Sonographic Images of Hepatic Portal Venous Gas in a Patient with Gastrointestinal Ischemia
Abstract
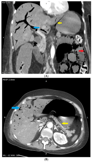
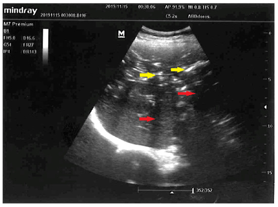
:


Author Contributions
Funding
Institutional Review Board Statement
Informed Consent Statement
Data Availability Statement
Acknowledgments
Conflicts of Interest
References
- Pan, H.B.; Huang, J.S.; Yang, T.L.; Liang, H.L. Hepatic portal venous gas in ultrasonogram—Benign or noxious. Ultrasound Med. Biol. 2007, 33, 1179–1183. [Google Scholar] [CrossRef] [PubMed]
- Liang, K.W.; Tsao, T.F.; Chen, J.W.; Huang, H.H.; Tyan, Y.S. Hepatic Portal Venous Gas: Review of Ultrasonographic Findings and the Use of the “Meteor Shower” Sign to Diagnose It. Ultrasound Q. 2018, 34, 268–271. [Google Scholar] [CrossRef] [PubMed]
- Chezmar, J.L.; Nelson, R.C.; Bernardino, M.E. Portal venous gas after hepatic transplantation: Sonographic detection and clinical significance. Am. J. Roentgenol. 1989, 153, 1203–1205. [Google Scholar]
- Lee, C.-S.; Kuo, Y.-C.; Peng, S.-M.; Lin, D.-Y.; Sheen, I.-S.; Lin, S.-M.; Chuah, S.-K.; Chien, R.-N. Sonographic detection of hepatic portal venous gas associated with suppurative cholangitis. J. Clin. Ultrasound 1993, 21, 331–334. [Google Scholar] [CrossRef] [PubMed]
- Chan, S.C.; Wan, Y.L.; Cheung, Y.C.; Ng, S.H.; Wong, A.M.; Ng, K.K. Computed tomography findings in fatal cases of enormous hepatic portal venous gas. World J. Gastroenterol. 2005, 11, 2953. [Google Scholar] [CrossRef] [PubMed]
- Mubarik, A.; Siddiqui, S.; Iqbal, A.M.; Mohammed, S.K.; Muddassir, S.; Eddib, A.; Herraka, I. Iatrogenic Hepatic Portal Venous Gas in a Patient With Crohn’s Disease After Colonoscopy. ACG Case Rep. J. 2019, 13, e00150. [Google Scholar] [CrossRef]
- Ouchi, K.; Kawakami, D.; Ito, J. Aquarium sign in acute mesenteric ischemia. Intensive Care Med. 2019, 45, 1826. [Google Scholar] [CrossRef] [Green Version]
Publisher’s Note: MDPI stays neutral with regard to jurisdictional claims in published maps and institutional affiliations. |
© 2022 by the authors. Licensee MDPI, Basel, Switzerland. This article is an open access article distributed under the terms and conditions of the Creative Commons Attribution (CC BY) license (https://creativecommons.org/licenses/by/4.0/).
Share and Cite
Czempik, P.F.; Bożek, O.; Krzych, Ł.J. Sonographic Images of Hepatic Portal Venous Gas in a Patient with Gastrointestinal Ischemia. Diagnostics 2022, 12, 2034. https://doi.org/10.3390/diagnostics12092034
Czempik PF, Bożek O, Krzych ŁJ. Sonographic Images of Hepatic Portal Venous Gas in a Patient with Gastrointestinal Ischemia. Diagnostics. 2022; 12(9):2034. https://doi.org/10.3390/diagnostics12092034
Chicago/Turabian StyleCzempik, Piotr F., Oskar Bożek, and Łukasz J. Krzych. 2022. "Sonographic Images of Hepatic Portal Venous Gas in a Patient with Gastrointestinal Ischemia" Diagnostics 12, no. 9: 2034. https://doi.org/10.3390/diagnostics12092034
APA StyleCzempik, P. F., Bożek, O., & Krzych, Ł. J. (2022). Sonographic Images of Hepatic Portal Venous Gas in a Patient with Gastrointestinal Ischemia. Diagnostics, 12(9), 2034. https://doi.org/10.3390/diagnostics12092034

