Prenatal Course and Sonographic Features of Congenital Mesoblastic Nephroma
Abstract
1. Introduction
2. Methods
Literature Review
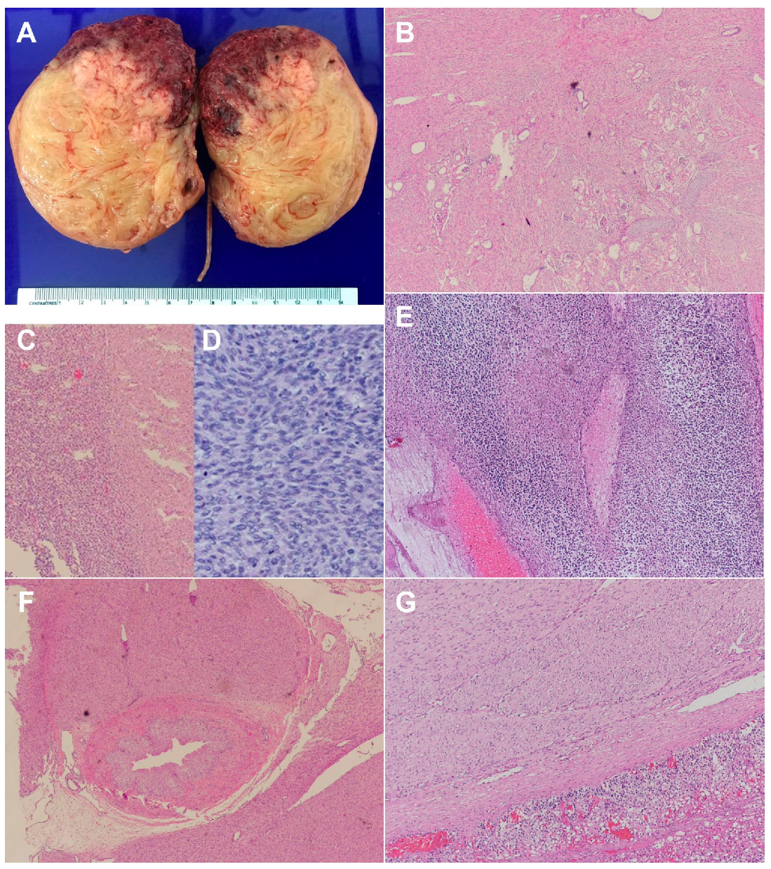
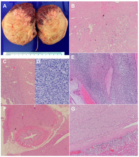
3. Index Case with Typical Images as an Educational Tool
4. Results
5. Discussion
Author Contributions
Funding
Informed Consent Statement
Data Availability Statement
Acknowledgments
Conflicts of Interest
References
- Isaacs, H., Jr. Fetal and neonatal renal tumors. J. Pediatr. Surg. 2008, 43, 1587–1595. [Google Scholar] [CrossRef] [PubMed]
- Chen, W.Y.; Lin, C.N.; Chao, C.S.; Yan-Sheng Lin, M.; Mak, C.W.; Chuang, S.S.; Tzeng, C.C.; Huang, K.F. Prenatal diagnosis of congenital mesoblastic nephroma in mid-second trimester by sonography and magnetic resonance imaging. Prenat. Diagn. 2003, 23, 927–931. [Google Scholar] [CrossRef] [PubMed]
- Furtwaengler, R.; Reinhard, H.; Leuschner, I.; Schenk, J.P.; Goebel, U.; Claviez, A.; Kulozik, A.; Zoubek, A.; von Schweinitz, D.; Graf, N. Mesoblastic nephroma—A report from the Gesellschaft fur Pädiatrische Onkologie und Hämatologie (GPOH). Cancer 2006, 106, 2275–2283. [Google Scholar] [CrossRef] [PubMed]
- Bisceglia, M.; Carosi, I.; Vairo, M.; Zaffarano, L.; Bisceglia, M.; Creti, G. Congenital mesoblastic nephroma: Report of a Case with review of the most significant literature. Pathol. Res. Pract. 2000, 196, 199–204. [Google Scholar] [CrossRef]
- Liu, T.; Al-Kzayer, L.F.Y.; Sarsam, S.N.; Chen, L.; Saeed, R.M.; Ali, K.H.; Nakazawa, Y. Cellular congenital mesoblastic nephroma detected by prenatal MRI: A case report and literature review. Transl. Pediatr. 2022, 11, 163–173. [Google Scholar] [CrossRef] [PubMed]
- Lin, L.C.; Cheng, Y.C.; Chang, C.H. Prenatal Diagnosis of Fetal Congenital Mesoblastic Nephroma and Neonatal Follow-up. J. Med. Ultrasound 2021, 29, 126–128. [Google Scholar] [CrossRef] [PubMed]
- Chen, Y.X.; Huang, C.; He, Q.M.; Wang, Z.; Huang, L.; Wang, H.Y.; Mei, S.S.; Chai, C.W.; Zhang, G.L.; Zhong, W.; et al. Prenatal diagnosis and postnatal management of congenital mesoblastic nephroma: Experience at a single center in China. Prenat. Diagn. 2021, 41, 766–771. [Google Scholar] [CrossRef]
- Che, M.; Yang, F.; Huang, H.; Zhang, H.; Han, C.; Sun, N. Prenatal diagnosis of fetal congenital mesoblastic nephroma by ultrasonography combined with MR imaging: A case report and literature review. Medicine 2021, 100, e24034. [Google Scholar] [CrossRef]
- Mata, R.P.; Alves, T.; Figueiredo, A.; Santos, A. Prenatal diagnosis of congenital mesoblastic nephroma: A case with poor prognosis. BMJ Case Rep. 2019, 12, e230297. [Google Scholar] [CrossRef]
- Manganaro, L.; Silvia, B.; Antonelli, A.; Rondoni, V.; Pusiol, T.; Scialpi, M. Fetal biparametric MR imaging in the diagnosis of congenital mesoblastic nephroma. Turk. J. Urol. 2018, 44, 278–280. [Google Scholar] [CrossRef]
- Do, A.Y.; Kim, J.S.; Choi, S.J.; Oh, S.Y.; Roh, C.R.; Kim, J.H. Prenatal diagnosis of congenital mesoblastic nephroma. Obstet. Gynecol. Sci. 2015, 58, 405–408. [Google Scholar] [CrossRef]
- Takahashi, H.; Matsubara, S.; Kuwata, T.; Ohkuchi, A.; Mukoda, Y.; Saito, K.; Usui, R.; Suzuki, M. Maternal manifestation of Ballantyne’s syndrome occurring concomitantly with the development of fetal congenital mesoblastic nephroma. J. Obstet. Gynaecol. Res. 2014, 40, 1114–1117. [Google Scholar] [CrossRef]
- Ko, S.M.; Kim, M.J.; Im, Y.J.; Park, K.I.; Lee, M.J. Cellular mesoblastic nephroma with liver metastasis in a neonate: Prenatal and postnatal diffusion-weighted MR imaging. Korean J. Radiol. 2013, 14, 361–365. [Google Scholar] [CrossRef]
- Esmer, A.C.; Kalelioglu, I.; Kilicaslan, I.; Gun, F.; Ziylan, O. Prenatal sonographic diagnosis of multicystic congenital mesoblastic nephroma. J. Clin. Ultrasound 2013, 41 (Suppl. 1), 59–61. [Google Scholar] [CrossRef]
- Garnier, S.; Maillet, O.; Haouy, S.; Saguintaah, M.; Serre, I.; Galifer, R.B.; Forgues, D.; Guibal, M.P.; Allal, H.; Sabatier, E.; et al. Prenatal intrarenal neuroblastoma mimicking a mesoblastic nephroma: A case report. J. Pediatr. Surg. 2012, 47, e21–e23. [Google Scholar] [CrossRef]
- Montaruli, E.; Fouquet, V. Prenatal diagnosis of congenital mesoblastic nephroma. Fetal. Diagn. Ther. 2013, 33, 79–80. [Google Scholar] [CrossRef]
- Boithias, C.; Martelli, H.; Destot-Vong, K.D.; Dugelay, F.; Branchereau, S.; Fabre, M.; Senat, M.V.; Boileau, P.; Frydman, R.; Picone, O. Management of antenatal fetal abdominal tumors. Clues for the diagnosis of a congenital mesoblastic nephroma. J. Gynecol. Obstet. Biol. Reprod. 2009, 38, 277–285. [Google Scholar] [CrossRef]
- Kim, C.H.; Kim, Y.H.; Cho, M.K.; Kim, K.M.; Ha, J.A.; Joo, E.H.; Kim, S.M.; Song, T.B. A case of fetal congenital mesoblastic nephroma with oligohydramnios. J. Korean Med. Sci. 2007, 22, 357–361. [Google Scholar] [CrossRef]
- Yamamoto, N.; Yoshizako, T.; Uchida, N.; Kitagaki, H.; Horie, A.; Kumori, K.; Miyazaki, K. Mesoblastic nephroma: A case report of prenatal detection by MR imaging. Magn. Reson. Med. Sci. 2006, 5, 47–50. [Google Scholar] [CrossRef]
- Bouquinet, E.; Fabre, M.; Delaveaucoupet, J.; Chardot, C.; Lacaze-Masmonteil, T. Prenatal diagnosis of congenital mesoblastic nephroma. A case report. Arch. Pediatr. 2005, 12, 561–563. [Google Scholar] [CrossRef]
- Canning, D.A. Prenatal diagnosis of congenital mesoblastic nephroma associated with renal hypertension in a premature child. J. Urol. 2005, 173, 983. [Google Scholar] [CrossRef]
- Siemer, S.; Lehmann, J.; Reinhard, H.; Graf, N.; Löffler, G.; Hendrik, H.; Remberger, K.; Stöckle, M. Prenatal diagnosis of congenital mesoblastic nephroma associated with renal hypertension in a premature child. Int. J. Urol. 2004, 11, 50–52. [Google Scholar] [CrossRef] [PubMed]
- Fuchs, I.B.; Henrich, W.; Brauer, M.; Stöver, B.; Guschmann, M.; Degenhardt, P.; Dudenhausen, J.W. Prenatal diagnosis of congenital mesoblastic nephroma in 2 siblings. J. Ultrasound Med. 2003, 22, 823–827. [Google Scholar] [CrossRef] [PubMed]
- Goldstein, I.; Shoshani, G.; Ben-Harus, E.; Sujov, P. Prenatal diagnosis of congenital mesoblastic nephroma. Ultrasound Obstet. Gynecol. 2002, 19, 209–211. [Google Scholar] [CrossRef]
- Won, H.S.; Jung, E.; Lee, P.R.; Lee, I.S.; Kim, A.; Kim, J.K.; Cho, K.S.; Nam, J.H. Prenatal detection of mesoblastic nephroma by sonography and magnetic resonance imaging. Ultrasound Obstet. Gynecol. 2002, 19, 197–199. [Google Scholar] [CrossRef]
- Irsutti, M.; Puget, C.; Baunin, C.; Duga, I.; Sarramon, M.F.; Guitard, J. Mesoblastic nephroma: Prenatal ultrasonographic and MRI features. Pediatric Radiol. 2000, 30, 147–150. [Google Scholar] [CrossRef]
- Schild, R.L.; Plath, H.; Hofstaetter, C.; Hansmann, M. Diagnosis of a fetal mesoblastic nephroma by 3D-ultrasound. Ultrasound Obstet. Gynecol. 2000, 15, 533–536. [Google Scholar] [CrossRef]
- Shibahara, H.; Mitsuo, M.; Fujimoto, K.; Muranaka, J.; Sawai, H.; Bessho, T.; Shigeta, M.; Koyama, K. Prenatal sonographic diagnosis of a fetal renal mesoblastic nephroma occurring after transfer of a cryopreserved embryo. Hum. Reprod. 1999, 14, 1324–1327. [Google Scholar] [CrossRef][Green Version]
- Kayemba Kay’s, S.; Cécile, W.; Colombani, J.F.; Chedmail, P.; Dupuis, E.; Jouanelle, A. Mesoblastic nephroma discovered by prenatal diagnosis. Arch. Pediatr. 1997, 4, 95–96. [Google Scholar] [CrossRef]
- Haddad, B.; Haziza, J.; Touboul, C.; Abdellilah, M.; Uzan, S.; Paniel, B.J. The congenital mesoblastic nephroma: A case report of prenatal diagnosis. Fetal. Diagn. Ther. 1996, 11, 61–66. [Google Scholar] [CrossRef]
- Matsumura, M.; Nishi, T.; Sasaki, Y.; Yamada, R.; Yamamoto, H.; Ohhama, Y.; Tanaka, Y.; Kurosu, F.; Amano, K. Prenatal diagnosis and treatment strategy for congenital mesoblastic nephroma. J. Pediatr. Surg. 1993, 28, 1607–1609. [Google Scholar] [CrossRef]
- Sailer, R.; Voigt, H.J.; Scharf, J.; Hümmer, H.P.; Schmitzer, E.; Beck, J.D. Disseminated intravascular coagulation caused by prenatal hemorrhage into a congenital mesoblastic nephroma. Case report. Klin. Padiatr. 1993, 205, 176–179. [Google Scholar] [CrossRef]
- Boulot, P.; Pages, A.; Deschamps, F.; Courtieu, C.; Jalaguier, J.; Hedon, B.; Laffargue, F.; Viala, J.L. Congenital mesoblastic nephroma (Bolande’s tumor). Prenatal diagnosis. J. Gynecol. Obstet. Biol. Reprod. 1989, 18, 1037–1040. [Google Scholar]
- Burtner, C.D.; Willard, D.A. Prenatal diagnosis of congenital mesoblastic nephroma in association with polyhydramnios. W. V. Med. J. 1988, 84, 393–394. [Google Scholar]
- Yambao, T.J.; Schwartz, D.; Henderson, R.; Rapp, G.; Anthony, W.; Denko, J. Prenatal diagnosis of a congenital mesoblastic nephroma. A case report. J. Reprod. Med. 1986, 31, 257–259. [Google Scholar]
- Apuzzio, J.J.; Unwin, W.; Adhate, A.; Nichols, R. Prenatal diagnosis of fetal renal mesoblastic nephroma. Am. J. Obstet. Gynecol. 1986, 154, 636–637. [Google Scholar] [CrossRef]
- Walter, J.P.; McGahan, J.P. Mesoblastic nephroma: Prenatal sonographic detection. J. Clin. Ultrasound 1985, 13, 686–689. [Google Scholar] [CrossRef]
- Howey, D.D.; Farrell, E.E.; Sholl, J.; Goldschmidt, R.; Sherman, J.; Hageman, J.R. Congenital mesoblastic nephroma: Prenatal ultrasonic findings and surgical excision in a very-low-birth-weight infant. J. Clin. Ultrasound 1985, 13, 506–508. [Google Scholar] [CrossRef]
- Geirsson, R.T.; Ricketts, N.E.; Taylor, D.J.; Coghill, S. Prenatal appearance of a mesoblastic nephroma associated with polyhydramnios. J. Clin. Ultrasound 1985, 13, 488–490. [Google Scholar] [CrossRef]
- Ehman, R.L.; Nicholson, S.F.; Machin, G.A. Prenatal sonographic detection of congenital mesoblastic nephroma in a monozygotic twin pregnancy. J. Ultrasound Med. 1983, 2, 555–557. [Google Scholar] [CrossRef]
- De Paepe, M.E.; Shapiro, S.; Young, L.; Carr, S.R.; Gundogan, F. Intrauterine demise due to congenital mesoblastic nephroma in a fetus conceived by assisted reproductive technology. Fertil. Steril. 2011, 95, 1119.e1115–1119.e1117. [Google Scholar] [CrossRef]
- Liu, Y.C.; Mai, Y.L.; Chang, C.C.; Chen, K.W.; Chow, S.N. The presence of hydrops fetalis in a fetus with congenital mesoblastic nephroma. Prenat. Diagn. 1996, 16, 363–365. [Google Scholar] [CrossRef]
- Yiğiter, M.; Arda, I.S.; Kiyici, H.; Hiçsönmez, A. Congenital mesoblastic nephroma rich from mitosis after in vitro fertilization: A case report. J. Pediatr. Surg. 2008, 43, E27–E29. [Google Scholar] [CrossRef]
- Daskas, N.; Argyropoulou, M.; Pavlou, M.; Andronikou, S. Congenital mesoblastic nephroma associated with polyhydramnios and hypercalcemia. Pediatr. Nephrol. 2002, 17, 187–189. [Google Scholar] [CrossRef]
- Fung, T.Y.; Fung, Y.M.; Ng, P.C.; Yeung, C.K.; Chang, M.Z. Polyhydramnios and hypercalcemia associated with congenital mesoblastic nephroma: Case report and a new appraisal. Obstet. Gynecol. 1995, 85, 815–817. [Google Scholar] [CrossRef]
- Ogawa, S.; Schlaepfer, C.H.; Weaver, J.; Meenakshi-Sundaram, B.; Coplen, D.; Rove, K.O.; Vricella, G.J. Antenatal Presentation of Wilms’ Tumor. Urology 2019, 134, 225–227. [Google Scholar] [CrossRef]
- Vadeyar, S.; Ramsay, M.; James, D.; O’Neill, D. Prenatal diagnosis of congenital Wilms’ tumor (nephroblastoma) presenting as fetal hydrops. Ultrasound Obstet. Gynecol. 2000, 16, 80–83. [Google Scholar] [CrossRef]
- Beckwith, J.B. Prenatal detection of a Wilms’ tumor. Pediatric Radiol. 1999, 29, 64. [Google Scholar] [CrossRef]
- Suresh, I.; Suresh, S.; Arumugam, R.; Govindarajan, M.; Reddy, M.P.; Sulochana, N.V. Antenatal diagnosis of Wilms tumor. J. Ultrasound Med. 1997, 16, 69–72. [Google Scholar] [CrossRef]
- Erol, O.; Süren, D.; Büyükkınacı Erol, M. Prenatal diagnosis of adrenal neuroblastoma: A case report with a brief review of the literature. Case Rep. Obstet. Gynecol. 2013, 2013, 506490. [Google Scholar] [CrossRef]
- Psarris, A.; Sindos, M.; Dimopoulou, A.; Antsaklis, P.; Psarakis, A.; Kataras, T.; Loutradis, D.; Daskalakis, G. Prenatal Diagnosis of Adrenal Neuroblastoma-Differential Diagnosis of Suprarenal Masses in the Third Trimester of Pregnancy. Ultrasound Int. Open 2019, 5, E93–E95. [Google Scholar] [CrossRef] [PubMed]
- Werner, H.; Daltro, P.; Davaus, T.; Araujo Júnior, E. Fetal neuroblastoma: Ultrasonography and magnetic resonance imaging findings in the prenatal and postnatal IV-S stage. Obstet. Gynecol. Sci. 2016, 59, 407–410. [Google Scholar] [CrossRef] [PubMed]
- Fang, S.B.; Lee, H.C.; Sheu, J.C.; Lo, Z.J.; Wu, B.L. Prenatal sonographic detection of adrenal hemorrhage confirmed by postnatal surgery. J. Clin. Ultrasound 1999, 27, 206–209. [Google Scholar] [CrossRef]
- Kütük, M.S.; Doğanay, S.; Özdemir, A.; Görkem, S.B.; Öztürk, A. Sonographic Diagnosis of Fetal Adrenal Hemorrhage Complicating a Vein of Galen Aneurysmal Malformation. Balk. Med. J. 2016, 33, 112–114. [Google Scholar] [CrossRef]
- Shin, S.I.; Yoo, J.G.; Park, I.Y.; Cheon, J.Y. Prenatal diagnosis of fetal adrenal hemorrhage and endocrinologic evaluation. Obstet. Gynecol. Sci. 2016, 59, 238–240. [Google Scholar] [CrossRef]
- Strouse, P.J.; Bowerman, R.A.; Schlesinger, A.E. Antenatal sonographic findings of fetal adrenal hemorrhage. J. Clin. Ultrasound 1995, 23, 442–446. [Google Scholar] [CrossRef]
- Asai, S.; Ishimoto, H.; Kim, S.H.; Higuchi, T.; Minegishi, K.; Tanaka, M.; Hoshino, K.; Morikawa, Y.; Yoshimura, Y. Prenatal diagnosis of retroperitoneal teratoma: A case report and review of the literature. Fetal. Diagn. Ther. 2009, 25, 76–78. [Google Scholar] [CrossRef]


| Author | Age | Parity | GA dx | Size | Poly | MRI | Side | Echo | Solid | Border | Vascular | Route | Sex | GA | BW | APG -1 | APG -5 | Prognosis | FU -Day | Postnatal Treatment |
|---|---|---|---|---|---|---|---|---|---|---|---|---|---|---|---|---|---|---|---|---|
| Liu 2022 [5] | 36 | 0 | 36 | 5.8 | Yes | Yes | Left | Heterogeneous | Solid | Well | Mod | CS | Male | 38 | 3560 | 9 | 10 | Survive | 1200 | Nephrectomy |
| Lin 2021 [6] | 31 | 0 | 32 | 5.7 | Yes | Homogeneous | Solid | Well | Strong | CS | 32 | 1802 | 7 | 9 | Survive | 21 | Nephrectomy | |||
| Chen 2021 [7] | 26 | 37 | 3.5 | No | Right | Vg | Male | 38 | Survive | 1740 | Nephrectomy | |||||||||
| 30 | 25 | 2.8 | No | Left | CS | Female | 39 | Survive | 360 | Nephrectomy | ||||||||||
| 31 | 31 | 3.7 | Yes | Left | Vg | Male | 35 | Survive | 360 | Nephrectomy | ||||||||||
| 22 | 39 | 3.3 | No | Left | Vg | Female | 40 | Survive | 1650 | Nephrectomy | ||||||||||
| 28 | 38 | 5.0 | No | Right | Vg | Female | 39 | Survive | 360 | Nephrectomy | ||||||||||
| 31 | 31 | 5.4 | Yes | Right | CS | Male | 32 | Survive | 990 | Nephrectomy | ||||||||||
| 25 | 37 | 4.6 | No | Right | Vg | Male | 38 | Survive | 540 | Nephrectomy | ||||||||||
| 40 | 35 | 6.9 | No | Right | CS | Male | 35 | Survive | 480 | Nephrectomy | ||||||||||
| 33 | 32 | 4.6 | Yes | Left | CS | Male | 35 | Survive | 420 | Nephrectomy | ||||||||||
| 27 | 37 | 4.1 | No | Left | Vg | Male | 39 | Survive | 390 | Nephrectomy | ||||||||||
| 30 | 29 | 3.7 | Yes | Left | CS | Male | 31 | Survive | 360 | Nephrectomy | ||||||||||
| Che 2021 [8] | 29 | 0 | 35 | 2.9 | Yes | Yes | Right | Homogeneous | Solid | Well | Mod | Vg | Female | 38 | 3250 | 5 | Survive | 180 | Nephrectomy | |
| Mata 2019 [9] | 36 | 1 | 28 | 4.7 | Yes | Yes | Left | Heterogeneous | Solid | Well | Strong | CS | Female | 34 | 2150 | 9 | 10 | Survive | 180 | Nephrectomy |
| Manganaro 2018 [10] | 34 | 0 | 32 | 3.7 | Yes | Yes | 32 | 1500 | Survive | Nephrectomy | ||||||||||
| Do 2015 [11] | 39 | 0 | 35 | 5.2 | Yes | Right | Homogeneous | Solid | Well | Vg | Male | 35 | 2550 | 9 | 10 | Survive | 240 | Nephrectomy | ||
| Takahashi 2014 [12] | 28 | 0 | 23 | 3.3 | Yes | Yes | Left | Strong | CS | Female | 28 | 1210 | 3 | 6 | Survive | Resection | ||||
| Ko 2013 [13] | 30 | 30 | 9.0 | Yes | Yes | Left | Heterogeneous | Solid–cystic | Strong | CS | Female | 30 | Survive | 210 | Resection | |||||
| Esmer 2012 [14] | 28 | 1 | 40 | 5.2 | No | No | Left | Heterogeneous | Solid–cystic | Well | Vg | Female | 40 | 2870 | 8 | 10 | Survive | Nephrectomy | ||
| Montaruli 2012 [16] | 36 | Yes | Right | Solid | Well | 40 | Survive | Nephrectomy | ||||||||||||
| Kim 2005 [18] | 28 | 1 | 34 | 6.9 | No | No | Right | Heterogeneous | Cystic | Well | CS | Female | 1750 | 5 | 9 | Dead | None | |||
| Yamamoto 2006 [19] | 25 | 1 | 34 | 6.8 | Yes | Yes | Right | Heterogeneous | Solid | Well | CS | Male | 35 | 2904 | 8 | 9 | Survive | 330 | Nephrectomy | |
| Siemer 2004 [22] | 32 | 0 | 32 | 5.5 | Yes | No | Right | Heterogeneous | Solid | Well | CS | Male | 35 | 9 | 9 | Survive | Nephrectomy | |||
| Chen 2003 [2] | 20 | 0 | 22 | 5.0 | Yes | Yes | Left | Hypoecho | Solid | Well | No | Vg | Male | 25 | 1030 | 2 | 2 | Dead | None | |
| Fuchs 2003 [23] | 39 | 2 | 36 | 4.6 | No | No | Left | Homogeneous | Solid | Well | Strong | CS | Male | 37 | 2430 | 9 | 10 | Survive | Nephrectomy | |
| Goldstein 2002 [24] | 30 | 2 | 28 | 5.9 | Yes | No | Left | Hypoecho | Solid | Well | CS | Male | 30 | 1420 | 2 | 8 | Survive | 540 | Resection | |
| Won 2002 [25] | 28 | 0 | 35 | 5.1 | No | Yes | Right | Homogeneous | Solid | Well | Mod | CS | Female | 38 | 3305 | 6 | 9 | Survive | Nephrectomy | |
| Irsutti 2000 [26] | 25 | 35 | 3.0 | Yes | Left | Homogeneous | Solid | Well | CS | Male | 38 | 2730 | 9 | 9 | Survive | 300 | Nephrectomy | |||
| Schild 2000 [27] | 29 | 0 | 34 | 5.6 | No | No | Left | Homogeneous | Solid | Well | Strong | CS | 38 | 10 | 10 | Survive | 365 | Nephrectomy | ||
| Shibahara 1999 [28] | 37 | 0 | 28 | 5.7 | Yes | Left | Heterogeneous | Solid | Well | CS | Male | 34 | 2564 | 6 | 7 | Survive | Nephrectomy | |||
| Haddad 1996 [30] | 33 | Yes | No | 35 | Survive | 300 | Nephrectomy | |||||||||||||
| Sailer 1993 [32] | 32 | Heterogeneous | Solid | CS | 35 | 2500 | 8 | 10 | Survive | Resection | ||||||||||
| Boulot 1989 [33] | 33 | Yes | No | 33 | Dead | None | ||||||||||||||
| Walter 1985 [37] | 27 | 0 | 31 | 6.5 | Yes | No | Left | Homogeneous | Solid | Well | CS | Female | 34 | 2030 | 6 | 6 | Survive | Resection | ||
| Howey 1985 [38] | 26 | 1 | 30 | 7.1 | Yes | No | Left | Solid | CS | Male | 1480 | 4 | 7 | Survive | Resection | |||||
| Geirsson 1985 [39] | 22 | 0 | 27 | Yes | Hypoecho | Solid | Poorly | Male | 30 | 1500 | Survive | Nephrectomy | ||||||||
| Ehman 1983 [40] | 25 | 1 | 35 | 4.0 | Yes | No | Left | Hypoecho | Solid | Well | CS | Male | 38 | 2500 | 9 | 9 | Survive | Nephrectomy | ||
| De Paene 2011 [41] | 35 | 26 | 8.8 | No | No | Heterogeneous | Well | CS | Male | 26 | 970 | 0 | 0 | Dead | None | |||||
| Liu 1996 [42] | 23 | 0 | 28 | 5.9 | Yes | No | Left | Heterogeneous | Solid | CS | Male | 34 | 3000 | 1 | 0 | Dead | None | |||
| Index case | 23 | 1 | 30 | 4.8 | Yes | No | Left | Heterogeneous | Solid | Well | Strong | CS | Male | 31 | 1685 | 8 | 10 | Survive | 730 | Nephrectomy |
| Parameters | Number (Percentage) or Mean ± SD |
|---|---|
| Solidity: | |
| 22/25 (88.0%) |
| 2/25 (8.0%) |
| 1/25 (4.0%) |
| Echogenicity: | |
| 12/24 (50.0%) |
| 8/24 (33.3%) |
| 4/24 (16.7%) |
| Border outline: | |
| 21/22 (95.5%) |
| 1/22 (4.5%) |
| Vascularization: | |
| 1/11 (9.1%) |
| 3/11 (27.3%) |
| 7/11 (63.6%) |
| Polyhydramnios: | |
| 13/38 (34.2%) |
| 25/38 (65.8%) |
| Hydrops fetalis: | |
| 38/41 (92.7%) |
| 3/41 (7.3%) |
| Sidedness: | |
| 22/34 (64.7%) |
| 12/34 (35.3%) |
| Size (average diameter; cm) | 5.2 ± 1.5 (range: 2.8–9.0) |
| Gestational age at diagnosis (weeks) | 32.2 ± 4.2 (range: 22–40) |
| Parameters | Number (Percentage) or Mean ± SD |
|---|---|
| Maternal age (years) | 29.4 ± 5.0 (range: 20–40) |
| Parity: | |
| 14/23 (60.9%) |
| 9/23 (39.1%) |
| Route of delivery: | |
| 10/35 (28.6%) |
| 25/35 (71.4%) |
| Gestational age at delivery (weeks) | 34.7 ± 3.9 (range: 25–40) |
| Preterm delivery: | |
| 15/39 (38.5%) |
| 24/39 (61.5%) |
| Birth weight (grams) | 2195 ± 756 (range: 970–3560) |
| Fetal sex: | |
| 23/34 (67.6%) |
| 11/34 (32.4%) |
| Postnatal treatment: | |
| 5/41 (12.2%) |
| 6/41 (14.6%) |
| 30/41 (73.2%) |
| Survival: | |
| 36/41 (87.8%) |
| 5/41 (12.2%) |
Publisher’s Note: MDPI stays neutral with regard to jurisdictional claims in published maps and institutional affiliations. |
© 2022 by the authors. Licensee MDPI, Basel, Switzerland. This article is an open access article distributed under the terms and conditions of the Creative Commons Attribution (CC BY) license (https://creativecommons.org/licenses/by/4.0/).
Share and Cite
Tongsong, T.; Palangmonthip, W.; Chankhunaphas, W.; Luewan, S. Prenatal Course and Sonographic Features of Congenital Mesoblastic Nephroma. Diagnostics 2022, 12, 1951. https://doi.org/10.3390/diagnostics12081951
Tongsong T, Palangmonthip W, Chankhunaphas W, Luewan S. Prenatal Course and Sonographic Features of Congenital Mesoblastic Nephroma. Diagnostics. 2022; 12(8):1951. https://doi.org/10.3390/diagnostics12081951
Chicago/Turabian StyleTongsong, Theera, Watchareepohn Palangmonthip, Wisit Chankhunaphas, and Suchaya Luewan. 2022. "Prenatal Course and Sonographic Features of Congenital Mesoblastic Nephroma" Diagnostics 12, no. 8: 1951. https://doi.org/10.3390/diagnostics12081951
APA StyleTongsong, T., Palangmonthip, W., Chankhunaphas, W., & Luewan, S. (2022). Prenatal Course and Sonographic Features of Congenital Mesoblastic Nephroma. Diagnostics, 12(8), 1951. https://doi.org/10.3390/diagnostics12081951

