Blue-Light Fundus Autofluorescence (BAF), an Essential Modality for the Evaluation of Inflammatory Diseases of the Photoreceptors: An Imaging Narrative
Abstract
1. Introduction
2. Principle of Blue-Light Fundus Autofluorescence (BAF) Analysis
3. BAF in Inflammatory Diseases of the Photoreceptors (Table 1)
| Mechanism of Hyperautofluorescence | Co-Localized ICGA Hypofluorescent Areas | After Photobleaching | Type of Hyperautofluorescence | |
|---|---|---|---|---|
| Severe choriocapillaris nonperfusion | Accumulation of fluorophores in RPE | +++ | No change | Bright |
| Secondary photoreceptor damage (caused by choriocapillaris nonperfusion) | “Window defect” (loss of photopigment in the outer segments) + (possible rare areas of accumulation of fluorophores) | +++ | Disappearance of hyperautofluorescence contrast (with possible few areas with nonerased more bright FAF) | Soft with possible few areas of brighter hyper-FAF |
| Primary photoreceptor diseases | Window defect (loss of photopigment in the outer segments) | No | The disappearance of hyperautofluorescent lesions | Soft |
4. Results/Cases
4.1. BAF-Signs in Secondary Photoreceptor Diseases (Illustrative Examples)
4.1.1. Multiple Evanescent White Dot Syndrome (MEWDS) Figure 2
Case 1
4.1.2. Idiopathic Multifocal Choroiditis (MFC) Figure 3
Case 2
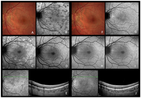
4.1.3. Acute Posterior Multifocal Placoid Pigment Epitheliopathy (APMPPE) Figure 4a–c
Cases 3a and 3b


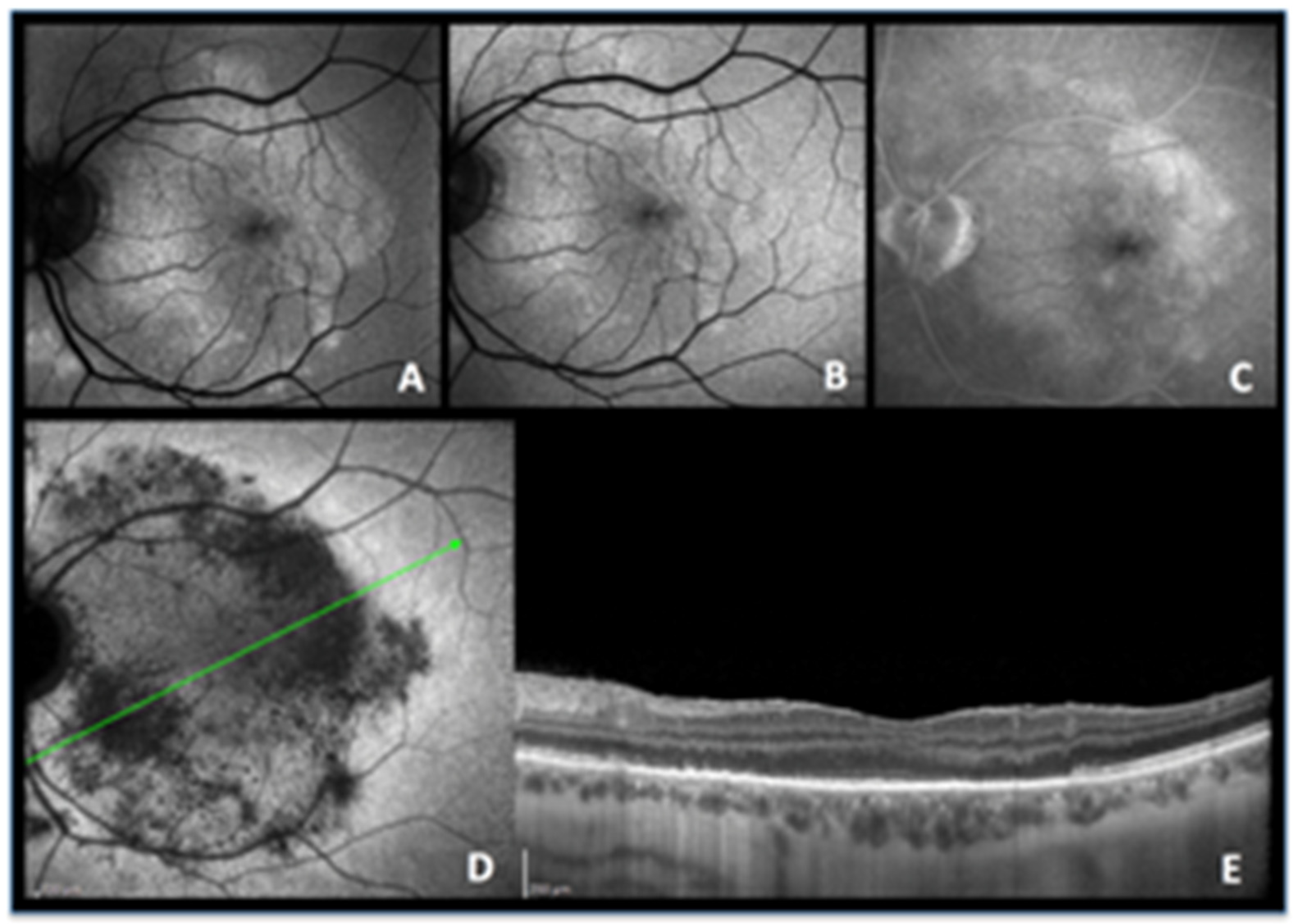
4.1.4. Serpiginous Choroiditis Figure 5a–c
Cases 4a and 4b


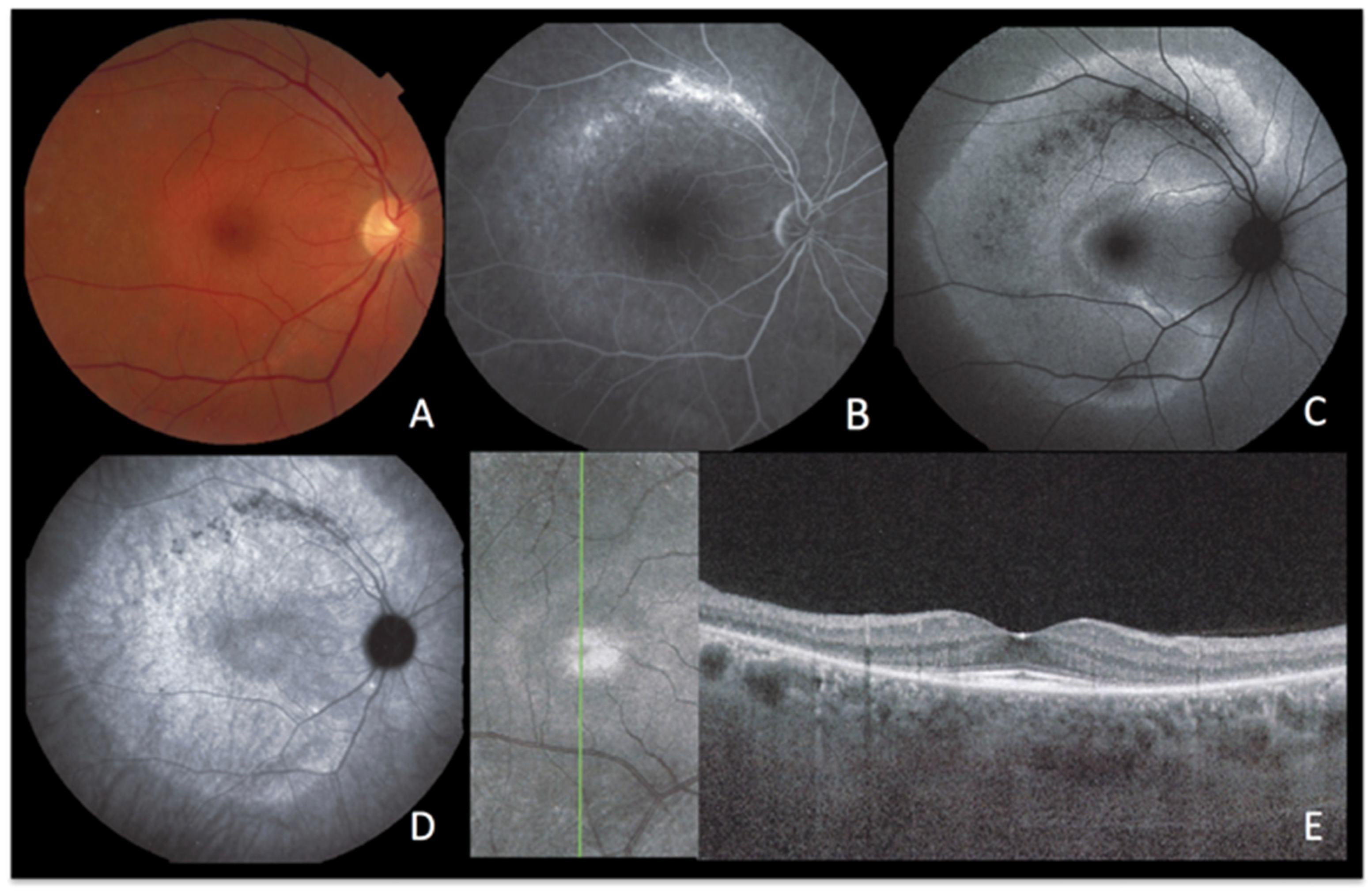
4.1.5. Acute Syphilis Posterior Placoid Chorioretinitis (ASPPC) Figure 6
Case 5

4.1.6. Summary of Secondary Photoreceptor Disease (Choriocapillaritis)
5. BAF Signs in Primary Photoreceptoritis (Illustrative Cases)
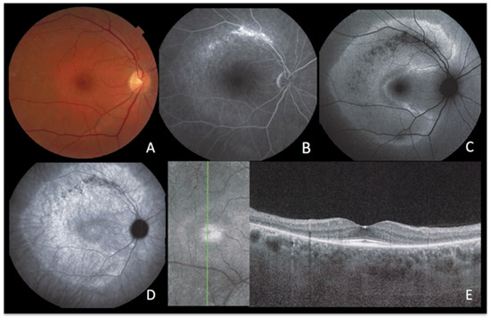
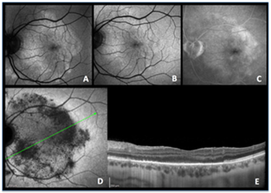
5.1. Acute Zonal Occult Outer Retinopathy (AZOOR) Figure 7
Case 6

5.2. Cancer-Associated Retinopathy (CAR) Figure 8
Case 7

6. Discussion
7. Conclusions
Author Contributions
Funding
Institutional Review Board Statement
Informed Consent Statement
Data Availability Statement
Conflicts of Interest
References
- Delori, F.; Keilhauer, C.; Sparrow, J.R.; Staurenghi, G. Origin of Fundus Autofluorescence. In Atlas of Fundus Autofluorescence Imaging; Holz, F.G., Schmitz-Valckenberg, S., Spaide, R.F., Bird, A.C., Eds.; Springer: Berlin/Heidelberg, Germany, 2007; pp. 17–26. [Google Scholar]
- Sparrow, J.R.; Yoon, K.D.; Wu, Y.; Yamamoto, K. Interpretations of fundus autofluorescence from studies of the bisretinoids of the retina. Investig. Ophthalmol. Vis. Sci. 2010, 41, 2303–2308. [Google Scholar] [CrossRef] [PubMed]
- Mantovani, A.; Invernizzi, A.; Staurenghi, G.; Herbort, C.P., Jr. Multiple Evanescent White Dot Syndrome: A Multimodal Imaging Study of Foveal Granularity. Ocul. Immunol. Inflamm. 2019, 27, 141–147. [Google Scholar] [CrossRef] [PubMed]
- Theelen, T.; Berendschot, T.T.J.M.; Boon, C.J.F.; Hoyng, C.B.; Klevering, B.J. Analysis of visual pigment by fundus autofluorescence. Exp. Eye Res. 2008, 86, 296–304. [Google Scholar] [CrossRef] [PubMed]
- Staurenghi, G.; Luiselli, C.; Levi, G.; Viola, F.; Delori, F.C. Retinal photopigment density measured using autofluorescence imaging. Investig. Ophthalmol. Vis. Sci. 2004, 45, 2795. [Google Scholar]
- Joseph, A.; Rahimy, E.; Freund, K.B.; Sorenson, J.A.; Sarraf, D. Fundus autofluorescence and photoreceptor bleaching in multiple evanescent white dot syndrome. Ophthalmic Surg. Lasers Imaging Retin. 2013, 44, 588–592. [Google Scholar] [CrossRef] [PubMed]
- Mantovani, A.; Giani, A.; Herbort, C.P., Jr.; Staurenghi, G. Interpretation of fundus autofluorescence changes in choriocapillaritis: A multi-modality imaging study. Graefes Arch. Clin. Exp. Ophthalmol. 2015, 254, 1473–1479. [Google Scholar] [CrossRef] [PubMed]
- Papasavvas, I.; Mantovani, A.; Tugal-Tutkun, I.; Herbort, C.P., Jr. Multiple evanescent white dot syndrome (MEWDS): Update on practical appraisal, diagnosis and clinicopathology; a review and an alternative comprehensive perspective. J. Ophthalmic Inflamm. Infect. 2021, 11, 45. [Google Scholar] [CrossRef] [PubMed]
- Zicarelli, F.; Mantovani, A.; Preziosa, C.; Staurenghi, G. Multimodal imaging of multiple evanescent white dot syndrome: A new interpretation. Ocul. Immunol. Inflamm. 2019, 28, 814–820. [Google Scholar] [CrossRef] [PubMed]
- Essilfie, J.; Bacci, T.; Abdelhakim, A.H.; Ramtohul, P.; Turchi, F.; Freund, K.B.; Yannuzzi, L.A. Are There Two Forms of Multiple Evanescent White Dot Syndrome? Retina 2022, 42, 227–235. [Google Scholar] [CrossRef] [PubMed]
- Kang, H.G.; Kim, T.Y.; Kim, M.; Byeon, S.H.; Kim, S.S.; Koh, H.J.; Lee, S.C.; Lee, C.S. Expanding the Clinical Spectrum of Multiple Evanescent White Dot Syndrome with Overlapping Multifocal Choroiditis. Ocul. Immunol. Inflamm. 2020, 30, 81–89. [Google Scholar] [CrossRef] [PubMed]
- Herbort, C.P., Jr.; Papasavvas, I.; Mantovani, A. Choriocapillaris involvement in Acute Syphilis Posterior Placoid Chorioretinitis is responsible for functional impairment and points towards an immunologic mechanism: A comprehensive clinicopathological approach. J. Curr. Ophthalmol. 2020, 32, 381–389. [Google Scholar] [CrossRef] [PubMed]
- Ormaechea, M.S.; Hassan, M.; Nguyen, Q.D.; Schlaen, A. Acute syphilitic posterior placoid chorioretinopathy: An infectious or autoimmune disease? Am. J. Ophthalmol. Case Rep. 2019, 14, 70–73. [Google Scholar] [CrossRef] [PubMed]
- Papasavvas, I.; Mantovani, A.; Herbort, C.P., Jr. Acute Posterior Multifocal Placoid Pigment Epitheliopathy (APMPPE): A Comprehensive Approach and Case Series: Systemic Corticosteroid Therapy Is Necessary in a Large Proportion of Cases. Medicina 2022, 58, 1070. [Google Scholar] [CrossRef] [PubMed]
- Papasavvas, I.; Jeannin, B.; Herbort, C.P., Jr. Tuberculosis-related serpiginous choroiditis: Aggressive therapy with dual concomitant combination of multiple anti-tubercular and multiple immunosuppressive agents is needed to halt the progression of the disease. J. Ophthalmic Inflamm. Infect. 2022, 12, 7. [Google Scholar] [CrossRef] [PubMed]
- Dutta Majumder, P.; Biswas, J.; Gupta, A. Enigma of serpiginous choroiditis. Indian J Ophthalmol. 2019, 67, 325–333. [Google Scholar] [CrossRef] [PubMed]
- Spaide, R.F. Chorioretinal Inflammatory Disorders. In Atlas of Fundus Autofluorescence Imaging; Holz, F.G., Schmitz-Valckenberg, S., Spaide, R.F., Bird, A.C., Eds.; Springer: Berlin/Heidelberg, Germany, 2007; pp. 207–239. [Google Scholar]
- Herbort, C.P., Jr.; Arapi, I.; Papasavvas, I.; Mantovani, A.; Jeannin, B. Acute Zonal Occult Outer Retinopathy (AZOOR) Results from a Clinicopathological Mechanism Different from Choriocapillaritis Diseases: A Multimodal Imaging Analysis. Diagnostics 2021, 11, 1184. [Google Scholar] [CrossRef] [PubMed]
- Sarkar, P.; Mehtani, A.; Gandhi, H.C.; Bhalla, J.S.; Tapariya, S. Paraneoplastic ocular syndrome: A pandora’s box of underlying malignancies. Eye 2022, 36, 1355–1367. [Google Scholar] [CrossRef] [PubMed]
- Invernizzi, A.; Agarwal, A.K.; Ravera, V.; Mapelli, C.; Riva, A.; Staurenghi, G.; McCluskey, P.; Viola, F. Comparing optical coherence tomography findings in different aetiologies of infectious necrotising retinitis. Br. J. Ophthalmol. 2018, 102, 433–437. [Google Scholar] [CrossRef] [PubMed]
- Invernizzi, A.; Symes, R.; Miserocchi, E.; Cozzi, M.; Cereda, M.; Fogliato, G.; Staurenghi, G.; Cimino, L.; McCluskey, P. Spectral Domain Optical Coherence Tomography Findings in Endogenous Candida Endophthalmitis and Their Clinical Relevance. Retina 2018, 38, 1011–1018. [Google Scholar] [CrossRef] [PubMed]
- Gupta, A.; Bansal, R.; Gupta, V.; Sharma, A. Fundus autofluorescence in serpiginouslike choroiditis. Retina 2012, 32, 814–825. [Google Scholar] [CrossRef] [PubMed]



Disclaimer/Publisher’s Note: The statements, opinions and data contained in all publications are solely those of the individual author(s) and contributor(s) and not of MDPI and/or the editor(s). MDPI and/or the editor(s) disclaim responsibility for any injury to people or property resulting from any ideas, methods, instructions or products referred to in the content. |
© 2023 by the authors. Licensee MDPI, Basel, Switzerland. This article is an open access article distributed under the terms and conditions of the Creative Commons Attribution (CC BY) license (https://creativecommons.org/licenses/by/4.0/).
Share and Cite
Mantovani, A.; Herbort, C.P., Jr.; Hedayatfar, A.; Papasavvas, I. Blue-Light Fundus Autofluorescence (BAF), an Essential Modality for the Evaluation of Inflammatory Diseases of the Photoreceptors: An Imaging Narrative. Diagnostics 2023, 13, 2466. https://doi.org/10.3390/diagnostics13142466
Mantovani A, Herbort CP Jr., Hedayatfar A, Papasavvas I. Blue-Light Fundus Autofluorescence (BAF), an Essential Modality for the Evaluation of Inflammatory Diseases of the Photoreceptors: An Imaging Narrative. Diagnostics. 2023; 13(14):2466. https://doi.org/10.3390/diagnostics13142466
Chicago/Turabian StyleMantovani, Alessandro, Carl P. Herbort, Jr., Alireza Hedayatfar, and Ioannis Papasavvas. 2023. "Blue-Light Fundus Autofluorescence (BAF), an Essential Modality for the Evaluation of Inflammatory Diseases of the Photoreceptors: An Imaging Narrative" Diagnostics 13, no. 14: 2466. https://doi.org/10.3390/diagnostics13142466
APA StyleMantovani, A., Herbort, C. P., Jr., Hedayatfar, A., & Papasavvas, I. (2023). Blue-Light Fundus Autofluorescence (BAF), an Essential Modality for the Evaluation of Inflammatory Diseases of the Photoreceptors: An Imaging Narrative. Diagnostics, 13(14), 2466. https://doi.org/10.3390/diagnostics13142466

