Effect of Physical Parameters and Training Load on Patellar Tendon Stiffness in Professional Athletes
Abstract
1. Introduction
1.1. Tendon Physiology and Pathophysiology of Patellar Tendon
1.2. Diagnosis of Tendons’ Pathology Using Shear Wave Elastography
2. Methods
2.1. Study Population
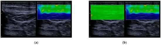
2.2. SWE Examination Protocol
2.3. Statistical Analysis
3. Results
3.1. Athletes’ Characteristics
3.2. Results of US-SWE in Professional Athletes
4. Discussion
4.1. Influence of Physical Parameters on Patellar Tendon Stiffness
4.2. Influnce of Sport Type on Patellar Tendon Stiffness and Clinical Application
4.3. Measurement Validity of Patellar Tendon Using SWE
4.4. Influence of Oral Contraceptives on Patellar Tendon Stiffness
4.5. Limitations
5. Conclusions
Author Contributions
Funding
Institutional Review Board Statement
Informed Consent Statement
Data Availability Statement
Acknowledgments
Conflicts of Interest
Abbreviations
| NOC | non-oral contraceptive group |
| OC | oral contraceptive group |
| PT | patellar tendon |
| PFPS | patellofemoral pain syndrome |
| SWE | shear wave elastography |
| SWS | shear wave speed |
| SWV | shear wave velocity |
| US | ultrasound |
References
- Coombes, B.K.; Tucker, K.; Vicenzino, B.; Vuvan, V.; Mellor, R.; Heales, L.; Nordez, A.; Hug, F. Achilles and patellar tendinopathy display opposite changes in elastic properties: A shear wave elastography study. Scand. J. Med. Sci. Sports 2018, 28, 1201–1208. [Google Scholar] [CrossRef] [PubMed]
- Lian, O.; Holen, K.J.; Engebretsen, L.; Bahr, R. Relationship between symptoms of jumper’s knee and the ultrasound characteristics of the patellar tendon among high level male volleyball players. Scand. J. Med. Sci. Sports 1996, 6, 291–296. [Google Scholar] [CrossRef]
- Gisslèn, K.; Gyulai, C.; Söderman, K.; Alfredson, H. High prevalence of jumper’s knee and sonographic changes in Swedish elite junior volleyball players compared to matched controls. Br. J. Sports Med. 2005, 39, 298–301. [Google Scholar] [CrossRef]
- Taş, S.; Yılmaz, S.; Onur, M.R.; Soylu, A.R.; Altuntaş, O.; Korkusuz, F. Patellar tendon mechanical properties change with gender, body mass index and quadriceps femoris muscle strength. Acta Orthop. Traumatol. Turc. 2016, 51, 54–59. [Google Scholar] [CrossRef] [PubMed]
- Turan, A.; Teber, M.A.; Yakut, Z.I.; Unlu, H.A.; Hekimoglu, B. Sonoelastographıc assessment of the age-related changes of the Achilles tendon. Med. Ultrason. 2015, 17, 58–61. [Google Scholar] [CrossRef] [PubMed]
- Kjaer, M.; Langberg, H.; Magnusson, P. Overuse injuries in tendon tissue: Insight into adaptation mechanisms. Ugeskr. Laeger 2003, 165, 1438–1443. [Google Scholar] [PubMed]
- LaCroix, A.S.; Duenwald-Kuehl, S.E.; Lakes, R.S.; Vanderby, R., Jr.; Eriksen, C.S.; Henkel, C.; Svensson, R.B.; Agergaard, A.-S.; Couppé, C.; Kjaer, M.; et al. Relationship between tendon stiffness and failure: A metaanalysis. J. Appl. Physiol. 2013, 115, 43–51. [Google Scholar] [CrossRef]
- Lindemann, I.; Coombes, B.K.; Tucker, K.; Hug, F.; Dick, T.J. Age-related differences in gastrocnemii muscles and Achilles tendon mechanical properties in vivo. J. Biomech. 2020, 112, 110067. [Google Scholar] [CrossRef]
- Liu, S.H.; Al-Shaikh, R.; Yang, R.-S.; Nelson, S.D.; Soleiman, N.; Finerman, G.A.M.; Lane, J.M.; Panossian, V. Primary immunolocalization of estrogen and progesterone target cells in the human anterior cruciate ligament. J. Orthop. Res. 1996, 14, 526–533. [Google Scholar] [CrossRef]
- Haines, M.; McKinley-Barnard, S.K.; Andre, T.L.; Gann, J.J.; Hwang, P.S.; Willoughby, D.S. Skeletal Muscle Estrogen Receptor Activation in Response to Eccentric Exercise Up-Regulates Myogenic-Related Gene Expression Independent of Differing Serum Estradiol Levels Occurring during the Human Menstrual Cycle. J. Sports Sci. Med. 2018, 17, 31–39. [Google Scholar]
- Yu, W.D.; Panossian, V.; Hatch, J.D.; Liu, S.H.; Finerman, G.A.M. Combined Effects of Estrogen and Progesterone on the Anterior Cruciate Ligament. Clin. Orthop. Relat. Res. 2001, 383, 268–281. [Google Scholar] [CrossRef] [PubMed]
- Hansen, M.; Couppe, C.; Hansen, C.S.E.; Skovgaard, D.; Kovanen, V.; Larsen, J.O.; Aagaard, P.; Magnusson, S.P.; Kjaer, M. Impact of oral contraceptive use and menstrual phases on patellar tendon morphology, biochemical composition, and biomechanical properties in female athletes. J. Appl. Physiol. 2013, 114, 998–1008. [Google Scholar] [CrossRef] [PubMed]
- Khowailed, I.A.; Lee, H. Neuromuscular Control of Ankle-stabilizing Muscles-specific Effects of Sex and Menstrual Cycle. Int. J. Sports Med. 2020, 42, 270–276. [Google Scholar] [CrossRef]
- Blackburn, J.T.; Bell, D.R.; Norcross, M.F.; Hudson, J.D.; Engstrom, L.A. Comparison of hamstring neuromechanical properties between healthy males and females and the influence of musculotendinous stiffness. J. Electromyogr. Kinesiol. 2009, 19, e362–e369. [Google Scholar] [CrossRef]
- Hopkins, J.T.; Brown, T.N.; Christensen, L.; Palmieri-Smith, R.M. Deficits in peroneal latency and electromechanical delay in patients with functional ankle instability. J. Orthop. Res. 2009, 27, 1541–1546. [Google Scholar] [CrossRef] [PubMed]
- Stanish, W.D.; Curwin, S.; Rabinovich, M. Tendinitis: The Analysis and Treatment for Running. Clin. Sports Med. 1985, 4, 593–609. [Google Scholar] [CrossRef]
- Khan, K.M.; Cook, J.L.; Kiss, Z.S.; Visentini, P.J.; Fehrmann, M.W.; Harcourt, P.R.; Tress, B.W.; Wark, J.D. Patellar tendon ultrasonography and jumper’s knee in female basketball players: A longitudinal study. Clin. J. Sport Med. 1997, 7, 199–206. [Google Scholar] [CrossRef]
- Cook, J.L.; Khan, K.M.; Harcourt, P.R.; Kiss, Z.S.; Fehrmann, M.W.; Griffiths, L.; Wark, J.D. Patellar tendon ultrasonography in asymptomatic active athletes reveals hypoechoic regions: A study of 320 tendons. Victorian Institute of Sport Tendon Study Group. Clin. J. Sport Med. 1998, 8, 73–77. [Google Scholar] [CrossRef]
- Cook, J.L.; Khan, K.M.; Kiss, Z.S.; Coleman, B.D.; Griffiths, L. Asymptomatic hypoechoic regions on patellar tendon ultrasound: A 4-year clinical and ultrasound followup of 46 tendons. Scand. J. Med. Sci. Sports 2001, 11, 321–327. [Google Scholar] [CrossRef]
- Toprak, U.; Ustuner, E.; Uyanik, S.; Aktas, G.; Kinikli, G.I.; Baltaci, G.; Karademir, M.A. Comparison of ultrasonographic patellar tendon evaluation methods in elite junior female volleyball players: Thickness versus cross-sectional area. Diagn. Interv. Radiol. 2012, 18, 200–207. [Google Scholar] [CrossRef]
- Dirrichs, T.; Quack, V.; Gatz, M.; Tingart, M.; Kuhl, C.K.; Schrading, S. Shear Wave Elastography (SWE) for the Evaluation of Patients with Tendinopathies. Acad. Radiol. 2016, 23, 1204–1213. [Google Scholar] [CrossRef]
- Cushman, D.M.; Petrin, Z.; Eby, S.; Clements, N.D.; Haight, P.; Snitily, B.; Teramoto, M. Ultrasound evaluation of the patellar tendon and Achilles tendon and its association with future pain in distance runners. Physician Sportsmed. 2020, 49, 410–419. [Google Scholar] [CrossRef] [PubMed]
- Arias-Buría, J.L.; Fernández-De-Las-Peñas, C.; Rodríguez-Jiménez, J.; Plaza-Manzano, G.; Cleland, J.A.; Gallego-Sendarrubias, G.M.; López-De-Uralde-Villanueva, I. Ultrasound Characterization of Patellar Tendon in Non-Elite Sport Players with Painful Patellar Tendinopathy: Absolute Values or Relative Ratios? A Pilot Study. Diagnostics 2020, 10, 882. [Google Scholar] [CrossRef] [PubMed]
- McKay, D.; Broderick, C.; Steinbeck, K. The Adolescent Athlete: A Developmental Approach to Injury Risk. Pediatr. Exerc. Sci. 2016, 28, 488–500. [Google Scholar] [CrossRef]
- von Rosen, P.; Frohm, A.; Kottorp, A.; Friden, C.; Heijne, A. Multiple factors explain injury risk in adolescent elite athletes: Applying a biopsychosocial perspective. Scand. J. Med. Sci. Sports 2017, 27, 2059–2069. [Google Scholar] [CrossRef] [PubMed]
- Hietamo, J.; Rantala, A.; Parkkari, J.; Leppänen, M.; Rossi, M.; Heinonen, A.; Steffen, K.; Kannus, P.; Mattila, V.; Pasanen, K. Injury History and Perceived Knee Function as Risk Factors for Knee Injury in Youth Team-Sports Athletes. Sports Health 2022, 15, 26–35. [Google Scholar] [CrossRef]
- Croisier, J.L.; Ganteaume, S.; Binet, J.; Genty, M.; Ferret, J.M. Strength imbalances and prevention of hamstring injury in professional soccer players: A prospective study. Am. J. Sports Med. 2008, 36, 1469–1475. [Google Scholar] [CrossRef]
- Berko, N.S.; Hanstein, R.; Burton, D.A.; Fornari, E.D.; Schulz, J.F.; Levin, T.L. Ultrasound elastography of the patellar tendon in young, asymptomatic sedentary and moderately active individuals. Clin. Imaging 2018, 54, 172–177. [Google Scholar] [CrossRef]
- Taş, S.; Özkan, Ö.; Karaçoban, L.; Dönmez, G.; Çetin, A.; Korkusuz, F. Knee muscle and tendon stiffness in professional soccer players: A shear-wave elastography study. J. Sports Med. Phys. Fit. 2020, 60, 276–281. [Google Scholar] [CrossRef]
- Aicale, R.; Tarantino, D.; Maffulli, N. Overuse injuries in sport: A comprehensive overview. J. Orthop. Surg. Res. 2018, 13, 309. [Google Scholar] [CrossRef]
- Zardi, E.M.; Franceschetti, E.; Giorgi, C.; Palumbo, A.; Franceschi, F. Reliability of quantitative point shear-wave ultrasound elastography on vastus medialis muscle and quadriceps and patellar tendons. Med. Ultrason. 2019, 21, 50–55. [Google Scholar] [CrossRef] [PubMed]
- Breda, S.J.; Van Der Vlist, A.; De Vos, R.-J.; Krestin, G.P.; Oei, E.H.G. The association between patellar tendon stiffness measured with shear-wave elastography and patellar tendinopathy—A case-control study. Eur. Radiol. 2020, 30, 5942–5951. [Google Scholar] [CrossRef]
- Dirrichs, T.; Quack, V.; Gatz, M.; Tingart, M.; Rath, B.; Betsch, M.; Kuhl, C.K.; Schrading, S. Shear Wave Elastography (SWE) for Monitoring of Treatment of Tendinopathies: A Double-blinded, Longitudinal Clinical Study. Acad. Radiol. 2018, 25, 265–272. [Google Scholar] [CrossRef] [PubMed]
- Yurdaışık, I. Comparison of two-dimensional shear wave elastography and point shear wave elastography techniques with magnetic resonance findings in detection of patellar tendinopathy. Jt. Dis. Relat. Surg. 2019, 30, 275–281. [Google Scholar] [CrossRef] [PubMed]
- Zhang, C.; Duan, L.; Liu, Q.; Zhang, W. Application of shear wave elastography and B-mode ultrasound in patellar tendinopathy after extracorporeal shockwave therapy. J. Med. Ultrason. 2020, 47, 469–476. [Google Scholar] [CrossRef] [PubMed]
- Götschi, T.; Franchi, M.V.; Schulz, N.; Fröhlich, S.; Frey, W.O.; Snedeker, J.G.; Spörri, J. Altered regional 3D shear wave velocity patterns in youth competitive alpine skiers suffering from patellar tendon complaints—A prospective case–control study. Eur. J. Sport Sci. 2022, 23, 1068–1076. [Google Scholar] [CrossRef]
- Hsiao, M.-Y.; Chen, Y.-C.; Lin, C.-Y.; Chen, W.-S.; Wang, T.-G. Reduced Patellar Tendon Elasticity with Aging: In Vivo Assessment by Shear Wave Elastography. Ultrasound Med. Biol. 2015, 41, 2899–2905. [Google Scholar] [CrossRef]
- Maffulli, N.; Wong, J.; Almekinders, L.C. Types and epidemiology of tendinopathy. Clin. Sports Med. 2003, 22, 675–692. [Google Scholar] [CrossRef]
- Römer, C.; Czupajllo, J.; Zessin, E.; Fischer, T.; Wolfarth, B.; Lerchbaumer, M.H. Muscle and Tendon Stiffness of the Lower Limb of Professional Adolescent Soccer Athletes Measured Using Shear Wave Elastography. Diagnostics 2022, 12, 2453. [Google Scholar] [CrossRef]
- van Ark, M.; Rio, E.; Cook, J.; van den Akker-Scheek, I.; Gaida, J.E.; Zwerver, J.; Docking, S. Clinical Improvements Are Not Explained by Changes in Tendon Structure on Ultrasound Tissue Characterization after an Exercise Program for Patellar Tendinopathy. Am. J. Phys. Med. Rehabil. 2018, 97, 708–714. [Google Scholar] [CrossRef]
- Lesna, I.K.; Cejkova, S.; Kralova, A.; Fronek, J.; Petras, M.; Sekerkova, A.; Thieme, F.; Janousek, L.; Poledne, R. Human adipose tissue accumulation is associated with pro-inflammatory changes in subcutaneous rather than visceral adipose tissue. Nutr. Diabetes 2017, 7, e264. [Google Scholar] [CrossRef] [PubMed]
- Slane, L.C.; Martin, J.; DeWall, R.; Thelen, D.; Lee, K. Quantitative ultrasound mapping of regional variations in shear wave speeds of the aging Achilles tendon. Eur. Radiol. 2016, 27, 474–482. [Google Scholar] [CrossRef] [PubMed]
- Couppe, C.; Hansen, P.; Kongsgaard, M.; Kovanen, V.; Suetta, C.; Aagaard, P.; Kjaer, M.; Magnusson, S.P. Mechanical properties and collagen cross-linking of the patellar tendon in old and young men. J. Appl. Physiol. 2009, 107, 880–886. [Google Scholar] [CrossRef] [PubMed]
- Ruaro, B.; Cutolo, M.; Alessandri, E.; Zaottini, F.; Picasso, R.; Pistoia, F.; Ferrari, G.; Martinoli, C. Don’t forget the jumper’s knee in the young sportsman: Evaluation of patellar tendinopathy with a high frequency ultrasound probe. Reumatismo 2019, 71, 160–162. [Google Scholar] [CrossRef] [PubMed]
- Sailly, M.; Whiteley, R.; Johnson, A. Doppler ultrasound and tibial tuberosity maturation status predicts pain in adolescent male athletes with Osgood-Schlatter’s disease: A case series with comparison group and clinical interpretation. Br. J. Sports Med. 2013, 47, 93–97. [Google Scholar] [CrossRef]
- Porta, F.; Damjanov, N.; Galluccio, F.; Iagnocco, A.; Matucci-Cerinic, M. Ultrasound elastography is a reproducible and feasible tool for the evaluation of the patellar tendon in healthy subjects. Int. J. Rheum. Dis. 2014, 17, 762–766. [Google Scholar] [CrossRef]
- Romer, C.; Czupajllo, J.; Zessin, E.; Fischer, T.; Wolfarth, B.; Lerchbaumer, M.H. Stiffness of Muscles and Tendons of the Lower Limb of Professional and Semiprofessional Athletes Using Shear Wave Elastography. J. Ultrasound Med. 2022, 41, 3061–3068. [Google Scholar] [CrossRef]
- Abate, M.; Oliva, F.; Schiavone, C.; Salini, V. Achilles tendinopathy in amateur runners: Role of adiposity (Tendinopathies and obesity). Muscle Ligaments Tendons J. 2012, 2, 44–48. [Google Scholar]
- Liu, S.H.; Al-Shaikh, R.A.; Panossian, V.; Finerman, G.A.M.; Lane, J.M. Estrogen Affects the Cellular Metabolism of the Anterior Cruciate Ligament. Am. J. Sports Med. 1997, 25, 704–709. [Google Scholar] [CrossRef]
- Dirrichs, T.; Schrading, S.; Gatz, M.; Tingart, M.; Kuhl, C.K.; Quack, V. Shear Wave Elastography (SWE) of Asymptomatic Achilles Tendons: A Comparison Between Semiprofessional Athletes and the Nonathletic General Population. Acad. Radiol. 2019, 26, 1345–1351. [Google Scholar] [CrossRef]
- Mannarino, P.; Matta, T.T.D.; Oliveira, L.F. An 8-week resistance training protocol is effective in adapting quadriceps but not patellar tendon shear modulus measured by Shear Wave Elastography. PLoS ONE 2019, 14, e0205782. [Google Scholar] [CrossRef]
- Kuervers, E.J.; Firminger, C.R.; Edwards, W.B. Effect of Knee Angle and Quadriceps Muscle Force on Shear-Wave Elastography Measurements at the Patellar Tendon. Ultrasound Med. Biol. 2021, 47, 2167–2175. [Google Scholar] [CrossRef]
- Berko, N.; Mehta, A.; Levin, T.; Schulz, J. Effect of knee position on the ultrasound elastography appearance of the patellar tendon. Clin. Radiol. 2015, 70, 1083–1086. [Google Scholar] [CrossRef] [PubMed]
- Hardy, A.; Rodaix, C.; Vergari, C.; Vialle, R. Normal Range of Patellar Tendon Elasticity Using the Sharewave Elastography Technique: An In Vivo Study in Normal Volunteers. Surg. Technol. Online 2017, 31, 227–230. [Google Scholar]
- Esmaeili, A.; Stewart, A.M.; Hopkins, W.G.; Elias, G.P.; Aughey, R.J. Effects of Training Load and Leg Dominance on Achilles and Patellar Tendon Structure. Int. J. Sports Physiol. Perform. 2017, 12 (Suppl. S2), S2122–S2126. [Google Scholar] [CrossRef][Green Version]
- Coleman, B.D.; Khan, K.M.; Maffulli, N.; Cook, J.L.; Wark, J.D. Studies of surgical outcome after patellar tendinopathy: Clinical significance of methodological deficiencies and guidelines for future studies. Scand. J. Med. Sci. Sports 2000, 10, 2–11. [Google Scholar] [CrossRef] [PubMed]
- Gross, M.T. Chronic Tendinitis: Pathomechanics of Injury, Factors Affecting the Healing Response, and Treatment. J. Orthop. Sports Phys. Ther. 1992, 16, 248–261. [Google Scholar] [CrossRef]
- Taş, S.; Onur, M.R.; Yılmaz, S.; Soylu, A.R.; Korkusuz, F. Shear Wave Elastography Is a Reliable and Repeatable Method for Measuring the Elastic Modulus of the Rectus Femoris Muscle and Patellar Tendon. J. Ultrasound Med. 2017, 36, 565–570. [Google Scholar] [CrossRef] [PubMed]
- Drakonaki, E.E.; Allen, G.M.; Wilson, D.J. Ultrasound elastography for musculoskeletal applications. Br. J. Radiol. 2012, 85, 1435–1445. [Google Scholar] [CrossRef]
- Costello, J.T.; Bieuzen, F.; Bleakley, C.M. Where are all the female participants in Sports and Exercise Medicine research? Eur. J. Sport Sci. 2014, 14, 847–851. [Google Scholar] [CrossRef]
- Davison, J.M.; Gilmore, E.A.; Dürr, J.; Robertson, G.L.; Lindheimer, M.D. Altered osmotic thresholds for vasopressin secretion and thirst in human pregnancy. Am. J. Physiol. Physiol. 1984, 246, F105–F109. [Google Scholar] [CrossRef] [PubMed]
- Spruce, B.A.; Baylis, P.H.; Burd, J.; Watson, M.J. Variation in osmoregulation of arginine vasopressin during the human menstrual cycle. Clin. Endocrinol. 1985, 22, 37–42. [Google Scholar] [CrossRef] [PubMed]
- Christin-Maitre, S. History of oral contraceptive drugs and their use worldwide. Best Pract. Res. Clin. Endocrinol. Metab. 2013, 27, 3–12. [Google Scholar] [CrossRef]
- Dalgaard, L.B.; Dalgas, U.; Andersen, J.L.; Rossen, N.B.; Møller, A.B.; Stødkilde-Jørgensen, H.; Jørgensen, J.O.; Kovanen, V.; Couppé, C.; Langberg, H.; et al. Influence of Oral Contraceptive Use on Adaptations to Resistance Training. Front. Physiol. 2019, 10, 824. [Google Scholar] [CrossRef]
- Curtis, K.S. Estrogen and the central control of body fluid balance. Physiol. Behav. 2009, 97, 180–192. [Google Scholar] [CrossRef]
- Witvrouw, E.; Bellemans, J.; Lysens, R.; Danneels, L.; Cambier, D. Intrinsic Risk Factors for the Development of Patellar Tendinitis in an Athletic Population. Am. J. Sports Med. 2001, 29, 190–195. [Google Scholar] [CrossRef]
- Cook, J.L.; Kiss, Z.S.; Khan, K.Μ.; Purdam, C.Ρ.; Webster, K.Ε. Anthropometry, physical performance, and ultrasound patellar tendon abnormality in elite junior basketball players: A cross-sectional study. Br. J. Sports Med. 2004, 38, 206–209. [Google Scholar] [CrossRef] [PubMed]



| Coefficient | SD Error | p Value | |
|---|---|---|---|
| Bias | −23.843 | 25.845 | 0.361 |
| Gender | 0.730 | 0.387 | 0.065 |
| Age | −0.010 | 0.34 | 0.765 |
| BMI | 0.572 | 0.540 | 0.295 |
| Sports | 0.178 | 0.122 | 0.152 |
| Male (n = 30) | Female (n = 30) | |||
|---|---|---|---|---|
| Mean and Range | Mean and Range | |||
| PT | 3.200 | 2.844–3.758 | 3.000 | 2.536–3.899 |
| Age | 18.00 | 18.00–21.00 | 20.00 | 17.75–25.00 |
| BMI | 23.38 | 22.35–24.34 | 22.49 | 21.57–25.02 |
| Female Athl. NOC (n = 21) Mean ± SD | Female Athl. OC (n = 9) Mean ± SD | p Value | |
|---|---|---|---|
| PT | 3.017 ± 0.793 | 3.723 ± 1.061 | 0.053 |
| Age | 21.19 ± 3.80 | 20.11 ± 4.08 | 0.509 |
| BMI | 22.98 ± 2.96 | 24.98 ± 3.10 | 0.122 |
Disclaimer/Publisher’s Note: The statements, opinions and data contained in all publications are solely those of the individual author(s) and contributor(s) and not of MDPI and/or the editor(s). MDPI and/or the editor(s) disclaim responsibility for any injury to people or property resulting from any ideas, methods, instructions or products referred to in the content. |
© 2023 by the authors. Licensee MDPI, Basel, Switzerland. This article is an open access article distributed under the terms and conditions of the Creative Commons Attribution (CC BY) license (https://creativecommons.org/licenses/by/4.0/).
Share and Cite
Römer, C.; Zessin, E.; Czupajllo, J.; Fischer, T.; Wolfarth, B.; Lerchbaumer, M.H. Effect of Physical Parameters and Training Load on Patellar Tendon Stiffness in Professional Athletes. Diagnostics 2023, 13, 2541. https://doi.org/10.3390/diagnostics13152541
Römer C, Zessin E, Czupajllo J, Fischer T, Wolfarth B, Lerchbaumer MH. Effect of Physical Parameters and Training Load on Patellar Tendon Stiffness in Professional Athletes. Diagnostics. 2023; 13(15):2541. https://doi.org/10.3390/diagnostics13152541
Chicago/Turabian StyleRömer, Claudia, Enrico Zessin, Julia Czupajllo, Thomas Fischer, Bernd Wolfarth, and Markus Herbert Lerchbaumer. 2023. "Effect of Physical Parameters and Training Load on Patellar Tendon Stiffness in Professional Athletes" Diagnostics 13, no. 15: 2541. https://doi.org/10.3390/diagnostics13152541
APA StyleRömer, C., Zessin, E., Czupajllo, J., Fischer, T., Wolfarth, B., & Lerchbaumer, M. H. (2023). Effect of Physical Parameters and Training Load on Patellar Tendon Stiffness in Professional Athletes. Diagnostics, 13(15), 2541. https://doi.org/10.3390/diagnostics13152541

