Evaluation of the Utilization of Near-Infrared Fluorescent Contrast Agent ASP5354 for In Vivo Ureteral Identification in Renal Diseases Using Rat Models of Gentamicin-Induced Acute Kidney Injury
Abstract
1. Introduction
2. Materials and Methods
2.1. Experimental Animals
2.2. Materials
2.3. Instruments
2.4. Generation of Rats with AKI and Analysis
2.5. Assessing the Amount of ASP5354 in Urine
2.6. In Vivo NIRF Ureter Imaging
2.7. Assessing Effects of ASP5354 on AKI
2.8. Statistical Analysis
3. Results
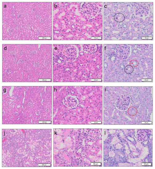
3.1. Kidney Characteristics of Rat Model with GM-Induced AKI
3.2. In Vivo NIRF Imaging of Ureters in Normal Rats
3.3. In Vivo Imaging of Ureters in AKI Rats
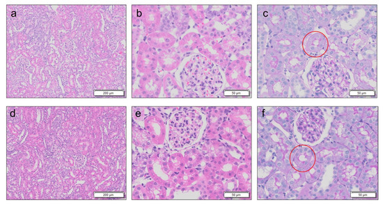
3.4. Effect of ASP5354 on GM-Induced Nephrotoxicity
4. Discussion
5. Conclusions
Funding
Institutional Review Board Statement
Informed Consent Statement
Data Availability Statement
Conflicts of Interest
Abbreviations
References
- Slooter, M.D.; Janssen, A.; Bemelman, W.A.; Tanis, P.J.; Hompes, R. Currently available and experimental dyes for intraoperative near-infrared fluorescence imaging of the ureters: A systematic review. Tech. Coloproctol. 2019, 23, 305–313. [Google Scholar] [CrossRef] [PubMed]
- Abboudi, H.; Ahmed, K.; Royle, J.; Khan, M.S.; Dasgupta, P.; N’Dow, J. Ureteric injury: A challenging condition to diagnose and manage. Nat. Rev. Urol. 2013, 10, 108–115. [Google Scholar] [CrossRef] [PubMed]
- Marcelissen, T.A.; Den Hollander, P.P.; Tuytten, T.R.; Sosef, M.N. Incidence of iatrogenic ureteral injury during open and laparoscopic colorectal surgery: A single center experience and review of the literature. Surg. Laparosc. Endosc. Percutan. Tech. 2016, 26, 513–515. [Google Scholar] [CrossRef] [PubMed]
- Sakellariou, P.; Protopapas, A.G.; Protopapas, A.G.; Voulgaris, Z.; Kyritsis, N.; Rodolakis, A.; Vlachos, G.; Diakomanolis, E.; Michalas, S. Management of ureteric injuries during gynecological operations: 10 years’ experience. Eur. J. Obstet. Gynecol. Reprod. Biol. 2002, 101, 179–184. [Google Scholar] [CrossRef] [PubMed]
- da Silva, G.; Boutros, M.; Wexner, S.D. Role of prophylactic ureteric stents in colorectal surgery. Asian J. Endosc. Surg. 2012, 5, 105–110. [Google Scholar] [CrossRef] [PubMed]
- Speicher, P.J.; Goldsmith, Z.G.; Nussbaum, D.P.; Turley, R.S.; Peterson, A.C.; Mantyh, C.R. Ureteral stenting in laparoscopic colorectal surgery. J. Surg. Res. 2014, 190, 98–103. [Google Scholar] [CrossRef]
- Brollo, P.P.; Puggioni, A.; Tumminelli, F.; Colangelo, A.; Biddau, C.; Cherchi, V.; Bresadola, V. Preventing iatrogenic ureteral injury in colorectal surgery: A comprehensive and systematic review of the last 2 decades of literature and future perspectives. Surg. Today 2023. [Google Scholar] [CrossRef]
- Cwalinski, T.; Polom, W.; Marano, L.; Roviello, G.; D’Angelo, A.; Cwalina, N.; Matuszewski, M.; Roviello, F.; Jaskiewicz, J.; Polom, K. Methylene Blue–Current Knowledge, Fluorescent Properties, and Its Future Use. J. Clin. Med. 2020, 9, 3538. [Google Scholar] [CrossRef]
- Verbeek, F.P.R.; van der Vorst, J.R.; Schaafsma, B.E.; Swijnenburg, R.-J.; Gaarenstroom, K.N.; Elzevier, H.W.; van de Velde, C.J.H.; Frangioni, J.V.; Vahrmeijer, A.L. Intraoperative near infrared fluorescence guided identification of the ureters using low dose methylene blue: A first in human experience. J. Urol. 2013, 190, 574–579. [Google Scholar] [CrossRef]
- Al-Taher, M.; van den Bos, J.; Schols, R.M.; Bouvy, N.D.; Stassen, L.P.S. Fluorescence ureteral visualization in human laparoscopic colorectal surgery using methylene blue. J. Laparoendose Adv. Surg. Tech. 2016, 26, 870–875. [Google Scholar] [CrossRef]
- Barnes, T.G.; Hompes, R.; Birks, J.; Mortensen, N.J.; Jones, O.; Lindsey, I.; Guy, R.; George, B.; Cunningham, C.; Yeung, T.M. Methylene blue fluorescence of the ureter during colorectal surgery. Surg. Endosc. 2018, 32, 4036–4043. [Google Scholar] [CrossRef] [PubMed]
- Huang, J.; Li, J.; Lyu, Y.; Miao, Q.; Pu, K. Molecular optical imaging probes for early diagnosis of drug-induced acute kidney injury. Nat. Mater. 2019, 18, 1133–1143. [Google Scholar] [CrossRef] [PubMed]
- Zhang, D.-Y.; Liu, H.; He, T.; Younis, M.R.; Tu, T.; Yang, C.; Zhang, J.; Lin, J.; Qu, J.; Huang, P. Biodegradable self-assembled ultrasmall nanodots as reactive oxygen/nitrogen species scavengers for theranostic application in acute kidney injury. Small 2021, 17, 2005113. [Google Scholar] [CrossRef]
- Zhang, D.-Y.; Younis, M.R.; Liu, H.; Lei, S.; Wan, Y.; Qu, J.; Lin, J.; Huang, P. Multi-enzyme mimetic ultrasmall iridium nanozymes as reactive oxygen/nitrogen species scavengers for acute kidney injury management. Biomaterials 2021, 271, 120706. [Google Scholar] [CrossRef]
- Huang, J.; Pu, K. Near-infrared fluorescent molecular probes for imaging and diagnosis of nephron-urological diseases. Chem. Rev. 2021, 12, 3379–3392. [Google Scholar] [CrossRef]
- Wang, J.; Sheng, Z.; Guo, J.; Wang, H.-Y.; Sun, X.; Liu, Y. Near-infrared fluorescence probes for monitoring and diagnosing nephron-urological diseases. Coord. Chem. Rev. 2023, 486, 215137. [Google Scholar] [CrossRef]
- Tanaka, E.; Ohnishi, S.; Laurence, R.G.; Choi, H.S.; Humblet, V.; Frangioni, J.V. Real-time intraoperative ureteral guidance using invisible near-infrared fluorescence. J. Urol. 2007, 178, 2197–2202. [Google Scholar] [CrossRef]
- Schols, R.M.; Lodewick, T.M.; Bouvy, N.D.; van Dam, G.M.; Dejong, C.H.C.; Stassen, L.P.S. Application of a new dye for near-infrared fluorescence laparoscopy of the ureters: Demonstration in a pig model. Dis. Colon Rectum 2014, 57, 407–411. [Google Scholar] [CrossRef]
- Korb, M.L.; Huh, W.K.; Boone, J.D.; Warram, J.M.; Chung, T.K.; de Boer, E.; Bland, K.I.; Rosenthal, E.L. Laparoscopic fluorescent visualization of the ureter with intravenous IRDye800CW. J. Minim. Invasive. Gynecol. 2015, 22, 799–806. [Google Scholar] [CrossRef]
- van den Bos, J.; Al-Taher, M.; Bouvy, N.D.; Stassen, L.P.S. Nera-infrared fluorescence laparoscopy of the ureter with three preclinical dyes in a pig model. Surg. Endosc. 2019, 33, 986–991. [Google Scholar] [CrossRef]
- Mahalingam, S.M.; Dip, F.; Castillo, M.; Roy, M.; Wexner, S.D.; Rosenthal, R.J.; Low, P.S. Intraoperative ureter visualization using a novel near-infrared fluorescent dye. Mol. Pharm. 2018, 15, 3442–3447. [Google Scholar] [CrossRef] [PubMed]
- Choi, H.S.; Nasr, K.; Alyabyev, S.; Feith, D.; Lee, J.H.; Kim, S.H.; Ashitate, Y.; Hyun, H.; Patonay, G.; Strekowski, L.; et al. Synthesis and in vivo fate of zwitterionic near-infrared fluorescent probes. Angew. Chem. Int. Ed. 2011, 50, 6258–6263. [Google Scholar] [CrossRef] [PubMed]
- Cha, J.; Nani, R.R.; Luciano, M.P.; Kline, G.; Broch, A.; Kim, K.; Namgoong, J.-M.; Kulkarni, R.A.; Meier, J.L.; Kim, P.; et al. A chemically stable fluorescent marker of the ureter. Bioorg. Med. Chem. Lett. 2018, 28, 2741–2745. [Google Scholar] [CrossRef]
- Hyun, H.; Owens, E.A.; Narayana, L.; Wada, H.; Gravier, J.; Bao, K.; Frangioni, J.V.; Choi, H.S.; Henary, M. Central C–C bonding increases optical and chemical stability of NIR fluorescent probes. RSC Adv. 2014, 4, 58762–58768. [Google Scholar] [CrossRef] [PubMed]
- de Valk, K.S.; Handgraaf, H.J.; Deken, M.M.; Mulder, B.G.S.; Valentijn, A.R.; van Scheltinga, A.G.T.; Kuil, J.; van Esdonk, M.J.; Vuijk, J.; Bevers, R.F.; et al. A zwitterionic near-infrared fluorophore for real-time ureter identification during laparoscopic abdominopelvic surgery. Nat. Commun. 2019, 10, 3118. [Google Scholar] [CrossRef]
- Ahn, C.B.; Kim, J.H.; Park, G.K.; Park, K.Y.; Bao, K.; Lee, J.W.; Choi, H.S.; Son, K.H. Prognostic imaging of iatrogenic and traumatic ureteral injury by near-infrared fluorescence. Quant. Imaging Med. Surg. 2019, 9, 1056–1065. [Google Scholar] [CrossRef]
- Lau, L.W.; Luciano, M.; Schnermann, M.; Cha, J. Ureter identification in an inflammatory pig model using a novel near-infrared fluorescent dye. Lasers Surg. Med. 2020, 52, 537–542. [Google Scholar] [CrossRef]
- Mahalingam, S.M.; Putt, K.S.; Srinivasarao, M.; Low, P.S. Design of a near infrared fluorescent ureter imaging agent for prevention of ureter damage during abdominal surgeries. Molecules 2021, 26, 3739. [Google Scholar] [CrossRef]
- Weissleder, R. A clearer vision for in vivo imaging. Nat. Biotechnol. 2001, 19, 316–317. [Google Scholar] [CrossRef]
- Teranishi, K. A Near-infrared fluorescent probe coated with β-cyclodextrin molecules for real-time imaging-guided intraoperative ureteral identification and diagnosis. Mol. Pharm. 2020, 17, 2672–2681. [Google Scholar] [CrossRef]
- Szejtli, J. Introduction and general overview of cyclodextrin chemistry. Chem. Rev. 1998, 98, 1743–1753. [Google Scholar] [CrossRef] [PubMed]
- Kurahashi, T.; Iwatsuki, K.; Onishi, T.; Arai, T.; Teranishi, K.; Hirata, H. Near-infrared indocyanine dye permits real-time characterization of both venous and lymphatic circulation. J. Biomed. Opt. 2016, 21, 86009. [Google Scholar] [CrossRef] [PubMed]
- Fushiki, H.; Yoshikawa, T.; Matsuda, T.; Sato, T.; Suwa, A. Preclinical development and validation of ASP5354: A near-infrared fluorescent agent for intraoperative ureter visualization. Mol. Imaging Biol. 2021, 25, 74–84. [Google Scholar] [CrossRef] [PubMed]
- Murase, T.; Takizawa, M.; Galitz, L.; Flach, S.; Murray, V.; Gufford, B.; Suwa, A. Randomized, double-blind, controlled study to evaluate safety and pharmacokinetics of single ascending doses of ASP5354, an investigational imaging product, in healthy adult volunteers. Clin. Pharmacol. Drug Dev. 2021, 10, 1460–1468. [Google Scholar] [CrossRef] [PubMed]
- A Study to Find Out if ASP5354 Can Clearly Help Show the Ureter During Surgery. Available online: https://clinicaltrials.gov/ct2/show/NCT05754333?term=ASP5354&draw=2&rank=3#contacts (accessed on 10 April 2023).
- Mingeot-Leclercq, M.P.; Glupczynski, Y.; Tulkens, P.M. Aminoglycosides: Activity and resistance. Antimicrob. Agents Chemother. 1999, 43, 727–737. [Google Scholar] [CrossRef]
- Smith, C.R.; Baughman, K.L.; Edwards, C.Q.; Rogers, J.F.; Lietman, P.S. Controlled comparison of amikacin and gentamicin. N. Engl. J. Med. 1977, 296, 349–353. [Google Scholar] [CrossRef]
- Smith, C.R.; Lipsky, J.J.; Laskin, O.L.; Hallman, D.B.; Mellits, E.D.; Longstreth, I.; Lietman, P.S. Double-blind comparison of the nephrotoxicity and auditory toxicity of gentamicin and tobramycin. N. Engl. J. Med. 1980, 302, 1106–1109. [Google Scholar] [CrossRef]
- Teranishi, K. Near-infrared fluorescence imaging of renal cell carcinoma with ASP5354 in a mouse model for intraoperative guidance. Int. J. Mol. Sci. 2022, 23, 7228. [Google Scholar] [CrossRef]
- Teranishi, K. In vivo optical imaging of bladder cancer tissues in an MB49 bladder cancer orthotopic mouse model using the intravesical or intravenous administration of near-infrared fluorescence probe. Int. J. Mol. Sci. 2023, 24, 2349. [Google Scholar] [CrossRef]
- Teranishi, K. In vivo near-infrared fluorescence imaging of gastric cancer in an MKN-45 gastric cancer xenograft mouse model using intraoperative ureteral identification agent ASP5354. Photochem. Photobiol. Sci. 2023. [Google Scholar] [CrossRef]













Disclaimer/Publisher’s Note: The statements, opinions and data contained in all publications are solely those of the individual author(s) and contributor(s) and not of MDPI and/or the editor(s). MDPI and/or the editor(s) disclaim responsibility for any injury to people or property resulting from any ideas, methods, instructions or products referred to in the content. |
© 2023 by the author. Licensee MDPI, Basel, Switzerland. This article is an open access article distributed under the terms and conditions of the Creative Commons Attribution (CC BY) license (https://creativecommons.org/licenses/by/4.0/).
Share and Cite
Teranishi, K. Evaluation of the Utilization of Near-Infrared Fluorescent Contrast Agent ASP5354 for In Vivo Ureteral Identification in Renal Diseases Using Rat Models of Gentamicin-Induced Acute Kidney Injury. Diagnostics 2023, 13, 1823. https://doi.org/10.3390/diagnostics13101823
Teranishi K. Evaluation of the Utilization of Near-Infrared Fluorescent Contrast Agent ASP5354 for In Vivo Ureteral Identification in Renal Diseases Using Rat Models of Gentamicin-Induced Acute Kidney Injury. Diagnostics. 2023; 13(10):1823. https://doi.org/10.3390/diagnostics13101823
Chicago/Turabian StyleTeranishi, Katsunori. 2023. "Evaluation of the Utilization of Near-Infrared Fluorescent Contrast Agent ASP5354 for In Vivo Ureteral Identification in Renal Diseases Using Rat Models of Gentamicin-Induced Acute Kidney Injury" Diagnostics 13, no. 10: 1823. https://doi.org/10.3390/diagnostics13101823
APA StyleTeranishi, K. (2023). Evaluation of the Utilization of Near-Infrared Fluorescent Contrast Agent ASP5354 for In Vivo Ureteral Identification in Renal Diseases Using Rat Models of Gentamicin-Induced Acute Kidney Injury. Diagnostics, 13(10), 1823. https://doi.org/10.3390/diagnostics13101823

