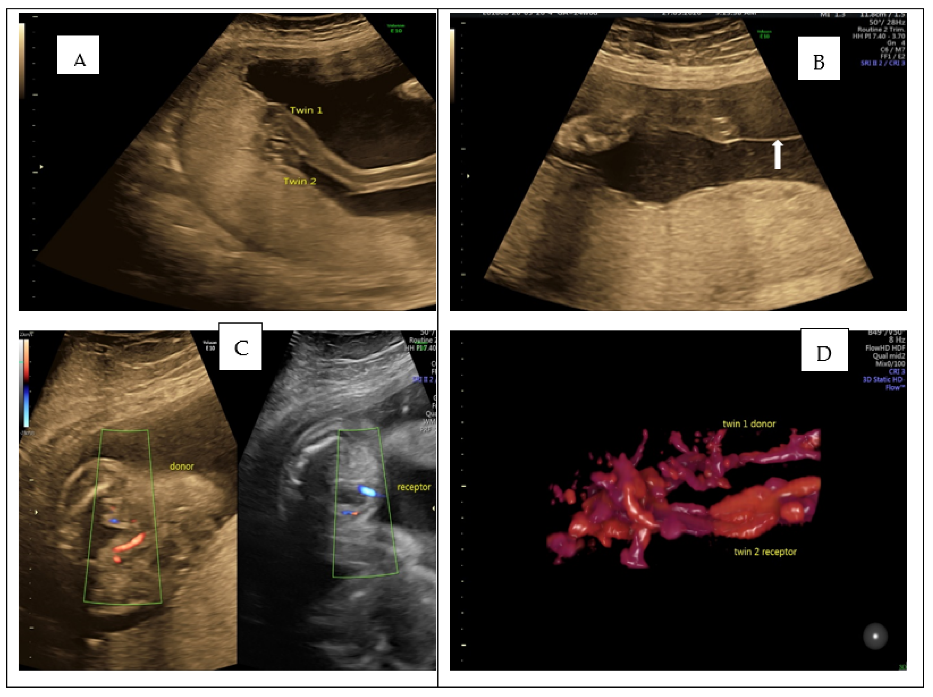
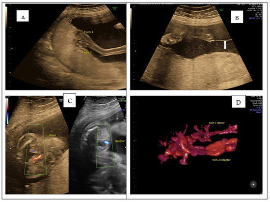
Monochorionic Diamniotic Twins with Bordering Cord Insertions: Images and Outcome
Abstract
:
Author Contributions
Funding
Institutional Review Board Statement
Informed Consent Statement
Data Availability Statement
Conflicts of Interest
Reference
- Khalil, A.; Rodgers, M.; Baschat, A.; Bhide, A.; Gratacos, E.; Hecher, K.; Kilby, M.D.; Lewi, L.; Nicolaides, K.H.; Oepkes, D.; et al. ISUOG Practice Guidelines: Role of ultrasound in twin pregnancy. Ultrasound Obstet. Gynecol. 2016, 47, 247–263. [Google Scholar] [CrossRef] [PubMed] [Green Version]
Publisher’s Note: MDPI stays neutral with regard to jurisdictional claims in published maps and institutional affiliations. |
© 2022 by the authors. Licensee MDPI, Basel, Switzerland. This article is an open access article distributed under the terms and conditions of the Creative Commons Attribution (CC BY) license (https://creativecommons.org/licenses/by/4.0/).
Share and Cite
Pop, L.G.; Piron, M.; Radoi, V.; Bacalbasa, N.; Toader, O.D. Monochorionic Diamniotic Twins with Bordering Cord Insertions: Images and Outcome. Diagnostics 2022, 12, 985. https://doi.org/10.3390/diagnostics12040985
Pop LG, Piron M, Radoi V, Bacalbasa N, Toader OD. Monochorionic Diamniotic Twins with Bordering Cord Insertions: Images and Outcome. Diagnostics. 2022; 12(4):985. https://doi.org/10.3390/diagnostics12040985
Chicago/Turabian StylePop, Lucian G., Madalina Piron, Viorica Radoi, Nicolae Bacalbasa, and Oana D. Toader. 2022. "Monochorionic Diamniotic Twins with Bordering Cord Insertions: Images and Outcome" Diagnostics 12, no. 4: 985. https://doi.org/10.3390/diagnostics12040985
APA StylePop, L. G., Piron, M., Radoi, V., Bacalbasa, N., & Toader, O. D. (2022). Monochorionic Diamniotic Twins with Bordering Cord Insertions: Images and Outcome. Diagnostics, 12(4), 985. https://doi.org/10.3390/diagnostics12040985

