The Value of Micro-CT in the Diagnosis of Lung Carcinoma: A Radio-Histopathological Perspective
Abstract
:1. Introduction
2. Micro-CT as an Emerging Imaging Modality in Human Tumor Pathology
3. Potential Contribution of This Imaging Modality to the Examination of Pulmonary Carcinoma Specimens
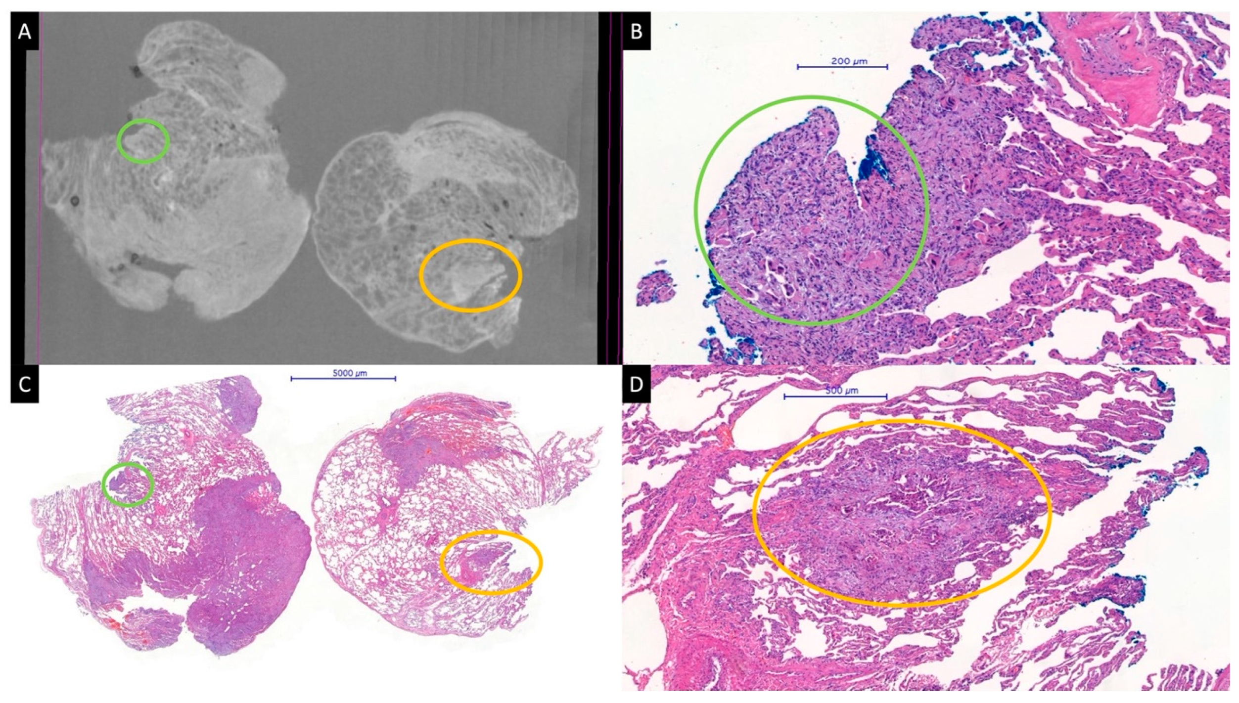
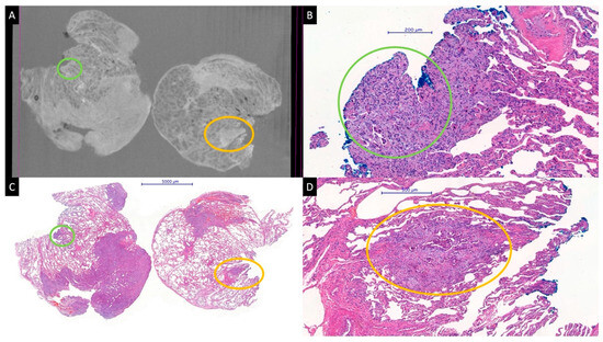
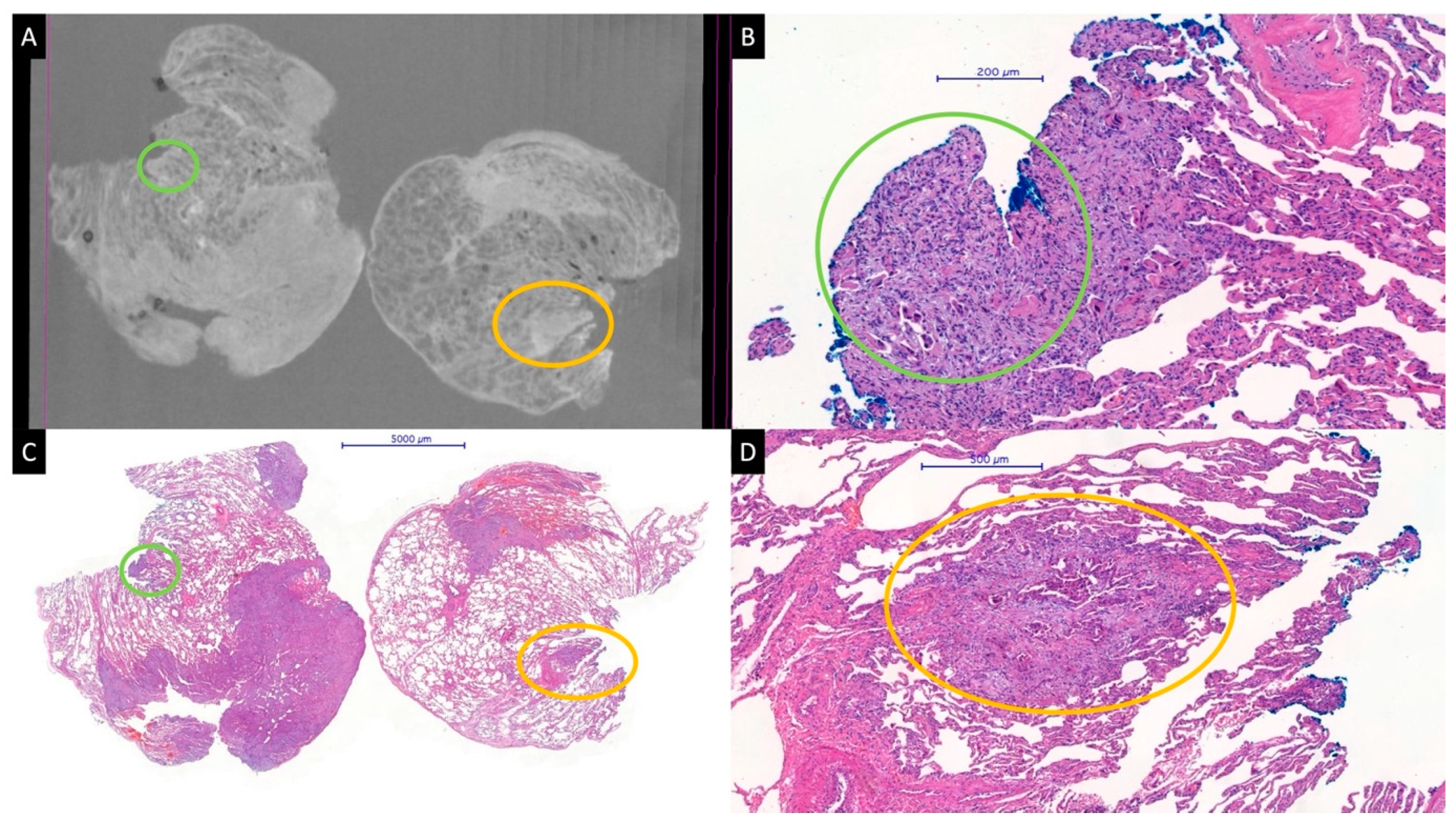
3.1. Examination Steps in Which Micro-CT Can Be Used
3.2. Micro-CT Cannot Replace Microscopy in Its Current Capacity
3.3. Tumor Size and Volume Estimation via Micro-CT
3.4. Detection of LN Metastases Using Micro-CT
3.5. Possible Role of Micro-CT in the Intraoperative Examination of Lung Tumors
4. Impact of Micro-CT on Conventional Histological Examination
5. What Is on the Horizon for Pulmonary Diagnosticians Regarding Micro-CT?
6. Conclusions
7. Future Directions
Supplementary Materials
Author Contributions
Funding
Institutional Review Board Statement
Informed Consent Statement
Data Availability Statement
Conflicts of Interest
References
- Svajdler, M.; Svajdler, P. Frozen section: History, indications, contraindications and quality assurance. Ceskoslovenska Patol. 2018, 54, 58–62. [Google Scholar]
- Wang, S.; Yang, D.M.; Rong, R.; Zhan, X.; Xiao, G. Pathology Image Analysis Using Segmentation Deep Learning Algorithms. Am. J. Pathol. 2019, 189, 1686–1698. [Google Scholar] [CrossRef]
- Kumar, N.; Gupta, R.; Gupta, S. Whole Slide Imaging (WSI) in Pathology: Current Perspectives and Future Directions. J. Digit. Imaging 2020, 33, 1034–1040. [Google Scholar] [CrossRef]
- Hashimoto, N.; Bautista, P.A.; Haneishi, H.; Snuderl, M.; Yagi, Y. Development of a 2D Image Reconstruction and Viewing System for Histological Images from Multiple Tissue Blocks: Towards High-Resolution Whole-Organ 3D Histological Images. Pathobiology 2016, 83, 127–139. [Google Scholar] [CrossRef]
- Farahani, N.; Braun, A.; Jutt, D.; Huffman, T.; Reder, N.; Liu, Z.; Yagi, Y.; Pantanowitz, L. Three-dimensional Imaging and Scanning: Current and Future Applications for Pathology. J. Pathol. Inform. 2017, 8, 36. [Google Scholar] [CrossRef]
- Ohnishi, T.; Teplov, A.; Kawata, N.; Ibrahim, K.; Ntiamoah, P.; Firat, C.; Haneishi, H.; Hameed, M.; Shia, J.; Yagi, Y. Three-Dimensional Vessel Segmentation in Whole-Tissue and Whole-Block Imaging Using a Deep Neural Network: Proof-of-Concept Study. Am. J. Pathol. 2021, 191, 463–474. [Google Scholar] [CrossRef]
- Orhan, K. Micro-Computed Tomography (Micro-CT) in Medicine and Engineering; Springer International Publishing: Cham, Switzerland; Berlin/Heidelberg, Germany, 2020. [Google Scholar]
- Genant, H.K.; Engelke, K.; Prevrhal, S. Advanced CT bone imaging in osteoporosis. Rheumatology 2008, 47 (Suppl. 4), iv9–iv16. [Google Scholar] [CrossRef]
- Chaurand, P.; Liu, W.; Borschneck, D.; Levard, C.; Auffan, M.; Paul, E.; Collin, B.; Kieffer, I.; Lanone, S.; Rose, J.; et al. Multi-scale X-ray computed tomography to detect and localize metal-based nanomaterials in lung tissues of in vivo exposed mice. Sci. Rep. 2018, 8, 4408. [Google Scholar] [CrossRef]
- Verleden, S.E.; McDonough, J.E.; Schoemans, H.; Knoop, C.; Verschakelen, J.; Dubbeldam, A.; Boone, M.N.; Van Hoorebeke, L.; Verbeken, E.; Weynand, B.; et al. Phenotypical diversity of airway morphology in chronic lung graft vs. host disease after stem cell transplantation. Mod. Pathol. 2019, 32, 817–829. [Google Scholar] [CrossRef]
- Eberspacher-Schweda, M.C.; Schmitt, K.; Handschuh, S.; Fuchs-Baumgartinger, A.; Reiter, A.M. Diagnostic Yield of Micro-Computed Tomography (micro-CT) Versus Histopathology of a Canine Oral Fibrosarcoma. J. Vet. Dent. 2020, 37, 14–21. [Google Scholar] [CrossRef]
- Frisullo, P.; Conte, A.; Del Nobile, M.A. A novel approach to study biscuits and breadsticks using X-ray computed tomography. J. Food Sci. 2010, 75, E353–E358. [Google Scholar] [CrossRef]
- Sinka, I.C.; Burch, S.F.; Tweed, J.H.; Cunningham, J.C. Measurement of density variations in tablets using X-ray computed tomography. Int. J. Pharm. 2004, 271, 215–224. [Google Scholar] [CrossRef]
- Buffiere, J.-Y.; Maire, E.; Adrien, J.; Masse, J.-P.; Boller, E. In Situ Experiments with X Ray Tomography: An Attractive Tool for Experimental Mechanics. Exp. Mech. 2010, 50, 289–305. [Google Scholar] [CrossRef]
- Amrhein, S.; Rauer, M.; Kaloudis, M. Characterization of Computer Tomography Scanners Using the Probability of Detection Method. J. Nondestruct. Eval. 2014, 33, 643–650. [Google Scholar] [CrossRef]
- Wang, L.; Yuan, K.; Luan, X.; Li, Z.; Feng, G.; Wu, J. 3D Characterizations of Pores and Damages in C/SiC Composites by Using X-Ray Computed Tomography. Appl. Compos. Mater. 2018, 26, 493–505. [Google Scholar] [CrossRef]
- Orhan, K.; Jacobs, R.; Celikten, B.; Huang, Y.; de Faria Vasconcelos, K.; Nicolielo, L.F.P.; Buyuksungur, A.; Van Dessel, J. Evaluation of Threshold Values for Root Canal Filling Voids in Micro-CT and Nano-CT Images. Scanning 2018, 2018, 9437569. [Google Scholar] [CrossRef]
- Honkanen, M.K.M.; Saukko, A.E.A.; Turunen, M.J.; Shaikh, R.; Prakash, M.; Lovric, G.; Joukainen, A.; Kroger, H.; Grinstaff, M.W.; Toyras, J. Synchrotron MicroCT Reveals the Potential of the Dual Contrast Technique for Quantitative Assessment of Human Articular Cartilage Composition. J. Orthop. Res. 2020, 38, 563–573. [Google Scholar] [CrossRef]
- Starovoyt, A.; Pyka, G.; Putzeys, T.; Balcaen, T.; Wouters, J.; Kerckhofs, G.; Verhaert, N. Human cochlear microstructures at risk of electrode insertion trauma, elucidated in 3D with contrast-enhanced microCT. Sci. Rep. 2023, 13, 2191. [Google Scholar] [CrossRef]
- Ikezoe, K.; Hackett, T.-L.; Peterson, S.; Prins, D.; Hague, C.J.; Murphy, D.; LeDoux, S.; Chu, F.; Xu, F.; Cooper, J.D. Small airway reduction and fibrosis is an early pathologic feature of idiopathic pulmonary fibrosis. Am. J. Respir. Crit. Care Med. 2021, 204, 1048–1059. [Google Scholar] [CrossRef]
- Einarsson, E.; Pierantoni, M.; Novak, V.; Svensson, J.; Isaksson, H.; Englund, M. Phase-contrast enhanced synchrotron micro-tomography of human meniscus tissue. Osteoarthr. Cartil. 2022, 30, 1222–1233. [Google Scholar] [CrossRef]
- Page, M.J.; McKenzie, J.E.; Bossuyt, P.M.; Boutron, I.; Hoffmann, T.; Mulrow, C.D.; Shamseer, L.; Tetzlaff, J.; Akl, E.A.; Brennan, S.; et al. The PRISMA 2020 Statement: An Updated Guideline for Reporting Systematic Reviews. BMJ 2021, 372, n71. [Google Scholar] [CrossRef] [PubMed]
- Bompoti, A.; Papazoglou, A.S.; Moysidis, D.V.; Otountzidis, N.; Karagiannidis, E.; Stalikas, N.; Panteris, E.; Ganesh, V.; Sanctuary, T.; Arvanitidis, C.; et al. Volumetric Imaging of Lung Tissue at Micrometer Resolution: Clinical Applications of Micro-CT for the Diagnosis of Pulmonary Diseases. Diagnostics 2021, 11, 2075. [Google Scholar] [CrossRef] [PubMed]
- Kayi Cangir, A.; Dizbay Sak, S.; Gunes, G.; Orhan, K. Differentiation of benign and malignant regions in paraffin embedded tissue blocks of pulmonary adenocarcinoma using micro CT scanning of paraffin tissue blocks: A pilot study for method validation. Surg. Today 2021, 51, 1594–1601. [Google Scholar] [CrossRef] [PubMed]
- Nakamura, S.; Mori, K.; Iwano, S.; Kawaguchi, K.; Fukui, T.; Hakiri, S.; Ozeki, N.; Oda, M.; Yokoi, K. Micro-computed tomography images of lung adenocarcinoma: Detection of lepidic growth patterns. Nagoya J. Med. Sci. 2020, 82, 25–31. [Google Scholar] [CrossRef] [PubMed]
- Troschel, F.M.; Gottumukkala, R.V.; DiCorpo, D.; Mario, J.; Ott, H.C.; Wright, C.D.; Muniappan, A.; Lanuti, M.; Yang, K.; Shepard, J.O.; et al. Feasibility of Perioperative Micro-Computed Tomography of Human Lung Cancer Specimens: A Pilot Study. Arch. Pathol. Lab. Med. 2019, 143, 319–325. [Google Scholar] [CrossRef] [PubMed]
- Streeter, S.S.; Zuurbier, R.A.; diFlorio-Alexander, R.M.; Hansberry, M.T.; Maloney, B.W.; Pogue, B.W.; Wells, W.A.; Paulsen, K.D.; Barth, R.J., Jr. Breast-Conserving Surgery Margin Guidance Using Micro-Computed Tomography: Challenges When Imaging Radiodense Resection Specimens. Ann. Surg. Oncol. 2023, 30, 4097–4108. [Google Scholar] [CrossRef]
- Sakamoto, H.; Nishimura, M.; Teplov, A.; Leung, G.; Ntiamoah, P.; Cesmecioglu, E.; Kawata, N.; Ohnishi, T.; Kareem, I.; Shia, J.; et al. A pilot study of micro-CT-based whole tissue imaging (WTI) on endoscopic submucosal dissection (ESD) specimens. Sci. Rep. 2022, 12, 9889. [Google Scholar] [CrossRef]
- Brahimetaj, R.; Willekens, I.; Massart, A.; Forsyth, R.; Cornelis, J.; Mey, J.; Jansen, B. Improved automated early detection of breast cancer based on high resolution 3D micro-CT microcalcification images. BMC Cancer 2022, 22, 162. [Google Scholar] [CrossRef]
- Alkalay, R.N.; Groff, M.W.; Stadelmann, M.A.; Buck, F.M.; Hoppe, S.; Theumann, N.; Mektar, U.; Davis, R.B.; Hackney, D.B. Improved estimates of strength and stiffness in pathologic vertebrae with bone metastases using CT-derived bone density compared with radiographic bone lesion quality classification. J. Neurosurg. Spine 2022, 36, 113–124. [Google Scholar] [CrossRef]
- Xia, C.W.; Hu, S.Q.; Zhou, Q.Z.; Gan, R.L.; Pan, J.R.; Zhang, Q.; Pu, Y.M.; Chen, S.; Hu, Q.G.; Wang, Y.X. Accurately Locating Metastatic Foci in Lymph Nodes With Lugol’s Iodine-Enhanced Micro-CT Imaging. Front. Oncol. 2021, 11, 594915. [Google Scholar] [CrossRef]
- Chen, L.; Wang, X.; Zhang, S.; Wang, W.; Su, B.; Xu, X.; Lv, D.; Liu, W.; Li, X.; Li, Z. The Evaluation of the Multiple Myeloma Pathological Osseous Tissue of Microarchitecture. Curr. Med. Imaging 2021, 17, 513–516. [Google Scholar] [CrossRef] [PubMed]
- Xia, C.W.; Gan, R.L.; Pan, J.R.; Hu, S.Q.; Zhou, Q.Z.; Chen, S.; Zhang, L.; Hu, Q.G.; Wang, Y.X. Lugol’s Iodine-Enhanced Micro-CT: A Potential 3-D Imaging Method for Detecting Tongue Squamous Cell Carcinoma Specimens in Surgery. Front. Oncol. 2020, 10, 550171. [Google Scholar] [CrossRef] [PubMed]
- Xu, B.; Teplov, A.; Ibrahim, K.; Inoue, T.; Stueben, B.; Katabi, N.; Hameed, M.; Yagi, Y.; Ghossein, R. Detection and assessment of capsular invasion, vascular invasion and lymph node metastasis volume in thyroid carcinoma using microCT scanning of paraffin tissue blocks (3D whole block imaging): A proof of concept. Mod. Pathol. 2020, 33, 2449–2457. [Google Scholar] [CrossRef]
- DiCorpo, D.; Tiwari, A.; Tang, R.; Griffin, M.; Aftreth, O.; Bautista, P.; Hughes, K.; Gershenfeld, N.; Michaelson, J. The role of Micro-CT in imaging breast cancer specimens. Breast Cancer Res. Treat. 2020, 180, 343–357. [Google Scholar] [CrossRef] [PubMed]
- Ferstl, S.; Busse, M.; Muller, M.; Kimm, M.A.; Drecoll, E.; Burkner, T.; Allner, S.; Dierolf, M.; Pfeiffer, D.; Rummeny, E.J.; et al. Revealing the Microscopic Structure of Human Renal Cell Carcinoma in Three Dimensions. IEEE Trans. Med. Imaging 2020, 39, 1494–1500. [Google Scholar] [CrossRef] [PubMed]
- Giuliani, A.; Greco, S.; Pacile, S.; Zannotti, A.; Delli Carpini, G.; Tromba, G.; Giannubilo, S.R.; Ciavattini, A.; Ciarmela, P. Advanced 3D Imaging of Uterine Leiomyoma’s Morphology by Propagation-based Phase-Contrast Microtomography. Sci. Rep. 2019, 9, 10580. [Google Scholar] [CrossRef] [PubMed]
- Janssen, N.N.Y.; van Seijen, M.; Loo, C.E.; Vrancken Peeters, M.; Hankel, T.; Sonke, J.J.; Nijkamp, J. Feasibility of Micro-Computed Tomography Imaging for Direct Assessment of Surgical Resection Margins During Breast-Conserving Surgery. J. Surg. Res. 2019, 241, 160–169. [Google Scholar] [CrossRef]
- Baran, P.; Mayo, S.; McCormack, M.; Pacile, S.; Tromba, G.; Dullin, C.; Zanconati, F.; Arfelli, F.; Dreossi, D.; Fox, J.; et al. High-Resolution X-Ray Phase-Contrast 3-D Imaging of Breast Tissue Specimens as a Possible Adjunct to Histopathology. IEEE Trans. Med. Imaging 2018, 37, 2642–2650. [Google Scholar] [CrossRef]
- Rabelo, G.D.; Coutinho-Camillo, C.; Kowalski, L.P.; Portero-Muzy, N.; Roux, J.P.; Chavassieux, P.; Alves, F.A. Evaluation of cortical mandibular bone in patients with oral squamous cell carcinoma. Clin. Oral Investig. 2018, 22, 783–790. [Google Scholar] [CrossRef]
- McClatchy, D.M., 3rd; Zuurbier, R.A.; Wells, W.A.; Paulsen, K.D.; Pogue, B.W. Micro-computed tomography enables rapid surgical margin assessment during breast conserving surgery (BCS): Correlation of whole BCS micro-CT readings to final histopathology. Breast Cancer Res. Treat. 2018, 172, 587–595. [Google Scholar] [CrossRef]
- Qiu, S.Q.; Dorrius, M.D.; de Jongh, S.J.; Jansen, L.; de Vries, J.; Schroder, C.P.; Zhang, G.J.; de Vries, E.G.E.; van der Vegt, B.; van Dam, G.M. Micro-computed tomography (micro-CT) for intraoperative surgical margin assessment of breast cancer: A feasibility study in breast conserving surgery. Eur. J. Surg. Oncol. 2018, 44, 1708–1713. [Google Scholar] [CrossRef] [PubMed]
- Tang, R.; Saksena, M.; Coopey, S.B.; Fernandez, L.; Buckley, J.M.; Lei, L.; Aftreth, O.; Koerner, F.; Michaelson, J.; Rafferty, E.; et al. Intraoperative micro-computed tomography (micro-CT): A novel method for determination of primary tumour dimensions in breast cancer specimens. Br. J. Radiol. 2016, 89, 20150581. [Google Scholar] [CrossRef] [PubMed]
- Sarraj, W.M.; Tang, R.; Najjar, A.L.; Griffin, M.; Bui, A.H.; Zambeli-Ljepovic, A.; Senter-Zapata, M.; Lewin-Berlin, M.; Fernandez, L.; Buckley, J.; et al. Prediction of primary breast cancer size and T-stage using micro-computed tomography in lumpectomy specimens. J. Pathol. Inform. 2015, 6, 60. [Google Scholar] [CrossRef] [PubMed]
- Willekens, I.; Van de Casteele, E.; Buls, N.; Temmermans, F.; Jansen, B.; Deklerck, R.; de Mey, J. High-resolution 3D micro-CT imaging of breast microcalcifications: A preliminary analysis. BMC Cancer 2014, 14, 9. [Google Scholar] [CrossRef]
- Jensen, T.H.; Bech, M.; Binderup, T.; Bottiger, A.; David, C.; Weitkamp, T.; Zanette, I.; Reznikova, E.; Mohr, J.; Rank, F.; et al. Imaging of metastatic lymph nodes by X-ray phase-contrast micro-tomography. PLoS ONE 2013, 8, e54047. [Google Scholar] [CrossRef]
- Tang, R.; Buckley, J.M.; Fernandez, L.; Coopey, S.; Aftreth, O.; Michaelson, J.; Saksena, M.; Lei, L.; Specht, M.; Gadd, M.; et al. Micro-computed tomography (Micro-CT): A novel approach for intraoperative breast cancer specimen imaging. Breast Cancer Res. Treat. 2013, 139, 311–316. [Google Scholar] [CrossRef]
- Tang, R.; Coopey, S.B.; Buckley, J.M.; Aftreth, O.P.; Fernandez, L.J.; Brachtel, E.F.; Michaelson, J.S.; Gadd, M.A.; Specht, M.C.; Koerner, F.C.; et al. A pilot study evaluating shaved cavity margins with micro-computed tomography: A novel method for predicting lumpectomy margin status intraoperatively. Breast J. 2013, 19, 485–489. [Google Scholar] [CrossRef]
- Gufler, H.; Franke, F.E.; Wagner, S.; Rau, W.S. Fine structure of breast tissue on micro computed tomography a feasibility study. Acad. Radiol. 2011, 18, 230–234. [Google Scholar] [CrossRef]
- Chappard, D.; Libouban, H.; Legrand, E.; Ifrah, N.; Masson, C.; Basle, M.F.; Audran, M. Computed microtomography of bone specimens for rapid analysis of bone changes associated with malignancy. Anat. Rec. Adv. Integr. Anat. Evol. Biol. 2010, 293, 1125–1133. [Google Scholar] [CrossRef]
- Langheinrich, A.C.; Stolle, C.; Kampschulte, M.; Lommel, D.; Rau, W.S.; Bassaly, B. Diagnostic value of ex-vivo three-dimensional micro-computed tomography imaging of primary nonhematopoietic human bone tumors: Osteosarcoma versus chondrosarcoma. Acta Radiol. 2008, 49, 940–948. [Google Scholar] [CrossRef]
- Li, Y.; Qin, W.; Liang, Q.; Zeng, J.; Yang, Q.; Chen, Y.; Wang, J.; Lu, W. Bufei huoxue capsule alleviates bleomycin-induced pulmonary fibrosis in mice via TGF-beta1/Smad2/3 signaling. J. Ethnopharmacol. 2023, 316, 116733. [Google Scholar] [CrossRef]
- Lai, R.; Zhao, C.; Guo, W.; Xiao, Y.; Li, R.; Liu, L.; Pan, H. The longitudinal and regional analysis of bleomycin-induced pulmonary fibrosis in mice by microcomputed tomography. Heliyon 2023, 9, e15681. [Google Scholar] [CrossRef]
- Yang, X.; Huang, X.J.; Chen, Z.; Xu, A.L.; Zhou, H.; Bi, X.L.; Yan, P.Y.; Xie, Y. A novel quantification method of lung fibrosis based on Micro-CT images developed with the optimized pulmonary fibrosis mice model induced by bleomycin. Heliyon 2023, 9, e13598. [Google Scholar] [CrossRef] [PubMed]
- Khalajzeyqami, Z.; Grandi, A.; Ferrini, E.; Ravanetti, F.; Leo, L.; Mambrini, M.; Giardino, L.; Villetti, G.; Stellari, F.F. Pivotal role of micro-CT technology in setting up an optimized lung fibrosis mouse model for drug screening. PLoS ONE 2022, 17, e0270005. [Google Scholar] [CrossRef]
- Song, S.; Fu, Z.; Guan, R.; Zhao, J.; Yang, P.; Li, Y.; Yin, H.; Lai, Y.; Gong, G.; Zhao, S.; et al. Intracellular hydroxyproline imprinting following resolution of bleomycin-induced pulmonary fibrosis. Eur. Respir. J. 2022, 59, 2100864. [Google Scholar] [CrossRef] [PubMed]
- Mecozzi, L.; Mambrini, M.; Ruscitti, F.; Ferrini, E.; Ciccimarra, R.; Ravanetti, F.; Sverzellati, N.; Silva, M.; Ruffini, L.; Belenkov, S.; et al. In-vivo lung fibrosis staging in a bleomycin-mouse model: A new micro-CT guided densitometric approach. Sci. Rep. 2020, 10, 18735. [Google Scholar] [CrossRef] [PubMed]
- Schmitt, V.H.; Schmitt, C.; Hollemann, D.; Mamilos, A.; Wagner, W.; Weinheimer, O.; Brochhausen, C. Comparison of histological and computed tomographic measurements of pig lung bronchi. ERJ Open Res. 2020, 6, 00500–2020. [Google Scholar] [CrossRef]
- Gallastegui, A.; Cheung, J.; Southard, T.; Hume, K.R. Volumetric and linear measurements of lung tumor burden from non-gated micro-CT imaging correlate with histological analysis in a genetically engineered mouse model of non-small cell lung cancer. Lab. Anim. 2018, 52, 457–469. [Google Scholar] [CrossRef]
- Taghavi-Farahabadi, M.; Mahmoudi, M.; Soudi, S.; Hashemi, S.M. Hypothesis for the management and treatment of the COVID-19-induced acute respiratory distress syndrome and lung injury using mesenchymal stem cell-derived exosomes. Med. Hypotheses 2020, 144, 109865. [Google Scholar] [CrossRef]
- Rodt, T.; von Falck, C.; Halter, R.; Ringe, K.; Shin, H.O.; Galanski, M.; Borlak, J. In vivo microCT quantification of lung tumor growth in SPC-raf transgenic mice. Front. Biosci. 2009, 14, 1939–1944. [Google Scholar] [CrossRef]
- Deng, L.; Xiao, S.M.; Qiang, J.W.; Li, Y.A.; Zhang, Y. Early Lung Adenocarcinoma in Mice: Micro-Computed Tomography Manifestations and Correlation with Pathology. Transl. Oncol. 2017, 10, 311–317. [Google Scholar] [CrossRef] [PubMed]
- Aoyagi, H.; Iwasaki, S.; Yoshizawa, H.; Tsuchikawa, K. Three-dimensional observation of the mouse embryo by micro-computed tomography: Meckel’s cartilage, otocyst, and/or muscle of tongue. Odontology 2012, 100, 137–143. [Google Scholar] [CrossRef] [PubMed]
- Seldeslachts, L.; Cawthorne, C.; Kaptein, S.F.; Boudewijns, R.; Thibaut, H.J.; Sanchez Felipe, L.; Sharma, S.; Schramm, G.; Weynand, B.; Dallmeier, K.; et al. Use of Micro-Computed Tomography to Visualize and Quantify COVID-19 Vaccine Efficiency in Free-Breathing Hamsters. Methods Mol. Biol. 2022, 2410, 177–192. [Google Scholar] [CrossRef] [PubMed]
- Oldham, M.J.; Lucci, F.; Foong, C.; Yeo, D.; Asgharian, B.; Cockram, S.; Luke, S.; Chua, J.; Hoeng, J.; Peitsch, M.C. Use of micro-CT to determine tracheobronchial airway geometries in three strains of mice used in inhalation toxicology as disease models. Anat. Rec. 2021, 304, 2050–2067. [Google Scholar] [CrossRef]
- Badea, C.T.; Drangova, M.; Holdsworth, D.W.; Johnson, G.A. In vivo small-animal imaging using micro-CT and digital subtraction angiography. Phys. Med. Biol. 2008, 53, R319–R350. [Google Scholar] [CrossRef]
- Willekens, I.; Buls, N.; Lahoutte, T.; Baeyens, L.; Vanhove, C.; Caveliers, V.; Deklerck, R.; Bossuyt, A.; de Mey, J. Evaluation of the radiation dose in micro-CT with optimization of the scan protocol. Contrast Media Mol. Imaging 2010, 5, 201–207. [Google Scholar] [CrossRef]
- Vasilescu, D.M.; Martinez, F.J.; Marchetti, N.; Galban, C.J.; Hatt, C.; Meldrum, C.A.; Dass, C.; Tanabe, N.; Reddy, R.M.; Lagstein, A.; et al. Noninvasive Imaging Biomarker Identifies Small Airway Damage in Severe Chronic Obstructive Pulmonary Disease. Am. J. Respir. Crit. Care Med. 2019, 200, 575–581. [Google Scholar] [CrossRef]
- Verleden, S.E.; Martens, A.; Ordies, S.; Heigl, T.; Bellon, H.; Vandermeulen, E.; Van Herck, A.; Sacreas, A.; Verschakelen, J.; Coudyzer, W.; et al. Radiological Analysis of Unused Donor Lungs: A Tool to Improve Donor Acceptance for Transplantation? Am. J. Transplant. 2017, 17, 1912–1921. [Google Scholar] [CrossRef]
- Tanabe, N.; McDonough, J.E.; Vasilescu, D.M.; Ikezoe, K.; Verleden, S.E.; Xu, F.; Wuyts, W.A.; Vanaudenaerde, B.M.; Colby, T.V.; Hogg, J.C. Pathology of Idiopathic Pulmonary Fibrosis Assessed by a Combination of Microcomputed Tomography, Histology, and Immunohistochemistry. Am. J. Pathol. 2020, 190, 2427–2435. [Google Scholar] [CrossRef]
- Haupt, F.; Dullin, C.; Krebs, M.; Hettwer-Steeger, I.; Kanzow, P.; Rodig, T. Micro-CT evaluation of frozen and embalmed human cadavers on the effect of root canal preparation on microcrack formation in old dentin. PLoS ONE 2023, 18, e0281124. [Google Scholar] [CrossRef]
- Verleden, S.E.; Vanstapel, A.; De Sadeleer, L.; Dubbeldam, A.; Goos, T.; Gyselinck, I.; Geudens, V.; Kaes, J.; Van Raemdonck, D.E.; Ceulemans, L.J.; et al. Distinct Airway Involvement in Subtypes of End-Stage Fibrotic Pulmonary Sarcoidosis. Chest 2021, 160, 562–571. [Google Scholar] [CrossRef] [PubMed]
- Scott, A.E.; Vasilescu, D.M.; Seal, K.A.; Keyes, S.D.; Mavrogordato, M.N.; Hogg, J.C.; Sinclair, I.; Warner, J.A.; Hackett, T.L.; Lackie, P.M. Three dimensional imaging of paraffin embedded human lung tissue samples by micro-computed tomography. PLoS ONE 2015, 10, e0126230. [Google Scholar] [CrossRef] [PubMed]
- Barapatre, N.; Aschauer, B.; Kampfer, C.; Schmitz, C.; von Koch, F.E.; Frank, H.G. Air contrast of the intervillous space enables non-disruptive Micro-CT analysis of paraffin-embedded archival placental tissue. Placenta 2020, 100, 66–68. [Google Scholar] [CrossRef] [PubMed]
- Kampschulte, M.; Schneider, C.R.; Litzlbauer, H.D.; Tscholl, D.; Schneider, C.; Zeiner, C.; Krombach, G.A.; Ritman, E.L.; Bohle, R.M.; Langheinrich, A.C. Quantitative 3D micro-CT imaging of human lung tissue. Rofo 2013, 185, 869–876. [Google Scholar] [CrossRef]
- Handschuh, S.; Okada, C.T.C.; Walter, I.; Aurich, C.; Glosmann, M. An optimized workflow for microCT imaging of formalin-fixed and paraffin-embedded (FFPE) early equine embryos. Anat. Histol. Embryol. 2022, 51, 611–623. [Google Scholar] [CrossRef]
- Katsamenis, O.L.; Olding, M.; Warner, J.A.; Chatelet, D.S.; Jones, M.G.; Sgalla, G.; Smit, B.; Larkin, O.J.; Haig, I.; Richeldi, L.; et al. X-ray Micro-Computed Tomography for Nondestructive Three-Dimensional (3D) X-ray Histology. Am. J. Pathol. 2019, 189, 1608–1620. [Google Scholar] [CrossRef]
- Vásárhelyi, L.; Kónya, Z.; Kukovecz, Á.; Vajtai, R. Microcomputed tomography–based characterization of advanced materials: A review. Mater. Today Adv. 2020, 8, 100084. [Google Scholar] [CrossRef]
- Ferl, G.Z.; Barck, K.H.; Patil, J.; Jemaa, S.; Malamut, E.J.; Lima, A.; Long, J.E.; Cheng, J.H.; Junttila, M.R.; Carano, R.A.D. Automated segmentation of lungs and lung tumors in mouse micro-CT scans. iScience 2022, 25, 105712. [Google Scholar] [CrossRef]
- Saccomano, M.; Albers, J.; Tromba, G.; Dobrivojevic Radmilovic, M.; Gajovic, S.; Alves, F.; Dullin, C. Synchrotron inline phase contrast microCT enables detailed virtual histology of embedded soft-tissue samples with and without staining. J. Synchrotron Radiat. 2018, 25, 1153–1161. [Google Scholar] [CrossRef]
- Reichmann, J.; Verleden, S.E.; Kuhnel, M.; Kamp, J.C.; Werlein, C.; Neubert, L.; Muller, J.H.; Bui, T.Q.; Ackermann, M.; Jonigk, D.; et al. Human lung virtual histology by multi-scale x-ray phase-contrast computed tomography. Phys. Med. Biol. 2023, 68, 115014. [Google Scholar] [CrossRef]
- Dullin, C.; Ufartes, R.; Larsson, E.; Martin, S.; Lazzarini, M.; Tromba, G.; Missbach-Guentner, J.; Pinkert-Leetsch, D.; Katschinski, D.M.; Alves, F. μCT of ex-vivo stained mouse hearts and embryos enables a precise match between 3D virtual histology, classical histology and immunochemistry. PLoS ONE 2017, 12, e0170597. [Google Scholar] [CrossRef] [PubMed]
- Ortega-Gil, A.; Vaquero, J.J.; Gonzalez-Arjona, M.; Rullas, J.; Munoz-Barrutia, A. X-ray-based virtual slicing of TB-infected lungs. Sci. Rep. 2019, 9, 19404. [Google Scholar] [CrossRef] [PubMed]
- Bishop, K.W.; Barner, L.A.E.; Han, Q.; Baraznenok, E.; Lan, L.; Poudel, C.; Gao, G.; Serafin, R.B.; Chow, S.S.L.; Glaser, A.K.; et al. An end-to-end workflow for non-destructive 3D pathology. bioRxiv 2023. [Google Scholar] [CrossRef]
- Sevim, S. Can microCT be Used to Differantiate Solid Patterned Lung Tumors? Ankara University Faculty of Medicine. 2023. Available online: https://tez.yok.gov.tr/UlusalTezMerkezi/TezGoster?key=G_oJ1rKE4SgJUkomyAKpR8lXbaQQAbx-zChf2Si38KCLT8eAO06cjCxGuIyKV3bo (accessed on 2 September 2023).
- World Health Organization. Thoracic Tumors; International Agency for Research on Cancer Print Copies are Distributed by WHO Press; World Health Organization: Geneva, Switzerland, 2021. [Google Scholar]
- Hwang, K.T.; Han, W.; Lee, S.M.; Choi, J.; Kim, J.; Rhu, J.; Kim, Y.A.; Noh, D.Y. Prognostic influence of 3-dimensional tumor volume on breast cancer compared to conventional 1-dimensional tumor size. Ann. Surg. Treat. Res. 2018, 95, 183–191. [Google Scholar] [CrossRef] [PubMed]
- Winther-Larsen, A.; Fledelius, J.; Sorensen, B.S.; Meldgaard, P. Metabolic tumor burden as marker of outcome in advanced EGFR wild-type NSCLC patients treated with erlotinib. Lung Cancer 2016, 94, 81–87. [Google Scholar] [CrossRef] [PubMed]
- Chardin, D.; Paquet, M.; Schiappa, R.; Darcourt, J.; Bailleux, C.; Poudenx, M.; Sciazza, A.; Ilie, M.; Benzaquen, J.; Martin, N. Baseline metabolic tumor volume as a strong predictive and prognostic biomarker in patients with non-small cell lung cancer treated with PD1 inhibitors: A prospective study. J. Immunother. Cancer 2020, 8. [Google Scholar] [CrossRef]
- Katsurada, M.; Nagano, T.; Tachihara, M.; Kiriu, T.; Furukawa, K.; Koyama, K.; Otoshi, T.; Sekiya, R.; Hazama, D.; Tamura, D. Baseline tumor size as a predictive and prognostic factor of immune checkpoint inhibitor therapy for non-small cell lung cancer. Anticancer. Res. 2019, 39, 815–825. [Google Scholar] [CrossRef]
- Bidola, P.; Martins de Souza, E.S.J.; Achterhold, K.; Munkhbaatar, E.; Jost, P.J.; Meinhardt, A.L.; Taphorn, K.; Zdora, M.C.; Pfeiffer, F.; Herzen, J. A step towards valid detection and quantification of lung cancer volume in experimental mice with contrast agent-based X-ray microtomography. Sci. Rep. 2019, 9, 1325. [Google Scholar] [CrossRef]
- Flechsig, P.; Kratochwil, C.; Warth, A.; Rath, D.; Eichwald, V.; Huber, P.E.; Kauczor, H.U.; Haberkorn, U.; Giesel, F.L. A Comparison of microCT and microPET for Evaluating Lymph Node Metastasis in a Rat Model. Mol. Imaging Biol. 2016, 18, 243–248. [Google Scholar] [CrossRef]
- Han, L.; Huang, Z.; Liu, Y.; Ye, L.; Li, D.; Yao, Z.; Wang, C.; Zhang, Y.; Yang, H.; Tan, Z.; et al. MicroRNA-106a regulates autophagy-related cell death and EMT by targeting TP53INP1 in lung cancer with bone metastasis. Cell Death Dis. 2021, 12, 1037. [Google Scholar] [CrossRef]
- Guo, X.; Liu, Y.; Kim, J.L.; Kim, E.Y.; Kim, E.Q.; Jansen, A.; Li, K.; Chan, M.; Keenan, B.T.; Conejo-Garcia, J.; et al. Effect of cyclical intermittent hypoxia on Ad5CMVCre induced solitary lung cancer progression and spontaneous metastases in the KrasG12D+; p53fl/fl; myristolated p110fl/fl ROSA-gfp mouse. PLoS ONE 2019, 14, e0212930. [Google Scholar] [CrossRef] [PubMed]
- Iwamura, R.; Sakamoto, M.; Mori, S.; Kodama, T. Imaging of the Mouse Lymphatic Sinus during Early Stage Lymph Node Metastasis Using Intranodal Lymphangiography with X-ray Micro-computed Tomography. Mol. Imaging Biol. 2019, 21, 825–834. [Google Scholar] [CrossRef] [PubMed]
- Cangir, A.K.; Orhan, K.; Güneş, S.G.; Özakıncı, H.; Kahya, Y.; Karasoy, D.; Kocaman, G.; Sak, S.D. Could micro-CT be a new and non-destructive method to diffentiation of tumoral and non-tumoral lesions in paraffin embedded tissue blocks of the mediastinal lymph nodes of patients with operated non-small cell lung cancer? A pilot study for method validation. In Proceedings of the P-060, 30th ESTS Meeting, The Hague, The Netherlands, 19–21 June 2022. [Google Scholar]
- Kadota, K.; Nitadori, J.I.; Sima, C.S.; Ujiie, H.; Rizk, N.P.; Jones, D.R.; Adusumilli, P.S.; Travis, W.D. Tumor Spread through Air Spaces is an Important Pattern of Invasion and Impacts the Frequency and Location of Recurrences after Limited Resection for Small Stage I Lung Adenocarcinomas. J. Thorac. Oncol. 2015, 10, 806–814. [Google Scholar] [CrossRef] [PubMed]
- Yagi, Y.; Aly, R.G.; Tabata, K.; Barlas, A.; Rekhtman, N.; Eguchi, T.; Montecalvo, J.; Hameed, M.; Manova-Todorova, K.; Adusumilli, P.S.; et al. Three-Dimensional Histologic, Immunohistochemical, and Multiplex Immunofluorescence Analyses of Dynamic Vessel Co-Option of Spread Through Air Spaces in Lung Adenocarcinoma. J. Thorac. Oncol. 2020, 15, 589–600. [Google Scholar] [CrossRef]
- Bains, S.; Eguchi, T.; Warth, A.; Yeh, Y.C.; Nitadori, J.I.; Woo, K.M.; Chou, T.Y.; Dienemann, H.; Muley, T.; Nakajima, J.; et al. Procedure-Specific Risk Prediction for Recurrence in Patients Undergoing Lobectomy or Sublobar Resection for Small (</=2 cm) Lung Adenocarcinoma: An International Cohort Analysis. J. Thorac. Oncol. 2019, 14, 72–86. [Google Scholar] [CrossRef]
- Han, Y.B.; Kim, H.; Mino-Kenudson, M.; Cho, S.; Kwon, H.J.; Lee, K.R.; Kwon, S.; Lee, J.; Kim, K.; Jheon, S. Tumor spread through air spaces (STAS): Prognostic significance of grading in non-small cell lung cancer. Mod. Pathol. 2021, 34, 549–561. [Google Scholar] [CrossRef]
- Terada, Y.; Takahashi, T.; Morita, S.; Kashiwabara, K.; Nagayama, K.; Nitadori, J.-I.; Anraku, M.; Sato, M.; Shinozaki-Ushiku, A.; Nakajima, J. Spread through air spaces is an independent predictor of recurrence in stage III (N2) lung adenocarcinoma. Interact. Cardiovasc. Thorac. Surg. 2019, 29, 442–448. [Google Scholar] [CrossRef]
- Chen, S.; Ye, T.; Yang, S.; Zhao, Y.; Zhang, Y.; Huang, Q.; Wu, H.; Hu, H.; Sun, Y.; Zhang, Y. Prognostic implication of tumor spread through air spaces in patients with pathologic N0 lung adenocarcinoma. Lung Cancer 2022, 164, 33–38. [Google Scholar] [CrossRef]
- Zhou, F.; Villalba, J.A.; Sayo, T.M.S.; Narula, N.; Pass, H.; Mino-Kenudson, M.; Moreira, A.L. Assessment of the feasibility of frozen sections for the detection of spread through air spaces (STAS) in pulmonary adenocarcinoma. Mod. Pathol. 2022, 35, 210–217. [Google Scholar] [CrossRef]
- Withers, P.J.; Bouman, C.; Carmignato, S.; Cnudde, V.; Grimaldi, D.; Hagen, C.K.; Maire, E.; Manley, M.; Du Plessis, A.; Stock, S.R. X-ray computed tomography. Nat. Rev. Methods Primers 2021, 1, 18. [Google Scholar] [CrossRef]
- Cobos, S.F.; Norley, C.J.; Pollmann, S.I.; Holdsworth, D.W. Cost-effective micro-CT system for non-destructive testing of titanium 3D printed medical components. PLoS ONE 2022, 17, e0275732. [Google Scholar] [CrossRef] [PubMed]



| Main Author, Year, Country | Number of Specimens and Material Type | Micro-CT Scanner | Study Design and Results | Main Outcome |
|---|---|---|---|---|
| Kayi Cangir, A. [24] 2021, Turkey | 3 FFPE block | Skyscan 1275 (Bruker, Kontich, Belgium) | Twenty one regions of interest (ROIs) from three adenocarcinomas (two cases of predominantly acinar and one case of predominantly micropapillary pattern) and surrounding pulmonary parenchyma were compared regarding various structural parameters calculated from micro-CT images. All parameters (percent object volume, structure thickness, structure linear density, connectivity, connectivity density, intersection surface, structure model index, open and closed porosity) were significantly different regarding the tumoral and non-tumoral ROIs. | Tumoral and non-tumoral areas can be separated from each other by means of structural parameters calculated via micro-CT. |
| Nakamura, S. [25] 2020, Japan | 10 Fixed tissue | InspeXio SMX-100CT (Shimadzu, Kyoto, Japan) | Ten resected human lungs with primary adenocarcinoma (adenocarcinoma in situ, minimally invasive, lepidic-predominant and papillary predominant) were scanned after fixation. The thickness of the alveolar walls of the normal lung and the cancer area of which alveoli might be replaced by tumor cells, was measured and compared with histopathological images. The area of thickened alveolar walls on the micro-CT corresponded well with the lepidic growth patterns of adenocarcinoma. Micro-CT images could be correctly divided by (the thickness of) alveolar walls into normal lung and adenocarcinoma. | Pulmonary adenocarcinomas with lepidic pattern can be differentiated from normal lung parenchyma via micro-CT-based measurements. Further detailed investigations are needed to make comparable histological diagnoses using micro-CT. |
| Troschel, F. [26] 2019, USA | 22 Fresh tissue | 1. Skyscan 1275 (Bruker, Kontich, Belgium) 2. XT H 225 (Nikon Metrology Inc., Brighton, MI, USA) | Twenty-two lung specimens with a presumptive diagnosis of lung cancer from 21 patients were scanned. Images were assessed to determine image quality, lesion size, and distance to the nearest surgical margin. Micro-CT measurements were compared to histopathologic measurements. Scanned specimens were indistinguishable from a control group of non-imaged lung specimens in terms of image quality. The agreement of micro-CT with the final pathology was good concerning the lesion size and the distance to surgical margin. | Micro-CT-scanned specimens were adequate for subsequent histopathologic analysis including molecular assays. Micro-CT can be an auxiliary method in the analysis of surgical margins in the fresh lung specimens with tumors. |
| Main Author, Year, Country | Number and Type of Specimens | Micro-CT Scanner | Main Outcome |
|---|---|---|---|
| Streeter, S.S. [27] 2023, USA | 100 Fresh tissue Breast carcinoma | PerkinElmer (Hopkington, MA, USA) | Micro-CT scanning alone is ineffective for margin assessment in complex cases. Adjuvant methods of margin assessments combined with micro-CT may be beneficial. |
| Sakamoto, H. [28] 2022, USA | 9 Fresh and fixed Gastrointestinal system tumors | Nikon XT H 160 MedX Alpha, Nikon Metrology NV (Leuven, Belgium) | Micro-CT could delineate the extent of the lesion in endoscopic submucosal dissection specimens. |
| Brahimetaj, R. [29] 2022, Belgium | 94 (Fresh?) Vacuum-assisted stereotactic biopsies with microcalcifications Breast lesions | Skyscan 1076 (Bruker, Kontich, Belgium) | Texture features of breast microcalcifications that are obtained via micro-CT have high discriminating power to classify individual microcalcifications as benign or malignant in breast lesions. |
| Alkalay, R.N. [30] 2021, USA | 45 Fresh tissue Vertebra biopsies from metastatic tumors | Scanco Medical (Brüttisellen, Switzerland) | Micro-CT may determine bone mineral density, strength, and stiffness better than qualitative clinical classification of bone lesions. |
| Xia, C.W. [31] 2021, China | 4 Fixed tissue Lymph nodes with suspected metastasis | Hiscan XM (Suzhou Heisfeld Information Technology Co., Ltd., Suzhou, China) | Micro-CT can accurately detect the 3D location of metastatic foci in regional lymph nodes in oral squamous cell carcinomas. This method will overcome the blind sampling deficiency in traditional pathological examination and thus reduce the rate of overlooked metastatic lymph nodes. |
| Chen, L. [32] 2021, China | 31 Fixed tissue Bone marrow tru-cuts | Hiscan XM (Suzhou Heisfeld Information Technology Co., Ltd., Suzhou, China) | Bone marrows with multiple myeloma involvement and bone marrows without disease can be separated from each other via micro-CT structural parameters. |
| Ohnishi, T. [6] 2021, USA | 3 Colon carcinoma Fresh whole tissue and FFPE blocks | Nikon Metrology NV (Hertfordshire, UK) | A deep neural network was developed to process micro-CT images, which was utilized successfully to segment vessels. |
| Xia, C.W. [33] 2020, China | 21 Fixed tissue Tongue | Hiscan XM (Suzhou Heisfeld Information Technology Co., Ltd., Suzhou, China) | Micro-CT with improved image quality can accurately position the tumor, show the surgical margin in squamous cell carcinomas of the tongue, and therefore can be used intraoperatively. |
| Xu, B. [34] 2020, USA | 28 FFPE block Thyroid tumors | Nikon Metrology NV (Leuven, Belgium) | 3D imaging can reveal the tumor burden and tumor features that may change the tumor diagnosis, such as capsule invasion in thyroid tumors. |
| DiCorpo, D. [35] 2020, USA | 173 Whole fresh tissue in container and “bread-loaffed” slices in cassettes Breast | 1. SkyScan1173, (Bruker, Kontich, Belgium) 2. SkyScan1275 (Bruker, Kontich, Belgium) 3. XT H 225, Nikon Metrology Inc. (Brighton, MI, USA) | Micro-CT can be more precise than pathologists in detecting surgical margin positivity. |
| Ferstl, S. [36] 2019, Germany | 2 Fixed tissue Kidney tumors | IQon Spectral CT, Philips Healthcare | The relationship with the capsule, Bowman’s space, and vascular structures in kidney tumors can be revealed more clearly and therefore this technology can be used in the routine pathology. |
| Giuliani, A. [37] 2019, Italy | 15 Fixed tissue from normal myometrium and uterine leiomyoma from 2 patients | SYRMEP, Elettra Synchrotron Facility (Basovizza, TS, Italy) | The quantitative morphometric analysis via micro-CT has a potential to investigate and understand soft tissue lesions. |
| Janssen, N.N.Y. [38] 2019, Netherlands | 100 Fresh tissue Breast | Skyscan 1275 (Bruker, Kontich, Belgium) | Micro-CT analysis of breast excision specimens for examination of resection margins showed moderate accuracy and considerable interobserver variation. It could have a place in clinical use, if the positive predictive value and sensitivity are improved. |
| Baran, P. [39] 2018, Australia | 10 Benign and malignant cores taken from FFPE blocks of two mastectomy specimens Breast | SYRMEP, Elettra Snychrotron (Trieste, Italy) | Micro-CT can provide high-resolution images, at a near-histological level. Detailed architectural assessment of tissue may increase sensitivity and specificity in breast cancer diagnosis, as compared to current imaging practices. |
| Rabelo, G.D. [40] 2018, Brazil | 20 Fixed tissue Mandibulectomy specimens for tumor resection | SkyScan 1174 (Bruker, Kontich, Belgium) | The cortical bone microarchitecture changes in the proximity of the squamous cell carcinoma. |
| McClatchy, D.M. [41] 2018, USA | 32 Fresh tissue Breast malignant and benign lesions | IVIS SpectrumCT, PN 128,201, (PerkinElmer, Hopkington, MA, USA) | Micro-CT can be a method with rapid results in the surgical margin analysis of breast lesions. |
| Qiu, S.Q. [42] 2018, Netherlands | 30 Fresh tissue Breast in situ and invasive carcinoma | SkyScan 1275 (Bruker, Kontich, Belgium) | Micro-CT scanning is a promising technique for intraoperative margin assessment in breast carcinoma and could potentially reduce the number of reoperations. |
| Tang, R. [43] 2016, USA | 50 Fresh tissue Breast | Skyscan 1173 (Bruker, Kontich, Belgium) | Intraoperative micro-CT can be used to evaluate whether the entire tumor is within the lumpectomy specimen by comparing tumor size on micro-CT with preoperative images. |
| Sarraj, W.M. [44] 2015, USA | 72 Fresh tissue Breast carcinoma | Skyscan 1173 (Bruker, Kontich, Belgium) | Measurements with micro-CT for T stage in invasive ductal carcinomas were highly correlated with pathological measurements. |
| Willekens, I. [45] 2014, Belgium | 11 Fixed tissue Breast tru-cuts | Skyscan 1076 (Bruker, Kontich, Belgium) | Micro-CT shows promise as a valuable tool for understanding the morphological characteristics of benign and malign microcalcifications. |
| Jensen, T.H. [46] 2013, Denmark | 17 FFPE block Lymph nodes from breast carcinoma cases | ID19, European Synchrotron Radiation Facility (ESRF) (Grenoble, France) | Micro-CT can accurately detect density variations to obtain information regarding axillary lymph node involvement status. |
| Tang, R. [47] 2013, USA | 103 Fresh tissue Breast tissue and lymph node | Skyscan 1173, (Bruker, Kontich, Belgium) | 3D examination provided information about the localization of masses and calcifications relative to margins in intact lumpectomy specimens and it is a potentially useful tool allowing real-time analysis of tumor location in breast specimens and surgical margins. It may also be useful for assessing sentinel lymph nodes and mastectomy specimens. |
| Tang, R. [48] 2013, USA | 25 Fresh tissue Breast | Skyscan 1173, (Bruker, Kontich, Belgium) | Micro-CT is a promising method for intraoperative assessment of margins in breast carcinoma. |
| Gufler, H. [49] 2011, Germany | 15 Fixed tru-cut biopsies Breast tru-cuts (10 in situ/invasive breast carcinomas, 5 benign breast tissue) | SkyScan 1072 (Aartselaar, Belgium) | Micro-CT images are comparable to low-power HE images and the differentiation of breast tissue components via micro-CT is possible. |
| Chappard, D. [50] 2010, France | 247 Fixed tissue Transiliac bone biopsies from suspected malignancies | Skyscan 1072 (Kontich, Belgium) | Micro-CT can be used in the immediate post-biopsy period to recognize malignancy in a shorter period of time than conventional pathology. However, it should be supported with histopathological analysis. |
| Langheinrich, A.C. [51] 2008, Germany | 12 Fresh tissue Bone specimens from primary bone tumors | Skyscan 1072 (Kontich, Belgium) | Micro-CT is capable of differentiating osteosarcoma and chondrosarcoma. |
Disclaimer/Publisher’s Note: The statements, opinions and data contained in all publications are solely those of the individual author(s) and contributor(s) and not of MDPI and/or the editor(s). MDPI and/or the editor(s) disclaim responsibility for any injury to people or property resulting from any ideas, methods, instructions or products referred to in the content. |
© 2023 by the authors. Licensee MDPI, Basel, Switzerland. This article is an open access article distributed under the terms and conditions of the Creative Commons Attribution (CC BY) license (https://creativecommons.org/licenses/by/4.0/).
Share and Cite
Dizbay Sak, S.; Sevim, S.; Buyuksungur, A.; Kayı Cangır, A.; Orhan, K. The Value of Micro-CT in the Diagnosis of Lung Carcinoma: A Radio-Histopathological Perspective. Diagnostics 2023, 13, 3262. https://doi.org/10.3390/diagnostics13203262
Dizbay Sak S, Sevim S, Buyuksungur A, Kayı Cangır A, Orhan K. The Value of Micro-CT in the Diagnosis of Lung Carcinoma: A Radio-Histopathological Perspective. Diagnostics. 2023; 13(20):3262. https://doi.org/10.3390/diagnostics13203262
Chicago/Turabian StyleDizbay Sak, Serpil, Selim Sevim, Arda Buyuksungur, Ayten Kayı Cangır, and Kaan Orhan. 2023. "The Value of Micro-CT in the Diagnosis of Lung Carcinoma: A Radio-Histopathological Perspective" Diagnostics 13, no. 20: 3262. https://doi.org/10.3390/diagnostics13203262
APA StyleDizbay Sak, S., Sevim, S., Buyuksungur, A., Kayı Cangır, A., & Orhan, K. (2023). The Value of Micro-CT in the Diagnosis of Lung Carcinoma: A Radio-Histopathological Perspective. Diagnostics, 13(20), 3262. https://doi.org/10.3390/diagnostics13203262

