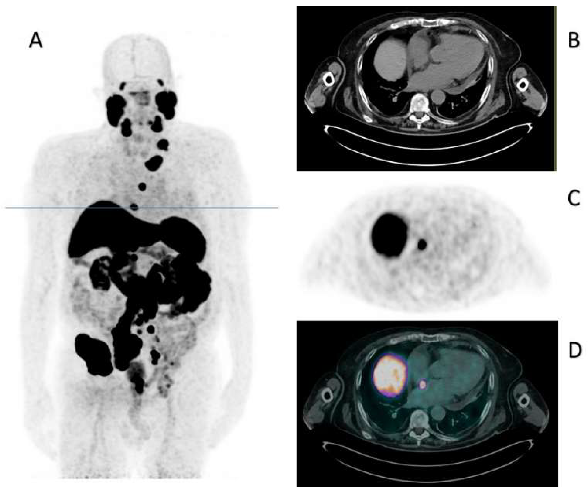
Cardiac Metastasis from Prostate Cancer: A Case Study Underlying the Crucial Role of the PSMA PET/CT
Abstract
:Author Contributions
Funding
Acknowledgments
Conflicts of Interest
References
- Fendler, W.P.; Eiber, M.; Beheshti, M.; Bomanji, J.; Calais, J.; Ceci, F.; Cho, S.Y.; Fanti, S.; Giesel, F.L.; Goffin, K.; et al. PSMA PET/CT: Joint EANM procedure guideline/SNMMI procedure standard for prostate cancer imaging 2.0. Eur. J. Nucl. Med. Mol. Imaging 2023, 50, 1466–1486. [Google Scholar] [CrossRef] [PubMed]
- Ferraro, S.; Rossi, R.S.; Biganzoli, E.M. Benefit-harm ratio of the diagnostic workup in patients with prostate cancer of Gleason score from 9 to 10. Cancer 2021, 127, 4310–4311. [Google Scholar] [CrossRef] [PubMed]
- Meher, N.; VanBrocklin, H.F.; Wilson, D.M.; Flavell, R.R. PSMA-Targeted Nanotheranostics for Imaging and Radiotherapy of Prostate Cancer. Pharmaceuticals 2023, 16, 315. [Google Scholar] [CrossRef]
- Daniels, H.; Gilbert, R.; Bonin, L. The diagnostic accuracy of 68Ga-PSMA PET/CT versus 99mTc-MDP bone scintigraphy for identifying bone metastases in persons with prostate cancer: A systematic review. J. Med. Imaging Radiat. Sci. 2023, in press.
- Saule, L.; Radzina, M.; Liepa, M.; Roznere, L.; Lioznovs, A.; Ratniece, M.; Mamis, E.; Vjaters, E. Recurrent Prostate Cancer Diagnostics with 18F-PSMA-1007 PET/CT: A Systematic Review of the Current State. Diagnostics 2022, 12, 3176. [Google Scholar] [CrossRef] [PubMed]
- Fendler, W.P.; Weber, M.; Iravani, A.; Hofman, M.S.; Calais, J.; Czernin, J.; Ilhan, H.; Saad, F.; Small, E.J.; Smith, M.R.; et al. Prostate-Specific Membrane Antigen Ligand Positron Emission Tomography in Men with Nonmetastatic Castration-Resistant Prostate Cancer. Clin. Cancer Res. Off. J. Am. Assoc. Cancer Res. 2019, 25, 7448–7454. [Google Scholar]
- Morris, M.J.; Rowe, S.P.; Gorin, M.A.; Saperstein, L.; Pouliot, F.; Josephson, D.; Wong, J.Y.C.; Pantel, A.R.; Cho, S.Y.; Gage, K.L.; et al. Diagnostic Performance of 18F-DCFPyL-PET/CT in Men with Biochemically Recurrent Prostate Cancer: Results from the CONDOR Phase III, Multicenter Study. Clin. Cancer Res. Off. J. Am. Assoc. Cancer Res. 2021, 27, 3674–3682. [Google Scholar]
- Pienta, K.J.; Gorin, M.A.; Rowe, S.P.; Carroll, P.R.; Pouliot, F.; Probst, S.; Saperstein, L.; Preston, M.A.; Alva, A.J.; Patnaik, A.; et al. A Phase 2/3 Prospective Multicenter Study of the Diagnostic Accuracy of Prostate Specific Membrane Antigen PET/CT with 18F-DCFPyL in Prostate Cancer Patients (OSPREY). J. Urol. 2021, 206, 52–61. [Google Scholar] [CrossRef] [PubMed]
- Berghen, C.; Joniau, S.; Rans, K.; Devos, G.; Poels, K.; Slabbaert, K.; Dumez, H.; Albersen, M.; Goffin, K.; Haustermans, K.; et al. Metastasis-directed therapy in castration-refractory prostate cancer (MEDCARE): A non-randomized phase 2 trial. BMC Cancer 2020, 20, 457. [Google Scholar] [CrossRef] [PubMed]
- Lam, K.Y.; Dickens, P.; Chan, A.C. Tumors of the heart. A 20-year experience with a review of 12,485 consecutive autopsies. Arch. Pathol. Lab. Med. 1993, 117, 1027–1031. [Google Scholar] [PubMed]
- Das, J.P.; Yeh, R. Prostate cancer cardiac metastasis detected on serial imaging with [68Ga] PSMA-11 PET/CT. Eur. J. Nucl. Med. Mol. Imaging 2022, 49, 3952–3953. [Google Scholar] [PubMed]
- Grünig, H.; Strobel, K.; Zander, A.; Del Sol Pérez Lago, M. Increased 18F-PSMA and 18F-FDG Uptake in Lipomatous Hypertrophy of the Interatrial Septum. Clin. Nucl. Med. 2023, 48, 248–249. [Google Scholar] [CrossRef]


Disclaimer/Publisher’s Note: The statements, opinions and data contained in all publications are solely those of the individual author(s) and contributor(s) and not of MDPI and/or the editor(s). MDPI and/or the editor(s) disclaim responsibility for any injury to people or property resulting from any ideas, methods, instructions or products referred to in the content. |
© 2023 by the authors. Licensee MDPI, Basel, Switzerland. This article is an open access article distributed under the terms and conditions of the Creative Commons Attribution (CC BY) license (https://creativecommons.org/licenses/by/4.0/).
Share and Cite
Gandini, A.; Bauckneht, M.; Sofia, L.; Tomasello, L.; Fornarini, G.; Zanardi, E. Cardiac Metastasis from Prostate Cancer: A Case Study Underlying the Crucial Role of the PSMA PET/CT. Diagnostics 2023, 13, 2733. https://doi.org/10.3390/diagnostics13172733
Gandini A, Bauckneht M, Sofia L, Tomasello L, Fornarini G, Zanardi E. Cardiac Metastasis from Prostate Cancer: A Case Study Underlying the Crucial Role of the PSMA PET/CT. Diagnostics. 2023; 13(17):2733. https://doi.org/10.3390/diagnostics13172733
Chicago/Turabian StyleGandini, Annalice, Matteo Bauckneht, Luca Sofia, Laura Tomasello, Giuseppe Fornarini, and Elisa Zanardi. 2023. "Cardiac Metastasis from Prostate Cancer: A Case Study Underlying the Crucial Role of the PSMA PET/CT" Diagnostics 13, no. 17: 2733. https://doi.org/10.3390/diagnostics13172733
APA StyleGandini, A., Bauckneht, M., Sofia, L., Tomasello, L., Fornarini, G., & Zanardi, E. (2023). Cardiac Metastasis from Prostate Cancer: A Case Study Underlying the Crucial Role of the PSMA PET/CT. Diagnostics, 13(17), 2733. https://doi.org/10.3390/diagnostics13172733

