Noise Reduction Using Singular Value Decomposition with Jensen–Shannon Divergence for Coronary Computed Tomography Angiography
Abstract
1. Introduction
2. Methods
2.1. Preliminary
2.2. Singular Value Decomposition
2.3. Jensen–Shannon Divergence
2.4. SVD with JS–Divergence
3. Experimental Results and Discussion
3.1. Numerical Phantom
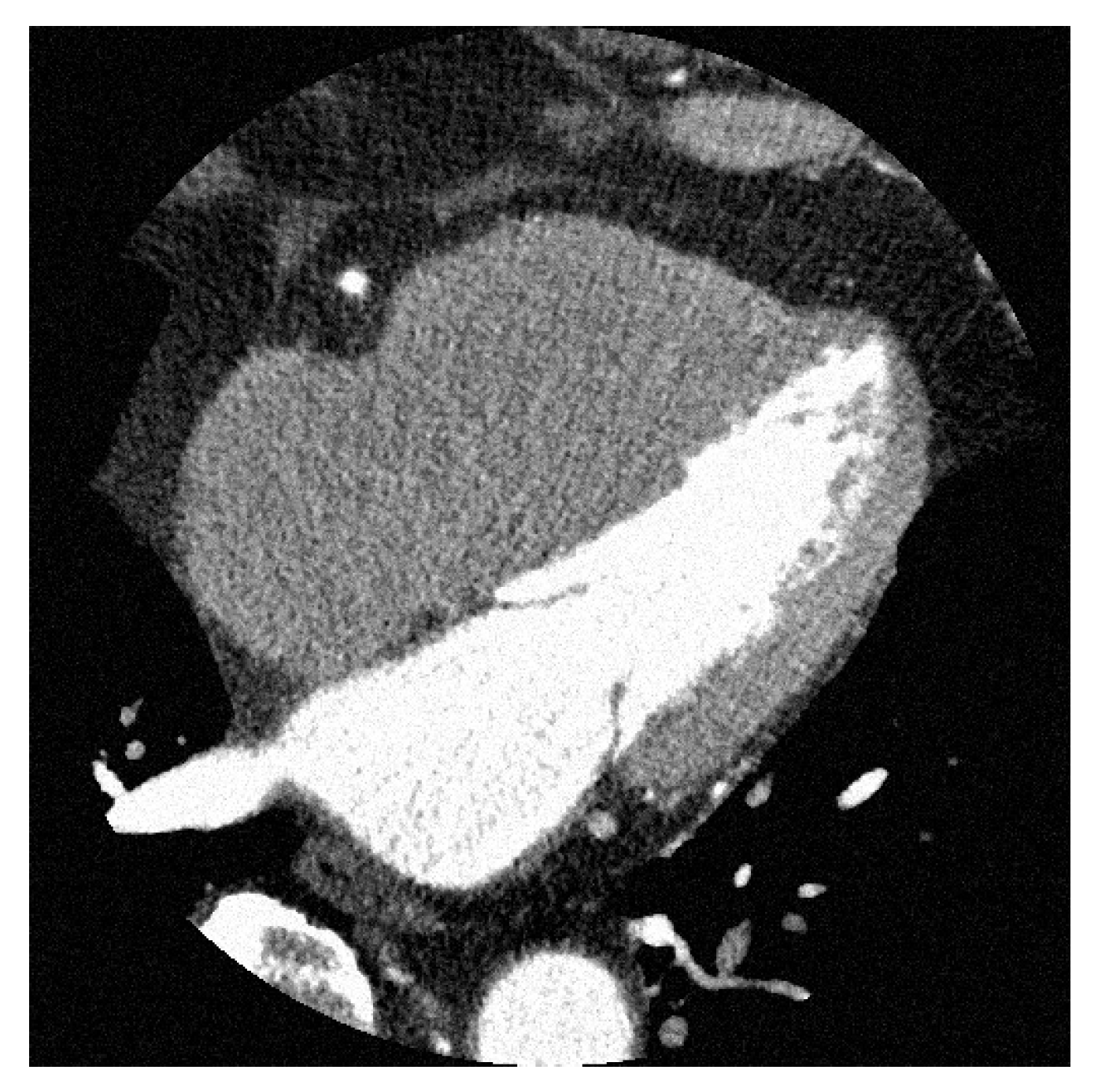
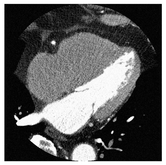
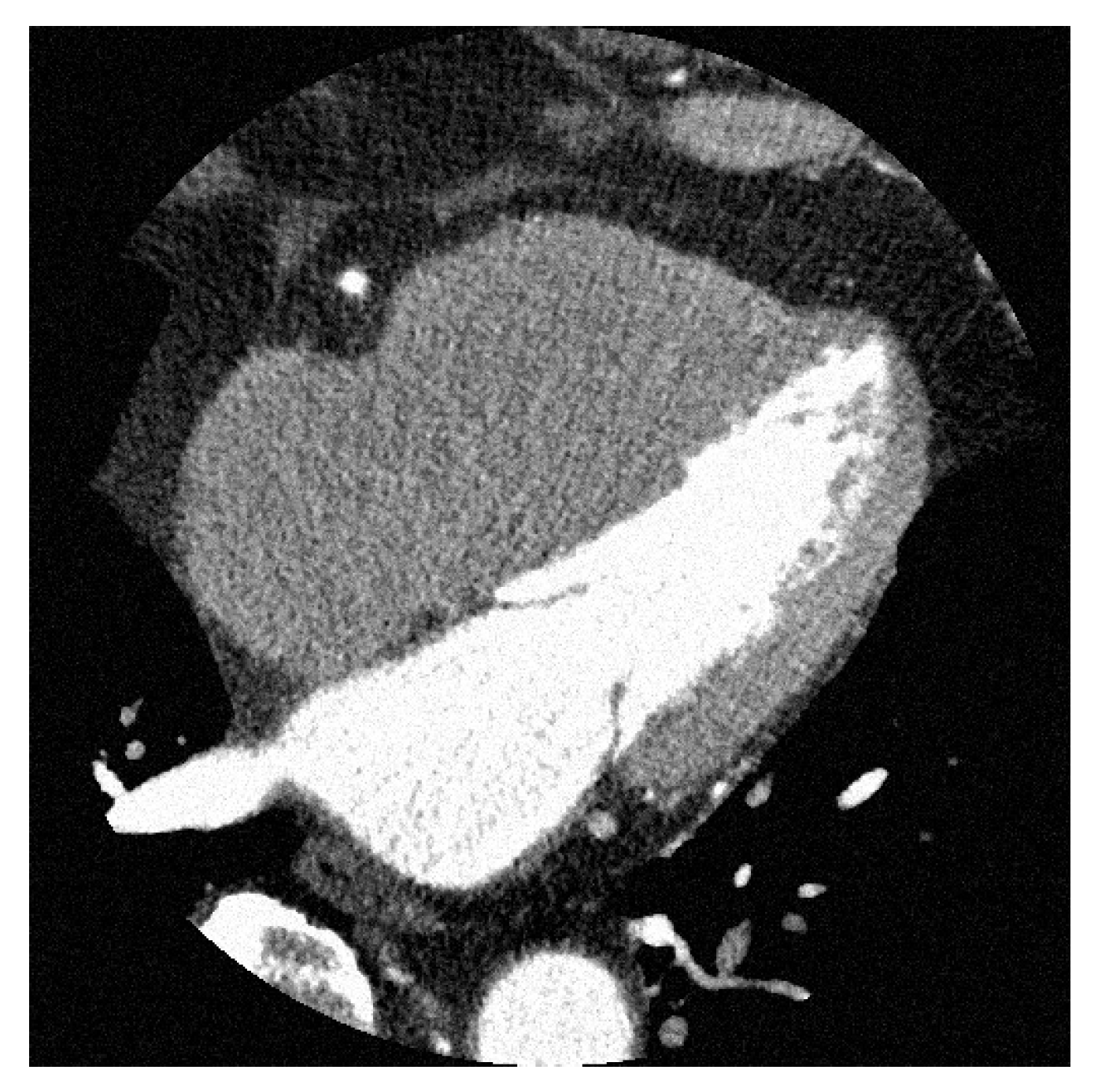
3.2. SVD Using CCTA
4. Conclusions
Author Contributions
Funding
Institutional Review Board Statement
Informed Consent Statement
Data Availability Statement
Conflicts of Interest
References
- Herzog, B.A.; Husmann, L.; Burkhard, N.; Gaemperli, O.; Valenta, I.; Tatsugami, F.; Kaufmann, P.A. Accuracy of low-dose computed tomography coronary angiography using prospective electrocardiogram-triggering: First clinical experience. Eur. Heart J. 2008, 29, 3037–3042. [Google Scholar] [CrossRef] [PubMed]
- Buechel, R.R.; Husmann, L.; Herzog, B.A.; Pazhenkottil, A.P.; Nkoulou, R.; Ghadri, J.R.; Kaufmann, P.A. Low-dose computed tomography coronary angiography with prospective electrocardiogram triggering. feasibility in a large population. J. Am. Coll. Cardiol. 2011, 57, 332–336. [Google Scholar] [CrossRef] [PubMed]
- Clerc, O.F.; Kaufmann, B.P.; Possner, M.; Liga, R.; Vontobel, J.; Mikulicic, F.; Buechel, R.R. Long-term prognostic performance of low-dose coronary computed tomography angiography with prospective electrocardiogram triggering. Eur. Radiol. 2017, 27, 4650–4660. [Google Scholar] [CrossRef]
- Newby, D.E.; Adamson, P.D.; Berry, C. The SCOT-HEART Investigators. Coronary CT angiography and 5-year risk of myocardial infarction. N. Engl. J. Med. 2018, 379, 924–933. [Google Scholar] [PubMed]
- Benz, D.C.; Fuchs, T.A.; Gräni, C.; Studer Bruengger, A.A.; Clerc, O.F.; Mikulicic, F.; Buechel, R.R. Head-to-head comparison of adaptive statistical and model-based iterative reconstruction algorithms for submillisievert coronary CT angiography. Eur. Heart J. Cardiovasc. Imaging 2018, 19, 193–198. [Google Scholar] [CrossRef]
- Renker, M.; Ramachandra, A.; Schoepf, U.J.; Raupach, R.; Apfaltrer, P.; Rowe, G.W.; Henzler, T. Iterative image reconstruction techniques: Applications for cardiac CT. J. Cardiovasc. Comput. Tomogr. 2011, 5, 225–230. [Google Scholar] [CrossRef]
- Zhu, B.; Liu, J.Z.; Cauley, S.F.; Rosen, B.R.; Rosen, M.S. Image reconstruction by domain-transform manifold learning. Nature 2018, 555, 487–492. [Google Scholar] [CrossRef]
- Guo, Q.; Zhang, C.; Zhang, Y.; Liu, H. An efficient SVD-based method for image denoising. IEEE Trans. Circuits Syst. Video Technol. 2015, 26, 868–880. [Google Scholar] [CrossRef]
- Zhang, X.; Xu, Z.; Jia, N.; Yang, W.; Feng, Q.; Chen, W.; Feng, Y. Denoising of 3D magnetic resonance images by using higher-order singular value decomposition. Med. Image Anal. 2015, 19, 75–86. [Google Scholar] [CrossRef]
- Bydder, M.; Du, J. Noise reduction in multiple-echo data sets using singular value decomposition. Magn. Reson. Imaging 2006, 24, 849–856. [Google Scholar] [CrossRef]
- Terrell, G.R. Spline Density Estimates. In Statistics and Computing; Springer: Berlin/Heidelberg, Germany, 1993; pp. 255–260. [Google Scholar]
- Basu, A.; Harris, I.R.; Hjort, N.L.; Jones, M.C. Robust and efficient estimation by minimising a density power divergence. Biometrika 1998, 85, 549–559. [Google Scholar] [CrossRef]
- Kasai, R.; Yamaguchi, Y.; Kojima, T.; Yoshinaga, T. Tomographic image reconstruction based on minimization of symmetrized Kullback–Leibler divergence. Math. Probl. Eng. 2018, 2018, 8973131. [Google Scholar] [CrossRef]
- Kasai, R.; Yamaguchi, Y.; Kojima, T.; Abou, Al-Ola, O.M.; Yoshinaga, T. Noise-Robust Image Reconstruction Based on Minimizing Extended Class of Power-Divergence Measures. Entropy 2021, 23, 1005. [Google Scholar] [CrossRef] [PubMed]
- Goodfellow, I.; Pouget-Abadie, J.; Mirza, M.; Xu, B.; Wade-Farley, D.; Ozair, S.; Courville, A. Generative adversarial nets. Adv. Neural Inf. Process. Syst. 2014, 27, 2672–2680. [Google Scholar]
- Stewart, G.W. On the early history of the singular value decomposition. SIAM Rev. 1993, 35, 551–566. [Google Scholar] [CrossRef]
- Eckart, G.; Young, G. The approximation of one matrix by another of lower rank. Psychometrika 1936, 1, 211–218. [Google Scholar] [CrossRef]
- Kullback, S.; Leibler, R.A. On information and sufficiency. Ann. Math. Stat. 1951, 22, 79–86. [Google Scholar] [CrossRef]
- Lin, J. Divergence measures based on the Shannon entropy. IEEE Trans. Inf. Theory 1991, 37, 145–151. [Google Scholar] [CrossRef]
- Jeffreys, H. Theory of Probability, 2nd ed.; Oxford University Press: Oxford, UK, 1948. [Google Scholar]
- Fuglede, B.; Topsoe, F. Jensen–Shannon divergence and Hilbert space embedding. In Proceedings of the International Symposium on Information Theory, ISIT 2004, Chicago, IL, USA, 27 June–1 July 2004. [Google Scholar]
- Endres, D.M.; Schindelin, J.E. A new metric for probability distributions. IEEE Trans. Inf. Theory 2003, 49, 1858–1860. [Google Scholar] [CrossRef]
- Österreicher, F.; Vajda, I. A new class of metric divergences on probability spaces and its applicability in statistics. Ann. Inst. Stat. Math. 2003, 55, 639–653. [Google Scholar] [CrossRef]
- Gómez-Lopera, J.F.; Martínez-Aroza, J.; Robles-Pérez, A.M.; Román-Roldán, R. An analysis of edge detection by using the Jensen-Shannon divergence. J. Math. Imaging Vis. 2000, 13, 35–56. [Google Scholar] [CrossRef]
- Katatbeh, Q.D.; Martínez-Aroza, J.; Gómez-Lopera, J.F.; Blanco-Navarro, D. An Optimal Segmentation Method Using Jensen–Shannon Divergence via a Multi-Size Sliding Window Technique. Entropy 2015, 17, 7996–8006. [Google Scholar] [CrossRef]
- Liese, F.; Vajda, I. On divergences and informations in statistics and information theory. IEEE Trans. Inf. Theory 2006, 52, 4394–4412. [Google Scholar] [CrossRef]
- Yang, W.; Hong, J.-Y.; Kim, J.-Y.; Paik, S.-H.; Lee, S.H.; Park, J.-S.; Lee, G.; Kim, B.M.; Jung, Y.-J. A Novel Singular Value Decomposition-Based Denoising Method in 4-Dimensional Computed Tomography of the Brain in Stroke Patients with Statistical Evaluation. Sensors 2020, 20, 3063. [Google Scholar] [CrossRef]
- Shen, C.-C.; Chu, Y.-C. DMAS Beamforming with Complementary Subset Transmit for Ultrasound Coherence-Based Power Doppler Detection in Multi-Angle Plane-Wave Imaging. Sensors 2021, 21, 4856. [Google Scholar] [CrossRef] [PubMed]
- Tamara, Š.; Pantelić, D.; Brana, J.; Bajić, D. Noise reduction in two-photon laser scanned microscopic images by singular value decomposition with copula threshold. Signal Process. 2022, 195, 108486. [Google Scholar] [CrossRef]
- Gavish, M.; David, L.D. The optimal hard threshold for singular values is 4/. IEEE Trans. Inf. Theory 2014, 60, 5040–5053. [Google Scholar] [CrossRef]
- Shepp, L.A.; Logan, B.F. The fourier reconstruction of a head section. IEEE Trans. Nucl. Sci. 1974, NS-21, 21–43. [Google Scholar] [CrossRef]
- Barnhill, E.; Hollis, L.; Sack, I.; Braun, J.; Hoskins, P.R.; Pankaj, P.; Roberts, N. Nonlinear multiscale regularisation in MR elastography: Towards fine feature mapping. Med. Image Anal. 2017, 35, 133–145. [Google Scholar] [CrossRef]
- Chung, M.K.; Qiu, A.; Seo, S.; Vorperian, H.K. Unified heat kernel regression for diffusion, kernel smoothing and wavelets on manifolds and its application to mandible growth modeling in CT images. Med. Image Anal. 2015, 22, 63–76. [Google Scholar] [CrossRef]
- Wang, Z.; Bovik, A.C.; Sheikh, H.R.; Simoncelli, E.P. Image quality assessment: From error visibility to structural similarity. IEEE Trans. Image Process. 2004, 13, 600–612. [Google Scholar] [CrossRef] [PubMed]












| Shepp–Logan Phantom | Water Phantom | |||
|---|---|---|---|---|
| 15 | 12.7817 | 90 | 12.3518 | 116 |
| 20 | 13.0832 | 60 | 12.6728 | 66 |
| 25 | 13.3065 | 42 | 12.8896 | 46 |
| SSIM | ||||
|---|---|---|---|---|
| Proposed | Wavelet Transform | |||
| Shepp–Logan Phantom | Water Phantom | Shepp–Logan Phantom | Water Phantom | |
| 15 | 0.7331 | 0.7047 | 0.6781 | 0.6298 |
| 20 | 0.7130 | 0.6826 | 0.6431 | 0.5556 |
| 25 | 0.6968 | 0.6589 | 0.6026 | 0.5198 |
Disclaimer/Publisher’s Note: The statements, opinions and data contained in all publications are solely those of the individual author(s) and contributor(s) and not of MDPI and/or the editor(s). MDPI and/or the editor(s) disclaim responsibility for any injury to people or property resulting from any ideas, methods, instructions or products referred to in the content. |
© 2023 by the authors. Licensee MDPI, Basel, Switzerland. This article is an open access article distributed under the terms and conditions of the Creative Commons Attribution (CC BY) license (https://creativecommons.org/licenses/by/4.0/).
Share and Cite
Kasai, R.; Otsuka, H. Noise Reduction Using Singular Value Decomposition with Jensen–Shannon Divergence for Coronary Computed Tomography Angiography. Diagnostics 2023, 13, 1111. https://doi.org/10.3390/diagnostics13061111
Kasai R, Otsuka H. Noise Reduction Using Singular Value Decomposition with Jensen–Shannon Divergence for Coronary Computed Tomography Angiography. Diagnostics. 2023; 13(6):1111. https://doi.org/10.3390/diagnostics13061111
Chicago/Turabian StyleKasai, Ryosuke, and Hideki Otsuka. 2023. "Noise Reduction Using Singular Value Decomposition with Jensen–Shannon Divergence for Coronary Computed Tomography Angiography" Diagnostics 13, no. 6: 1111. https://doi.org/10.3390/diagnostics13061111
APA StyleKasai, R., & Otsuka, H. (2023). Noise Reduction Using Singular Value Decomposition with Jensen–Shannon Divergence for Coronary Computed Tomography Angiography. Diagnostics, 13(6), 1111. https://doi.org/10.3390/diagnostics13061111

