SARS-CoV-2 Infection during Pregnancy and Histological Alterations in the Placenta
Abstract
1. Introduction
2. Materials and Methods
- Asymptomatic if the PCR test was positive but without respiratory or general symptoms;
- Mild if there were any of the following signs or symptoms: fever, chills, mild cough, headache, etc., but without shortness of breath, chest pain, or breathlessness;
- Moderate if there were respiratory difficulties, suggestive pulmonary imaging, and/or peripheral capillary oxygen saturation (SpO2) > 94%;
- Severe if the respiratory rate was greater than 30 breaths per minute, SpO2 < 94%, severe breathlessness, cough, altered general condition, and severe respiratory failure.
3. Results
3.1. Maternal Characteristics
3.2. Newborns’ Caracteristics
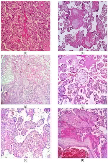
3.3. Placental Caracteristics
4. Discussion
5. Conclusions
Author Contributions
Funding
Institutional Review Board Statement
Informed Consent Statement
Data Availability Statement
Conflicts of Interest
References
- Zhu, N.; Zhang, D.; Wang, W.; Li, X.; Yang, B.; Song, J.; Zhao, X.; Huang, B.; Shi, W.; Lu, R.; et al. A Novel Coronavirus from Patients with Pneumonia in China, 2019. NEJM 2020, 382, 727–733. [Google Scholar] [CrossRef] [PubMed]
- Giordano, G.; Petrolini, C.; Corradini, E.; Campanini, N.; Esposito, S.; Perrone, S. COVID-19 in pregnancy: Placental pathological patterns and effect on perinatal outcome in five cases. Diagn. Pathol. 2021, 16, 88. [Google Scholar] [CrossRef] [PubMed]
- Vivanti, A.J.; Vauloup-Fellous, C.; Prevot, S.; Zupan, V.; Suffee, C.; Cao, J.D.; Benachi, A.; Luca, D.D. Transplacental transmission of SARS-CoV-2 infection. Nat. Commun. 2020, 11, 3572. [Google Scholar] [CrossRef] [PubMed]
- Prabhu, M.; Cagino, K.; Matthews, K.C.; Friedlander, R.L.; Glynn, S.M.; Kubiak, J.M.; Yang, Y.J.; Zhao, Z.; Baergen, R.N.; DiPace, J.I.; et al. Pregnancy and postpartum outcomes in a universally tested population for SARS-CoV-2 in New York City: A prospective cohort study. BJOG 2020, 127, 1548–1556. [Google Scholar] [CrossRef]
- Liu, Y.; Ning, Z.; Chen, Y.; Guo, M.; Liu, Y.; Gali, N.K.; Sun, L.; Duan, Y.; Cai, J.; Westerdahl, D.; et al. Aerodynamic analysis of SARS-CoV-2 in two Wuhan hospitals. Nature 2020, 582, 557–560. [Google Scholar] [CrossRef]
- Huang, C.; Wang, Y.; Li, X.; Ren, L.; Zhao, J.; Hu, Y.; Zhang, L.; Fan, G.; Xu, J.; Gu, X.; et al. Clinical features of patients infected with 2019 novel coronavirus in Wuhan, China. Lancet 2020, 395, 497–506. [Google Scholar] [CrossRef]
- Marshall, M. How COVID-19 can damage the brain. Nature 2020, 585, 342–343. [Google Scholar] [CrossRef]
- Delli Muti, N.; Finocchi, F.; Tossetta, G.; Salvio, G.; Cutini, M.; Marzioni, D.; Balercia, G. Could SARS-CoV-2 infection affect male fertility and sexuality? APMIS 2022, 130, 243–252. [Google Scholar] [CrossRef]
- Tossetta, G.; Fantone, S.; Delli Muti, N.; Balercia, G.; Ciavattini, A.; Giannubilo, S.R.; Marzioni, D. Preeclampsia and severe acute respiratory syndrome coronavirus 2 infection: A systematic review. J. Hypertens. 2022, 40, 1629–1638. [Google Scholar] [CrossRef]
- Knight, M.; Bunch, K.; Vousden, N.; Morris, E.; Simpson, N.; Gale, C.; O’Brien, P.; Quigley, M.; Brocklehurst, P.; Kurinczuk, J.J. Characteristics and outcomes of pregnant women admitted to hospital with confirmed SARS-CoV-2 infection in UK: National population based cohort study. BMJ 2020, 369, m2107. [Google Scholar] [CrossRef]
- Hecht, J.L.; Quade, B.; Deshpande, V.; Mino-Kenudson, M.; Ting, D.T.; Desai, N.; Dygulska, B.; Heyman, T.; Salafia, C.; Shen, D.; et al. SARS-CoV-2 can infect the placenta and is not associated with specific placental histopathology: A series of 19 placentas from COVID-19-positive mothers. Mod. Pathol. 2020, 33, 2092–2103. [Google Scholar] [CrossRef] [PubMed]
- Baud, D.; Greub, G.; Favre, G.; Gengler, C.; Jaton, K.; Dubruc, E.; Pomar, L. Second-trimester miscarriage in a pregnant woman with SARSCoV-2 infection. JAMA 2020, 323, 2198–2200. [Google Scholar] [CrossRef] [PubMed]
- Patane, L.; Morotti, D.; Giunta, M.R.; Sigismondi, C.; Piccoli, M.G.; Frigerio, L.; Mangili, G.; Arosio, M.; Cornolti, G. Vertical transmissioin of coronavirus disease 2019: Severe acute respiratory syndrome coronavirus 2 RNA on the fetal side of the placenta in pregnancies with COVID-19-positive mothers and neonates at birth. AJOG MFM 2020, 2, 100–145. [Google Scholar] [CrossRef]
- Kirtsman, M.; Diambomba, Y.; Poutanen, S.M.; Malinowski, A.K.; Vlachodimitropoulou, E.; Parks, W.T.; Erdman, L.; Morris, S.K.; Shah, P.S. Probable congenital SARS-CoV-2 infection in a neonate born to a woman with active SARS-CoV-2 infection. CMAJ 2020, 192. [Google Scholar] [CrossRef]
- Hosier, H.; Farhadian, R.; Morotti, R.; Deshmukh, U.; Lu-Culligan, A.; Campbell, K.H.; Yasumoto, Y.; Vogels, C.B.G.; Casanovas-Massana, A.; Vijayakumar, P.; et al. SARS-CoV-2 infection of the placenta. J. Clin. Investig. 2020, 130, 4947–4953. [Google Scholar] [CrossRef]
- Tang, D.; Comish, P.; Kang, R. The hallmarks of COVID-19 disease. PLoS Pathog. 2020, 16, e1008536. [Google Scholar] [CrossRef]
- Schwartz, D.A. Viral infection, proliferation, and hyperplasia of Hofbauer cells and absence of inflammation characterize the placental pathology of fetuses with congenital Zika virus infection. Arch. Gynecol. Obstet. 2017, 295, 1361–1368. [Google Scholar] [CrossRef]
- Hoffmann, M.; Kleine-Weber, H.; Schroeder, S.; Krüger, N.; Herrler, T.; Erichsen, S.; Schiergens, T.S.; Herrler, G.; Wu, N.-H.; Nitsche, A.; et al. SARS-CoV-2 Cell Entry Depends on ACE2 and TMPRSS2 and Is Blocked by a Clinically Proven Protease Inhibitor. Cell 2020, 181, 271–280.e8. [Google Scholar] [CrossRef]
- Shanes, E.D.; Mithal, L.B.; Otero, S.; Azad, H.A.; Miller, E.S.; Goldstein, J.A. Placental Pathology in COVID-19. Am. J. Clin. Pathol. 2020, 154, 23–32. [Google Scholar] [CrossRef]
- Vasquez-Bonilla, W.O.; Orozco, R.; Argueta, V.; Sierra, M.; Zambrano, L.I.; Muñoz-Lara, F.; López-Molina, D.S.; Arteaga-Livias, K.; Grimes, Z.; Bryce, C.; et al. A review of the main histopathological findings in coronavirus disease 2019. Hum. Pathol. 2020, 105, 74–83. [Google Scholar] [CrossRef]
- Gao, L.; Ren, J.; Xu, L.; Ke, X.; Xiong, L.; Tian, X.; Fan, C.; Yan, H.; Yuan, J. Placental pathology of the third trimester pregnant women from COVID-19. Diagn. Pathol. 2021, 16, 8. [Google Scholar] [CrossRef] [PubMed]
- Redline, R.W.; Pappin, A. Fetal thrombotic vasculopathy: The clinical significance of extensive avascular villi. Hum. Pathol. 1995, 26, 80–85. [Google Scholar] [CrossRef]
- Wang, M.J.; Schapero, M.; Iverson, R.; Yarrington, C.D.; Wang, J. Obstetric Hemorrhage Risk Associated with Novel COVID-19 Diagnosis from a Single-Institution Cohort in the United States. Am. J. Perinatol. 2020, 37, 1411–1416. [Google Scholar] [CrossRef]
- National Institute for Health and Care Excellence (NICE); Scottish Intercollegiate Guidelines Network (SIGN); Royal College of General Practitioners (RCGP). COVID-19 Rapid Guideline: Managing the Longterm Effects of COVID-19. Last Updated 11 November 2021. Available online: https://www.nice.org.uk/guidance/ng188 (accessed on 21 April 2022).
- Seymen, C.M. Being pregnant in the COVID-19 pandemic: Effects on the placenta in all aspects. J. Med. Virol. 2021, 93, 2769–2773. [Google Scholar] [CrossRef] [PubMed]
- Wong, Y.P.; Khong, T.Y.; Tan, G.C. The Effects of COVID-19 on Placenta and Pregnancy: What Do We Know So Far? Diagnostics 2021, 11, 94. [Google Scholar] [CrossRef] [PubMed]
- Baergen, R.N.; Heller, D.S. Placental Pathology in Covid-19 Positive Mothers: Preliminary Findings. Pediatr. Dev. Pathol. 2020, 23, 177–180. [Google Scholar] [CrossRef]
- Smithgall, M.C.; Liu-Jarin, X.; Hamele-Bena, D.; Cimic, A.; Mourad, M.; Debelenko, L.; Chen, X. Third-trimester placentas of severe acute respiratory syndrome coronavirus 2 (SARS-CoV-2)-positive women: Histomorphology, including viral immunohistochemistry and in-situ hybridization. Histopathology 2020, 77, 994–999. [Google Scholar] [CrossRef]
- Menter, T.; Mertz, K.D.; Jiang, S.; Chen, H.; Monod, C.; Tzankov, A.; Waldvogel, S.; Schulzke, S.M.; Hösli, I.; Bruder, E. Placental Pathology Findings during and after SARS-CoV-2 Infection: Features of Villitis and Malperfusion. Pathobiology 2021, 88, 69–77. [Google Scholar] [CrossRef]
- Mongula, J.E.; Frenken, M.W.E.; van Lijnschoten, G.; Arents, N.L.A.; de Wit-Zuurendonk, L.D.; Schimmel-de Kok, A.P.A.; van Runnard Heimel, P.J.; Porath, M.M.; Goossens, S.M.T.A. COVID-19 during pregnancy: Non-reassuring fetal heart rate, placental pathology and coagulopathy. Ultrasound Obstet. Gynecol. 2020, 56, 773–776. [Google Scholar] [CrossRef]
- Zeng, H.; Xu, C.; Fan, J.; Tang, Y.; Deng, Q.; Zhang, W.; Long, X. Antibodies in infants born to mothers with COVID-19 pneumonia. JAMA 2020, 323, 1848–1849. [Google Scholar] [CrossRef]
- Singh, N.; Buckley, T.; Shertz, W. Placental Pathology in COVID-19: Case Series in a Community Hospital Setting. Cureus 2021, 13, e12522. [Google Scholar] [CrossRef] [PubMed]
- Schwartz, D.A.; Graham, A.L. Potential maternal and infant outcomes from coronavirus 2019-nCoV (SARSCoV-2) infecting pregnant women: Lessons from SARS, MERS, and other human coronavirus infections. Viruses 2020, 12, 194. [Google Scholar] [CrossRef] [PubMed]
- Flores-Pliego, A.; Miranda, J.; Estrada-Gutierrez, G. Molecular insights into the thrombotic and microvascular injury in placental endothelium of women with mild or severe COVID-19. Cells 2021, 10, 364. [Google Scholar] [CrossRef] [PubMed]
- Heider, A. Fetal Vascular Malperfusion. Arch. Pathol. Lab. Med. 2017, 141, 1484–1489. [Google Scholar] [CrossRef] [PubMed]

| Variables | 50 Cases (100%) | |
|---|---|---|
| Age (years) | 26.88 (15–43) Median–26 | |
| Gravidity | 3.06 (1–9) Median–2.5 | |
| Parity | 2.02 (1–7) Median–2 | |
| No. of (follow up) examinations per pregnancy | 4.4 (0–12) Median–4 | |
| Gestational age at the moment of RT-PCR SARS-CoV-2 positive result (weeks) | 38.12 (27–41) Median–38 | |
| Interval between RT-PCR SARS-CoV-2 positive result (COVID-19 diagnosis) and birth (days) | 0.94 (0–10) Median–0 | |
| COVID-19 severity of illness category | Asymptomatic | 42 (84%) |
| Mild | 7 (14%) | |
| Moderate | 0 | |
| Severe | 1 (2%) | |
| Gestational age at delivery (weeks) | 38.18 (27–41) Median–38 | |
| Type of delivery | Spontaneous | 30 (60%) |
| Caesarean section | 20 (40%) | |
| Pregnancy-related complications (cases) | Gestational hypertension | 3 (6%) |
| Foetal growth restriction | 1 (2%) | |
| Gestational diabetes | 1 (2%) | |
| Rh incompatibility with isoimmunisation | 2 (4%) | |
| Genital infection | 2 (4%) | |
| No complications | 41 (82%) | |
| Level of Haemoglobin (g/dL) | 11.85 (8.4–14.50) Median–11.70 | |
| Leucocytes (×109/L) | 10.90 (6.23–15.66) Median–11.28 | |
| Thrombocytes (×109/L) | 255.54 (114–426) Median–261 | |
| C-reactive protein (mg/L) | 53.79 (2.34–198.30) Median–29.40 | |
| Coagulation abnormalities (cases) | Present | 3 (6%) |
| Absent | 47 (94%) | |
| Blood group | 0 (I) | 16 (32%) |
| A (II) | 12 (24%) | |
| B (III) | 15 (30%) | |
| AB (IV) | 7 (14%) | |
| Rh | Positive | 45 (90%) |
| Negative | 5 (10%) | |
| Variables | 50 Cases (100%) | |
|---|---|---|
| Birth weight (grams) | 3046.8 (690–3800) Median–3075 | |
| Size for Gestational Age | SGA | 2 (4%) |
| AGA | 48 (96%) | |
| LGA | 0 | |
| Apgar score 1 min | 9 (3–10) Median–9 | |
| Amniotic fluid | Clear | 42 (84%) |
| Meconium stained | 8 (16%) | |
| Admission to NCIU in the first 24 h after birth | Yes | 12 (24%) |
| No | 38 (76%) | |
| Newborn days of life at discharge | 6.86 (3–17) Median–5 | |
| Clinical course | No complications | 23 (46%) |
| Intense newborn jaundice | 2 (4%) | |
| Bacterial sepsis | 3 (6%) | |
| Respiratory distress syndrome | 8 (16%) | |
| Aspiration pneumonia | 1 (2%) | |
| Neonatal death | 1 (2%) | |
| Lost to follow up | 12 (24%) | |
| Diagnosis | Placentas from COVID-19-Positive Women 50 Cases (100%) | |
|---|---|---|
| Placental weight (grams) | 509 (115–633) 512 | |
| Macroscopic aspect | Normal | 41 (82%) |
| Meconium stained | 8 (16%) | |
| Calcar deposits | 1 (2%) | |
| Maternal vascular malperfusion (MVM) | ||
| Infarction | 15 (30%) | |
| Increased perivillous fibrin deposition | 32 (64%) | |
| Accelerated villous maturation | 18 (36%) | |
| Tenney-Parker change | 19 (38%) | |
| Decidual arteriopathy | 10 (20%) | |
| Intervillous thrombosis | 23 (46%) | |
| Increased microcalcifications | 28 (56%) | |
| Foetal vascular malperfusion (FVM) | ||
| Thrombi in the foetal circulation | 16 (32%) | |
| Avascular villi | 36 (72%) | |
| Karyorrhexis | 11 (22%) | |
| Delayed villous maturation | 17 (34%) | |
| Chorangiosis | 10 (20%) | |
| Inflammatory changes | ||
| Villous oedema | 12 (24%) | |
| Chorioamniotitis | 7 (14%) | |
| Subchorionitis | 9 (18%) | |
| Chronic Villitis | 16 (32%) | |
| Chronic deciduitis | 7 (14%) | |
| Other placental findings | ||
| Marginal insertion of the umbilical cord | 3 (6%) | |
| Hypercoiling of the umbilical cord | 5 (10%) | |
| Phagocytosis of meconium | 8 (16%) | |
Publisher’s Note: MDPI stays neutral with regard to jurisdictional claims in published maps and institutional affiliations. |
© 2022 by the authors. Licensee MDPI, Basel, Switzerland. This article is an open access article distributed under the terms and conditions of the Creative Commons Attribution (CC BY) license (https://creativecommons.org/licenses/by/4.0/).
Share and Cite
Pacu, I.; Roșu, G.-A.; Zampieri, G.; Rîcu, A.; Matei, A.; Davițoiu, A.-M.; Vlădescu, T.; Ionescu, C.A. SARS-CoV-2 Infection during Pregnancy and Histological Alterations in the Placenta. Diagnostics 2022, 12, 2258. https://doi.org/10.3390/diagnostics12092258
Pacu I, Roșu G-A, Zampieri G, Rîcu A, Matei A, Davițoiu A-M, Vlădescu T, Ionescu CA. SARS-CoV-2 Infection during Pregnancy and Histological Alterations in the Placenta. Diagnostics. 2022; 12(9):2258. https://doi.org/10.3390/diagnostics12092258
Chicago/Turabian StylePacu, Irina, George-Alexandru Roșu, Giorgia Zampieri, Anca Rîcu, Alexandra Matei, Ana-Maria Davițoiu, Teodora Vlădescu, and Crîngu Antoniu Ionescu. 2022. "SARS-CoV-2 Infection during Pregnancy and Histological Alterations in the Placenta" Diagnostics 12, no. 9: 2258. https://doi.org/10.3390/diagnostics12092258
APA StylePacu, I., Roșu, G.-A., Zampieri, G., Rîcu, A., Matei, A., Davițoiu, A.-M., Vlădescu, T., & Ionescu, C. A. (2022). SARS-CoV-2 Infection during Pregnancy and Histological Alterations in the Placenta. Diagnostics, 12(9), 2258. https://doi.org/10.3390/diagnostics12092258

