Deep-Learning-Based Image Denoising in Imaging of Urolithiasis: Assessment of Image Quality and Comparison to State-of-the-Art Iterative Reconstructions
Abstract
:1. Introduction
2. Materials and Methods
2.1. Acquisition Parameters
- -
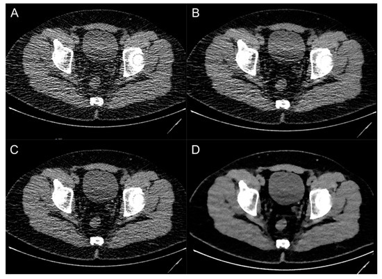
- FBP: soft tissue kernel (B, Philips Healthcare), no denoising.
- -
- HIR: soft tissue kernel (B, Philips Healthcare) and medium denoising (3/7).
- -
- MBIR: soft tissue kernel (Sharp Plus, Philips Healthcare) and medium denoising (2/3).
2.2. Quantitative Image Analysis
2.3. Qualitative Image Analysis
2.4. Statistical Analysis
3. Results
3.1. Study Characteristics
3.2. Quantitative Image Analysis
3.2.1. Attenuation
3.2.2. Noise
3.2.3. Signal-to-Noise Ratio (SNR)
3.2.4. Contrast-to-Noise Ratio (CNR)
3.3. Qualitative Image Analysis
Image Quality
3.4. Urinary Stones
3.4.1. Detection Rate
3.4.2. Stone Size Measurements
4. Discussion
Author Contributions
Funding
Institutional Review Board Statement
Informed Consent Statement
Data Availability Statement
Conflicts of Interest
References
- Khan, S.R.; Pearle, M.S.; Robertson, W.G.; Gambaro, G.; Canales, B.K.; Doizi, S.; Traxer, O.; Tiselius, H.G. Kidney stones. Nat. Rev. Dis. Primers 2016, 2, 16008. [Google Scholar] [PubMed]
- Asplin, J.R. Obesity and Urolithiasis. Adv. Chronic Kidney Dis. 2009, 16, 11–20. [Google Scholar] [CrossRef]
- Andrabi, Y.; Patino, M.; Das, C.J.; Eisner, B.; Sahani, D.V.; Kambadakone, A. Advances in CT imaging for urolithiasis. Indian J. Urol. 2015, 31, 185–193. [Google Scholar] [CrossRef] [PubMed]
- Türk, C.; Petřík, A.; Sarica, K.; Seitz, C.; Skolarikos, A.; Straub, M.; Knoll, T. EAU Guidelines on Interventional Treatment for Urolithiasis. Eur. Urol. 2016, 69, 475–482. [Google Scholar] [CrossRef] [PubMed]
- Desai, G.S.; Uppot, R.N.; Yu, E.W.; Kambadakone, A.R.; Sahani, D.V. Impact of iterative reconstruction on image quality and radiation dose in multidetector CT of large body size adults. Eur. Radiol. 2012, 22, 1631–1640. [Google Scholar] [CrossRef] [PubMed]
- Koteshwar, P.; Kakkar, C.; Sripathi, S.; Parakh, A.; Shrivastav, R. Low Dose MDCT with Tube Current Modulation: Role in Detection of Urolithiasis and Patient Effective Dose Reduction. J. Clin. Diagn. Res. 2016, 10, TC01-5. [Google Scholar] [CrossRef]
- Chi, B.H.; Chang, I.H.; Lee, D.H.; Bin Park, S.; Kim, K.D.; Moon, Y.T.; Huh, T.K. Low-Dose Unenhanced Computed Tomography with Iterative Reconstruction for Diagnosis of Ureter Stones. Yonsei Med. J. 2018, 59, 389–396. [Google Scholar] [CrossRef]
- Willemink, M.J.; Noël, P.B. The evolution of image reconstruction for CT-from filtered back projection to artificial intelli-gence. Eur. Radiol. 2019, 29, 2185–2195. [Google Scholar]
- Soenen, O.; Balliauw, C.; Oyen, R.; Zanca, F. Dose and Image Quality in Low-dose CT for Urinary Stone Disease: Added Value of Automatic Tube Current Modulation and Iterative Reconstruction Techniques. Radiat. Prot. Dosim. 2017, 174, 242–249. [Google Scholar] [CrossRef]
- Singh, R.; Wu, W.; Wang, G.; Kalra, M.K. Artificial intelligence in image reconstruction: The change is here. Phys. Medica 2020, 79, 113–125. [Google Scholar] [CrossRef]
- Steuwe, A.; Weber, M.; Bethge, O.T.; Rademacher, C.; Boschheidgen, M.; Sawicki, L.M.; Antoch, G.; Aissa, J. Influence of a novel deep-learning based reconstruction software on the objective and subjective image quality in low-dose abdominal computed tomography. Br. J. Radiol. 2021, 94, 20200677. [Google Scholar] [CrossRef] [PubMed]
- Brendlin, A.S.; Plajer, D.; Chaika, M.; Wrazidlo, R.; Estler, A.; Tsiflikas, I.; Artzner, C.P.; Afat, S.; Bongers, M.N. AI Denoising Significantly Improves Image Quality in Whole-Body Low-Dose Computed Tomography Staging. Diagnostics 2022, 12, 225. [Google Scholar] [CrossRef] [PubMed]
- Brendlin, A.S.; Schmid, U.; Plajer, D.; Chaika, M.; Mader, M.; Wrazidlo, R.; Männlin, S.; Spogis, J.; Estler, A.; Esser, M.; et al. AI Denoising Improves Image Quality and Radiological Workflows in Pediatric Ultra-Low-Dose Thorax Computed Tomography Scans. Tomography 2022, 8, 1678–1689. [Google Scholar] [CrossRef] [PubMed]
- Steuwe, A.; Valentin, B.; Bethge, O.T.; Ljimani, A.; Niegisch, G.; Antoch, G.; Aissa, J. Influence of a Deep Learning Noise Reduction on the CT Values, Image Noise and Characterization of Kidney and Ureter Stones. Diagnostics 2022, 12, 1627. [Google Scholar] [CrossRef] [PubMed]
- Arndt, C.; Güttler, F.; Heinrich, A.; Bürckenmeyer, F.; Diamantis, I.; Teichgräber, U. Deep Learning CT Image Reconstruction in Clinical Practice. Rofo 2021, 193, 252–261. [Google Scholar] [CrossRef]
- Delabie, A.; Bouzerar, R.; Pichois, R.; Desdoit, X.; Vial, J.; Renard, C. Diagnostic performance and image quality of deep learning image reconstruction (DLIR) on unenhanced low-dose abdominal CT for urolithiasis. Acta Radiol. 2022, 63, 1283–1292. [Google Scholar] [CrossRef]
- Thapaliya, S.; Brady, S.L.; Somasundaram, E.; Anton, C.G.; Coley, B.D.; Towbin, A.J.; Zhang, B.; Dillman, J.R.; Trout, A.T. Detection of urinary tract calculi on CT images reconstructed with deep learning algorithms. Abdom. Imaging 2022, 47, 265–271. [Google Scholar] [CrossRef]
- Zhang, G.; Zhang, X.; Xu, L.; Bai, X.; Jin, R.; Xu, M.; Yan, J.; Jin, Z.; Sun, H. Value of deep learning reconstruction at ultra-low-dose CT for evaluation of urolithiasis. Eur. Radiol. 2022, 32, 5954–5963. [Google Scholar] [CrossRef]
- AlgoMedica. What’s that noise? How Deep Learning Can Elevate CT Image Qualitiy, Reduce Dose Exposure, and Extend the Life of Older Scanners, in PixelShine White Paper. 2021. Available online: https://algomedica.com (accessed on 21 May 2023).
- McCollough, C.; Bakalyar, D.M.; Bostani, M.; Brady, S.; Boedeker, K.; Boone, J.M.; Chen-Mayer, H.H.; Christianson, O.I.; Leng, S.; Li, B.; et al. Use of Water Equivalent Diameter for Calculating Patient Size and Size-Specific Dose Estimates (SSDE) in CT: The Report of AAPM Task Group 220. AAPM Rep. 2014, 2014, 6–23. [Google Scholar]
- Pooler, B.D.; Lubner, M.G.; Kim, D.H.; Ryckman, E.M.; Sivalingam, S.; Tang, J.; Nakada, S.Y.; Chen, G.-H.; Pickhardt, P.J. Prospective Trial of the Detection of Urolithiasis on Ultralow Dose (Sub mSv) Noncontrast Computerized Tomography: Direct Comparison against Routine Low Dose Reference Standard. J. Urol. 2014, 192, 1433–1439. [Google Scholar] [CrossRef]
- Harder, A.M.D.; Willemink, M.J.; van Doormaal, P.J.; Wessels, F.J.; Lock, M.T.W.T.; Schilham, A.M.R.; Budde, R.P.J.; Leiner, T.; de Jong, P.A. Radiation dose reduction for CT assessment of urolithiasis using iterative reconstruction: A prospective intra-individual study. Eur. Radiol. 2018, 28, 143–150. [Google Scholar] [CrossRef] [PubMed]
- Reimer, R.P.; Salem, J.; Merkt, M.; Sonnabend, K.; Lennartz, S.; Zopfs, D.; Heidenreich, A.; Maintz, D.; Haneder, S.; Hokamp, N.G. Size and volume of kidney stones in computed tomography: Influence of acquisition techniques and image reconstruction parameters. Eur. J. Radiol. 2020, 132, 109267. [Google Scholar] [CrossRef] [PubMed]
- Reimer, R.P.; Klein, K.; Rinneburger, M.; Zopfs, D.; Lennartz, S.; Salem, J.; Heidenreich, A.; Maintz, D.; Haneder, S.; Hokamp, N.G. Manual kidney stone size measurements in computed tomography are most accurate using multiplanar image reformatations and bone window settings. Sci. Rep. 2021, 11, 16437. [Google Scholar] [CrossRef]
- Gamer, M.; Lemon, J.; Gamer, M.M.; Robinson, A.; Kendall’s, W. Package irr. Var. Coeff. Interrater Reliab. Agreem. 2019, 22, 1–32. [Google Scholar]
- Cohen, J. A Coefficient of Agreement for Nominal Scales. Educ. Psychol. Meas. 1960, 20, 37–46. [Google Scholar] [CrossRef]
- Brendlin, A.S.; Estler, A.; Plajer, D.; Lutz, A.; Grözinger, G.; Bongers, M.N.; Tsiflikas, I.; Afat, S.; Artzner, C.P. AI Denoising Significantly Enhances Image Quality and Diagnostic Confidence in Interventional Cone-Beam Computed Tomography. Tomography 2022, 8, 933–947. [Google Scholar] [CrossRef]
- Park, S.B.; Kim, Y.S.; Lee, J.B.; Park, H.J. Knowledge-based iterative model reconstruction (IMR) algorithm in ultralow-dose CT for evaluation of uro-lithiasis: Evaluation of radiation dose reduction, image quality, and diagnostic performance. Abdom. Imaging 2015, 40, 3137–3146. [Google Scholar] [CrossRef]
- Hsieh, J.; Liu, E.; Nett, B.; Tang, J.; Thibault, J.B.; Sahney, S. A New Era of Image Reconstruction: TrueFidelity. In Technical White Paper on Deep Learning Image Recon-Struction; General Electric Company: Boston, MA, USA, 2019. [Google Scholar]
- Boedeker, K. AiCE Deep Learning Reconstruction: Bringing the Power of Ultra-High Resolution CT to Routine Imaging, in AiCE White Paper. 2019. Available online: https://global.medical.canon (accessed on 21 May 2023).
- Pan, T.; Hasegawa, A.; Luo, D.; Wu, C.C.; Vikram, R. Technical Note: Impact on central frequency and noise magnitude ratios by advanced CT image reconstruction techniques. Med. Phys. 2020, 47, 480–487. [Google Scholar] [CrossRef]
- Laqmani, A.; Avanesov, M.; Butscheidt, S.; Kurfürst, M.; Sehner, S.; Schmidt-Holtz, J.; Derlin, T.; Behzadi, C.; Nagel, H.D.; Adam, G.; et al. Comparison of image quality and visibility of normal and abnormal findings at submillisievert chest CT using filtered back projection, iterative model reconstruction (IMR) and iDose 4™. Eur. J. Radiol. 2016, 85, 1971–1979. [Google Scholar] [CrossRef]




| Likert Scale | Image Noise | Overall Image Quality | Delineation of Ureter |
|---|---|---|---|
| 1 | Excessive | Non-diagnostic | Poor |
| 2 | Severe | Suboptimal | Difficult |
| 3 | Moderate | Acceptable | Intermediate |
| 4 | Some | Good | Good |
| 5 | No visually perceptible noise | Excellent | Excellent |
| FBP | HIR | MBIR | DLID | |
|---|---|---|---|---|
| Attenuation | ||||
| Renal parenchyma | 36.4 ± 5.0 | 35.8 ± 4.6 | 35.2 ± 4.6 | 36.5 ± 4.7 |
| Fat | −119.2 ± 10.4 | −118.5 ± 10.2 | −119.5 ± 9.7 | −117.9 ± 10.2 |
| Muscle | 58.1 ± 6.8 | 56.6 ± 4.8 | 54.2 ± 4.1 | 58.0 ± 6.6 |
| Urine | 13.5 ± 15.4 | 16.0 ± 12.9 | 15.0 ± 13.2 | 14.9 ± 14.5 |
| Noise | ||||
| Renal parenchyma | 62.1 ± 25.6 | 40.9 ± 12.1 | 24.3 ± 5.4 | 29.2 ± 12.0 |
| Fat | 34.0 ± 10.8 | 25.0 ± 6.7 | 18.5 ± 3.5 | 16.5 ± 4.8 |
| Muscle | 71.3 ± 29.4 | 44.7 ± 12.9 | 22.0 ± 5.6 | 33.3 ± 12.8 |
| Urine | 78.4 ± 30.3 | 44.9 ± 11.7 | 23.5 ± 5.1 | 35.1 ± 14.0 |
| SNR | 0.7 ± 0.2 | 1.0 ± 0.3 | 1.5 ± 0.3 | 1.4 ± 0.4 |
| CNR | 2.2 ± 1.0 | 2.3 ± 1.2 | 3.1 ± 1.7 | 3.0 ± 1.4 |
| FBP | HIR | MBIR | DLID | |
|---|---|---|---|---|
| Image noise | 2 (1–2) | 3 (2–3) | 4 (4–5) | 3 (2–3) |
| Overall image quality | 2 (2–3) | 3 (3–3) | 4 (4–4) | 3 (3–3) |
| Delineation of ureters | 2 (2–3) | 3 (2–3) | 4 (3–4) | 3 (2–3) |
| Zhang et al. [18] | Thapalia et al. [17] | Delabie et al. [16] | Steuwe et al. [14] | This Study | |
|---|---|---|---|---|---|
| Deep-learning algorithm (commercial name), vendor | AiCE, Canon | AiCE, Canon | TrueFidelity, GE | PixelShine, AlgoMedica | PixelShine, AlgoMedica |
| Preprocessing data | Raw data | Raw data | Raw data | FBP | FBP |
| Techniques compared | DLR, HIR | DLR, HIR | DLR, HIR, FBP | DLID, HIR, FBP | DLID, MBIR, HIR, FBP |
| Type of CT scans included | Abdomen + pelvis, low-dose | Abdomen + pelvis, low-dose | Abdomen + pelvis, low-dose | Abdomen + pelvis, low-dose | Abdomen + pelvis, low-dose |
| N of patients | 51 | 14 | 75 | 45 | 76 |
| Objective Criteria | Noise, SNR, radiation dose | n/a | Attenuation, noise, S-/CNR | Attenuation, noise, S-/CNR | Attenuation, noise, S-/CNR |
| Subjective Criteria | Image quality | n/a | Image quality | n/a | Image quality, image noise, delineation of ureters |
| Task-based criteria | Stone detectability | Stone detectability, stone size measurement | Stone detectability | Stone size measurements | Stone detectability, stone size measurement |
| Conclusion | Comparable detectability and size assessment of urinary stones while reducing radiation dose. | Comparable detectability of urinary stones between DLR and HIR. | DLR image quality superior to HIR and FBP. Excellent detection of urinary stones. | DLID to decrease image noise significantly. Improved objective image quality while maintaining correct stone size measurements. | DLID produced better image quality than HIR and FBP and matching HIR in diagnostic precision. MBIR yielded the best results. |
Disclaimer/Publisher’s Note: The statements, opinions and data contained in all publications are solely those of the individual author(s) and contributor(s) and not of MDPI and/or the editor(s). MDPI and/or the editor(s) disclaim responsibility for any injury to people or property resulting from any ideas, methods, instructions or products referred to in the content. |
© 2023 by the authors. Licensee MDPI, Basel, Switzerland. This article is an open access article distributed under the terms and conditions of the Creative Commons Attribution (CC BY) license (https://creativecommons.org/licenses/by/4.0/).
Share and Cite
Terzis, R.; Reimer, R.P.; Nelles, C.; Celik, E.; Caldeira, L.; Heidenreich, A.; Storz, E.; Maintz, D.; Zopfs, D.; Große Hokamp, N. Deep-Learning-Based Image Denoising in Imaging of Urolithiasis: Assessment of Image Quality and Comparison to State-of-the-Art Iterative Reconstructions. Diagnostics 2023, 13, 2821. https://doi.org/10.3390/diagnostics13172821
Terzis R, Reimer RP, Nelles C, Celik E, Caldeira L, Heidenreich A, Storz E, Maintz D, Zopfs D, Große Hokamp N. Deep-Learning-Based Image Denoising in Imaging of Urolithiasis: Assessment of Image Quality and Comparison to State-of-the-Art Iterative Reconstructions. Diagnostics. 2023; 13(17):2821. https://doi.org/10.3390/diagnostics13172821
Chicago/Turabian StyleTerzis, Robert, Robert Peter Reimer, Christian Nelles, Erkan Celik, Liliana Caldeira, Axel Heidenreich, Enno Storz, David Maintz, David Zopfs, and Nils Große Hokamp. 2023. "Deep-Learning-Based Image Denoising in Imaging of Urolithiasis: Assessment of Image Quality and Comparison to State-of-the-Art Iterative Reconstructions" Diagnostics 13, no. 17: 2821. https://doi.org/10.3390/diagnostics13172821
APA StyleTerzis, R., Reimer, R. P., Nelles, C., Celik, E., Caldeira, L., Heidenreich, A., Storz, E., Maintz, D., Zopfs, D., & Große Hokamp, N. (2023). Deep-Learning-Based Image Denoising in Imaging of Urolithiasis: Assessment of Image Quality and Comparison to State-of-the-Art Iterative Reconstructions. Diagnostics, 13(17), 2821. https://doi.org/10.3390/diagnostics13172821

