An Instance Segmentation Model Based on Deep Learning for Intelligent Diagnosis of Uterine Myomas in MRI
Abstract
1. Introduction
- We propose an instance segmentation network that could achieve the full automatic instance identification of multiple classes within the uterine region.
- We designed a new backbone network that reduces the loss of feature information caused by continuous convolutional operations, and can better adapt to complex and variable object shapes, and resist noise.
- We optimized the generation method of anchor boxes. We used the k-means algorithm to adjust the size and scale of anchor boxes of each feature layer. This approach reduces the generation of redundant anchor boxes and accelerates bounding box regression.
- We introduce a fine segmentation mask head. In the mask branch, we used an iterative subdivision strategy to gradually refine rough masks and correct any misclassified pixels.
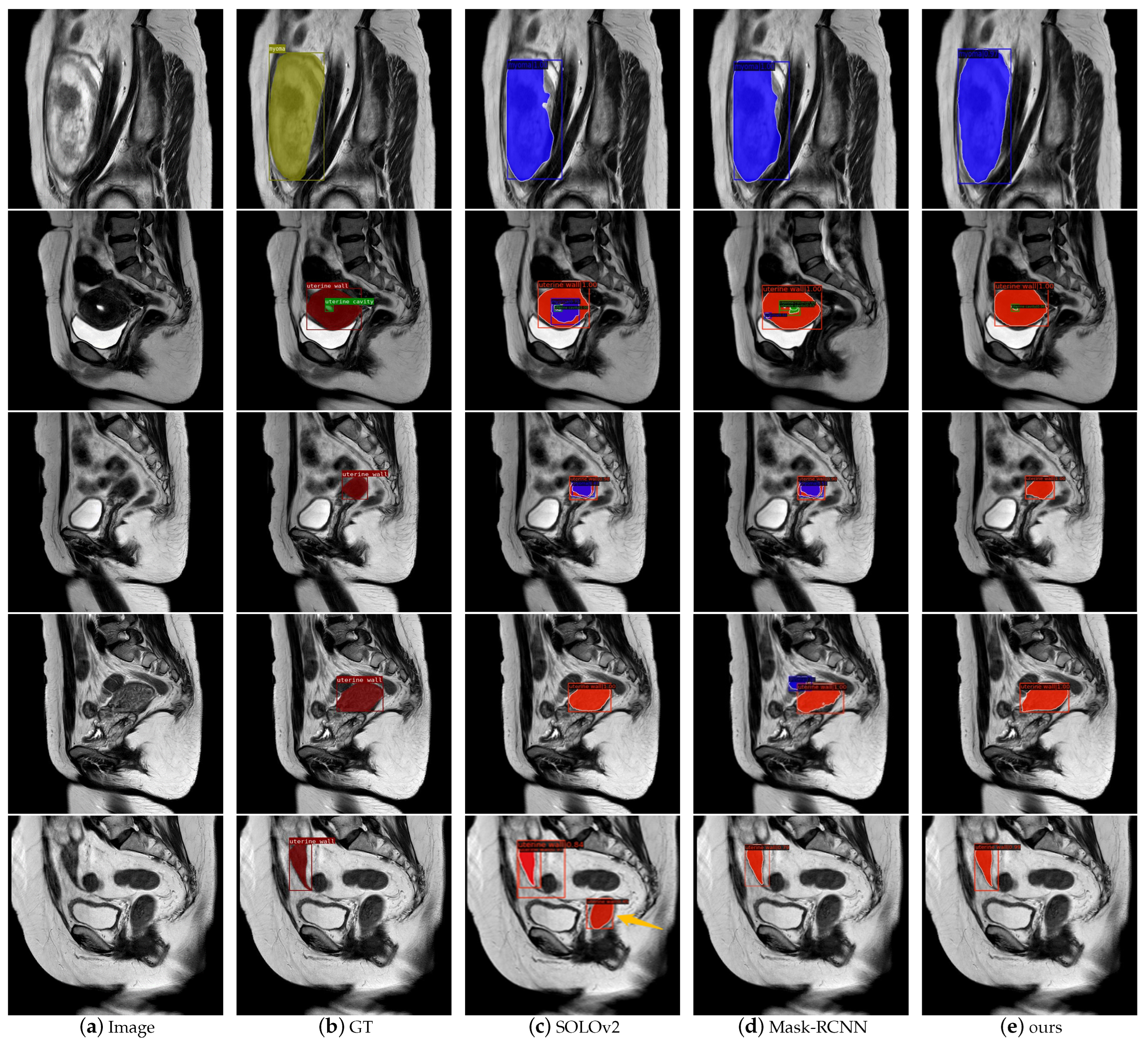
- We validated our approach with some excellent models and visualized its segmentation performance.
2. Materials and Methods
2.1. Dataset Description
2.1.1. Image Acquisition
2.1.2. Image Preparation and Preprocessing
2.2. Instance Segmentation Approach for the Uterine Region
2.2.1. Feature Extraction and Fusion
2.2.2. Anchor Box Generation Strategy
2.2.3. Mask Branch
2.2.4. Loss Function
3. Experiments and Results
3.1. Evaluation Metrics
3.2. Implementation Details
3.3. Ablation Study
3.4. Comparison with Popular Models
4. Discussion
5. Conclusions
Author Contributions
Funding
Institutional Review Board Statement
Informed Consent Statement
Data Availability Statement
Conflicts of Interest
References
- Stewart, E.A. Clinical practice. Uterine fibroids. N. Engl. J. Med. 2015, 372, 1646–1655. [Google Scholar] [CrossRef] [PubMed]
- Giuliani, E.; As-Sanie, S.; Marsh, E.E. Epidemiology and management of uterine fibroids. Int. J. Gynecol. Obstet. 2020, 149, 3–9. [Google Scholar] [CrossRef]
- Donnez, J.; Jadoul, P. What are the implications of myomas on fertility? A need for a debate? Hum. Reprod. 2002, 17, 1424–1430. [Google Scholar] [CrossRef] [PubMed]
- Cohen, S.L.; Vitonis, A.F.; Einarsson, J.I. Updated hysterectomy surveillance and factors associated with minimally invasive hysterectomy. JSLS J. Soc. Laparoendosc. Surg. 2014, 18, e2014.00096. [Google Scholar] [CrossRef]
- Stewart, E.; Laughlin-Tommaso, S.; Catherino, W.; Lalitkumar, S.; Gupta, D.; Vollenhoven, B. Uterine fibroids. Nat. Rev. Dis. Prim. 2016, 2, 16043. [Google Scholar] [CrossRef]
- Ulin, M.; Ali, M.; Chaudhry, Z.T.; Al-Hendy, A.; Yang, Q. Uterine fibroids in menopause and perimenopause. Menopause 2020, 27, 238–242. [Google Scholar] [CrossRef] [PubMed]
- De La Cruz, M.S.D.; Buchanan, E.M. Uterine Fibroids: Diagnosis and Treatment. Am. Fam. Physician 2017, 95, 100–107. [Google Scholar] [PubMed]
- Donnez, J.; Dolmans, M.M. Uterine fibroid management: From the present to the future. Hum. Reprod. Update 2016, 22, 665–686. [Google Scholar] [CrossRef]
- Fraser, I.S.; Critchley, H.O.D.; Broder, M.; Munro, M.G. The FIGO recommendations on terminologies and definitions for normal and abnormal uterine bleeding. Semin. Reprod. Med. 2011, 29, 383–390. [Google Scholar] [CrossRef]
- Dolmans, M.M.; Cacciottola, L.; Donnez, J. Conservative Management of Uterine Fibroid-Related Heavy Menstrual Bleeding and Infertility: Time for a Deeper Mechanistic Understanding and an Individualized Approach. J. Clin. Med. 2021, 10, 4389. [Google Scholar] [CrossRef]
- Yu, H.; Zhang, Q.; Yang, L.T. An Edge-cloud-aided Private High-order Fuzzy C-means Clustering Algorithm in Smart Healthcare. IEEE/ACM Trans. Comput. Biol. Bioinform. 2023. Online ahead of print. [Google Scholar] [CrossRef]
- Wang, S.; Wang, S.; Liu, Z.; Zhang, Q. A role distinguishing Bert model for medical dialogue system in sustainable smart city. Sustain. Energy Technol. Assessments 2023, 55, 102896. [Google Scholar] [CrossRef]
- Zhang, X.; Shams, S.P.; Yu, H.; Wang, Z.; Zhang, Q. A pairwise functional connectivity similarity measure method based on few-shot learning for early MCI detection. Front. Neurosci. 2022, 16, 1081788. [Google Scholar] [CrossRef]
- Yao, J.; Chen, D.; Lu, W.; Premkumar, A. Uterine fibroid segmentation and volume measurement on MRI. In Proceedings of the Medical Imaging 2006: Physiology, Function, and Structure from Medical Images; Manduca, A., Amini, A.A., Eds.; International Society for Optics and Photonics, SPIE: Bellingham, WA, USA, 2006; Volume 6143, p. 614322. [Google Scholar] [CrossRef]
- Liao, X.; Yuan, Z.; Tong, Q.; Zhao, J.; Wang, Q. Adaptive localised region and edge-based active contour model using shape constraint and sub-global information for uterine fibroid segmentation in ultrasound-guided HIFU therapy. IET Image Process. 2017, 11, 1142–1151. [Google Scholar] [CrossRef]
- Militello, C.; Vitabile, S.; Rundo, L.; Russo, G.; Midiri, M.; Gilardi, M.C. A fully automatic 2D segmentation method for uterine fibroid in MRgFUS treatment evaluation. Comput. Biol. Med. 2015, 62, 277–292. [Google Scholar] [CrossRef] [PubMed]
- Rundo, L.; Militello, C.; Vitabile, S.; Casarino, C.; Russo, G.; Midiri, M.; Gilardi, M.C. Combining split-and-merge and multi-seed region growing algorithms for uterine fibroid segmentation in MRgFUS treatments. Med. Biol. Eng. Comput. J. Int. Fed. Med. Biol. Eng. 2016, 54, 1071–1084. [Google Scholar] [CrossRef]
- Fallahi, A.; Pooyan, M.; Oghabian, M.A.; Khotanlou, H.; Ahmari, S. Uterine Segmentation and Volume Measurement in Uterine Fibroid Patients’ MRI Using FCM Algorithm and Morphological Operations. In Proceedings of the 16th Iranian Conference of Biomedical Engineering, Mashhad, Iran, 29–30 December 2009. [Google Scholar]
- Antila, K.; Nieminen, H.J.; Sequeiros, R.B.; Ehnholm, G. Automatic segmentation for detecting uterine fibroid regions treated with MR-guided high intensity focused ultrasound (MR-HIFU). Med. Phys. 2014, 41, 073502. [Google Scholar] [CrossRef] [PubMed]
- Militello, C.; Vitabile, S.; Russo, G.; Candiano, G.; Gagliardo, C.; Midiri, M.; Gilardi, M.C. A Semi-automatic Multi-seed Region-Growing Approach for Uterine Fibroids Segmentation in MRgFUS Treatment. In Proceedings of the 2013 Seventh International Conference on Complex, Intelligent, and Software Intensive Systems, Washington, DC, USA, 3–5 July 2013; pp. 176–182. [Google Scholar] [CrossRef]
- Hodneland, E.; Dybvik, J.A.; Wagner-Larsen, K.S.; Šoltészová, V.; Munthe-Kaas, A.Z.; Fasmer, K.E.; Krakstad, C.; Lundervold, A.; Lundervold, A.S.; Salvesen, Ø.; et al. Automated segmentation of endometrial cancer on MR images using deep learning. Sci. Rep. 2021, 11, 1–8. [Google Scholar] [CrossRef]
- Kurata, Y.; Nishio, M.; Kido, A.; Fujimoto, K.; Yakami, M.; Isoda, H.; Togashi, K. Automatic segmentation of the uterus on MRI using a convolutional neural network. Comput. Biol. Med. 2019, 114, 103438. [Google Scholar] [CrossRef]
- Zhang, C.; Shu, H.; Yang, G.; Li, F.; Wen, Y.; Zhang, Q.; Dillenseger, J.L.; Coatrieux, J.L. HIFUNet: Multi-Class Segmentation of Uterine Regions From MR Images Using Global Convolutional Networks for HIFU Surgery Planning. IEEE Trans. Med. Imaging 2020, 39, 3309–3320. [Google Scholar] [CrossRef]
- Niu, Y.; Zhang, Y.; Ying, L.; Li, H.; Chen, W.; Miao, H.; Bao, N. Uterine magnetic resonance image segmentation based on deep learning. J. Phys. Conf. Ser. 2021, 1861, 012067. [Google Scholar] [CrossRef]
- Tang, C.; Liu, D.; Yu, X. MRI image segmentation system of uterine fibroids based on AR-Unet network. Am. Sci. Res. J. Eng. Technol. Sci. (ASRJETS) 2020, 71, 1–10. [Google Scholar]
- He, K.; Gkioxari, G.; Dollár, P.; Girshick, R. Mask R-CNN. In Proceedings of the 2017 IEEE International Conference on Computer Vision (ICCV), Venice, Italy, 22–29 October 2017; pp. 2980–2988. [Google Scholar] [CrossRef]
- Zhang, G.; Lu, X.; Tan, J.; Li, J.; Zhang, Z.; Li, Q.; Hu, X. RefineMask: Towards High-Quality Instance Segmentation with Fine-Grained Features. In Proceedings of the 2021 IEEE/CVF Conference on Computer Vision and Pattern Recognition (CVPR), Nashville, TN, USA, 20–25 June 2021; pp. 6857–6865. [Google Scholar] [CrossRef]
- Gao, N.; Shan, Y.; Wang, Y.; Zhao, X.; Yu, Y.; Yang, M.; Huang, K. SSAP: Single-Shot Instance Segmentation With Affinity Pyramid. In Proceedings of the 2019 IEEE/CVF International Conference on Computer Vision (ICCV), Seoul, Republic of Korea, 27 October–2 November 2019; pp. 642–651. [Google Scholar] [CrossRef]
- Bolya, D.; Zhou, C.; Xiao, F.; Lee, Y.J. YOLACT++ Better Real-Time Instance Segmentation. IEEE Trans. Pattern Anal. Mach. Intell. 2022, 44, 1108–1121. [Google Scholar] [CrossRef] [PubMed]
- Wang, X.; Zhang, R.; Kong, T.; Li, L.; Shen, C. SOLOv2: Dynamic and Fast Instance Segmentation. Adv. Neural Inf. Process. Syst. 2020, 33, 17721–17732. [Google Scholar]
- Ren, S.; He, K.; Girshick, R.; Sun, J. Faster R-CNN: Towards Real-Time Object Detection with Region Proposal Networks. IEEE Trans. Pattern Anal. Mach. Intell. 2017, 39, 1137–1149. [Google Scholar] [CrossRef]
- Lin, T.Y.; Maire, M.; Belongie, S.; Hays, J.; Perona, P.; Ramanan, D.; Dollár, P.; Zitnick, C.L. Microsoft coco: Common objects in context. In Proceedings of the Computer Vision–ECCV 2014: 13th European Conference, Zurich, Switzerland, 6–12 September 2014; Part V 13. Springer: Berlin, Germany, 2014; pp. 740–755. [Google Scholar]
- Chen, H.; Sun, K.; Tian, Z.; Shen, C.; Huang, Y.; Yan, Y. BlendMask: Top-Down Meets Bottom-Up for Instance Segmentation. In Proceedings of the 2020 IEEE/CVF Conference on Computer Vision and Pattern Recognition (CVPR), Seattle, WA, USA, 13–19 June 2020; pp. 8570–8578. [Google Scholar] [CrossRef]
- Zhang, T.; Wei, S.; Ji, S. E2EC: An End-to-End Contour-based Method for High-Quality High-Speed Instance Segmentation. In Proceedings of the 2022 IEEE/CVF Conference on Computer Vision and Pattern Recognition (CVPR), New Orleans, LA, USA, 18–24 June 2022; pp. 4433–4442. [Google Scholar] [CrossRef]
- Huang, T.; Li, H.; Zhou, G.; Li, S.; Wang, Y. A Survey of Research on Instance Segmentation Methods. J. Front. Comput. Sci. Technol. 2023, 17, 810. [Google Scholar]
- Yu, H.; Yang, L.T.; Zhang, Q.; Armstrong, D.; Deen, M.J. Convolutional neural networks for medical image analysis: State-of-the-art, comparisons, improvement and perspectives. Neurocomputing 2021, 444, 92–110. [Google Scholar] [CrossRef]
- Lipson, S.A.; Hricak, H. MR imaging of the female pelvis. Radiol. Clin. N. Am. 1996, 34, 1157–1182. [Google Scholar] [CrossRef]
- Tustison, N.J.; Avants, B.B.; Cook, P.A.; Zheng, Y.; Egan, A.; Yushkevich, P.A.; Gee, J.C. N4ITK: Improved N3 Bias Correction. IEEE Trans. Med. Imaging 2010, 29, 1310–1320. [Google Scholar] [CrossRef]
- Sun, K.; Zhao, Y.; Jiang, B.; Cheng, T.; Xiao, B.; Liu, D.; Mu, Y.; Wang, X.; Liu, W.; Wang, J. High-resolution representations for labeling pixels and regions. arXiv 2019, arXiv:1904.04514. [Google Scholar]
- Dai, J.; Qi, H.; Xiong, Y.; Li, Y.; Zhang, G.; Hu, H.; Wei, Y. Deformable Convolutional Networks. In Proceedings of the 2017 IEEE International Conference on Computer Vision (ICCV), Venice, Italy, 22–29 October 2017; pp. 764–773. [Google Scholar] [CrossRef]
- Woo, S.; Park, J.; Lee, J.Y.; Kweon, I.S. CBAM: Convolutional Block Attention Module. In Proceedings of the Computer Vision—ECCV 2018; Springer International Publishing: Cham, Switzerland, 2018; pp. 3–19. [Google Scholar]
- Kirillov, A.; Wu, Y.; He, K.; Girshick, R. PointRend: Image Segmentation As Rendering. In Proceedings of the 2020 IEEE/CVF Conference on Computer Vision and Pattern Recognition (CVPR), Seattle, WA, USA, 13–19 June 2020; pp. 9796–9805. [Google Scholar] [CrossRef]

















| Variable | Value |
|---|---|
| Repetition time (TR) | 4200 ms |
| Echo time (TE) | 130 ms |
| Field of view (FOV) | 24 × 24 cm |
| Voxel | 0.8 × 0.8 × 4.0 cm |
| Reverse angle | 90° |
| Age (year) | 50.04 ± 11.37 * |
| Dataset | Number of Images | Number of Instances |
|---|---|---|
| Training | 1349 | 2825 |
| Validation | 168 | 344 |
| Test | 170 | 351 |
| Total | 1687 | 3520 |
| Metrics | Means |
|---|---|
| AP | IoU = 0.50:0.05:0.95 |
| AP | IoU = 0.50 |
| AP | IoU = 0.75 |
| AP | area < 32 |
| AP | 32 < area < 96 |
| AP | area > 96 |
| HRAD | RA | PR | AP% | AP | AP |
|---|---|---|---|---|---|
| 34.5 | 56.8 | 30.0 | |||
| ✓ | 38.2 | 60.5 | 36.2 | ||
| ✓ | ✓ | 39.8 | 61.7 | 37.5 | |
| ✓ | ✓ | 42.5 | 62.8 | 40.8 | |
| ✓ | ✓ | ✓ | 44.6 | 64.7 | 41.3 |
| RA | PR | boxAP | maskAP | ||||
|---|---|---|---|---|---|---|---|
| AP | AP | AP | AP | AP | AP | ||
| 27.1 | 52.5 | 67.4 | 20.9 | 50.4 | 66.5 | ||
| ✓ | 28.0 | 53.9 | 69.6 | 21.5 | 51.7 | 67.3 | |
| ✓ | 26.8 | 52.7 | 67.7 | 21.8 | 52.2 | 68.8 | |
| ✓ | ✓ | 28.5 | 54.4 | 67.8 | 22.3 | 53.4 | 69.0 |
| Model | AP% | AP | AP | AP | AP | AP |
|---|---|---|---|---|---|---|
| YOLACT++ [29] | 27.3 | 47.0 | 21.7 | 11.1 | 25.7 | 59.1 |
| SOLOv2 [30] | 29.9 | 52.7 | 27.9 | 12.9 | 37.3 | 66.8 |
| BlendMask [33] | 28.1 | 45.3 | 23.8 | 11.7 | 27.6 | 57.2 |
| E2EC [34] | 30.8 | 55.7 | 29.6 | 13.0 | 41.4 | 68.7 |
| Mask-RCNN [26] | 34.5 | 56.8 | 30.0 | 17.7 | 47.7 | 62.5 |
| ours | 44.6 | 64.7 | 41.3 | 22.3 | 53.4 | 69.0 |
Disclaimer/Publisher’s Note: The statements, opinions and data contained in all publications are solely those of the individual author(s) and contributor(s) and not of MDPI and/or the editor(s). MDPI and/or the editor(s) disclaim responsibility for any injury to people or property resulting from any ideas, methods, instructions or products referred to in the content. |
© 2023 by the authors. Licensee MDPI, Basel, Switzerland. This article is an open access article distributed under the terms and conditions of the Creative Commons Attribution (CC BY) license (https://creativecommons.org/licenses/by/4.0/).
Share and Cite
Pan, H.; Zhang, M.; Bai, W.; Li, B.; Wang, H.; Geng, H.; Zhao, X.; Zhang, D.; Li, Y.; Chen, M. An Instance Segmentation Model Based on Deep Learning for Intelligent Diagnosis of Uterine Myomas in MRI. Diagnostics 2023, 13, 1525. https://doi.org/10.3390/diagnostics13091525
Pan H, Zhang M, Bai W, Li B, Wang H, Geng H, Zhao X, Zhang D, Li Y, Chen M. An Instance Segmentation Model Based on Deep Learning for Intelligent Diagnosis of Uterine Myomas in MRI. Diagnostics. 2023; 13(9):1525. https://doi.org/10.3390/diagnostics13091525
Chicago/Turabian StylePan, Haixia, Meng Zhang, Wenpei Bai, Bin Li, Hongqiang Wang, Haotian Geng, Xiaoran Zhao, Dongdong Zhang, Yanan Li, and Minghuang Chen. 2023. "An Instance Segmentation Model Based on Deep Learning for Intelligent Diagnosis of Uterine Myomas in MRI" Diagnostics 13, no. 9: 1525. https://doi.org/10.3390/diagnostics13091525
APA StylePan, H., Zhang, M., Bai, W., Li, B., Wang, H., Geng, H., Zhao, X., Zhang, D., Li, Y., & Chen, M. (2023). An Instance Segmentation Model Based on Deep Learning for Intelligent Diagnosis of Uterine Myomas in MRI. Diagnostics, 13(9), 1525. https://doi.org/10.3390/diagnostics13091525

