Ischiofemoral Impingement Syndrome: Clinical and Imaging/Guidance Issues with Special Focus on Ultrasonography
Abstract
1. Introduction
2. Anatomy
3. Biomechanics
4. Physical Examination
5. Clinical Manifestations
6. Differential Diagnosis
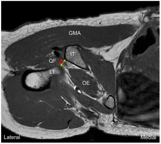
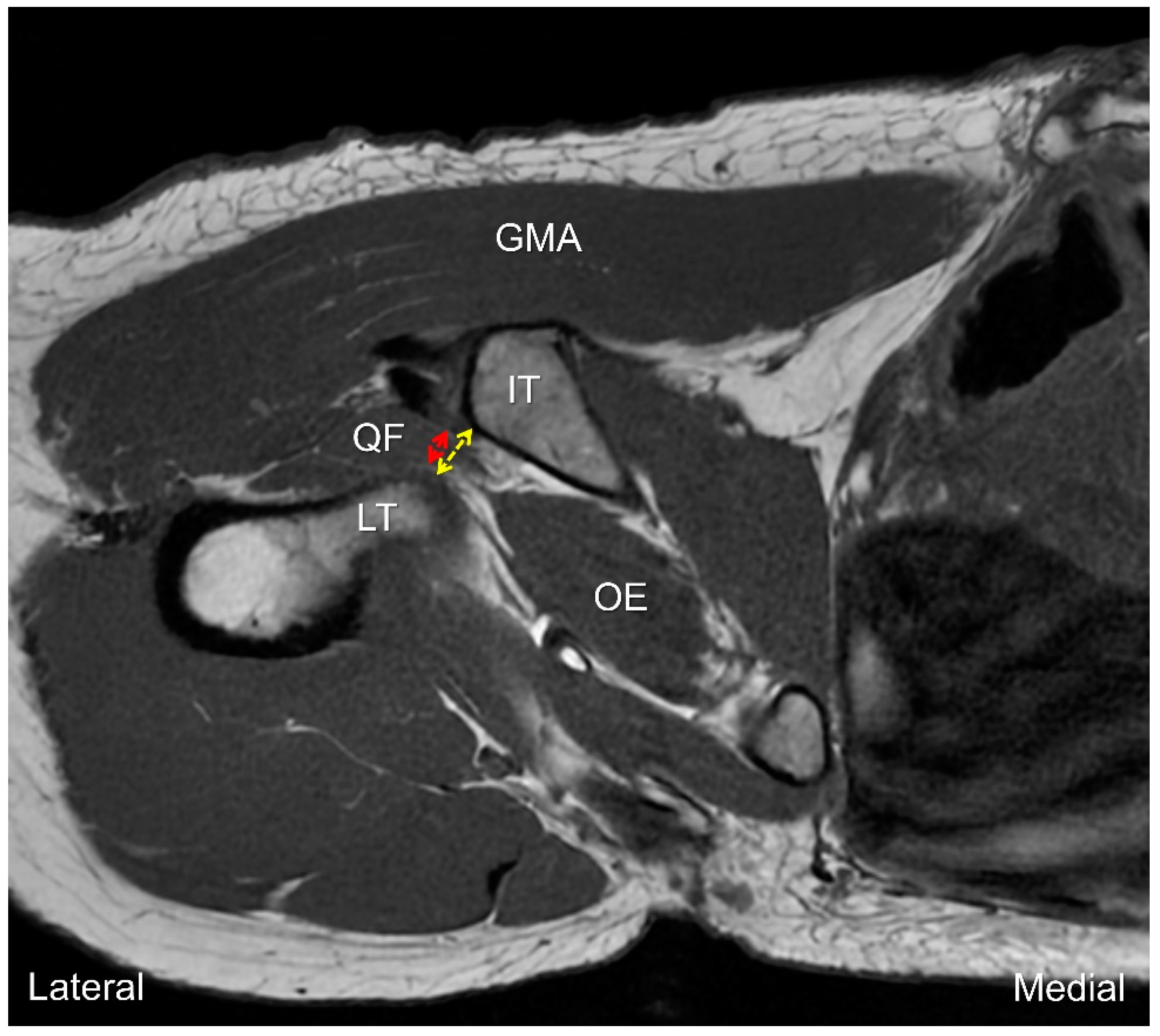
7. MRI Assessment
8. Dynamic Ultrasound Evaluation
9. US-Guided Intervention
10. Conclusions
Author Contributions
Funding
Institutional Review Board Statement
Informed Consent Statement
Data Availability Statement
Conflicts of Interest
References
- Sundén-Lundius, A.; Johnsson, B.; Lohmander, S.; Ekdahl, C. Prevalence of self-reported hip disorders, relations to age, gender, pain, stiffness, weakness and other joint disorders. Adv. Physiother. 2005, 7, 108–113. [Google Scholar] [CrossRef]
- Stafford, G.H.; Villar, R.N. Ischiofemoral impingement. J. Bone Jt. Surg. Br. 2011, 93, 1300–1302. [Google Scholar] [CrossRef]
- Lee, S.; Kim, I.; Lee, S.M.; Lee, J. Ischiofemoral impingement syndrome. Ann. Rehabil. Med. 2013, 37, 143–146. [Google Scholar] [CrossRef]
- Wu, W.T.; Lin, C.Y.; Shu, Y.C.; Chen, L.R.; Ozcakar, L.; Chang, K.V. Subacromial Motion Metrics in Painful Shoulder Impingement: A Dynamic Quantitative Ultrasonography Analysis. Arch. Phys. Med. Rehabil. 2022. [Google Scholar] [CrossRef] [PubMed]
- Chang, K.V.; Wu, W.T.; Lew, H.L.; Ozcakar, L. Ultrasound Imaging and Guided Injection for the Lateral and Posterior Hip. Am. J. Phys. Med. Rehabil. 2018, 97, 285–291. [Google Scholar] [CrossRef] [PubMed]
- Mezian, K.; Ricci, V.; Guvener, O.; Jacisko, J.; Novotny, T.; Kara, M.; Chang, K.V.; Nanka, O.; Pirri, C.; Stecco, C.; et al. EURO-MUSCULUS/USPRM Dynamic Ultrasound Protocols for (Adult) Hip. Am. J. Phys. Med. Rehabil. 2022, 101, e162–e168. [Google Scholar] [CrossRef] [PubMed]
- Barros, A.A.G.; Dos Santos, F.B.G.; Vassalo, C.C.; Costa, L.P.; Couto, S.G.P.; Soares, A. Evaluation of the ischiofemoral space: A case-control study. Radiol. Bras. 2019, 52, 237–241. [Google Scholar] [CrossRef] [PubMed]
- Aung, H.H.; Sakamoto, H.; Akita, K.; Sato, T. Anatomical study of the obturator internus, gemelli and quadratus femoris muscles with special reference to their innervation. Anat. Rec. 2001, 263, 41–52. [Google Scholar] [CrossRef]
- Ransom, A.L.; Sinkler, M.A.; Nallamothu, S.V. Anatomy, Bony Pelvis and Lower Limb, Femoral Muscles. In StatPearls; StatPearls Publishing LLC.: Treasure Island, FL, USA, 2022. [Google Scholar]
- Balius, R.; Pedret, C.; Iriarte, I.; Sáiz, R.; Cerezal, L. Sonographic landmarks in hamstring muscles. Skelet. Radiol. 2019, 48, 1675–1683. [Google Scholar] [CrossRef]
- Scorcelletti, M.; Reeves, N.D.; Rittweger, J.; Ireland, A. Femoral anteversion: Significance and measurement. J. Anat. 2020, 237, 811–826. [Google Scholar] [CrossRef]
- Cibulka, M.T. Determination and Significance of Femoral Neck Anteversion. Phys. Ther. 2004, 84, 550–558. [Google Scholar] [CrossRef] [PubMed]
- Meier, M.K.; Reche, J.; Schmaranzer, F.; von Tengg-Kobligk, H.; Steppacher, S.D.; Tannast, M.; Novais, E.N.; Lerch, T.D. How frequent is absolute femoral retroversion in symptomatic patients with cam- and pincer-type femoroacetabular impingement? Bone Jt. Open 2022, 3, 557–565. [Google Scholar] [CrossRef] [PubMed]
- Chang, K.V.; Wu, W.T.; Ozcakar, L. Ultrasound Imaging and Rehabilitation of Muscle Disorders: Part 1. Traumatic Injuries. Am. J. Phys. Med. Rehabil. 2019, 98, 1133–1141. [Google Scholar] [CrossRef] [PubMed]
- Gómez-Hoyos, J.; Schröder, R.; Reddy, M.; Palmer, I.J.; Martin, H.D. Femoral Neck Anteversion and Lesser Trochanteric Retroversion in Patients With Ischiofemoral Impingement: A Case-Control Magnetic Resonance Imaging Study. Arthroscopy 2016, 32, 13–18. [Google Scholar] [CrossRef] [PubMed]
- Gómez-Hoyos, J.; Martin, R.L.; Schröder, R.; Palmer, I.J.; Martin, H.D. Accuracy of 2 Clinical Tests for Ischiofemoral Impingement in Patients With Posterior Hip Pain and Endoscopically Confirmed Diagnosis. Arthroscopy 2016, 32, 1279–1284. [Google Scholar] [CrossRef] [PubMed]
- Maraş Özdemir, Z.; Yıldırım, T.; Karaca, L.; Sağır Kahraman, A.; Aydıngöz, Ü. A Novel Physical Examination Test for Ischiofemoral Impingement: Validation With Magnetic Resonance Imaging Correlation. J. Comput. Assist. Tomogr. 2021, 45, 722–727. [Google Scholar] [CrossRef] [PubMed]
- Shanmugaraj, A.; Shell, J.R.; Horner, N.S.; Duong, A.; Simunovic, N.; Uchida, S.; Ayeni, O.R. How Useful Is the Flexion-Adduction-Internal Rotation Test for Diagnosing Femoroacetabular Impingement: A Systematic Review. Clin. J. Sport Med. 2020, 30, 76–82. [Google Scholar] [CrossRef]
- Gómez-Hoyos, J.; Khoury, A.; Schröder, R.; Johnson, E.; Palmer, I.J.; Martin, H.D. The Hip-Spine Effect: A Biomechanical Study of Ischiofemoral Impingement Effect on Lumbar Facet Joints. Arthroscopy 2017, 33, 101–107. [Google Scholar] [CrossRef]
- Martin, H.D.; Reddy, M.; Gómez-Hoyos, J. Deep gluteal syndrome. J. Hip Preserv. Surg. 2015, 2, 99–107. [Google Scholar] [CrossRef]
- Martin, H.D.; Khoury, A.; Schröder, R.; Palmer, I.J. Ischiofemoral Impingement and Hamstring Syndrome as Causes of Posterior Hip Pain: Where Do We Go Next? Clin. Sport. Med. 2016, 35, 469–486. [Google Scholar] [CrossRef]
- Akça, A.; Şafak, K.Y.; İliş, E.D.; Taşdemir, Z.; Baysal, T. Ischiofemoral Impingement: Assessment of Mri Findings and Their Reliability. Acta Ortop. Bras. 2016, 24, 318–321. [Google Scholar] [CrossRef] [PubMed]
- Singer, A.D.; Subhawong, T.K.; Jose, J.; Tresley, J.; Clifford, P.D. Ischiofemoral impingement syndrome: A meta-analysis. Skelet. Radiol. 2015, 44, 831–837. [Google Scholar] [CrossRef]
- Tosun, O.; Algin, O.; Yalcin, N.; Cay, N.; Ocakoglu, G.; Karaoglanoglu, M. Ischiofemoral impingement: Evaluation with new MRI parameters and assessment of their reliability. Skelet. Radiol. 2012, 41, 575–587. [Google Scholar] [CrossRef]
- Papavasiliou, K.A.; Stamiris, D.; Stamiris, S.; Bintoudi, A.; Tsiridis, E. Quadratus Femoris Partial Tear Secondary to Occult Ischiofemoral Impingement. J. Orthop. Case Rep. 2021, 11, 7–11. [Google Scholar] [CrossRef] [PubMed]
- Chua, E.; Shah, D. Hydroxyapatite crystal deposition disease around the hip: A rare cause of piriformis syndrome and ischiofemoral impingement. BJR Case Rep. 2022, 7, 20210075. [Google Scholar] [CrossRef] [PubMed]
- Hayat, Z.; Konan, S.; Pollock, R. Ischiofemoral impingement resulting from a chronic avulsion injury of the hamstrings. BMJ Case Rep. 2014, 2014, bcr2014204017. [Google Scholar] [CrossRef]
- Liu, J.; Cheng, X.; Tian, C.; Wang, R.; Chen, J.; Zhang, X.; Zeng, X. Cinematic rendering for ischiofemoral impingement syndrome caused by osteochondroma: A case description. Quant. Imaging Med. Surg. 2022, 12, 1647–1651. [Google Scholar] [CrossRef] [PubMed]
- Battaglia, P.J.; Mattox, R.; Haun, D.W.; Welk, A.B.; Kettner, N.W. Dynamic Ultrasonography of the Deep External Rotator Musculature of the Hip: A Descriptive Study. PM&R 2016, 8, 640–650. [Google Scholar] [CrossRef]
- Chang, K.V.; Wu, W.T.; Mezian, K.; Nanka, O.; Ozcakar, L. Letter to the Editor Regarding “Feasibility and Reliability of an Ultrasound Examination to Diagnose Piriformis Syndrome”. World Neurosurg. 2020, 137, 483–484. [Google Scholar] [CrossRef] [PubMed]
- Boettcher, B.J.; Hollman, J.H.; Payne, J.M.; Johnson, A.C.; Finnoff, J.T. Can a Brief Training Session Prepare Physician Sonographers of Differing Experience to Measure the Ischiofemoral Space? A Reliability Study. PM&R 2019, 11, 142–149. [Google Scholar] [CrossRef]
- Finnoff, J.T.; Johnson, A.C.; Hollman, J.H. Can Ultrasound Accurately Assess Ischiofemoral Space Dimensions? A Validation Study. PM&R 2017, 9, 392–397. [Google Scholar] [CrossRef]
- Lu, B.; Deng, H.; Chen, B.; Zhao, J. The accuracy assessment of ultrasound for the diagnosis of ischiofemoral space-A Validation Study. J. X-ray Sci. Technol. 2019, 27, 605–614. [Google Scholar] [CrossRef] [PubMed]
- Balius, R.; Susín, A.; Morros, C.; Pujol, M.; Pérez-Cuenca, D.; Sala-Blanch, X. Gemelli-obturator complex in the deep gluteal space: An anatomic and dynamic study. Skelet. Radiol. 2018, 47, 763–770. [Google Scholar] [CrossRef] [PubMed]
- Gollwitzer, H.; Banke, I.J.; Schauwecker, J.; Gerdesmeyer, L.; Suren, C. How to address ischiofemoral impingement? Treatment algorithm and review of the literature. J. Hip Preserv. Surg. 2017, 4, 289–298. [Google Scholar] [CrossRef]
- Volokhina, Y.; Dang, D. Using proximal hamstring tendons as a landmark for ultrasound- and CT-guided injections of ischiofemoral impingement. Radiol. Case Rep. 2013, 8, 789. [Google Scholar] [CrossRef][Green Version]
- Backer, M.W.; Lee, K.S.; Blankenbaker, D.G.; Kijowski, R.; Keene, J.S. Correlation of ultrasound-guided corticosteroid injection of the quadratus femoris with MRI findings of ischiofemoral impingement. AJR Am. J. Roentgenol. 2014, 203, 589–593. [Google Scholar] [CrossRef]
- Kim, W.J.; Shin, H.Y.; Koo, G.H.; Park, H.G.; Ha, Y.C.; Park, Y.H. Ultrasound-guided Prolotherapy with Polydeoxyribonucleotide Sodium in Ischiofemoral Impingement Syndrome. Pain Pract. 2014, 14, 649–655. [Google Scholar] [CrossRef]
- Kim, D.H.; Yoon, D.M.; Yoon, K.B. Ultrasound-Guided Quadratus Femoris Muscle Injection in Patients with Lower Buttock Pain: Novel Ultrasound-Guided Approach and Clinical Effectiveness. Pain Physician 2016, 19, E863–E870. [Google Scholar]
- Chen, Y.T.; Jenkins, K.M. Ultrasound Finding of Ischiofemoral Impingement Syndrome and Novel Treatment with Botulinum Toxin Chemodenervation: A Case Report. PM&R 2018, 10, 665–670. [Google Scholar] [CrossRef]














Disclaimer/Publisher’s Note: The statements, opinions and data contained in all publications are solely those of the individual author(s) and contributor(s) and not of MDPI and/or the editor(s). MDPI and/or the editor(s) disclaim responsibility for any injury to people or property resulting from any ideas, methods, instructions or products referred to in the content. |
© 2022 by the authors. Licensee MDPI, Basel, Switzerland. This article is an open access article distributed under the terms and conditions of the Creative Commons Attribution (CC BY) license (https://creativecommons.org/licenses/by/4.0/).
Share and Cite
Wu, W.-T.; Chang, K.-V.; Mezian, K.; Naňka, O.; Ricci, V.; Chang, H.-C.; Wang, B.; Hung, C.-Y.; Özçakar, L. Ischiofemoral Impingement Syndrome: Clinical and Imaging/Guidance Issues with Special Focus on Ultrasonography. Diagnostics 2023, 13, 139. https://doi.org/10.3390/diagnostics13010139
Wu W-T, Chang K-V, Mezian K, Naňka O, Ricci V, Chang H-C, Wang B, Hung C-Y, Özçakar L. Ischiofemoral Impingement Syndrome: Clinical and Imaging/Guidance Issues with Special Focus on Ultrasonography. Diagnostics. 2023; 13(1):139. https://doi.org/10.3390/diagnostics13010139
Chicago/Turabian StyleWu, Wei-Ting, Ke-Vin Chang, Kamal Mezian, Ondřej Naňka, Vincenzo Ricci, Hsiang-Chi Chang, Bow Wang, Chen-Yu Hung, and Levent Özçakar. 2023. "Ischiofemoral Impingement Syndrome: Clinical and Imaging/Guidance Issues with Special Focus on Ultrasonography" Diagnostics 13, no. 1: 139. https://doi.org/10.3390/diagnostics13010139
APA StyleWu, W.-T., Chang, K.-V., Mezian, K., Naňka, O., Ricci, V., Chang, H.-C., Wang, B., Hung, C.-Y., & Özçakar, L. (2023). Ischiofemoral Impingement Syndrome: Clinical and Imaging/Guidance Issues with Special Focus on Ultrasonography. Diagnostics, 13(1), 139. https://doi.org/10.3390/diagnostics13010139

