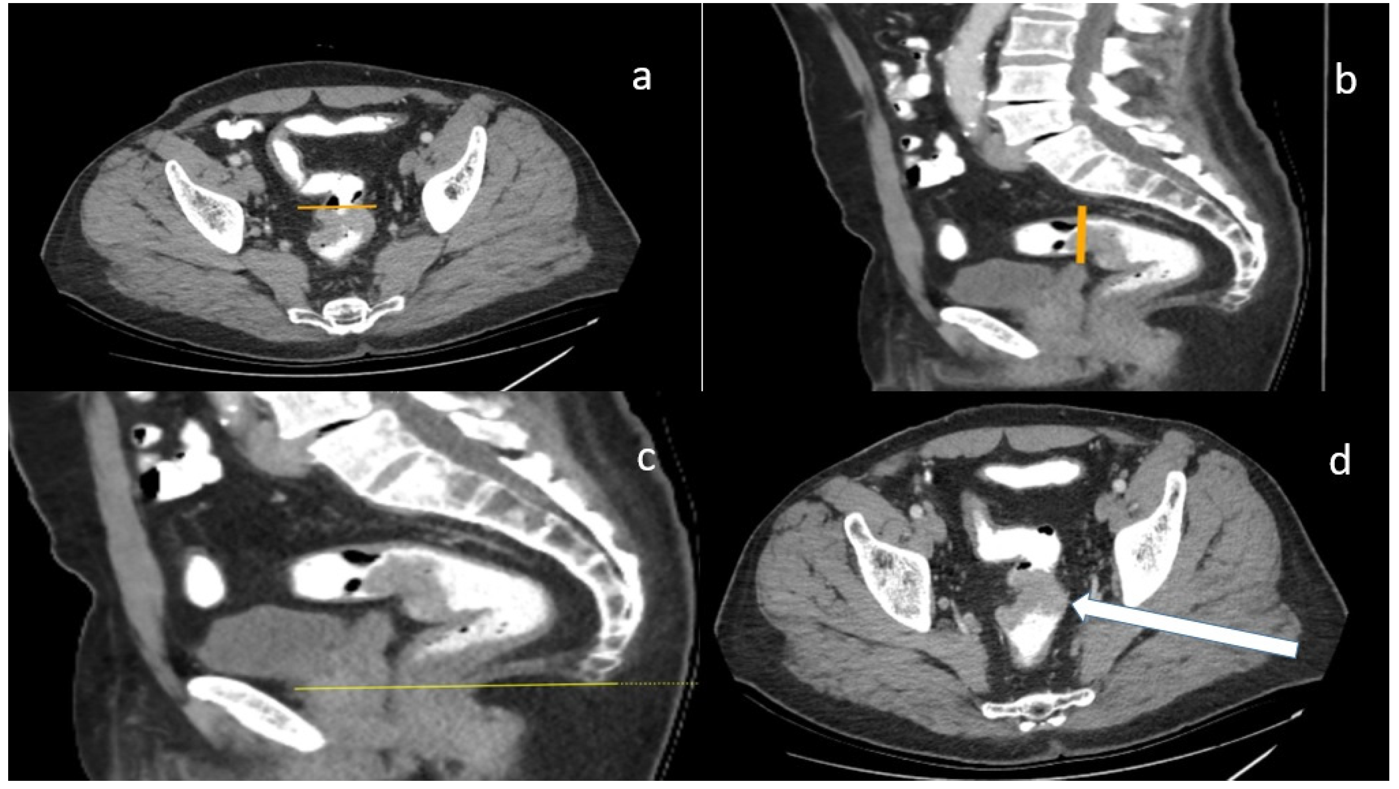
Figure 1. (a) Sigmoid take-off with axial plane (yellow line); (b) sigmoid take-off with sagittal plane (yellow line); (c) anorectal line with sagittal plane (yellow line); (d) tumor appearance with axial line (white arrow shows tumor).
Figure 1. (a) Sigmoid take-off with axial plane (yellow line); (b) sigmoid take-off with sagittal plane (yellow line); (c) anorectal line with sagittal plane (yellow line); (d) tumor appearance with axial line (white arrow shows tumor).
Diagnostics 14 01363 g001
Figure 2. Middle-rectum tumor with total mesorectal excision view. a. Sigmoid colon marked area; b. Rectosigmoid area; c. Rectum area.
Figure 2. Middle-rectum tumor with total mesorectal excision view. a. Sigmoid colon marked area; b. Rectosigmoid area; c. Rectum area.
Diagnostics 14 01363 g002
Figure 3. Sample image from a patient who underwent high–low anterior resection but for whom anterior resection was planned.
Figure 3. Sample image from a patient who underwent high–low anterior resection but for whom anterior resection was planned.
Diagnostics 14 01363 g003
Table 1. Clinicopathological characteristics of patients.
Table 1. Clinicopathological characteristics of patients.
n (%)/Mean ± SD
Gender
Female17 (42.5)
Male23 (57.5)
Ileus4 (10.0)
Preoperative pathology
Adenocarcinoma39 (97.5)
High-grade dysplasia1 (2.5)
Ileostomy during surgery21 (52.5)
Receiving neoadjuvant chemotherapy7 (17.5)
Pathological stage
Rectum tm with complete response after neoadjuvant treatment1 (2.5)
111 (27.5)
2A18 (45.0)
3A1 (2.5)
3B6 (15.0)
3C2 (5.0)
4C1 (2.5)
Perioperative metastasis (peritoneal)1 (2.5)
Type of surgery
Anterior resection7 (17.5)
Laparoscopic anterior resection9 (22.5)
Laparoscopic low anterior resection14 (35.0)
Low anterior resection9 (22.5)
Total colectomy1 (2.5)
Type of surgery technique
Open17 (42.5)
Laparoscopic23 (57.5)
Largest tumor size (mm)45.2 ± 20.8
Number of lymph nodes removed22.3 ± 15.4
Lymphovascular invasion16 (40.0)
Perineural invasion8 (20.0)
Presence of tumor budding6 (15.0)
Differentiation
Unspecified1 (2.6)
Poorly differentiated1 (2.6)
Well differentiated19 (48.7)
Moderately differentiated18 (46.2)
Number of metastatic lymph nodes1.4 ± 2.7
Distal surgical margin (mm)45.1 ± 29.2
Previous surgery (related to existing tumor)
Not38 (95.0)
Loop ileostomy1 (2.5)
Loop colostomy1 (2.5)
SD: standard deviation.
Table 2. Tumor localization according to surgery, colonoscopy, preoperative CT, and retro CT.
Table 2. Tumor localization according to surgery, colonoscopy, preoperative CT, and retro CT.
Surgery, n (%)Preoperative Colonoscopy, n (%)Preoperative CT, n (%)Retro CT, n (%)
Sigmoid16 (40.0)18 (45.0)14 (35.9)19 (47.5)
Rectosigmoid4 (10.0)7 (17.5)5 (12.8)5 (12.5)
Rectum20 (50.0)15 (37.5)12 (30.8)16 (40.0)
No tumor seen or not reported0 (0.0)0 (0.0)8 (20.5)0 (0.0)
Table 3. Colonoscopy, preoperative CT, and retro CT localization accuracy rates according to surgery localization.
Table 3. Colonoscopy, preoperative CT, and retro CT localization accuracy rates according to surgery localization.
SurgeryColonoscopyPreoperative CTRetro CT
Sigmoid
Sensitivity, %93.8 (15/16)75.0 (12/16)100.0 (16/16)
Specificity, %87.5 (21/24)87.5 (21/24)87.5 (21/24)
Rectosigmoid
Sensitivity, % 50.0 (2/4)50.0 (2/4)75.0 (3/4)
Specificity, %86.1 (31/36)91.7 (33/36)94.4 (34/36)
Rectum
Sensitivity, %75.0 (15/20)60.0 (12/20)80.0 (16/20)
Specificity, %100.0 (20/20)100.0 (20/20)100.0 (20/20)
Table 4. Comparison of accuracy rates of examination methods according to tumor region.
Table 4. Comparison of accuracy rates of examination methods according to tumor region.
Accuracy Rate, %p
SigmoidRectosigmoidRectum
Colonoscopy93.8 (15/16)50.0 (2/4)75.0 (15/20)0.084
Preoperative CT75.0 (12/16)50.0 (2/4)60.0 (12/20)0.554
Retro CT100.0 (16/16)75.0 (3/4)80.0 (16/20)0.140
Table 5. Relationships between individual and medical characteristics and surgical compliance.
Table 5. Relationships between individual and medical characteristics and surgical compliance.
Accuracy Rate, %
Colonoscopy Preoperative CT Retro CT
n (%)pn (%)pn (%)p
GenderFemale15 (88.2)0.42813 (76.5)0.19116 (94.1)0.373
Male17 (73.9)13 (56.5)19 (82.6)
IleusNo28 (77.8)0.56623 (63.9)0.99931 (86.1)0.999
Yes4 (100.0)3 (75.0)4 (100.0)
Ileostomy during surgeryNo16 (84.2)0.69812 (63.2)0.81618 (94.7)0.345
Yes16 (76.2)14 (66.7)17 (81.0)
Open vs. laparoscopicOpen14 (82.4)0.99912 (70.6)0.52416 (94.1)0.373
Laparoscopic18 (78.3)14 (60.9)19 (82.6)
Neoadjuvant CRT therapyNo25 (75.8)0.30919 (57.6)0.07528 (84.8)0.565
Yes7 (100.0)7 (100.0)7 (100.0)
Lymphovascular invasionNo20 (83.3)0.69016 (66.7)0.99922 (91.7)0.373
Yes12 (75.0)10 (62.5)13 (81.3)
Perineural invasionNo26 (81.3)0.65021 (65.6)0.99928 (87.5)0.999
Yes6 (75.0)5 (62.5)7 (87.5)
Presence of tumor BuddingNo28 (82.4)0.58021 (61.8)0.39929 (85.3)0.999
Yes4 (66.7)5 (83.3)6 (100.0)
Table 6. Comparison of the accuracy rates of examination methods in all colon cancers and according to tumor location.
Table 6. Comparison of the accuracy rates of examination methods in all colon cancers and according to tumor location.
Accuracy Rate, %p
ColonoscopyPreoperative CTRetro CT
Sigmoid93.8 (15/16)75.0 (12/16)100.0 (16/16)0.110
Rectosigmoid50.0 (2/4)50.0 (2/4)75.0 (3/4)0.999
Rectum75.0 (15/20)60.0 (12/20)80.0 (16/20)0.450
All colon80.0 (32/40)65.0 (26/40)87.5 (35/40)0.049
Colonoscopy vs. preoperative CT, p = 0.133; colonoscopy vs. retro CT, p = 0.363; preoperative CT vs. retro CT, p = 0.018.
Table 7. Tumor findings of patients with tumor localization based on computed tomography and colonoscopy conflicting with the surgical findings.
Table 7. Tumor findings of patients with tumor localization based on computed tomography and colonoscopy conflicting with the surgical findings.
Patients Colonoscopy ResultControl ColonoscopyRetro CT ResultSurgical FindingType of Surgery Performed
1RectosigmoidRectosigmoidSigmoid, 19–20 cmUpper rectumLap. total mesorectal excision
2SigmoidNoSigmoid 21 cmRectosigmoidLap. low anterior resection involving upper rectum
3RectosigmoidNoMiddle rectum 8 cmMiddle rectumOpen total mesorectal excision
4SigmoidNoSigmoid 18 cmUpper rectumOpen total mesorectal excision
5RectosigmoidNoSigmoid 19 cm SigmoidLap. anterior resection
6SigmoidNoRectosigmoid 18 cmRectosigmoidLap. low anterior resection involving upper rectum
7RectosigmoidRectosigmoidRectosigmoid 13 cmMiddle rectumLap. total mesorectal excision
8RectosigmoidRectosigmoidRectosigmoid 14 cmMiddle rectumLap. total mesorectal excision
Disclaimer/Publisher’s Note: The statements, opinions and data contained in all publications are solely those of the individual author(s) and contributor(s) and not of MDPI and/or the editor(s). MDPI and/or the editor(s) disclaim responsibility for any injury to people or property resulting from any ideas, methods, instructions or products referred to in the content.

Share and Cite

MDPI and ACS Style

Gul, M.O.; Akcicek, M.; Iflazoglu, N.; Corbaci, K.; Emir, C.A.; Guzel, M.; Parsak, C.K. Diagnostic Benefits and Surgical Implications of Methods for Tumor Localization in Sigmoid and Rectum Tumors. Diagnostics 2024, 14, 1363. https://doi.org/10.3390/diagnostics14131363

AMA Style

Gul MO, Akcicek M, Iflazoglu N, Corbaci K, Emir CA, Guzel M, Parsak CK. Diagnostic Benefits and Surgical Implications of Methods for Tumor Localization in Sigmoid and Rectum Tumors. Diagnostics. 2024; 14(13):1363. https://doi.org/10.3390/diagnostics14131363

Chicago/Turabian Style

Gul, Mehmet Onur, Mehmet Akcicek, Nidal Iflazoglu, Kadir Corbaci, Cuma Ali Emir, Mehmet Guzel, and Cem Kaan Parsak. 2024. "Diagnostic Benefits and Surgical Implications of Methods for Tumor Localization in Sigmoid and Rectum Tumors" Diagnostics 14, no. 13: 1363. https://doi.org/10.3390/diagnostics14131363

APA Style

Gul, M. O., Akcicek, M., Iflazoglu, N., Corbaci, K., Emir, C. A., Guzel, M., & Parsak, C. K. (2024). Diagnostic Benefits and Surgical Implications of Methods for Tumor Localization in Sigmoid and Rectum Tumors. Diagnostics, 14(13), 1363. https://doi.org/10.3390/diagnostics14131363

Note that from the first issue of 2016, this journal uses article numbers instead of page numbers. See further details here.

Article Metrics

Back to TopTop