A Case Report of Intratesticular Hematoma in a Patient with Reiter’s Syndrome
Abstract
1. Introduction
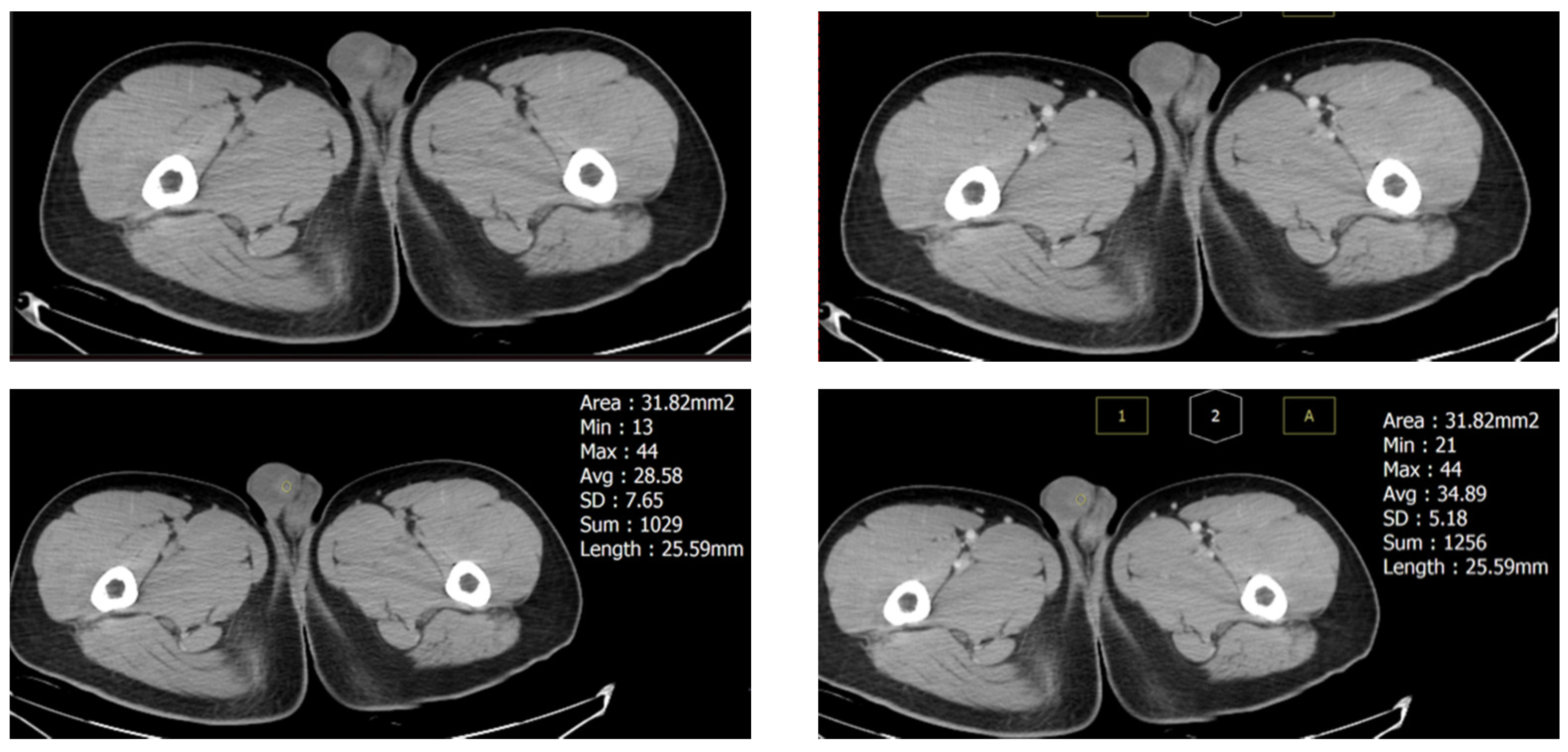
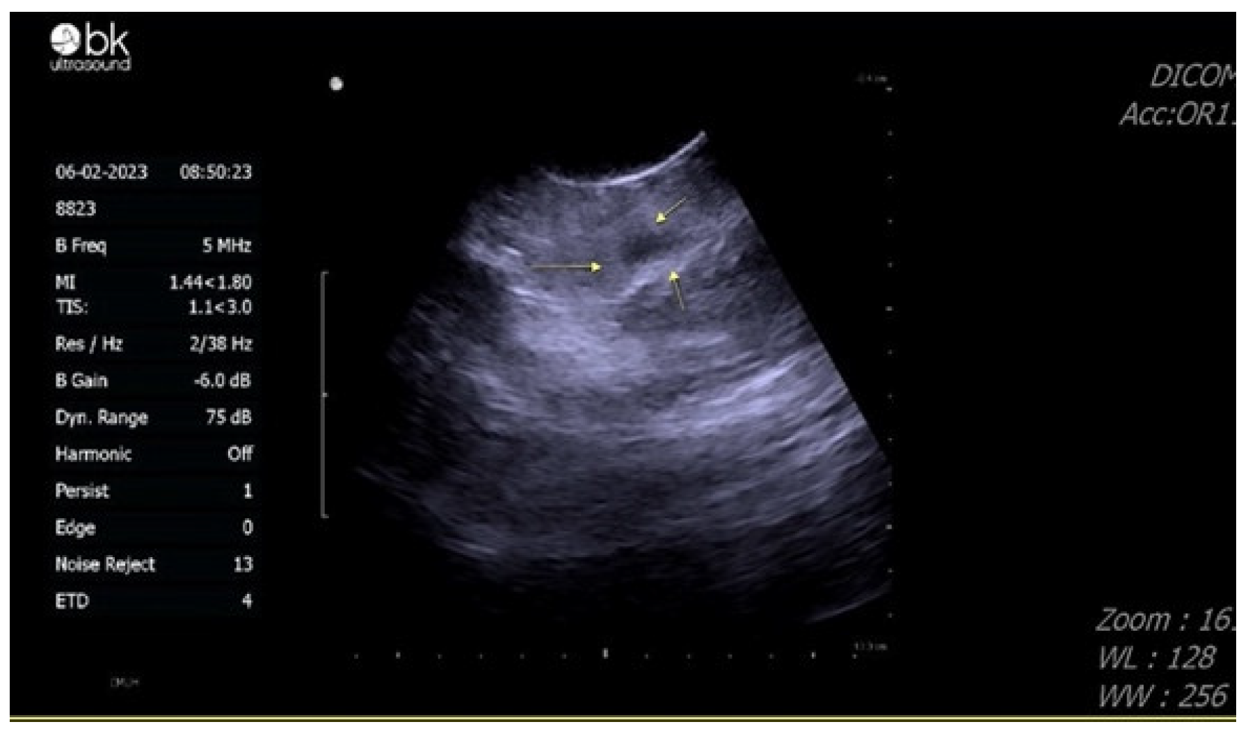
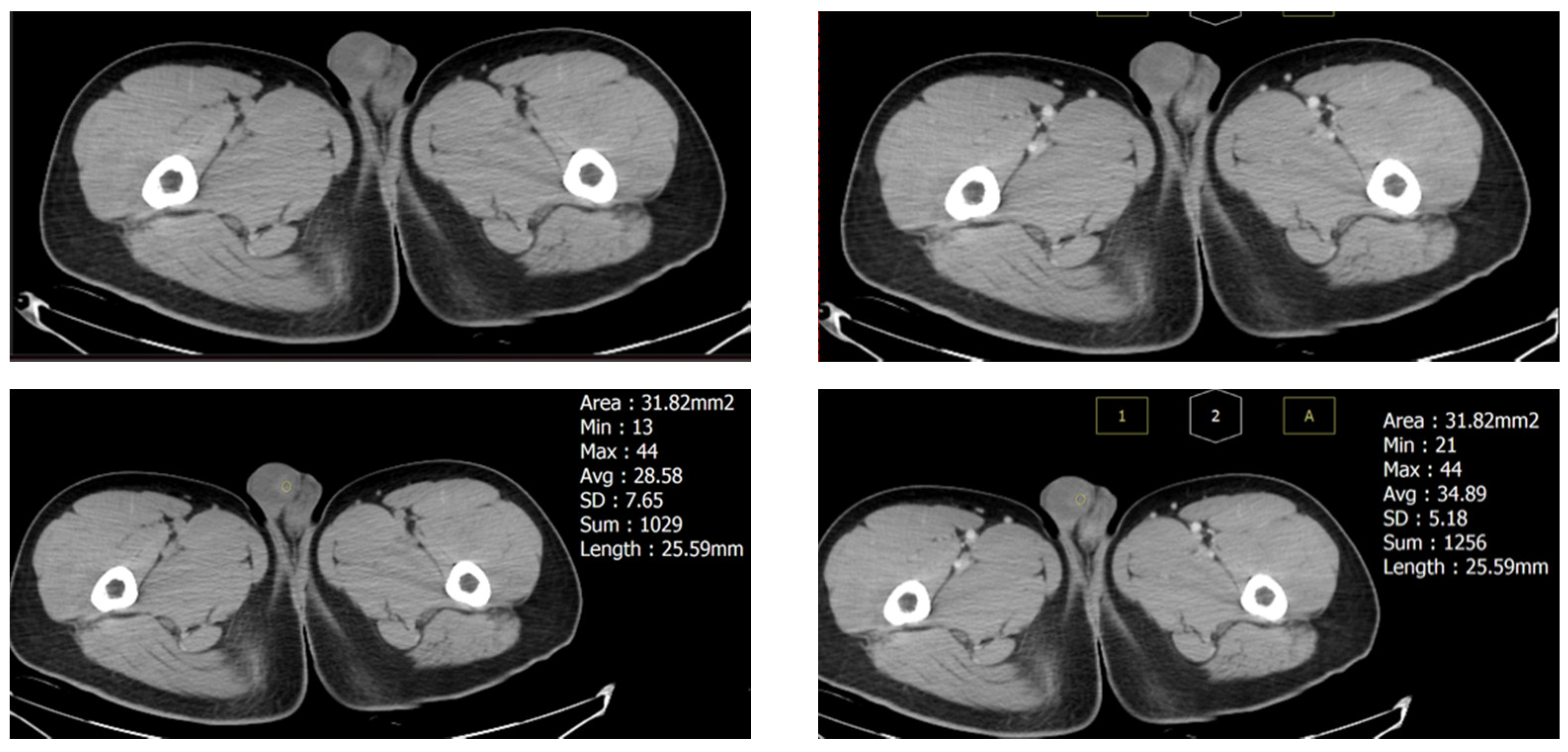
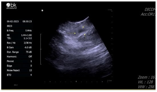
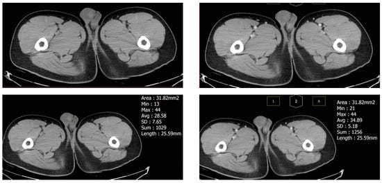
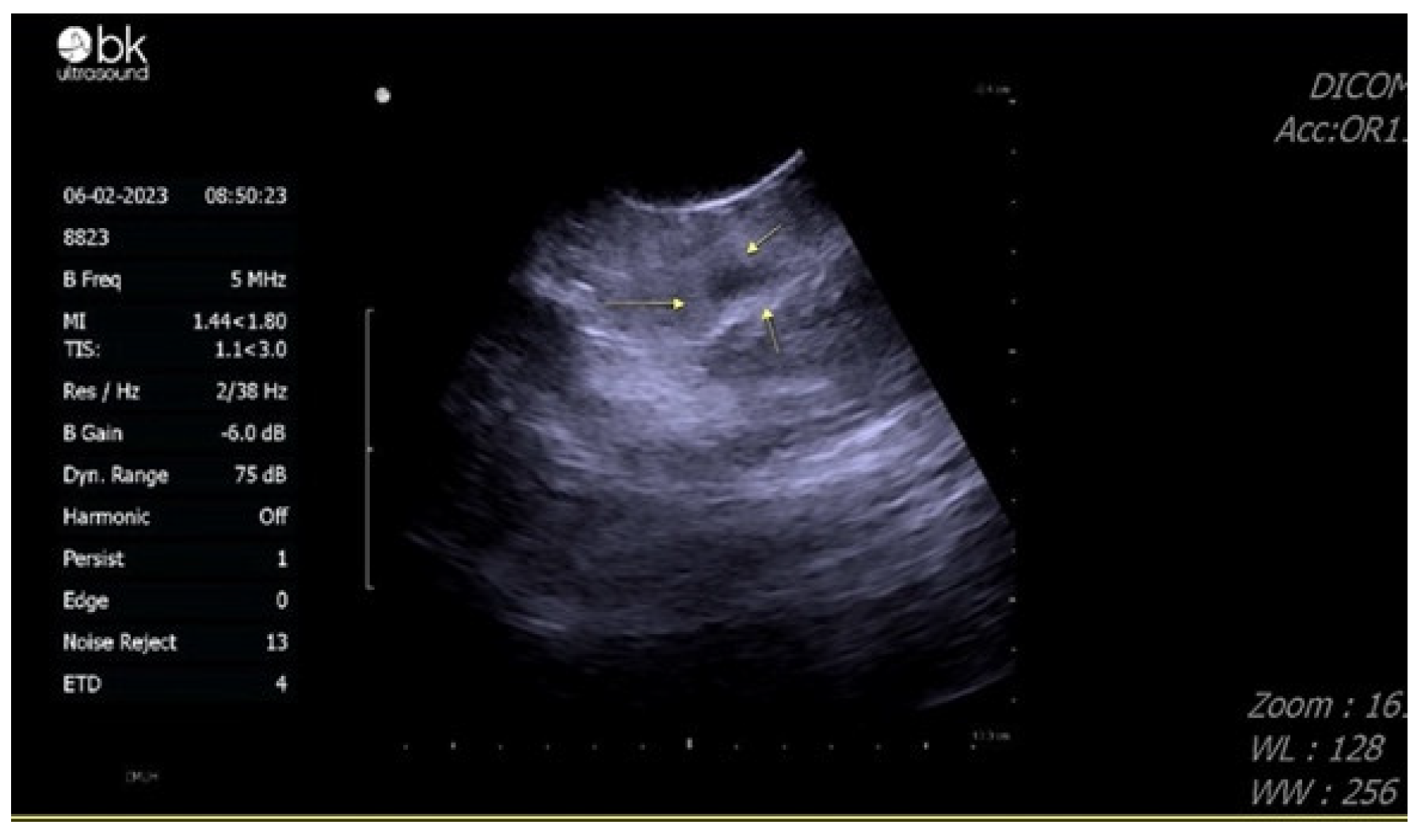
2. Case Presentation
3. Discussion
Author Contributions
Funding
Institutional Review Board Statement
Informed Consent Statement
Data Availability Statement
Acknowledgments
Conflicts of Interest
References
- Oh, B.H.; Heo, Y.M.; Yeo, I.U.; Shin, W.J.; Yoo, H.J. Efficacy of Lavage by Tube under Local Anesthesia versus Arthroscopic Treatment of Acute Septic Arthritis of Native Knee. Diagnostics 2023, 13, 371. [Google Scholar] [CrossRef]
- Tripathi, D.; Awasthi, R.; Agarwal, V.; Agrawal, V.; Rathore, R.K.S.; Sharma, K.; Pandey, C.M.; Gupta, R.K. Diffusion Tensor and Dynamic Contrast-Enhanced Magnetic Resonance Imaging Correlate with Molecular Markers of Inflammation in the Synovium. Diagnostics 2022, 12, 3041. [Google Scholar] [CrossRef]
- Wu, I.B.; Schwartz, R.A. Reiter’s syndrome: The classic triad and more. J. Am. Acad. Dermatol. 2008, 59, 113–121. [Google Scholar] [CrossRef] [PubMed]
- Parker, C.T.; Thomas, D. Reiter’s syndrome and reactive arthritis. J. Am. Osteopath. Assoc. 2000, 100, 101–104. [Google Scholar]
- Altman, E.M.; Centeno, L.V.; Mahal, M.; Bielory, L. AIDS-associated Reiter’s syndrome. Ann. Allergy 1994, 72, 307–316. [Google Scholar] [PubMed]
- Duvic, M.; Johnson, T.M.; Rapini, R.P.; Freese, T.; Brewton, G.; Rios, A. Acquired immunodeficiency syndrome-associated psoriasis and Reiter’s syndrome. Arch. Dermatol. 1987, 123, 1622–1632. [Google Scholar] [CrossRef] [PubMed]
- Kim, P.S.; Klausmeier, T.L.; Orr, D.P. Reactive arthritis: A review. J. Adolesc. Health 2009, 44, 309–315. [Google Scholar] [CrossRef]
- Carter, J.D. Treating reactive arthritis: Insights for the clinician. Ther. Adv. Musculoskelet. Dis. 2010, 2, 45–54. [Google Scholar] [CrossRef]
- Bowen, D.K.; Gonzalez, C.M. Intratesticular hematoma after blunt scrotal trauma: A case series and algorithm-based approach to management. Cent. Eur. J. Urol. 2014, 67, 427–429. [Google Scholar] [CrossRef]
- Li, C.; Ye, Z.; Zhang, A.J.X.; Chan, J.F.W.; Song, W.; Liu, F.; Chen, Y.; Kwan, M.Y.W.; Lee, A.C.Y.; Zhao, Y.; et al. Severe Acute Respiratory Syndrome Coronavirus 2 (SARS-CoV-2) Infection by Intranasal or Intratesticular Route Induces Testicular Damage. Clin. Infect. Dis. 2022, 75, e974–e990. [Google Scholar] [CrossRef]
- Gaur, S.; Bhatt, S.; Derchi, L.; Dogra, V. Spontaneous intratesticular hemorrhage: Two case descriptions and brief review of the literature. J. Ultrasound Med. 2011, 30, 101–104. [Google Scholar] [CrossRef] [PubMed]
- Naranjo, C.A.; Busto, U.; Sellers, E.M.; Sandor, P.; Ruiz, I.; Roberts, E.A.; Janecek, E.; Domecq, C.; Greenblatt, D.J. A method for estimating the probability of adverse drug reactions. Clin. Pharmacol. Ther. 1981, 30, 239–245. [Google Scholar] [CrossRef] [PubMed]
- Smeets, N.J.L.; Eijk, R.J.R.; de Wildt, S.N.; Bootsma-Robroeks, C. Assessing causality by means of the Naranjo scale in a paediatric patient with life threatening respiratory failure after alemtuzumab administration: A case report. BMC Pediatr. 2021, 21, 229. [Google Scholar] [CrossRef] [PubMed]
- van Hees, P.A.; van Elferen, L.W.; van Rossum, J.M.; van Tongeren, J.H. Hemolysis during salicylazosulfapyridine therapy. Am. J. Gastroenterol. 1978, 70, 501–505. [Google Scholar] [PubMed]
- Perez-Garcia, L.F.; Röder, E.; Goekoop, R.J.; Hazes, J.M.W.; Kok, M.R.; Smeele, H.T.W.; Tchetverikov, I.; van der Helm-van Mil, A.H.M.; van der Kaap, J.H.; Kok, P.; et al. Impaired fertility in men diagnosed with inflammatory arthritis: Results of a large multicentre study (iFAME-Fertility). Ann. Rheum. Dis. 2021, 80, 1545–1552. [Google Scholar] [CrossRef]
- Cosentino, M.J.; Chey, W.Y.; Takihara, H.; Cockett, A.T.K. The Effects of Sulfasalazine on Human Male Fertility Potential and Seminal Prostaglandins. J. Urol. 1984, 132, 682–686. [Google Scholar] [CrossRef]
- Chong, X.L.; Kumar, A.; Yang, E.W.R.; Kaliya-Perumal, A.K.; Oh, J.Y. Incidence of pedicle breach following open and minimally invasive spinal instrumentation: A postoperative CT analysis of 513 pedicle screws applied under fluoroscopic guidance. Biomedicine 2020, 10, 30–35. [Google Scholar] [CrossRef]
- Lin, T.H.; Bui, N.N.; Chang, Y.C.; Hsu, L.Y.; Su, Y.D.; Chang, C.M.; Hong, W.A.; Le, U.N.P.; Huang, S.H.; Lin, C.W. Comparison between the analytical sensitivity and clinical performance of two cobas SARS-CoV-2 tests based on high-throughput and point-of-care systems. Biomedicine 2022, 12, 40–46. [Google Scholar] [CrossRef]
- Rains, C.P.; Noble, S.; Faulds, D. Sulfasalazine. A review of its pharmacological properties and therapeutic efficacy in the treatment of rheumatoid arthritis. Drugs 1995, 50, 137–156. [Google Scholar] [CrossRef]
- Choi, J.; Fenando, A. Sulfasalazine. In StatPearls; StatPearls Publishing Copyright © 2022; StatPearls Publishing LLC: Treasure Island, FL, USA, 2022. [Google Scholar]
- Suarez-Almazor, M.E.; Belseck, E.; Shea, B.; Wells, G.; Tugwell, P. Sulfasalazine for rheumatoid arthritis. Cochrane Database Syst. Rev. 2000, 1998, CD000958. [Google Scholar] [CrossRef]
- Mikami, Y.; Tsunoda, J.; Suzuki, S.; Mizushima, I.; Kiyohara, H.; Kanai, T. Significance of 5-Aminosalicylic Acid Intolerance in the Clinical Management of Ulcerative Colitis. Digestion 2023, 104, 58–65. [Google Scholar] [CrossRef] [PubMed]
- Chen, J.; Lin, S.; Liu, C. Sulfasalazine for ankylosing spondylitis. Cochrane Database Syst. Rev. 2014, 11, Cd004800. [Google Scholar] [CrossRef] [PubMed]
- Linares, V.; Alonso, V.; Domingo, J.L. Oxidative stress as a mechanism underlying sulfasalazine-induced toxicity. Expert Opin. Drug Saf. 2011, 10, 253–263. [Google Scholar] [CrossRef] [PubMed]
- Taffet, S.L.; Das, K.M. Sulfasalazine. Adverse effects and desensitization. Dig. Dis. Sci. 1983, 28, 833–842. [Google Scholar] [CrossRef] [PubMed]
- Plosker, G.L.; Croom, K.F. Sulfasalazine: A review of its use in the management of rheumatoid arthritis. Drugs 2005, 65, 1825–1849. [Google Scholar] [CrossRef]
- Jayachandran, M.; Koshy, V.; David, R.; Santhakumari, V.; Padmanabhan, D.S.; Surendran, S.; Tiwari, A.; Mithun, C.B.; Singh, S.K.; Suman, S.K.; et al. Adverse reaction profile of sulfasalazine and its persistence in chronic therapy of rheumatoid arthritis and spondyloarthritis: A multicentric observational study. Int. J. Clin. Pharmacol. Ther. 2022, 60, 327–335. [Google Scholar] [CrossRef]
- Ovesen, P.; Mommsen, S. Spontaneous intratesticular haemorrhage. Urol. Int. 1991, 46, 107–108. [Google Scholar] [CrossRef]
- Takeuchi, T.; Okuno, Y.; Tanaka, H.; Mikami, K. A Case of Idiopathic Spontaneous Intratesticular Hemorrhage. Urol. Case Rep. 2017, 14, 33–34. [Google Scholar] [CrossRef]
- Bhatt, S.; Jafri, S.Z.; Wasserman, N.; Dogra, V.S. Imaging of non-neoplastic intratesticular masses. Diagn. Interv. Radiol. 2011, 17, 52–63. [Google Scholar] [CrossRef]
- Chen, R.H.; Chen, H.Y.; Man, K.M.; Chen, S.J.; Chen, W.; Liu, P.L.; Chen, Y.H.; Chen, W.C. Thyroid diseases increased the risk of type 2 diabetes mellitus: A nation-wide cohort study. Medicine 2019, 98, e15631. [Google Scholar] [CrossRef]
- Wang, S.H.; Lin, S.J.; Chen, Y.H.; Lin, F.Y.; Shih, J.C.; Wu, C.C.; Wu, H.L.; Chen, Y.L. Late outgrowth endothelial cells derived from Wharton jelly in human umbilical cord reduce neointimal formation after vascular injury: Involvement of pigment epithelium-derived factor. Arterioscler. Thromb. Vasc. Biol. 2009, 29, 816–822. [Google Scholar] [CrossRef] [PubMed]
- Purushothaman, H.; Sellars, M.E.; Clarke, J.L.; Sidhu, P.S. Intratesticular haematoma: Differentiation from tumour on clinical history and ultrasound appearances in two cases. Br. J. Radiol. 2007, 80, e184–e187. [Google Scholar] [CrossRef] [PubMed]
- Aminsharifi, A.; Monsef, A.; Noorafshan, A.; Karbalay-Doust, S.; Jafarinezhad, Z.; Koohi-Hosseinabadi, O.; Molaei, A. Effects of Intratesticular Hematoma on Testis Microstructure, Spermatogenesis, and Testosterone Production: Defining a Cutoff Point for Significant Intratesticular Hematoma. Urology 2018, 118, 80–86. [Google Scholar] [CrossRef] [PubMed]
- Schafer, A.I. Effects of nonsteroidal anti-inflammatory therapy on platelets. Am. J. Med. 1999, 106, 25s–36s. [Google Scholar] [CrossRef] [PubMed]
- Castellsague, J.; Riera-Guardia, N.; Calingaert, B.; Varas-Lorenzo, C.; Fourrier-Reglat, A.; Nicotra, F.; Sturkenboom, M.; Perez-Gutthann, S. Individual NSAIDs and upper gastrointestinal complications: A systematic review and meta-analysis of observational studies (the SOS project). Drug. Saf. 2012, 35, 1127–1146. [Google Scholar] [CrossRef] [PubMed]
- Massó González, E.L.; Patrignani, P.; Tacconelli, S.; García Rodríguez, L.A. Variability among nonsteroidal antiinflammatory drugs in risk of upper gastrointestinal bleeding. Arthritis Rheum. 2010, 62, 1592–1601. [Google Scholar] [CrossRef]
- Schafer, A.I. Effects of nonsteroidal antiinflammatory drugs on platelet function and systemic hemostasis. J. Clin. Pharmacol. 1995, 35, 209–219. [Google Scholar] [CrossRef]
- Farr, M.; Scott, D.G.; Bacon, P.A. Side effect profile of 200 patients with inflammatory arthritides treated with sulphasalazine. Drugs 1986, 32 (Suppl. S1), 49–53. [Google Scholar] [CrossRef]




Disclaimer/Publisher’s Note: The statements, opinions and data contained in all publications are solely those of the individual author(s) and contributor(s) and not of MDPI and/or the editor(s). MDPI and/or the editor(s) disclaim responsibility for any injury to people or property resulting from any ideas, methods, instructions or products referred to in the content. |
© 2023 by the authors. Licensee MDPI, Basel, Switzerland. This article is an open access article distributed under the terms and conditions of the Creative Commons Attribution (CC BY) license (https://creativecommons.org/licenses/by/4.0/).
Share and Cite
Jhang, J.-J.; Chen, S.-J.; Huang, C.-P.; Chen, H.-Y.; Lin, W.-C.; Chen, Y.-H.; Chen, W.-C. A Case Report of Intratesticular Hematoma in a Patient with Reiter’s Syndrome. Diagnostics 2023, 13, 1993. https://doi.org/10.3390/diagnostics13121993
Jhang J-J, Chen S-J, Huang C-P, Chen H-Y, Lin W-C, Chen Y-H, Chen W-C. A Case Report of Intratesticular Hematoma in a Patient with Reiter’s Syndrome. Diagnostics. 2023; 13(12):1993. https://doi.org/10.3390/diagnostics13121993
Chicago/Turabian StyleJhang, Jia-Jyun, Szu-Ju Chen, Chi-Ping Huang, Huey-Yi Chen, Wei-Ching Lin, Yung-Hsiang Chen, and Wen-Chi Chen. 2023. "A Case Report of Intratesticular Hematoma in a Patient with Reiter’s Syndrome" Diagnostics 13, no. 12: 1993. https://doi.org/10.3390/diagnostics13121993
APA StyleJhang, J.-J., Chen, S.-J., Huang, C.-P., Chen, H.-Y., Lin, W.-C., Chen, Y.-H., & Chen, W.-C. (2023). A Case Report of Intratesticular Hematoma in a Patient with Reiter’s Syndrome. Diagnostics, 13(12), 1993. https://doi.org/10.3390/diagnostics13121993

