IoT-Enabled Classification of Echocardiogram Images for Cardiovascular Disease Risk Prediction with Pre-Trained Recurrent Convolutional Neural Networks
Abstract
1. Introduction
2. Related Work
| S.No | Author | Description | Pros | Cons |
|---|---|---|---|---|
| 1 | Adem Atici et al., [29] | Researchers used 2D spot-following echocardiography to detect severe coronary artery disease in patients with non-ST segment height myocardial localised necrosis. In total, 150 patients with NSTEMI who had experienced typical chest pain with unsound angina symptoms in the previous 24 hours were included in this study. Their cardiac capacities were assessed using 2D STE myocardial deformity analyses. | Quick imaging. Easy to perform. | Maintenance cost is higher. |
| 2 | Subhi J. Al’Aref et al., [30] | Overview of the machine learning (ML) systems that are used to create predictive and inferential information-driven models. Here, a few ML applications in the fields of electrocardiography, echocardiography, and recently developed painless imaging modalities are highlighted including coronary course calcium scoring and coronary MR angiography. | Better internal communication. Improvement in latency. | Cost concerns are higher. Limited Control and Flexibility. |
| 3 | Maryam Yahyaie et al., [31] | The Internet of Things (IoT) facilitates online decision-production for anticipating a cardiac episode. In order to obtain current cardiovascular crisis information, an examination model was developed. | Accurate results are gained. Deep analysis of data is performed. | Minor errors in ECG signs are occurred. |
| 4 | Khushboo Bhagchandani et al., [32] | Information analysis and the Internet of Things (IOT) can help reduce the delay in a number of ways, including addressing the patient’s situation, reaching dramatic guidance, or delivering the closest guidance possible. The suggested framework examines how sensors fit people who are predisposed to cardiovascular diseases and sends a warning to crisis contacts. | A direct data transmission is possible. The information can be retrieved easily. | There are chances that data breaching may occur. |
| 5 | Muhammad E.H. Chowdhury et al., [33] | The momentum work suggests a wearable architecture for continuously identifying and alerting drivers to respiratory issues. The device, which consists of two interconnected subsystems that communicate wirelessly using Bluetooth technology, is highly accurate in distinguishing between ST-rise cardiac dead tissue and non-ST-height MI. | Using a contactless ECG system Faster in decision making. | Accuracy of system is not considerable. |
3. Methodology
3.1. Pre-Processing
3.2. Segmentation
| Algorithm 1 FCM for Segmentation. |
|
3.3. Classification—Pretrained Recurrent Neural Network
3.4. Risk Prediction—Deep Convolution Neural Network
3.4.1. Convolution Layer
3.4.2. Pooling Layer
3.4.3. Fully Connected Layer
3.4.4. Softmax Layer
| Algorithm 2 DCNN Procedure. |
|
Input ← for for for end for end for end for |
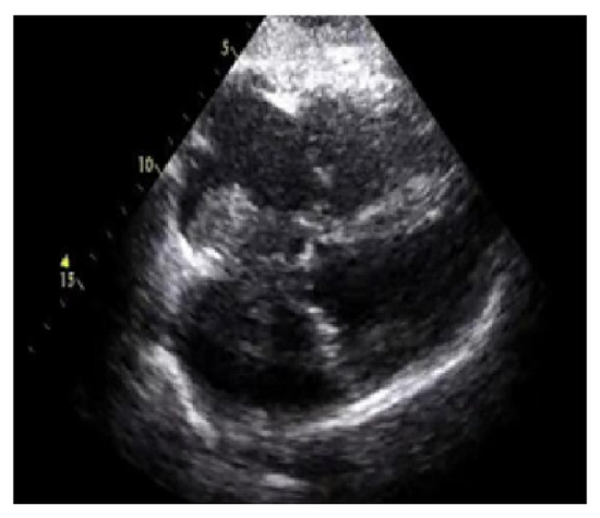
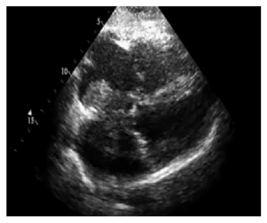
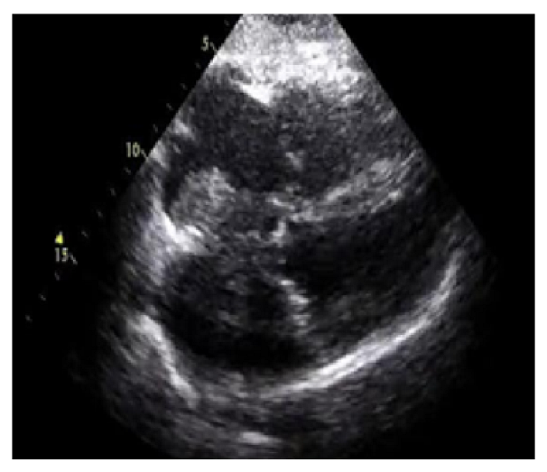
4. Result and Discussion
4.1. Dataset Description
4.2. Experimental Results
4.3. Performance Metrics
5. Conclusions
Author Contributions
Funding
Data Availability Statement
Conflicts of Interest
References
- Oldham, W.M.; Hemnes, A.R.; Aldred, M.A.; Barnard, J.; Brittain, E.L.; Chan, S.Y.; Cheng, F.; Cho, M.H.; Desai, A.A.; Garcia, J.G.N.; et al. NHLBI-CMREF workshop report on pulmonary vascular disease classification: JACC state-of-the-art review. J. Am. Coll. Cardiol. 2021, 77, 2040–2052. [Google Scholar] [CrossRef] [PubMed]
- Abman, S.H.; Mullen, M.P.; Sleeper, L.A.; Austin, E.D.; Rosenzweig, E.B.; Kinsella, J.P.; Ivy, D.; Hopper, R.K.; Raj, J.U.; Fineman, J.; et al. Characterisation of paediatric pulmonary hypertensive vascular disease from the PPHNet Registry. Eur. Respir. J. 2022, 59, 2003337. [Google Scholar] [CrossRef] [PubMed]
- Swathy, M.; Saruladha, K. A comparative study of classification and prediction of Cardio-Vascular Diseases (CVD) using Machine Learning and Deep Learning techniques. ICT Express 2021, 8, 109–116. [Google Scholar] [CrossRef]
- Basha, M.S. Early prediction of cardio vascular disease by performing associative classification on medical datasets and using genetic algorithm. In Intelligent Computing and Innovation on Data Science; Springer: Singapore, 2021; pp. 393–402. [Google Scholar]
- Filist, S.; Al-Kasasbeh, R.T.; Shatalova, O.; Aikeyeva, A.; Korenevskiy, N.; Shaqadan, A.; Trifonov, A.; Ilyash, M. Developing neural network model for predicting cardiac and cardiovascular health using bioelectrical signal processing. Comput. Methods Biomech. Biomed. Engin. 2022, 25, 908–921. [Google Scholar] [CrossRef]
- MAlnajjar, M.K.; Abu-Naser, S.S. Heart Sounds Analysis and Classification for Cardiovascular Diseases Diagnosis Using Deep Learning. 2022. Available online: http://dspace.alazhar.edu.ps/xmlui/handle/123456789/3534 (accessed on 27 January 2023).
- Omote, K.; Sorimachi, H.; Obokata, M.; Reddy, Y.N.V.; Verbrugge, F.H.; Omar, M.; DuBrock, H.M.; Redfield, M.M.; Borlaug, B.A. Pulmonary vascular disease in pulmonary hypertension due to left heart disease: Pathophysiologic implications. Eur. Heart J. 2022, 43, 3417–3431. [Google Scholar] [CrossRef]
- Tharini, V.J.; Vijayarani, S. IoT in healthcare: Ecosystem, pillars, design challenges, applications, vulnerabilities, privacy, and security concerns. In Advances in Medical Technologies and Clinical Practice; IGI Global: Hershey, PA, USA, 2020; pp. 1–22. [Google Scholar]
- Khan, M.A.R.; Shavkatovich, S.N.; Nagpal, B.; Kumar, A.; Haq, M.A.; Tharini, V.J.; Karupusamy, S.; Alazzam, M.B. Optimizing hybrid metaheuristic algorithm with cluster head to improve performance metrics on the IoT. Theor. Comput. Sci. 2022, 927, 87–97. [Google Scholar] [CrossRef]
- Jeevika Tharini, V.; Shivakumar, B.L. High-Utility Itemset Mining. In Computational Intelligence and Data Sciences, 1st ed.; CRC Press: Boca Raton, FL, USA, 2022; pp. 195–210. [Google Scholar]
- Au Beyene, T.J.; Au Kamat, C. Survey on prediction and analysis the occurrence of heart disease using data mining techniques. Int. J. Pure Appl. Math. 2018, 118, 165–174. [Google Scholar]
- Banu, N.K.S.; Swamy, S. Prediction of heart disease at early stage using data mining and big data analytics: A survey. In Proceedings of the 2016 International Conference on Electrical, Electronics, Communication, Computer and Optimization Techniques (ICEECCOT), Chennai, India, 3–5 March 2016. [Google Scholar]
- Fang, J.; Yuan, K.; Gindi, R.M.; Ward, B.W.; Ayala, C.; Loustalot, F. Association of birthplace and coronary heart disease and stroke among US adults: National Health Interview Survey, 2006 to 2014. J. Am. Heart Assoc. 2018, 7, e008153. [Google Scholar] [CrossRef]
- Yang, Y.; Wang, Z.; Chen, Z.; Wang, X.; Zhang, L.; Li, S.; Zheng, C.; Kang, Y.; Jiang, L.; Zhu, Z.; et al. Current status and etiology of valvular heart disease in China: A population-based survey. BMC Cardiovasc. Disord. 2021, 21, 339. [Google Scholar] [CrossRef]
- Truthmann, J.; Busch, M.A.; Scheidt-Nave, C.; Mensink, G.B.M.; Gößwald, A.; Endres, M.; Neuhauser, H. Modifiable cardiovascular risk factors in adults aged 40-79 years in Germany with and without prior coronary heart disease or stroke. BMC Public Health 2015, 15, 701. [Google Scholar] [CrossRef]
- Haq, A.U.; Li, J.P.; Memon, M.H.; Nazir, S.; Sun, R. A hybrid intelligent system framework for the prediction of heart disease using machine learning algorithms. Mob. Inf. Syst. 2018, 2018, 3860146. [Google Scholar] [CrossRef]
- Mohan, S.; Thirumalai, C.; Srivastava, G. Effective heart disease prediction using hybrid machine learning techniques. IEEE Access 2019, 7, 81542–81554. [Google Scholar] [CrossRef]
- Amin, M.S.; Chiam, Y.K.; Varathan, K.D. Identification of significant features and data mining techniques in predicting heart disease. Telemat. Inform. 2019, 36, 82–93. [Google Scholar] [CrossRef]
- Masih, N.; Ahuja, S. Prediction of heart diseases using data mining techniques: Application on Framingham Heart Study. Int. J. Big Data Anal. Healthcare 2018, 3, 1–9. [Google Scholar] [CrossRef]
- Dinesh, K.G.; Arumugaraj, K.; Santhosh, K.D.; Mareeswari, V. Prediction of cardiovascular disease using machine learning algorithms. In Proceedings of the 2018 International Conference on Current Trends towards Converging Technologies (ICCTCT), Coimbatore, India, 1–3 March 2018. [Google Scholar]
- Taneja, A. Heart disease prediction system using Data mining techniques. Orient. J. Comput. Sci. Technol. 2013, 6, 457–466. [Google Scholar]
- Gárate-Escamila, A.K.; Hajjam El Hassani, A.; Andrès, E. Classification models for heart disease prediction using feature selection and PCA. Inform. Med. Unlocked 2020, 19, 100330. [Google Scholar] [CrossRef]
- Javeed, A.; Rizvi, S.S.; Zhou, S.; Riaz, R.; Khan, S.U.; Kwon, S.J. Heart risk failure prediction using a novel feature selection method for feature refinement and neural network for classification. Mob. Inf. Syst. 2020, 2020, 8843115. [Google Scholar] [CrossRef]
- Almustafa, K.M. Prediction of heart disease and classifiers’ sensitivity analysis. BMC Bioinform. 2020, 21, 278. [Google Scholar] [CrossRef]
- Shah, D.; Patel, S.; Bharti, S.K. Heart disease prediction using machine learning techniques. SN Comput. Sci. 2020, 1, 345. [Google Scholar] [CrossRef]
- Anitha, S.; Sridevi, N. Heart disease prediction using data mining techniques. J. Anal. Comput. 2019, 10, 281–286. [Google Scholar]
- Spencer, R.; Thabtah, F.; Abdelhamid, N.; Thompson, M. Exploring feature selection and classification methods for predicting heart disease. Digit. Health 2020, 6, 2055207620914777. [Google Scholar] [CrossRef] [PubMed]
- Latha, C.B.C.; Jeeva, S.C. Improving the accuracy of prediction of heart disease risk based on ensemble classification techniques. Inform. Med. Unlocked 2019, 16, 100203. [Google Scholar] [CrossRef]
- Atici, A.; Barman, H.A.; Durmaz, E.; Demir, K.; Cakmak, R.; Tugrul, S.; Elitok, A.; Onur, İ.; Sahin, İ.; Oncul, A. Predictive value of global and territorial longitudinal strain imaging in detecting significant coronary artery disease in patients with myocardial infarction without persistent ST-segment elevation. Echocardiography 2019, 36, 512–520. [Google Scholar] [CrossRef]
- Al’Aref, S.J.; Anchouche, K.; Singh, G.; Slomka, P.J.; Kolli, K.K.; Kumar, A.; Pandey, M.; Maliakal, G.; van Rosendael, A.R.; Beecy, A.N.; et al. Clinical applications of machine learning in cardiovascular disease and its relevance to cardiac imaging. Eur. Heart J. 2019, 40, 1975–1986. [Google Scholar] [CrossRef] [PubMed]
- Yahyaie, M.; Tarokh, M.J.; Mahmoodyar, M.A. Use of Internet of Things to provide a new model for remote heart attack prediction. Telemed. J. E. Health. 2019, 25, 499–510. [Google Scholar] [CrossRef]
- Bhagchandani, K.; Augustine, D.P. IoT based heart monitoring and alerting system with cloud computing and managing the traffic for an ambulance in India. Int. J. Electr. Comput. Eng. (IJECE) 2019, 9, 5068. [Google Scholar] [CrossRef]
- Chowdhury, M.E.H.; Khandakar, A.; Alzoubi, K.; Mansoor, S.; M Tahir, A.; Reaz, M.B.I.; Al-Emadi, N. Real-time smart-digital stethoscope system for heart diseases monitoring. Sensors 2019, 19, 2781. [Google Scholar] [CrossRef]









| Cardiovascular Diseases and Their Types | |
|---|---|
| Types | Description |
| Rheumatic heart diseases | Rheumatic fever |
| Angina | Deficiency in blood supply leads to chest pain and heart muscle weakening |
| Arrhythmia | Atypical heart rhythm |
| Coronary artery disease | The arteries are obstructed and the blood supply is stopped |
| Cardiomyopathy | Disease related to heart muscle |
| Congenital heart disease | Disfigurements of the heart that are present at birth |
| Acute coronary syndrome | Supply of blood to the muscles are obstructed suddenly |
| Cardiovascular Diseases and their Risk Factors | |
| Risk Factor | Study Results |
| Gender | When compared to females, males are at high risk |
| Age | Most old people are affected by the heart disease |
| Family History | Sometimes the probability of a heart disease diagnosis is hereditary. If any of the individual’s family members have heart disease, then there is a high chance for the occurrence of heart disease. |
| Poor Diet | Poor dietary habits are necessary for heart disease development |
| Smoking | Smokers will be highly affected by heart disease |
| Blood Pressure | Blood pressure thickens blood vessels, and narrows and hardens arteries |
| Diabetes | Sometimes an outcome of high levels of blood sugar |
| High blood cholesterol level | Increases plaque formation |
| Obesity | Being overweight is a reason for heart disease |
| Stress | Damages the arteries |
| Physical inactivity | Proper heart functioning is reduced |
| Poor Hygiene | Increases the chance of heart disease |
| Name of Filter | Denoise Level |
|---|---|
| Median Filter | +8.56 db |
| Wiener Filter | +9.83 db |
| Gaussian Filter | +9.39 db |
| Kuan Filter | +6.98 db |
| No. of Nodes | ANN | DNN | SVM | PRCNN |
|---|---|---|---|---|
| 50 | 71 | 84 | 85 | 97 |
| 100 | 74 | 86 | 86 | 98 |
| 150 | 76 | 87 | 88 | 99 |
| 200 | 77 | 86.5 | 90 | 99.5 |
| No. of Nodes | ANN | DNN | SVM | PRCNN |
|---|---|---|---|---|
| 50 | 73 | 79 | 90 | 94 |
| 100 | 74 | 84 | 93 | 96.5 |
| 150 | 76 | 85 | 94 | 97 |
| 200 | 73 | 85 | 91 | 95 |
| No. of Nodes | ANN | DNN | SVM | PRCNN |
|---|---|---|---|---|
| 50 | 73 | 80 | 91 | 96 |
| 100 | 73.5 | 82 | 93.5 | 97.5 |
| 150 | 75 | 84 | 94.5 | 98 |
| 200 | 74 | 86 | 91 | 96 |
Disclaimer/Publisher’s Note: The statements, opinions and data contained in all publications are solely those of the individual author(s) and contributor(s) and not of MDPI and/or the editor(s). MDPI and/or the editor(s) disclaim responsibility for any injury to people or property resulting from any ideas, methods, instructions or products referred to in the content. |
© 2023 by the authors. Licensee MDPI, Basel, Switzerland. This article is an open access article distributed under the terms and conditions of the Creative Commons Attribution (CC BY) license (https://creativecommons.org/licenses/by/4.0/).
Share and Cite
Balakrishnan, C.; Ambeth Kumar, V.D. IoT-Enabled Classification of Echocardiogram Images for Cardiovascular Disease Risk Prediction with Pre-Trained Recurrent Convolutional Neural Networks. Diagnostics 2023, 13, 775. https://doi.org/10.3390/diagnostics13040775
Balakrishnan C, Ambeth Kumar VD. IoT-Enabled Classification of Echocardiogram Images for Cardiovascular Disease Risk Prediction with Pre-Trained Recurrent Convolutional Neural Networks. Diagnostics. 2023; 13(4):775. https://doi.org/10.3390/diagnostics13040775
Chicago/Turabian StyleBalakrishnan, Chitra, and V. D. Ambeth Kumar. 2023. "IoT-Enabled Classification of Echocardiogram Images for Cardiovascular Disease Risk Prediction with Pre-Trained Recurrent Convolutional Neural Networks" Diagnostics 13, no. 4: 775. https://doi.org/10.3390/diagnostics13040775
APA StyleBalakrishnan, C., & Ambeth Kumar, V. D. (2023). IoT-Enabled Classification of Echocardiogram Images for Cardiovascular Disease Risk Prediction with Pre-Trained Recurrent Convolutional Neural Networks. Diagnostics, 13(4), 775. https://doi.org/10.3390/diagnostics13040775

