Differential Diagnosis of Thoracoacromial Artery Pseudoaneurysm from Shoulder Inflammatory Pseudotumor: A Case Report
Abstract
1. Introduction
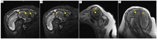
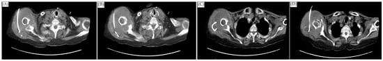
2. Case Presentation
3. Discussion
4. Conclusions
Author Contributions
Funding
Institutional Review Board Statement
Informed Consent Statement
Data Availability Statement
Conflicts of Interest
References
- Poppen, N.; Walker, P. Normal and abnormal motion of the shoulder. J. Bone Jt. Surg. 1976, 58, 195–201. [Google Scholar] [CrossRef]
- Escamilla, R.F.; Yamashiro, K.; Paulos, L.; Andrews, J.R. Shoulder Muscle Activity and Function in Common Shoulder Rehabilitation Exercises. Sports Med. 2009, 39, 663–685. [Google Scholar] [CrossRef] [PubMed]
- Bureau, N.J.; Beauchamp, M.; Cardinal, E.; Brassard, P. Dynamic Sonography Evaluation of Shoulder Impingement Syndrome. Am. J. Roentgenol. 2006, 187, 216–220. [Google Scholar] [CrossRef] [PubMed]
- Choi, Y.R.; Chung, J.W.; Yu, M.H.; Lee, M.; Kim, J.H. Diagnostic accuracy of contrast-enhanced dynamic CT for small hypervascular hepatocellular carcinoma and assessment of dynamic enhancement patterns: Results of two-year follow-up using cone-beam CT hepatic arteriography. PLoS ONE 2018, 13, e0203940. [Google Scholar] [CrossRef] [PubMed]
- Kudela, O.; Kocova, E.; Sedlak, V.; Koblizek, V.; Novotna, B.; Balzek, M. Dynamic CT in diagnostics of tracheomalacia. Eur. Respir. J. 2015, 46, PA3744. [Google Scholar] [CrossRef]
- Mangi, M.D.; Zadow, S.; Lim, W. Cystic lesions of the humeral head on magnetic resonance imaging: A pictorial review. Quant. Imaging Med. Surg. 2022, 12, 4304–4315. [Google Scholar] [CrossRef]
- Samim, M.; Mandell, J.; Smith, S.; Kapoor, N.; Czuczman, G. Arterial pseudoaneurysms of the shoulder mimicking other entities: Utilization of pulsation artifact on musculoskeletal MR for accurate diagnosis in 2 cases. Skelet. Radiol. 2017, 46, 1119–1124. [Google Scholar] [CrossRef]
- Costa, A.F.; Clarke, S.E.; Stueck, A.E.; McInnes, M.D.; Thipphavong, S. Benign Neoplasms, Mass-Like Infections, and Pseudotumors That Mimic Hepatic Malignancy at MRI. J. Magn. Reson. Imaging 2020, 53, 979–994. [Google Scholar] [CrossRef]
- Hillis, L.D.; Smith, P.K.; Anderson, J.L.; Bittl, J.A.; Bridges, C.R.; Byrne, J.G.; Cigarroa, J.E.; DiSesa, V.J.; Hiratzka, L.F.; Hutter, A.M.; et al. ACCF/AHA Guideline for Coronary Artery Bypass Graft Surgery: Executive Summary. J. Am. Coll. Cardiol. 2011, 58, 2584–2614. [Google Scholar] [CrossRef]
- Lee, D.H.; Hills, J.M.; Jordanov, M.I.; Jaffe, K.A. Common Tumors and Tumor-like Lesions of the Shoulder. J. Am. Acad. Orthop. Surg. 2019, 27, 236–245. [Google Scholar] [CrossRef]
- Sharma, P.K.; Garisa, S.S.; Kumaran, S.V.; Varma, S. Mycotic (Infected) Pseudoaneurysm, a Diagnostic Challenge—Case Series. J. Clin. Imaging Sci. 2020, 10, 86. [Google Scholar] [CrossRef]
- Yetkin, U.; Gurbuz, A. Post-traumatic pseudoaneurysm of the brachial artery and its surgical treatment. Tex. Heart Inst. J. 2003, 30, 293–297. [Google Scholar]
- Fokou, M.; Eyenga, V.; Chichom-Mefire, A.; Guifo, M.; Pagbe, J.; Sandmann, W. Giant pseudoaneurysm of the left axillary artery following a stab wound. Cardiovasc. J. Afr. 2012, 23, e4–e6. [Google Scholar] [CrossRef]
- Lee, S.R.; Metwalli, Z.; Yevich, S.M.; Whigham, C.J.; Benndorf, G. Variability in Evolution and Course of Gunshot Injuries to the Neck and Impact on Management: A case report. Interv. Neuroradiol. 2013, 19, 489–495. [Google Scholar] [CrossRef]
- Carratola, M.; Parikh, P.; Tchorz, K.; Kauffman, S. Traumatic axillary artery pseudoaneurysm treated with intravascular balloon occlusion and percutaneous thrombin injection. Radiol. Case Rep. 2014, 9, e00031. [Google Scholar] [CrossRef][Green Version]
- White, E.M.; Kattapuram, S.V.; Jupiter, J.B. Case report 241. Post-traumatic pseudoaneurysm of the axillary artery producing pseudotumor of the humerus. Skelet. Radiol. 1983, 10, 178–182. [Google Scholar] [CrossRef]
- Stein, E. Case report 374: Post-traumatic pseudoaneurysm of axillary artery. Skelet. Radiol. 1986, 15, 391–393. [Google Scholar] [CrossRef]
- Webb, B.G.; Elliott, M.P. Pseudoaneurysm After Arthroscopic Subacromial Decompression and Distal Clavicle Excision. Orthopedics 2014, 37, e596–e599. [Google Scholar] [CrossRef]
- Wright, A.E.; Wall, M.; Slaney, P.; Downing, R. An unusual presentation of thoracoacromial artery pseudoaneurysm following shoulder arthroplasty. BMJ Case Rep. 2014, 2014, bcr2014204625. [Google Scholar] [CrossRef]
- Davidson, C.; Holihan, C.; de Oliveira Sillero, R.; Lee, K.; Mitchell, R.B.; Shah, G. Infectious Pseudoaneurysm of the Internal Carotid Artery in a Child Secondary to Parapharyngeal Abscess. Ear Nose Throat J. 2021, 102, NP31–NP34. [Google Scholar] [CrossRef]
- OuYang, M.; Huang, X.; Wang, Y. Endovascular Treatment of Infectious Pseudoaneurysm of Internal Carotid Artery. World Neurosurg. 2019, 125, 42–43. [Google Scholar] [CrossRef]
- Peters, S.; Braun-Dullaeus, R.; Herold, J. Pseudoaneurysm. Hamostaseologie 2018, 38, 166–172. [Google Scholar] [CrossRef]
- Stolt, M.; Braun-Dullaeus, R.; Herold, J. Do not underestimate the femoral pseudoaneurysm. Vasa 2018, 47, 177–185. [Google Scholar] [CrossRef]
- Godin, J.A.; Mayer, S.W.; Garrigues, G.E.; Mather, R.C. Pseudoaneurysm after shoulder arthroscopy. J. Shoulder Elb. Surg. 2013, 22, e12–e17. [Google Scholar] [CrossRef]
- Artz, T.; Huffer, J.M. A major complication of the modified Bristow procedure for recurrent dislocation of the shoulder. A case report. J. Bone Jt. Surg. 1972, 54, 1293–1296. [Google Scholar] [CrossRef]
- Fee, H.J.; McAvoy, J.M.; Dainko, E.A. Pseudoaneurysm of the axillary artery following a modified Bristow operation: Report of a case and review. J. Cardiovasc. Surg. 1978, 19, 65–68. [Google Scholar]
- Cappello, T.; Nuber, G.W.; Nolan, K.D.; McCarthy, W.J. Acute Ischemia of the Upper Limb Fifteen Years after Anterior Dislocation of the Glenohumeral Joint and a Modified Bristow Procedure. A Case Report. J. Bone Jt. Surg. 1996, 78, 1578–1582. [Google Scholar] [CrossRef]
- Das Narla, L.; Newman, B.; Spottswood, S.S.; Narla, S.; Kolli, R. Inflammatory Pseudotumor. Radiographics 2003, 23, 719–729. [Google Scholar] [CrossRef]
- Patnana, M.; Sevrukov, A.B.; Elsayes, K.M.; Viswanathan, C.; Lubner, M.; Menias, C.O. Inflammatory Pseudotumor: The Great Mimicker. Am. J. Roentgenol. 2012, 198, W217–W227. [Google Scholar] [CrossRef]





Disclaimer/Publisher’s Note: The statements, opinions and data contained in all publications are solely those of the individual author(s) and contributor(s) and not of MDPI and/or the editor(s). MDPI and/or the editor(s) disclaim responsibility for any injury to people or property resulting from any ideas, methods, instructions or products referred to in the content. |
© 2022 by the authors. Licensee MDPI, Basel, Switzerland. This article is an open access article distributed under the terms and conditions of the Creative Commons Attribution (CC BY) license (https://creativecommons.org/licenses/by/4.0/).
Share and Cite
Huang, T.-Y.; Feng, P.-C.; Wang, Y.-C.; Su, C.-Y. Differential Diagnosis of Thoracoacromial Artery Pseudoaneurysm from Shoulder Inflammatory Pseudotumor: A Case Report. Diagnostics 2023, 13, 82. https://doi.org/10.3390/diagnostics13010082
Huang T-Y, Feng P-C, Wang Y-C, Su C-Y. Differential Diagnosis of Thoracoacromial Artery Pseudoaneurysm from Shoulder Inflammatory Pseudotumor: A Case Report. Diagnostics. 2023; 13(1):82. https://doi.org/10.3390/diagnostics13010082
Chicago/Turabian StyleHuang, Tzu-Yen, Pin-Chao Feng, Yao-Chang Wang, and Chun-Yi Su. 2023. "Differential Diagnosis of Thoracoacromial Artery Pseudoaneurysm from Shoulder Inflammatory Pseudotumor: A Case Report" Diagnostics 13, no. 1: 82. https://doi.org/10.3390/diagnostics13010082
APA StyleHuang, T.-Y., Feng, P.-C., Wang, Y.-C., & Su, C.-Y. (2023). Differential Diagnosis of Thoracoacromial Artery Pseudoaneurysm from Shoulder Inflammatory Pseudotumor: A Case Report. Diagnostics, 13(1), 82. https://doi.org/10.3390/diagnostics13010082
