Hypoplastic Left Heart Syndrome: About a Postnatal Death
Abstract
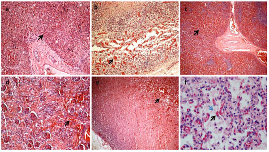
Figures


Author Contributions
Funding
Institutional Review Board Statement
Informed Consent Statement
Data Availability Statement
Conflicts of Interest
References
- Lev, M. Pathologic anatomy and interrelationship of hypoplasia of the aortic tract complexes. Lab. Investig. 1952, 1, 61–70. [Google Scholar] [PubMed]
- Metcalf, M.K.; Rychik, J. Outcomes in Hypoplastic Left Heart Syndrome. Pediatr. Clin. N. Am. 2020, 67, 945–962. [Google Scholar] [CrossRef] [PubMed]
- Fixler, D.E.; Nembhard, W.N.; Salemi, J.L.; Ethen, M.K.; Canfield, M.A. Mortality in first 5 years in infants with functional single ventricle born in Texas, 1996 to 2003. Circulation 2010, 121, 644–650. [Google Scholar] [CrossRef] [PubMed]
- Karamlou, T.; Diggs, B.S.; Ungerleider, R.M.; Welke, K.F. Evolution of treatment options and outcomes for hypoplastic left heart syndrome over an 18-year period. J. Thorac. Cardiovasc. Surg. 2010, 139, 119–127. [Google Scholar] [CrossRef]
- Morris, C.D.; Outcalt, J.; Menashe, V.D. Hyposplstic left heart syndrome: Natural history in a geographically defined population. Pediatrics 1990, 85, 977–983. [Google Scholar] [CrossRef]
- Grossfeld, P.; Nie, S.; Lin, L.; Wang, L.; Anderson, R.H. Hypoplastic Left Heart Syndrome: A New Paradigm for an Old Disease? J. Cardiovasc. Dev. Dis. 2019, 6, 10. [Google Scholar] [CrossRef]
- De Palma, G.D.; Masone, S.; Siciliano, S.; Maione, F.; Falleti, J.; Mansueto, G.; De Rosa, G.; Persico, G. Endocrine carcinoma of the major papilla: Report of two cases and review of the literature. Surg. Oncol. 2010, 19, 235–242. [Google Scholar] [CrossRef]
- Kritzmire, S.M.; Cossu, A.E. Hypoplastic lesft heart syndrome. In StatPearls; StatPearls Publishing: Tampa, FL, USA, 2021. [Google Scholar]
- Gordon, B.M.; Rodriguez, S.; Lee, M.; Chang, R.K. Decreasing number of deaths of infants with hypoplastic left heart syndrome. J. Pediatr. 2008, 153, 354–358. [Google Scholar] [CrossRef]
- Greenleaf, C.E.; Urencio, J.M.; Salazar, J.D.; Dodge-Khatami, A. Hypoplastic left heart syndrome: Current perspectives. Trans. Pediatr. 2016, 5, 142–147. [Google Scholar] [CrossRef]
- Akay, E.; Işık, O.; Engin, A.Y.; Çakır, V. Stage 1 hybrid palliation of hypoplastic left heart syndrome: An initial experience in pulmonary trunk approach, procedural modifications, and complication management. Turk. J. Med. Sci. 2019, 49, 1374–1380. [Google Scholar] [CrossRef]
- Stumper, O. Hypoplastic left heart syndrome. Postgrad. Med. J. 2010, 86, 183–188. [Google Scholar] [CrossRef] [PubMed]
- Reller, M.D.; Ziegler, M.L.; Rice, M.J.; Solin, R.C.; Mcdonald, R.W. Duration of ductal shunting in healthy preterm infants: An echocardiographic color flow Doppler study. J. Pediatrics 1988, 112, 441–446. [Google Scholar] [CrossRef] [PubMed]
- Stasik, C.N.; Gelehrter, S.; Goldberg, C.S.; Bove, E.L.; Devaney, E.J.; Ohye, R.G. Current outcomes and risk factors for the Norwood procedure. J. Thorac. Cardiovasc. Surg. 2006, 131, 412–417. [Google Scholar] [CrossRef] [PubMed]
- Cnota, J.F.; Hangge, P.T.; Wang, Y.; Woo, J.G.; Hinton, A.C.; Divanovic, A.A.; Michelfeder, E.C.; Hinton, R.B. Somatic growth trajectory in the fetus with hypoplastic left heart syndrome. Pediatr. Res. 2013, 74, 284–289. [Google Scholar] [CrossRef] [PubMed]
- Brown, D.W.; Cohen, K.E.; O’Brien, P.; Gauvreau, K.; Klitzner, T.S.; Beekman, R.H., 3rd; Kugler, J.D.; Martin, G.R.; Neish, S.R.; Rosenthal, G.L.; et al. Impact of prenatal diagnosis in survivors of initial palliation of single ventricle heart disease: Analysis of the National Pediatric Cardiology Quality Improvement Collaborative database. Pediatr. Cardiol. 2015, 36, 314–321. [Google Scholar] [CrossRef] [PubMed]
- McBrien, A.; Hornberger, L.K. Early fetal echocardiography. Birth Defects Res. 2019, 111, 370–379. [Google Scholar] [CrossRef]
- De Robertis, V.; Rembouskos, G.; Fanelli, T.; Volpe, G.; Muto, B.; Volpe, P. The three-vessel and trachea view (3VTV) in the first trimester of pregnancy: An additional tool in screening for congenital heart defects (CHD) in an unselected population. Prenat. Diagn. 2017, 37, 693–698. [Google Scholar] [CrossRef]
- Donofrio, M.T.; Moon-Grady, A.J.; Hornberger, L.K.; Copel, J.A.; Sklansky, M.S.; Abuhamad, A.; Cuneo, B.F.; Huhta, J.C.; Jonas, R.A.; Krishnan, A.; et al. American Heart Association Adults with Congenital Heart Disease Joint Committee of the Council on Cardiovascular Disease in the Young and Council on Clinical Cardiology, Council on Cardiovascular Surgery and Anesthesia, and Council on Cardiovascular and Stroke Nursing. Diagnosis and treatment of fetal cardiac disease: A scientific statement from the American Heart Association. Circulation 2014, 129, 2183–2242. [Google Scholar]
- International Society of Ultrasound in Obstetrics and Gynecology; Carvalho, J.S.; Allan, L.D.; Chaoui, R.; Copel, J.A.; DeVore, G.R.; Hecher, K.; Lee, W.; Munoz, H.; Paladini, D.; et al. ISUOG practice guidelines (updated): Sonographic screening examination of the fetal heart. Ultrasound Obstet. Gynecol. 2013, 41, 348–359. [Google Scholar] [CrossRef]
- American Institute of Ultrasound in Medicine. AIUM practice guideline for the performance of fetal echocardiography. J. Ultrasound Med. 2013, 32, 1067–1082. [Google Scholar] [CrossRef]
- Van Poppel, M.P.M.; Zidere, V.; Simpson, J.M.; Vigneswaran, T.V. Fetal echocardiographic markers to differentiate between a right and double aortic arch. Prenat Diagn. 2022. Epub ahead of print. [Google Scholar] [CrossRef] [PubMed]
- Han, J.; Zhang, Y.; Gu, X.; Liu, X.; Sun, L.; Zhao, Y.; Wang, J.; He, Y. The Differential Diagnosis of Double Aortic Arch and Right Aortic Arch with Mirror-Image Branches in the Fetus: A Potential Novel Method. Pediatr. Cardiol. 2021, 42, 1405–1409. [Google Scholar] [CrossRef] [PubMed]
- Alphonso, N.; Angelini, A.; Barron, D.J.; Bellsham-Revell, H.; Blom, N.A.; Brown, K.; Davis, D.; Duncan, D.; Fedrigo, M.; Galletti, L.; et al. Guidelines for the management of neonates and infants with hypoplastic left heart syndrome: The European Association for Cardio-Thoracic Surgery (EACTS) and the Association for European Paediatric and Congenital Cardiology (AEPC) Hypoplastic Left Heart Syndrome Guidelines Task Force. Eur. J. Cardio-Thorac. Surg. 2020, 58, 416–499. [Google Scholar]
- Morris, S.; Ethen, M.K.; Penny, D.J.; Canfield, M.A.; Minard, C.G.; Fixler, D.E.; Nembhard, W.N. Prenatal diagnosis, birth location, surgical center, and neonatal mortality in infants with hypoplastic left heart syndrome. Circulation 2014, 129, 285–292. [Google Scholar] [CrossRef]
- Jicinska, H.; Vlasin, P.; Jicinsky, M.; Grochova, I.; Tomek, V.; Volaufova, J.; Skovranek, J.; Marek, J. Does first-trimester screening modify the natural history of congenital heart disease? Analysis of outcome of regional cardiac screening at 2 differen time periods. Circulation 2017, 135, 1045–1055. [Google Scholar] [CrossRef]
- Mahle, W.T.; Clancy, R.R.; McGarun, S.P.; Goin, J.E.; Clark, B.J. Impact of prenatal diagnosis on survival and early neurologic morbidity in neonates with the hypoplastic left heart syndrome. Pediatrics 2001, 107, 1277–1282. [Google Scholar] [CrossRef]
- Kipps, A.K.; Feuille, C.; Azakie, A.; Hoffman, J.I.; Tabutt, S.; Brook, M.M.; Moon-Grady, A.J. Prenatal diagnosis of hypoplastic left heart syndrome in current era. Am. J. Cardiol. 2011, 108, 421–427. [Google Scholar] [CrossRef]
- Sivarajan, V.; Penny, D.J.; Filan, P.; Brizard, C.; Shekerdemian, L.S. Impact of antenatal diagnosis of hypoplastic left heart syndrome on the clinical presentation and surgical outcomes: The Australian experience. J. Paediatr. Child. Health 2009, 45, 112–117. [Google Scholar] [CrossRef]
- Vlahos, A.P.; Lock, J.E.; McElhinney, D.B.; van der Velde, M.E. Hypoplastic left heart syndrome with intact or highly restrictive atrial septum: Outcome after neonatal transcatheter atrial septostomy. Circulation 2004, 109, 2326–2330. [Google Scholar] [CrossRef]
- Hoque, T.; Richmond, M.; Vincent, J.A.; Bacha, E.; Torres, A. Current outcomes of hypoplastic left heart syndrome with restrictive atrial septum: A single-center experience. Pediatr. Cardiol. 2013, 34, 1181–1189. [Google Scholar] [CrossRef]
- Gelehrter, S.; Fifer, C.G.; Armstrong, A.; Hirsch, J.; Gajarski, R. Outcomes of hypoplastic left heart syndrome in low-birth-weight patients. Pediatr. Cardiol. 2011, 32, 1175–1181. [Google Scholar] [CrossRef]
- Kalfa, D.; Krishnamurthy, G.; Levasseur, S.; Najjar, M.; Chai, P.; Chen, J.; Quaegebeur, J.; Bacha, E. Norwood stage I palliation in patients less than or equal to 2.5 kg: Out- comes and risk analysis. Ann. Thorac. Surg. 2015, 100, 167–173. [Google Scholar] [CrossRef] [PubMed]
- Prsa, M.; Holly, C.D.; Carnevale, F.A.; Justino, H.; Rohlicek, C.V. Attitudes and practices of cardiologists and surgeons who manage HLHS. Pediatrics 2010, 125, e625–e630. [Google Scholar] [CrossRef] [PubMed]
- Gordon-Walker, T.T.; Bove, K.; Veldtman, G. Fontan-associated liver disease: A review. J. Cardiol. 2019, 74, 223–232. [Google Scholar] [CrossRef] [PubMed]
- Luo, S.; Honjo, O. Late deaths after Fontan procedure: The next frontier. Curr. Opin. Cardiol. 2019, 34, 156–163. [Google Scholar] [CrossRef] [PubMed]
Disclaimer/Publisher’s Note: The statements, opinions and data contained in all publications are solely those of the individual author(s) and contributor(s) and not of MDPI and/or the editor(s). MDPI and/or the editor(s) disclaim responsibility for any injury to people or property resulting from any ideas, methods, instructions or products referred to in the content. |
© 2023 by the authors. Licensee MDPI, Basel, Switzerland. This article is an open access article distributed under the terms and conditions of the Creative Commons Attribution (CC BY) license (https://creativecommons.org/licenses/by/4.0/).
Share and Cite
Giugliano, P.; Ciamarra, P.; De Simone, M.; Feola, A.; Zangani, P.; Campobasso, C.P.; Mansueto, G. Hypoplastic Left Heart Syndrome: About a Postnatal Death. Diagnostics 2023, 13, 821. https://doi.org/10.3390/diagnostics13050821
Giugliano P, Ciamarra P, De Simone M, Feola A, Zangani P, Campobasso CP, Mansueto G. Hypoplastic Left Heart Syndrome: About a Postnatal Death. Diagnostics. 2023; 13(5):821. https://doi.org/10.3390/diagnostics13050821
Chicago/Turabian StyleGiugliano, Pasquale, Paola Ciamarra, Mariavictoria De Simone, Alessandro Feola, Pierluca Zangani, Carlo Pietro Campobasso, and Gelsomina Mansueto. 2023. "Hypoplastic Left Heart Syndrome: About a Postnatal Death" Diagnostics 13, no. 5: 821. https://doi.org/10.3390/diagnostics13050821
APA StyleGiugliano, P., Ciamarra, P., De Simone, M., Feola, A., Zangani, P., Campobasso, C. P., & Mansueto, G. (2023). Hypoplastic Left Heart Syndrome: About a Postnatal Death. Diagnostics, 13(5), 821. https://doi.org/10.3390/diagnostics13050821

