Urinary Bladder Hemangioma Successfully Treated by Angioembolization with Long-Term Follow-Up: Case Report and Literature Review
Abstract
1. Introduction
2. Case Report
3. Discussion
4. Conclusions
Author Contributions
Funding
Institutional Review Board Statement
Informed Consent Statement
Data Availability Statement
Conflicts of Interest
References
- Cheng, L.; Nascimento, A.G.; Neumann, R.M.; Nehra, A.; Cheville, J.C.; Ramnani, D.M.; Leibovich, B.C.; Bostwick, D.G. Hemangioma of the urinary bladder. Cancer 1999, 86, 498–504. [Google Scholar] [CrossRef]
- Stimac, G.; Dimanovski, J.; Katusic, J.; Ruzic, B.; Marotti, M.; Kraus, O. A large cavernous hemangioma of the urinary bladder: Imaging of possible spontaneous regression. Eur. J. Radiol. Extra 2007, 61, 61–63. [Google Scholar] [CrossRef]
- Fuleihan, F.M.; Cordonnier, J.J. Hemangioma of the Bladder: Report of a Case and Review of the Literature. J. Urol. 1969, 102, 581–585. [Google Scholar] [CrossRef] [PubMed]
- Fergus, K.B.; Baradaran, N.; Tresh, A.; Conrad, M.B.; Breyer, B.N. Use of angioembolization in urology: A review. Transl. Androl. Urol. 2018, 7, 535–544. [Google Scholar] [CrossRef] [PubMed]
- Mellow, M.M. Tumors of the urinary bladder: A clinicopathological analysis of over 2500 specimens and biopsies. J. Urol. 1955, 74, 498–521. [Google Scholar] [CrossRef] [PubMed]
- Vijay, K.; Shetty, A.P.; Rajasekaran, S. Symptomatic vertebral hemangioma in pregnancy treated antepartum. A case report with review of literature. Eur. Spine J. 2008, 17, 299–303. [Google Scholar] [CrossRef]
- Tekkök, I.H.; Açìgöz, B.; Saglam, S.; Önol, B. Vertebral Hemangioma Symptomatic during Pregnancy–Report of a Case and Review of the Literature. Neurosurgery 1993, 32, 302–306. [Google Scholar] [CrossRef]
- Chi, J.H.; Manley, G.T.; Chou, D. Pregnancy-related vertebral hemangioma: Case report, review of the literature, and manage-ment algorithm. Neurosurg. Focus 2005, 19, 1–7. [Google Scholar] [CrossRef]
- Slimani, O.; Jayi, S.; Alaoui, F.F.; Bouguern, H.; Chaara, H.; Fikri, G.; Rachidi, S.A.; Houssaini, N.S.; Himmich, M.; Melhouf, M.A. An aggressive vertebral hemangioma in pregnancy: A case report. J. Med. Case Rep. 2014, 8, 207. [Google Scholar] [CrossRef]
- Schwartz, T.H.; Hibshoosh, H.; Riedel, C.J. Estrogen and progesterone receptor-negative T11 vertebral hemangioma presentingas a postpartum compression fracture: Case report and management. Neurosurgery 2000, 46, 218–221. [Google Scholar] [CrossRef]
- Tavora, F.; Montgomery, E.; Epstein, J.I. A Series of Vascular Tumors and Tumorlike Lesions of the Bladder. Am. J. Surg. Pathol. 2008, 32, 1213–1219. [Google Scholar] [CrossRef] [PubMed]
- Ishikawa, K.; Saitoh, M.; Chida, S. Detection of bladder hemangioma in a child by blood-pool scintigraphy. Pediatr. Radiol. 2003, 33, 433–435. [Google Scholar] [CrossRef] [PubMed]
- Pakter, R.; Nussbaum, A.; Fishman, E.K. Hemangioma of the Bladder: Sonographic and Computerized Tomography Findings. J. Urol. 1988, 140, 601–602. [Google Scholar] [CrossRef]
- Chen, M.; Lipson, S.A.; Hricak, H. MR imaging evaluation of benign mesenchymal tumors of the urinary bladder. Am. J. Roentgenol. 1997, 168, 399–403. [Google Scholar] [CrossRef]
- Kogan, M.G.; Koenigsberg, M.; Laor, E.; Bennett, B. US case of the day. Cavernous hemangioma of the bladder. Radiographics 1996, 16, 443–447. [Google Scholar] [CrossRef] [PubMed]
- Wong-You-Cheong, J.J.; Woodward, P.J.; Manning, M.A.; Sesterhenn, I.A. From the Archives of the AFIP: Neoplasms of the urinary bladder: Radiologic-pathologic correlation. Radiographics 2006, 26, 553–580. [Google Scholar] [CrossRef]
- Syu, S.-H.; Chan, K.-S.; Hsiao, C.-H.; Chen, W.-Y.; Lee, L.-M.; Wen, Y.-C. A Large Urinary Bladder Hemangioma Mimicking Urachal Cancer: A Case Report and Literature Review. Urology 2018, 123, 224–226. [Google Scholar] [CrossRef]
- Kato, M.; Chiba, Y.; Sakai, K.; Orikasa, S. Endoscopic neodymium:yttrium aluminium garnet (Nd:YAG) laser irradiation of a bladder hemangioma associated with Klippel-Weber syndrome. Int. J. Urol. 2000, 7, 145–148. [Google Scholar] [CrossRef]
- Mukai, S.; Tanaka, H.; Yamasaki, K.; Goto, T.; Onizuka, C.; Kamoto, T.; Kataoka, H. Urinary bladder pyogenic granuloma: A case report. J. Med. Case Rep. 2012, 6, 149. [Google Scholar] [CrossRef]
- Jibhkate, S.; Sanklecha, V.; Valand, A. Urinary bladder hemangioma—A rare urinary bladder tumor in a child. APSP J. Case Rep. 2015, 6, 6. [Google Scholar]
- Takemoto, J.; Yamazaki, Y.; Sakai, K. A case of large bladder hemangioma successfully treated with endoscopic yttrium alu-minium garnet laser irradiation. Int. J. Urol. 2011, 18, 854–856. [Google Scholar] [CrossRef] [PubMed]
- Joyce, P.F.; Sundaram, M.; Riaz, M.A.; Wolverson, M.K.; Barner, H.B.; Hoffman, R.J. Embolization of extensive peripheral an-giodysplasias. The alternative to radical surgery. Arch. Surg. 1980, 115, 665–668. [Google Scholar] [CrossRef] [PubMed]
- Palmaz, J.C.; Newton, T.H.; Reuter, S.R.; Bookstein, J.J. Particulate intraarterial embolization in pelvic arteriovenous malfor-mations. AJR Am. J. Roentgenol. 1981, 137, 117–122. [Google Scholar] [CrossRef] [PubMed]
- Murray, W.J.; Fletcher, M.S.; Walters, H.L.; Packham, D.A. Treatment of urethral hemangioma by selective arterial embolization. J. Urol. 1986, 136, 1304–1306. [Google Scholar] [CrossRef]
- Lahyani, M.; Slaoui, A.; Jakhlal, N.; Karmouni, T.; Elkhader, K.; Koutani, A.; Andaloussi, A.I.A. Cavernous hemangioma of the bladder: An additional case managed by partial cystectomy and augmentation cystoplasty. Pan Afr. Med J. 2015, 22, 131. [Google Scholar] [CrossRef]
- Rosenberg, J.; Golimbu, M.; Suarez, J.; Morales, P. Congenital Arteriovenous Malformation of the Bladder. J. Urol. 1973, 109, 605–608. [Google Scholar] [CrossRef]
- Xiao, L.; Granberg, C.F.; Hull, N.C. Bladder hemangioma: An arduous diagnosis of hematuria. Radiol. Case Rep. 2021, 16, 1042–1046. [Google Scholar] [CrossRef]



| Action | Results |
|---|---|
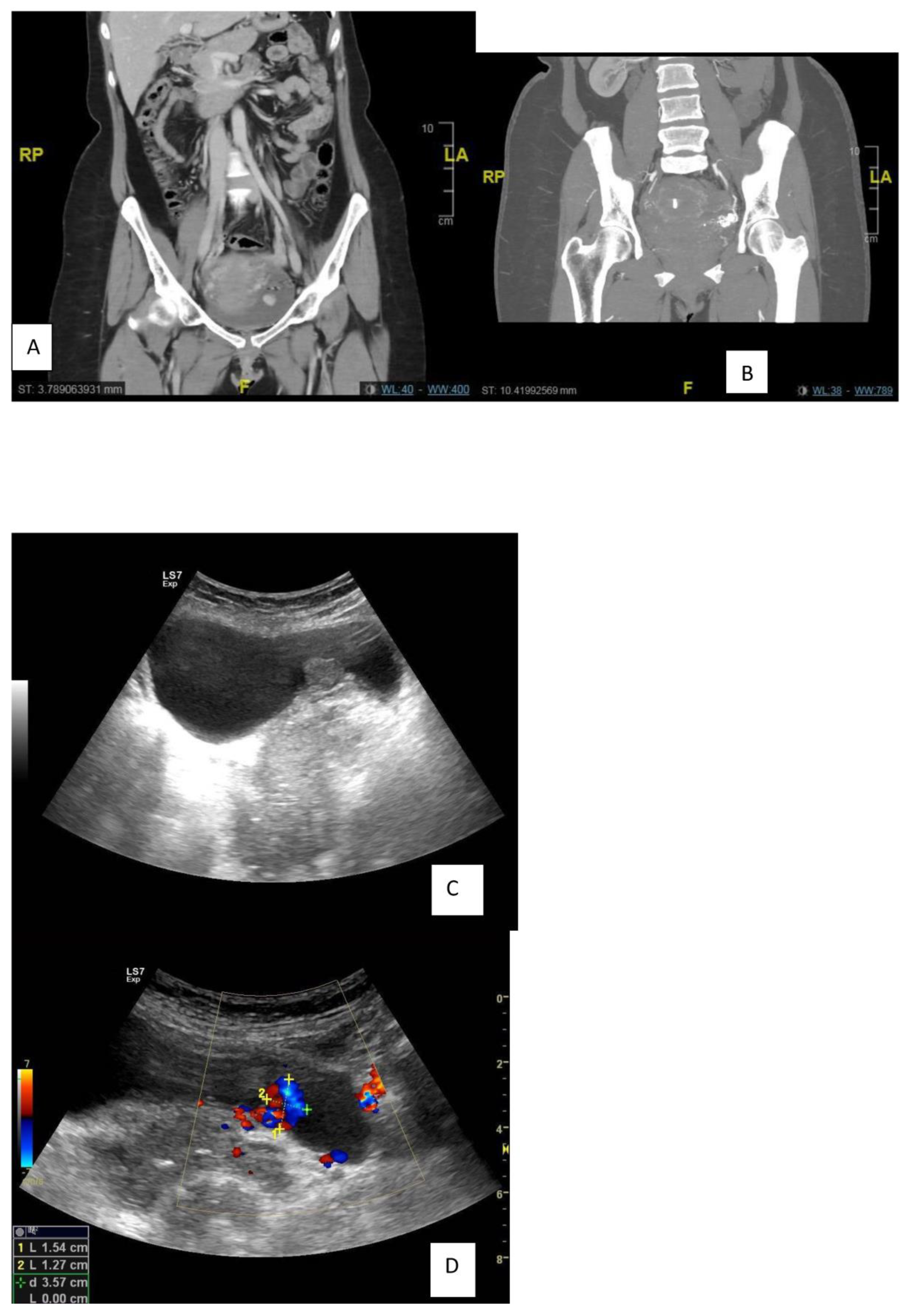
| Ultrasound | Incidental finding of large bladder mass |
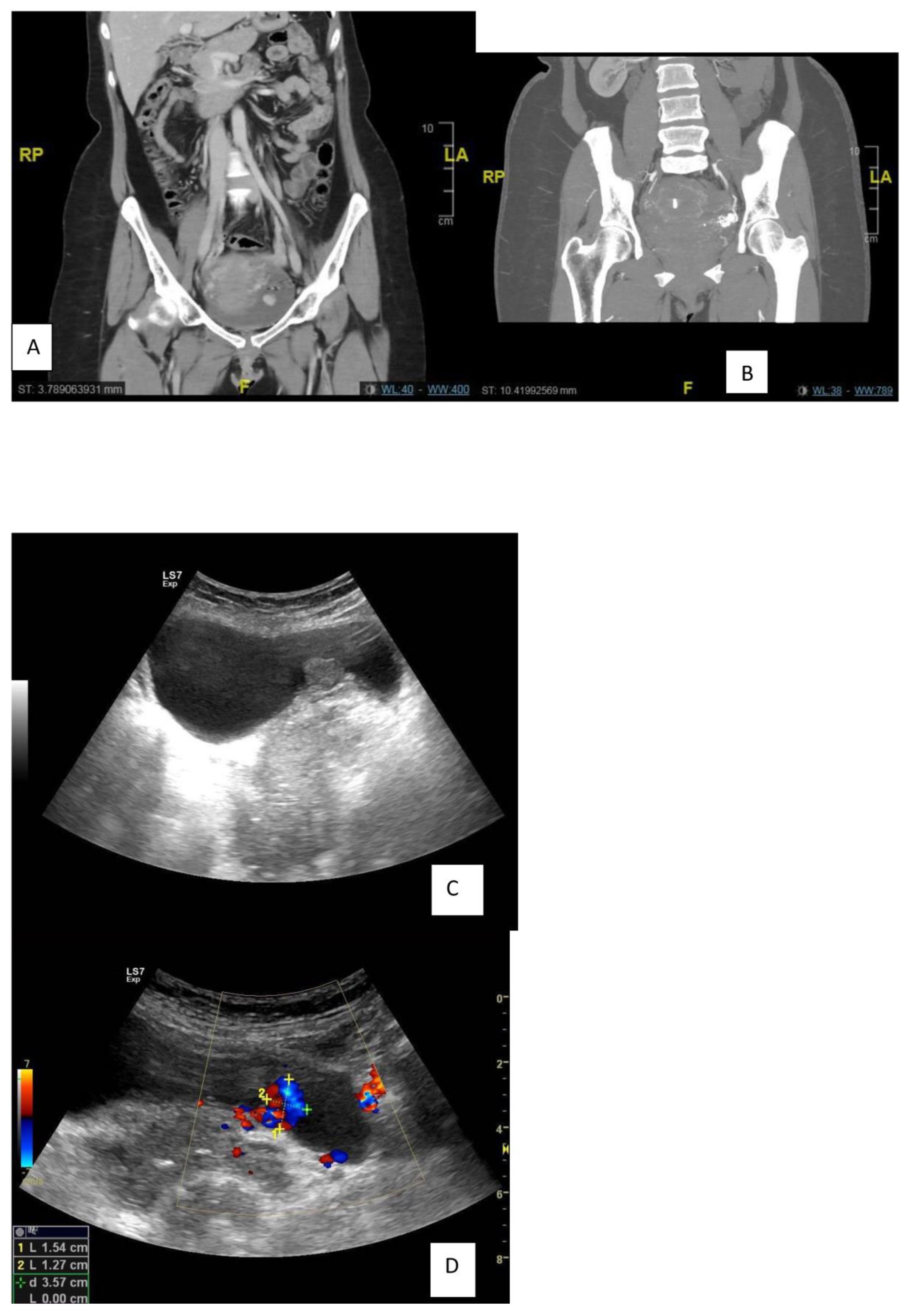
| Computed tomography with contrast medium | Showed a 17.1 × 24.2 mm polypoidal hyper-vascular lesion, as previously described, arising from the urinary bladder wall (and thus unlikely to be arising from the anterior wall of the uterus). |
| Cystoscopy | Showed a large, bluish-red, pulsatile, vascularized submucosal mass with large dilated submucosal vessels, a wide-based stalk and no active bleeding in the posterior wall of the urinary bladder, measuring about 2 × 3 cm, with urine cytology negative. |
| Biopsy | Due to the vascular nature of the lesion and no active bleeding, the decision was made not to biopsy. |
| First angioembolization | Selective catheterization of the left internal iliac artery using a C2 angiocatheter followed by angioembolization of the left superior vesical arteries, approaching from the anterior division of the left internal iliac artery. |
| Time | Results |
|---|---|
| In 2018, recurrence after 5 years of follow-up | US showed a distended UB with a polypoidal soft tissue mass measuring 16 × 16 mm with internal vascularity, nidus in afferent and efferent vessels, and turbulence in the flow. |
| In 2018, second angioembolization | The patient underwent selective catheterization of the left internal iliac artery using a C2 angiocatheter; selective angiography revealed recanalization of the previously embolized left superior vesical arteries from the anterior division of the left internal iliac artery and supplying the known intra-resulting AVM. Selective catheterization of the left superior vesical artery using a 3F microcatheter, followed by embolization of the artery, was executed using ONYX. |
| In 2022, 5 years after the second angioembolization | Ultrasonography every six months without recurrence, hematuria, or LUTS. During this period, the patient had a successful pregnancy for the second time. |
Disclaimer/Publisher’s Note: The statements, opinions and data contained in all publications are solely those of the individual author(s) and contributor(s) and not of MDPI and/or the editor(s). MDPI and/or the editor(s) disclaim responsibility for any injury to people or property resulting from any ideas, methods, instructions or products referred to in the content. |
© 2023 by the authors. Licensee MDPI, Basel, Switzerland. This article is an open access article distributed under the terms and conditions of the Creative Commons Attribution (CC BY) license (https://creativecommons.org/licenses/by/4.0/).
Share and Cite
Safar, O.; Al-Qahtani, A.; Al-Qahtani, S. Urinary Bladder Hemangioma Successfully Treated by Angioembolization with Long-Term Follow-Up: Case Report and Literature Review. Diagnostics 2023, 13, 875. https://doi.org/10.3390/diagnostics13050875
Safar O, Al-Qahtani A, Al-Qahtani S. Urinary Bladder Hemangioma Successfully Treated by Angioembolization with Long-Term Follow-Up: Case Report and Literature Review. Diagnostics. 2023; 13(5):875. https://doi.org/10.3390/diagnostics13050875
Chicago/Turabian StyleSafar, Omar, Abdulhadi Al-Qahtani, and Saad Al-Qahtani. 2023. "Urinary Bladder Hemangioma Successfully Treated by Angioembolization with Long-Term Follow-Up: Case Report and Literature Review" Diagnostics 13, no. 5: 875. https://doi.org/10.3390/diagnostics13050875
APA StyleSafar, O., Al-Qahtani, A., & Al-Qahtani, S. (2023). Urinary Bladder Hemangioma Successfully Treated by Angioembolization with Long-Term Follow-Up: Case Report and Literature Review. Diagnostics, 13(5), 875. https://doi.org/10.3390/diagnostics13050875

