Contrast-Enhanced Computed Tomography and Laboratory Parameters as Non-Invasive Diagnostic Markers of Pancreatic Fibrosis
Abstract
1. Introduction
2. Materials and Methods
2.1. Patient Data
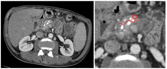
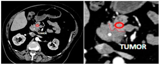
2.2. MDCT Examination
2.3. MDCT Result Post-Processing
2.4. Histopathology Analysis
2.5. Biomarkers Assessment
2.6. Statistical Analysis
3. Results
3.1. MDCT Post-Processing Results: Intergroup Differences
3.2. Biomarker Levels: Intergroup Differences
3.3. Correlation Analysis
4. Discussion
5. Conclusions
Author Contributions
Funding
Institutional Review Board Statement
Informed Consent Statement
Data Availability Statement
Conflicts of Interest
References
- Löhr, J.M.; Dominguez-Munoz, E.; Rosendahl, J.; Besselink, M.; Mayerle, J.; Lerch, M.M.; Haas, S.; Akisik, F.; Kartalis, N.; Iglesias-Garcia, J.; et al. United European Gastroenterology evidence-based guidelines for the diagnosis and therapy of chronic pancreatitis (HaPanEU). United Eur. Gastroenterol. J. 2017, 5, 153–199. [Google Scholar] [CrossRef] [PubMed]
- Shimizu, K.; Ito, T.; Irisawa, A.; Ohtsuka, T.; Ohara, H.; Kanno, A.; Kida, M.; Sakagami, J.; Sata, N.; Takeyama, Y.; et al. Evidence-based clinical practice guidelines for chronic pancreatitis 2021. J. Gastroenterol. 2022, 57, 709–724. [Google Scholar] [CrossRef] [PubMed]
- Whitcomb, D.C.; Shimosegawa, T.; Chari, S.T.; Forsmark, C.E.; Frulloni, L.; Garg, P.; Hegyi, P.; Hirooka, Y.; Irisawa, A.; Ishikawa, T.; et al. International consensus statements on early chronic Pancreatitis. Recommendations from the working group for the international consensus guidelines for chronic pancreatitis in collaboration with The International Association of Pancreatology, American Pancreatic Association, Japan Pancreas Society, PancreasFest Working Group and European Pancreatic Club. Pancreatology 2018, 18, 516–527. [Google Scholar] [CrossRef] [PubMed]
- Matsubayashi, H.; Ishiwatari, H.; Sasaki, K.; Uesaka, K.; Ono, H. Detecting Early Pancreatic Cancer: Current Problems and Future Prospects. Gut Liver 2019, 14, 30–36. [Google Scholar] [CrossRef]
- Klein, A.P. Pancreatic cancer epidemiology: Understanding the role of lifestyle and inherited risk factors. Nat. Rev. Gastroenterol. Hepatol. 2021, 18, 493–502. [Google Scholar] [CrossRef] [PubMed]
- International Agency for Research on Cancer; World Health Organization. Global Cancer Observatory 2018. Available online: https://gco.iarc.fr/ (accessed on 11 March 2023).
- Tonini, V.; Zanni, M. Pancreatic cancer in 2021: What you need to know to win. World J. Gastroenterol. 2021, 27, 5851–5889. [Google Scholar] [CrossRef]
- McGuigan, A.; Kelly, P.; Turkington, R.C.; Jones, C.; Coleman, H.G.; McCain, R.S. Pancreatic cancer: A review of clinical diagnosis, epidemiology, treatment and outcomes. World J. Gastroenterol. 2018, 24, 4846–4861. [Google Scholar] [CrossRef]
- Gardner, T.B.; Adler, D.G.; Forsmark, C.E.; Sauer, B.G.; Taylor, J.R.; Whitcomb, D.C. ACG Clinical Guideline: Chronic Pancreatitis. Am. J. Gastroenterol. 2020, 115, 322–339. [Google Scholar] [CrossRef]
- Ma, X.; Wang, Y.-R.; Zhuo, L.-Y.; Yin, X.-P.; Ren, J.-L.; Li, C.-Y.; Xing, L.-H.; Zheng, T.-T. Retrospective Analysis of the Value of Enhanced CT Radiomics Analysis in the Differential Diagnosis Between Pancreatic Cancer and Chronic Pancreatitis. Int. J. Gen. Med. 2022, 15, 233–241. [Google Scholar] [CrossRef]
- Huang, C.-T.; Lin, C.-K.; Lee, T.-H.; Liang, Y.-J. Pancreatic Fibrosis and Chronic Pancreatitis: Mini-Review of Non-Histologic Diagnosis for Clinical Applications. Diagnostics 2020, 10, 87. [Google Scholar] [CrossRef]
- Deng, Y.; Zhao, B.; Yang, M.; Li, C.; Zhang, L. Association Between the Incidence of Pancreatic Fistula After Pancreaticoduodenectomy and the Degree of Pancreatic Fibrosis. J. Gastrointest. Surg. 2018, 22, 438–443. [Google Scholar] [CrossRef]
- Schuh, F.; Mihaljevic, A.L.; Probst, P.; Trudeau, M.T.; Müller, P.C.; Marchegiani, G.; Besselink, M.G.; Uzunoglu, F.; Izbicki, J.R.; Falconi, M.; et al. A Simple Classification of Pancreatic Duct Size and Texture Predicts Postoperative Pancreatic Fistula: A classification of the International Study Group of Pancreatic Surgery. Ann. Surg. 2021, 277, e597–e608. [Google Scholar] [CrossRef]
- Sinha, A.; Singh, V.K.; Cruise, M.; Afghani, E.; Matsukuma, K.; Ali, S.; Andersen, D.K.; Makary, M.A.; Raman, S.P.; Fishman, E.K.; et al. Abdominal CT predictors of fibrosis in patients with chronic pancreatitis undergoing surgery. Eur. Radiol. 2014, 25, 1339–1346. [Google Scholar] [CrossRef]
- Mayerle, J.; Kalthoff, H.; Reszka, R.; Kamlage, B.; Peter, E.; Schniewind, B.; Maldonado, S.G.; Pilarsky, C.; Heidecke, C.-D.; Schatz, P.; et al. Metabolic biomarker signature to differentiate pancreatic ductal adenocarcinoma from chronic pancreatitis. Gut 2017, 67, 128–137. [Google Scholar] [CrossRef] [PubMed]
- Xu, S.; Xu, H.; Wang, W.; Li, S.; Li, H.; Li, T.; Zhang, W.; Yu, X.; Liu, L. The role of collagen in cancer: From bench to bedside. J. Transl. Med. 2019, 17, 309. [Google Scholar] [CrossRef] [PubMed]
- Theocharis, A.D.; Tsara, M.E.; Papageorgacopoulou, N.; Karavias, D.D.; Theocharis, D.A. Pancreatic carcinoma is characterized by elevated content of hyaluronan and chondroitin sulfate with altered disaccharide composition. Biochim. Biophys. Acta (BBA) Mol. Basis Dis. 2000, 1502, 201–216. [Google Scholar] [CrossRef]
- Venkateshwari, A.; Manjari, K.S.; Krishnaveni, D.; Nallari, P.; Vidyasagar, A.; Jyothy, A. Role of Plasma MMP 9 levels in the Pathogenesis of Chronic Pancreatitis. Indian J. Clin. Biochem. 2011, 26, 136–139. [Google Scholar] [CrossRef] [PubMed]
- Yokota, T.; Denham, W.; Murayama, K.; Pelham, C.; Joehl, R.; Bell, R.H. Pancreatic Stellate Cell Activation and MMP Production in Experimental Pancreatic Fibrosis. J. Surg. Res. 2002, 104, 106–111. [Google Scholar] [CrossRef] [PubMed]
- Kurzepa, J.; Mdro, A.; Czechowska, G.; Kurzepa, J.; Celiński, K.; Kazmierak, W.; Slstrokomka, M. Role of MMP-2 and MMP-9 and their natural inhibitors in liver fibrosis, chronic pancreatitis and non-specific inflammatory bowel diseases. Hepatobiliary Pancreat. Dis. Int. 2014, 13, 570–579. [Google Scholar] [CrossRef]
- Li, C.-X.; Cui, L.-H.; Zhuo, Y.-Z.; Hu, J.-G.; Cui, N.-Q.; Zhang, S.-K. Inhibiting autophagy promotes collagen degradation by regulating matrix metalloproteinases in pancreatic stellate cells. Life Sci. 2018, 208, 276–283. [Google Scholar] [CrossRef]
- Zhang, D.; Li, W.; Wang, M.; Yin, H.; Xia, C.; Li, K.; Huang, H. Methods of a New Chronic Pancreatitis and Spontaneous Pancreatic Cancer Mouse Model Using Retrograde Pancreatic Duct Injection of Dibutyltin Dichloride. Front. Oncol. 2022, 12, 947133. [Google Scholar] [CrossRef] [PubMed]
- Gudowska-Sawczuk, M.; Cylwik, B.; Chrostek, L. The role of serum hyaluronic acid determination in the diagnosis of liver fibrosis. Acta Biochim. Pol. 2017, 64, 451–457. [Google Scholar] [CrossRef] [PubMed]
- Kaux, J.-F.; Samson, A.; Crielaard, J.-M. Hyaluronic acid and tendon lesions. Muscle Ligaments Tendons J. 2016, 5, 264–269. [Google Scholar] [CrossRef]
- Kim, P.K.; Halbrook, C.J.; Kerk, S.A.; Radyk, M.; Wisner, S.; Kremer, D.M.; Sajjakulnukit, P.; Andren, A.; Hou, S.W.; Trivedi, A.; et al. Hyaluronic acid fuels pancreatic cancer cell growth. eLife 2021, 10, e62645. [Google Scholar] [CrossRef]
- Topalovski, M.; Brekken, R.A. Matrix control of pancreatic cancer: New insights into fibronectin signaling. Cancer Lett. 2016, 381, 252–258. [Google Scholar] [CrossRef]
- Duan, L.-F.; Xu, X.-F.; Zhu, L.-J.; Liu, F.; Zhang, X.-Q.; Wu, N.; Fan, J.-W.; Xin, J.-Q.; Zhang, H. Dachaihu decoction ameliorates pancreatic fibrosis by inhibiting macrophage infiltration in chronic pancreatitis. World J. Gastroenterol. 2017, 23, 7242–7252. [Google Scholar] [CrossRef]
- Esposito, I.; Hruban, R.H.; Verbeke, C.; Terris, B.; Zamboni, G.; Scarpa, A.; Morohoshi, T.; Suda, K.; Luchini, C.; Klimstra, D.S.; et al. Guidelines on the histopathology of chronic pancreatitis. Recommendations from the working group for the international consensus guidelines for chronic pancreatitis in collaboration with the International Association of Pancreatology, the American Pancreatic Association, the Japan Pancreas Society, and the European Pancreatic Club. Pancreatology 2020, 20, 586–593. [Google Scholar] [CrossRef]
- Huang, Y.; Shi, J.; Chen, Y.-Y.; Li, K. Ultrasound-Guided Percutaneous Core Needle Biopsy for the Diagnosis of Pancreatic Disease. Ultrasound Med. Biol. 2018, 44, 1145–1154. [Google Scholar] [CrossRef]
- Issa, Y.; Kempeneers, M.A.; Bruno, M.J.; Fockens, P.; Poley, J.-W.; Ali, U.A.; Bollen, T.L.; Busch, O.R.; DeJong, C.H.; Van Duijvendijk, P.; et al. Effect of Early Surgery vs Endoscopy-First Approach on Pain in Patients With Chronic Pancreatitis: The ESCAPE Randomized Clinical Trial. JAMA 2020, 323, 237–247. [Google Scholar] [CrossRef]
- Torphy, R.J.; Wang, Z.; True-Yasaki, A.; Volmar, K.E.; Rashid, N.; Yeh, B.; Johansen, J.S.; Hollingsworth, M.A.; Yeh, J.J.; Collisson, E.A. Stromal Content Is Correlated With Tissue Site, Contrast Retention, and Survival in Pancreatic Adenocarcinoma. JCO Precis. Oncol. 2018, 2, 1–12. [Google Scholar] [CrossRef] [PubMed]
- Hashimoto, Y.; Sclabas, G.M.; Takahashi, N.; Kirihara, Y.; Smyrk, T.C.; Huebner, M.; Farnell, M.B. Dual-Phase Computed Tomography for Assessment of Pancreatic Fibrosis and Anastomotic Failure Risk Following Pancreatoduodenectomy. J. Gastrointest. Surg. 2011, 15, 2193–2204. [Google Scholar] [CrossRef] [PubMed]
- Klöppel, G.; Maillet, B. Pseudocysts in chronic pancreatitis: A morphological analysis of 57 resection specimens and 9 autopsy pancreata. Pancreas 1991, 6, 266–274. [Google Scholar] [CrossRef] [PubMed]
- Broumas, A.R.; Pollard, R.E.; Bloch, S.H.; Wisner, E.R.; Griffey, S.; Ferrara, K.W. Contrast-Enhanced Computed Tomography and Ultrasound for the Evaluation of Tumor Blood Flow. Investig. Radiol. 2005, 40, 134–147. [Google Scholar] [CrossRef] [PubMed]
- Ohgi, K.; Okamura, Y.; Sugiura, T.; Ito, T.; Yamamoto, Y.; Ashida, R.; Aramaki, T.; Uesaka, K. Pancreatic attenuation on computed tomography predicts pancreatic fistula after pancreaticoduodenectomy. HPB 2020, 22, 67–74. [Google Scholar] [CrossRef] [PubMed]
- Sano, S.; Okamura, Y.; Ohgi, K.; Sugiura, T.; Ito, T.; Yamamoto, Y.; Ashida, R.; Sasaki, K.; Uesaka, K. Histological pancreatic findings correlate with computed tomography attenuation and predict postoperative pancreatic fistula following pancreatoduodenectomy. HPB 2022, 24, 1519–1526. [Google Scholar] [CrossRef]
- Yamashita, Y.; Ashida, R.; Kitano, M. Imaging of Fibrosis in Chronic Pancreatitis. Front. Physiol. 2022, 12, 800516. [Google Scholar] [CrossRef]
- Hasel, C.; Dürr, S.; Rau, B.; Sträter, J.; Schmid, R.M.; Walczak, H.; Bachem, M.G.; Möller, P. In Chronic Pancreatitis, Widespread Emergence of TRAIL Receptors in Epithelia Coincides with Neoexpression of TRAIL by Pancreatic Stellate Cells of Early Fibrotic Areas. Lab. Investig. 2003, 83, 825–836. [Google Scholar] [CrossRef]
- Pirola, R.C.; Grabliauskaite, K.; Saponara, E.; Reding, T.; Bombardo, M.; Seleznik, G.M.; Malagola, E.; Zabel, A.; Faso, C.; Sonda, S.; et al. The Fibrosis of Chronic Pancreatitis: New Insights into the Role of Pancreatic Stellate Cells. Antioxidants Redox Signal. 2011, 15, 2711–2722. [Google Scholar] [CrossRef]
- Abatangelo, G.; Vindigni, V.; Avruscio, G.; Pandis, L.; Brun, P. Hyaluronic Acid: Redefining Its Role. Cells 2020, 9, 1743. [Google Scholar] [CrossRef]
- Pratt, R.L. Hyaluronan and the Fascial Frontier. Int. J. Mol. Sci. 2021, 22, 6845. [Google Scholar] [CrossRef]
- Phillips, P.A.; McCarroll, J.A.; Park, S.; Wu, M.-J.; Pirola, R.; Korsten, M.; Wilson, J.S.; Apte, M.V. Rat pancreatic stellate cells secrete matrix metalloproteinases: Implications for extracellular matrix turnover. Gut 2003, 52, 275–282. [Google Scholar] [CrossRef] [PubMed]
- Manjari, K.S.; Nallari, P.; Balakrishna, N.; Vidyasagar, A.; Prabhakar, B.; Jyothy, A.; Venkateshwari, A. Influence of Matrix Metalloproteinase-1 Gene −1607 (1G/2G) (rs1799750) Promoter Polymorphism on Circulating Levels of MMP-1 in Chronic Pancreatitis. Biochem. Genet. 2013, 51, 644–654. [Google Scholar] [CrossRef] [PubMed]



| Value | Formula |
|---|---|
| NCER during the PP | (Pancreatic density in PP − Pancreatic density in precontrast phase)/ (Blood density in aorta in PP − Blood density in aorta in precontrast phase) |
| NCER during the VP | (Pancreatic density in VP − Pancreatic density in precontrast phase)/ (Blood density in aorta in VP − Blood density in aorta in precontrast phase) |
| CER | (Pancreatic density in VP − Pancreatic density in precontrast phase)/(Pancreatic density in PP − Pancreatic density in precontrast phase) |
| Fibrosis Patterns | Fibrosis Degree | ||
|---|---|---|---|
| Mild | Moderate | Severe | |
| Perilobular fibrosis | |||
| Focal | 1 | 2 | 3 |
| Diffuse | 4 | 5 | 6 |
| Intralobular fibrosis | |||
| Focal | 1 | 2 | 3 |
| Diffuse | 4 | 5 | 6 |
| Integrative index | Mild fibrosis | ≤6 | |
| Moderate fibrosis | 7–9 | ||
| Severe fibrosis | 10–12 | ||
| Localization | N | % |
|---|---|---|
| Uncinate process | 13 | 18.1 |
| Head | 38 | 52.8 |
| Isthmus | 4 | 5.5 |
| Body | 6 | 8.3 |
| Tail | 11 | 15.3 |
| Total | 72 | 100 |
| Type of Surgery | N | % |
|---|---|---|
| Pancreaticoduodenectomy | 48 | 64.9 |
| Distal pancreatectomy | 18 | 24.3 |
| Total pancreatectomy | 6 | 8.1 |
| Drainage surgery | 2 | 2.7 |
| Total | 74 | 100 |
| Pancreatic Fibrosis Grade | N | % |
|---|---|---|
| Perilobular fibrosis grade | ||
| 0 | 1 | 1.4 |
| 1 | 18 | 24.3 |
| 2 | 11 | 14.9 |
| 3 | 3 | 4 |
| 4 | 12 | 16.2 |
| 5 | 20 | 27 |
| 6 | 9 | 12.2 |
| Total | 74 | 100 |
| Intralobular fibrosis grade | ||
| 0 | 3 | 4 |
| 1 | 25 | 33.8 |
| 2 | 8 | 10.8 |
| 3 | 2 | 2.7 |
| 4 | 17 | 23 |
| 5 | 13 | 17.6 |
| 6 | 6 | 8.1 |
| Total | 74 | 100 |
| Integrative index of fibrosis | ||
| Mild | 24 | 32.4 |
| Moderate | 9 | 12.2 |
| Severe | 41 | 55.4 |
| Total | 74 | 100 |
| Pancreatic Fibrosis Sign | N | % |
|---|---|---|
| Inflammation | ||
| No | 32 | 43.2 |
| Yes | 42 | 56.8 |
| Total | 74 | 100 |
| Pancreatic duct epithelium metaplasia | ||
| No | 34 | 45.9 |
| Yes | 40 | 54.1 |
| Total | 74 | 100 |
| Peripheral nerves | ||
| No | 51 | 68.9 |
| Yes | 23 | 31.1 |
| Total | 74 | 100 |
| Protein plugs | ||
| No | 40 | 54.1 |
| Yes | 34 | 45.9 |
| Total | 74 | 100 |
| Unenhanced Pancreas Density Mean Values, HU | p | PP Pancreas Density Mean Values, HU | p | VP Pancreas Density Mean Values, HU | p | Mean NCER PP | p | Mean NCER VP | p | Mean CER | p | |
|---|---|---|---|---|---|---|---|---|---|---|---|---|
| Pancreatic fibrosis grade | ||||||||||||
| Perilobular fibrosis grade | ||||||||||||
| 0 | 55 | 0.01 | 102 | 0.76 | 110 | 0.18 | 0.17 | 0.8 | 0.59 | 0.005 | 1.17 | 0.003 |
| 1 | 39.6 | 94.1 | 80 | 0.36 | 0.45 | 0.73 | ||||||
| 2 | 37 | 93 | 77.9 | 0.29 | 0.54 | 1.08 | ||||||
| 3 | 40.3 | 95.3 | 94 | 0.24 | 0.54 | 1.15 | ||||||
| 4 | 34.1 | 102.4 | 89.1 | 0.33 | 0.59 | 0.82 | ||||||
| 5 | 31.7 | 88.1 | 82.3 | 0.33 | 0.64 | 5.17 | ||||||
| 6 | 33.75 | 85 | 76.3 | 0.33 | 0.59 | 1.27 | ||||||
| Intralobular fibrosis grade | ||||||||||||
| 0 | 46.7 | 0.01 | 115.3 | 0.12 | 98 | 0.058 | 0.24 | 0.93 | 0.53 | 0.012 | 0.8 | 0.05 |
| 1 | 39.2 | 90.9 | 78.5 | 0.31 | 0.49 | 0.77 | ||||||
| 2 | 31 | 83.9 | 79.6 | 0.39 | 0.57 | 9.47 | ||||||
| 3 | 34 | 77.5 | 90 | 0.25 | 0.57 | 1.42 | ||||||
| 4 | 36.2 | 99.8 | 91.9 | 0.34 | 0.59 | 0.99 | ||||||
| 5 | 29.6 | 88.3 | 79.3 | 0.37 | 0.68 | 0.81 | ||||||
| 6 | 36.8 | 68 | 70.3 | 0.24 | 0.54 | 1.5 | ||||||
| Unenhanced pancreas density mean values, HU | p | PP pancreas density mean values, HU | p | VP pancreas density mean values, HU | p | Mean NCER PP | p | Mean NCER VP | p | Mean CER | p | |
| Integrative index of fibrosis | ||||||||||||
| Mild | 40.7 | 0.007 | 92.1 | 0.9 | 80.5 | 0.06 | 0.3 | 0.56 | 0.47 | 0.006 | 0.76 | 0.007 |
| Moderate | 32.2 | 91.5 | 74.9 | 0.38 | 0.53 | 1.03 | ||||||
| Severe | 33.9 | 89.4 | 85 | 0.33 | 0.62 | 2.89 | ||||||
| Pancreatic fibrosis sign | ||||||||||||
| Inflammation | ||||||||||||
| No | 39.5 | 0.004 | 94.3 | 0.29 | 80 | 0.19 | 0.34 | 0.46 | 0.49 | 0.007 | 0.73 | 0.002 |
| Yes | 33.4 | 87.7 | 84.1 | 0.32 | 0.62 | 2.94 | ||||||
| Pancreatic duct epithelium metaplasia | ||||||||||||
| No | 39.2 | 0.04 | 89.7 | 0.11 | 83.9 | 0.48 | 0.31 | 0.72 | 0.54 | 0.68 | 0.76 | 0.007 |
| Yes | 33.6 | 91.6 | 80.9 | 0.34 | 0.56 | 2.8 | ||||||
| Peripheral nerves | ||||||||||||
| No | 37.1 | 0.03 | 93.1 | 0.52 | 83.6 | 0.77 | 0.33 | 0.68 | 0.55 | 0.2 | 2.2 | 0.16 |
| Yes | 30.99 | 84.8 | 79.4 | 0.31 | 0.54 | 1 | ||||||
| Protein plugs | ||||||||||||
| No | 36.4 | 0.22 | 89.6 | 0.65 | 80.6 | 0.34 | 0.3 | 0.25 | 0.53 | 0.79 | 0.9 | 0.14 |
| Yes | 33.6 | 91.6 | 84.3 | 0.36 | 0.56 | 3 | ||||||
| Parameter | FN Mean Values, μg/mL | p | HA Mean Values, ng/mL | p | MMP-1, Mean Values, ng/mL | p | MMP-9, Mean Values, ng/mL | p |
|---|---|---|---|---|---|---|---|---|
| Pancreatic fibrosis grade | ||||||||
| Perilobular fibrosis grade | ||||||||
| 0 | 132 | 0.13 | 17.6 | 0.66 | 4.14 | 0.38 | 626.8 | 0.7 |
| 1 | 107.1 | 80.7 | 57.84 | 1057.3 | ||||
| 2 | 106.8 | 87.5 | 42.37 | 846.9 | ||||
| 3 | 43.7 | 40.9 | 68.98 | 1719.6 | ||||
| 4 | 85.7 | 56.9 | 56.47 | 1142.9 | ||||
| 5 | 79 | 86.3 | 48.97 | 864.8 | ||||
| 6 | 68 | 102.7 | 46.25 | 616.2 | ||||
| Intralobular fibrosis grade | ||||||||
| 0 | 93.3 | 0.009 | 21.1 | 0.16 | 43.9 | 0.5 | 1190.1 | 0.89 |
| 1 | 109.2 | 85.9 | 52.5 | 853.7 | ||||
| 2 | 80.9 | 55.6 | 51.6 | 1040.4 | ||||
| 3 | 47.5 | 36.2 | 69.5 | 965.5 | ||||
| 4 | 65.4 | 54.6 | 55.1 | 1164.7 | ||||
| 5 | 70.2 | 150.3 | 39.8 | 859.7 | ||||
| 6 | 75.2 | 46.1 | 56.9 | 757.8 | ||||
| Integrative index of fibrosis | ||||||||
| Mild | 104.4 | 0.02 | 86.5 | 0.8 | 49.9 | 0.45 | 971.6 | 0.94 |
| Moderate | 95 | 52.9 | 60.6 | 901.7 | ||||
| Severe | 68.9 | 81.4 | 49.9 | 957.4 | ||||
| Pancreatic fibrosis sign | ||||||||
| Inflammation | ||||||||
| No | 101.1 | 0.11 | 90.2 | 0.04 | 49.8 | 0.56 | 826 | 0.17 |
| Yes | 79.8 | 74.2 | 52.3 | 1053.7 | ||||
| Pancreatic duct epithelium metaplasia | ||||||||
| No | 86.7 | 0.48 | 53.7 | 0.38 | 51.3 | 0.9 | 1013.9 | 0.8 |
| Yes | 90.9 | 101.6 | 51.2 | 905.5 | ||||
| FN mean values, μg/mL | p | HA mean values, ng/mL | p | MMP-1, mean values, ng/mL | p | MMP-9, mean values, ng/mL | p | |
| Peripheral nerves | ||||||||
| No | 92.4 | 0.48 | 62.4 | 0.02 | 52.2 | 0.66 | 983.6 | 0.72 |
| Yes | 81.6 | 132.3 | 49.2 | 905.5 | ||||
| Protein plugs | ||||||||
| No | 94.7 | 0.08 | 66.7 | 0.67 | 52.9 | 0.5 | 946.9 | 0.96 |
| Yes | 82.3 | 94.8 | 49.3 | 965.1 |
| Parameter | Unenhanced Pancreas Density, rho, p | PP Pancreas Density, rho, p | VP Pancreas Density, rho, p | NCER PP, rho, p | NCER VP, rho, p | CER, rho, p | FN, rho, p | HA, rho, p | MMP-1, rho, p | MMP-9, rho, p |
|---|---|---|---|---|---|---|---|---|---|---|
| Perilobular fibrosis grade | −0.332, 0.004 | −0.176, 0.13 | 0.051, 0.66 | −0.015, 0.9 | 0.283, 0.015 | 0.383, 0.001 | −0.197, 0.09 | 0.047, 0.69 | −0.063, 0.59 | −0.144, 0.22 |
| Intralobular fibrosis grade | −0.309, 0.007 | −0.145, 0.22 | 0.041, 0.73 | 0.015, 0.9 | 0.218, 0.062 | 0.293, 0.01 | −0.306, 0.008 | 0.17, 0.15 | −0.042, 0.7 | 0.003, 0.98 |
| Integrative index of fibrosis | −0.341, 0.003 | −0.047, 0.69 | 0.239, 0.4 | 0.012, 0.92 | 0.372, 0.001 | 0.363, 0.001 | −0.358, 0.002 | 0.058, 0.62 | −0.011, 0.9 | −0.029, 0.8 |
| Inflammation | −0.363, 0.001 | −0.125, 0.29 | 0.154, 0.19 | −0.088, 0.5 | 0.311, 0.007 | 0.388, 0.001 | −0.187, 0.11 | 0.114, 0.3 | 0.068, 0.56 | 0.16, 0.17 |
| Pancreatic duct epithelium metaplasia | −0.239, 0.04 | −0.188, 0.11 | −0.083, 0.48 | 0.043, 0.7 | 0.076, 0.52 | 0.284, 0.014 | 0.08, 0.5 | 0.103, 0.38 | 0.013, 0.9 | 0.029, 0.8 |
| Peripheral nerves | −0.247, 0.034 | −0.076, 0.52 | −0.035, 0.77 | −0.049, 0.7 | −0.034, 0.78 | 0.165, 0.16 | −0.081, 0.5 | 0.225, 0.05 | −0.051, 0.66 | 0.042, 0.72 |
| Protein plugs | −0.144, 0.22 | 0.053, 0.66 | 0.107, 0.36 | 0.135, 0.25 | 0.198, 0.09 | 0.174, 0.14 | −0.204, 0.08 | 0.05, 0.67 | −0.078, 0.51 | −0.006, 0.96 |
Disclaimer/Publisher’s Note: The statements, opinions and data contained in all publications are solely those of the individual author(s) and contributor(s) and not of MDPI and/or the editor(s). MDPI and/or the editor(s) disclaim responsibility for any injury to people or property resulting from any ideas, methods, instructions or products referred to in the content. |
© 2023 by the authors. Licensee MDPI, Basel, Switzerland. This article is an open access article distributed under the terms and conditions of the Creative Commons Attribution (CC BY) license (https://creativecommons.org/licenses/by/4.0/).
Share and Cite
Khatkov, I.E.; Bordin, D.S.; Lesko, K.A.; Dubtsova, E.A.; Karnaukhov, N.S.; Kiriukova, M.A.; Makarenko, N.V.; Dorofeev, A.S.; Savina, I.V.; Salimgereeva, D.A.; et al. Contrast-Enhanced Computed Tomography and Laboratory Parameters as Non-Invasive Diagnostic Markers of Pancreatic Fibrosis. Diagnostics 2023, 13, 2435. https://doi.org/10.3390/diagnostics13142435
Khatkov IE, Bordin DS, Lesko KA, Dubtsova EA, Karnaukhov NS, Kiriukova MA, Makarenko NV, Dorofeev AS, Savina IV, Salimgereeva DA, et al. Contrast-Enhanced Computed Tomography and Laboratory Parameters as Non-Invasive Diagnostic Markers of Pancreatic Fibrosis. Diagnostics. 2023; 13(14):2435. https://doi.org/10.3390/diagnostics13142435
Chicago/Turabian StyleKhatkov, Igor E., Dmitry S. Bordin, Konstantin A. Lesko, Elena A. Dubtsova, Nikolay S. Karnaukhov, Maria A. Kiriukova, Nadezhda V. Makarenko, Alexey S. Dorofeev, Irina V. Savina, Diana A. Salimgereeva, and et al. 2023. "Contrast-Enhanced Computed Tomography and Laboratory Parameters as Non-Invasive Diagnostic Markers of Pancreatic Fibrosis" Diagnostics 13, no. 14: 2435. https://doi.org/10.3390/diagnostics13142435
APA StyleKhatkov, I. E., Bordin, D. S., Lesko, K. A., Dubtsova, E. A., Karnaukhov, N. S., Kiriukova, M. A., Makarenko, N. V., Dorofeev, A. S., Savina, I. V., Salimgereeva, D. A., Shurygina, E. I., & Vinokurova, L. V. (2023). Contrast-Enhanced Computed Tomography and Laboratory Parameters as Non-Invasive Diagnostic Markers of Pancreatic Fibrosis. Diagnostics, 13(14), 2435. https://doi.org/10.3390/diagnostics13142435

