Accuracy, Hemorrhagic Complications and CT Radiation Dose of Emergency External Ventricular Drain (EVD) Placement in Pediatric Patients: A 15-Year Retrospective Analysis
Abstract
:1. Introduction
2. Materials and Methods
2.1. Patients
2.2. Neurosurgical Technique
2.3. Imaging
2.4. Study Analysis
2.5. Statistical Analysis
3. Results
3.1. Patient Collective
3.2. Perinterventional Analysis
3.2.1. Intervention Situs
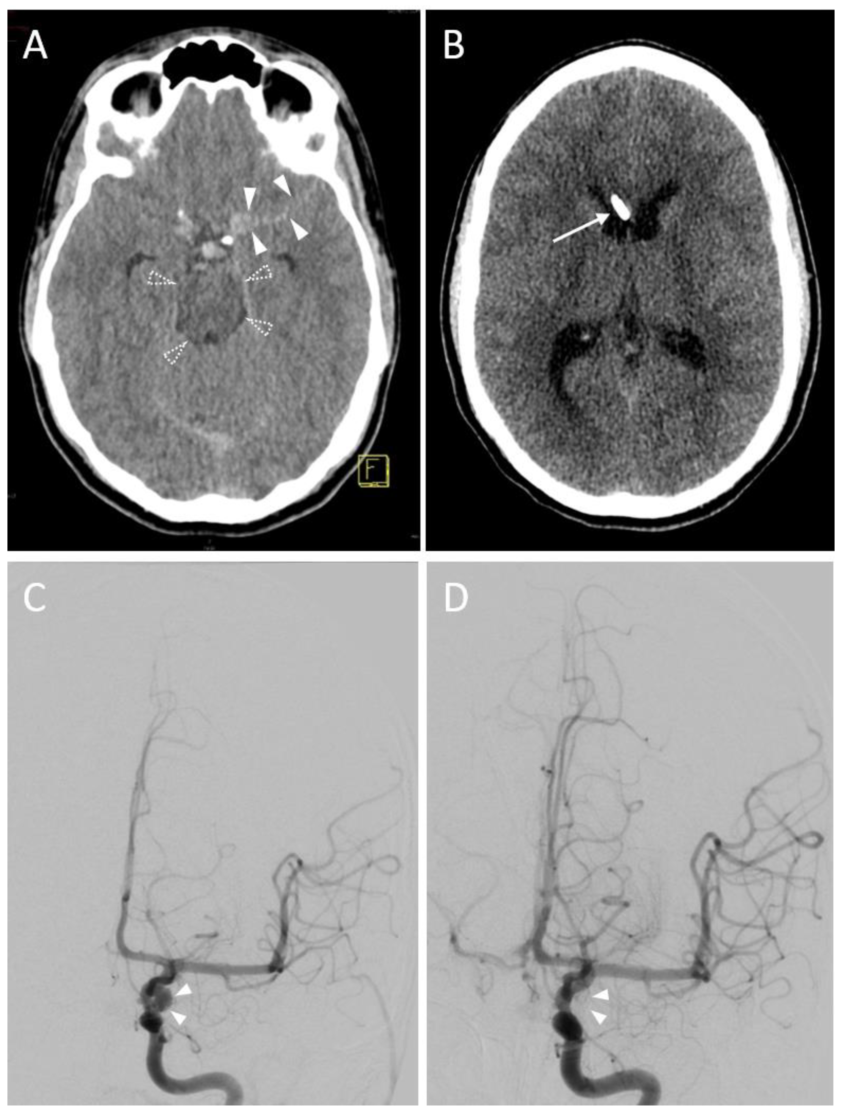
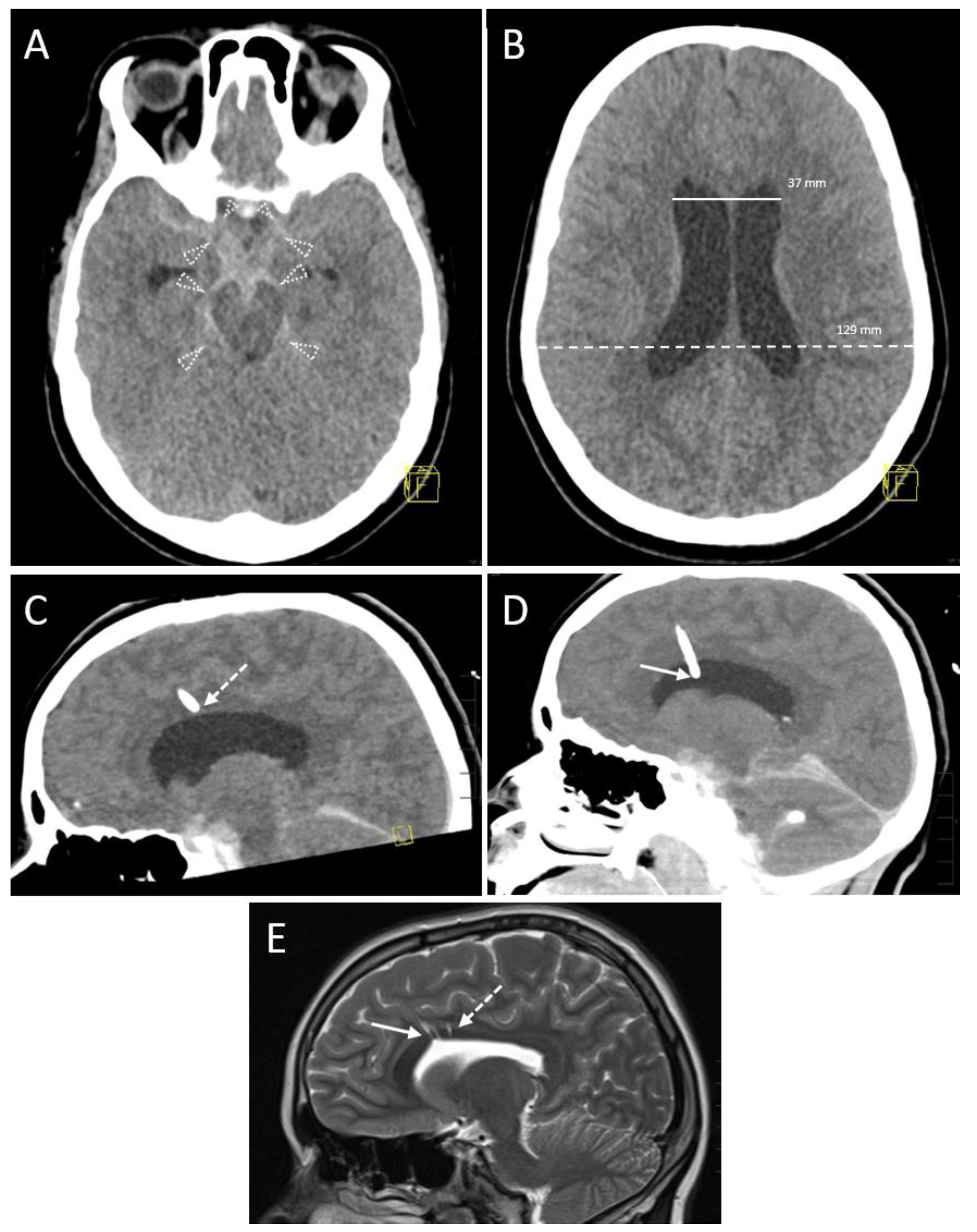
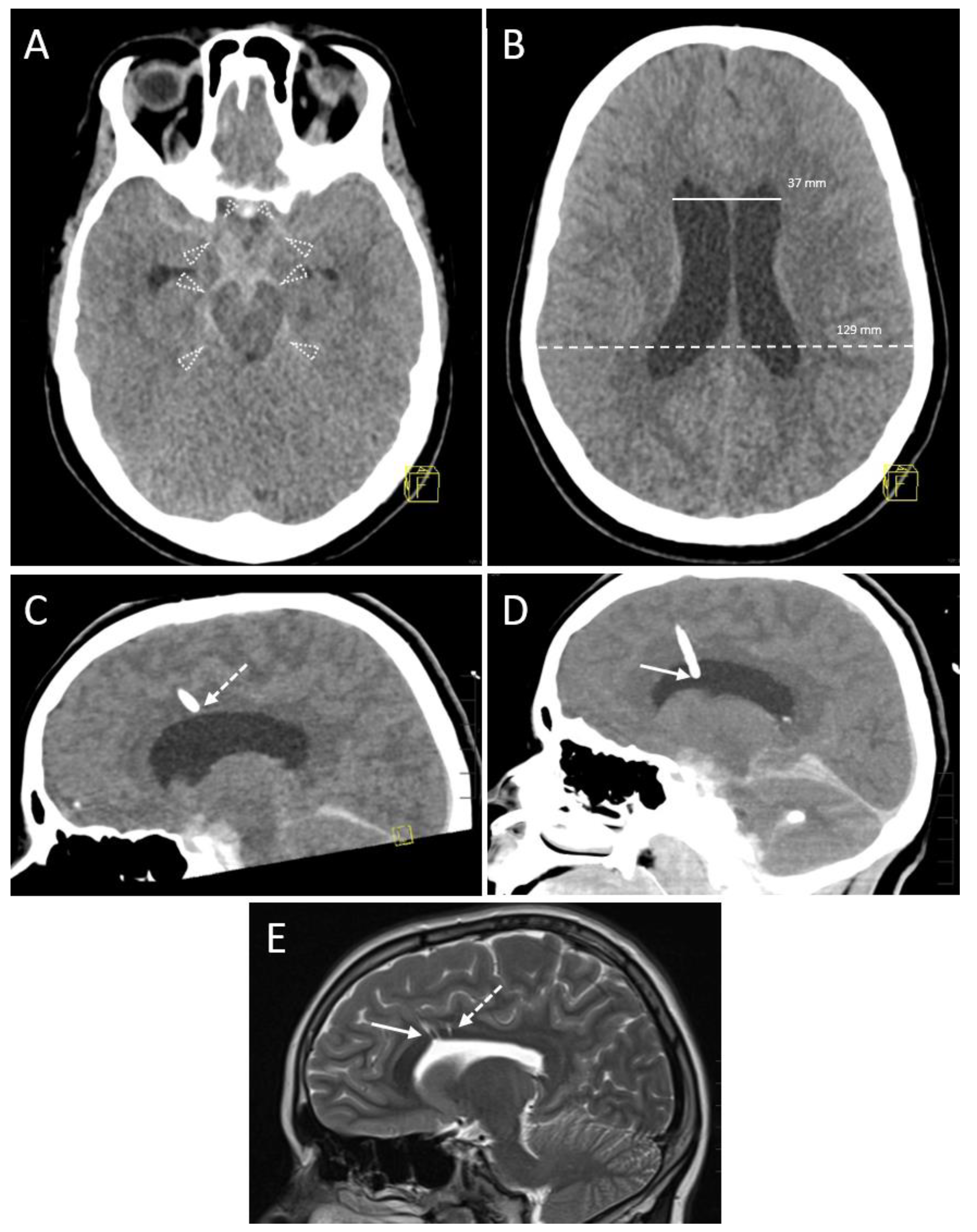
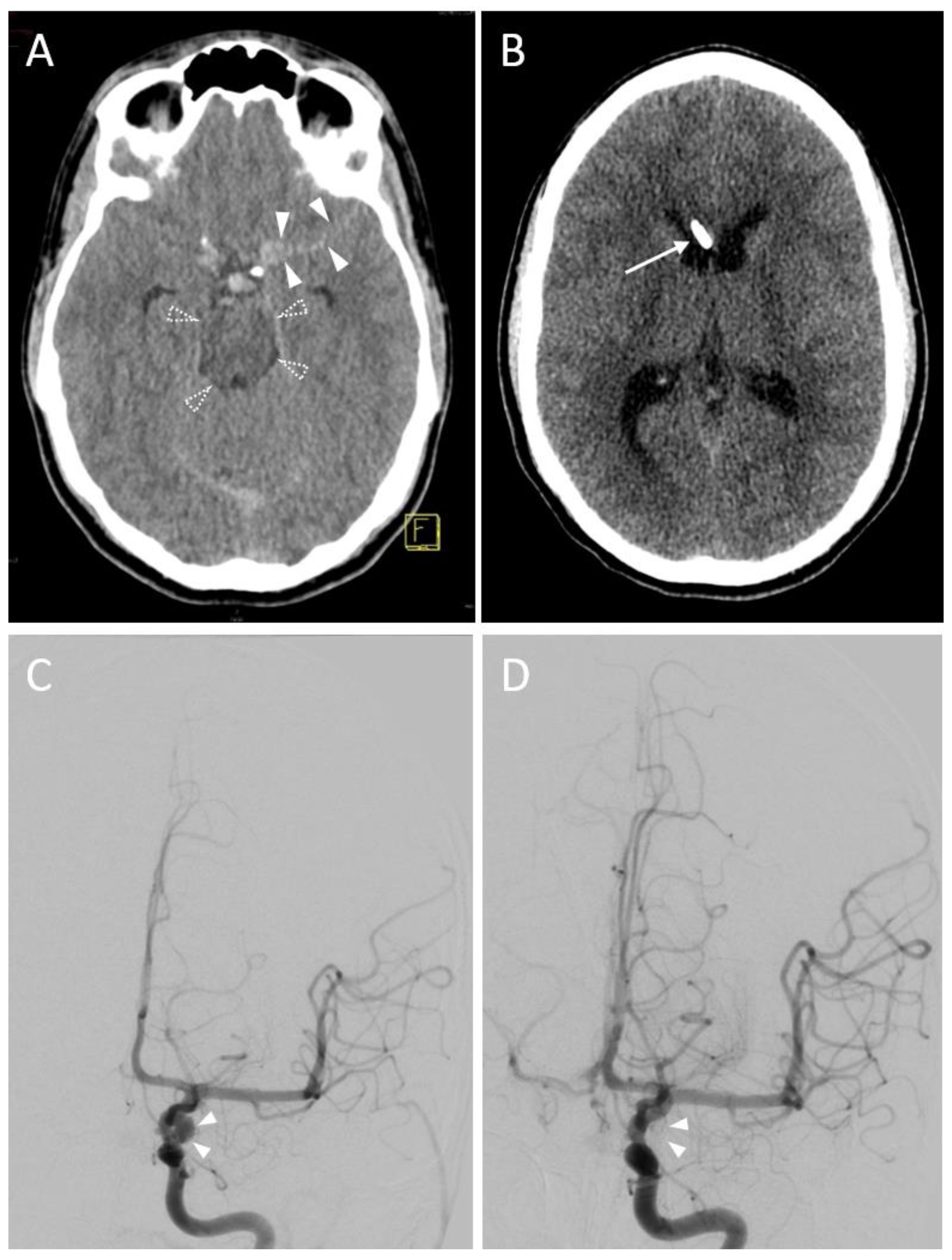
3.2.2. Imaging
3.2.3. Accuracy
3.2.4. Hemorrhage
3.2.5. CT Radiation Dose
3.2.6. Follow-up
4. Discussion
5. Conclusions
Supplementary Materials
Author Contributions
Funding
Institutional Review Board Statement
Informed Consent Statement
Data Availability Statement
Conflicts of Interest
References
- Kakarla, U.K.; Kim, L.J.; Chang, S.W.; Theodore, N.; Spetzler, R.F. Safety and accuracy of bedside external ventricular drain placement. Neurosurgery 2008, 63, ONS162–166; discussion ONS166–167. [Google Scholar] [CrossRef]
- Ofoma, H.; Cheaney, B., 2nd; Brown, N.J.; Lien, B.V.; Himstead, A.S.; Choi, E.H.; Cohn, S.; Campos, J.K.; Oh, M.Y. Updates on techniques and technology to optimize external ventricular drain placement: A review of the literature. Clin. Neurol. Neurosurg. 2022, 213, 107126. [Google Scholar] [CrossRef]
- Srinivasan, V.M.; O’Neill, B.R.; Jho, D.; Whiting, D.M.; Oh, M.Y. The history of external ventricular drainage. J. Neurosurg. 2014, 120, 228–236. [Google Scholar] [CrossRef]
- Weisenberg, S.H.; TerMaath, S.C.; Seaver, C.E.; Killeffer, J.A. Ventricular catheter development: Past, present, and future. J. Neurosurg. 2016, 125, 1504–1512. [Google Scholar] [CrossRef]
- Konovalov, A.; Shekhtman, O.; Pilipenko, Y.; Okishev, D.; Ershova, O.; Oshorov, A.; Abramyan, A.; Kurzakova, I.; Eliava, S. External Ventricular Drainage in Patients With Acute Aneurysmal Subarachnoid Hemorrhage After Microsurgical Clipping: Our 2006–2018 Experience and a Literature Review. Cureus 2021, 13, e12951. [Google Scholar] [CrossRef]
- Liu, H.; Wang, W.; Cheng, F.; Yuan, Q.; Yang, J.; Hu, J.; Ren, G. External Ventricular Drains versus Intraparenchymal Intracranial Pressure Monitors in Traumatic Brain Injury: A Prospective Observational Study. World Neurosurg. 2015, 83, 794–800. [Google Scholar] [CrossRef]
- Verhey, L.H.; Maharaj, A.; Patel, N.; Manoranjan, B.; Ajani, O.; Fleming, A.; Farrokhyar, F.; Singh, S.K.; Yarascavitch, B.; on behalf the Pediatric Brain Tumor Study Group. External ventricular drainage in the management of pediatric patients with posterior fossa tumors and hydrocephalus: A retrospective cohort study. Childs Nerv. Syst. 2023, 39, 887–894. [Google Scholar] [CrossRef]
- Mahto, N.; Owodunni, O.P.; Okakpu, U.; Kazim, S.F.; Varela, S.; Varela, Y.; Garcia, J.; Alunday, R.; Schmidt, M.H.; Bowers, C.A. Postprocedural Complications of External Ventricular Drains: A Meta-Analysis Evaluating the Absolute Risk of Hemorrhages, Infections, and Revisions. World Neurosurg. 2023, 171, 41–64. [Google Scholar] [CrossRef]
- Toma, A.K.; Camp, S.; Watkins, L.D.; Grieve, J.; Kitchen, N.D. External ventricular drain insertion accuracy: Is there a need for change in practice? Neurosurgery 2009, 65, 1197–1200; discussion 1200–1191. [Google Scholar] [CrossRef]
- Ortolano, F.; Carbonara, M.; Stanco, A.; Civelli, V.; Carrabba, G.; Zoerle, T.; Stocchetti, N. External ventricular drain causes brain tissue damage: An imaging study. Acta Neurochir. 2017, 159, 1981–1989. [Google Scholar] [CrossRef]
- Bender, M.; Schwarm, F.; Stein, M.; Uhl, E.; Reinges, M.H.T. Placement of External Ventricular Drain: Comparison of Two Methods. J. Neurol. Surg. A Cent. Eur. Neurosurg. 2019, 80, 116–121. [Google Scholar] [CrossRef] [PubMed]
- Fiorella, D.; Peeling, L.; Denice, C.M.; Sarmiento, M.; Woo, H.H. Integrated flat detector CT and live fluoroscopic-guided external ventricular drain placement within the neuroangiography suite. J. Neurointerv. Surg. 2014, 6, 457–460. [Google Scholar] [CrossRef] [PubMed]
- AlAzri, A.; Mok, K.; Chankowsky, J.; Mullah, M.; Marcoux, J. Placement accuracy of external ventricular drain when comparing freehand insertion to neuronavigation guidance in severe traumatic brain injury. Acta Neurochir. 2017, 159, 1399–1411. [Google Scholar] [CrossRef] [PubMed]
- Kochanek, P.M.; Tasker, R.C.; Carney, N.; Totten, A.M.; Adelson, P.D.; Selden, N.R.; Davis-O’Reilly, C.; Hart, E.L.; Bell, M.J.; Bratton, S.L.; et al. Guidelines for the Management of Pediatric Severe Traumatic Brain Injury, Third Edition: Update of the Brain Trauma Foundation Guidelines, Executive Summary. Pediatr. Crit. Care Med. 2019, 20, 280–289. [Google Scholar] [CrossRef]
- Miller, C.; Guillaume, D. Incidence of hemorrhage in the pediatric population with placement and removal of external ventricular drains. J. Neurosurg. Pediatr. 2015, 16, 662–667. [Google Scholar] [CrossRef]
- Ngo, Q.N.; Ranger, A.; Singh, R.N.; Kornecki, A.; Seabrook, J.A.; Fraser, D.D. External ventricular drains in pediatric patients. Pediatr. Crit. Care Med. 2009, 10, 346–351. [Google Scholar] [CrossRef]
- Bundesamt für Strahlenschutz. Bekanntmachung der Aktualisierten Diagnostischen Referenzwerte für Diagnostische und Interventionelle Röntgenanwendungen. Available online: https://www.bfs.de/DE/themen/ion/anwendung-medizin/diagnostik/referenzwerte/bekanntmachung-referenzwerte.html (accessed on 1 July 2023).
- Nowacki, A.; Wagner, F.; Soll, N.; Hakim, A.; Beck, J.; Raabe, A.; Z’Graggen, W.J. Preliminary Results of Emergency Computed Tomography-Guided Ventricular Drain Placement-Precision for the Most Difficult Cases. World Neurosurg. 2018, 114, e1290–e1296. [Google Scholar] [CrossRef]
- Woo, P.Y.M.; Ng, B.C.F.; Xiao, J.X.; Wong, D.; Seto, A.; Lam, S.; Yim, C.; Lo, H.Y.; Po, Y.C.; Wong, L.Y.W.; et al. The importance of aspirin, catheterization accuracy, and catheter design in external ventricular drainage-related hemorrhage: A multicenter study of 1002 procedures. Acta Neurochir. 2019, 161, 1623–1632. [Google Scholar] [CrossRef]
- Wiesmann, M.; Mayer, T.E. Intracranial bleeding rates associated with two methods of external ventricular drainage. J. Clin. Neurosci. 2001, 8, 126–128. [Google Scholar] [CrossRef]
- Deak, P.D.; Smal, Y.; Kalender, W.A. Multisection CT protocols: Sex- and age-specific conversion factors used to determine effective dose from dose-length product. Radiology 2010, 257, 158–166. [Google Scholar] [CrossRef]
- Brenke, C.; Furst, J.; Katsigiannis, S.; Carolus, A.E. High accuracy of external ventricular drainage placement using anatomical landmarks. Neurochirurgie 2020, 66, 435–441. [Google Scholar] [CrossRef]
- Mizrahi, C.J.; Paldor, I.; Candanedo, C.; Mollica, S.; Itshayek, E. Accuracy of freehand external ventricular drain placement in patients after a large decompressive hemicraniectomy. J. Clin. Neurosci. 2020, 81, 27–31. [Google Scholar] [CrossRef] [PubMed]
- Schuss, P.; Wispel, C.; Borger, V.; Guresir, A.; Vatter, H.; Guresir, E. Accuracy and Safety of Ventriculostomy Using Two Different Procedures of External Ventricular Drainage: A Single-Center Series. J. Neurol. Surg. A Cent. Eur. Neurosurg. 2018, 79, 206–210. [Google Scholar] [CrossRef] [PubMed]
- Fisher, B.; Soon, W.C.; Ong, J.; Chan, T.; Chowdhury, Y.; Hodson, J.; White, A. Is Image Guidance Essential for External Ventricular Drain Insertion? World Neurosurg. 2021, 156, e329–e337. [Google Scholar] [CrossRef] [PubMed]
- Ellens, N.R.; Fischer, D.L.; Meldau, J.E.; Schroeder, B.A.; Patra, S.E. External Ventricular Drain Placement Accuracy and Safety When Done by Midlevel Practitioners. Neurosurgery 2019, 84, 235–241. [Google Scholar] [CrossRef]
- Enriquez-Marulanda, A.; Ascanio, L.C.; Salem, M.M.; Maragkos, G.A.; Jhun, R.; Alturki, A.Y.; Moore, J.M.; Ogilvy, C.S.; Thomas, A.J. Accuracy and Safety of External Ventricular Drain Placement by Physician Assistants and Nurse Practitioners in Aneurysmal Acute Subarachnoid Hemorrhage. Neurocrit. Care 2018, 29, 435–442. [Google Scholar] [CrossRef]
- Barath, A.S.; Rusheen, A.E.; Cabrera, J.M.R.; Shin, H.; Blaha, C.D.; Bennet, K.E.; Goerss, S.J.; Lee, K.H.; Oh, Y. Development and validation of a rapidly deployable CT-guided stereotactic system for external ventricular drainage: Preclinical study. Sci. Rep. 2021, 11, 17492. [Google Scholar] [CrossRef]
- Eftekhar, B. App-assisted external ventricular drain insertion. J. Neurosurg. 2016, 125, 754–758. [Google Scholar] [CrossRef]
- Eisenring, C.V.; Burn, F.; Baumann, M.; Stieglitz, L.H.; Kockro, R.A.; Beck, J.; Raabe, A.; Oertel, M.F. sEVD-smartphone-navigated placement of external ventricular drains. Acta Neurochir. 2020, 162, 513–521. [Google Scholar] [CrossRef]
- Feulner, J.; Lang, S.; Buder, T.; Struffert, T.; Buchfelder, M.; Brandner, S. Flat Panel Detector Computed Tomography-Guided Placement of External Ventricular Drains Using the BrainLAB Headband and Precalibrated Disposable Stylet Instrument: A Cadaveric Feasibility Study. World Neurosurg. 2018, 115, 324–328. [Google Scholar] [CrossRef]
- Hopfgartner, A.; Burns, D.; Suppiah, S.; Martin, A.R.; Hardisty, M.; Whyne, C.M. Bullseye EVD: Preclinical evaluation of an intra-procedural system to confirm external ventricular drainage catheter positioning. Int. J. Comput. Assist. Radiol. Surg. 2022, 17, 1191–1199. [Google Scholar] [CrossRef] [PubMed]
- Konovalov, A.; Okishev, D.; Shekhtman, O.; Pilipenko, Y.; Eliava, S. Neuronavigation device for stereotaxic external ventricular drainage insertion. Surg. Neurol. Int. 2021, 12, 266. [Google Scholar] [CrossRef]
- Raabe, C.; Fichtner, J.; Beck, J.; Gralla, J.; Raabe, A. Revisiting the rules for freehand ventriculostomy: A virtual reality analysis. J. Neurosurg. 2018, 128, 1250–1257. [Google Scholar] [CrossRef] [PubMed]
- Schneider, M.; Kunz, C.; Pal’a, A.; Wirtz, C.R.; Mathis-Ullrich, F.; Hlavac, M. Augmented reality-assisted ventriculostomy. Neurosurg. Focus 2021, 50, E16. [Google Scholar] [CrossRef]
- Skyrman, S.; Lai, M.; Edstrom, E.; Burstrom, G.; Forander, P.; Homan, R.; Kor, F.; Holthuizen, R.; Hendriks, B.H.W.; Persson, O.; et al. Augmented reality navigation for cranial biopsy and external ventricular drain insertion. Neurosurg. Focus 2021, 51, E7. [Google Scholar] [CrossRef] [PubMed]
- Yi, Z.; He, B.; Deng, Z.; Liu, Y.; Huang, S.; Hong, W. A virtual reality-based data analysis for optimizing freehand external ventricular drain insertion. Int. J. Comput. Assist. Radiol. Surg. 2021, 16, 269–276. [Google Scholar] [CrossRef]
- Gautschi, O.P.; Smoll, N.R.; Kotowski, M.; Schatlo, B.; Tosic, M.; Stimec, B.; Fasel, J.; Schaller, K.; Bijlenga, P. Non-assisted versus neuro-navigated and XperCT-guided external ventricular catheter placement: A comparative cadaver study. Acta Neurochir. 2014, 156, 777–785; discussion 785. [Google Scholar] [CrossRef] [PubMed]
- Chiu, T.L.; Lin, S.Z.; Ahmed, T.; Huang, C.Y.; Chen, C.H. Pilot study of a new type of machine vision-assisted stereotactic neurosurgery for EVD placement. Acta Neurochir. 2022, 164, 2385–2393. [Google Scholar] [CrossRef]
- Binz, D.D.; Toussaint, L.G., 3rd; Friedman, J.A. Hemorrhagic complications of ventriculostomy placement: A meta-analysis. Neurocrit. Care 2009, 10, 253–256. [Google Scholar] [CrossRef]
- Bruder, M.; Schuss, P.; Konczalla, J.; El-Fiki, A.; Lescher, S.; Vatter, H.; Seifert, V.; Guresir, E. Ventriculostomy-Related Hemorrhage After Treatment of Acutely Ruptured Aneurysms: The Influence of Anticoagulation and Antiplatelet Treatment. World Neurosurg. 2015, 84, 1653–1659. [Google Scholar] [CrossRef]
- Gard, A.P.; Sayles, B.D.; Robbins, J.W.; Thorell, W.E.; Surdell, D.L. Hemorrhage Rate After External Ventricular Drain Placement in Subarachnoid Hemorrhage: Time to Heparin Administration. Neurocrit. Care 2017, 27, 350–355. [Google Scholar] [CrossRef] [PubMed]
- Maniker, A.H.; Vaynman, A.Y.; Karimi, R.J.; Sabit, A.O.; Holland, B. Hemorrhagic complications of external ventricular drainage. Neurosurgery 2006, 59, ONS419–ONS424; discussion ONS424–ONS415. [Google Scholar] [CrossRef] [PubMed]
- Roa, J.A.; Fakih, R.; Zanaty, M.; Pazour, A.; Howard, M.A.; Hasan, D.M.; Samaniego, E.A. Quantitative Assessment of Ventriculostomy-Related Hemorrhage: A Volume-Based Classification System to Predict New Neurological Symptoms. Oper. Neurosurg. 2021, 20, 198–205. [Google Scholar] [CrossRef]
- Khanna, R.K.; Rosenblum, M.L.; Rock, J.P.; Malik, G.M. Prolonged external ventricular drainage with percutaneous long-tunnel ventriculostomies. J. Neurosurg. 1995, 83, 791–794. [Google Scholar] [CrossRef]
- Anderson, R.C.; Kan, P.; Klimo, P.; Brockmeyer, D.L.; Walker, M.L.; Kestle, J.R. Complications of intracranial pressure monitoring in children with head trauma. J. Neurosurg. 2004, 101, 53–58. [Google Scholar] [CrossRef] [PubMed]
- Harbaugh, R.E.; Saunders, R.L.; Edwards, W.H. External ventricular drainage for control of posthemorrhagic hydrocephalus in premature infants. J. Neurosurg. 1981, 55, 766–770. [Google Scholar] [CrossRef]
- Rhodes, T.T.; Edwards, W.H.; Saunders, R.L.; Harbaugh, R.E.; Little, C.L.; Morgan, L.J.; Sargent, S.K. External ventricular drainage for initial treatment of neonatal posthemorrhagic hydrocephalus: Surgical and neurodevelopmental outcome. Pediatr. Neurosci. 1987, 13, 255–262. [Google Scholar] [CrossRef]
- Weninger, M.; Salzer, H.R.; Pollak, A.; Rosenkranz, M.; Vorkapic, P.; Korn, A.; Lesigang, C. External ventricular drainage for treatment of rapidly progressive posthemorrhagic hydrocephalus. Neurosurgery 1992, 31, 52–57; discussion 57–58. [Google Scholar] [CrossRef]
- Whitelaw, A.; Pople, I.; Cherian, S.; Evans, D.; Thoresen, M. Phase 1 trial of prevention of hydrocephalus after intraventricular hemorrhage in newborn infants by drainage, irrigation, and fibrinolytic therapy. Pediatrics 2003, 111, 759–765. [Google Scholar] [CrossRef]
- Scheller, C.; Strauss, C.; Prell, J.; Simmermacher, S.; Brandt, S. Increased rate of ventriculostomy-related hemorrhage following endovascular treatment of ruptured aneurysms compared to clipping. Acta Neurochir. 2018, 160, 545–550. [Google Scholar] [CrossRef]
- Miller, C.; Tummala, R.P. Risk factors for hemorrhage associated with external ventricular drain placement and removal. J. Neurosurg. 2017, 126, 289–297. [Google Scholar] [CrossRef] [PubMed]
- Degteva, M.O.; Tolstykh, E.I.; Shishkina, E.A.; Sharagin, P.A.; Zalyapin, V.I.; Volchkova, A.Y.; Smith, M.A.; Napier, B.A. Stochastic parametric skeletal dosimetry model for humans: General approach and application to active marrow exposure from bone-seeking beta-particle emitters. PLoS ONE 2021, 16, e0257605. [Google Scholar] [CrossRef] [PubMed]





| Age (Years) | 11.4 ± 5.1 (0–17) 1 |
|---|---|
| Sex | |
| Female | 12 (41.4) 2 |
| Male | 17 (58.6) 2 |
| Indications for EVD placement | |
| Tumor (WHO 3 grade) | 8 (27.6) 2 |
| Pilocytic Astrocytoma (I) | 1 (3.4) 2 |
| Craniopharyngioma (I) | 1 (3.4) 2 |
| Ependymoma (III) | 1 (3.4) 2 |
| Glioblastoma (IV) | 3 (10.3) 2 |
| Medulloblastoma (IV) | 1 (3.4) 2 |
| Pineoblastoma (IV) | 1 (3.4) 2 |
| Trauma | 7 (24.1) 2 |
| Car accident | 4 (13.9) 2 |
| Motorbike accident | 2 (6.8) 2 |
| Pedestrian accident | 1 (3.4) 2 |
| ICH 4 (non-traumatic) | 7 (24.1) 2 |
| Arteriovenous Malformation | 3 (10.3) 2 |
| Aneurysm | 1 (3.4) 2 |
| Metastasis | 1 (3.4) 2 |
| Extracorporeal Membrane Oxygenation | 1 (3.4) 2 |
| Idiopathic thrombocytopenic purpura | 1 (3.4) 2 |
| Other | 7 (24.1) 2 |
| Acute dysfunction of VP-/VA 5 Shunt | 6 (20.7) 2 |
| Stroke | 1 (3.4) 2 |
| Ventricular Width (mm) | 13.4 ± 6.5 (2–26) 1 |
|---|---|
| Midline shift | |
| Present | 8/36 (22.2) 2 |
| Amount (mm) | 4.9 ± 3.6 (2–12) 1 |
| Drain insertion side | |
| Right | 26/36 (72.2) 2 |
| Left | 7/36 (19.5) 2 |
| Bilateral | 3/36 (8.3) 2 |
| Planning CT scan during same session | 15 (41.7) 2 |
| Additional CT scan same/previous day | 5/2 |
| Additional MRI scan same/previous day | 1/4 |
| No planning CT scan during same session | 21 (58.3) 2 |
| Additional CT scan same/previous day | 14/4 |
| Additional MRI scan same/previous day | 1/0 |
| Additional CT scan same or previous day | 25 (69.4) 2 |
| Additional MRI scan same or previous day | 6 (16.7) 2 |
| CT control scans per session | 1 [1; 2] (1–4) 3 |
| Sessions with a total of 1 control scan | 21 (58.3) 2 |
| Sessions with a total of 2 control scans | 13 (36.1) 2 |
| Sessions with a total of 3 control scans | 0 (0.0) 2 |
| Sessions with a total of 4 control scans | 2 (5.6) 2 |
| Procedure time (minutes) | 22 [15; 52] (5–94) 3 |
| EVD position in 1st control CT scan | |
| Kakarla I | 28 (77.8) * |
| Kakarla II | 8 (22.2) * |
| Kakarla III | 0 (0.0) * |
| EVD position in 2nd control CT scan | |
| Kakarla I | 11 (30.6) * |
| Kakarla II | 2 (5.6) * |
| Kakarla III | 0 (0.0) * |
| EVD position in 3rd control CT scan | |
| Kakarla I | 1 (2.8) * |
| Kakarla II | 1 (2.8) * |
| Kakarla III | 0 (0.0) * |
| EVD position in 4th control CT scan | |
| Kakarla I | 1 (2.8) * |
| Kakarla II | 1 (2.8) * |
| Kakarla III | 0 (0.0) * |
| Final EVD position | |
| Kakarla I | 35 (97.2) * |
| Kakarla II | 1 (2.8) * |
| Hemorrhage on follow-up CT | |
| No evidence of hemorrhage | 32 (88.9) * |
| Grade 1 (<1 mL) | 3 (8.3) * |
| Grade 2 (≥1 to 15 mL) | 1 (2.8) * |
| Grade 3 (>15 mL) | 0 (0.0) * |
Disclaimer/Publisher’s Note: The statements, opinions and data contained in all publications are solely those of the individual author(s) and contributor(s) and not of MDPI and/or the editor(s). MDPI and/or the editor(s) disclaim responsibility for any injury to people or property resulting from any ideas, methods, instructions or products referred to in the content. |
© 2023 by the authors. Licensee MDPI, Basel, Switzerland. This article is an open access article distributed under the terms and conditions of the Creative Commons Attribution (CC BY) license (https://creativecommons.org/licenses/by/4.0/).
Share and Cite
Stahl, R.; D’Anastasi, M.; Forbrig, R.; Liebig, T.; Katzendobler, S.; Weller, J.; Trumm, C.G. Accuracy, Hemorrhagic Complications and CT Radiation Dose of Emergency External Ventricular Drain (EVD) Placement in Pediatric Patients: A 15-Year Retrospective Analysis. Diagnostics 2023, 13, 2805. https://doi.org/10.3390/diagnostics13172805
Stahl R, D’Anastasi M, Forbrig R, Liebig T, Katzendobler S, Weller J, Trumm CG. Accuracy, Hemorrhagic Complications and CT Radiation Dose of Emergency External Ventricular Drain (EVD) Placement in Pediatric Patients: A 15-Year Retrospective Analysis. Diagnostics. 2023; 13(17):2805. https://doi.org/10.3390/diagnostics13172805
Chicago/Turabian StyleStahl, Robert, Melvin D’Anastasi, Robert Forbrig, Thomas Liebig, Sophie Katzendobler, Jonathan Weller, and Christoph G. Trumm. 2023. "Accuracy, Hemorrhagic Complications and CT Radiation Dose of Emergency External Ventricular Drain (EVD) Placement in Pediatric Patients: A 15-Year Retrospective Analysis" Diagnostics 13, no. 17: 2805. https://doi.org/10.3390/diagnostics13172805
APA StyleStahl, R., D’Anastasi, M., Forbrig, R., Liebig, T., Katzendobler, S., Weller, J., & Trumm, C. G. (2023). Accuracy, Hemorrhagic Complications and CT Radiation Dose of Emergency External Ventricular Drain (EVD) Placement in Pediatric Patients: A 15-Year Retrospective Analysis. Diagnostics, 13(17), 2805. https://doi.org/10.3390/diagnostics13172805

