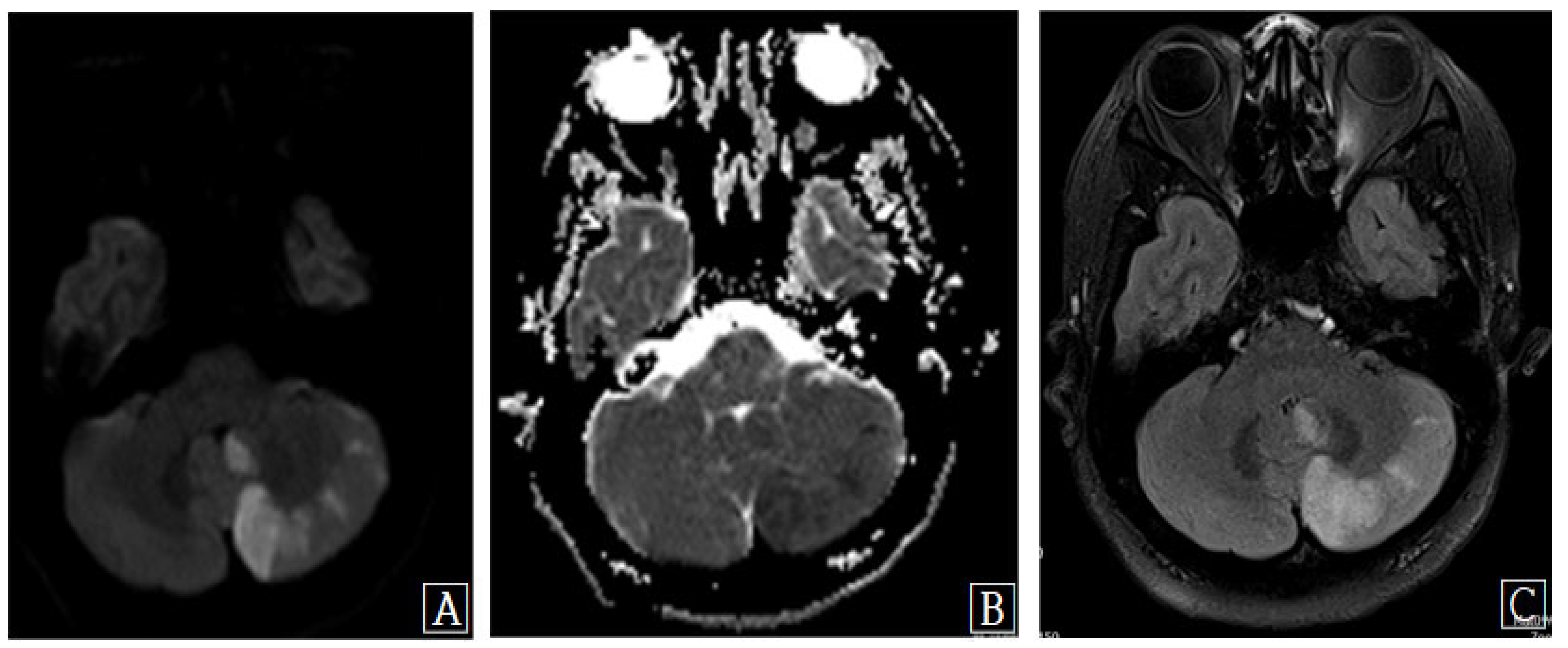
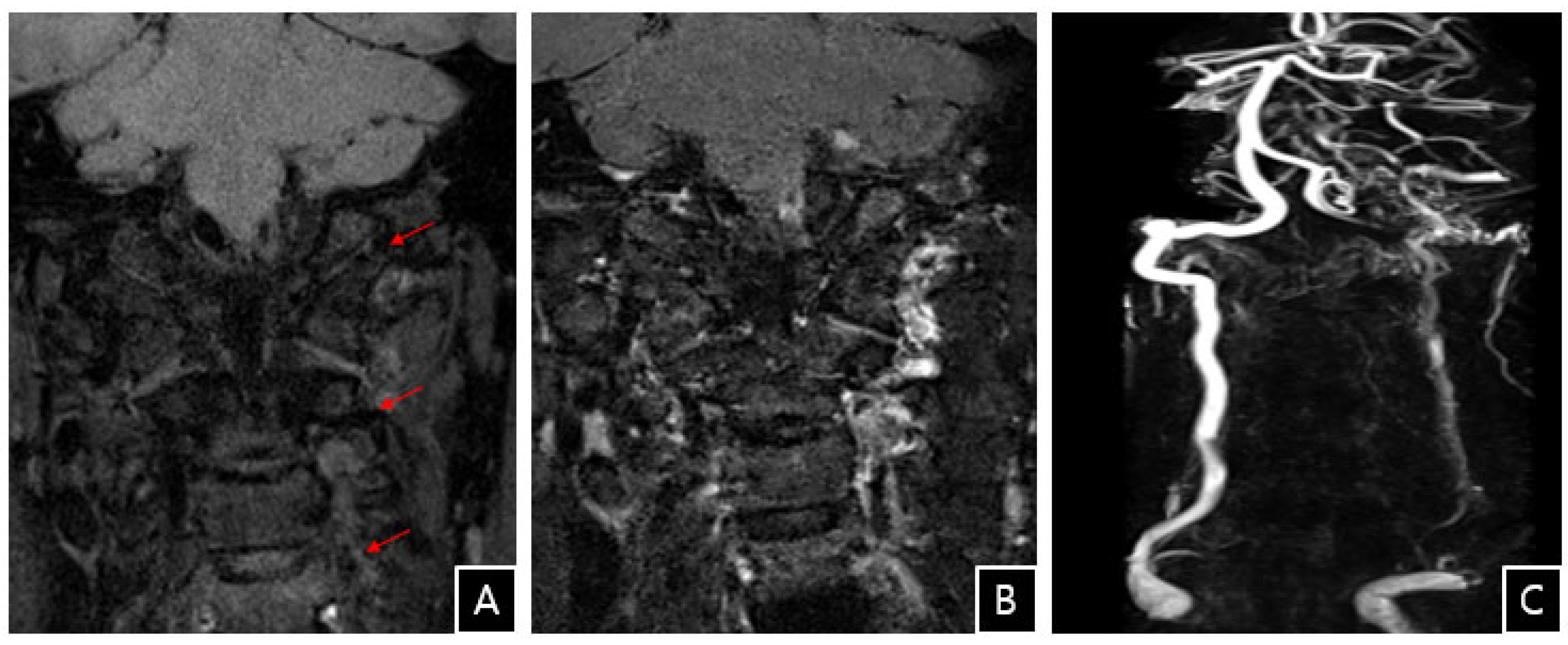
Vertebral Artery Dissection Following Anterior Cervical Decompression and Artificial Disc Replacement
Abstract



Author Contributions
Funding
Institutional Review Board Statement
Informed Consent Statement
Data Availability Statement
Conflicts of Interest
References
- Burke, J.P.; Gerszten, P.C.; Welch, W.C. Iatrogenic vertebral artery injury during anterior cervical spine surgery. Spine J. 2005, 5, 508–514. [Google Scholar] [CrossRef]
- Daentzer, D.; Deinsberger, W.; Böker, D.K. Vertebral artery complications in anterior approaches to the cervical spine: Report of two cases and review of literature. Surg. Neurol. 2003, 59, 300–309. [Google Scholar] [CrossRef]
- Yi, H.J. Epidemiology and Management of Iatrogenic Vertebral Artery Injury Associated With Cervical Spine Surgery. Korean J Neurotrauma 2022, 18, 34–44. [Google Scholar] [CrossRef]
- Rubenstein, S.M.; Peerdeman, S.M.; van Tulder, M.W.; Riphagen, I.; Haldeman, S. A systematic review of the risk factors for cervical artery dissection. Stroke 2005, 36, 1575–1580. [Google Scholar] [CrossRef] [PubMed]
- Dickerman, R.D.; Zigler, J.E. Atraumatic vertebral artery dissection after cervical corpectomy: A traction injury? Spine 2005, 30, E658–E661. [Google Scholar] [CrossRef]
- Sheth, A.A.; Honeybul, S. Vertebral artery dissection following a posterior cervical foraminotomy. J. Surg. Case Rep. 2017, 2017, rjx014. [Google Scholar] [CrossRef]
- Ringrose, T.; Thompson, W. An unusual case of post operative nausea, vomiting and neck pain. Crit. Care Resusc. 1999, 1, 288–290. [Google Scholar] [PubMed]
Disclaimer/Publisher’s Note: The statements, opinions and data contained in all publications are solely those of the individual author(s) and contributor(s) and not of MDPI and/or the editor(s). MDPI and/or the editor(s) disclaim responsibility for any injury to people or property resulting from any ideas, methods, instructions or products referred to in the content. |
© 2023 by the authors. Licensee MDPI, Basel, Switzerland. This article is an open access article distributed under the terms and conditions of the Creative Commons Attribution (CC BY) license (https://creativecommons.org/licenses/by/4.0/).
Share and Cite
Ahn, S.H.; Kim, H.; Kim, D.K.; Kim, S.W. Vertebral Artery Dissection Following Anterior Cervical Decompression and Artificial Disc Replacement. Diagnostics 2023, 13, 595. https://doi.org/10.3390/diagnostics13040595
Ahn SH, Kim H, Kim DK, Kim SW. Vertebral Artery Dissection Following Anterior Cervical Decompression and Artificial Disc Replacement. Diagnostics. 2023; 13(4):595. https://doi.org/10.3390/diagnostics13040595
Chicago/Turabian StyleAhn, Seong Hwan, Haksung Kim, Dae Kyun Kim, and Seok Won Kim. 2023. "Vertebral Artery Dissection Following Anterior Cervical Decompression and Artificial Disc Replacement" Diagnostics 13, no. 4: 595. https://doi.org/10.3390/diagnostics13040595
APA StyleAhn, S. H., Kim, H., Kim, D. K., & Kim, S. W. (2023). Vertebral Artery Dissection Following Anterior Cervical Decompression and Artificial Disc Replacement. Diagnostics, 13(4), 595. https://doi.org/10.3390/diagnostics13040595

