The Role of Magnetic Resonance Enterography in Crohn’s Disease: A Review of Recent Literature
Abstract
:1. Introduction
2. Role of Imaging
3. Ultrasound Assessment
4. Computed Tomography Assessment
5. Magnetic Resonance Enterography
6. Protocols
7. General Patient Preparation
8. Technical Considerations and Sequence Selection
- Axial and coronal T2 FSE without FS 2D
- Axial and coronal SSFPGE without FS
- Axial or coronal T2 FSE with FS 2D
- Axial and coronal pre- and post- contrast 3D T1-weighted gradient-echo sequence with FS
- Axial Diffusion Weighted Imaging (DWI)
- Coronal Cine Balanced SSFP
9. Imaging Findings
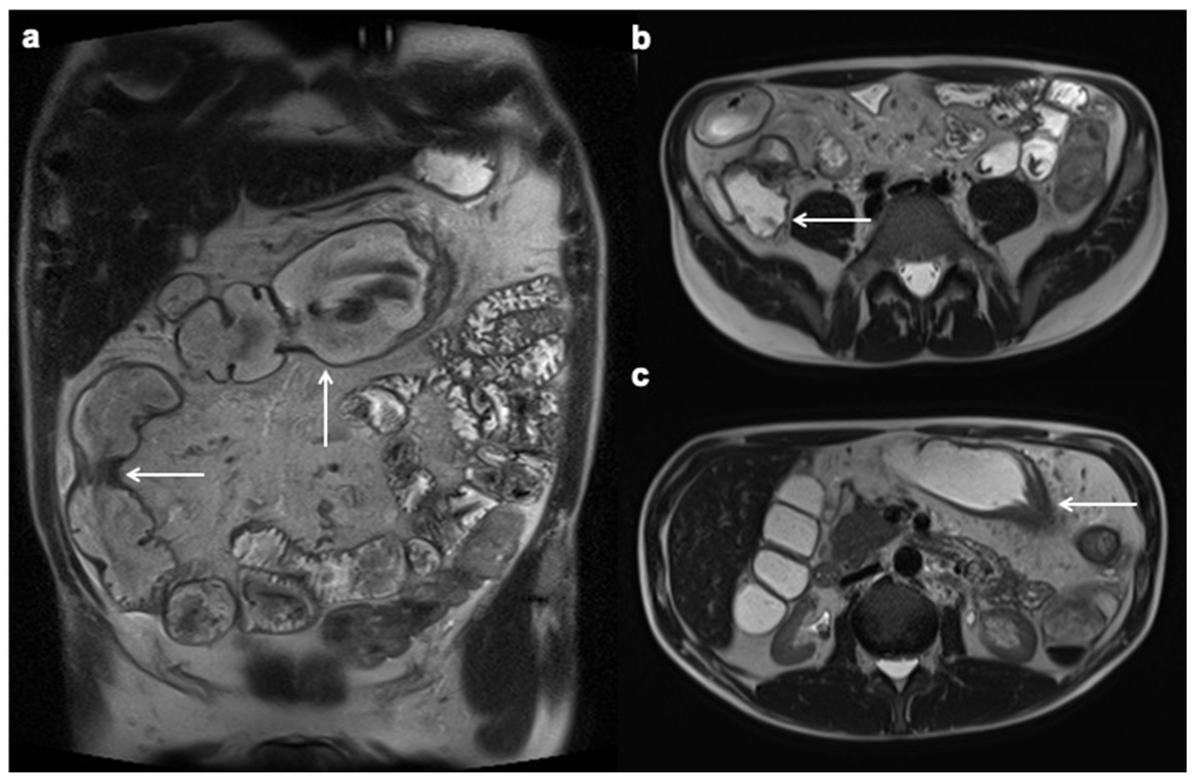
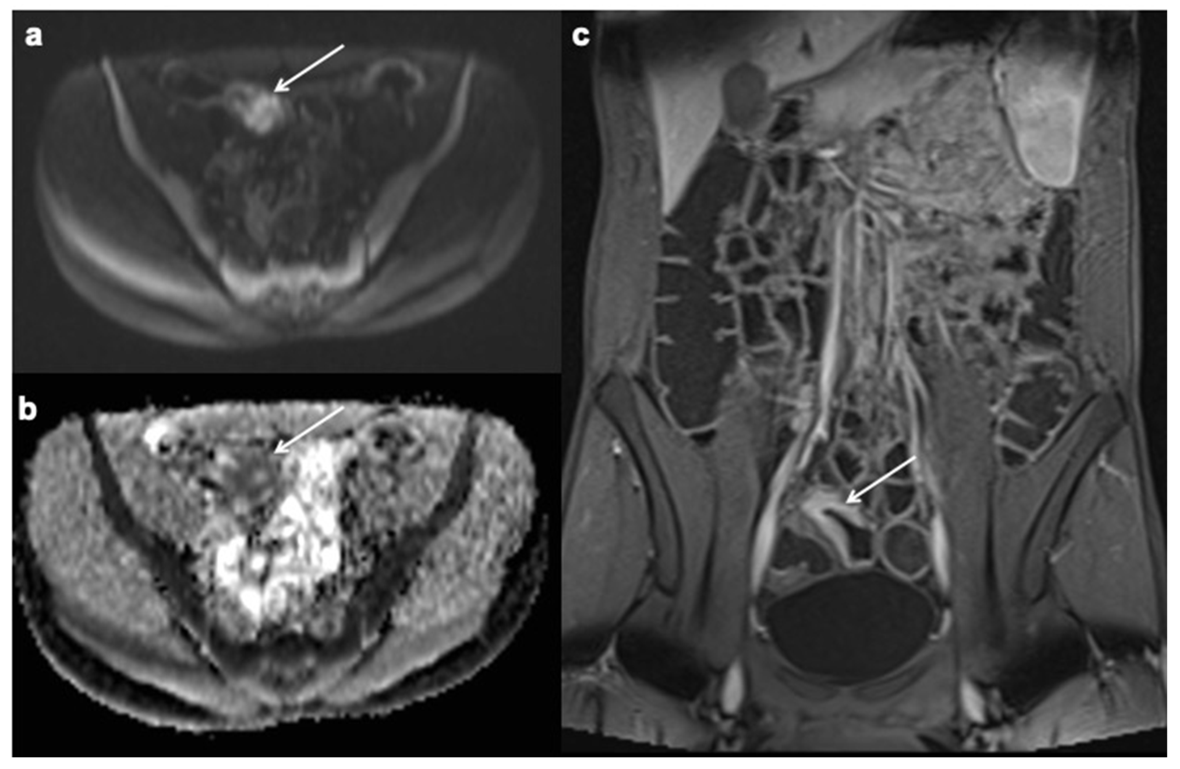
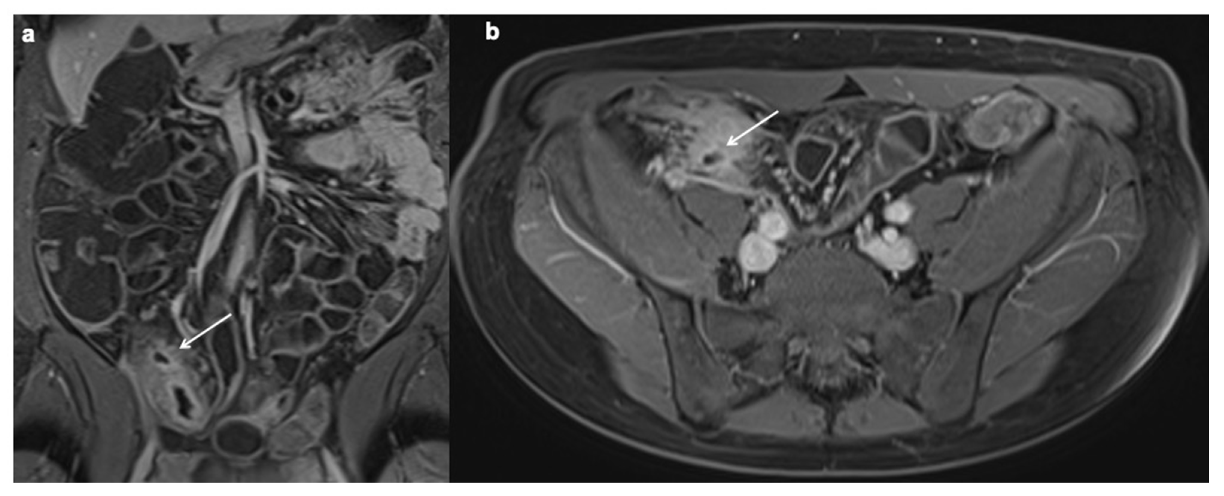
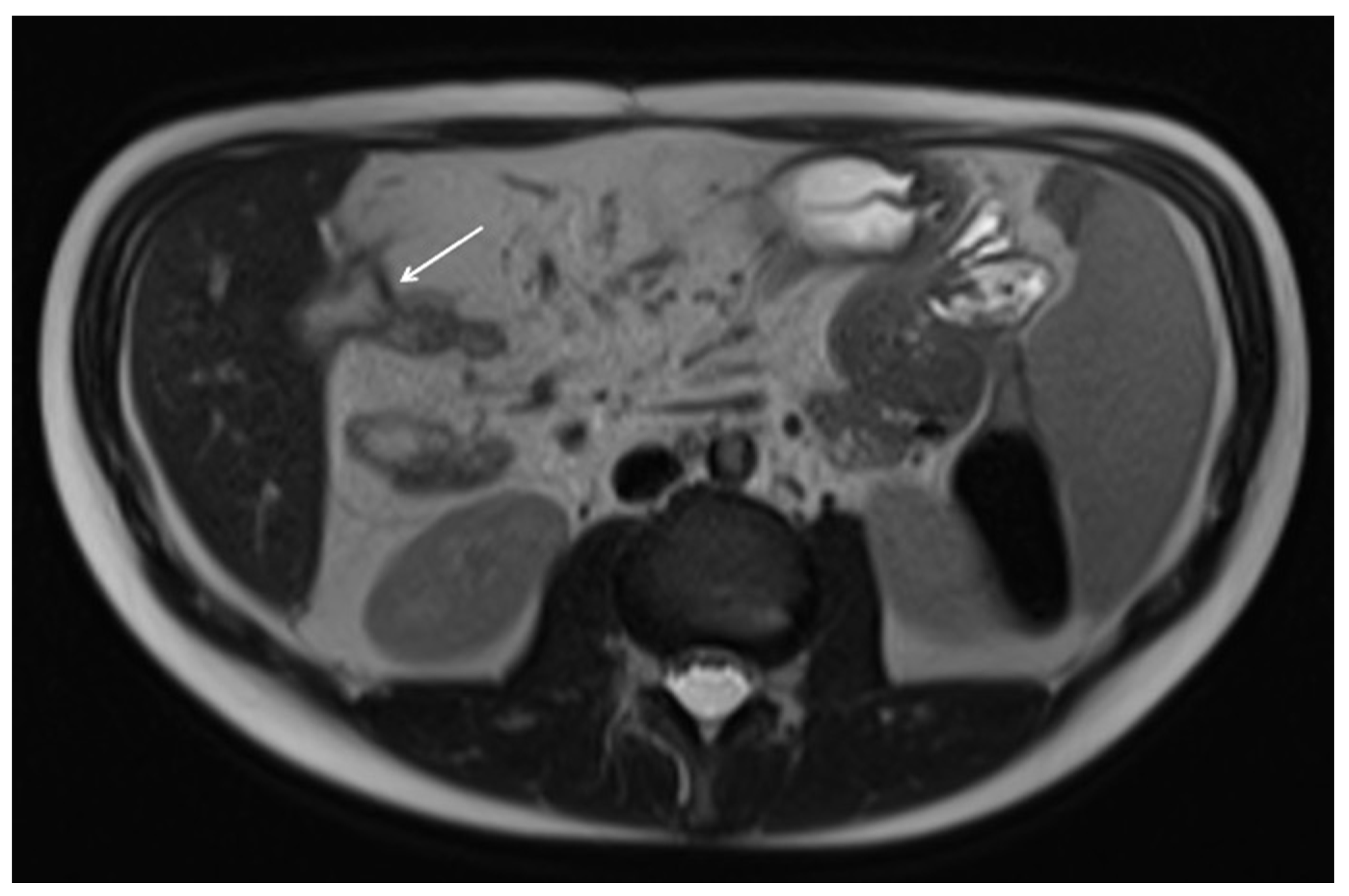
10. Imaging Findings Associated with Active CD Inflammation
11. Imaging Findings Associated with Penetrating CD Inflammation and Complications
12. Imaging Findings Associated with Non-Active CD Inflammation
13. Conclusions
Funding
Institutional Review Board Statement
Informed Consent Statement
Data Availability Statement
Conflicts of Interest
References
- Cozzi, D.; Moroni, C.; Addeo, G.; Danti, G.; Lanzetta, M.M.; Cavigli, E.; Falchini, M.; Marra, F.; Piccolo, C.L.; Brunese, L.; et al. Radiological Patterns of Lung Involvement in Inflammatory Bowel Disease. Gastroenterol. Res. Pract. 2018, 2018, 5697846. [Google Scholar] [CrossRef] [PubMed] [Green Version]
- Gajendran, M.; Loganathan, P.; Catinella, A.P.; Hashash, J.G. A comprehensive review and update on Crohn’s disease. Dis.-A-Mon. 2018, 64, 20–57. [Google Scholar] [CrossRef] [PubMed]
- Gevers, D.; Kugathasan, S.; Denson, L.A.; Vázquez-Baeza, Y.; Van Treuren, W.; Ren, B.; Schwager, E.; Knights, D.; Song, S.J.; Yassour, M.; et al. The Treatment-Naive Microbiome in New-Onset Crohn’s Disease. Cell Host Microbe 2014, 15, 382–392. [Google Scholar] [CrossRef] [PubMed] [Green Version]
- Kostic, A.D.; Xavier, R.J.; Gevers, D. The Microbiome in Inflammatory Bowel Disease: Current Status and the Future Ahead. Gastroenterology 2014, 146, 1489–1499. [Google Scholar] [CrossRef] [Green Version]
- Hashash, J.G.; Rivers, C.M.R.; Regueiro, M.; Barrie, A.; Schwartz, M.; Baidoo, L.; Swoger, J.M.; Dunn, M.A.; Binion, D.G. Su1345 Patterns of Antibiotic Exposure and Clinical Disease Activity in Inflammatory Bowel Disease: A 4 Year Prospective Study. Gastroenterology 2014, 5, S-442. [Google Scholar] [CrossRef]
- Flynn, S.; Eisenstein, S. Inflammatory Bowel Disease Presentation and Diagnosis. Surg. Clin. N. Am. 2019, 99, 1051–1062. [Google Scholar] [CrossRef]
- Mekhjian, H.S.; Switz, D.M.; Melnyk, C.S.; Rankin, G.B.; Brooks, R.K. Clinical features and natural history of Crohn’s disease. Gastroenterology 1979, 77, 898–906. [Google Scholar] [CrossRef]
- Sawczenk, A.; Sandhu, B.K. Presenting features of inflammatory bowel disease in Great Britain and Ireland. Arch. Dis. Child 2003, 88, 995–1000. [Google Scholar] [CrossRef] [Green Version]
- Farmer, R.G.; Hawk, W.A.; Turnbull, R.B. Clinical Patterns in Crohn’s Disease: A Statistical Study of 615 Cases. Gastroenterology 1975, 68, 627–635. [Google Scholar] [CrossRef]
- Loftus, E.V., Jr. Clinical epidemiology of inflammatory bowel disease: Incidence, prevalence, and environmental influences. Gastroenterology 2004, 126, 1504–1517. [Google Scholar] [CrossRef]
- Papanikolaou, I.; Kagouridis, K.; A Papiris, S. Patterns of airway involvement in inflammatory bowel diseases. World J. Gastrointest. Pathophysiol. 2014, 5, 560–569. [Google Scholar] [CrossRef] [PubMed]
- Maaser, C.; Sturm, A.; Vavricka, S.R.; Kucharzik, T.; Fiorino, G.; Annese, V.; Calabrese, E.; Baumgart, D.C.; Bettenworth, D.; Borralho Nunes, P.; et al. ECCO-ESGAR Guideline for Diagnostic Assessment in IBD Part 1: Initial diagnosis, monitoring of known IBD, detection of complications. J. Crohn’s Colitis 2018, 13, 144–164K. [Google Scholar] [CrossRef] [PubMed] [Green Version]
- Magro, F.; Gionchetti, P.; Eliakim, R.; Ardizzone, S.; Armuzzi, A.; Barreiro-de Acosta, M.; Burisch, J.; Gecse, K.B.; Hart, A.L.; Hindryckx, P.; et al. Third European evidence-based consensus on diagnosis and management of ulcerative colitis. Part 1: Definitions, Diagnosis, Extra-intestinal Manifestations, Pregnancy, Cancer Surveillance, Surgery, and Ileo-anal Pouch Disorders. J. Crohn’s Colitis 2017, 11, 649–670. [Google Scholar] [CrossRef] [PubMed]
- Gomollón, F.; Dignass, A.; Annese, V. ECCO. Third European evidence-based consensus on the diagnosis and management of Crohn’s disease 2016. Part 1: Diagnosis and medical management. J. Crohn’s Colitis 2017, 11, 3–25. [Google Scholar] [CrossRef] [PubMed] [Green Version]
- Gisbert, J.P.; Bermejo, F.; Pérez-Calle, J.L. Fecal calprotectin and lacto-ferrin for the prediction of inflammatory bowel disease relapse. Inflamm. Bowel. Dis. 2009, 15, 1190–1198. [Google Scholar] [CrossRef] [PubMed]
- Von Roon, A.C.; Karamountzos, L.; Purkayastha, S.; Reese, G.E.; Darzi, A.W.; Teare, J.; Paraskeva, P.; Tekkis, P.P. Diagnostic Precision of Fecal Calprotectin for Inflammatory Bowel Disease and Colorectal Malignancy. Am. J. Gastroenterol. 2007, 102, 803–813. [Google Scholar] [CrossRef] [PubMed]
- Rosa, C.; Caravatta, L.; Di Tommaso, M.; Fasciolo, D.; Gasparini, L.; Di Guglielmo, F.C.; Augurio, A.; Vinciguerra, A.; Vecchi, C.; Genovesi, D. Cone-beam computed tomography for organ motion evaluation in locally advanced rectal cancer patients. La Radiol. Med. 2020, 126, 147–154. [Google Scholar] [CrossRef]
- Schoepfer, A.M.; Beglinger, C.; Straumann, A.; Trummler, M.; Renzulli, P.; Seibold, F. Ulcerative colitis: Correlation of the Rachmilewitz endoscopic activity index with fecal calprotectin, clinical activity, C-reactive protein, and blood leukocytes. Inflamm. Bowel Dis. 2009, 15, 1851–1858. [Google Scholar] [CrossRef]
- Schoepfer, A.M.; Trummler, M.; Seeholzer, P.; Seibold-Schmid, B.; Seibold, F. Discriminating IBD from IBS: Comparison of the test performance of fecal markers, blood leukocytes, CRP, and IBD antibodies. Inflamm. Bowel Dis. 2008, 14, 32–39. [Google Scholar] [CrossRef]
- Vinding, K.K.; Elsberg, H.; Thorkilgaard, T.; Belard, E.; Pedersen, N.; Elkjaer, M.; Marker, D.; Carlsen, K.; Burisch, J.; Munkholm, P. Fecal Calprotectin Measured By Patients at Home Using Smartphones—A New Clinical Tool in Monitoring Patients with Inflammatory Bowel Disease. Inflamm. Bowel Dis. 2016, 22, 336–344. [Google Scholar] [CrossRef] [Green Version]
- Bentley, E.; Jenkins, D.; Campbell, F.; Warren, B. How could pathologists improve the initial diagnosis of colitis? Evidence from an international workshop. J. Clin. Pathol. 2002, 55, 955–960. [Google Scholar] [CrossRef] [PubMed] [Green Version]
- Dejaco, C.; Oesterreicher, C.; Angelberger, S.; Püspök, A.; Birner, P.; Poetzi, R.; Gangl, A.; Oberhuber, G. Diagnosing Colitis: A Prospective Study on Essential Parameters for Reaching a Diagnosis. Laryngo-Rhino-Otologie 2003, 35, 1004–1008. [Google Scholar] [CrossRef]
- Danti, G.; Flammia, F.; Matteuzzi, B.; Cozzi, D.; Berti, V.; Grazzini, G.; Pradella, S.; Recchia, L.; Brunese, L.; Miele, V. Gastrointestinal neuroendocrine neoplasms (GI-NENs): Hot topics in morphological, functional, and prognostic imaging. La Radiol. Med. 2021, 126, 1497–1507. [Google Scholar] [CrossRef] [PubMed]
- Benedetti, G.; Mori, M.; Panzeri, M.M.; Barbera, M.; Palumbo, D.; Sini, C.; Muffatti, F.; Andreasi, V.; Steidler, S.; Doglioni, C.; et al. CT-derived radiomic features to discriminate histologic characteristics of pancreatic neuroendocrine tumors. La Radiol. Med. 2021, 126, 745–760. [Google Scholar] [CrossRef] [PubMed]
- Kopylov, U. Diagnostic yield of capsule endoscopy versus magnetic resonance enterography and small bowel contrast ultrasound in the evalu- ation of small bowel Crohn’s disease: Systematic review and meta-analysis. Dig Liver Dis. 2017, 49, 854–863. [Google Scholar] [CrossRef] [Green Version]
- Rozendorn, N.; Klang, E.; Lahat, A.; Yablecovitch, D.; Kopylov, U.; Eliakim, A.; Ben-Horin, S.; Amitai, M.M. Prediction of patency capsule retention in known Crohn’s disease patients by using magnetic resonance imaging. Gastrointest. Endosc. 2015, 83, 182–187. [Google Scholar] [CrossRef]
- Samuel, S.; Bruining, D.H.; Loftus, E.V.; Becker, B.; Fletcher, J.G.; Mandrekar, J.N.; Zinsmeister, A.R.; Sandborn, W.J. Endoscopic Skipping of the Distal Terminal Ileum in Crohn’s Disease Can Lead to Negative Results From Ileocolonoscopy. Clin. Gastroenterol. Hepatol. 2012, 10, 1253–1259. [Google Scholar] [CrossRef]
- Qiu, Y.; Mao, R.; Chen, B.L.; Li, X.H.; He, Y.; Zeng, Z.R. Systematic review with meta-analysis: Magnetic resonance enterography vs. computed tomography enterography for evaluating disease activity in small bowel Crohn’s disease. Aliment. Pharmacol. Ther. 2014, 40, 134–146. [Google Scholar] [CrossRef]
- Baert, F.; Moortgat, L.; Van Assche, G.; Caenepeel, P.; Vergauwe, P.; De Vos, M.; Stokkers, P.; Hommes, D.; Rutgeerts, P.; Vermeire, S.; et al. Mucosal Healing Predicts Sustained Clinical Remission in Patients With Early-Stage Crohn’s Disease. Gastroenterology 2010, 138, 463–468. [Google Scholar] [CrossRef] [Green Version]
- Colombel, J.F.; Sandborn, W.J.; Reinisch, W.; SONIC Study Group. Infliximab, azathioprine, or combination therapy for Crohn’s disease. N. Engl. J. Med. 2010, 362, 1383–1395. [Google Scholar] [CrossRef] [Green Version]
- Colombel, J.; Rutgeerts, P.J.; Sandborn, W.J.; Yang, M.; Camez, A.; Pollack, P.F.; Thakkar, R.B.; Robinson, A.M.; Chen, N.; Mulani, P.M.; et al. Adalimumab Induces Deep Remission in Patients With Crohn’s Disease. Clin. Gastroenterol. Hepatol. 2013, 12, 414–422.e5. [Google Scholar] [CrossRef] [PubMed]
- Arente, F.; Greco, S.; Molteni, M.; Anderloni, A.; Sampietro, G.M.; Danelli, P.G. Oral contrast enhanced bowel ultra-sonography in the assessment of small intestine Crohn’s disease. A prospective comparison with conventional ultrasound, x ray studies, and ileocolonoscopy. Gut 2004, 53, 1652–1657. [Google Scholar] [CrossRef] [PubMed] [Green Version]
- Kucharzik, T.; Wittig, B.M.; Helwig, U.; Börner, N.; Rössler, A.; Rath, S.; Maaser, C.; Naumann, A.; Pelster, G.; Spengler, J.; et al. Use of Intestinal Ultrasound to Monitor Crohn’s Disease Activity. Clin. Gastroenterol. Hepatol. 2016, 15, 535–542.e2. [Google Scholar] [CrossRef] [PubMed]
- Saevik, F.; Nylund, K.; Hausken, T.; Ødegaard, S.; Gilja, O.H. Bowel perfusion measured with dynamic contrast-enhanced ultrasound predicts treatment outcome in patients with Crohn’s disease. Inflamm. Bowel Dis. 2014, 20, 2029–2037. [Google Scholar] [CrossRef] [Green Version]
- Bruining, D.H.; Loftus, E.V.; Ehman, E.C.; Siddiki, H.A.; Nguyen, D.L.; Fidler, J.L.; Huprich, J.E.; Mandrekar, J.N.; Harmsen, W.S.; Sandborn, W.J.; et al. Computed Tomography Enterography Detects Intestinal Wall Changes and Effects of Treatment in Patients With Crohn’s Disease. Clin. Gastroenterol. Hepatol. 2011, 9, 679–683.e1. [Google Scholar] [CrossRef]
- Ordas, I.; Rimola, J.; Rodríguez, S.; Paredes, J.M.; Martínez-Pérez, M.J.; Blanc, E.; Arévalo, J.A.; Aduna, M.; Andreu, M.; Radosevic, A.; et al. Accuracy of Magnetic Resonance Enterography in Assessing Response to Therapy and Mucosal Healing in Patients With Crohn’s Disease. Gastroenterology 2014, 146, 374–382.e1. [Google Scholar] [CrossRef]
- Tielbeek, J.A.W.; Löwenberg, M.; Bipat, S.; Horsthuis, K.; Ponsioen, C.Y.; D’Haens, G.R.; Stoker, J. Serial Magnetic Resonance Imaging for Monitoring Medical Therapy Effects in Crohn’s Disease. Inflamm. Bowel Dis. 2013, 19, 1. [Google Scholar] [CrossRef]
- Stoppino, L.P.; Della Valle, N.; Rizzi, S.; Cleopazzo, E.; Centola, A.; Iamele, D.; Bristogiannis, C.; Stoppino, G.; Vinci, R.; Macarini, L. Magnetic resonance enterography changes after antibody to tumor necrosis factor (anti-TNF) alpha therapy in Crohn’s disease: Correlation with SES-CD and clinical-biological markers. BMC Med. Imaging 2016, 16, 1–9. [Google Scholar] [CrossRef] [Green Version]
- Panés, J.; Bouzas, R.; Chaparro, M. Systematic review: The use of ultra-sonography, computed tomography and magnetic resonance imaging for the diagnosis, assessment of activity and abdominal complications of Crohn’s disease. Aliment. Pharmacol. Ther. 2011, 34, 125–145. [Google Scholar] [CrossRef]
- Fiorino, G.; Bonifacio, C.; Peyrin-Biroulet, L. Prospective comparison of computed tomography enterography and magnetic resonance enterography for assessment of disease activity and complications in ileocolonic Crohn’s disease. Inflamm. Bowel Dis. 2011, 17, 1073–1080. [Google Scholar] [CrossRef]
- Puylaert, C.A.; Tielbeek, J.A.; Bipat, S.; Stoker, J. Grading of Crohn’s disease activity using CT, MRI, US and scintigraphy: A meta-analysis. Eur. Radiol. 2015, 25, 3295–3313. [Google Scholar] [CrossRef] [PubMed] [Green Version]
- Agostini, A.; Floridi, C.; Borgheresi, A.; Badaloni, M.; Pirani, P.E.; Terilli, F.; Ottaviani, L.; Giovagnoni, A. Proposal of a low-dose, long-pitch, dual-source chest CT protocol on third-generation dual-source CT using a tin filter for spectral shaping at 100 kVp for CoronaVirus Disease 2019 (COVID-19) patients: A feasibility study. La Radiol. Med. 2020, 125, 365–373. [Google Scholar] [CrossRef] [PubMed] [Green Version]
- Sun, J.; Yang, L.; Zhou, Z.; Zhang, D.; Han, W.; Zhang, Q.; Peng, Y. Performance evaluation of two iterative reconstruction algorithms, MBIR and ASIR, in low radiation dose and low contrast dose abdominal CT in children. La Radiol. Med. 2020, 125, 918–925. [Google Scholar] [CrossRef] [PubMed]
- Schicchi, N.; Fogante, M.; Palumbo, P.; Agliata, G.; Pirani, P.E.; Di Cesare, E.; Giovagnoni, A. The sub-millisievert era in CTCA: The technical basis of the new radiation dose approach. La Radiol. Med. 2020, 125, 1024–1039. [Google Scholar] [CrossRef]
- Masjedi, H.; Zare, M.H.; Siahpoush, N.K.; Razavi-Ratki, S.K.; Alavi, F.; Shabani, M. European trends in radiology: Investigating factors affecting the number of examinations and the effective dose. La Radiol. Med. 2019, 125, 296–305. [Google Scholar] [CrossRef]
- Tagliati, C.; Lanza, C.; Pieroni, G.; Amici, L.; Carotti, M.; Giuseppetti, G.M.; Giovagnoni, A. Ultra-low-dose chest CT in adult patients with cystic fibrosis using a third-generation dual-source CT scanner. La Radiol. Med. 2020, 126, 544–552. [Google Scholar] [CrossRef]
- Rawashdeh, M.A.; Saade, C. Radiation dose reduction considerations and imaging patterns of ground glass opacities in coronavirus: Risk of over exposure in computed tomography. La Radiol. Med. 2020, 126, 380–387. [Google Scholar] [CrossRef]
- Di Giacomo, V.; Trinci, M.; Van Der Byl, G.; Catania, V.D.; Calisti, A.; Miele, V. Ultrasound in newborns and children suffering from non-traumatic acute abdominal pain: Imaging with clinical and surgical correlation. J. Ultrasound 2014, 18, 385–393. [Google Scholar] [CrossRef] [Green Version]
- Regine, G.; Atzori, M.; Miele, V.; Buffa, V.; Galluzzo, M.; Luzietti, M.; Adami, L. Second-generation sonographic contrast agents in the evaluation of renal trauma. La Radiol. Med. 2007, 112, 581–587. [Google Scholar] [CrossRef]
- Trimboli, P.; Castellana, M.; Virili, C.; Havre, R.F.; Bini, F.; Marinozzi, F.; D’Ambrosio, F.; Giorgino, F.; Giovanella, L.; Prosch, H.; et al. Performance of contrast-enhanced ultrasound (CEUS) in assessing thyroid nodules: A systematic review and meta-analysis using histological standard of reference. La Radiol. Med. 2020, 125, 406–415. [Google Scholar] [CrossRef]
- Menys, A.; Atkinson, D.; Odille, F. Quantifed terminal ileal motility during MR enterography as a potential biomarker Abdominal Radiology 1 3 of Crohn’s disease activity: A preliminary study. Eur. Radiol. 2012, 22, 2494–2501. [Google Scholar] [CrossRef] [PubMed]
- Di Serafino, M.; Vallone, G. The role of point of care ultrasound in radiology department: Update and prospective. A statement of Italian college ultrasound. La Radiol. Med. 2020, 126, 636–641. [Google Scholar] [CrossRef] [PubMed]
- Maconi, G.; Di Sabatino, A.; Ardizzone, S. Prevalence and clinical significance of sonographic detection of enlarged regional lymph nodes in Crohn’s disease. Scand. J. Gastroenterol. 2005, 40, 1328–1333. [Google Scholar] [PubMed]
- Gonzalez-Montpetit, E.; Ripollés, T.; Martinez-Pérez, M.J.; Vizuete, J.; Martín, G.; Blanc, E. Ultrasound findings of Crohn’s disease: Correlation with MR enterography. Abdom. Radiol. 2020, 46, 156–167. [Google Scholar] [CrossRef]
- Castiglione, F.; Mainenti, P.P.; Testa, A.; Imperatore, N.; De Palma, G.D.; Maurea, S.; Rea, M.; Nardone, O.M.; Sanges, M.; Caporaso, N.; et al. Cross-sectional evaluation of transmural healing in patients with Crohn’s disease on maintenance treatment with anti-TNF alpha agents. Dig. Liver Dis. 2017, 49, 484–489. [Google Scholar] [CrossRef]
- Monica, M.L.; Antonella, M.; Gloria, A.; Diletta, C.; Nicola, M.; Ginevra, D.; Lina, B.; Silvia, P.; Andrea, G.; Vittorio, M. Internal hernias: A difficult diagnostic challenge. Review of CT signs and clinical findings. Acta Bio-Med. Atenei Parm. 2019, 90, 20–37. [Google Scholar] [CrossRef]
- Guerri, S.; Danti, G.; Frezzetti, G.; Lucarelli, E.; Pradella, S.; Miele, V. Clostridium difficile colitis: CT findings and differential diagnosis. La Radiol. Med. 2019, 124, 1185–1198. [Google Scholar] [CrossRef]
- Karmazanovsky, G.; Gruzdev, I.; Tikhonova, V.; Kondratyev, E.; Revishvili, A. Computed tomography-based radiomics approach in pancreatic tumors characterization. La Radiol. Med. 2021, 126, 1388–1395. [Google Scholar] [CrossRef]
- Kavanagh, R.G.; O’Grady, J.; Carey, B.W.; McLaughlin, P.D.; O’Neill, S.B.; Maher, M.M.; O’Connor, O.J. Low-Dose Computed Tomography for the Optimization of Radiation Dose Exposure in Patients with Crohn’s Disease. Gastroenterol. Res. Pr. 2018, 2018, 1–10. [Google Scholar] [CrossRef] [Green Version]
- Chen, Z.; Wang, J. Diagnostic capability and radiation dose of cone beam CT dacryocystography in different scanning fields of view in healthy volunteers. La Radiol. Med. 2020, 126, 47–54. [Google Scholar] [CrossRef]
- Rampado, O.; Depaoli, A.; Marchisio, F.; Gatti, M.; Racine, D.; Ruggeri, V.; Ruggirello, I.; Darvizeh, F.; Fonio, P.; Ropolo, R. Effects of different levels of CT iterative reconstruction on low-contrast detectability and radiation dose in patients of different sizes: An anthropomorphic phantom study. La Radiol. Med. 2020, 126, 55–62. [Google Scholar] [CrossRef]
- Rosenfeld, G.; Brown, J.; Vos, P.M.; Leipsic, J.; Enns, R.; Bressler, B. Prospective Comparison of Standard- Versus Low-Radiation-Dose CT Enterography for the Quantitative Assessment of Crohn Disease. Am. J. Roentgenol. 2018, 210, W54–W62. [Google Scholar] [CrossRef] [PubMed]
- Chen, J.; Zhou, J.; Yang, J.; Cong, R.; Sun, J.; Xiao, J.; Shi, J.; He, B. Efficiency of dual-energy computed tomography enterography in the diagnosis of Crohn’s disease. BMC Med Imaging 2021, 21, 1–13. [Google Scholar] [CrossRef] [PubMed]
- Di Giampietro, I.; Miele, V. Diagnostic Imaging in Emergency. Salut. Soc. 2014, 127–138. [Google Scholar] [CrossRef]
- Cicero, G.; Ascenti, G.; Albrecht, M.H.; Blandino, A.; Cavallaro, M.; D’Angelo, T.; Carerj, M.L.; Vogl, T.J.; Mazziotti, S. Extra-abdominal dual-energy CT applications: A comprehensive overview. La Radiol. Med. 2020, 125, 384–397. [Google Scholar] [CrossRef]
- Li, H.; Mo, Y.; Huang, C.; Ren, Q.; Xia, X.; Nan, X.; Shuai, X.; Meng, X. An MSCT-based radiomics nomogram combined with clinical factors can identify Crohn’s disease and ulcerative colitis. Ann. Transl. Med. 2021, 9, 572. [Google Scholar] [CrossRef]
- Li, X.; Liang, D.; Meng, J.; Zhou, J.; Chen, Z.; Huang, S.; Lu, B.; Qiu, Y.; Baker, M.E.; Ye, Z.; et al. Development and Validation of a Novel Computed-Tomography Enterography Radiomic Approach for Characterization of Intestinal Fibrosis in Crohn’s Disease. Gastroenterology 2021, 160, 2303–2316.e11. [Google Scholar] [CrossRef]
- Tabari, A.; Kilcoyne, A.; Jeck, W.R.; Mino-Kenudson, M.; Gee, M.S. Texture Analysis of Magnetic Resonance Enterography Contrast Enhancement Can Detect Fibrosis in Crohn Disease Strictures. J. Pediatr. Gastroenterol. Nutr. 2019, 69, 533–538. [Google Scholar] [CrossRef]
- Neri, E.; Coppola, F.; Miele, V.; Bibbolino, C.; Grassi, R. Artificial intelligence: Who is responsible for the diagnosis? La Radiol. Med. 2020, 125, 517–521. [Google Scholar] [CrossRef] [Green Version]
- Zhang, L.; Kang, L.; Li, G.; Zhang, X.; Ren, J.; Shi, Z.; Li, J.; Yu, S. Computed tomography-based radiomics model for discriminating the risk stratification of gastrointestinal stromal tumors. La Radiol. Med. 2020, 125, 465–473. [Google Scholar] [CrossRef]
- Scapicchio, C.; Gabelloni, M.; Barucci, A.; Cioni, D.; Saba, L.; Neri, E. A deep look into radiomics. La Radiol. Med. 2021, 126, 1296–1311. [Google Scholar] [CrossRef] [PubMed]
- Nardone, V.; Reginelli, A.; Grassi, R.; Boldrini, L.; Vacca, G.; D’Ippolito, E.; Annunziata, S.; Farchione, A.; Belfiore, M.P.; Desideri, I.; et al. Delta radiomics: A systematic review. La Radiol. Med. 2021, 126, 1571–1583. [Google Scholar] [CrossRef] [PubMed]
- Cusumano, D.; Meijer, G.; Lenkowicz, J.; Chiloiro, G.; Boldrini, L.; Masciocchi, C.; Dinapoli, N.; Gatta, R.; Casà, C.; Damiani, A.; et al. A field strength independent MR radiomics model to predict pathological complete response in locally advanced rectal cancer. La Radiol. Med. 2020, 126, 421–429. [Google Scholar] [CrossRef] [PubMed]
- Coppola, F.; Faggioni, L.; Regge, D.; Giovagnoni, A.; Golfieri, R.; Bibbolino, C.; Miele, V.; Neri, E.; Grassi, R. Artificial intelligence: Radiologists’ expectations and opinions gleaned from a nationwide online survey. La Radiol. Med. 2020, 126, 63–71. [Google Scholar] [CrossRef] [PubMed]
- Crimì, F.; Capelli, G.; Spolverato, G.; Bao, Q.R.; Florio, A.; Rossi, S.M.; Cecchin, D.; Albertoni, L.; Campi, C.; Pucciarelli, S.; et al. MRI T2-weighted sequences-based texture analysis (TA) as a predictor of response to neoadjuvant chemo-radiotherapy (nCRT) in patients with locally advanced rectal cancer (LARC). La Radiol. Med. 2020, 125, 1–9. [Google Scholar] [CrossRef] [PubMed]
- Palatresi, D.; Fedeli, F.; Danti, G.; Pasqualini, E.; Castiglione, F.; Messerini, L.; Massi, D.; Bettarini, S.; Tortoli, P.; Busoni, S.; et al. Correlation of CT radiomic features for GISTs with pathological classification and molecular subtypes: Preliminary and monocentric experience. La Radiol. Med. 2022, 127, 117–128. [Google Scholar] [CrossRef] [PubMed]
- Amzallag-Bellenger, E.; Oudjit, A.; Ruiz, A.; Cadiot, G.; Soyer, P.A.; Hoeffel, C.C. Effectiveness of MR Enterography for the Assessment of Small-Bowel Diseases beyond Crohn Disease. RadioGraphics 2012, 32, 1423–1444. [Google Scholar] [CrossRef]
- Kaushal, P.; Somwaru, A.; Charabaty, A.; Levy, A.D. MR Enterography of Inflammatory Bowel Disease with Endoscopic Correlation. RadioGraphics 2017, 37, 116–131. [Google Scholar] [CrossRef]
- Napolitano, M.; Munari, A.M.; Di Leo, G.; Panarisi, N.A.R.; Zuin, G.; Fava, G.; Vecchi, M.; Sardanelli, F.; Zuccotti, G.V. MR enterography grading of pediatric ileocolonic Crohn disease activity based on a single bowel segment. La Radiol. Med. 2021, 126, 1396–1406. [Google Scholar] [CrossRef]
- Lorusso, F.; Principi, M.; Pedote, P.; Pignataro, P.; Francavilla, M.; Sardaro, A.; Scardapane, A. Prevalence and clinical significance of incidental extra-intestinal findings in MR enterography: Experience of a single University Centre. La Radiol. Med. 2020, 126, 181–188. [Google Scholar] [CrossRef]
- Petralia, G.; Summers, P.E.; Agostini, A.; Ambrosini, R.; Cianci, R.; Cristel, G.; Calistri, L.; Colagrande, S. Dynamic contrast-enhanced MRI in oncology: How we do it. La Radiol. Med. 2020, 125, 1288–1300. [Google Scholar] [CrossRef] [PubMed]
- Guglielmo, F.F.; Anupindi, S.A.; Fletcher, J.G.; Al-Hawary, M.M.; Dillman, J.R.; Grand, D.J.; Bruining, D.H.; Chatterji, M.; Darge, K.; Fidler, J.L.; et al. Small Bowel Crohn Disease at CT and MR Enterography: Imaging Atlas and Glossary of Terms. RadioGraphics 2020, 40, 354–375. [Google Scholar] [CrossRef] [PubMed]
- Baker, M.E.; Hara, A.K.; Platt, J.F.; Maglinte, D.D.T.; Fletcher, J.G. CT enterography for Crohn’s disease: Optimal technique and imaging issues. Gastrointest. Radiol. 2015, 40, 938–952. [Google Scholar] [CrossRef] [PubMed]
- Paparo, F.; Bacigalupo, L.; Garello, I.; Biscaldi, E.; Cimmino, M.A.; Marinaro, E.; Rollandi, G.A. Crohn’s disease: Prevalence of intestinal and extraintestinal manifestations detected by computed tomography enterography with water enema. Gastrointest. Radiol. 2011, 37, 326–337. [Google Scholar] [CrossRef]
- Parente, F.; Pastore, L.; Bargiggia, S.; Cucino, C.; Greco, S.; Molteni, M.; Ardizzone, S.; Porro, G.B.; Sampietro, G.M.; Giorgi, R.; et al. Incidence and risk factors for gallstones in patients with inflammatory bowel disease: A large case-control study. Hepatology 2007, 45, 1267–1274. [Google Scholar] [CrossRef]
- Iacobellis, F.; Di Serafino, M.; Brillantino, A.; Mottola, A.; Del Giudice, S.; Stavolo, C.; Festa, P.; Patlas, M.N.; Scaglione, M.; Romano, L. Role of MRI in early follow-up of patients with solid organ injuries: How and why we do it? La Radiol. Med. 2021, 126, 1328–1334. [Google Scholar] [CrossRef]
- Ishii, G.; Nakajima, K.; Tanaka, N.; Hara, H.; Kato, M.; Ishii, N. Clinical evaluation of urolithiasis in Crohn’s disease. Int. J. Urol. 2009, 16, 477–480. [Google Scholar] [CrossRef]
- Bertocchi, E.; Barugola, G.; Nicosia, L.; Mazzola, R.; Ricchetti, F.; Dell’Abate, P.; Alongi, F.; Ruffo, G. A comparative analysis between radiation dose intensification and conventional fractionation in neoadjuvant locally advanced rectal cancer: A monocentric prospective observational study. La Radiol. Med. 2020, 125, 990–998. [Google Scholar] [CrossRef]
- Criado, J.D.M.; Del Salto, L.G.; Rivas, P.F.; Del Hoyo, L.F.A.; Velasco, L.G.; Vacas, M.I.D.P.D.L.; Sanz, A.G.M.; Paradela, M.M.; Moreno, E.F. MR Imaging Evaluation of Perianal Fistulas: Spectrum of Imaging Features. RadioGraphics 2012, 32, 175–194. [Google Scholar] [CrossRef]
- Wnorowski, A.M.; Guglielmo, F.F.; Mitchell, D.G. How to perform and interpret cine MR enterography. J. Magn. Reson. Imaging 2015, 42, 1180–1189. [Google Scholar] [CrossRef]
- Cullmann, J.L.; Bickelhaupt, S.; Froehlich, J.M.; Szucs-Farkas, Z.; Tutuian, R.; Patuto, N.; Dawson, H.; Patak, M.A. MR imaging in Crohn’s disease: Correlation of MR motility measurement with histopathology in the terminal ileum. Neurogastroenterol. Motil. 2013, 25, 749-e577. [Google Scholar] [CrossRef] [PubMed]
- Beets-Tan, R.G.; Beets, G.L.; van der Hoop, A.G. Preop- erative MR imaging of anal fistulas: Does it really help the surgeon? Radiology 2001, 218, 75–84. [Google Scholar] [CrossRef] [PubMed]
- Brillantino, A.; Iacobellis, F.; Reginelli, A.; Renzi, A.; Grassi, R. Three-dimensional endoanal ultrasound should be considered as first-line diagnostic tool in the preoperative work-up for perianal fistulas. La Radiol. Med. 2020, 125, 695–696. [Google Scholar] [CrossRef] [PubMed]
- Taylor, S.A.; Avni, F.; Cronin, C.G.; Hoeffel, C.; Kim, S.H.; Laghi, A.; Napolitano, M.; Petit, P.; Rimola, J.; Tolan, D.J.; et al. The first joint ESGAR/ ESPR consensus statement on the technical performance of cross-sectional small bowel and colonic imaging. Eur. Radiol. 2016, 27, 2570–2582. [Google Scholar] [CrossRef]
- Friedrich, C.; Fajfar, A.; Pawlik, M. Magnetic resonance enterography with and without biphasic contrast agent enema com-pared to conventional ileocolonoscopy in patients with Crohn’s dis-ease. Inflamm. Bowel Dis. 2012, 18, 1842–1848. [Google Scholar] [CrossRef]
- Ajaj, W.; Lauenstein, T.C.; Langhorst, J. Small bowel hydro-MR imaging for optimized ileocecal distension in Crohn’s disease: Should an additional rectal enema filling be performed? J. Magn. Reson. Imaging 2005, 22, 92–100. [Google Scholar] [CrossRef]
- Cronin, C.G.; Dowd, G.; Ni Mhuircheartaigh, J.; DeLappe, E.; Allen, R.H.; Roche, C.; Murphy, J.M. Hypotonic MR duodenography with water ingestion alone: Feasibility and technique. Eur. Radiol. 2009, 19, 1731–1735. [Google Scholar] [CrossRef]
- Gutzeit, A.; Binkert, C.A.; Koh, D.-M.; Hergan, K.; Von Weymarn, C.; Graf, N.; Patak, M.A.; Roos, J.E.; Horstmann, M.; Kos, S.; et al. Evaluation of the anti-peristaltic effect of glucagon and hyoscine on the small bowel: Comparison of intravenous and intramuscular drug administration. Eur. Radiol. 2012, 22, 1186–1194. [Google Scholar] [CrossRef]
- Jesuratnam-Nielsen, K.; Løgager, V.B.; Rezanavaz-Gheshlagh, B.; Munkholm, P.; Thomsen, H.S. Plain magnetic resonance im-aging as an alternative in evaluating inflammation and bowel dam-age in inflammatory bowel disease–a prospective comparison with conventional magnetic resonance follow-through. Scand. J. Gastroenterol. 2015, 50, 519–527. [Google Scholar] [CrossRef]
- Masselli, G.; Casciani, E.; Polettini, E. Comparison of MR enteroclysis with MR enterography and con-ventional enteroclysis in patients with Crohn’s disease. Eur. Radiol. 2008, 18, 438–447. [Google Scholar] [CrossRef]
- Negaard, A.; Paulsen, V.; Sandvik, L. A prospec-tive randomized comparison between two MRI studies of the small bowel in Crohn’s disease, the oral contrast method and MR enteroclysis. Eur. Radiol. 2007, 17, 2294–2301. [Google Scholar] [CrossRef] [PubMed]
- Boone, D.; Taylor, S.A. Magnetic Resonance of the Small Bowel: How to Do It. Magn. Reson. Imaging Clin. N. Am. 2019, 28, 17–30. [Google Scholar] [CrossRef] [PubMed]
- Masselli, G.; Vecchioli, A.; Gualdi, G.F. Crohn disease of the small bowel: MR enteroclysis versus conven-tional enteroclysis. Abdom. Imaging. 2006, 31, 400–409. [Google Scholar] [CrossRef] [PubMed]
- Ruehm, S.G.; Ajaj, W.; Goehde, S.C.; Schneemann, H.; Lauenstein, T.C. Oral contrast agents for small bowel MRI: Comparison of different additives to optimize bowel distension. Eur. Radiol. 2003, 14, 458–464. [Google Scholar] [CrossRef]
- Kinner, S.; Kuehle, C.A.; Herbig, S. MRI of the small bowel: Can sufficient bowel distension be achieved with small volumes of oral contrast? Eur. Radiol. 2008, 18, 2542–2548. [Google Scholar] [CrossRef]
- Kuehle, C.A.; Ajaj, W.; Ladd, S.C.; Massing, S.; Barkhausen, J.; Lauenstein, T.C. Hydro-MRI of the Small Bowel: Effect of Contrast Volume, Timing of Contrast Administration, and Data Acquisition on Bowel Distention. Am. J. Roentgenol. 2006, 187, W375–W385. [Google Scholar] [CrossRef]
- Maccioni, F.; Viscido, A.; Marini, M.; Caprilli, R. MRI evaluation of Crohn’s disease of the small and large bowel with the use of negative superparamagnetic oral contrast agents. Gastrointest. Radiol. 2002, 27, 384–393. [Google Scholar] [CrossRef]
- Ajaj, W.; Goyen, M.; Schneemann, H.; Kuehle, C.; Nuefer, M.; Ruehm, S.G.; Goehde, S.C.; Lauenstein, T.C. Oral contrast agents for small bowel distension in MRI: Influence of the osmolarity for small bowel distention. Eur. Radiol. 2005, 15, 1400–1406. [Google Scholar] [CrossRef]
- Borthne, A.S.; Abdelnoor, M.; Storaas, T. Osmolar-ity: A decisive parameter of bowel agents in intesti-nal magnetic resonance imaging. Eur. Radiol. 2006, 16, 1331–1336. [Google Scholar] [CrossRef]
- Cronin, C.G.; Lohan, D.G.; Mhuircheartaigh, J.N. MRI small-bowel follow-through: Prone versus su-pine patient positioning for best small-bowel disten-tion and lesion detection. AJR Am. J. Roentgenol. 2008, 191, 502–506. [Google Scholar] [CrossRef]
- Lauenstein, T.C.; Sharma, P.; Hughes, T. Evalua-tion of optimized inversion-recovery fat-suppression techniques for T2-weighted abdominal MR imaging. J. Magn. Reson. Imaging 2008, 27, 1448–1454. [Google Scholar] [CrossRef] [PubMed]
- Udayasankar, U.K.; Martin, D.; Lauenstein, T. Role of spectral presaturation attenuated inversion-recov-ery fat-suppressed T2-weighted MR imaging in active inflammatory bowel disease. J. Magn. Reson. Imaging 2008, 28, 1133–1140. [Google Scholar] [CrossRef] [PubMed]
- Chandarana, H.; Block, T.K.; Rosenkrantz, A.B. Free-breathing radial 3D fat-suppressed T1-weighted gradient echo sequence: A viable alterna-tive for contrast-enhanced liver imaging in patients unable to suspend respiration. Investig. Radiol. 2011, 46, 648–653. [Google Scholar] [CrossRef] [PubMed] [Green Version]
- Azevedo, R.M.; de Campos, R.O.P.; Ramalho, M.; Herédia, V.; Dale, B.M.; Semelka, R.C. Free-Breathing 3D T1-Weighted Gradient-Echo Sequence With Radial Data Sampling in Abdominal MRI: Preliminary Observations. Am. J. Roentgenol. 2011, 197, 650–657. [Google Scholar] [CrossRef] [PubMed] [Green Version]
- Aisen, A.M. Science to practice: Can the diagnosis of fibrosis with magnetization contrast MR aid in the evaluation of patients with Crohn disease? Radiology 2011, 259, 1–3. [Google Scholar] [CrossRef]
- Fallis, S.A.; Murphy, P.; Sinha, R. Magnetic reso-nance enterography in Crohn’s disease: A compari-son with the findings at surgery. Colorectal. Dis. 2013, 15, 1273–1280. [Google Scholar] [CrossRef]
- Fornell-Perez, R.; Vivas-Escalona, V.; Aranda-Sanchez, J.; Gonzalez-Dominguez, M.C.; Rubio-Garcia, J.; Aleman-Flores, P.; Lozano-Rodriguez, A.; Porcel-De-Peralta, G.; Loro-Ferrer, J.F. Primary and post-chemoradiotherapy MRI detection of extramural venous invasion in rectal cancer: The role of diffusion-weighted imaging. La Radiol. Med. 2020, 125, 522–530. [Google Scholar] [CrossRef]
- Fusco, R.; Granata, V.; Sansone, M.; Rega, D.; Delrio, P.; Tatangelo, F.; Romano, C.; Avallone, A.; Pupo, D.; Giordano, M.; et al. Validation of the standardized index of shape tool to analyze DCE-MRI data in the assessment of neo-adjuvant therapy in locally advanced rectal cancer. La Radiol. Med. 2021, 126, 1044–1054. [Google Scholar] [CrossRef]
- Chiloiro, G.; Cusumano, D.; de Franco, P.; Lenkowicz, J.; Boldrini, L.; Carano, D.; Barbaro, B.; Corvari, B.; Dinapoli, N.; Giraffa, M.; et al. Does restaging MRI radiomics analysis improve pathological complete response prediction in rectal cancer patients? A prognostic model development. La Radiol. Med. 2021, 127, 11–20. [Google Scholar] [CrossRef]
- Fornasa, F.; Benassuti, C.; Benazzato, L. Role of mag-netic resonance enterography in differentiating be-tween fibrotic and active inflammatory small bowel stenosis in patients with Crohn’s disease. J. Clin. Imaging Sci. 2011, 1, 35. [Google Scholar] [CrossRef]
- Maccioni, F.; Bruni, A.; Viscido, A.; Colaiacomo, M.C.; Cocco, A.; Montesani, C.; Caprilli, R.; Marini, M. MR Imaging in Patients with Crohn Disease: Value of T2- versus T1-weighted Gadolinium-enhanced MR Sequences with Use of an Oral Superparamagnetic Contrast Agent. Radiology 2006, 238, 517–530. [Google Scholar] [CrossRef] [PubMed]
- Low, R.N.; Sebrechts, C.P.; Politoske, D.A. Crohn disease with endoscopic correlation: Single-shot fast spin-echo and gadolinium-enhanced fat-sup-pressed spoiled gradient-echo MR imaging. Radiology 2002, 222, 652–660. [Google Scholar] [CrossRef] [PubMed]
- Lanier, M.H.; Shetty, A.S.; Salter, A. Evaluation of noncontrast MR enterography for pediatric inflam-matory bowel disease assessment. J. Magn. Reson. Imaging 2018, 48, 341–348. [Google Scholar] [CrossRef] [PubMed]
- Quaia, E.; Sozzi, M.; Gennari, A.G. Impact of gad-olinium-based contrast agent in the assessment of Crohn’s disease activity: Is contrast agent injection necessary? J. Magn. Reson. Imaging 2016, 43, 688–697. [Google Scholar] [CrossRef]
- Petralia, G.; Zugni, F.; Summers, P.E.; Colombo, A.; Pricolo, P.; Grazioli, L.; Colagrande, S.; Giovagnoni, A.; Padhani, A.R.; On behalf of the Italian Working Group on Magnetic Resonance. Whole-body magnetic resonance imaging (WB-MRI) for cancer screening: Recommendations for use. La Radiol. Med. 2021, 126, 1434–1450. [Google Scholar] [CrossRef]
- Albano, D.; Stecco, A.; Micci, G.; Sconfienza, L.M.; Colagrande, S.; Reginelli, A.; Grassi, R.; Carriero, A.; Midiri, M.; Lagalla, R.; et al. Whole-body magnetic resonance imaging (WB-MRI) in oncology: An Italian survey. La Radiol. Med. 2020, 126, 299–305. [Google Scholar] [CrossRef]
- Dohan, A.; Taylor, S.; Hoeffel, C.; Barret, M.; Allez, M.; Dautry, R.; Zappa, M.; Savoye-Collet, C.; Dray, X.; Boudiaf, M.; et al. Diffusion-weighted MRI in Crohn’s disease: Current status and recommendations. J. Magn. Reson. Imaging 2016, 44, 1381–1396. [Google Scholar] [CrossRef] [Green Version]
- Kim, K.J.; Lee, Y.; Park, S.H. Diffusion-weighted MR enterography for evaluating Crohn’s disease: How does it add diagnostically to conventional MR enter-ography? Inflamm. Bowel Dis. 2015, 21, 101–109. [Google Scholar] [CrossRef]
- Lang, R.A.; Buhmann, S.; Hopman, A. Cine-MRI detection of intra abdominal adhesions: Correlation with intraoperative findings in 89 consecutive cases. Surg. Endosc. 2008, 22, 2455–2461. [Google Scholar] [CrossRef]
- Buhmann-Kirchhoff, S.; Lang, R.; Kirchhoff, C.; Steitz, H.O.; Jauch, K.W.; Reiser, M.; Lienemann, A. Functional cine MR imaging for the detection and mapping of intraabdominal adhesions: Method and surgical correlation. Eur. Radiol. 2008, 18, 1215–1223. [Google Scholar] [CrossRef]
- Torkzad, M.R.; Vargas, R.; Tanaka, C.; Blomqvist, L. Value of cine MRI for better visualization of the proximal small bowel in normal individuals. Eur. Radiol. 2007, 17, 2964–2968. [Google Scholar] [CrossRef] [PubMed]
- Froehlich, J.M.; Waldherr, C.; Stoupis, C.; Erturk, S.M.; Patak, M.A. MR motility imaging in Crohn’s disease improves lesion detection compared with standard MR imaging. Eur. Radiol. 2010, 20, 1945–1951. [Google Scholar] [CrossRef] [PubMed] [Green Version]
- Hahnemann, M.L.; Nensa, F.; Kinner, S. Improved detection of inflammatory bowel disease by additional automated motility analysis in magnetic reso-nance imaging. Investig. Radiol. 2015, 50, 67–72. [Google Scholar] [CrossRef] [PubMed]
- Bickelhaupt, S.; Froehlich, J.; Cattin, R.; Patuto, N.; Tutuian, R.; Wentz, K.; Culmann, J.; Raible, S.; Bouquet, H.; Bill, U.; et al. Differentiation between active and chronic Crohn’s disease using MRI small-bowel motility examinations — Initial experience. Clin. Radiol. 2013, 68, 1247–1253. [Google Scholar] [CrossRef] [PubMed]
- Bickelhaupt, S.; Pazahr, S.; Chuck, N.; Blume, I.; Froehlich, J.M.; Cattin, R.; Raible, S.; Bouquet, H.; Bill, U.; Rogler, G.; et al. Crohn’s disease: Small bowel motility impairment correlates with inflammatory-related markers C-reactive protein and calprotectin. Neurogastroenterol. Motil. 2013, 25, 467-e363. [Google Scholar] [CrossRef]
- Plumb, A.A.; Menys, A.; Russo, E. Magnetic reso-nance imaging-quantified small bowel motility is a sensitive marker of response to medical therapy in Crohn’s disease. Aliment. Pharmacol. Ther. 2015, 42, 343–355. [Google Scholar] [CrossRef] [Green Version]
- Church, P.C.; Turner, D.; Feldman, B.M.; Walters, T.D.; Greer, M.-L.; Amitai, M.M.; Griffiths, A.M.; the ImageKids study group. Systematic review with meta-analysis: Magnetic resonance enterography signs for the detection of inflammation and intestinal damage in Crohn’s disease. Aliment. Pharmacol. Ther. 2014, 41, 153–166. [Google Scholar] [CrossRef]
- Tolan, D.J.M.; Greenhalgh, R.; Zealley, I.A.; Halligan, S.; Taylor, S.A. MR Enterographic Manifestations of Small Bowel Crohn Disease. RadioGraphics 2010, 30, 367–384. [Google Scholar] [CrossRef] [Green Version]
- Sinha, R.; Verma, R.; Verma, S.; Rajesh, A. MR Enterography of Crohn Disease: Part 2, Imaging and Pathologic Findings. Am. J. Roentgenol. 2011, 197, 80–85. [Google Scholar] [CrossRef] [Green Version]
- Punwani, S.; Rodriguez-Justo, M.; Bainbridge, A.; Greenhalgh, R.; De Vita, E.; Bloom, S.; Cohen, R.; Windsor, A.; Obichere, A.; Hansmann, A.; et al. Mural Inflammation in Crohn Disease: Location-Matched Histologic Validation of MR Imaging Features. Radiology 2009, 252, 712–720. [Google Scholar] [CrossRef]
- Choi, D.; Lee, S.J.; Cho, Y.A.; Lim, H.K.; Kim, S.H.; Lee, W.J.; Lim, J.H.; Park, H.; Lee, Y.R. Bowel Wall Thickening in Patients with Crohn’s Disease: CT Patterns and Correlation with Inflammatory Activity. Clin. Radiol. 2003, 58, 68–74. [Google Scholar] [CrossRef] [PubMed]
- Macari, M.; Megibow, A.J.; Balthazar, E.J. A Pattern Approach to the Abnormal Small Bowel: Observations at MDCT and CT Enterography. Am. J. Roentgenol. 2007, 188, 1344–1355. [Google Scholar] [CrossRef] [PubMed]
- Burke, J.P.; Mulsow, J.J.; O’Keane, C.; Docherty, N.G.; Watson, R.W.G.; O’Connell, P.R. Fibrogenesis in Crohn’s Disease. Am. J. Gastroenterol. 2007, 102, 439–448. [Google Scholar] [CrossRef] [PubMed]
- Macari, M.; Balthazar, E.J. CT of bowel wall thickening: Significance and pitfalls of interpretation. AJR Am. J. Roentgenol. 2001, 176, 1105–1116. [Google Scholar] [CrossRef]
- Grand, D.J.; Guglielmo, F.F.; Al-Hawary, M.M. MR enterography in Crohn’s disease: Current consensus on optimal imaging technique and future advances from the SAR Crohn’s disease-focused panel. Gastrointest. Radiol. 2015, 40, 953–964. [Google Scholar] [CrossRef]
- Vandenbroucke, F.; Mortelé, K.J.; Tatli, S. Noninvasive multidetector computed tomography enterography in patients with small-bowel Crohn’s disease: Is a 40-second delay better than 70 seconds? Acta Radiol. 2007, 48, 1052–1060. [Google Scholar] [CrossRef]
- Young, B.M.; Fletcher, J.G.; Booya, F. Head-to-head comparison of oral contrast agents for cross-sectional enterography: Small bowel distention, timing, and side effects. J. Comput. Assist. Tomogr. 2008, 32, 32–38. [Google Scholar] [CrossRef]
- Steward, M.J.; Punwani, S.; Proctor, I.; Adjei-Gyamfi, Y.; Chatterjee, F.; Bloom, S.; Novelli, M.; Halligan, S.; Rodriguez-Justo, M.; Taylor, S. Non-perforating small bowel Crohn’s disease assessed by MRI enterography: Derivation and histopathological validation of an MR-based activity index. Eur. J. Radiol. 2012, 81, 2080–2088. [Google Scholar] [CrossRef]
- Rimola, J.; Ordás, I.; Rodriguez, S. Magnetic resonance imaging for evaluation of Crohn’s disease: Validation of parameters of severity and quantitative index of activity. Inflamm. Bowel Dis. 2011, 17, 1759–1768. [Google Scholar] [CrossRef]
- Weber, N.K.; Fletcher, J.G.; Fidler, J.L.; Barlow, J.M.; Pruthi, S.; Loftus, E.V.; Pardi, D.S.; Smyrk, T.C.; Becker, B.D.; Pasha, S.F.; et al. Clinical characteristics and imaging features of small bowel adenocarcinomas in Crohn’s disease. Gastrointest. Radiol. 2014, 40, 1060–1067. [Google Scholar] [CrossRef]
- Palascak-Juif, V.; Bouvier, A.M.; Cosnes, J. Small bowel adenocarcinoma in patients with Crohn’s disease compared with small bowel adenocarcinoma de novo. Inflamm. Bowel Dis. 2005, 11, 828–832. [Google Scholar] [CrossRef] [PubMed]
- James, S.; Balfe, D.; Lee, J.; Picus, D. Small-bowel disease: Categorization by CT examination. Am. J. Roentgenol. 1987, 148, 863–868. [Google Scholar] [CrossRef] [PubMed] [Green Version]
- Adler, J.; Punglia, D.R.; Dillman, J.R.; Polydorides, A.D.; Dave, M.; Al-Hawary, M.M.; Platt, J.F.; McKenna, B.J.; Zimmermann, E.M. Computed tomography enterography findings correlate with tissue inflammation, not fibrosis in resected small bowel Crohn’s disease. Inflamm. Bowel Dis. 2012, 18, 849–856. [Google Scholar] [CrossRef] [PubMed] [Green Version]
- Chiorean, M.V.; Sandrasegaran, K.; Saxena, R.; Maglinte, D.D.; Nakeeb, A.; Johnson, C.S. Correlation of CT Enteroclysis With Surgical Pathology in Crohn’s Disease. Am. J. Gastroenterol. 2007, 102, 2541–2550. [Google Scholar] [CrossRef]
- Rimola, J.; Planell, N.; Rodríguez, S.; Delgado, S.; Ordás, I.; Ramírez-Morros, A.; Ayuso, C.; Aceituno, M.; Ricart, E.; Jauregui-Amezaga, A.; et al. Characterization of Inflammation and Fibrosis in Crohn’s Disease Lesions by Magnetic Resonance Imaging. Am. J. Gastroenterol. 2015, 110, 432–440. [Google Scholar] [CrossRef]
- Lu, C.; Gui, X.; Chen, W.; Fung, T.; Novak, K.; Wilson, S.R. Ultrasound shear wave elastography and contrast enhancement: Effective biomarkers in Crohn’s disease strictures. Inflamm. Bowel Dis. 2017, 23, 421–430. [Google Scholar] [CrossRef]
- Grazzini, G.; Danti, G.; Cozzi, D.; Lanzetta, M.M.; Addeo, G.; Falchini, M.; Masserelli, A.; Pradella, S.; Miele, V. Diagnostic imaging of gastrointestinal neuroendocrine tumours (GI-NETs): Relationship between MDCT features and 2010 WHO classification. La Radiol. Med. 2018, 124, 94–102. [Google Scholar] [CrossRef] [Green Version]
- Ginevra, D.; Gloria, A.; Diletta, C.; Nicola, M.; Monica, M.L.; Gianluca, F.; Antonella, M.; Silvia, P.; Andrea, G.; Vittorio, M. Relationship between diagnostic imaging features and prognostic outcomes in gastrointestinal stromal tumors (GIST). Acta Bio-Med. Atenei Parm. 2019, 90, 9–19. [Google Scholar] [CrossRef]
- Bruining, D.H.; Zimmermann, E.M.; Loftus, E.V., Jr. Consensus Recommendations for Evaluation, Interpretation, and Utilization of Computed Tomography and Magnetic Resonance Enterography in Patients With Small Bowel Crohn’s Disease. Radiology 2018, 286, 776–799. [Google Scholar] [CrossRef] [Green Version]
- Kelly, J.K.; Preshaw, R.M. Origin of fistulas in Crohn’s disease. J. Clin. Gastroenterol. 1989, 11, 193–196. [Google Scholar] [CrossRef]
- Oberhuber, G.; Stangl, P.C.; Vogelsang, H.; Schober, E.; Herbst, F.; Gasche, C. Significant association of strictures and internal fistula formation in Crohn’s disease. Virchows Arch. 2000, 437, 293–297. [Google Scholar] [CrossRef] [PubMed]
- Orscheln, E.S.; Dillman, J.R.; Towbin, A.J.; Denson, L.A.; Trout, A.T. Penetrating Crohn disease: Does it occur in the absence of stricturing disease? Abdom. Radiol. 2018, 43, 1583–1589. [Google Scholar] [CrossRef] [PubMed]
- Rimola, J.; Rodriguez, S.; Garcia-Bosch, O.; Ordas, I.; Ayala, E.; Aceituno, M.; Pellise, M.; Ayuso, C.; Ricart, E.; Donoso, L.; et al. Magnetic resonance for assessment of disease activity and severity in ileocolonic Crohn’s disease. Gut 2009, 58, 1113–1120. [Google Scholar] [CrossRef] [PubMed] [Green Version]
- Sinha, R.; Murphy, P.; Sanders, S.; Ramachandran, I.; Hawker, P.; Rawat, S.; Roberts, S. Diagnostic accuracy of high-resolution MR enterography in Crohn’s disease: Comparison with surgical and pathological specimen. Clin. Radiol. 2013, 68, 917–927. [Google Scholar] [CrossRef] [PubMed]
- Meyers, M.A. Clinical involvement of mesenteric and antimesenteric borders of small bowel loops: II—Radiologic interpretation of pathologic alterations. Gastrointest. Radiol. 1976, 1, 49–58. [Google Scholar] [CrossRef]
- Levine, M.S.; Rubesin, S.E.; Laufer, I. Pattern Approach for Diseases of Mesenteric Small Bowel on Barium Studies. Radiology 2008, 249, 445–460. [Google Scholar] [CrossRef] [Green Version]
- Seo, N.; Park, S.H.; Kim, K.-J.; Kang, B.-K.; Lee, Y.; Yang, S.-K.; Ye, B.D.; Park, S.H.; Kim, S.Y.; Baek, S.; et al. MR Enterography for the Evaluation of Small-Bowel Inflammation in Crohn Disease by Using Diffusion-weighted Imaging without Intravenous Contrast Material: A Prospective Noninferiority Study. Radiology 2016, 278, 762–772. [Google Scholar] [CrossRef]
- Menys, A.; Puylaert, C.; Nolthenius, C.E.T.; Plumb, A.A.; Makanyanga, J.; Tielbeek, J.; Pendse, D.; Brosens, L.A.; Rodriguez-Justo, M.; Atkinson, D.; et al. Quantified Terminal Ileal Motility during MR Enterography as a Biomarker of Crohn Disease Activity: Prospective Multi-Institution Study. Radiology 2018, 289, 428–435. [Google Scholar] [CrossRef]
- Morani, A.C.; Smith, E.A.; Ganeshan, D.; Dillman, J.R. Diffusion-Weighted MRI in Pediatric Inflammatory Bowel Disease. Am. J. Roentgenol. 2015, 204, 1269–1277. [Google Scholar] [CrossRef]
- Park, S.H. DWI at MR Enterography for Evaluating Bowel Inflammation in Crohn Disease. Am. J. Roentgenol. 2016, 207, 40–48. [Google Scholar] [CrossRef]
- Kiryu, S.; Dodanuki, K.; Takao, H.; Watanabe, M.; Inoue, Y.; Takazoe, M.; Sahara, R.; Unuma, K.; Ohtomo, K. Free-breathing diffusion-weighted imaging for the assessment of inflammatory activity in Crohn’s disease. J. Magn. Reson. Imaging 2009, 29, 880–886. [Google Scholar] [CrossRef] [PubMed]
- Colombel, J.F.; A Solem, C.; Sandborn, W.J.; Booya, F.; Loftus, E.V.; Harmsen, W.S.; Zinsmeister, A.R.; Bodily, K.D.; Fletcher, J.G. Quantitative measurement and visual assessment of ileal Crohn’s disease activity by computed tomography enterography: Correlation with endoscopic severity and C reactive protein. Gut 2006, 55, 1561–1567. [Google Scholar] [CrossRef] [PubMed] [Green Version]
- Meyers, M.A.; McGuire, P.V. Spiral CT demonstration of hypervascularity in Crohn disease: “vascular jejunization of the ileum” or the “comb sign”. Abdom. Imaging 1995, 20, 327–332. [Google Scholar] [CrossRef] [PubMed]
- Koh, D.M.; Miao, Y.; Chinn, R.J.S.; Amin, Z.; Zeegen, R.; Westaby, D.; Healy, J.C. MR Imaging Evaluation of the Activity of Crohn’s Disease. Am. J. Roentgenol. 2001, 177, 1325–1332. [Google Scholar] [CrossRef] [PubMed]
- Goldberg, H.; Gore, R.; Margulis, A.; Moss, A.; Baker, E. Computed tomography in the evaluation of Crohn disease. Am. J. Roentgenol. 1983, 140, 277–282. [Google Scholar] [CrossRef] [PubMed]
- Furukawa, A.; Saotome, T.; Yamasaki, M.; Maeda, K.; Nitta, N.; Takahashi, M.; Tsujikawa, T.; Fujiyama, Y.; Murata, K.; Sakamoto, T. Cross-sectional Imaging in Crohn Disease. RadioGraphics 2004, 24, 689–702. [Google Scholar] [CrossRef]
- Violi, N.V.; Schoepfer, A.M.; Fournier, N.; Guiu, B.; Bize, P.; Denys, A.; for the Swiss Inflammatory Bowel Disease Cohort Study Group. Prevalence and Clinical Importance of Mesenteric Venous Thrombosis in the Swiss Inflammatory Bowel Disease Cohort. Am. J. Roentgenol. 2014, 203, 62–69. [Google Scholar] [CrossRef]
- Violi, N.V.; Fournier, N.; Duran, R.; Schmidt, S.; Bize, P.; Guiu, B.; Denys, A. Acute Mesenteric Vein Thrombosis: Factors Associated With Evolution to Chronic Mesenteric Vein Thrombosis. Am. J. Roentgenol. 2014, 203, 54–61. [Google Scholar] [CrossRef]
- Gecse, K.B.; Bemelman, W.; Kamm, M.A. A global consensus on the classification, diagnosis and multidisciplinary treatment of perianal fistulising Crohn’s disease. Gut 2014, 63, 1381–1392. [Google Scholar] [CrossRef] [Green Version]
- Bruining, D.H.; Siddiki, H.A.; Fletcher, J.G.; Tremaine, W.J.; Sandborn, W.J.; Loftus, E.V., Jr. Prevalence of penetrating disease and extraintestinal manifestations of Crohn’s disease detected with CT enterography. Inflamm. Bowel Dis. 2008, 14, 1701–1706. [Google Scholar] [CrossRef]
- Booya, F.; Akram, S.; Fletcher, J.G.; Huprich, J.E.; Johnson, C.D.; Fidler, J.L.; Barlow, J.M.; Solem, C.A.; Sandborn, W.J.; Loftus, E.V. CT enterography and fistulizing Crohn’s disease: Clinical benefit and radiographic findings. Gastrointest. Radiol. 2008, 34, 467–475. [Google Scholar] [CrossRef] [PubMed]
- Baker, M.E.; Fletcher, J.G.; Al-Hawary, M.; Bruining, D. Interdisciplinary Updates in Crohn’s Disease Reporting Nomenclature, and Cross-Sectional Disease Monitoring. Radiol. Clin. N. Am. 2018, 56, 691–707. [Google Scholar] [CrossRef] [PubMed]
- Parks, A.G.; Gordon, P.H.; Hardcastle, J.D. A classification of fistula-in-ano. Br. J. Surg. 1976, 63, 1–12. [Google Scholar] [CrossRef] [PubMed]
- Vogel, J.; Moreira, A.D.L.; Baker, M.; Hammel, J.; Einstein, D.; Stocchi, L.; Fazio, V. CT Enterography for Crohn’s Disease: Accurate Preoperative Diagnostic Imaging. Dis. Colon Rectum 2007, 50, 1761–1769. [Google Scholar] [CrossRef]
- Oto, A.; Schmid-Tannwald, C.; Agrawal, G.; Kayhan, A.; Lakadamyali, H.; Orrin, S.; Sethi, I.; Sammet, S.; Fan, X. Diffusion-weighted MR imaging of abdominopelvic abscesses. Emerg. Radiol. 2011, 18, 515–524. [Google Scholar] [CrossRef]
- Schmid-Tannwald, C.; Agrawal, G.; Dahi, F.; Sethi, I.; Oto, A. Diffusion-weighted MRI: Role in detecting abdominopelvic internal fistulas and sinus tracts. J. Magn. Reson. Imaging 2011, 35, 125–131. [Google Scholar] [CrossRef]
- Barat, M.; Hoeffel, C.; Bouquot, M.; Jannot, A.S.; Dautry, R.; Boudiaf, M.; Pautrat, K.; Kaci, R.; Camus, M.; Eveno, C.; et al. Preoperative evaluation of small bowel complications in Crohn’s disease: Comparison of diffusion-weighted and contrast-enhanced MR imaging. Eur. Radiol. 2018, 29, 2034–2044. [Google Scholar] [CrossRef]
- Sessa, B.; Galluzzo, M.; Ianniello, S.; Pinto, A.; Trinci, M.; Miele, V. Acute Perforated Diverticulitis: Assessment With Multidetector Computed Tomography. Semin. Ultrasound, CT MRI 2016, 37, 37–48. [Google Scholar] [CrossRef]
- Pinto, A.; Miele, V.; Schillirò, M.L.; Nasuto, M.; Chiaese, V.; Romano, L.; Guglielmi, G. Spectrum of Signs of Pneumoperitoneum. Semin. Ultrasound, CT MRI 2016, 37, 3–9. [Google Scholar] [CrossRef]
- Latella, G.; Sferra, R.; Speca, S.; Vetuschi, A.; Gaudio, E. Can we prevent, reduce or reverse intestinal fibrosis in IBD? Eur. Rev. Med. Pharmacol. Sci. 2013, 17, 1283–1304. [Google Scholar]
- Foti, P.; Travali, M.; Farina, R.; Palmucci, S.; Coronella, M.; Spatola, C.; Puzzo, L.; Garro, R.; Inserra, G.; Riguccio, G.; et al. Can Conventional and Diffusion-Weighted MR Enterography Biomarkers Differentiate Inflammatory from Fibrotic Strictures in Crohn’s Disease? Medicina 2021, 57, 265. [Google Scholar] [CrossRef] [PubMed]
- Tielbeek, J.A.W.; Ziech, M.L.W.; Li, Z.; Lavini, C.; Bipat, S.; Bemelman, W.A.; Roelofs, J.J.T.H.; Ponsioen, C.Y.; Vos, F.M.; Stoker, J. Evaluation of conventional, dynamic contrast enhanced and diffusion weighted MRI for quantitative Crohn’s disease assessment with histopathology of surgical specimens. Eur. Radiol. 2013, 24, 619–629. [Google Scholar] [CrossRef]
- Barkmeier, D.T.; Dillman, J.R.; Al-Hawary, M.; Heider, A.; Davenport, M.S.; Smith, E.A.; Adler, J. MR enterography–histology comparison in resected pediatric small bowel Crohn disease strictures: Can imaging predict fibrosis? Pediatr. Radiol. 2015, 46, 498–507. [Google Scholar] [CrossRef] [PubMed]
- Caruso, A.; Angriman, I.; Scarpa, M.; D’Incà, R.; Mescoli, C.; Rudatis, M.; Sturniolo, G.C.; Schifano, G.; Lacognata, C. Diffusion-weighted magnetic resonance for assessing fibrosis in Crohn’s disease. Abdom. Radiol. 2019, 45, 2327–2335. [Google Scholar] [CrossRef] [PubMed]













| Sequence | Orientation | TR (ms) | TE (ms) | 2D/3D | ST (mm) | FS |
|---|---|---|---|---|---|---|
| TRUFI T2-W BH | Coronal | 3.45 | 1.46 | 2D | 4 | without |
| TRUFI T2-W BH | Axial | 3.73 | 1.87 | 2D | 4 | without |
| TRUFI T2-W BH 20 measures (motility study) | Coronal | 3.57 | 1.79 | 2D | 10 | without |
| HASTE T2-W BH | Coronal | 600 | 87 | 2D | 5 | without |
| HASTE T2-W BH FS | Coronal | 500 | 87 | 2D | 5 | with (SPAIR) |
| HASTE T2-W BH | Axial | 500 | 87 | 2D | 5 | without |
| HASTE T2-W BH FS | Axial | 500 | 87 | 2D | 5 | with (SPAIR) |
| DWI ep2d diff 3 av (b values 0.600; 3 averages) | Axial | 2500 | 85 | 2D | 5 | with |
| VIBE T1-W FS precontrast | Axial | 3.24 | 1.1 | 3D | 3 | with (SPAIR) |
| VIBE T1-W FS postcontrast | Coronal | 3.24 | 1.1 | 3D | 3 | with (SPAIR) |
| VIBE T1-W FS postcontrast | Axial | 4.89 | 2.39 | 3D | 3 | with (SPAIR) |
| Imaging Findings Associated with Active CD Inflammation |
|---|
Segmental mural hyperenhancement
|
Wall thickening
|
| Intramural edema |
| Stricture |
| Ulcerations |
| Sacculations |
| Perienteric edema and/or inflammation |
| Engorged vasa recta |
| Fibrofatty proliferation |
| Mesenteric venous thrombosis and/or occlusion |
| Lymphadenopathy |
| Restricted diffusion |
| Diminished motility |
| Imaging findings associated with penetrating CD and complications |
| Sinus tract |
Fistula
|
| Inflammatory mass |
| Abscess |
| Free perforation |
Publisher’s Note: MDPI stays neutral with regard to jurisdictional claims in published maps and institutional affiliations. |
© 2022 by the authors. Licensee MDPI, Basel, Switzerland. This article is an open access article distributed under the terms and conditions of the Creative Commons Attribution (CC BY) license (https://creativecommons.org/licenses/by/4.0/).
Share and Cite
Biondi, M.; Bicci, E.; Danti, G.; Flammia, F.; Chiti, G.; Palumbo, P.; Bruno, F.; Borgheresi, A.; Grassi, R.; Grassi, F.; et al. The Role of Magnetic Resonance Enterography in Crohn’s Disease: A Review of Recent Literature. Diagnostics 2022, 12, 1236. https://doi.org/10.3390/diagnostics12051236
Biondi M, Bicci E, Danti G, Flammia F, Chiti G, Palumbo P, Bruno F, Borgheresi A, Grassi R, Grassi F, et al. The Role of Magnetic Resonance Enterography in Crohn’s Disease: A Review of Recent Literature. Diagnostics. 2022; 12(5):1236. https://doi.org/10.3390/diagnostics12051236
Chicago/Turabian StyleBiondi, Marysol, Eleonora Bicci, Ginevra Danti, Federica Flammia, Giuditta Chiti, Pierpaolo Palumbo, Federico Bruno, Alessandra Borgheresi, Roberta Grassi, Francesca Grassi, and et al. 2022. "The Role of Magnetic Resonance Enterography in Crohn’s Disease: A Review of Recent Literature" Diagnostics 12, no. 5: 1236. https://doi.org/10.3390/diagnostics12051236
APA StyleBiondi, M., Bicci, E., Danti, G., Flammia, F., Chiti, G., Palumbo, P., Bruno, F., Borgheresi, A., Grassi, R., Grassi, F., Fusco, R., Granata, V., Giovagnoni, A., Barile, A., & Miele, V. (2022). The Role of Magnetic Resonance Enterography in Crohn’s Disease: A Review of Recent Literature. Diagnostics, 12(5), 1236. https://doi.org/10.3390/diagnostics12051236

