A Machine Learning Approach to Assess Patients with Deep Neck Infection Progression to Descending Mediastinitis: Preliminary Results
Abstract
:1. Introduction
2. Materials and Methods
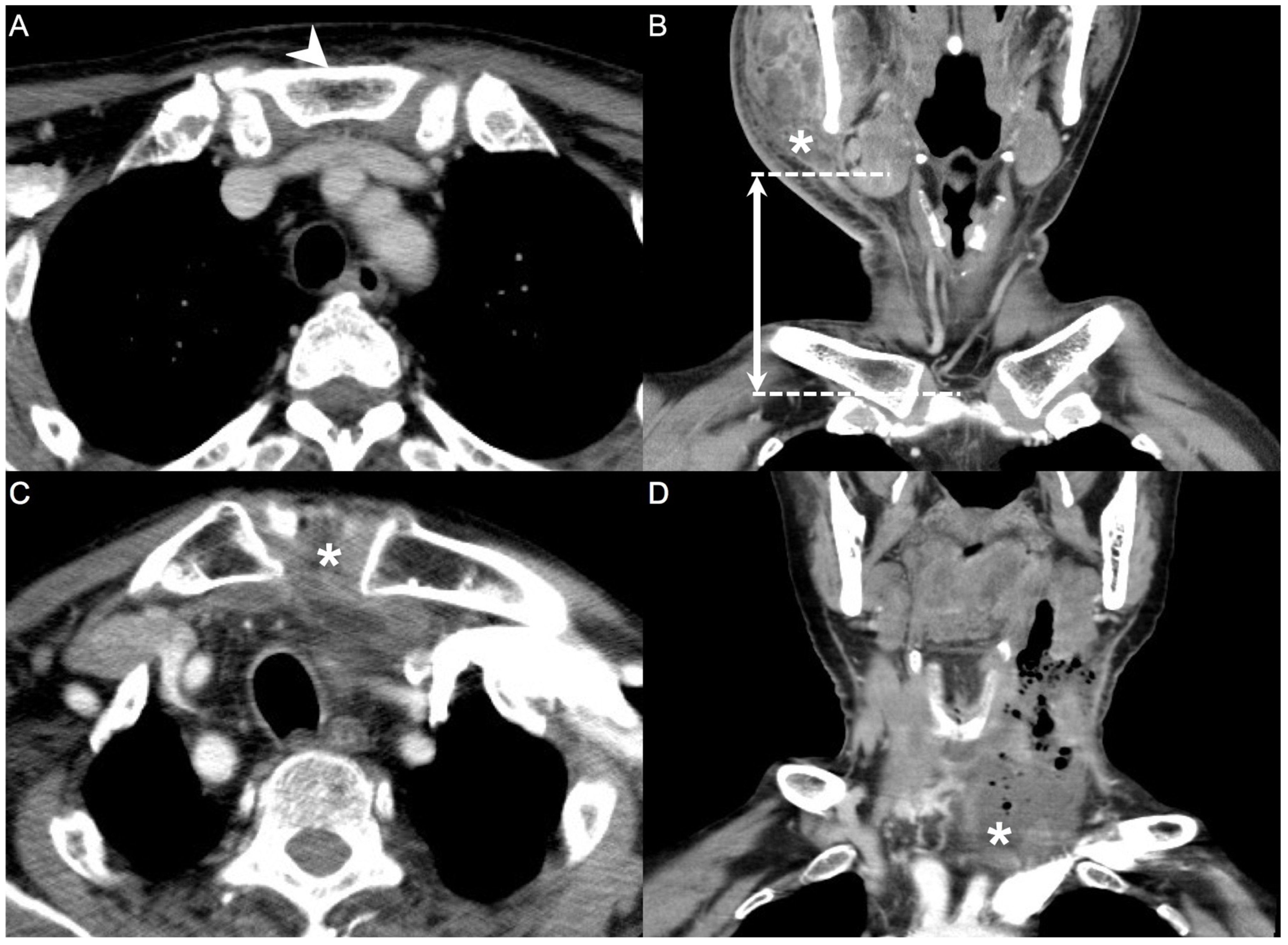
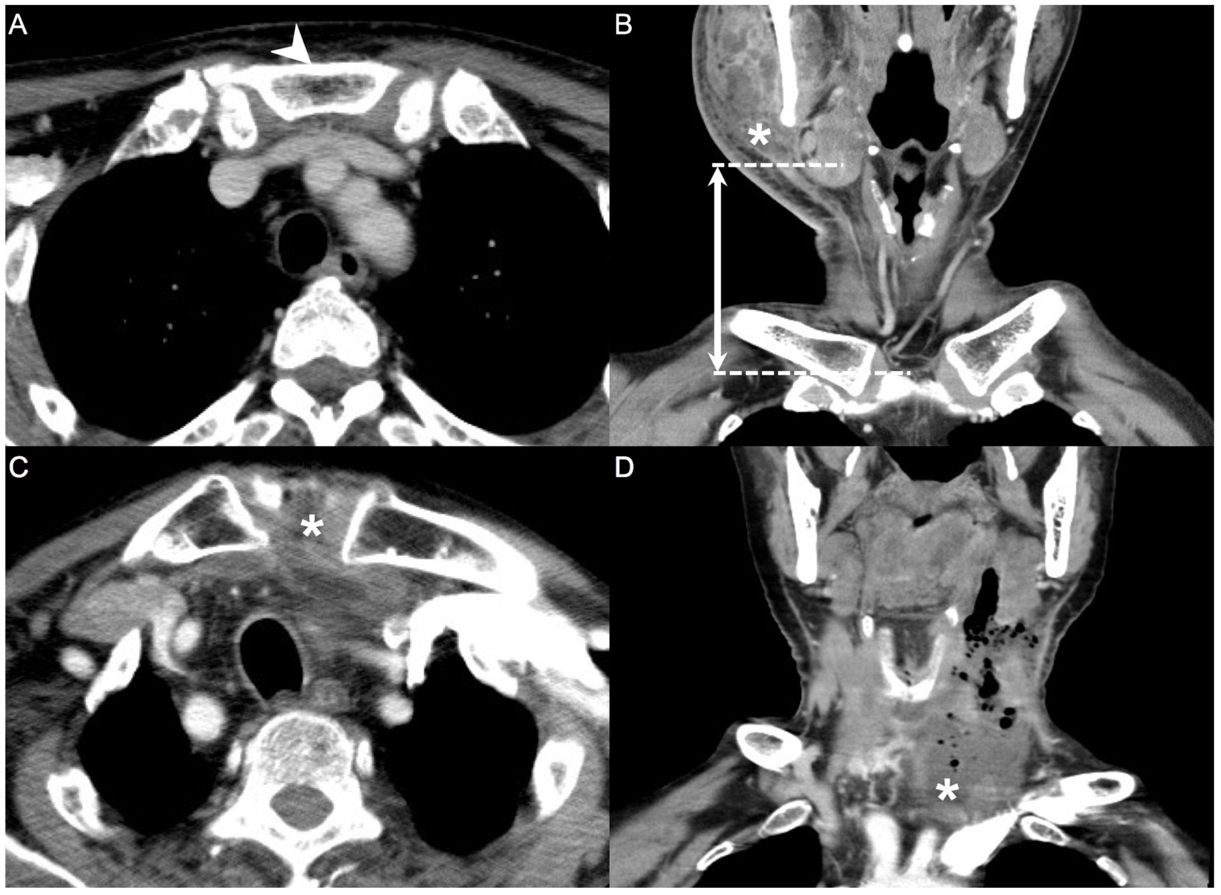
2.1. CT Measurements
2.2. Data Collection
2.3. k-Nearest Neighbor (k-NN) Method
2.4. Exclusion Criteria
2.5. Ethics Statement
2.6. Statistical Analysis
3. Results
4. Discussion
Study Limitations
5. Conclusions
Author Contributions
Funding
Institutional Review Board Statement
Informed Consent Statement
Data Availability Statement
Acknowledgments
Conflicts of Interest
References
- Velhonoja, J.; Laaveri, M.; Soukka, T.; Irjala, H.; Kinnunen, I. Deep neck space infections: An upward trend and changing characteristics. Eur. Arch. Otorhinolaryngol. 2020, 277, 863–872. [Google Scholar] [CrossRef] [PubMed]
- Ho, C.-Y.; Wang, Y.-C.; Chin, S.-C.; Chen, S.-L. Factors Affecting Patients with Concurrent Deep Neck Infection and Acute Epiglottitis. Diagnostics 2022, 12, 29. [Google Scholar] [CrossRef] [PubMed]
- Tapiovaara, L.; Back, L.; Aro, K. Comparison of intubation and tracheotomy in patients with deep neck infection. Eur. Arch. Otorhinolaryngol. 2017, 274, 3767–3772. [Google Scholar] [CrossRef] [PubMed]
- Ho, C.Y.; Chin, S.C.; Chen, S.L. Management of Descending Necrotizing Mediastinitis, a Severe Complication of Deep Neck Infection, Based on Multidisciplinary Approaches and Departmental Co-Ordination. Ear Nose Throat J. 2022, 1455613211068575. [Google Scholar] [CrossRef]
- Sokouti, M.; Nezafati, S. Descending necrotizing mediastinitis of oropharyngeal infections. J. Dent. Res. Dent. Clin. Dent. Prospect. 2009, 3, 82–85. [Google Scholar] [CrossRef]
- Kimura, A.; Miyamoto, S.; Yamashita, T. Clinical predictors of descending necrotizing mediastinitis after deep neck infections. Laryngoscope 2019, 130, E567–E572. [Google Scholar] [CrossRef]
- Yun, J.S.; Lee, C.H.; Na, K.J.; Song, S.Y.; Oh, S.G.; Jeong, I.S. Surgical Experience with Descending Necrotizing Mediastinitis: A Retrospective Analysis at a Single Center. J. Chest Surg. 2023, 56, 35–41. [Google Scholar] [CrossRef]
- Inoue, Y.; Gika, M.; Nozawa, K.; Ikeda, Y.; Takanami, I. Optimum drainage method in descending necrotizing mediastinitis. Interact. Cardiovasc. Thorac. Surg. 2005, 4, 189–192. [Google Scholar] [CrossRef]
- Ishinaga, H.; Otsu, K.; Sakaida, H.; Miyamura, T.; Nakamura, S.; Kitano, M.; Tenpaku, H.; Takao, M.; Kobayashi, M.; Takeuchi, K. Descending necrotizing mediastinitis from deep neck infection. Eur. Arch. Otorhinolaryngol. 2013, 270, 1463–1466. [Google Scholar] [CrossRef]
- Bur, A.M.; Shew, M.; New, J. Artificial Intelligence for the Otolaryngologist: A State of the Art Review. Otolaryngol. Head Neck Surg. 2019, 160, 603–611. [Google Scholar] [CrossRef]
- Peiffer-Smadja, N.; Rawson, T.M.; Ahmad, R.; Buchard, A.; Georgiou, P.; Lescure, F.X.; Birgand, G.; Holmes, A.H. Machine learning for clinical decision support in infectious diseases: A narrative review of current applications. Clin. Microbiol. Infect. 2020, 26, 584–595. [Google Scholar] [CrossRef]
- James, C.; Ranson, J.M.; Everson, R.; Llewellyn, D.J. Performance of Machine Learning Algorithms for Predicting Progression to Dementia in Memory Clinic Patients. JAMA Netw. Open 2021, 4, e2136553. [Google Scholar] [CrossRef]
- Golas, S.B.; Shibahara, T.; Agboola, S.; Otaki, H.; Sato, J.; Nakae, T.; Hisamitsu, T.; Kojima, G.; Felsted, J.; Kakarmath, S.; et al. A machine learning model to predict the risk of 30-day readmissions in patients with heart failure: A retrospective analysis of electronic medical records data. BMC Med. Inf. Decis. Mak. 2018, 18, 44. [Google Scholar] [CrossRef]
- Paleczek, A.; Grochala, D.; Rydosz, A. Artificial Breath Classification Using XGBoost Algorithm for Diabetes Detection. Sensors 2021, 21, 4187. [Google Scholar] [CrossRef]
- Kang, B.; Garcia Garcia, D.; Lijffijt, J.; Santos-Rodriguez, R.; De Bie, T. Conditional t-SNE: More informative t-SNE embeddings. Mach. Learn. 2021, 110, 2905–2940. [Google Scholar] [CrossRef]
- Nolazco-Flores, J.A.; Faundez-Zanuy, M.; Velazquez-Flores, O.A.; Del-Valle-Soto, C.; Cordasco, G.; Esposito, A. Mood State Detection in Handwritten Tasks Using PCA-mFCBF and Automated Machine Learning. Sensors 2022, 22, 1686. [Google Scholar] [CrossRef]
- Yang, S.W.; Lee, M.H.; See, L.C.; Huang, S.H.; Chen, T.M.; Chen, T.A. Deep neck abscess: An analysis of microbial etiology and the effectiveness of antibiotics. Infect. Drug Resist. 2008, 1, 1–8. [Google Scholar] [CrossRef]
- Caprioli, S.; Tagliafico, A.; Fiannacca, M.; Borda, F.; Picasso, R.; Conforti, C.; Casaleggio, A.; Cittadini, G. Imaging assessment of deep neck spaces infections: An anatomical approach. Radiol. Med. 2023, 128, 81–92. [Google Scholar] [CrossRef]
- Wilson, M.B.; Ali, S.A.; Kovatch, K.J.; Smith, J.D.; Hoff, P.T. Machine Learning Diagnosis of Peritonsillar Abscess. Otolaryngol. Head Neck Surg. 2019, 161, 796–799. [Google Scholar] [CrossRef]
- Crowson, M.G.; Ranisau, J.; Eskander, A.; Babier, A.; Xu, B.; Kahmke, R.R.; Chen, J.M.; Chan, T.C.Y. A contemporary review of machine learning in otolaryngology-head and neck surgery. Laryngoscope 2020, 130, 45–51. [Google Scholar] [CrossRef]
- Garcia-Carretero, R.; Vigil-Medina, L.; Mora-Jimenez, I.; Soguero-Ruiz, C.; Barquero-Perez, O.; Ramos-Lopez, J. Use of a K-nearest neighbors model to predict the development of type 2 diabetes within 2 years in an obese, hypertensive population. Med. Biol. Eng. Comput. 2020, 58, 991–1002. [Google Scholar] [CrossRef]
- Chen, C.H.; Huang, W.T.; Tan, T.H.; Chang, C.C.; Chang, Y.J. Using K-Nearest Neighbor Classification to Diagnose Abnormal Lung Sounds. Sensors 2015, 15, 13132–13158. [Google Scholar] [CrossRef]
- Hatem, M.Q. Skin lesion classification system using a K-nearest neighbor algorithm. Vis. Comput. Ind. Biomed. Art 2022, 5, 7. [Google Scholar] [CrossRef]
- Singh, H.; Sharma, V.; Singh, D. Comparative analysis of proficiencies of various textures and geometric features in breast mass classification using k-nearest neighbor. Vis. Comput. Ind. Biomed. Art 2022, 5, 3. [Google Scholar] [CrossRef]
- Laios, A.; Gryparis, A.; DeJong, D.; Hutson, R.; Theophilou, G.; Leach, C. Predicting complete cytoreduction for advanced ovarian cancer patients using nearest-neighbor models. J. Ovarian Res. 2020, 13, 117. [Google Scholar] [CrossRef]
- Hu, L.Y.; Huang, M.W.; Ke, S.W.; Tsai, C.F. The distance function effect on k-nearest neighbor classification for medical datasets. Springerplus 2016, 5, 1304. [Google Scholar] [CrossRef]
- Short, R.; Fukunaga, K. The optimal distance measure for nearest neighbor classification. IEEE Trans. Inf. Theory 1981, 27, 622–627. [Google Scholar] [CrossRef]
- Chen, L.; Wang, C.; Chen, J.; Xiang, Z.; Hu, X. Voice Disorder Identification by using Hilbert-Huang Transform (HHT) and K Nearest Neighbor (KNN). J. Voice 2021, 35, 932.E1–932.E11. [Google Scholar] [CrossRef]
- Chen, S.-L.; Chin, S.-C.; Wang, Y.-C.; Ho, C.-Y. Factors Affecting Patients with Concurrent Deep Neck Infection and Cervical Necrotizing Fasciitis. Diagnostics 2022, 12, 443. [Google Scholar] [CrossRef]
- Chen, S.L.; Huang, S.F.; Ho, V.W.; Chuang, W.Y.; Chan, K.C. Clinical characteristics and treatment outcome of adenoid cystic carcinoma in the external auditory canal. Biomed. J. 2020, 43, 189–194. [Google Scholar] [CrossRef]
- Chen, S.L.; Hsieh, T.Y.; Yang, S.W. Low-Grade Ovarian Serous Adenocarcinoma with Lymph Node Metastasis in Neck. Diagnostics 2021, 11, 1804. [Google Scholar] [CrossRef]
- Enriko, I.K.A.; Suryanegara, M.; Gunawan, D. Heart disease prediction system using k-Nearest neighbor algorithm with simplified patient’s health parameters. J. Telecommun. Electron. Comput. Eng. 2016, 8, 59–65. Available online: https://scholar.ui.ac.id/en/publications/heart-disease-prediction-system-using-k-nearest-neighbor-algorith (accessed on 13 June 2023).
- Desa, C.; Tiwari, M.; Pednekar, S.; Basuroy, S.; Rajadhyaksha, A.; Savoiverekar, S. Etiology and Complications of Deep Neck Space Infections: A Hospital Based Retrospective Study. Indian J. Otolaryngol. Head Neck Surg. 2023, 75, 697–706. [Google Scholar] [CrossRef]
- Bayetto, K.; Cheng, A.; Goss, A. Dental abscess: A potential cause of death and morbidity. Aust. J. Gen. Pract. 2020, 49, 563–567. [Google Scholar] [CrossRef]
- Ho, C.Y.; Chan, K.C.; Wang, Y.C.; Chin, S.C.; Chen, S.L. Assessment of Factors Associated with Long-Term Hospitalization in Patients with a Deep Neck Infection. Ear Nose Throat J. 2023, 1455613231168478. [Google Scholar] [CrossRef]
- Brito, T.P.; Guimaraes, A.C.; Oshima, M.M.; Chone, C.T. Mediastinitis: Parotid abscess complication. Braz. J. Otorhinolaryngol. 2014, 80, 268–269. [Google Scholar] [CrossRef]
- Ho, C.Y.; Wang, Y.C.; Chin, S.C.; Chen, S.L. Factors Creating a Need for Repeated Drainage of Deep Neck Infections. Diagnostics 2022, 12, 940. [Google Scholar] [CrossRef]
- Chen, S.L.; Ho, C.Y.; Chin, S.C.; Wang, Y.C. Factors affecting perforation of the esophagus in patients with deep neck infection. BMC Infect. Dis. 2022, 22, 501. [Google Scholar] [CrossRef]
- Wang, L.F.; Kuo, W.R.; Tsai, S.M.; Huang, K.J. Characterizations of life-threatening deep cervical space infections: A review of one hundred ninety-six cases. Am. J. Otolaryngol. 2003, 24, 111–117. [Google Scholar] [CrossRef]
- Hsiao, F.Y.; Ho, C.Y.; Chan, K.C.; Wang, Y.C.; Chin, S.C.; Chen, S.L. Assessment of the Elderly Adult Patients with Deep Neck Infection: A Retrospective Study. Ear Nose Throat J. 2023, 1455613231177184. [Google Scholar] [CrossRef]
- Sun, Q.; Li, Z.; Wang, P.; Zhao, J.; Chen, S.; Sun, M. Unveiling the Pathogenic Bacteria Causing Descending Necrotizing Mediastinitis. Front. Cell. Infect. Microbiol. 2022, 12, 873161. [Google Scholar] [CrossRef]
- Reuter, T.C.; Korell, V.; Pfeiffer, J.; Ridder, G.J.; Ketterer, M.C.; Becker, C. Descending necrotizing mediastinitis: Etiopathogenesis, diagnosis, treatment and long-term consequences-a retrospective follow-up study. Eur. Arch. Otorhinolaryngol. 2023, 280, 1983–1990. [Google Scholar] [CrossRef]
- Brajkovic, D.; Zjalic, S.; Aleksandar, K. Evaluation of clinical parameters affecting the prognosis in surgically treated patients with descending necrotizing mediastinitis—A retrospective study. J. Stomatol. Oral. Maxillofac. Surg. 2022, 123, e731–e737. [Google Scholar] [CrossRef]
- Sada-Urmeneta, A.; Agea-Martinez, M.; Monteserin-Martinez, E.; Antunez-Conde, R.; Gascon-Alonso, D.; Arenas-De-Frutos, G.; Navarro-Cuellar, C.; Navarro-Cuellar, I. Survival rate of odontogenic descending necrotizing mediastinitis. Our experience in last 5 years. Med. Oral. Patol. Oral. Cir. Bucal 2023, 28, e65–e71. [Google Scholar] [CrossRef]
- Palma, D.M.; Giuliano, S.; Cracchiolo, A.N.; Falcone, M.; Ceccarelli, G.; Tetamo, R.; Venditti, M. Clinical features and outcome of patients with descending necrotizing mediastinitis: Prospective analysis of 34 cases. Infection 2016, 44, 77–84. [Google Scholar] [CrossRef]
- Ridder, G.J.; Maier, W.; Kinzer, S.; Teszler, C.B.; Boedeker, C.C.; Pfeiffer, J. Descending necrotizing mediastinitis: Contemporary trends in etiology, diagnosis, management, and outcome. Ann. Surg. 2010, 251, 528–534. [Google Scholar] [CrossRef]
- Pucci, R.; Cassoni, A.; Di Carlo, D.; Bartolucci, P.; Della Monaca, M.; Barbera, G.; Di Cosola, M.; Polimeni, A.; Valentini, V. Odontogenic-Related Head and Neck Infections: From Abscess to Mediastinitis: Our Experience, Limits, and Perspectives-A 5-Year Survey. Int. J. Env. Res. Public. Health 2023, 20, 3469. [Google Scholar] [CrossRef]
- Vodicka, J.; Geiger, J.; Zidkova, A.; Andrle, P.; Mirka, H.; Svaton, M.; Kostlivy, T. Acute Mediastinitis–Outcomes and Prognostic Factors of Surgical Therapy (A Single-Center Experience). Ann. Thorac. Cardiovasc. Surg. 2022, 28, 171–179. [Google Scholar] [CrossRef]
- Ferreira, I.G.; Weber, M.B.; Bonamigo, R.R. History of dermatology: The study of skin diseases over the centuries. Bras. Dermatol. 2021, 96, 332–345. [Google Scholar] [CrossRef]
- Lotsch, J.; Sipila, R.; Tasmuth, T.; Kringel, D.; Estlander, A.M.; Meretoja, T.; Kalso, E.; Ultsch, A. Machine-learning-derived classifier predicts absence of persistent pain after breast cancer surgery with high accuracy. Breast Cancer Res. Treat. 2018, 171, 399–411. [Google Scholar] [CrossRef]
- Kleiman, R.S.; LaRose, E.R.; Badger, J.C.; Page, D.; Caldwell, M.D.; Clay, J.A.; Peissig, P.L. Using Machine Learning Algorithms to Predict Risk for Development of Calciphylaxis in Patients with Chronic Kidney Disease. AMIA Jt. Summits Transl. Sci. Proc. 2018, 2017, 139–146. [Google Scholar]
- Hsieh, C.H.; Lu, R.H.; Lee, N.H.; Chiu, W.T.; Hsu, M.H.; Li, Y.C. Novel solutions for an old disease: Diagnosis of acute appendicitis with random forest, support vector machines, and artificial neural networks. Surgery 2011, 149, 87–93. [Google Scholar] [CrossRef] [PubMed]
- Chan, S.; Reddy, V.; Myers, B.; Thibodeaux, Q.; Brownstone, N.; Liao, W. Machine Learning in Dermatology: Current Applications, Opportunities, and Limitations. Dermatol. Ther. 2020, 10, 365–386. [Google Scholar] [CrossRef] [PubMed]
- Howard, F.M.; Kochanny, S.; Koshy, M.; Spiotto, M.; Pearson, A.T. Machine Learning-Guided Adjuvant Treatment of Head and Neck Cancer. JAMA Netw. Open 2020, 3, e2025881. [Google Scholar] [CrossRef] [PubMed]
- Bassani, S.; Santonicco, N.; Eccher, A.; Scarpa, A.; Vianini, M.; Brunelli, M.; Bisi, N.; Nocini, R.; Sacchetto, L.; Munari, E.; et al. Artificial intelligence in head and neck cancer diagnosis. J. Pathol. Inf. 2022, 13, 100153. [Google Scholar] [CrossRef]
- Angus, D.C. Fusing Randomized Trials with Big Data: The Key to Self-learning Health Care Systems? JAMA 2015, 314, 767–768. [Google Scholar] [CrossRef]
- Cruz, J.A.; Wishart, D.S. Applications of machine learning in cancer prediction and prognosis. Cancer Inf. 2007, 2, 59–77. [Google Scholar] [CrossRef]
- Tan, A.C.; Gilbert, D. Ensemble machine learning on gene expression data for cancer classification. Appl. Bioinform. 2003, 2, S75–S83. [Google Scholar]
- Elfiky, A.A.; Pany, M.J.; Parikh, R.B.; Obermeyer, Z. Development and Application of a Machine Learning Approach to Assess Short-term Mortality Risk Among Patients with Cancer Starting Chemotherapy. JAMA Netw. Open 2018, 1, e180926. [Google Scholar] [CrossRef]
- Leha, A.; Hellenkamp, K.; Unsold, B.; Mushemi-Blake, S.; Shah, A.M.; Hasenfuss, G.; Seidler, T. A machine learning approach for the prediction of pulmonary hypertension. PLoS ONE 2019, 14, e0224453. [Google Scholar] [CrossRef]
- De Silva, D.; Ranasinghe, W.; Bandaragoda, T.; Adikari, A.; Mills, N.; Iddamalgoda, L.; Alahakoon, D.; Lawrentschuk, N.; Persad, R.; Osipov, E.; et al. Machine learning to support social media empowered patients in cancer care and cancer treatment decisions. PLoS ONE 2018, 13, e0205855. [Google Scholar] [CrossRef] [PubMed]
- Giger, M.L. Machine Learning in Medical Imaging. J. Am. Coll. Radiol. 2018, 15, 512–520. [Google Scholar] [CrossRef] [PubMed]
- Goggin, L.S.; Eikelboom, R.H.; Atlas, M.D. Clinical decision support systems and computer-aided diagnosis in otology. Otolaryngol. Head Neck Surg. 2007, 136, S21–26. [Google Scholar] [CrossRef] [PubMed]
- Mahmood, H.; Shaban, M.; Rajpoot, N.; Khurram, S.A. Artificial Intelligence-based methods in head and neck cancer diagnosis: An overview. Br. J. Cancer 2021, 124, 1934–1940. [Google Scholar] [CrossRef]
- Huang, S.; Yang, J.; Fong, S.; Zhao, Q. Artificial intelligence in cancer diagnosis and prognosis: Opportunities and challenges. Cancer Lett. 2020, 471, 61–71. [Google Scholar] [CrossRef]
- Szaleniec, J.; Wiatr, M.; Szaleniec, M.; Skladzien, J.; Tomik, J.; Oles, K.; Tadeusiewicz, R. Artificial neural network modelling of the results of tympanoplasty in chronic suppurative otitis media patients. Comput. Biol. Med. 2013, 43, 16–22. [Google Scholar] [CrossRef]
- Viscaino, M.; Maass, J.C.; Delano, P.H.; Torrente, M.; Stott, C.; Auat Cheein, F. Computer-aided diagnosis of external and middle ear conditions: A machine learning approach. PLoS ONE 2020, 15, e0229226. [Google Scholar] [CrossRef]
- Habib, A.R.; Kajbafzadeh, M.; Hasan, Z.; Wong, E.; Gunasekera, H.; Perry, C.; Sacks, R.; Kumar, A.; Singh, N. Artificial intelligence to classify ear disease from otoscopy: A systematic review and meta-analysis. Clin. Otolaryngol. 2022, 47, 401–413. [Google Scholar] [CrossRef]
- Liu, Y.; Feng, Y.; Li, Y.; Xu, W.; Wang, X.; Han, D. Automatic classification of the obstruction site in obstructive sleep apnea based on snoring sounds. Am. J. Otolaryngol. 2022, 43, 103584. [Google Scholar] [CrossRef]
- Noel, C.W.; Sutradhar, R.; Gotlib Conn, L.; Forner, D.; Chan, W.C.; Fu, R.; Hallet, J.; Coburn, N.G.; Eskander, A. Development and Validation of a Machine Learning Algorithm Predicting Emergency Department Use and Unplanned Hospitalization in Patients with Head and Neck Cancer. JAMA Otolaryngol. Head Neck Surg. 2022, 148, 764–772. [Google Scholar] [CrossRef]
- Song, Q.; Qi, S.; Jin, C.; Yang, L.; Qian, W.; Yin, Y.; Zhao, H.; Yu, H. Functional Brain Connections Identify Sensorineural Hearing Loss and Predict the Outcome of Cochlear Implantation. Front. Comput. Neurosci. 2022, 16, 825160. [Google Scholar] [CrossRef] [PubMed]
- Tsai, C.Y.; Liu, W.T.; Lin, Y.T.; Lin, S.Y.; Houghton, R.; Hsu, W.H.; Wu, D.; Lee, H.C.; Wu, C.J.; Li, L.Y.J.; et al. Machine learning approaches for screening the risk of obstructive sleep apnea in the Taiwan population based on body profile. Inf. Health Soc. Care 2022, 47, 373–388. [Google Scholar] [CrossRef] [PubMed]
- Richter, A.N.; Khoshgoftaar, T.M. A review of statistical and machine learning methods for modeling cancer risk using structured clinical data. Artif. Intell. Med. 2018, 90, 1–14. [Google Scholar] [CrossRef]
- Alkhawaldeh, I.; Al-Jafari, M.; Abdelgalil, M.; Tarawneh, A.S.; Hassanat, A.B. A machine learning approach for predicting bone metastases and its three-month prognostic risk factors in hepatocellular carcinoma patients using SEER data. Ann. Oncol. 2023, 34, S140. [Google Scholar] [CrossRef]
- Huttenhower, C.; Flamholz, A.I.; Landis, J.N.; Sahi, S.; Myers, C.L.; Olszewski, K.L.; Hibbs, M.A.; Siemers, N.O.; Troyanskaya, O.G.; Coller, H.A. Nearest Neighbor Networks: Clustering expression data based on gene neighborhoods. BMC Bioinform. 2007, 8, 250. [Google Scholar] [CrossRef] [PubMed]
- Yu, Z.; Chen, H.; Liuxs, J.; You, J.; Leung, H.; Han, G. Hybrid k -Nearest Neighbor Classifier. IEEE Trans. Cybern. 2016, 46, 1263–1275. [Google Scholar] [CrossRef] [PubMed]
- Abu Alfeilat, H.A.; Hassanat, A.B.A.; Lasassmeh, O.; Tarawneh, A.S.; Alhasanat, M.B.; Eyal Salman, H.S.; Prasath, V.B.S. Effects of Distance Measure Choice on K-Nearest Neighbor Classifier Performance: A Review. Big Data 2019, 7, 221–248. [Google Scholar] [CrossRef]
- Vandana, N.B. Survey of Nearest Neighbor Techniques. Int. J. Comput. Sci. Inf. Secur. 2010, 8, 302–305. [Google Scholar] [CrossRef]
- Wu, X.; Kumar, V.; Quinlan, J.R.; Ghosh, J.; Yang, Q.; Motoda, H.; McLachlan, G.J.; Ng, A.; Liu, B.; Yu, P.S.; et al. Top 10 algorithms in data mining. Knowl. Inf. Syst. Vol. 2007, 14, 1–37. [Google Scholar] [CrossRef]
- Gweon, H.; Schonlau, M.; Steiner, S.H. The k conditional nearest neighbor algorithm for classification and class probability estimation. PeerJ Comput. Sci. 2019, 5, e194. [Google Scholar] [CrossRef]
- Chikh, M.A.; Saidi, M.; Settouti, N. Diagnosis of diabetes diseases using an Artificial Immune Recognition System2 (AIRS2) with fuzzy K-nearest neighbor. J. Med. Syst. 2012, 36, 2721–2729. [Google Scholar] [CrossRef] [PubMed]
- ALEnezi, N.S.A. A Method of Skin Disease Detection Using Image Processing and Machine Learning. Procedia Comput. Sci. 2019, 163, 85–92. [Google Scholar] [CrossRef]
- Wettschereck, D.; Aha, D.W.; Mohri, T. A Review and Empirical Evaluation of Feature Weighting Methods for a Class of Lazy Learning Algorithms. Artif. Intell. Rev. 1997, 11, 273–314. [Google Scholar] [CrossRef]
- Li, Q.; Li, W.; Zhang, J.; Xu, Z. An improved k-nearest neighbour method to diagnose breast cancer. Analyst 2018, 143, 2807–2811. [Google Scholar] [CrossRef] [PubMed]
- Moore, A.; Bell, M. XGBoost, A Novel Explainable AI Technique, in the Prediction of Myocardial Infarction: A UK Biobank Cohort Study. Clin. Med. Insights Cardiol. 2022, 16, 11795468221133611. [Google Scholar] [CrossRef] [PubMed]
- Linderman, G.C.; Steinerberger, S. Clustering with t-SNE, provably. SIAM J. Math. Data Sci. 2019, 1, 313–332. [Google Scholar] [CrossRef]
- Carobene, A.; Campagner, A.; Uccheddu, C.; Banfi, G.; Vidali, M.; Cabitza, F. The multicenter European Biological Variation Study (EuBIVAS): A new glance provided by the Principal Component Analysis (PCA), a machine learning unsupervised algorithms, based on the basic metabolic panel linked measurands. Clin. Chem. Lab. Med. 2022, 60, 556–568. [Google Scholar] [CrossRef]
- Chowdhury, N.I.; Smith, T.L.; Chandra, R.K.; Turner, J.H. Automated classification of osteomeatal complex inflammation on computed tomography using convolutional neural networks. Int. Forum Allergy Rhinol. 2019, 9, 46–52. [Google Scholar] [CrossRef]
- Benitez, J.M.; Castro, J.L.; Requena, I. Are artificial neural networks black boxes? IEEE Trans. Neural Netw. 1997, 8, 1156–1164. [Google Scholar] [CrossRef]
- Tickle, A.B.; Andrews, R.; Golea, M.; Diederich, J. The truth will come to light: Directions and challenges in extracting the knowledge embedded within trained artificial neural networks. IEEE Trans. Neural Netw. 1998, 9, 1057–1068. [Google Scholar] [CrossRef]
- Hasegawa, J.; Hidaka, H.; Tateda, M.; Kudo, T.; Sagai, S.; Miyazaki, M.; Katagiri, K.; Nakanome, A.; Ishida, E.; Ozawa, D.; et al. An analysis of clinical risk factors of deep neck infection. Auris Nasus Larynx 2011, 38, 101–107. [Google Scholar] [CrossRef]
- Brajkovic, D.; Zjalic, S.; Kiralj, A. Prognostic factors for descending necrotizing mediastinitis development in deep space neck infections-a retrospective study. Eur. Arch. Otorhinolaryngol. 2022, 279, 2641–2649. [Google Scholar] [CrossRef] [PubMed]
- Chen, S.L.; Chin, S.C.; Wang, Y.C.; Ho, C.Y. Factors Affecting Patients with Concurrent Deep Neck Infection and Lemierre’s Syndrome. Diagnostics 2022, 12, 928. [Google Scholar] [CrossRef] [PubMed]
- Ho, C.Y.; Chin, S.C.; Wang, Y.C.; Chen, S.L. Factors affecting patients with concurrent deep neck infection and aspiration pneumonia. Am. J. Otolaryngol. 2022, 43, 103463. [Google Scholar] [CrossRef] [PubMed]
- Tarawneh, A.S.; Hassanat, A.B.; Altarawneh, G.A.; Almuhaimeed, A. Stop Oversampling for Class Imbalance Learning: A Review. IEEE Access 2022, 10, 47643–47660. [Google Scholar] [CrossRef]
- Gundersen, O.E.; Kjensmo, S. State of the Art: Reproducibility in Artificial Intelligence. In Proceedings of the AAAI Conference on Artificial Intelligence, New Orleans, LA, USA, 2–7 February 2018; Volume 32. [Google Scholar] [CrossRef]




| Characteristics | n (%) |
|---|---|
| Age, years ± SD | 51.12 ± 18.87 |
| Gender | 380 (100.0) |
| Male | 255 (67.11) |
| Female | 125 (32.89) |
| Chief complaint period, days ± SD | 5.06 ± 4.47 |
| WBC, µL ± SD | 14,908.41 ± 5753.66 |
| CRP, mg/L ± SD | 154.68 ± 99.54 |
| Blood sugar, mg/dL ± SD | 142.56 ± 73.42 |
| Diabetes mellitus | 142 (37.36) |
| Parapharyngeal space involved | 182 (47.89) |
| Submandibular space involved | 167 (43.94) |
| Retropharyngeal space involved | 100 (26.31) |
| Deep neck infection multiple spaces involved, ≥3 | 124 (32.63) |
| Tracheostomy performance | 46 (12.11) |
| Maximum diameter of abscess, cm ± SD | 6.23 ± 2.96 |
| Nearest distance from abscess to level of sternum notch, cm ± SD | 6.11 ± 3.92 |
| Progression to mediastinitis | 30 (7.89) |
| Characteristics | Training Group; n (%) | Testing Group; n (%) | p-Value |
|---|---|---|---|
| Age, years ± SD | 50.75 ± 18.71 | 52.26 ± 19.38 | 0.521 |
| Gender | 285 (100.0) | 95 (100.0) | |
| Male | 195 (68.42) | 60 (63.15) | 0.378 |
| Female | 90 (31.58) | 35 (36.85) | |
| Chief complaint period, days ± SD | 5.33 ± 4.89 | 4.25 ± 2.71 | 0.213 |
| WBC, µL ± SD | 14,622.45 ± 5695.52 | 15,766.31 ± 5871.63 | 0.090 |
| CRP, mg/L ± SD | 150.97 ± 98.72 | 165.79 ± 101.66 | 0.191 |
| Blood sugar, mg/dL ± SD | 140.91 ± 72.55 | 147.51 ± 76.15 | 0.090 |
| Diabetes mellitus | 0.806 | ||
| Yes | 108 (37.89) | 34 (35.78) | |
| No | 177 (62.11) | 61 (64.21) | |
| Parapharyngeal space involved | 137 (48.07) | 45 (47.36) | 1.000 |
| Submandibular space involved | 119 (41.75) | 48 (50.52) | 0.152 |
| Retropharyngeal space involved | 68 (23.85) | 32 (33.68) | 0.079 |
| Deep neck infection multiple spaces involved, ≥3 | 89 (31.22) | 35 (36.84) | 0.315 |
| Tracheostomy performance | 0.588 | ||
| Yes | 33 (11.57) | 13 (13.68) | |
| No | 252 (88.43) | 82 (86.32) | |
| Maximum diameter of abscess, cm ± SD | 6.08 ± 2.92 | 6.66 ± 3.04 | 0.072 |
| Nearest distance from abscess to level of sternum notch, cm ± SD | 6.26 ± 3.74 | 5.69 ± 4.41 | 0.210 |
| Progression to mediastinitis | 0.075 | ||
| Yes | 18 (6.31) | 12 (12.63) | |
| No | 267 (93.69) | 83 (87.36) |
Disclaimer/Publisher’s Note: The statements, opinions and data contained in all publications are solely those of the individual author(s) and contributor(s) and not of MDPI and/or the editor(s). MDPI and/or the editor(s) disclaim responsibility for any injury to people or property resulting from any ideas, methods, instructions or products referred to in the content. |
© 2023 by the authors. Licensee MDPI, Basel, Switzerland. This article is an open access article distributed under the terms and conditions of the Creative Commons Attribution (CC BY) license (https://creativecommons.org/licenses/by/4.0/).
Share and Cite
Chen, S.-L.; Chin, S.-C.; Chan, K.-C.; Ho, C.-Y. A Machine Learning Approach to Assess Patients with Deep Neck Infection Progression to Descending Mediastinitis: Preliminary Results. Diagnostics 2023, 13, 2736. https://doi.org/10.3390/diagnostics13172736
Chen S-L, Chin S-C, Chan K-C, Ho C-Y. A Machine Learning Approach to Assess Patients with Deep Neck Infection Progression to Descending Mediastinitis: Preliminary Results. Diagnostics. 2023; 13(17):2736. https://doi.org/10.3390/diagnostics13172736
Chicago/Turabian StyleChen, Shih-Lung, Shy-Chyi Chin, Kai-Chieh Chan, and Chia-Ying Ho. 2023. "A Machine Learning Approach to Assess Patients with Deep Neck Infection Progression to Descending Mediastinitis: Preliminary Results" Diagnostics 13, no. 17: 2736. https://doi.org/10.3390/diagnostics13172736
APA StyleChen, S.-L., Chin, S.-C., Chan, K.-C., & Ho, C.-Y. (2023). A Machine Learning Approach to Assess Patients with Deep Neck Infection Progression to Descending Mediastinitis: Preliminary Results. Diagnostics, 13(17), 2736. https://doi.org/10.3390/diagnostics13172736

