Shear Wave Ultrasonographic Elastography in Pediatric Spleens and Its Role in Differential Diagnosis
Abstract
1. Introduction
2. Material and Methods
2.1. Patients
2.2. Methods
2.3. Statistical Analysis
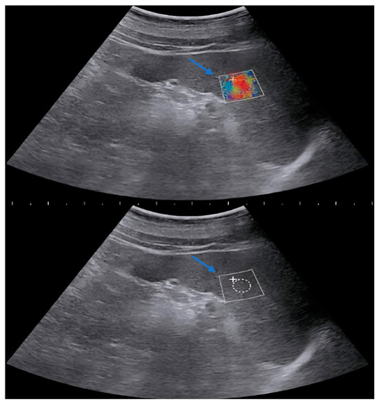
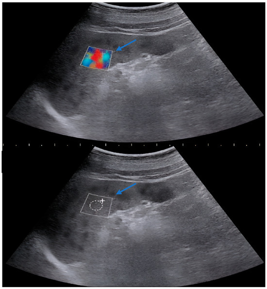
3. Results
4. Discussion
5. Conclusions
Author Contributions
Funding
Institutional Review Board Statement
Informed Consent Statement
Data Availability Statement
Conflicts of Interest
References
- Sigrist, R.M.S.; Liau, J.; Kaffas, A.E.; Chammas, M.C.; Willmann, J.K. Ultrasound Elastography: Review of Techniques and Clinical Applications. Theranostics 2017, 7, 1303–1329. [Google Scholar] [CrossRef]
- Cantisani, V.; De Silvestri, A.; Scotti, V.; Fresilli, D.; Tarsitano, M.G.; Polti, G.; Guiban, O.; Polito, E.; Pacini, P.; Durante, C.; et al. US-elastography with different techniques for thyroid nodule characterization: Systematic review and meta-analysis. Front. Oncol. 2022, 12, 845549. [Google Scholar] [CrossRef]
- Cantisani, V.; David, E.; Barr, R.G.; Radzina, M.; de Soccio, V.; Elia, D.; De Felice, C.; Pediconi, F.; Gigli, S.; Occhiato, R.; et al. US-elastography for breast lesion characterization: Prospective comparison of US BIRADS, strain elastography and shear wave elastography. Ultraschall Med.-Eur. J. Ultrasound 2021, 42, 533–540. [Google Scholar] [CrossRef] [PubMed]
- Ginat, D.T.; Destounis, S.V.; Barr, R.G.; Castaneda, B.; Strang, J.G.; Rubens, D.J. US elastography of breast and prostate lesions. Radiographics 2009, 29, 2007–2016. [Google Scholar] [CrossRef]
- Ryu, J.; Jeong, W.K. Current status of musculoskeletal application of shear wave elastography. Ultrasonography 2017, 36, 185. [Google Scholar] [CrossRef]
- Correas, J.-M.; Tissier, A.-M.; Khairoune, A.; Khoury, G.; Eiss, D.; Hélénon, O. Ultrasound elastography of the prostate: State of the art. Diagn. Interv. Imaging 2013, 94, 551–560. [Google Scholar] [CrossRef]
- Pedersen, M.R.; Sloth Osther, P.J.; Nissen, H.D.; Vedsted, P.; Møller, H.; Rafaelsen, S.R. Elastography and diffusion-weighted MRI in patients with testicular microlithiasis, normal testicular tissue, and testicular cancer: An observational study. Acta Radiol. 2019, 60, 535–541. [Google Scholar] [CrossRef] [PubMed]
- Zhu, Y.L.; Ding, H.; Fu, T.T.; Peng, S.Y.; Chen, S.Y.; Luo, J.J.; Wang, W.P. Portal hypertension in hepatitis B-related cirrhosis: Diagnostic accuracy of liver and spleen stiffness by 2-D shear-wave elastography. Hepatol. Res. 2019, 49, 540–549. [Google Scholar] [CrossRef] [PubMed]
- Pawluś, A.; Inglot, M.; Chabowski, M.; Szymańska, K.; Inglot, M.; Patyk, M.; Słonina, J.; Caseiro-Alves, F.; Janczak, D.; Zaleska-Dorobisz, U. Shear wave elastography (SWE) of the spleen in patients with hepatitis B and C but without significant liver fibrosis. Br. J. Radiol. 2016, 89, 20160423. [Google Scholar] [CrossRef]
- Chang, J.M.; Moon, W.K.; Cho, N.; Yi, A.; Koo, H.R.; Han, W.; Noh, D.-Y.; Moon, H.-G.; Kim, S.J. Clinical application of shear wave elastography (SWE) in the diagnosis of benign and malignant breast diseases. Breast Cancer Res. Treat. 2011, 129, 89–97. [Google Scholar] [CrossRef]
- Hu, X.; Liu, Y.; Qian, L. Diagnostic potential of real-time elastography (RTE) and shear wave elastography (SWE) to differentiate benign and malignant thyroid nodules: A systematic review and meta-analysis. Medicine 2017, 96, e8282. [Google Scholar] [CrossRef] [PubMed]
- Ferraioli, G.; Tinelli, C.; Dal Bello, B.; Zicchetti, M.; Filice, G.; Filice, C.; Liver Fibrosis Study Group. Accuracy of real-time shear wave elastography for assessing liver fibrosis in chronic hepatitis C: A pilot study. Hepatology 2012, 56, 2125–2133. [Google Scholar] [CrossRef] [PubMed]
- Mancini, M.; Salomone Megna, A.; Ragucci, M.; De Luca, M.; Marino Marsilia, G.; Nardone, G.; Coccoli, P.; Prinster, A.; Mannelli, L.; Vergara, E.; et al. Reproducibility of shear wave elastography (SWE) in patients with chronic liver disease. PLoS ONE 2017, 12, e0185391. [Google Scholar] [CrossRef]
- Friedrich-Rust, M.; Ong, M.F.; Martens, S.; Sarrazin, C.; Bojunga, J.; Zeuzem, S.; Herrmann, E. Performance of transient elastography for the staging of liver fibrosis: A meta-analysis. Gastroenterology 2008, 134, 960–974. [Google Scholar] [CrossRef] [PubMed]
- Barr, R.G.; Wilson, S.R.; Rubens, D.; Garcia-Tsao, G.; Ferraioli, G. Update to the society of radiologists in ultrasound liver elastography consensus statement. Radiology 2020, 296, 263–274. [Google Scholar] [CrossRef] [PubMed]
- Sandrin, L.; Fourquet, B.; Hasquenoph, J.-M.; Yon, S.; Fournier, C.; Mal, F.; Christidis, C.; Ziol, M.; Poulet, B.; Kazemi, F.; et al. Transient elastography: A new noninvasive method for assessment of hepatic fibrosis. Ultrasound Med. Biol. 2003, 29, 1705–1713. [Google Scholar] [CrossRef] [PubMed]
- Giuffrè, M.; Macor, D.; Masutti, F.; Abazia, C.; Tinè, F.; Patti, R.; Buonocore, M.R.; Colombo, A.; Visintin, A.; Campigotto, M.; et al. Evaluation of spleen stiffness in healthy volunteers using point shear wave elastography. Ann. Hepatol. 2019, 18, 736–741. [Google Scholar] [CrossRef] [PubMed]
- Sharma, P.; Kirnake, V.; Tyagi, P.; Bansal, N.; Singla, V.; Kumar, A.; Arora, A. Spleen stiffness in patients with cirrhosis in predicting esophageal varices. Off. J. Am. Coll. Gastroenterol. ACG 2013, 108, 1101–1107. [Google Scholar] [CrossRef] [PubMed]
- Rewisha, E.A.; Elsabaawy, M.M.; Alsebaey, A.; Elmazaly, M.A.; Tharwa, E.S. Evaluation of the Role of Liver and Splenic Transient Elastography in Chronic Hepatitis C Related Fibrosis. J. Liver Dis. Transplant. 2016, 5, 3. [Google Scholar] [CrossRef]
- Batur, A.; Alagoz, S.; Durmaz, F.; Baran, A.I.; Ekinci, O. Measurement of spleen stiffness by shear-wave elastography for prediction of splenomegaly etiology. Ultrasound Q. 2019, 35, 153–156. [Google Scholar] [CrossRef]
- Gibiino, G.; Garcovich, M.; Ainora, M.E.; Zocco, M.A. Spleen ultrasound elastography: State of the art and future directions-a systematic review. Eur. Rev. Med. Pharmacol. Sci. 2019, 23, 4368–4381. [Google Scholar]
- Webb, M.; Zimran, A.; Dinur, T.; Shibolet, O.; Levit, S.; Steinberg, D.M.; Salomon, O. Are transient and shear wave elastography useful tools in Gaucher disease? Blood Cells Mol. Dis. 2018, 68, 143–147. [Google Scholar] [CrossRef] [PubMed]
- Bhatia, A.; Bhatia, H.; Saxena, A.K.; Lal, S.B.; Sodhi, K.S. Shear wave elastography of the spleen using elastography point quantification: Stiffness values in healthy children. Abdom. Radiol. 2022, 47, 2128–2134. [Google Scholar] [CrossRef]
- Yalçın, K.; Demir, B.Ç. Spleen stiffness measurement by shear wave elastography using acoustic radiation force impulse in predicting the etiology of splenomegaly. Abdom. Imaging 2021, 46, 609–615. [Google Scholar] [CrossRef]
- Cui, X.W.; Li, K.N.; Yi, A.J.; Wang, B.; Wei, Q.; Wu, G.G.; Dietrich, C.F. Ultrasound elastography. Endosc. Ultrasound 2022, 11, 252–274. [Google Scholar] [CrossRef] [PubMed]
- Mazur, R.; Celmer, M.; Silicki, J.; Hołownia, D.; Pozowski, P.; Międzybrodzki, K. Clinical applications of spleen ultrasound elastography—A review. J. Ultrason. 2018, 18, 37–41. [Google Scholar] [CrossRef] [PubMed]
- Wu, M.; Wu, L.; Jin, J.; Wang, J.; Li, S.; Zeng, J.; Guo, H.; Zheng, J.; Chen, S.; Zheng, R. Liver stiffness measured with two-dimensional shear-wave elastography is predictive of liver-related events in patients with chronic liver disease due to hepatis B viral infection. Radiology 2020, 295, 353–360. [Google Scholar] [CrossRef]
- Kim, H.Y.; Jin, E.H.; Kim, W.; Lee, J.Y.; Woo, H.; Oh, S.; Seo, J.-Y.; Oh, H.S.; Chung, K.H.; Jung, Y.J.; et al. The role of spleen stiffness in determining the severity and bleeding risk of esophageal varices in cirrhotic patients. Medicine 2015, 94, e1031. [Google Scholar] [CrossRef]
- Rozario, R.; Ramakrishna, B. Histopathological study of chronic hepatitis B and C: A comparison of two scoring systems. J. Hepatol. 2003, 38, 223–229. [Google Scholar] [CrossRef]
- Uchida, H.; Sakamoto, S.; Kobayashi, M.; Shigeta, T.; Matsunami, M.; Sasaki, K.; Kanazawa, H.; Fukuda, A.; Kanamori, Y.; Miyasaka, M.; et al. The degree of spleen stiffness measured on acoustic radiation force impulse elastography predicts the severity of portal hypertension in patients with biliary atresia after portoenterostomy. J. Pediatr. Surg. 2015, 50, 559–564. [Google Scholar] [CrossRef]
- Benedetti, E.; Tavarozzi, R.; Morganti, R.; Bruno, B.; Bramanti, E.; Baratè, C.; Balducci, S.; Iovino, L.; Ricci, F.; Ricchiuto, V.; et al. Organ Stiffness in the Work-Up of Myelofibrosis and Philadelphia-Negative Chronic Myeloproliferative Neoplasms. J. Clin. Med. 2020, 9, 2149. [Google Scholar] [CrossRef] [PubMed]
- Ece, B.; Aydin, S. Can Shear Wave Elastography Help Differentiate Acute Tonsillitis from Normal Tonsils in Pediatric Patients: A Prospective Preliminary Study. Children 2023, 10, 704. [Google Scholar] [CrossRef] [PubMed]
- Garra, B.S. Elastography: History, principles, and technique comparison. Abdom. Imaging 2015, 40, 680–697. [Google Scholar] [CrossRef] [PubMed]
- Ormachea, J.; Parker, K.J. Elastography imaging: The 30 year perspective. Phys. Med. Biol. 2020, 65, 24TR06. [Google Scholar] [CrossRef] [PubMed]
- Jansen, C.; Bogs, C.; Verlinden, W.; Thiele, M.; Möller, P.; Görtzen, J.; Lehmann, J.; Vanwolleghem, T.; Vonghia, L.; Praktiknjo, M.; et al. Shear-wave elastography of the liver and spleen identifies clinically significant portal hypertension: A prospective multicentre study. Liver Int. 2017, 37, 396–405. [Google Scholar] [CrossRef] [PubMed]
- Elkrief, L.; Rautou, P.-E.; Ronot, M.; Lambert, S.; Dioguardi Burgio, M.; Francoz, C.; Plessier, A.; Durand, F.; Valla, D.; Lebrec, D.; et al. Prospective comparison of spleen and liver stiffness by using shear-wave and transient elastography for detection of portal hypertension in cirrhosis. Radiology 2015, 275, 589–598. [Google Scholar] [CrossRef] [PubMed]
- Nedredal, G.I.; Yin, M.; McKenzie, T.; Lillegard, J.; Luebke-Wheeler, J.; Talwalkar, J.; Ehman, R.; Nyberg, S.L. Portal hypertension correlates with splenic stiffness as measured with MR elastography. J. Magn. Reson. Imaging 2011, 34, 79–87. [Google Scholar] [CrossRef] [PubMed]
- Bavu, E.; Gennisson, J.L.; Couade, M.; Bercoff, J.; Mallet, V.; Fink, M.; Badel, A.; Vallet-Pichard, A.; Nalpas, B.; Tanter, M.; et al. Noninvasive in vivo liver fibrosis evaluation using supersonic shear imaging: A clinical study on 113 hepatitis C virus patients. Ultrasound Med. Biol. 2011, 37, 1361–1373. [Google Scholar] [CrossRef]
- Hirooka, M.; Ochi, H.; Koizumi, Y.; Kisaka, Y.; Abe, M.; Ikeda, Y.; Matsuura, B.; Hiasa, Y.; Onji, M. Splenic elasticity measured with real-time tissue elastography is a marker of portal hypertension. Radiology 2011, 261, 960–968. [Google Scholar] [CrossRef]
- Jeon, S.K.; Lee, J.M.; Joo, I.; Yoon, J.H.; Lee, D.H.; Han, J.K. Two-dimensional shear wave elastography with propagation maps for the assessment of liver fibrosis and clinically significant portal hypertension in patients with chronic liver disease: A prospective study. Acad. Radiol. 2020, 27, 798–806. [Google Scholar] [CrossRef]
- Shan, Q.Y.; Liu, B.X.; Tian, W.S.; Wang, W.; Zhou, L.Y.; Wang, Y.; Xie, X.Y. Elastography of shear wave speed imaging for the evaluation of liver fibrosis: A meta-analysis. Hepatol. Res. 2016, 46, 1203–1213. [Google Scholar] [CrossRef] [PubMed]
- Li, M.; Zhang, L.; Wu, N.; Huang, W.; Lv, N. Imaging findings of primary splenic lymphoma: A review of 17 cases in which diagnosis was made at splenectomy. PLoS ONE 2013, 8, e80264. [Google Scholar] [CrossRef] [PubMed]



| Exclusion Criteria | n (Excluded Patients) |
|---|---|
| History of acute splenic injury | 12 |
| Splenic Surgery | 8 |
| Previous treatment with non-selective beta-blockers | 5 |
| Shunt placement | 4 |
| Band ligation | 1 |
| Liver transplantation | 3 |
| Overt hepatic encephalopathy | 3 |
| İntrahepatic or extrahepatic malignancies other than lymphoid maligninant infiltration | 9 |
| Portal vein thrombosis or cavernous transformation | 7 |
| Presence of other chronic liver diseases | 6 |
| Male n (%) | Female n (%) | Total n (%) | Mean Splenic Size (cm) | |
|---|---|---|---|---|
| Study group | 892 (64.6) | 487(35.3) | 1379 (100) | 14.17 ± 3.39 |
| Malignant infiltration | 126 (9.1) | 67 (4.8) | 193 (13.9) | |
| Portal hypertansion | 213 (15.4) | 144 (10.4) | 357 (25.8) | |
| Benign lymphoid hyperplasia | 553 (40.1) | 276 (20) | 829 (60.1) | |
| Control group | 779 (55.5) | 623 (44.4) | 1402 (100) | 7.89 ± 1.53 |
| Groups | Mean Splenic Stiffness Value |
|---|---|
| Control group | 13.56 ± 3.58 kPa |
| Malignant infiltration | 10.58 ± 1.18 kPa |
| Portal hypertansion | 16.63 ± 7.73 kPa |
| Benign lymphoid hyperplasia | 14.11 ± 3.91 kPa |
Disclaimer/Publisher’s Note: The statements, opinions and data contained in all publications are solely those of the individual author(s) and contributor(s) and not of MDPI and/or the editor(s). MDPI and/or the editor(s) disclaim responsibility for any injury to people or property resulting from any ideas, methods, instructions or products referred to in the content. |
© 2024 by the authors. Licensee MDPI, Basel, Switzerland. This article is an open access article distributed under the terms and conditions of the Creative Commons Attribution (CC BY) license (https://creativecommons.org/licenses/by/4.0/).
Share and Cite
Cetin, T.; Tokur, O.; Bozkurt, H.B.; Aydin, S.; Memis, K.B.; Kantarci, M. Shear Wave Ultrasonographic Elastography in Pediatric Spleens and Its Role in Differential Diagnosis. Diagnostics 2024, 14, 1142. https://doi.org/10.3390/diagnostics14111142
Cetin T, Tokur O, Bozkurt HB, Aydin S, Memis KB, Kantarci M. Shear Wave Ultrasonographic Elastography in Pediatric Spleens and Its Role in Differential Diagnosis. Diagnostics. 2024; 14(11):1142. https://doi.org/10.3390/diagnostics14111142
Chicago/Turabian StyleCetin, Turkhun, Oguzhan Tokur, Hayrunnisa Bekis Bozkurt, Sonay Aydin, Kemal Bugra Memis, and Mecit Kantarci. 2024. "Shear Wave Ultrasonographic Elastography in Pediatric Spleens and Its Role in Differential Diagnosis" Diagnostics 14, no. 11: 1142. https://doi.org/10.3390/diagnostics14111142
APA StyleCetin, T., Tokur, O., Bozkurt, H. B., Aydin, S., Memis, K. B., & Kantarci, M. (2024). Shear Wave Ultrasonographic Elastography in Pediatric Spleens and Its Role in Differential Diagnosis. Diagnostics, 14(11), 1142. https://doi.org/10.3390/diagnostics14111142

