Biology and Management of High-Grade Myxofibrosarcoma: State of the Art and Future Perspectives
Abstract
:1. Introduction
2. Clinical Characteristics
3. Imaging Features
3.1. Ultrasonography
3.2. MRI
3.3. F-FDG PET/CT
4. Pathogenesis
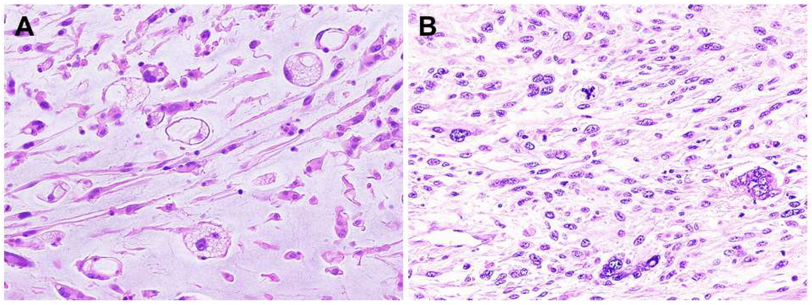
5. Histopathology
6. Management
6.1. Localized Disease
6.2. Advanced Disease
6.2.1. Anthracycline-Based Therapy
6.2.2. Gemcitabine-Based Therapy
6.2.3. Trabectedin
6.2.4. Eribulin
6.2.5. Pazopanib
6.2.6. Immunotherapy
6.2.7. Alternative Strategies
7. Conclusions
Author Contributions
Funding
Institutional Review Board Statement
Informed Consent Statement
Data Availability Statement
Acknowledgments
Conflicts of Interest
References
- Nishio, J.; Iwasaki, H.; Nabeshima, K.; Naito, M. Cytogenetics and molecular genetics of myxoid soft-tissue sarcomas. Genet. Res. Int. 2011, 2011, 497148. [Google Scholar] [CrossRef]
- Huang, H.Y.; Mentzel, T.D.W.; Shibata, T. Myxofibrosarcoma. In World Health Organization (WHO) Classification of Soft Tissue and Bone Tumours, 5th ed.; International Agency for Research on Cancer (IARC): Lyon, France, 2020; pp. 124–126. [Google Scholar]
- Stiller, C.A.; Trama, A.; Serraino, D.; Rossi, S.; Navarro, C.; Chirlaque, M.D.; Casali, P.G.; RARECARE Working Group. Descriptive epidemiology of sarcomas in Europe: Report from RARECARE project. Eur. J. Cancer 2013, 49, 684–695. [Google Scholar] [CrossRef] [PubMed]
- Gilg, M.M.; Sunitsch, S.; Leitner, L.; Bergovec, M.; Szkandera, J.; Leithner, A.; Liegl-Atzwanger, B. Tumor-associated and prognostic factors in myxofibrosarcoma-A retrospective review of 109 patients. Orthop. Traumatol. Surg. Res. 2020, 106, 1059–1063. [Google Scholar] [CrossRef]
- Radaelli, S.; Pasquali, S.; Colombo, C.; Callegaro, D.; Sanfilippo, R.; Stacchiotti, S.; Provenzano, S.; Sangalli, C.; Morosi, C.; Barisella, M.; et al. Treatment strategies and outcome of primary myxofibrosarcomas in a large patients cohort. Eur. J. Surg. Oncol. 2022, 48, 1723–1729. [Google Scholar] [CrossRef]
- Ghazala, C.G.; Agni, N.R.; Ragbir, M.; Dildey, P.; Lee, D.; Rankin, K.S.; Beckingsale, T.B.; Gerrand, C.H. Myxofibrosarcoma of the extremity and trunk. Bone Joint J. 2016, 98, 1682–1688. [Google Scholar] [CrossRef] [PubMed]
- Berner, J.E.; Crowley, T.P.; Teelucksingh, S.; Lee, D.; Ghosh, K.M.; Beckingsale, T.B.; Rankin, K.S.; Ragbir, M. The importance of clear margins in myxofibrosarcoma: Improving local control by means of staged resection and reconstruction. Eur. J. Surg. Oncol. 2021, 47, 2627–2632. [Google Scholar] [CrossRef]
- Yoshimoto, M.; Yamada, Y.; Ishihara, S.; Kohashi, K.; Toda, Y.; Ito, Y.; Yamamoto, H.; Furue, M.; Nakashima, Y.; Oda, Y. Comparative study of myxofibrosarcoma with undifferentiated pleomorphic sarcoma: Histopathologic and clinicopathologic review. Am. J. Surg. Pathol. 2020, 44, 87–97. [Google Scholar] [CrossRef] [PubMed]
- Weiss, S.W.; Enzinger, F.M. Myxoid variant of malignant fibrous histiocytoma. Cancer 1977, 39, 1672–1685. [Google Scholar] [CrossRef]
- Ferguson, P.C.; Deshmukh, N.; Abudu, A.; Carter, S.R.; Tillman, R.M.; Grimer, R.J. Change in histological grade in locally recurrent soft tissue sarcomas. Eur. J. Cancer 2004, 40, 2237–2242. [Google Scholar] [CrossRef]
- Willems, S.M.; Debiec-Rychter, M.; Szuhai, K.; Hogendoorn, P.C.W.; Sciot, R. Local recurrence of myxofibrosarcoma is associated with increase in tumor grade and cytogenetic aberrations, suggesting a multistep tumour progression model. Mod. Pathol. 2006, 19, 407–416. [Google Scholar] [CrossRef]
- Waters, B.; Panicek, D.M.; Lefkowitz, R.A.; Antonescu, C.R.; Healey, J.; Athanasian, E.A.; Brennan, M. Low-Grade Myxofibrosarcoma: CT and MRI Patterns in Recurrent Disease. Am. J. Roentgenol. 2007, 188, 193–198. [Google Scholar] [CrossRef] [PubMed]
- Mentzel, T.; Calonje, E.; Wadden, C.; Camplejohn, R.S.; Beham, A.; Smith, M.A.; Fletcher, C.D. Myxofibrosarcoma. Clinicopathologic analysis of 75 cases with emphasis on the low-grade variant. Am. J. Surg. Pathol. 1996, 20, 391–405. [Google Scholar] [CrossRef]
- Look Hong, N.J.; Hornicek, F.J.; Raskin, K.A.; Yoon, S.S.; Szymonifka, J.; Yeap, B.; Chen, Y.L.; DeLaney, T.F.; Nielsen, G.P.; Mullen, J.T. Prognostic factors and outcomes of patients with myxofibrosarcoma. Ann. Surg. Oncol. 2013, 20, 80–86. [Google Scholar] [CrossRef] [PubMed]
- Tsuchie, H.; Kaya, M.; Nagasawa, H.; Emori, M.; Murahashi, Y.; Mizushima, E.; Miyakoshi, N.; Yamashita, T.; Shimada, Y. Distant metastasis in patients with myxofibrosarcoma. Ups. J. Med. Sci. 2017, 122, 190–193. [Google Scholar] [CrossRef] [PubMed]
- Mühlhofer, H.M.L.; Lenze, U.; Gersing, A.; Lallinger, V.; Burgkart, R.; Obermeier, A.; von Eisenhart-Rothe, R.; Knebel, C. Prognostic Factors and Outcomes for patients with myxofibrosarcoma: A 13-year retrospective evaluation. Anticancer Res. 2019, 39, 2985–2992. [Google Scholar] [CrossRef]
- Van der Horst, C.A.; Bongers, S.L.; Versleijen-Jonkers, Y.M.; Ho, V.K.; Braam, P.M.; Flucke, U.E.; de Wilt, J.H.; Desar, I.M. Overall survival of patients with myxofibrosarcomas: An epidemiological study. Cancers 2022, 14, 1102. [Google Scholar] [CrossRef]
- Dewan, V.; Darbyshire, A.; Sumathi, V.; Jeys, L.; Grimer, R. Prognostic and survival factors in myxofibrosarcomas. Sarcoma 2012, 2012, 830879. [Google Scholar] [CrossRef]
- Sambri, A.; Zucchini, R.; Giannini, C.; Cevolani, L.; Fiore, M.; Spinnato, P.; Bianchi, G.; Donati, D.M.; de Paolis, M. Systemic inflammation is associated with oncological outcome in patients with high-grade myxofibrosarcoma of the extremities: A retrospective analysis. Oncol. Res. Treat. 2020, 43, 531–538. [Google Scholar] [CrossRef]
- Morag, Y.; Lucas, D.R. Ultrasound of myxofibrosarcoma. Skelet. Radiol. 2022, 51, 691–700. [Google Scholar] [CrossRef]
- Lefkowitz, R.A.; Landa, J.; Hwang, S.; Zabor, E.C.; Moskowitz, C.S.; Agaram, N.P.; Panicek, D.M. Myxofibrosarcoma: Prevalence and diagnostic value of the “tail sign” on magnetic resonance imaging. Skelet. Radiol. 2013, 42, 809–818. [Google Scholar] [CrossRef]
- Yoo, H.J.; Hong, S.H.; Kang, Y.; Choi, J.-Y.; Moon, K.C.; Kim, H.-S.; Han, I.; Yi, M.; Kang, H.S. MR imaging of myxofibrosarcoma and undifferentiated sarcoma with emphasis on tail sign; diagnostic and prognostic value. Eur. Radiol. 2014, 24, 1749–1757. [Google Scholar] [CrossRef]
- Kikuta, K.; Kubota, D.; Yoshida, A.; Morioka, H.; Toyama, Y.; Chuuman, H.; Kawai, A. An analysis of factors related to the tail-like pattern of myxofibrosarcoma seen on MRI. Skelet. Radiol. 2015, 44, 55–62. [Google Scholar] [CrossRef]
- Morii, T.; Tajima, T.; Honya, K.; Aoyagi, T.; Ichimura, S. Clinical significance of the tail-like pattern in soft-tissue sarcomas on magnetic resonance imaging. J. Orthop. Sci. 2018, 23, 1032–1037. [Google Scholar] [CrossRef]
- Manoso, M.W.; Pratt, J.; Healey, J.; Boland, P.J.; Athanasian, A.E. Infiltrative MRI pattern and incomplete initial surgery compromise local control of myxofibrosarcoma. Clin. Orthop. Relat. Res. 2006, 450, 89–94. [Google Scholar] [CrossRef] [PubMed]
- Spinnato, P.; Clinca, R.; Vara, G.; Cesari, M.; Ponti, F.; Facchini, G.; Longhi, A.; Donati, D.M.; Bianchi, G.; Sambri, A. MRI features as prognostic factors in myxofibrosarcoma: Proposal of MRI grading system. Acad. Radiol. 2021, 28, 1524–1529. [Google Scholar] [CrossRef]
- Van Ravensteijn, S.G.; Nederkoorn, M.J.L.; Wal, T.C.P.; Versleijen-Jonkers, Y.M.H.; Braam, P.M.; Flucke, U.E.; Bonenkamp, J.J.; Schreuder, B.H.W.; van Herpen, C.M.L.; de Wilt, J.H.W.; et al. The prognostic relevance of MRI characteristics in myxofibrosarcoma patients treated with neoadjuvant radiotherapy. Cancers 2023, 15, 2843. [Google Scholar] [CrossRef] [PubMed]
- Mühlhofer, H.; Gersing, A.; Pfeiffer, D.; WÖrtler, K.; Lenze, U.; Lenze, F.; Lallinger, V.; Haller, B.; Burgkart, R.; von Eisenhart-Rothe, R.; et al. Preoperative evaluation of myxofibrosarcoma: Prognostic value and reproducibility of different features on MRI. Anticancer Res. 2020, 40, 5793–5800. [Google Scholar] [CrossRef] [PubMed]
- Petscavage-Thomas, J.M.; Walker, E.A.; Logie, C.I.; Clarke, L.E.; Duryea, D.M.; Murphey, M.D. Soft-tissue myxomatous lesions: Review of salient imaging features with pathologic comparison. Radiographics 2014, 34, 964–980. [Google Scholar] [CrossRef]
- Annovazzi, A.; Rea, S.; Zoccali, C.; Sciuto, R.; Baldi, J.; Anelli, V.; Petrongari, M.G.; Pescarmona, E.; Biagini, R.; Ferraresi, V. Diagnostic and clinical impact of 18F-FDG PET/CT in staging and restaging soft-tissue sarcomas of the extremities and trunk: Mono-institutional retrospective study of a sarcoma referral center. J. Clin. Med. 2020, 9, 2549. [Google Scholar] [CrossRef]
- Hain, S.F.; O’Doherty, M.J.; Bingham, J.; Chinyama, C.; Smith, M.A. Can FDG PET be used to successfully direct preoperative biopsy of soft tissue tumours? Nucl. Med. Commun. 2003, 24, 1139–1143. [Google Scholar] [CrossRef]
- Rakheja, R.; Makis, W.; Skamene, S.; Nahal, A.; Brimo, F.; Azoulay, L.; Assayag, J.; Turcotte, R.; Hickeson, M. Correlating metabolic activity of 18F-FDG PET/CT with histopathologic characteristics of osseous and soft-tissue sarcomas: A retrospective review of 136 patients. Am. J. Roentgenol. 2012, 198, 1409–1416. [Google Scholar] [CrossRef]
- Nose, H.; Otsuka, H.; Otomi, Y.; Terazawa, K.; Takao, S.; Iwamoto, S.; Harada, M. Correlations between F-18 FDG PET/CT nd pathological findings in soft tissue lesions. J. Med. Investig. 2013, 60, 184–190. [Google Scholar] [CrossRef] [PubMed]
- Macpherson, R.E.; Pratap, S.; Tyrrell, H.; Khonsari, M.; Wilson, S.; Gibbons, M.; Whitwell, D.; Giele, H.; Critchley, P.; Cogswell, L.; et al. Retrospective audit of 957 consecutive 18F-FDG PET-CT scans compared to CT and MRI in 493 patients with different histological subtypes of bone and soft tissue sarcoma. Clin. Sarcoma Res. 2018, 8, 9. [Google Scholar] [CrossRef]
- Sun, H.; Liu, J.; Hu, F.; Xu, M.; Leng, A.; Jiang, F.; Chen, K. Current research and management of undifferentiated pleomorphic sarcoma/myxofibrosarcoma. Front. Genet. 2023, 14, 1109491. [Google Scholar] [CrossRef]
- Idbaih, A.; Coindre, J.M.; Derré, J.; Mariani, O.; Terrier, P.; Ranchère, D.; Mairal, A.; Aurias, A. Myxoid malignant fibrous histiocytoma and pleomorphic lipoma share very similar genomic imbalances. Lab. Investig. 2005, 85, 176–181. [Google Scholar] [CrossRef] [PubMed]
- Ohguri, T.; Hisaoka, M.; Kawauchi, S.; Sasaki, K.; Aoki, T.; Kanemitsu, S.; Matsuyama, A.; Korogi, Y.; Hashimoto, H. Cytogenetic analysis of myxoid liposarcoma and myxofibrosarcoma by array-based comparative genomic hybridisation. J. Clin. Pathol. 2006, 59, 978–983. [Google Scholar] [CrossRef]
- Lee, J.C.; Li, C.F.; Fang, F.M.; Wang, J.W.; Jeng, Y.M.; Yu, S.C.; Lin, Y.T.; Wu, J.M.; Tsai, J.W.; Li, S.H.; et al. Prognostic implication of MET overexpression in myxofibrosarcomas: An integrative array comparative genomic hybridization, real-time quantitative PCR, immunoblotting, and immunohistochemical analysis. Mod. Pathol. 2010, 23, 1379–1392. [Google Scholar] [CrossRef]
- Ma, S.; Fan, L.; Liu, Y.; Wang, Y.; Yu, K.; Wang, L.; Fang, N.; Liu, F.; Guo, S.; Wang, Z. MET-overexpressing myxofibrosarcoma frequently exhibit polysomy of chromosome 7 but not MET amplification, especially in high-grade cases: Clinical and pathological review of 30 myxofibrosarcoma cases. Diagn. Pathol. 2018, 13, 56. [Google Scholar] [CrossRef] [PubMed]
- Scheipl, S.; Brcic, I.; Moser, T.; Fischerauer, S.; Riedl, J.; Bergovec, M.; Smolle, M.; Posch, F.; Gerger, A.; Pichler, M.; et al. Molecular profiling of soft-tissue sarcomas with FoundationOne® Heme identifies potential targets for sarcoma therapy: A single-centre experience. Ther. Adv. Med. Oncol. 2021, 13, 175883592. [Google Scholar] [CrossRef]
- Heitzer, E.; Sunitsch, S.; Gilg, M.M.; Lohberger, B.; Rinner, B.; Kashofer, K.; Stündl, N.; Ulz, P.; Szkandera, J.; Leithner, A.; et al. Expanded molecular profiling of myxofibrosarcoma reveals potentially actionable targets. Mod. Pathol. 2017, 30, 1698–1709. [Google Scholar] [CrossRef]
- Barretina, T.; Taylor, B.; Banerji, S.; Ramos, A.; Lagos-Quintana, M.; DeCarolis, P.; Shah, K.; Socci, N.; Weir, B.; Ho, A.; et al. Subtype-specific genomic alterations define new targets for soft-tissue sarcoma therapy. Nat. Genet. 2010, 42, 715–721. [Google Scholar] [CrossRef] [PubMed]
- Ogura, K.; Hosoda, F.; Arai, Y.; Nakamura, H.; Hama, N.; Totoki, Y.; Yoshida, A.; Nagai, M.; Kato, M.; Arakawa, E.; et al. Integrated genetic and epigenetic analysis of myxofibrosarcoma. Nat. Commun. 2018, 9, 2765. [Google Scholar] [CrossRef] [PubMed]
- Takeuchi, Y.; Yoshida, K.; Halik, A.; Kunitz, A.; Suzuki, H.; Kakiuchi, N.; Shiozawa, Y.; Yokoyama, A.; Inoue, Y.; Hirano, T.; et al. The landscape of genetic aberrations in myxofibrosarcoma. Int. J. Cancer 2022, 151, 565–577. [Google Scholar] [CrossRef] [PubMed]
- Yamashita, A.; Suehara, Y.; Hayashi, T.; Takagi, T.; Kubota, D.; Sasa, K.; Hasegawa, N.; Ishijima, M.; Yao, T.; Saito, T. Molecular and clinicopathological analysis revealed an immune-checkpoint inhibitor as a potential therapeutic target in a subset of high-grade myxofibrosarcoma. Virchows Arch. 2022, 481, 595–611. [Google Scholar] [CrossRef]
- Tsai, J.W.; Li, C.F.; Kao, Y.C.; Wang, J.W.; Fang, F.M.; Wang, Y.H.; Wu, W.R.; Wu, L.C.; Hsing, C.H.; Li, S.H.; et al. Recurrent amplification at 7q21.2 targets CDK6 gene in primary myxofibrosarcomas and identifies CDK6 overexpression as an independent adverse prognosticator. Ann. Surg. Oncol. 2012, 19, 2716–2725. [Google Scholar] [CrossRef] [PubMed]
- Okada, T.; Lee, A.; Qin, L.; Agaram, N.; Mimae, T.; Shen, Y.; O’Connor, R.; López-Lago, M.; Craig, A.; Miller, M.; et al. Integrin-α10 dependency identifies RAC and RICTOR as therapeutic targets in high-grade myxofibrosarcoma. Cancer Discov. 2016, 6, 1148–1165. [Google Scholar] [CrossRef]
- Lewin, J.; Garg, S.; Lau, B.Y.; Dickson, B.C.; Traub, F.; Gokgoz, N.; Griffin, A.M.; Ferguson, P.C.; Andrulis, I.L.; Sim, H.W.; et al. Identifying actionable variants using next generation sequencing in patients with a historical diagnosis of undifferentiated pleomorphic sarcoma. Int. J. Cancer 2018, 142, 57–65. [Google Scholar] [CrossRef]
- Li, C.F.; Wang, J.M.; Kang, H.Y.; Huang, C.K.; Wang, J.W.; Fang, F.M.; Wang, Y.H.; Wu, W.R.; Li, S.H.; Yu, S.C.; et al. Characterization of gene amplification-driven SKP2 overexpression in myxofibrosarcoma: Potential implications in tumor progression and therapeutics. Clin. Cancer Res. 2012, 18, 1598–1610. [Google Scholar] [CrossRef]
- Li, C.F.; Fang, F.M.; Lan, J.; Wang, J.W.; Kung, H.J.; Chen, L.T.; Chen, T.J.; Li, S.H.; Wang, Y.H.; Tai, H.C.; et al. AMACR amplification in myxofibrosarcomas: A mechanism of overexpression that promotes cell proliferation with therapeutic relevance. Clin. Cancer Res. 2014, 20, 6141–6152. [Google Scholar] [CrossRef]
- Huang, H.Y.; Li, C.F.; Fang, F.M.; Tsai, J.W.; Li, S.H.; Lee, Y.T.; Wei, H.M. Prognostic implication of ezrin overexpression in myxofibrosarcomas. Ann. Surg. Oncol. 2010, 17, 3212–3219. [Google Scholar] [CrossRef]
- Emori, M.; Tsukahara, T.; Murata, K.; Sugita, S.; Sonoda, T.; Kaya, M.; Soma, T.; Sasaki, M.; Nagoya, S.; Hasegawa, T.; et al. Prognostic impact of CD109 expression in myxofibrosarcoma. J. Surg. Oncol. 2015, 111, 975–979. [Google Scholar] [CrossRef]
- Conley, A.P.; Wang, W.L.; Livingston, J.A.; Ravi, V.; Tsai, J.W.; Ali, A.; Ingram, D.R.; Lowery, C.D.; Roland, C.L.; Somaiah, N.; et al. MAGE-A3 is a clinically relevant target in undifferentiated pleomorphic sarcoma/myxofibrosarcoma. Cancers 2019, 11, 677. [Google Scholar] [CrossRef]
- Li, H.; Xie, L.; Wang, Q.; Dang, Y.; Sun, X.; Zhang, L.; Han, Y.; Yan, Z.; Dong, H.; Zheng, H.; et al. OSmfs: An online interactive tool to evaluate prognostic markers for myxofibrosarcoma. Genes 2020, 11, 1523. [Google Scholar] [CrossRef]
- Nascimento, A.F.; Bertoni, F.; Fletcher, C.D.M. Epithelioid variant of myxofibrosarcoma: Expanding the clinocomorphologic spectrum of myxofibrosarcoma in a series of 177 cases. Am. J. Surg. Pathol. 2007, 31, 99–105. [Google Scholar] [CrossRef] [PubMed]
- Scoccianti, G.; Ranucci, V.; Frenos, F.; Greto, D.; Beltrami, G.; Capanna, R.; Franchi, A. Soft tissue myxofibrosarcoma: A clinic-pathological analysis of a series of 75 patients with emphasis on the epithelioid variant. J. Surg. Oncol. 2016, 114, 50–55. [Google Scholar] [CrossRef]
- De Gooyer, J.M.; Versleijen-Jonkers, Y.M.H.; Hillebrandt-Roeffen, M.H.S.; Frielink, C.; Desar, I.M.E.; de Wilt, J.H.W.; Flucke, U.; Rijpkema, M. Immunohistochemical selection of biomarkers for tumor-targeted image-guided surgery of myxofibrosarcoma. Sci. Rep. 2020, 10, 2915. [Google Scholar] [CrossRef]
- Rijs, Z.; Belt, E.; Kalisvaart, G.M.; Sier, C.F.M.; Kuppen, P.J.K.; Cleven, A.H.G.; Vahrmeijer, A.L.; van de Sande, M.A.J.; van Driel, P.B.A.A. Immunohistochemical evaluation of candidate biomarkers for fluorescence-guided surgery of myxofibrosarcoma using an objective scoring method. Biomedicines 2023, 11, 982. [Google Scholar] [CrossRef]
- Nakayama, S.; Nishio, J.; Aoki, M.; Koga, K.; Nabeshima, K.; Yamamoto, T. GLUT-1 expression is helpful to distinguish myxofibrosarcoma from nodular fasciitis. Histol. Histopathol. 2023, 38, 47–51. [Google Scholar]
- Iwata, S.; Yonemoto, T.; Araki, A.; Ikebe, D.; Kamoda, H.; Hagiwara, Y.; Ishi, T. Impact of infiltrative growth on the outcome of patients with undifferentiated pleomorphic sarcoma and myxofibrosarcoma. J. Surg. Oncol. 2014, 110, 707–711. [Google Scholar] [CrossRef] [PubMed]
- Sambri, A.; Caldari, E.; Fiore, M.; Zucchini, R.; Giannini, C.; Pirini, M.G.; Spinnato, P.; Cappelli, A.; Donati, D.M.; de Paolis, M. Margin assessment in soft tissue sarcomas: Review of the literature. Cancers 2021, 13, 1687. [Google Scholar] [CrossRef] [PubMed]
- Fujiwara, T.; Stevenson, J.; Parry, M.; Tsuda, Y.; Tsoi, K.; Jeys, L. What is an adequate margin for infiltrative soft-tissue sarcomas? Eur. J. Surg. Oncol. 2020, 46, 277–281. [Google Scholar] [CrossRef]
- Rhee, I.; Spazzoli, B.; Stevens, J.; Hansa, A.; Spelman, T.; Pang, G.; Guiney, M.; Powell, G.; Choong, P.; di Bella, C. Oncologic outcomes in myxofibrosarcomas: The role of a multidisciplinary approach and surgical resection margins. ANZ J. Surg. 2023, 93, 577–584. [Google Scholar] [CrossRef] [PubMed]
- Dadrass, F.; Gusho, C.; Yang, F.; Culvern, C.; Bloom, J.; Fillingham, Y.; Colman, M.; Gitelis, S.; Blank, A. A clinicopathologic examination of myxofibrosarcoma. Do surgical margins significantly affect local recurrence rates in this infiltrative sarcoma subtype? J. Surg. Oncol. 2021, 123, 489–496. [Google Scholar] [CrossRef]
- Mutter, R.W.; Singer, S.; Zhang, Z.; Brennan, M.F.; Alektiar, K.M. The enigma of myxofibrosarcoma of the extremity. Cancer 2012, 118, 518–527. [Google Scholar] [CrossRef] [PubMed]
- Boughzala-Bennadji, R.; Stoeckle, E.; le Péchoux, C.; Méeus, P.; Honoré, C.; Attal, J.; Duffaud, F.; de Pinieux, G.; Bompas, E.; Thariat, J.; et al. Localized myxofibrosarcomas: Roles of surgical margins and adjuvant radiation therapy. Int. J. Radiat. Oncol. Biol. Phys. 2018, 102, 399–406. [Google Scholar] [CrossRef] [PubMed]
- Saxby, N.E.; An, Q.; Miller, B.J. Local recurrence of soft tissue sarcoma revisited: Is there a role for “selective” radiation? Iowa Orthop. J. 2022, 42, 239–248. [Google Scholar] [PubMed]
- Teurneau, H.; Engellau, J.; Ghanei, I.; Vult von Steyern, F.; Styring, E. High recurrence rate of myxofibrosarcoma: The effect of radiotherapy is not clear. Sarcoma 2019, 2019, 8517371. [Google Scholar] [CrossRef]
- Kamio, S.; Matsumoto, M.; Nakamura, M.; Kawai, A.; Kikuta, K. Epidemiologic survey of myxofibrosarcoma using data from the bone and soft tissue registry in Japan. Ann. Surg. Oncol. 2023, 30, 3074–3081. [Google Scholar] [CrossRef]
- Bramwell, V.H.; Anderson, D.; Charette, M.L. Doxorubicin-based chemotherapy for the palliative treatment of adult patients with locally advanced or metastatic soft-tissue sarcoma: A meta-analysis and clinical practice guideline. Sarcoma 2000, 4, 103–112. [Google Scholar] [CrossRef]
- Judson, I.; Verweij, J.; Gelderblom, H.; Hartmann, J.T.; Schöffski, P.; Blay, J.Y.; Kerst, J.M.; Sufliarsky, J.; Whelan, J.; Hohenberger, P.; et al. Doxorubicin alone versus intensified doxorubicin plus ifosfamide for first-line treatment of advanced or metastatic soft-tissue sarcoma: A randomised controlled phase 3 trial. Lancet Oncol. 2014, 15, 415–423. [Google Scholar] [CrossRef]
- Vanni, S.; de Vita, A.; Gurrieri, L.; Fausti, V.; Miserocchi, G.; Spadazzi, C.; Liverani, C.; Cocchi, C.; Calabrese, C.; Bongiovanni, A.; et al. Myxofibrosarcoma landscape: Diagnostic pitfalls, clinical management and future perspectives. Ther. Adv. Med. Oncol. 2022, 14, 17588359221093973. [Google Scholar] [CrossRef] [PubMed]
- Gronchi, A.; Palmerini, E.; Quagliuolo, V.; Martin Broto, J.; Lopez Pousa, A.; Grignani, G.; Brunello, A.; Blay, J.Y.; Tendero, O.; Diaz Beveridge, R.; et al. Neoadjuvant chemotherapy in high-risk soft tissue sarcomas: Final results of a randomized trial from Italian (ISG), Spanish (GEIS), French (FSG), and Polish (PSG) sarcoma groups. J. Clin. Oncol. 2020, 38, 2178–2186. [Google Scholar] [CrossRef] [PubMed]
- Colia, V.; Fiore, M.; Provenzano, S.; Fumagalli, E.; Bertulli, R.; Morosi, C.; Dei Tos, A.P.; Barisella, M.; Gronchi, A.; Casali, P.G.; et al. Activity of anthracycline- and ifosfamide-based chemotherapy in a series of patients affected by advanced myxofibrosarcoma. Clin. Sarcoma Res. 2017, 7, 16. [Google Scholar] [CrossRef]
- Vanni, S.; Fausti, V.; Fonzi, E.; Liverani, C.; Miserocchi, G.; Spadazzi, C.; Cocchi, C.; Calabrese, C.; Gurrieri, L.; Riva, N.; et al. Unveiling the genomic basis of chemosensitivity in sarcomas of the extremities: An integrated approach for an unmet clinical need. Int. J. Mol. Sci 2023, 24, 6926. [Google Scholar] [CrossRef]
- Fausti, V.; de Vita, A.; Vanni, S.; Ghini, V.; Gurrieri, L.; Riva, N.; Casadei, R.; Maraldi, M.; Ercolani, G.; Cavaliere, D.; et al. Systemic inflammatory indices in second-line soft tissue sarcoma patients: Focus on lymphocyte/monocyte ratio and trabectedin. Cancers 2023, 15, 1080. [Google Scholar] [CrossRef]
- De Larco, J.E.; Wuertz, B.R.; Furcht, L.T. The potential role of neutrophils in promoting the metastatic phenotype of tumors releasing interleukin-8. Clin. Cancer Res. 2004, 10, 4895–4900. [Google Scholar] [CrossRef] [PubMed]
- Kitamura, T.; Qian, B.Z.; Pollard, J.W. Immune cell promotion of metastasis. Nat. Rev. Immunol. 2015, 15, 73–86. [Google Scholar] [CrossRef] [PubMed]
- Maki, R.G.; Wathen, J.K.; Patel, S.R.; Priebat, D.A.; Okuno, S.H.; Samuels, B.; Fanucchi, M.; Harmon, D.C.; Schuetze, S.M.; Reinke, D.; et al. Randomized phase II study of gemcitabine and docetaxel compared with gemcitabine alone in patients with metastatic soft-tissue sarcomas. J. Clin. Oncol. 2007, 25, 2755–2763. [Google Scholar] [CrossRef]
- Elkrief, A.; Kazandjian, S.; Alcindor, T. Gemcitabine-containing chemotherapy for the treatment of metastatic myxofibrosarcoma refractory to doxorubicin: A case series. Curr. Oncol. 2021, 28, 813–817. [Google Scholar] [CrossRef]
- Nakamura, T.; Sudo, A. The role of trabectedin in soft tissue sarcoma. Front. Pharmacol. 2022, 13, 777872. [Google Scholar] [CrossRef]
- Kawai, A.; Araki, N.; Sugiura, H.; Ueda, T.; Yonemoto, T.; Takahashi, M.; Morioka, H.; Hiraga, H.; Hiruma, T.; Kunisada, T.; et al. Trabectedin monotherapy after standard chemotherapy versus best supportive care in patients with advanced, translocation-related sarcoma: A randomised, open-label, phase 2 study. Lancet Oncol. 2015, 16, 406–416. [Google Scholar] [CrossRef] [PubMed]
- De Vita, A.; Recine, F.; Mercatali, L.; Miserocchi, G.; Liverani, C.; Spadazzi, C.; Casadei, R.; Bongiovanni, A.; Pieri, F.; Riva, N.; et al. Myxofibrosarcoma primary cultures: Molecular and pharmacological profile. Ther. Adv. Med. Oncol. 2017, 9, 755–767. [Google Scholar] [CrossRef] [PubMed]
- Le Cesne, A.; Ray-Coquard, I.; Duffaud, F.; Chevreau, C.; Penel, N.; Bui Nguyen, B.; Piperno-Neumann, S.; Delcambre, C.; Rios, M.; Chaigneau, L.; et al. Trabectedin in patients with advanced soft tissue sarcoma: A retrospective national analysis of the French sarcoma group. Eur. J. Cancer 2015, 51, 742–750. [Google Scholar] [CrossRef] [PubMed]
- Kobayashi, H.; Iwata, S.; Wakamatsu, T.; Hayakawa, K.; Yonemoto, T.; Wasa, J.; Oka, H.; Ueda, T.; Tanaka, S. Efficacy and safety of trabectedin for patients with unresectable and relapsed soft-tissue sarcoma in Japan: A Japanese musculoskeletal oncology group study. Cancer 2020, 126, 1253–1263. [Google Scholar] [CrossRef] [PubMed]
- Palmerini, E.; Sanfilippo, R.; Grignani, G.; Buonadonna, A.; Romanini, A.; Badalamenti, G.; Ferraresi, V.; Vincenzi, B.; Comandone, A.; Pizzolorusso, A.; et al. Trabectedin for patients with advanced soft tissue sarcoma: A non-interventional, retrospective, multicenter study of the Italian sarcoma group. Cancers 2021, 13, 1053. [Google Scholar] [CrossRef]
- Kawai, A.; Narahara, H.; Takahashi, S.; Nakamura, T.; Kobayashi, H.; Megumi, Y.; Matsuoka, T.; Kobayashi, E. Safety and effectiveness of eribulin in Japanese patients with soft tissue sarcoma including rare subtypes: A post-marketing observational study. BMC Cancer 2022, 22, 528. [Google Scholar] [CrossRef]
- Nakamura, T.; Tsukushi, S.; Asanuma, K.; Katagiri, H.; Ikuta, K.; Nagano, A.; Kozawa, E.; Yamada, S.; Shido, Y.; Yamada, K.; et al. The clinical outcome of eribulin treatment in Japanese patients with advanced soft tissue sarcoma: A Tokai musculoskeletal oncology consortium study. Clin. Exp. Metastasis 2019, 36, 343–350. [Google Scholar] [CrossRef]
- Sleijfer, S.; Ray-Coquard, I.; Papai, Z.; le Cesne, A.; Scurr, M.; Schöffski, P.; Collin, F.; Pandite, L.; Marreaud, S.; de Brauwer, A.; et al. Pazopanib, a multikinase angiogenesis inhibitor, in patients with relapsed or refractory advanced soft tissue sarcoma: A phase II study from the European organisation for research and treatment of cancer-soft tissue and bone sarcoma group (EORTC study 62043). J. Clin. Oncol. 2009, 27, 3126–3132. [Google Scholar]
- Van der Graaf, W.T.; Blay, J.Y.; Chawla, S.P.; Kim, D.W.; Bui-Nguyen, B.; Casali, P.G.; Schoffski, P.; Aglietta, M.; Staddon, A.P.; Beppu, Y.; et al. Pazopanib for metastatic soft-tissue sarcoma (PALETTE): A randomised, double-blind, placebo-controlled phase 3 trial. Lancet 2012, 379, 1879–1886. [Google Scholar] [CrossRef]
- Samuels, B.L.; Chawla, S.P.; Somaiah, N.; Staddon, A.P.; Skubitz, K.M.; Milhem, M.M.; Kaiser, P.E.; Portnoy, D.C.; Priebat, D.A.; Walker, M.S.; et al. Results of a prospective phase 2 study of pazopanib in patients with advanced intermediate-grade or high-grade liposarcoma. Cancer 2017, 123, 4640–4647. [Google Scholar] [CrossRef]
- Valverde, C.M.; Martin-Broto, J.; Lopez-Martin, J.A.; Romagosa, C.; Sancho-Marquez, M.P.; Carrasco, J.A.; Poveda, A.; Bauer, S.; Martinez-Trufero, J.; Cruz, J.; et al. Phase II clinical trial evaluating the activity and tolerability of pazopanib in patients (pts) with advanced and/or metastatic liposarcoma (LPS): A joint Spanish sarcoma group (GEIS) and German interdisciplinary sarcoma group (GISG) Study—NCT01692496. J. Clin. Oncol. 2016, 34 (Suppl. S15), 11039. [Google Scholar] [CrossRef]
- Nishio, J.; Nakayama, S.; Nabeshima, K.; Yamamoto, T. Biology and management of dedifferentiated liposarcoma: State of the art and perspectives. J. Clin. Med. 2021, 10, 3230. [Google Scholar] [CrossRef]
- Nakamura, T.; Matsumine, A.; Kawai, A.; Araki, N.; Goto, T.; Yonemoto, T.; Sugiura, H.; Nishida, Y.; Hiraga, H.; Honoki, K.; et al. The clinical outcome of pazopanib treatment in Japanese patients with relapsed soft tissue sarcoma: A Japanese musculoskeletal oncology group (JMOG) study. Cancer 2016, 122, 1408–1416. [Google Scholar] [CrossRef] [PubMed]
- Kataria, B.; Sharma, A.; Biswas, B.; Bakhshi, S.; Pushpam, D. Pazopanib in rare histologies of metastatic soft tissue sarcoma. Ecancermedicalscience 2021, 15, 1281. [Google Scholar] [CrossRef]
- Van Meekeren, M.; Bovee, J.V.M.G.; van Coevorden, F.; van Houdt, W.; Schrage, Y.; Koenen, A.M.; Miah, A.B.; Zaidi, S.; Hayes, A.J.; Thway, K.; et al. A phase II study on the neo-adjuvant combination of pazopanib and radiotherapy in patients with high-risk, localized soft tissue sarcoma. Acta Oncol. 2021, 60, 1557–1564. [Google Scholar] [CrossRef] [PubMed]
- Mahmood, S.T.; Agresta, S.; Vigil, C.E.; Zhao, X.; Han, G.; D’Amato, G.; Calitri, C.E.; Dean, M.; Garrett, C.; Schell, M.J.; et al. Phase II study of sunitinib malate, a multitargeted tyrosine kinase inhibitor in patients with relapsed or refractory soft tissue sarcomas. Focus on three prevalent histologies: Leiomyosarcoma, liposarcoma and malignant fibrous histiocytoma. Int. J. Cancer 2011, 129, 1963–1969. [Google Scholar] [CrossRef] [PubMed]
- Maki, R.G.; D’Adamo, D.R.; Keohan, M.L.; Saulle, M.; Schuetze, S.M.; Undevia, S.D.; Livingston, M.B.; Cooney, M.M.; Hensley, M.L.; Mita, M.M.; et al. Phase II study of sorafenib in patients with metastatic or recurrent sarcomas. J. Clin. Oncol. 2009, 27, 3133–3140. [Google Scholar] [CrossRef]
- Mir, O.; Brodowicz, T.; Italiano, A.; Wallet, J.; Blay, J.Y.; Bertucci, F.; Chevreau, C.; Piperno-Neumann, S.; Bompas, E.; Salas, S.; et al. Safety and efficacy of regorafenib in patients with advanced soft tissue sarcoma (REGOSARC): A randomised, double-blind, placebo-controlled, phase 2 trial. Lancet Oncol. 2016, 17, 1732–1742. [Google Scholar] [CrossRef] [PubMed]
- Judson, I.; Scurr, M.; Gardner, K.; Barquin, E.; Marotti, M.; Collins, B.; Young, H.; Jürgensmeier, J.M.; Leahy, M. Phase II study of cediranib in patients with advanced gastrointestinal stromal tumors or soft-tissue sarcoma. Clin. Cancer Res. 2014, 20, 3603–3612. [Google Scholar] [CrossRef]
- Liao, Z.; Li, F.; Zhang, C.; Zhu, L.; Shi, Y.; Zhao, G.; Bai, X.; Hassan, S.; Liu, X.; Li, T.; et al. Phase II trial of VEGFR2 inhibitor apatinib for metastatic sarcoma: Focus on efficacy and safety. Exp. Mol. Med. 2019, 51, 24. [Google Scholar] [CrossRef]
- Chi, Y.; Fang, Z.; Hong, X.; Yao, Y.; Sun, P.; Wang, G.; Du, F.; Sun, Y.; Wu, Q.; Qu, G.; et al. Safety and efficacy of anlotinib, a multikinase angiogenesis inhibitor, in patients with refractory metastatic soft-tissue sarcoma. Clin. Cancer Res. 2018, 24, 5233–5238. [Google Scholar] [CrossRef]
- Wisdom, A.J.; Mowery, Y.M.; Riedel, R.F.; Kirsch, D.G. Rationale and emerging strategies for immune checkpoint blockade in soft tissue sarcoma. Cancer 2018, 124, 3819–3829. [Google Scholar] [CrossRef]
- Vargas, A.C.; Maclean, F.M.; Sioson, L.; Tran, D.; Bonar, F.; Mahar, A.; Cheah, A.L.; Russell, P.; Grimison, P.; Richardson, L.; et al. Prevalence of PD-L1 expression in matched recurrent and/or metastatic sarcoma samples and in a range of selected sarcomas subtypes. PLoS ONE 2020, 15, e0222551. [Google Scholar] [CrossRef]
- Wunder, J.S.; Lee, M.J.; Nam, J.; Lau, B.Y.; Dickson, B.C.; Pinnaduwage, D.; Bull, S.B.; Ferguson, P.C.; Seto, A.; Gokgoz, N.; et al. Osteosarcoma and soft-tissue sarcomas with an immune infiltrate express PD-L1: Relation to clinical outcome and Th1 pathway activation. Oncoimmunology 2020, 9, e1737385. [Google Scholar] [CrossRef]
- Smolle, M.A.; Herbsthofer, L.; Granegger, B.; Goda, M.; Brcic, I.; Bergovec, M.; Scheipl, S.; Prietl, B.; Pichler, M.; Gerger, A.; et al. T-regulatory cells predict clinical outcome in soft tissue sarcoma patients: A clinic-pathological study. Br. J. Cancer 2021, 125, 717–724. [Google Scholar] [CrossRef]
- Hashimoto, K.; Nishimura, S.; Ito, T.; Akagi, M. Characterization of PD-1/PD-L1 immune checkpoint expression in soft tissue sarcomas. Eur. J. Histochem. 2021, 65, 3203. [Google Scholar] [CrossRef]
- Kösemehmetoğlu, K.; Özoğul, E.; Babaoğlu, B.; Tezel, G.G.; Gedikoğlu, G. Programmed death ligand 1 (PD-L1) expression in malignant mesenchymal tumors. Turk. Patoloji. Derg. 2017, 33, 192–197. [Google Scholar] [CrossRef] [PubMed]
- Budczies, J.; Mechtersheimer, G.; Denkert, C.; Klauschen, F.; Mughal, S.S.; Chudasama, P.; Bockmayr, M.; Jöhrens, K.; Endris, V.; Lier, A.; et al. PD-L1 (CD274) copy number gain, expression, and immune cell infiltration as candidate predictors for response to immune checkpoint inhibitors in soft-tissue sarcoma. Oncoimmunology 2017, 6, e1279777. [Google Scholar] [CrossRef] [PubMed]
- Tawbi, H.A.; Burgess, M.; Bolejack, V.; van Tine, B.A.; Schuetze, S.M.; Hu, J.; D’Angelo, S.; Attia, S.; Riedel, R.F.; Priebat, D.A.; et al. Pembrolizumab in advanced soft-tissue sarcoma and bone sarcoma (SARC028): A multicentre, two-cohort, single-arm, open-label, phase 2 trial. Lancet Oncol. 2017, 18, 1493–1501. [Google Scholar] [CrossRef] [PubMed]
- Monga, V.; Skubitz, K.M.; Maliske, S.; Mott, S.L.; Dietz, H.; Hirbe, A.C.; van Tine, B.A.; Oppelt, P.; Okuno, S.; Robinson, S. A retrospective analysis of the efficacy of immunotherapy in metastatic soft-tissue sarcomas. Cancers 2020, 12, 1873. [Google Scholar] [CrossRef] [PubMed]
- Tamura, K.; Hasegawa, K.; Katsumata, N.; Matsumoto, K.; Mukai, H.; Takahashi, S.; Nomura, H.; Minami, H. Efficacy and safety of nivolumab in Japanese patients with uterine cervical cancer, uterine corpus cancer, or soft tissue sarcoma: Multicenter, open-label, phase 2 trial. Cancer Sci. 2019, 110, 2894–2904. [Google Scholar] [CrossRef]
- D’Angelo, S.P.; Mahoney, M.R.; van Tine, B.A.; Atkins, J.; Milhem, M.M.; Jahagirdar, B.N.; Antonescu, C.R.; Horvath, E.H.; Tap, W.D.; Schwartz, G.K.; et al. Nivolumab with or without ipilimumab treatment for metastatic sarcoma (Alliance A091401): Two open-label, non-comparative, randomised, phase 2 trials. Lancet Oncol. 2018, 19, 416–426. [Google Scholar] [CrossRef] [PubMed]
- You, Y.; Guo, X.; Zhuang, R.; Zhang, C.; Wang, Z.; Shen, F.; Wang, Y.; Liu, W.; Zhang, Y.; Lu, W.; et al. Activity of PD-1 inhibitor combined with anti-angiogenic therapy in advanced sarcoma: A single-center retrospective analysis. Front. Mol. Biosci. 2021, 8, 747650. [Google Scholar] [CrossRef] [PubMed]
- Klemen, N.D.; Hwang, S.; Bradic, M.; Rosenbaum, E.; Dickson, M.A.; Gounder, M.M.; Kelly, C.M.; Keohan, M.L.; Movva, S.; Thornton, K.A.; et al. Long-term follow-up and patterns of response, progression, and hyperprogression in patients after PD-1 blockade in advanced sarcoma. Clin. Cancer Res. 2022, 28, 939–947. [Google Scholar] [CrossRef] [PubMed]
- Song, H.N.; Kang, M.G.; Park, J.R.; Hwang, J.Y.; Kang, J.H.; Lee, W.S.; Lee, G.W. Pembrolizumab for refractory metastatic myxofibrosarcoma: A case report. Cancer Res. Treat. 2018, 50, 1458–1461. [Google Scholar] [CrossRef] [PubMed]
- Fukui, T.; Wakatsuki, Y.; Matsukura, T. Immunotherapy for advanced lung cancer combined with surgery for mediastinal myxofibrosarcoma: A case report. Surg. Case Rep. 2019, 5, 37. [Google Scholar] [CrossRef] [PubMed]
- Song, L.; Pan, D.; Zhou, R. Combination nivolumab and bevacizumab for metastatic myxofibrosarcoma: A case report and review of the literature. Mol. Clin. Oncol. 2020, 13, 54. [Google Scholar] [CrossRef] [PubMed]
- Luo, Y.; Min, L.; Zhou, Y.; Tang, F.; Lu, M.; Xie, H.; Wang, Y.; Duan, H.; Zhang, W.; Tu, C. Remarkable response to anti-PD1 immunotherapy in refractory metastatic high-grade myxofibrosarcoma: A case report. Medicine 2021, 100, e25262. [Google Scholar] [CrossRef]
- Zhou, M.; Bui, N.; Lohman, M.; van de Rjin, M.; Hwang, G.; Ganjoo, K. Long-term remission with ipilimumab/nivolumab in two patients with different soft tissue sarcoma subtypes and no PD-L1 expression. Case Rep. Oncol. 2021, 14, 459–465. [Google Scholar] [CrossRef]
- Lambden, J.P.; Kelsten, M.F.; Schulte, B.C.; Abbinanti, S.; Hayes, J.P.; Villaflor, V.; Agulnik, M. Metastatic myxofibrosarcoma with durable response to temozolomide followed by atezolizumab: A case report. Oncologist 2021, 26, 549–553. [Google Scholar] [CrossRef]
- Bartlett, E.K.; D’Angelo, S.P.; Kelly, C.M.; Siegelbaum, R.H.; Fisher, C.; Antonescu, C.R.; Ariyan, C.E. Case report: Response to regional melphalan via limb infusion and systemic PD1 blockade in recurrent myxofibrosarcoma: A report of 2 cases. Front. Oncol. 2021, 11, 725484. [Google Scholar] [CrossRef]
- Mowery, Y.M.; Ballman, K.V.; Riedel, R.F.; Brigman, B.E.; Attia, S.; Meyer, C.F.; Schuetze, S.; Burgess, M.A.; Chmielowski, B.; Dickson, M.A.; et al. SU2C-SARC032: A phase II randomized controlled trial of neoadjuvant pembrolizumab with radiotherapy and adjuvant pembrolizumab for high-risk soft tissue sarcoma. J. Clin. Oncol. 2018, 36 (Suppl. S15), 11588. [Google Scholar] [CrossRef]
- Zhao, Y.X.; Hu, X.Y.; Zhong, X.; Shen, H.; Yuan, Y. High-intensity focused ultrasound treatment as an alternative regimen for myxofibrosarcoma. Dermatol. Ther. 2021, 34, e14816. [Google Scholar] [CrossRef]
- Tuncali, K.; Morrison, P.R.; Winalski, C.S.; Carrino, J.A.; Shankar, S.; Ready, J.E.; vanSonnenberg, E.; Silverman, S.G. MRI-guided percutaneous cryotherapy for soft-tissue and bone metastases: Initial experience. Am. J. Roentgenol. 2007, 189, 232–239. [Google Scholar] [CrossRef] [PubMed]
- Lippa, N.; Sargos, P.; Italiano, A.; Kind, M.; Dallaudière, B.; Hauger, O.; Cornelis, F. Standardization of selection criteria for percutaneous image-guided cryoablation of recurrent soft-tissue sarcomas. Diagn. Interv. Imaging 2014, 95, 1071–1077. [Google Scholar] [CrossRef] [PubMed]
- Scandiffio, R.; Bozzi, E.; Ezeldin, M.; Capanna, R.; Ceccoli, M.; Colangeli, S.; Donati, D.M.; Colangeli, M. Image-guided cryotherapy for musculoskeletal tumors. Curr. Med. Imaging 2021, 17, 166–178. [Google Scholar] [CrossRef] [PubMed]




| Grade | Cellularity | Nuclear Pleomorphism | Mitotic Activity | Tumor Necrosis | 
|---|---|---|---|---|
| low | low | rare | rare | absent | 
| intermediate | moderate | mild/moderate | <10/10 HPF | absent | 
| high | high | pronounced | ≥10/10 HPF | present | 
| Disclaimer/Publisher’s Note: The statements, opinions and data contained in all publications are solely those of the individual author(s) and contributor(s) and not of MDPI and/or the editor(s). MDPI and/or the editor(s) disclaim responsibility for any injury to people or property resulting from any ideas, methods, instructions or products referred to in the content. | 
© 2023 by the authors. Licensee MDPI, Basel, Switzerland. This article is an open access article distributed under the terms and conditions of the Creative Commons Attribution (CC BY) license (https://creativecommons.org/licenses/by/4.0/).
Share and Cite
Nishio, J.; Nakayama, S. Biology and Management of High-Grade Myxofibrosarcoma: State of the Art and Future Perspectives. Diagnostics 2023, 13, 3022. https://doi.org/10.3390/diagnostics13193022
Nishio J, Nakayama S. Biology and Management of High-Grade Myxofibrosarcoma: State of the Art and Future Perspectives. Diagnostics. 2023; 13(19):3022. https://doi.org/10.3390/diagnostics13193022
Chicago/Turabian StyleNishio, Jun, and Shizuhide Nakayama. 2023. "Biology and Management of High-Grade Myxofibrosarcoma: State of the Art and Future Perspectives" Diagnostics 13, no. 19: 3022. https://doi.org/10.3390/diagnostics13193022
APA StyleNishio, J., & Nakayama, S. (2023). Biology and Management of High-Grade Myxofibrosarcoma: State of the Art and Future Perspectives. Diagnostics, 13(19), 3022. https://doi.org/10.3390/diagnostics13193022
 
        

 
       