“The Strange Case of Dr Pump and Mr Acardiac”: The Twin Reversed Arterial Perfusion (TRAP) Sequence in Two Monochorionic Monoamniotic (MCMA) Twin Pregnancies—Diagnosis, Prognosis and Management: Review of Literature
Abstract
1. Introduction
- The most common subtype is the Acardius acephalus, in which the pelvis and lower limbs are well developed, the head and thoracic organs are missing, and poorly developed upper extremities may be present or absent.
- The Acardius anceps is the most developed subtype, since both the upper and lower extremities are present and typically well-formed, and head and face are present too, although poorly formed.
- The Acardius amorphus is the least developed subtype, a shapeless mass without differentiable organs, extremities, or anatomic structures.
- The Acardius acormus is an extremely rare subtype; here, the head is the only recognizable organ.
2. Results
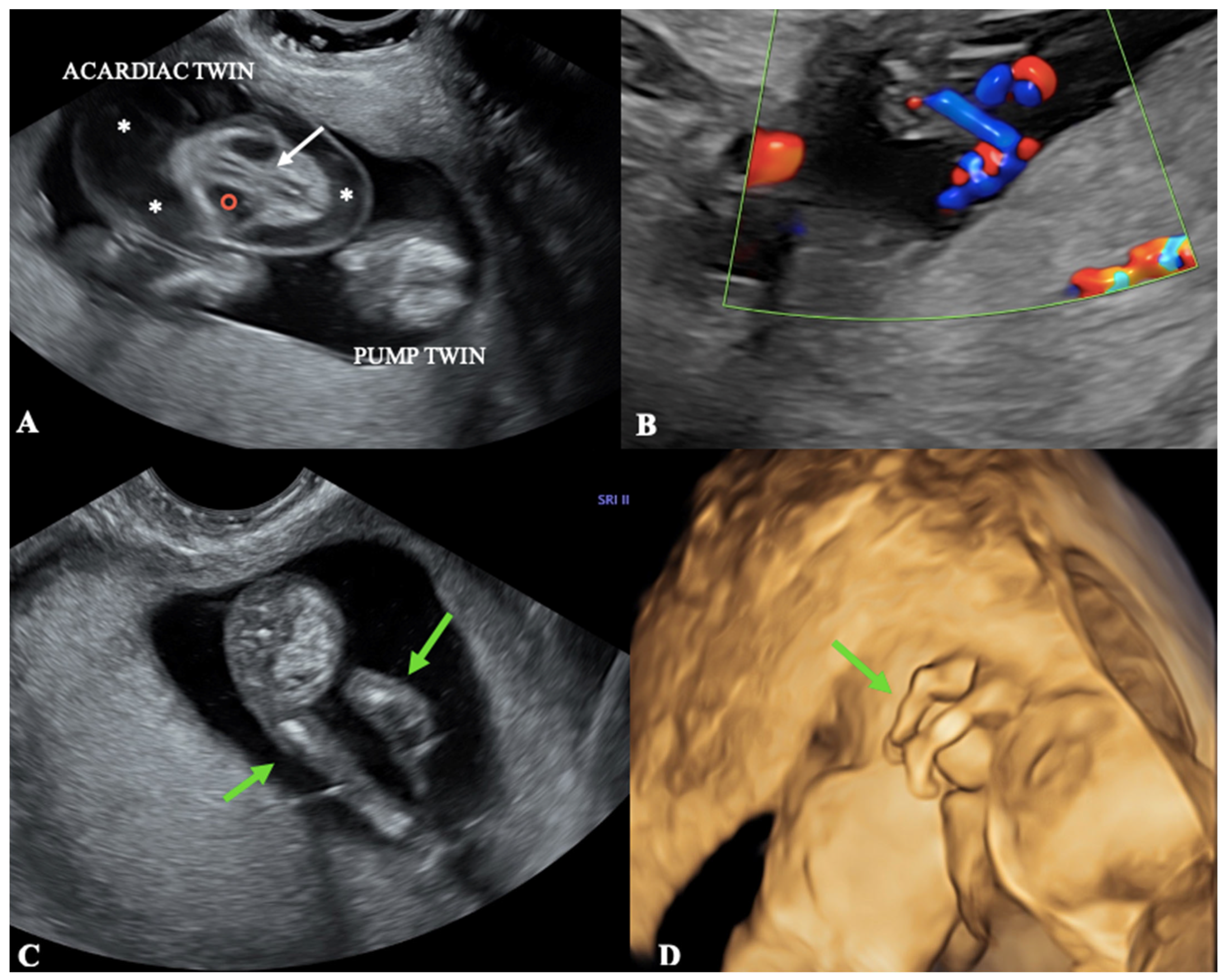
2.1. Case Report One
2.2. Case Report Two
3. Discussion
3.1. Diagnosis
3.2. Prognosis
3.2.1. Twins’ Weight Ratio
3.2.2. Twins’ Vascular Disjunction
3.2.3. Power Doppler Velocimetry Data
3.3. Management
3.3.1. Conservative Approach
3.3.2. Interventional Approach
3.3.3. Mixed Approach
4. Conclusions
Author Contributions
Funding
Institutional Review Board Statement
Informed Consent Statement
Data Availability Statement
Conflicts of Interest
References
- Kashireddy, P.; Larson, A.; Minturn, L.; Ernst, L. Case Report of Autopsy and Placental Examination After Radiofrequency Ablation of an Acardiac Twin. Lab. Med. 2015, 46, 248–253. [Google Scholar] [CrossRef] [PubMed][Green Version]
- Van Gemert, M.J.; van den Wijngaard, J.P.; Vandenbussche, F.P. Twin reversed arterial perfusion sequence is more common than generally accepted. Birth Defects Res. A Clin. Mol. Teratol. 2015, 103, 641–643. [Google Scholar] [CrossRef] [PubMed]
- Quaas, P.; Markfeld-Erol, F. ‘TRAP-ped with an Acardius’: Case Series of Twin Reversed Arterial Perfusion (TRAP) Sequence and Review of Literature. J. Fetal Med. 2021, 8, 27–33. [Google Scholar] [CrossRef]
- Scott, J.M.; Ferguson-Smith, M.A. Heterokaryotypic monozygotic twins and the acardiac monster. J. Obstet. Gynaecol. Br. Commonw. 1973, 80, 52–59. [Google Scholar] [CrossRef]
- Bieber, F.R.; Nance, W.E.; Morton, C.C.; Brown, J.A.; Redwine, F.O.; Jordan, R.L.; Mohanakumar, T. Genetic studies of an acardiac monster: Evidence of polar body twinning in man. Science 1981, 213, 775–777. [Google Scholar] [CrossRef]
- Schwarzler, P.; Ville, Y.; Moscosco, G.; Tennstedt, C.; Bollmann, R.; Chaoui, R. Diagnosis of twin reversed arterial perfusion sequence in the first trimester by transvaginal color Doppler ultrasound. Ultrasound Obstet. Gynecol. 1999, 13, 143–146. [Google Scholar] [CrossRef]
- Steffensen, T.S.; Gilbert-Barness, E.; Spellacy, W.; Quintero, R.A. Placental pathology in trap sequence: Clinical and pathogenetic implications. Fetal Pediatr. Pathol. 2008, 27, 13–29. [Google Scholar] [CrossRef]
- Napolitani, F.D.; Schreiber, I. The acardiac monster. A review of the world literature and presentation of 2 cases. Am. J. Obstet. Gynecol. 1960, 80, 582–589. [Google Scholar] [CrossRef]
- Moore, T.R.; Gale, S.; Benirschke, K. Perinatal outcome of forty-nine pregnancies complicated by acardiac twinning. Am. J. Obstet. Gynecol. 1990, 163, 907–912. [Google Scholar] [CrossRef]
- Giorgione, V.; Cavoretto, P.; Cormio, G.; Valsecchi, L.; Vimercati, A.; De Gennaro, A.; Rabaiotti, E.; Candiani, M.; Mangili, G. Prenatal Diagnosis of Twin Pregnancies with Complete Hydatidiform Mole and Coexistent Normal Fetus: A Series of 13 Cases. Gynecol. Obstet. Investig. 2017, 82, 404–409. [Google Scholar] [CrossRef] [PubMed]
- Virgintino, D.; Maiorano, E.; Errede, M.; Vimercati, A.; Greco, P.; Selvaggi, L.; Roncali, L.; Bertossi, M. Astroglia-microvessel relationship in the developing human telencephalon. Int. J. Dev. Biol. 1998, 42, 1165–1168. [Google Scholar]
- Floridia, M.; Mastroiacovo, P.; Tamburrini, E.; Tibaldi, C.; Todros, T.; Crepaldi, A.; Sansone, M.; Fiscon, M.; Liuzzi, G.; Guerra, B.; et al. Birth defects in a national cohort of pregnant women with HIV infection in Italy, 2001–2011. BJOG Int. J. Obstet. Gynaecol. 2013, 120, 1466–1475. [Google Scholar] [CrossRef] [PubMed]
- Sebire, N.; Sepulveda, W.; Jeanty, P.; Nyberg, D.; Nicolaides, K. Multiple Gestations; Lippincott, Williams & Wilkins: Ambler, PA, USA, 2003. [Google Scholar]
- Ishimatsu, J.; Nakanami, H.; Hamada, T.; Yakushiji, M. Color and pulsed Doppler ultrasonography of reversed umbilical blood flow in an acardiac twin. Asia Ocean. J. Obstet. Gynaecol. 1993, 19, 271–275. [Google Scholar] [CrossRef]
- Wong, A.E.; Sepulveda, W. Acardiac anomaly: Current issues in prenatal assessment and treatment. Prenat. Diagn. 2005, 25, 796–806. [Google Scholar] [CrossRef] [PubMed]
- Sommerfeldt, J.C.; Putnins, R.E.; Fung, K.F.; Grynspan, D.; Koujok, K. AIRP best cases in radiologic-pathologic correlation: Twin reversed arterial perfusion sequence. Radiographics 2014, 34, 1385–1390. [Google Scholar] [CrossRef] [PubMed]
- Yapicioglu-Yildizdas, H.; Ece, U.; Sucu, M.; Yurdakul, G.; Simsek, H.; Ozlu, F. Twin reversed arterial perfusion syndrome in a monochorionic monoamniotic twin pregnancy. Turk. J. Pediatr. 2017, 59, 724–727. [Google Scholar] [CrossRef]
- Dhanju, G.; Breddam, A. Twin reversed arterial perfusion (TRAP) sequence: A case report and a brief literature review. Radiol. Case Rep. 2022, 17, 1682–1691. [Google Scholar] [CrossRef]
- Anh, N.D.; Thu Ha, N.T.; Sim, N.T.; Toan, N.K.; Thuong, P.H.; Duc, N.M. Twin reversed arterial perfusion sequence-a rare and dangerous complication form of monochorionic twins: A case report. World J. Clin. Cases 2022, 10, 10214–10219. [Google Scholar] [CrossRef]
- Chan, K.S.; Chuang, Y.C.; Lin, T.Y.; Shaw, S.W. A Taiwan’s experience: A case report and review of literature of successful early intrauterine treatment with radiofrequency ablation in twin reversed arterial perfusion (TRAP) sequence. J. Formos. Med. Assoc. 2021, 120, 1394–1399. [Google Scholar] [CrossRef] [PubMed]
- Mărginean, C.; Mărginean, M.O.; Mureşan, D.; Zahiu, L.; Horváth, E. The TRAP (twin reversed arterial perfusion) sequence—Case presentation. Rom. J. Morphol. Embryol. 2016, 57, 259–265. [Google Scholar] [PubMed]
- Ziki, E.M.; Chirenje, Z.M.; Madziyire, M.G. A case of twin reversed arterial perfusion (TRAP) sequence managed conservatively. Pan Afr. Med. J. 2019, 32, 54. [Google Scholar] [CrossRef] [PubMed]
- Malutan, A.M.; Dudea, M.; Albu, C.; Ciortea, R.; Diculescu, D.; Mocan-Hognogi, R.; Bucuri, C.; Rada, M.; Mihu, D. Monochorionic-diamniotic twin pregnancy complicated by twin reversed arterial perfusion sequence and retroplacental hematoma—A case report. Med. Ultrason. 2018, 20, 396–398. [Google Scholar] [CrossRef]
- Aggarwal, N.; Suri, V.; Saxena, S.; Malhotra, S.; Vasishta, K.; Saxena, A.K. Acardiac acephalus twins: A case report and review of literature. Acta Obstet. Gynecol. Scand. 2002, 81, 983–984. [Google Scholar] [CrossRef]
- Yi, J.; Wu, X. Twin reversed arterial perfusion sequence: A case report. Int. J. Gynaecol. Obstet. 2021, 152, 450–451. [Google Scholar] [CrossRef]
- Khanduri, S.; Chhabra, S.; Raja, A.; Bhagat, S. Twin reversed arterial perfusion sequence: A rare entity. J. Clin. Imaging Sci. 2015, 5, 9. [Google Scholar] [CrossRef]
- Hans, P. Twin Reversed Arterial Perfusion. Cureus 2022, 14, e31116. [Google Scholar] [CrossRef] [PubMed]
- Dubey, S.; Verma, M.; Goel, P.; Punia, R. Twin Reversed Arterial Perfusion: To Treat or Not? J. Clin. Diagn. Res. 2017, 11, Qd05–Qd07. [Google Scholar] [CrossRef] [PubMed]
- Nanthakomon, T.; Chanthasenanont, A.; Somprasit, C.; Manusook, S.; Pongrojpaw, D.; Suwannarurk, K. Twin Reversed Arterial Perfusion (TRAP) Sequence: A Case Report and Review of Treatment. J. Med. Assoc. Thai. 2015, 98 (Suppl. S3), S132–S140. [Google Scholar]
- Stiller, R.J.; Romero, R.; Pace, S.; Hobbins, J.C. Prenatal identification of twin reversed arterial perfusion syndrome in the first trimester. Am. J. Obstet. Gynecol. 1989, 160, 1194–1196. [Google Scholar] [CrossRef]
- Baron, M.; Verspyck, E.; Diguet, A.; Eurin, D.; Marpeau, L. Sonographic findings of acardiac twin in the first trimester of pregnancy. J. Gynecol. Obstet. Biol. Reprod. 2000, 29, 684–686. [Google Scholar]
- Lewi, L.; Valencia, C.; Gonzalez, E.; Deprest, J.; Nicolaides, K.H. The outcome of twin reversed arterial perfusion sequence diagnosed in the first trimester. Am. J. Obstet. Gynecol. 2010, 203, 213.e1–213.e4. [Google Scholar] [CrossRef]
- Aoyagi, Y.; Kai, K.; Sumie, M.; Fujiyoshi, N.; Furukawa, Y.; Narahara, H. Therapeutic dilemma in twin reversed arterial perfusion sequence. SAGE Open Med. Case Rep. 2019, 7. [Google Scholar] [CrossRef]
- Guimaraes, C.V.; Kline-Fath, B.M.; Linam, L.E.; Garcia, M.A.; Rubio, E.I.; Lim, F.Y. MRI findings in multifetal pregnancies complicated by twin reversed arterial perfusion sequence (TRAP). Pediatr. Radiol. 2011, 41, 694–701. [Google Scholar] [CrossRef] [PubMed]
- Vimercati, A.; Greco, P.; Vera, L.; Resta, M.; Selvaggi, L. The diagnostic role of “in utero” magnetic resonance imaging. J. Perinat. Med. 1999, 27, 303–308. [Google Scholar] [CrossRef] [PubMed]
- Resta, M.; Greco, P.; D’Addario, V.; Florio, C.; Dardes, N.; Caruso, G.; Spagnolo, P.; Clemente, R.; Vimercati, A.; Selvaggi, L. Magnetic resonance imaging in pregnancy: Study of fetal cerebral malformations. Ultrasound Obstet. Gynecol. 1994, 4, 7–20. [Google Scholar] [CrossRef]
- Scardapane, A.; Lorusso, F.; Bettocchi, S.; Moschetta, M.; Fiume, M.; Vimercati, A.; Pepe, M.L.; Angelelli, G.; Stabile Ianora, A.A. Deep pelvic endometriosis: Accuracy of pelvic MRI completed by MR colonography. Radiol. Med. 2013, 118, 323–338. [Google Scholar] [CrossRef] [PubMed]
- Bonilla-Musoles, F.; Machado, L.E.; Raga, F.; Osborne, N.G. Fetus acardius: Two- and three-dimensional ultrasonographic diagnoses. J. Ultrasound Med. 2001, 20, 1117–1127. [Google Scholar] [CrossRef]
- Shettikeri, A.; Acharya, V.; Sahana, R.; Radhakrishnan, P. Outcome of Pregnancies Diagnosed with TRAP Sequence Prenatally: A Single-Centre Experience. Fetal Diagn. Ther. 2019, 47, 301–306. [Google Scholar] [CrossRef]
- Buyukkaya, A.; Tekbas, G.; Buyukkaya, R. Twin Reversed Arterial Perfusion (TRAP) Sequence; Characteristic Gray-Scale and Doppler Ultrasonography Findings. Iran. J. Radiol. 2015, 12, e14979. [Google Scholar] [CrossRef]
- Van Allen, M.I.; Smith, D.W.; Shepard, T.H. Twin reversed arterial perfusion (TRAP) sequence: A study of 14 twin pregnancies with acardius. Semin. Perinatol. 1983, 7, 285–293. [Google Scholar]
- Mann, S.; Chauhan, M.; Malik, R.; Nanda, S.; Malhotra, V. Acardiac Monster at Term—A Rare Entity. J. Gynecol. Surg. 2010, 26, 275–276. [Google Scholar] [CrossRef]
- Tsao, K.; Feldstein, V.A.; Albanese, C.T.; Sandberg, P.L.; Lee, H.; Harrison, M.R.; Farmer, D.L. Selective reduction of acardiac twin by radiofrequency ablation. Am. J. Obstet. Gynecol. 2002, 187, 635–640. [Google Scholar] [CrossRef]
- Sullivan, A.E.; Varner, M.W.; Ball, R.H.; Jackson, M.; Silver, R.M. The management of acardiac twins: A conservative approach. Am. J. Obstet. Gynecol. 2003, 189, 1310–1313. [Google Scholar] [CrossRef]
- Jelin, E.; Hirose, S.; Rand, L.; Curran, P.; Feldstein, V.; Guevara-Gallardo, S.; Jelin, A.; Gonzales, K.; Goldstein, R.; Lee, H. Perinatal outcome of conservative management versus fetal intervention for twin reversed arterial perfusion sequence with a small acardiac twin. Fetal Diagn. Ther. 2010, 27, 138–141. [Google Scholar] [CrossRef]
- Mann, S.; Johnson, M.P.; Rosner, M.; Wilson, R.D.; Bebbington, M. 503: Prognostic indicators in twin reversed arterial perfusion sequence: Does size matter? Am. J. Obstet. Gynecol. 2007, 197, S147. [Google Scholar] [CrossRef]
- Sepúlveda, W.H.; Quiroz, V.H.; Giuliano, A.; Henríquez, R. Prenatal ultrasonographic diagnosis of acardiac twin. J. Perinat. Med. 1993, 21, 241–246. [Google Scholar] [CrossRef] [PubMed]
- Roethlisberger, M.; Strizek, B.; Gottschalk, I.; Mallmann, M.R.; Geipel, A.; Gembruch, U.; Berg, C. First-trimester intervention in twin reversed arterial perfusion sequence: Does size matter? Ultrasound Obstet. Gynecol. 2017, 50, 40–44. [Google Scholar] [CrossRef]
- Tang, Y.; Zeng, Y.; Yang, T.; Yang, P.; Bao, S.; He, M.; Ying, J. Ultrasound assessment of twin reversed arterial perfusion sequence for the prediction of adverse pregnancy outcomes in the first trimester. J. Evid.-Based Med. 2022, 15, 230–235. [Google Scholar] [CrossRef] [PubMed]
- Sepulveda, W.; Sebire, N.J. Acardiac twin: Too many invasive treatment options—The problem and not the solution. Ultrasound Obstet. Gynecol. 2004, 24, 387–389. [Google Scholar] [CrossRef]
- Chen, C.Y. Clinical value of difference in umbilical artery blood flow resistive index between pump and acardiac twins in predicting outcome of pump twin by twin reversed-arterial perfusion sequence. BME Clin. Med. 2016, 20, 149–153. [Google Scholar]
- Peyvandi, S.; Feldstein, V.A.; Hirose, S.; Rand, L.; Brook, M.M.; Moon-Grady, A.J. Twin-reversed arterial perfusion sequence associated with decreased fetal cerebral vascular impedance. Ultrasound Obstet. Gynecol. 2015, 45, 447–451. [Google Scholar] [CrossRef] [PubMed]
- Rehder, H.; Schoner, K.; Kluge, B.; Louwen, F.; Schwinger, E.; Neesen, J. Klinefelter twins presenting with discordant aneuploidies, acardia, forked umbilical cord and with different gonadal sex despite monozygosity. Prenat. Diagn. 2012, 32, 173–179. [Google Scholar] [CrossRef]
- Buntinx, I.M.; Bourgeois, N.; Buytaert, P.M.; Dumon, J.E. Acardiac amorphous twin with prune belly sequence in the co-twin. Am. J. Med. Genet. 1991, 39, 453–457. [Google Scholar] [CrossRef]
- Blaicher, W.; Repa, C.; Schaller, A. Acardiac twin pregnancy: Associated with trisomy 2: Case report. Hum. Reprod. 2000, 15, 474–475. [Google Scholar] [CrossRef][Green Version]
- Heyborne, K.D.; Porreco, R.P.; Garite, T.J.; Phair, K.; Abril, D.; Obstetrix/Pediatrix Research Study Group. Improved perinatal survival of monoamniotic twins with intensive inpatient monitoring. Am. J. Obstet. Gynecol. 2005, 192, 96–101. [Google Scholar] [CrossRef]
- Quaresima, P.; Fesslova, V.; Farina, A.; Kagan, K.O.; Candiani, M.; Morelli, M.; Crispi, F.; Cavoretto, P.I. How to do a fetal cardiac scan. Arch. Gynecol. Obstet. 2023, 307, 1269–1276. [Google Scholar] [CrossRef]
- Fisher, K.E.; Welsh, A.W.; Henry, A. Uncommon complications of monochorionic twin pregnancies: Twin reversed arterial perfusion sequence. Australas. J. Ultrasound Med. 2016, 19, 133–141. [Google Scholar] [CrossRef]
- Brock, C.O.; Johnson, A. Twin reverse arterial perfusion: Timing of intervention. Best Pract. Res. Clin. Obstet. Gynaecol. 2022, 84, 127–142. [Google Scholar] [CrossRef]
- Berg, C.; Holst, D.; Mallmann, M.R.; Gottschalk, I.; Gembruch, U.; Geipel, A. Early vs late intervention in twin reversed arterial perfusion sequence. Ultrasound Obstet. Gynecol. 2014, 43, 60–64. [Google Scholar] [CrossRef] [PubMed]
- Tavares de Sousa, M.; Glosemeyer, P.; Diemert, A.; Bamberg, C.; Hecher, K. First-trimester intervention in twin reversed arterial perfusion sequence. Ultrasound Obstet. Gynecol. 2020, 55, 47–49. [Google Scholar] [CrossRef]
- Sugibayashi, R.; Ozawa, K.; Sumie, M.; Wada, S.; Ito, Y.; Sago, H. Forty cases of twin reversed arterial perfusion sequence treated with radio frequency ablation using the multistep coagulation method: A single-center experience. Prenat. Diagn. 2016, 36, 437–443. [Google Scholar] [CrossRef]
- Quintero, R.A.; Chmait, R.H.; Murakoshi, T.; Pankrac, Z.; Swiatkowska, M.; Bornick, P.W.; Allen, M.H. Surgical management of twin reversed arterial perfusion sequence. Am. J. Obstet. Gynecol. 2006, 194, 982–991. [Google Scholar] [CrossRef]
- Valsky, D.V.; Martinez-Serrano, M.-J.; Sanz, M.; Eixarch, E.; Acosta, E.-R.; Martinez, J.-M.; Puerto, B.; Gratacós, E. Cord occlusion followed by laser cord transection in monochorionic monoamniotic discordant twins. Ultrasound Obstet. Gynecol. 2011, 37, 684–688. [Google Scholar] [CrossRef] [PubMed]
- Takano, M.; Murata, S.; Fujiwara, M.; Hirata, H.; Nakata, M. Experience of fetoscopic laser photocoagulation and cord transection for twin-reversed arterial perfusion sequence. J. Obstet. Gynaecol. Res. 2015, 41, 1326–1329. [Google Scholar] [CrossRef] [PubMed]
- Weisz, B.; Peltz, R.; Chayen, B.; Oren, M.; Zalel, Y.; Achiron, R.; Lipitz, S. Tailored management of twin reversed arterial perfusion (TRAP) sequence. Ultrasound Obstet. Gynecol. 2004, 23, 451–455. [Google Scholar] [CrossRef] [PubMed]
- Malone, F.D.; D’Alton, M.E. Anomalies peculiar to multiple gestations. Clin. Perinatol. 2000, 27, 1033–1046. [Google Scholar] [CrossRef]
- Quintero, R.A.; Romero, R.; Reich, H.; Gonçalves, L.; Johnson, M.P.; Carreño, C.; Evans, M.I. In utero percutaneous umbilical cord ligation in the management of complicated monochorionic multiple gestations. Ultrasound Obstet. Gynecol. 1996, 8, 16–22. [Google Scholar] [CrossRef]
- Livingston, J.C.; Lim, F.Y.; Polzin, W.; Mason, J.; Crombleholme, T.M. Intrafetal radiofrequency ablation for twin reversed arterial perfusion (TRAP): A single-center experience. Am. J. Obstet. Gynecol. 2007, 197, 399.e1–399.e3. [Google Scholar] [CrossRef] [PubMed]
- Scheier, M.; Molina, F.S. Outcome of twin reversed arterial perfusion sequence following treatment with interstitial laser: A retrospective study. Fetal Diagn. Ther. 2012, 31, 35–41. [Google Scholar] [CrossRef]
- Pagani, G.; D’Antonio, F.; Khalil, A.; Papageorghiou, A.; Bhide, A.; Thilaganathan, B. Intrafetal laser treatment for twin reversed arterial perfusion sequence: Cohort study and meta-analysis. Ultrasound Obstet. Gynecol. 2013, 42, 6–14. [Google Scholar] [CrossRef]
- Lee, H.; Bebbington, M.; Crombleholme, T.M. The North American Fetal Therapy Network Registry data on outcomes of radiofrequency ablation for twin-reversed arterial perfusion sequence. Fetal Diagn. Ther. 2013, 33, 224–229. [Google Scholar] [CrossRef] [PubMed]
- Weber, E.C.; Recker, F.; Gottschalk, I.; Strizek, B.; Geipel, A.; Gembruch, U.; Berg, C. Outcome of Monochorionic Monoamniotic Twin Reversed Arterial Perfusion Sequence Diagnosed in the First Trimester. Fetal Diagn. Ther. 2021, 48, 778–784. [Google Scholar] [CrossRef] [PubMed]





| First Author, Year | Study Type | No of Treated Cases | GA at Diagnosis (Weeks) | Management (GA at Int, Weeks) | Outcome |
|---|---|---|---|---|---|
| Moore et al., 1990 [9] | Retrospective | 49 | ND | Con | 24 Good, 20 IUFD, 5 PD |
| Quintero et al., 1996 [68] | Prospective | 10 | ND | Int (mean 21, range 16–25) | 5 Good, 4 IUFD, 1 PD |
| Sullivan et al., 2003 [44] | Prospective | 10 | Mean 20.3 (range 19–24) | Con | 9 Good, 1 IUFD |
| Weisz, 2004 [66] | Retrospective | 6 | >14.0 (range 14–23) | Mixed (3 Int, ND) | 5 Good, 1 IUFD |
| Quintero et al., 2006 [63] | Prospective | 65 | ND | 14 Con | 6 Good, 8 IUFD |
| 51 Int (mean ± SD, 21.2 ± 2.5) | 33 Good, 18 IUFD | ||||
| Livingston et al., 2007 [69] | Prospective | 17 | ND | Int (mean 21, range 17–24) | 12 Good, 1 UFD, 4 ND |
| Lewi et al., 2010 [32] | Retrospective | 24 | Range 11.0–13.6 | Mixed (10 Int, range 16–18) | 11 Good, 12 IUFD, 1 TOP |
| Jelin et al., 2010 [45] | Retrospective | 18 | ND (only abstract available) | 11 Con | 10 Good, 1 IUFD |
| 7 Int (ND) | 7 Good | ||||
| Scheier et al., 2012 [70] | Retrospective | 9 | Range 12.0–20.3 | Int (median 16.2, range 13.1–20.3) | 7 Good, 2 IUFD |
| Pagani et al., 2013 [71] | Retrospective | 23 | Median 13.3 (IQR 12.1–19.4) | 6 Con | 6 IUFD |
| 17 Int (median 18.4, IQR 15.1–21.5) | 14 Good, 3 IUFD | ||||
| Lee et al., 2013 [72] | Retrospective | 98 | Mean ± SD, 17.9 ± 3.2 | Int (mean ± SD, 20.2 ± 2.4) | 78 Good, 20 IUFD |
| Berg et al., 2014 [60] | Retrospective | Group A, 23 | Mean ± SD, 19.9 ± 6.3 | 16 Con | 13 Good, 3 IUFD |
| 7 Int (mean ± SD, 23.0 ± 5.0) | 6 Good, 1 IUFD | ||||
| Group B, 17 | Mean ± SD, 16.4 ± 4.7 | 6 Con | 5 Good, 1 IUFD | ||
| 11 Int (mean ± SD, 23.5 ± 2.6) | 8 Good, 3 IUFD | ||||
| Takano, 2015 [65] | Retrospective | 10 | ND | Int (median 21.3, range 16.7–27.3) | 9 Good, 1 IUFD |
| Fisher et al., 2016 [58] | Retrospective | 15 | Mean ± SD, 18.5 ± 3.9 | 8 Con | 8 Good |
| 7 Int (mean ± SD, 23.5 ± 2.6) | 6 Good, 1 IUFD | ||||
| Sugibayashi et al., 2016 [62] | Retrospective | 40 | Mean ± SD, 18.7 ± 3.2 | Int (mean ± SD, 20.8 ± 2.2) | 34 Good, 5 IUFD, 1 PD |
| Roethlisberger et al., 2017 [48] | Retrospective | 12 | Median 12.8 (IQR 12.1–13.3) | Int (Median 13.2, IQR 12.6–13.6) | 7 Good, 5 IUFD |
| Tavares de Sousa et al., 2020 [61] | Retrospective | 12 | <14.0 | Int (Median 13.5, IQR 13.4–14.0) | 11 Good, 1 IUFD |
| Weber et al., 2021 [73] | Retrospective | 15 | <14.0 | 8 Con | 8 IUFD |
| 7 Int (ND, only abstract available) | 4 Good, 7 IUFD | ||||
| Tang et al., 2022 [49] | Prospective | 21 | Mean ± SD, 13.1 ± 0.18 | Mixed (6 Int, ND) | 14 Good, 7 IUFD |
Disclaimer/Publisher’s Note: The statements, opinions and data contained in all publications are solely those of the individual author(s) and contributor(s) and not of MDPI and/or the editor(s). MDPI and/or the editor(s) disclaim responsibility for any injury to people or property resulting from any ideas, methods, instructions or products referred to in the content. |
© 2023 by the authors. Licensee MDPI, Basel, Switzerland. This article is an open access article distributed under the terms and conditions of the Creative Commons Attribution (CC BY) license (https://creativecommons.org/licenses/by/4.0/).
Share and Cite
Nicolì, P.; Damiani, G.R.; Gaetani, M.; Dellino, M.; Vitagliano, A.; Malvasi, A.; Cazzato, G.; Cascardi, E.; Marzullo, A.; Alfonso, R.; et al. “The Strange Case of Dr Pump and Mr Acardiac”: The Twin Reversed Arterial Perfusion (TRAP) Sequence in Two Monochorionic Monoamniotic (MCMA) Twin Pregnancies—Diagnosis, Prognosis and Management: Review of Literature. Diagnostics 2023, 13, 3109. https://doi.org/10.3390/diagnostics13193109
Nicolì P, Damiani GR, Gaetani M, Dellino M, Vitagliano A, Malvasi A, Cazzato G, Cascardi E, Marzullo A, Alfonso R, et al. “The Strange Case of Dr Pump and Mr Acardiac”: The Twin Reversed Arterial Perfusion (TRAP) Sequence in Two Monochorionic Monoamniotic (MCMA) Twin Pregnancies—Diagnosis, Prognosis and Management: Review of Literature. Diagnostics. 2023; 13(19):3109. https://doi.org/10.3390/diagnostics13193109
Chicago/Turabian StyleNicolì, Pierpaolo, Gianluca Raffaello Damiani, Maria Gaetani, Miriam Dellino, Amerigo Vitagliano, Antonio Malvasi, Gerardo Cazzato, Eliano Cascardi, Andrea Marzullo, Raffaello Alfonso, and et al. 2023. "“The Strange Case of Dr Pump and Mr Acardiac”: The Twin Reversed Arterial Perfusion (TRAP) Sequence in Two Monochorionic Monoamniotic (MCMA) Twin Pregnancies—Diagnosis, Prognosis and Management: Review of Literature" Diagnostics 13, no. 19: 3109. https://doi.org/10.3390/diagnostics13193109
APA StyleNicolì, P., Damiani, G. R., Gaetani, M., Dellino, M., Vitagliano, A., Malvasi, A., Cazzato, G., Cascardi, E., Marzullo, A., Alfonso, R., Cicinelli, E., & Vimercati, A. (2023). “The Strange Case of Dr Pump and Mr Acardiac”: The Twin Reversed Arterial Perfusion (TRAP) Sequence in Two Monochorionic Monoamniotic (MCMA) Twin Pregnancies—Diagnosis, Prognosis and Management: Review of Literature. Diagnostics, 13(19), 3109. https://doi.org/10.3390/diagnostics13193109

