Combined CT Coronary Artery Assessment and TAVI Planning
Abstract
1. Introduction
2. Technological Prerequisites
3. Prescan Considerations and Patient Preparation
4. CT Protocol
4.1. Calcium Scoring
4.2. CTA Acquisition Technique
- An ECG-synchronized acquisition of the heart including the aortic root that is followed by a non-ECG-synchronized acquisition from the thorax to the pelvis;
- An ECG-synchronized acquisition of the whole thorax that is followed by a non-ECG-synchronized CTA from the abdomen to the pelvis.
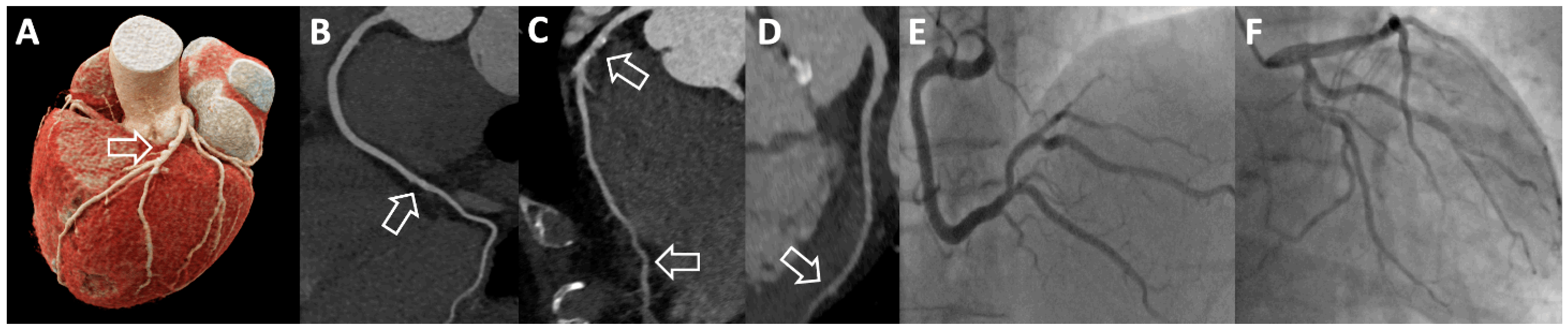
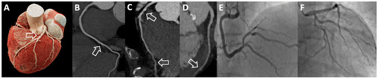
5. Data Reconstruction and Image Interpretation
6. Overview of the Current Literature
6.1. CTA Alone for Coronary Artery Assessment and TAVI Evaluation
6.2. Study Experience with CTA-Based FFR Prior to TAVI
6.3. Available Meta-Analyses on CTA for Coronary Artery Evaluation before TAVI
7. Discussion
8. Conclusions
9. Future Directions
Author Contributions
Funding
Institutional Review Board Statement
Informed Consent Statement
Data Availability Statement
Conflicts of Interest
References
- Sabbah, M.; Engstrøm, T.; De Backer, O.; Søndergaard, L.; Lønborg, J. Coronary Assessment and Revascularization Before Transcutaneous Aortic Valve Implantation: An Update on Current Knowledge. Front. Cardiovasc. Med. 2021, 8, 654892. [Google Scholar] [CrossRef] [PubMed]
- Faroux, L.; Guimaraes, L.; Wintzer-Wehekind, J.; Junquera, L.; Ferreira-Neto, A.N.; Del Val, D.; Muntané-Carol, G.; Mohammadi, S.; Paradis, J.M.; Rodés-Cabau, J. Coronary Artery Disease and Transcatheter Aortic Valve Replacement: JACC State-of-the-Art Review. J. Am. Coll. Cardiol. 2019, 74, 362–372. [Google Scholar] [CrossRef] [PubMed]
- El Sabbagh, A.; Nishimura, R.A. Clinical Conundrum of Coronary Artery Disease and Aortic Valve Stenosis. J. Am. Heart Assoc. 2017, 6, e005593. [Google Scholar] [CrossRef]
- Vahanian, A.; Beyersdorf, F.; Praz, F.; Milojevic, M.; Baldus, S.; Bauersachs, J.; Capodanno, D.; Conradi, L.; De Bonis, M.; De Paulis, R.; et al. ESC/EACTS Scientific Document Group. 2021 ESC/EACTS Guidelines for the management of valvular heart disease. Eur. Heart J. 2022, 43, 561–632. [Google Scholar] [CrossRef]
- Writing Committee Members; Otto, C.M.; Nishimura, R.A.; Bonow, R.O.; Carabello, B.A.; Erwin, J.P., 3rd; Gentile, F.; Jneid, H.; Krieger, E.V.; Mack, M.; et al. 2020 ACC/AHA Guideline for the Management of Patients with Valvular Heart Disease: Executive Summary: A Report of the American College of Cardiology/American Heart Association Joint Committee on Clinical Practice Guidelines. J. Am. Coll. Cardiol. 2021, 77, 450–500. [Google Scholar] [CrossRef] [PubMed]
- Patterson, T.; Clayton, T.; Dodd, M.; Khawaja, Z.; Morice, M.C.; Wilson, K.; Kim, W.K.; Meneveau, N.; Hambrecht, R.; Byrne, J.; et al. ACTIVATION Trial Investigators. ACTIVATION (PercutAneous Coronary inTervention prIor to transcatheter aortic VAlve implantaTION): A Randomized Clinical Trial. JACC Cardiovasc. Interv. 2021, 14, 1965–1974. [Google Scholar] [CrossRef]
- Pontone, G.; Andreini, D.; Bartorelli, A.L.; Annoni, A.; Mushtaq, S.; Bertella, E.; Formenti, A.; Cortinovis, S.; Alamanni, F.; Fusari, M.; et al. Feasibility and accuracy of a comprehensive multidetector computed tomography acquisition for patients referred for balloon-expandable transcatheter aortic valve implantation. Am. Heart J. 2011, 161, 1106–1113. [Google Scholar] [CrossRef]
- Andreini, D.; Pontone, G.; Mushtaq, S.; Bartorelli, A.L.; Ballerini, G.; Bertella, E.; Segurini, C.; Conte, E.; Annoni, A.; Baggiano, A.; et al. Diagnostic accuracy of multidetector computed tomography coronary angiography in 325 consecutive patients referred for transcatheter aortic valve replacement. Am. Heart J. 2014, 168, 332–339. [Google Scholar] [CrossRef] [PubMed]
- Chieffo, A.; Giustino, G.; Spagnolo, P.; Panoulas, V.F.; Montorfano, M.; Latib, A.; Figini, F.; Agricola, E.; Gerli, C.; Franco, A.; et al. Routine Screening of Coronary Artery Disease with Computed Tomographic Coronary Angiography in Place of Invasive Coronary Angiography in Patients Undergoing Transcatheter Aortic Valve Replacement. Circ. Cardiovasc. Interv. 2015, 8, e002025. [Google Scholar] [CrossRef]
- Hamdan, A.; Wellnhofer, E.; Konen, E.; Kelle, S.; Goitein, O.; Andrada, B.; Raanani, E.; Segev, A.; Barbash, I.; Klempfner, R.; et al. Coronary CT angiography for the detection of coronary artery stenosis in patients referred for transcatheter aortic valve replacement. J. Cardiovasc. Comput. Tomogr. 2015, 9, 31–41. [Google Scholar] [CrossRef]
- Harris, B.S.; De Cecco, C.N.; Schoepf, U.J.; Steinberg, D.H.; Bayer, R.R.; Krazinski, A.W.; Dyer, K.T.; Sandhu, M.K.; Zile, M.R.; Meinel, F.G. Dual-source CT imaging to plan transcatheter aortic valve replacement: Accuracy for diagnosis of obstructive coronary artery disease. Radiology 2015, 275, 80–88. [Google Scholar] [CrossRef]
- Opolski, M.P.; Kim, W.K.; Liebetrau, C.; Walther, C.; Blumenstein, J.; Gaede, L.; Kempfert, J.; Van Linden, A.; Walther, T.; Hamm, C.W.; et al. Diagnostic accuracy of computed tomography angiography for the detection of coronary artery disease in patients referred for transcatheter aortic valve implantation. Clin. Res. Cardiol. 2015, 104, 471–480. [Google Scholar] [CrossRef]
- Matsumoto, S.; Yamada, Y.; Hashimoto, M.; Okamura, T.; Yamada, M.; Yashima, F.; Hayashida, K.; Fukuda, K.; Jinzaki, M. CT imaging before transcatheter aortic valve implantation (TAVI) using variable helical pitch scanning and its diagnostic performance for coronary artery disease. Eur. Radiol. 2017, 27, 1963–1970. [Google Scholar] [CrossRef]
- Rossi, A.; De Cecco, C.N.; Kennon, S.R.O.; Zou, L.; Meinel, F.G.; Toscano, W.; Segreto, S.; Achenbach, S.; Hausleiter, J.; Schoepf, U.J.; et al. CT angiography to evaluate coronary artery disease and revascularization requirement before trans-catheter aortic valve replacement. J. Cardiovasc. Comput. Tomogr. 2017, 11, 338–346. [Google Scholar] [CrossRef] [PubMed]
- Annoni, A.D.; Andreini, D.; Pontone, G.; Mancini, M.E.; Formenti, A.; Mushtaq, S.; Baggiano, A.; Conte, E.; Guglielmo, M.; Muscogiuri, G.; et al. CT angiography prior to TAVI procedure using third-generation scanner with wide volume coverage: Feasibility, renal safety and diagnostic accuracy for coronary tree. Br. J. Radiol. 2018, 91, 20180196. [Google Scholar] [CrossRef] [PubMed]
- Hachulla, A.L.; Noble, S.; Ronot, M.; Guglielmi, G.; de Perrot, T.; Montet, X.; Vallée, J.P. Low Iodine Contrast Injection for CT Acquisition Prior to Transcatheter Aortic Valve Replacement: Aorta Assessment and Screening for Coronary Artery Disease. Acad. Radiol. 2019, 26, e150–e160. [Google Scholar] [CrossRef] [PubMed]
- Strong, C.; Ferreira, A.; Teles, R.C.; Mendes, G.; Abecasis, J.; Cardoso, G.; Guerreiro, S.; Freitas, P.; Santos, A.C.; Saraiva, C.; et al. Diagnostic accuracy of computed tomography angiography for the exclusion of coronary artery disease in candidates for transcatheter aortic valve implantation. Sci. Rep. 2019, 9, 19942. [Google Scholar] [CrossRef]
- Schicchi, N.; Fogante, M.; Pirani, P.E.; Agliata, G.; Piva, T.; Tagliati, C.; Marcucci, M.; Francioso, A.; Giovagnoni, A. Third generation dual source CT with ultra-high pitch protocol for TAVI planning and coronary tree assessment: Feasibility, image quality and diagnostic performance. Eur. J. Radiol. 2020, 122, 108749. [Google Scholar] [CrossRef]
- Shuai, T.; Li, W.; You, Y.; Deng, L.; Li, J.; Peng, L.; Li, Z. Combined Coronary CT Angiography and Evaluation of Access Vessels for TAVR Patients in Free-Breathing with Single Contrast Medium Injection Using a 16-cm-Wide Detector CT. Acad. Radiol. 2021, 28, 1662–1668. [Google Scholar] [CrossRef]
- Van den Boogert, T.P.W.; Claessen, B.E.P.M.; Opolski, M.P.; Kim, W.K.; Hamdan, A.; Andreini, D.; Pugliese, F.; Möllmann, H.; Delewi, R.; Baan, J.; et al. Detection of ProxImal Coronary stenosis in the work-up for Transcatheter aortic valve implantation using CTA (from the DEPICT CTA collaboration). Eur. Radiol. 2022, 32, 143–151. [Google Scholar] [CrossRef]
- Meier, D.; Depierre, A.; Topolsky, A.; Roguelov, C.; Dupré, M.; Rubimbura, V.; Eeckhout, E.; Qanadli, S.D.; Muller, O.; Mahendiran, T.; et al. Computed Tomography Angiography for the Diagnosis of Coronary Artery Disease Among Patients Undergoing Transcatheter Aortic Valve Implantation. J. Cardiovasc. Transl. Res. 2021, 14, 894–901. [Google Scholar] [CrossRef] [PubMed]
- Malebranche, D.; Hoffner, M.K.M.; Huber, A.T.; Cicovic, A.; Spano, G.; Bernhard, B.; Bartkowiak, J.; Okuno, T.; Lanz, J.; Räber, L.; et al. Diagnostic performance of quantitative coronary artery disease assessment using computed tomography in patients with aortic stenosis undergoing transcatheter aortic-valve implantation. BMC Cardiovasc. Disord. 2022, 22, 178. [Google Scholar] [CrossRef] [PubMed]
- Renker, M.; Steinbach, R.; Schoepf, U.J.; Fischer-Rasokat, U.; Choi, Y.H.; Hamm, C.W.; Rolf, A.; Kim, W.K. Comparison of first- and third-generation dual-source CT for detecting coronary artery disease in patients evaluated for transcatheter aortic valve replacement. J. Thorac. Imaging, 2022; accepted. [Google Scholar]
- Michail, M.; Ihdayhid, A.R.; Comella, A.; Thakur, U.; Cameron, J.D.; McCormick, L.M.; Gooley, R.P.; Nicholls, S.J.; Mathur, A.; Hughes, A.D.; et al. Feasibility and Validity of Computed Tomography-Derived Fractional Flow Reserve in Patients with Severe Aortic Stenosis: The CAST-FFR Study. Circ. Cardiovasc. Interv. 2021, 14, e009586. [Google Scholar] [CrossRef]
- Gohmann, R.F.; Pawelka, K.; Seitz, P.; Majunke, N.; Heiser, L.; Renatus, K.; Desch, S.; Lauten, P.; Holzhey, D.; Noack, T.; et al. Combined cCTA and TAVR Planning for Ruling Out Significant CAD: Added Value of ML-Based CT-FFR. JACC Cardiovasc. Imaging 2022, 15, 476–486. [Google Scholar] [CrossRef]
- Brandt, V.; Schoepf, U.J.; Aquino, G.J.; Bekeredjian, R.; Varga-Szemes, A.; Emrich, T.; Bayer, R.R., 2nd; Schwarz, F.; Kroencke, T.J.; Tesche, C.; et al. Impact of machine-learning-based coronary computed tomography angiography-derived fractional flow reserve on decision-making in patients with severe aortic stenosis undergoing transcatheter aortic valve replacement. Eur. Radiol. 2022, 32, 6008–6016. [Google Scholar] [CrossRef] [PubMed]
- Aquino, G.J.; Abadia, A.F.; Schoepf, U.J.; Emrich, T.; Yacoub, B.; Kabakus, I.; Violette, A.; Wiley, C.; Moreno, A.; Sahbaee, P.; et al. Coronary CT Fractional Flow Reserve before Transcatheter Aortic Valve Replacement: Clinical Outcomes. Radiology 2022, 302, 50–58. [Google Scholar] [CrossRef]
- Peper, J.; Becker, L.M.; van den Berg, H.; Bor, W.L.; Brouwer, J.; Nijenhuis, V.J.; van Ginkel, D.J.; Rensing, B.J.M.W.; Ten Berg, J.M.; Timmers, L.; et al. Diagnostic Performance of CCTA and CT-FFR for the Detection of CAD in TAVR Work-Up. JACC Cardiovasc. Interv. 2022, 15, 1140–1149. [Google Scholar] [CrossRef]
- Blanke, P.; Weir-McCall, J.R.; Achenbach, S.; Delgado, V.; Hausleiter, J.; Jilaihawi, H.; Marwan, M.; Norgaard, B.L.; Piazza, N.; Schoenhagen, P.; et al. Computed tomography imaging in the context of transcatheter aortic valve implantation (TAVI)/transcatheter aortic valve replacement (TAVR): An expert consensus document of the Society of Cardiovascular Computed Tomography. J. Cardiovasc. Comput. Tomogr. 2019, 13, 1–20. [Google Scholar] [CrossRef]
- Narula, J.; Chandrashekhar, Y.; Ahmadi, A.; Abbara, S.; Berman, D.S.; Blankstein, R.; Leipsic, J.; Newby, D.; Nicol, E.D.; Nieman, K.; et al. SCCT 2021 Expert Consensus Document on Coronary Computed Tomographic Angiography: A Report of the Society of Cardiovascular Computed Tomography. J. Cardiovasc. Comput. Tomogr. 2021, 15, 192–217. [Google Scholar] [CrossRef]
- Schoepf, U.J.; Zwerner, P.L.; Savino, G.; Herzog, C.; Kerl, J.M.; Costello, P. Coronary CT angiography. Radiology 2007, 244, 48–63. [Google Scholar] [CrossRef]
- Timal, R.J.; Kooiman, J.; Sijpkens, Y.W.J.; de Vries, J.P.M.; Verberk-Jonkers, I.J.A.M.; Brulez, H.F.H.; van Buren, M.; van der Molen, A.J.; Cannegieter, S.C.; Putter, H.; et al. Effect of No Prehydration vs Sodium Bicarbonate Prehydration Prior to Contrast-Enhanced Computed Tomography in the Prevention of Postcontrast Acute Kidney Injury in Adults With Chronic Kidney Disease: The Kompas Randomized Clinical Trial. JAMA Intern. Med. 2020, 180, 533–541. [Google Scholar] [CrossRef]
- Nijssen, E.C.; Rennenberg, R.J.; Nelemans, P.J.; Essers, B.A.; Janssen, M.M.; Vermeeren, M.A. Prophylactic hydration to protect renal function from intravascular iodinated contrast material in patients at high risk of contrast-induced nephropathy (AMACING): A prospective, randomised, phase 3, controlled, open-label, non-inferiority trial. Lancet 2017, 389, 1312–1322. [Google Scholar] [CrossRef] [PubMed]
- Su, T.H.; Hsieh, C.H.; Chan, Y.L.; Wong, Y.C.; Kuo, C.F.; Li, C.H.; Lee, C.C.; Chen, H.Y. Intravenous CT Contrast Media and Acute Kidney Injury: A Multicenter Emergency Department-based Study. Radiology 2021, 301, 571–581. [Google Scholar] [CrossRef]
- Agatston, A.S.; Janowitz, W.R.; Hildner, F.J.; Zusmer, N.R.; Viamonte MJr Detrano, R. Quantification of coronary artery calcium using ultrafast computed tomography. J. Am. Coll. Cardiol. 1990, 15, 827–832. [Google Scholar] [CrossRef]
- Messika-Zeitoun, D.; Aubry, M.C.; Detaint, D.; Bielak, L.F.; Peyser, P.A.; Sheedy, P.F.; Turner, S.T.; Breen, J.F.; Scott, C.; Tajik, A.J.; et al. Evaluation and clinical implications of aortic valve calcification measured by electron-beam computed tomography. Circulation 2004, 110, 356–362. [Google Scholar] [CrossRef]
- Ahmed, W.; de Graaf, M.A.; Broersen, A.; Kitslaar, P.H.; Oost, E.; Dijkstra, J.; Bax, J.J.; Reiber, J.H.; Scholte, A.J. Automatic detection and quantification of the Agatston coronary artery calcium score on contrast computed tomography angiography. Int. J. Cardiovasc. Imaging 2015, 31, 151–161. [Google Scholar] [CrossRef]
- Kim, W.K.; Renker, M.; Rolf, A.; Liebetrau, C.; Van Linden, A.; Arsalan, M.; Doss, M.; Rieck, J.; Opolski, M.P.; Möllmann, H.; et al. Accuracy of device landing zone calcium volume measurement with contrast-enhanced multidetector computed tomography. Int. J. Cardiol. 2018, 263, 171–176. [Google Scholar] [CrossRef]
- Pawade, T.; Sheth, T.; Guzzetti, E.; Dweck, M.R.; Clavel, M.A. Why and How to Measure Aortic Valve Calcification in Patients With Aortic Stenosis. JACC Cardiovasc. Imaging 2019, 12, 1835–1848. [Google Scholar] [CrossRef] [PubMed]
- Natanzon, S.S.; Fardman, A.; Mazin, I.; Barbash, I.; Segev, A.; Konen, E.; Goitein, O.; Guetta, V.; Raanani, E.; Maor, E.; et al. Usefulness of Coronary Artery Calcium Score to Rule Out Obstructive Coronary Artery Disease Before Transcatheter Aortic Valve Implantation. Am. J. Cardiol. 2022, 183, 70–77. [Google Scholar] [CrossRef] [PubMed]
- Cartlidge, T.R.; Bing, R.; Kwiecinski, J.; Guzzetti, E.; Pawade, T.A.; Doris, M.K.; Adamson, P.D.; Massera, D.; Lembo, M.; Peeters, F.E.C.M.; et al. Contrast-enhanced computed tomography assessment of aortic stenosis. Heart 2021, 107, 1905–1911. [Google Scholar] [CrossRef]
- Renker, M.; Ramachandra, A.; Schoepf, U.J.; Raupach, R.; Apfaltrer, P.; Rowe, G.W.; Vogt, S.; Flohr, T.G.; Kerl, J.M.; Bauer, R.W.; et al. Iterative image reconstruction techniques: Applications for cardiac CT. J. Cardiovasc. Comput. Tomogr. 2011, 5, 225–230. [Google Scholar] [CrossRef] [PubMed]
- Ammon, F.; Moshage, M.; Smolka, S.; Goeller, M.; Bittner, D.O.; Achenbach, S.; Marwan, M. Influence of reconstruction kernels on the accuracy of CT-derived fractional flow reserve. Eur. Radiol. 2022, 32, 2604–2610. [Google Scholar] [CrossRef] [PubMed]
- Austen, W.G.; Edwards, J.E.; Frye, R.L.; Gensini, G.G.; Gott, V.L.; Griffith, L.S.; McGoon, D.C.; Murphy, M.L.; Roe, B.B. A reporting system on patients evaluated for coronary artery disease. Report of the Ad Hoc Committee for Grading of Coronary Artery Disease, Council on Cardiovascular Surgery, American Heart Association. Circulation 1975, 51 (Suppl. 4), 5–40. [Google Scholar] [CrossRef]
- Cury, R.C.; Abbara, S.; Achenbach, S.; Agatston, A.; Berman, D.S.; Budoff, M.J.; Dill, K.E.; Jacobs, J.E.; Maroules, C.D.; Rubin, G.D.; et al. CAD-RADS(TM) Coronary Artery Disease—Reporting and Data System. An expert consensus document of the Society of Cardiovascular Computed Tomography (SCCT), the American College of Radiology (ACR) and the North American Society for Cardiovascular Imaging (NASCI). Endorsed by the American College of Cardiology. J. Cardiovasc. Comput. Tomogr. 2016, 10, 269–281. [Google Scholar] [CrossRef]
- Chaikriangkrai, K.; Jhun, H.Y.; Shantha, G.P.S.; Abdulhak, A.B.; Tandon, R.; Alqasrawi, M.; Klappa, A.; Pancholy, S.; Deshmukh, A.; Bhama, J.; et al. Diagnostic Accuracy of Coronary Computed Tomography Before Aortic Valve Replacement: Systematic Review and Meta-Analysis. J. Thorac. Imaging 2018, 33, 207–216. [Google Scholar] [CrossRef] [PubMed]
- Van den Boogert, T.P.W.; Vendrik, J.; Claessen, B.E.P.M.; Baan, J.; Beijk, M.A.; Limpens, J.; Boekholdt, S.A.M.; Hoek, R.; Planken, R.N.; Henriques, J.P. CTCA for detection of significant coronary artery disease in routine TAVI work-up: A systematic review and meta-analysis. Neth. Heart J. 2018, 26, 591–599. [Google Scholar] [CrossRef]
- Gatti, M.; Gallone, G.; Poggi, V.; Bruno, F.; Serafini, A.; Depaoli, A.; De Filippo, O.; Conrotto, F.; Darvizeh, F.; Faletti, R.; et al. Diagnostic accuracy of coronary computed tomography angiography for the evaluation of obstructive coronary artery disease in patients referred for transcatheter aortic valve implantation: A systematic review and meta-analysis. Eur. Radiol. 2022, 32, 5189–5200. [Google Scholar] [CrossRef]
- Kim, W.K.; Doerr, O.; Renker, M.; Choi, Y.H.; Liakopoulos, O.; Hamm, C.W.; Nef, H. Initial experience with a novel, modular, minimalistic approach for transfemoral aortic valve implantation. Int. J. Cardiol. 2021, 332, 54–59. [Google Scholar] [CrossRef]
- Tavakol, M.; Ashraf, S.; Brener, S.J. Risks and complications of coronary angiography: A comprehensive review. Glob. J. Health Sci. 2012, 4, 65–93. [Google Scholar] [CrossRef]
- Meinel, F.G.; Nance, J.W., Jr.; Harris, B.S.; De Cecco, C.N.; Costello, P.; Schoepf, U.J. Radiation risks from cardiovascular imaging tests. Circulation 2014, 130, 442–445. [Google Scholar] [CrossRef] [PubMed]
- Barbanti, M.; Yang, T.H.; Rodès Cabau, J.; Tamburino, C.; Wood, D.A.; Jilaihawi, H.; Blanke, P.; Makkar, R.R.; Latib, A.; Colombo, A.; et al. Anatomical and procedural features associated with aortic root rupture during balloon-expandable transcatheter aortic valve replacement. Circulation 2013, 128, 244–253. [Google Scholar] [CrossRef] [PubMed]


| Study | Year of Publication | Design | Number of Patients (n) | Age (Years) | Male (%) | Reference Standard | CT System | CT Evaluability (%) | CT Definition of Relevant CAD (% Stenosis) | CT–FFR | Sensitivity (%) $ | Specificity (%) $ | PPV (%) $ | NPV (%) $ |
|---|---|---|---|---|---|---|---|---|---|---|---|---|---|---|
| Pontone et al. [7] | 2011 | R, S | 60 | 80 ± 8 | 36.7 | ICA | 64-slice | 86.7 (patients) | ≥50 | No | 88.5 | 88.2 | 85.2 | 90.9 |
| Andreini et al. [8] | 2014 | R, S | 325 | 81.1 ± 6.6 | 40.6 | ICA | 64-slice | 74.8 (patients) | ≥50 | No | 89.7 | 90.8 | 80.6 | 95.4 |
| Chieffo et al. [9] | 2015 | R, S | 491 | 79.9 ± 7.8 * | 46.7 * | N/A ** | 64-slice | 95.7 (patients) | ≥50 | No | N/A ** | N/A ** | N/A ** | N/A ** |
| Hamdan et al. [10] | 2015 | R, S | 115 | 79.8 ± 7.2 * | 34.8 * | ICA | 256-slice | 93.6 (segments) † | ≥50 | No | 95.9 | 72.7 | 72.3 | 96.0 |
| Harris et al. [11] | 2015 | R, S | 100 | 79.6 ± 9.9 | 61.0 | ICA | 128-slice DS | 94.7 (vessels) | ≥50 | No | 98.6 | 55.6 | 85.7 | 93.8 |
| Opolski et al. [12] | 2015 | R, S | 475 | 82 ± 6 | 40.8 | ICA | 64-slice DS | 52.0 (patients) | ≥50 | No | 98.1 | 37.1 | 67.3 | 93.8 |
| Matsumoto et al. [13] | 2016 | R, S | 60 | 84.4 ± 4.6 | 28.3 | ICA | 320-slice | 78.3 (patients) | ≥50 | No | 91.7 | 58.3 | 59.5 | 91.3 |
| Rossi et al. [14] | 2017 | R, S | 140 | 82.3 ± 7.7 | 48.6 | QCA | 128-slice DS | 96.6 (vessels) | ≥50% and ≥70% | No | 78.3 § | 73.5 § | 36.7 § | 94.5 § |
| Annoni et al. [15] | 2018 | R, S | 115 | 82.5 ± 6.2 | 55.7 | ICA | 256-slice | 95.3 (segments) | ≥50 and ≥70 | No | 88 § | 91 § | 66 § | 97 § |
| Hachulla et al. [16] | 2019 | R, S | 84 | 83.0 ± 6.8 | 52.4 | ICA | 128-slice DS | 89.3 (patients) | ≥70 | No | 100 | 86 | 87 | 100 |
| Strong et al. [17] | 2019 | R, S | 200 | 83.4 ± 5.9 | 40.0 | ICA | 64-slice DS | 42.5 (patients) | ≥50 | No | 100.0 | 42.0 | 47.6 | 100.0 |
| Schicchi et al. [18] | 2019 | P, S | 223 | 79.2 ± 4.9 | N/A | ICA | 192-slice DS | 95.0 (segments) | ≥50 and ≥70 | No | 92.5 § | 85.8 § | 58.7 § | 98.1 § |
| Shuai et al. [19] | 2021 | R, S | 130 | 73.3 ±6.4 | 47.1 | ICA | 256-slice | N/A | ≥50 | No | 96 | 89 | 71 | 98 |
| Meier et al. [20] | 2021 | R, M | 127 | 82.3 ± 7.3 | 38.6 | ICA | 64- and 256-slice | 76.3 (vessels) | ≥50 and ≥70 § | No | 42.8 | 97.8 | 56.3 | 96.3 |
| van den Boogert et al. [21] | 2022 | R, M | 1060 | 81.7 ± 6.6 | 42.7 | ICA | Various (at least 64-slice) | 80.3 (proximal segments) | ≥50 and ≥70 § | No | 96.7 | 87.5 | 66.9 | 99.0 |
| Malebranche et al. [22] | 2022 | R, S | 100 | 82.3 ± 6.5 | 30.0 | QCA | 128-slice DS | 16.0 (patients) | ≥50 and ≥70 § | No | 100.0 | 11.4 | 32.6 | 100.0 |
| Renker et al. [23] | 2022 # | R, S | 192 | 80.0 | 36.5 | ICA + invasive FFR | 64- vs. 192-slice DS | 96.5 (vessels) | ≥70 | No | 97.2 * | 88.3 * | 83.3 * | 98.2 * |
| Study | Year of Publication | Design | Number of Patients (n) | Age (years) | Male (%) | Reference Standard | CT System | CT–FFR Feasibility (%) | Definition of Relevant CAD by CT | CT–FFR Approach | Sensitivity (%) $ | Specificity (%) $ | PPV (%) $ | NPV (%) $ |
|---|---|---|---|---|---|---|---|---|---|---|---|---|---|---|
| Michail et al. [24] | 2021 | P, S | 39 | 76.2 ± 6.7 | 71.8 | Invasive FFR | 320-slice | 92.3 (patients) | CT–FFR ≤ 0.80 | CFD-based, external data transfer | 76.5 | 77.3 | 72.2 | 81.0 |
| Gohmann et al. [25] | 2022 | R, S | 216 | 84.4 ± 6.2 | 58.3 | QCA | 128-slice DS | 79.4 (patients) | CT–FFR ≤ 0.80 | ML-based, on-site * | 93.6 | 58.3 | 52.3 | 94.9 |
| Brandt et al. [26] | 2022 | R, S | 95 | 78.6 ± 8.8 | 47 | ICA | 128-slice DS | 83.6 (patients) | CAD–RADS ≥ 4, or CT–FFR ≤ 0.80 | ML-based, on-site * | 100 | 78 | 40 | 100 |
| Aquino et al. [27] | 2022 | R, S | 196 § | 75 ± 11 | 43.9 | N/A ** | 192-slice DS | 89.9 (patients) † | CT–FFR ≤ 0.75 | ML-based, on-site * | N/A ** | N/A ** | N/A ** | N/A ** |
| Peper et al. [28] | 2022 | R, S | 338 | 81.0 ± 6.5 | 42.3 | QCA + invasive FFR | 64-slice or DS or 256-slice | 88.7 (patients) | CT–FFR ≤ 0.80 | CFD-based, on-site * | 84.6 | 88.3 | 63.2 | 96.0 |
Disclaimer/Publisher’s Note: The statements, opinions and data contained in all publications are solely those of the individual author(s) and contributor(s) and not of MDPI and/or the editor(s). MDPI and/or the editor(s) disclaim responsibility for any injury to people or property resulting from any ideas, methods, instructions or products referred to in the content. |
© 2023 by the authors. Licensee MDPI, Basel, Switzerland. This article is an open access article distributed under the terms and conditions of the Creative Commons Attribution (CC BY) license (https://creativecommons.org/licenses/by/4.0/).
Share and Cite
Renker, M.; Schoepf, U.J.; Kim, W.K. Combined CT Coronary Artery Assessment and TAVI Planning. Diagnostics 2023, 13, 1327. https://doi.org/10.3390/diagnostics13071327
Renker M, Schoepf UJ, Kim WK. Combined CT Coronary Artery Assessment and TAVI Planning. Diagnostics. 2023; 13(7):1327. https://doi.org/10.3390/diagnostics13071327
Chicago/Turabian StyleRenker, Matthias, U. Joseph Schoepf, and Won Keun Kim. 2023. "Combined CT Coronary Artery Assessment and TAVI Planning" Diagnostics 13, no. 7: 1327. https://doi.org/10.3390/diagnostics13071327
APA StyleRenker, M., Schoepf, U. J., & Kim, W. K. (2023). Combined CT Coronary Artery Assessment and TAVI Planning. Diagnostics, 13(7), 1327. https://doi.org/10.3390/diagnostics13071327

