MR Imaging of Pediatric Brain Tumors
Abstract
:1. Introduction
2. Imaging Techniques
2.1. Advanced Techniques
2.2. Spine Imaging
2.3. Post-Operative and Surveillance Imaging
3. Conventional and Advanced Imaging Features of Major Tumor Types
3.1. Embryonal Tumors
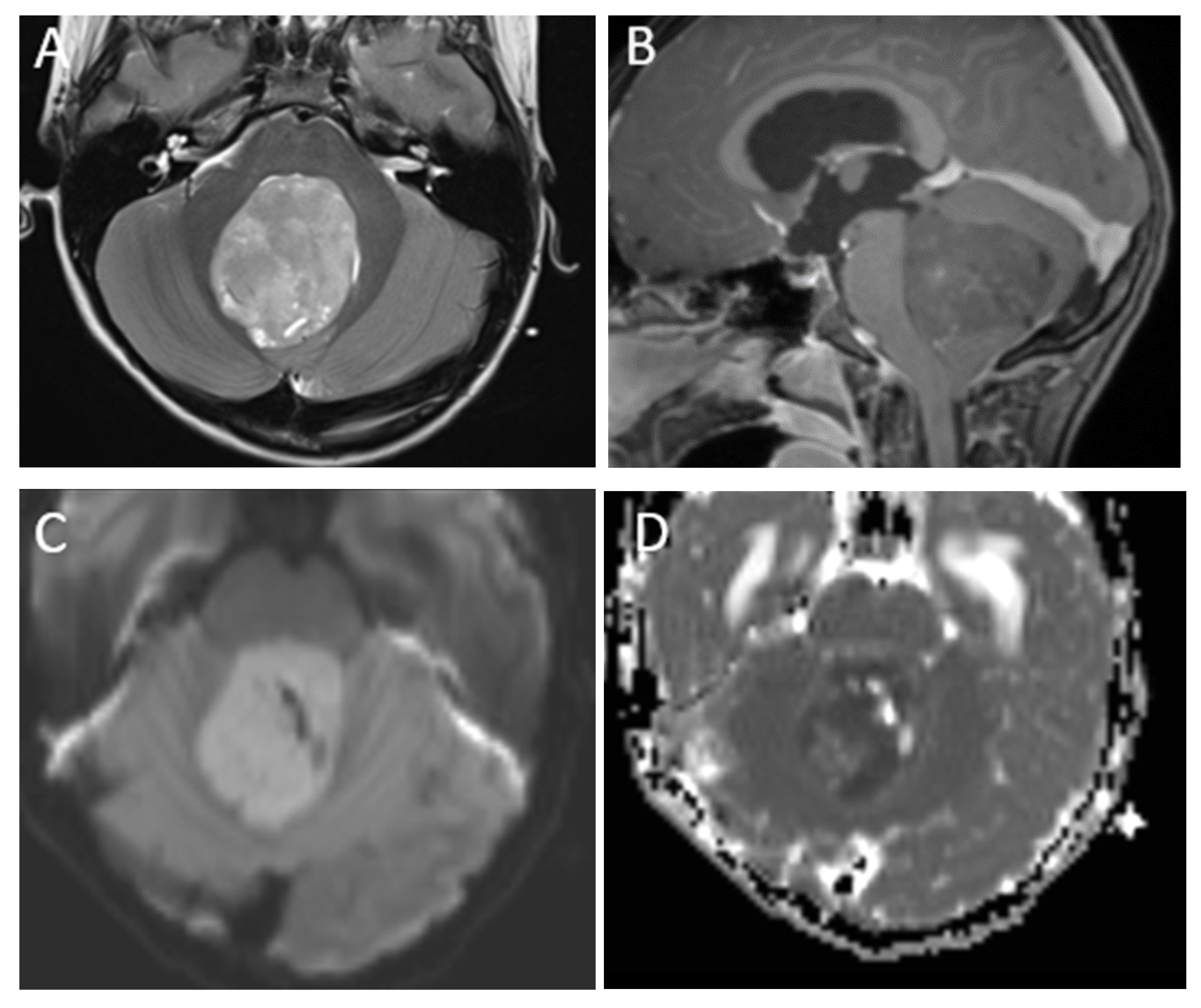
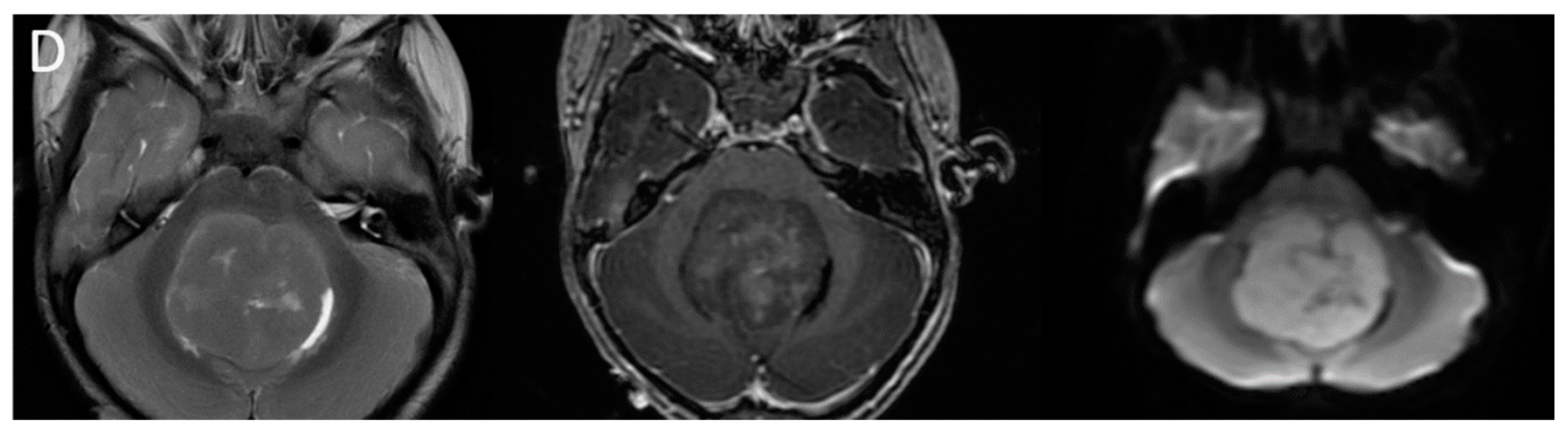
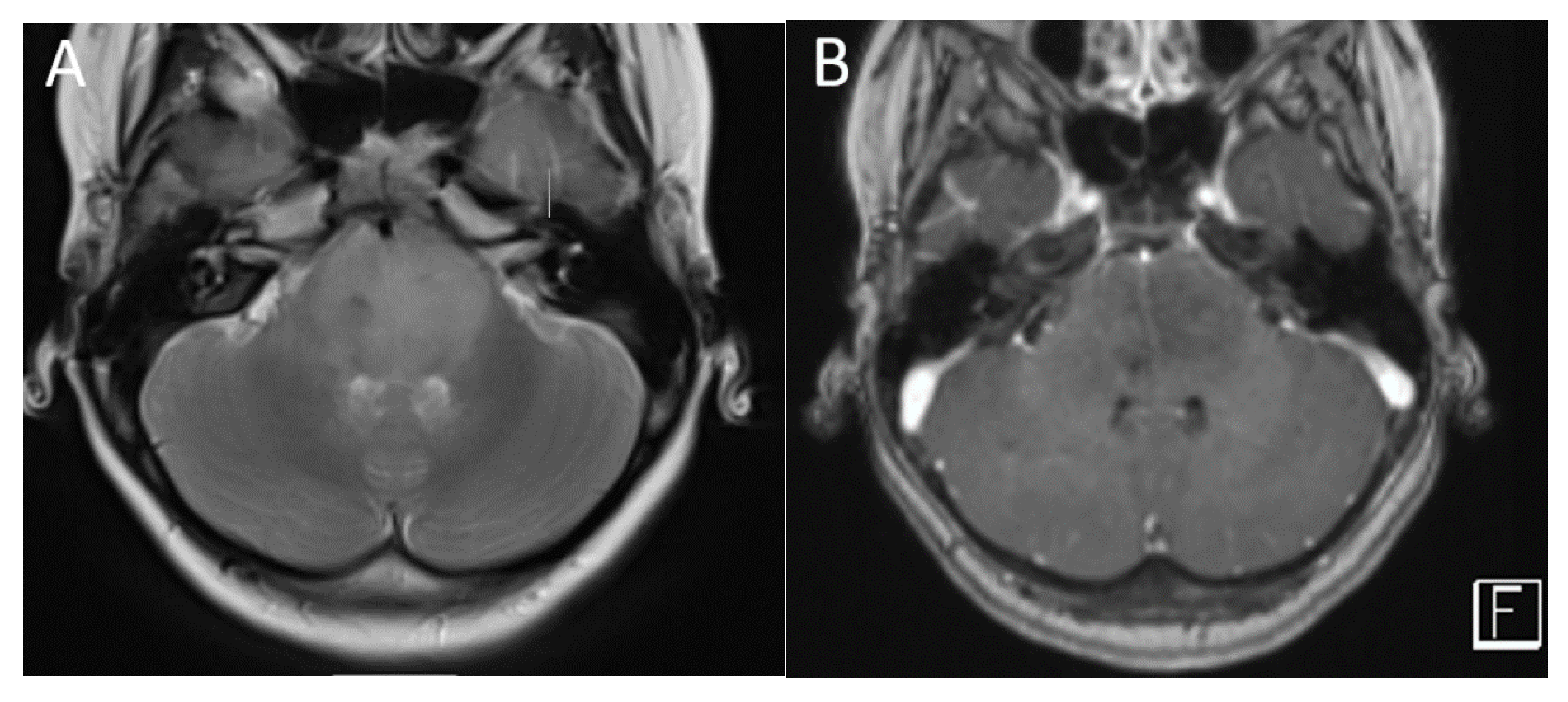
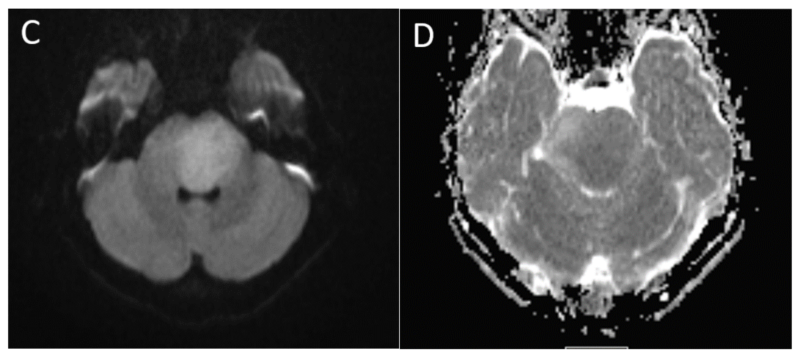
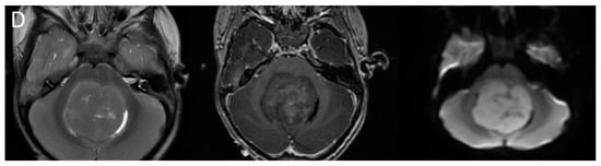
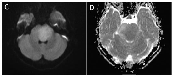
3.2. Medulloblastoma
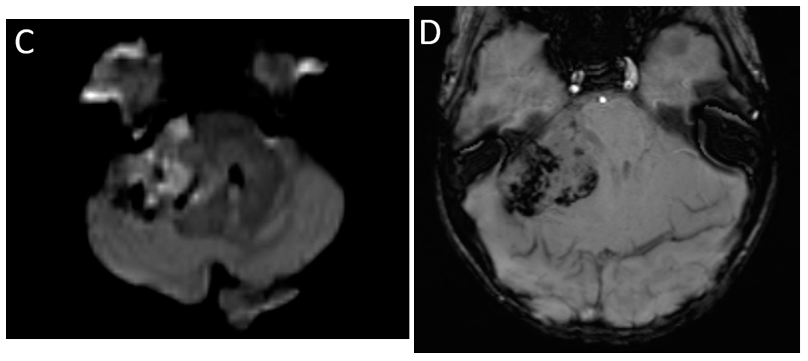
3.3. Atypical Teratoid/Rhabdoid Tumors
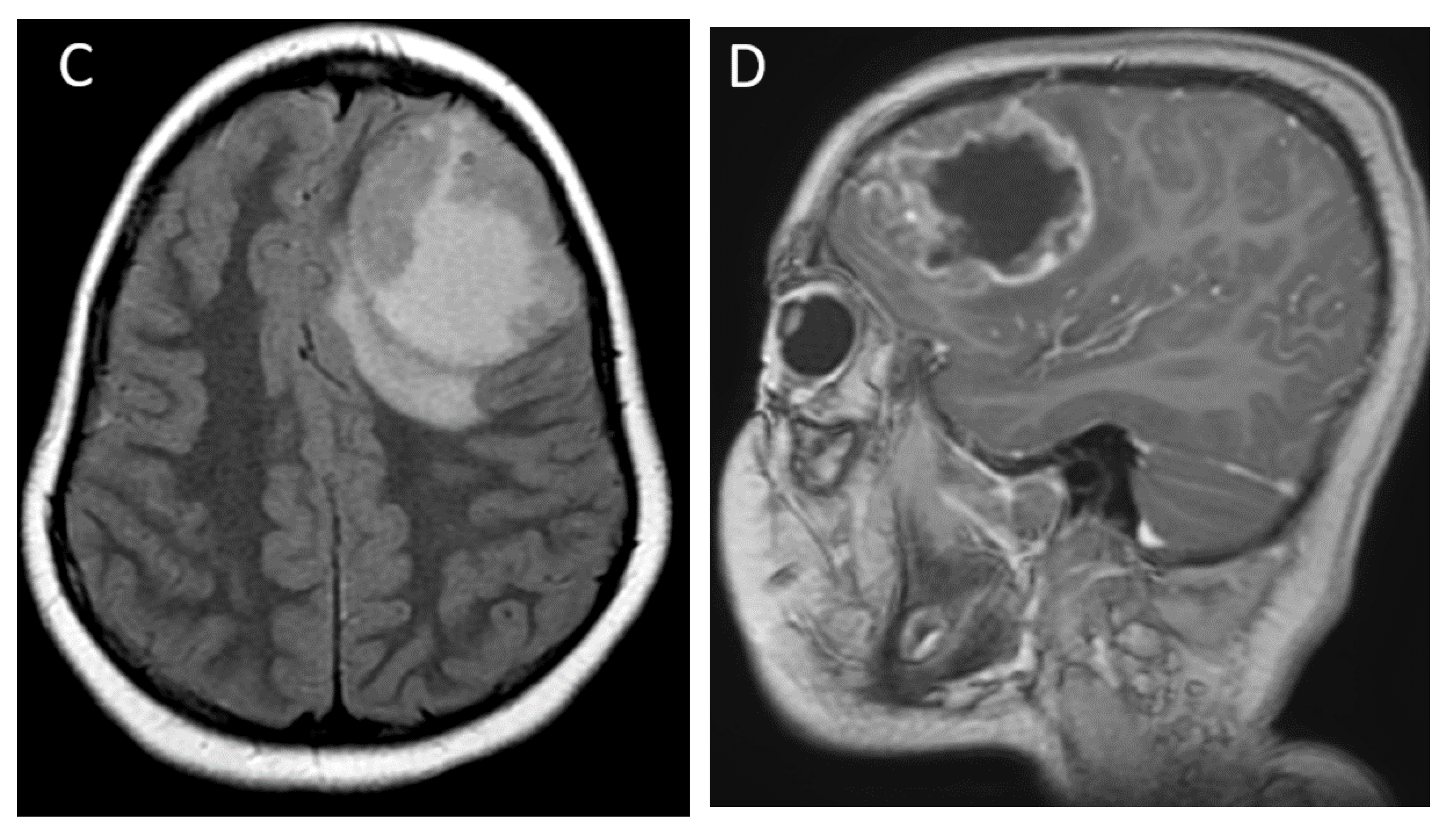
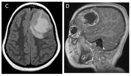
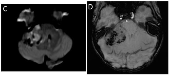
3.4. Supratentorial Embryonal Tumors
3.5. Pediatric Gliomas
3.6. Pediatric-Type Diffuse High-Grade Gliomas
3.6.1. Diffuse Midline Glioma
3.6.2. Non-Midline Diffuse High-Grade Gliomas
3.7. Pediatric-Type Diffuse Low-Grade Gliomas
3.8. Circumscribed Astrocytic Gliomas
3.9. Ependymoma
3.9.1. Infratentorial Ependymomas
3.9.2. Supratentorial Ependymomas
3.10. Glioneuronal and Neuronal Tumors
3.11. Choroid Plexus Tumors
3.12. Pineal Region Tumors
4. Conclusions
Author Contributions
Funding
Conflicts of Interest
References
- Ostrom, Q.T.; Cioffi, G.; Gittleman, H.; Patil, N.; Waite, K.; Kruchko, C.; Barnholtz-Sloan, J.S. CBTRUS Statistical Report: Primary Brain and Other Central Nervous System Tumors Diagnosed in the United States in 2012–2016. Neuro Oncol. 2019, 21 (Suppl. S5), v1–v100. [Google Scholar] [CrossRef] [PubMed]
- Fahmideh, M.A.; Scheurer, M.E. Pediatric Brain Tumors: Descriptive Epidemiology, Risk Factors, and Future Directions. Cancer Epidemiol. Biomark. Prev. 2021, 30, 813–821. [Google Scholar] [CrossRef] [PubMed]
- Louis, D.N.; Perry, A.; Wesseling, P.; Brat, D.J.; Cree, I.A.; Figarella-Brager, D.; Hawkins, C.; Ng, H.K.; Pfister, S.M.; Reinfenberger, G.; et al. The 2021 WHO Classification of Tumors of the Central Nervous System: A summary. Neuro Oncol. 2021, 23, 1231–1251. [Google Scholar] [CrossRef] [PubMed]
- Cooney, T.M.; Cohen, K.J.; Guimaraes, C.V.; Dhall, G.; Leach, J.; Massimino, M.; Erbetta, A.; Chiapparini, L.; Malbari, F.; Kramer, K.; et al. Response assessment in diffuse intrinsic pontine glioma: Recommendations from the Response Assessment in Pediatric Neuro-Oncology (RAPNO) working group. Lancet Oncol. 2020, 21, e330–e336. [Google Scholar] [CrossRef]
- Erker, C.; Tamrazi, B.; Poussaint, T.Y.; Mueller, S.; Mata-Mbemba, D.; Franceschi, E.; Brandes, A.A.; Rao, A.; Haworth, K.B.; Wen, P.Y.; et al. Response assessment in paediatric high-grade glioma: Recommendations from the Response Assessment in Pediatric Neuro-Oncology (RAPNO) working group. Lancet Oncol. 2020, 21, e317–e329. [Google Scholar] [CrossRef]
- Fangusaro, J.; Witt, O.; Driever, P.H.; Bag, A.K.; de Blank, P.; Kadom, N.; Kilburn, L.; Lober, R.M.; Robison, N.J.; Fisher, M.J.; et al. Response assessment in paediatric low-grade glioma: Recommendations from the Response Assessment in Pediatric Neuro-Oncology (RAPNO) working group. Lancet Oncol. 2020, 21, e305–e316. [Google Scholar] [CrossRef]
- Warren, K.E.; Vezina, G.; Poussaint, T.Y.; Warmuth-Metz, M.; Chamberlain, M.C.; Packer, R.J.; Brandes, A.A.; Reiss, M.; Goldman, S.; Fisher, M.J.; et al. Response assessment in medulloblastoma and leptomeningeal seeding tumors: Recommendations from the Response Assessment in Pediatric Neuro-Oncology committee. Neuro Oncol. 2018, 20, 13–23. [Google Scholar] [CrossRef]
- Baehring, J.M.; Fulbright, R.K. Diffusion-weighted MRI in neuro-oncology. CNS Oncol. 2012, 1, 155–167. [Google Scholar] [CrossRef]
- Aboian, M.S.; Kline, C.N.; Li, Y.; Solomon, D.A.; Felton, E.; Banerjee, A.; Braunstein, S.E.; Mueller, S.; Dillon, W.P.; Cha, S. Early detection of recurrent medulloblastoma: The critical role of diffusion-weighted imaging. Neurooncol. Pract. 2018, 5, 234–240. [Google Scholar] [CrossRef]
- Tong, K.A.; Ashwal, S.; Obenaus, A.; Nickerson, J.P.; Kido, D.; Haacke, E.M. Susceptibility-weighted MR imaging: A review of clinical applications in children. Am. J. Neuroradiol. 2008, 29, 9–17. [Google Scholar] [CrossRef] [Green Version]
- Lequin, M.; Hendrikse, J. Advanced MR Imaging in Pediatric Brain Tumors, Clinical Applications. Neuroimaging Clin. N. Am. 2017, 27, 167–190. [Google Scholar] [CrossRef] [PubMed]
- Panigrahy, A.; Bluml, S. Neuroimaging of pediatric brain tumors: From basic to advanced magnetic resonance imaging (MRI). J. Child Neurol. 2009, 24, 1343–1365. [Google Scholar] [CrossRef] [PubMed]
- Panigrahy, A.; Krieger, M.; Gonzalez-Gomez, I.; Liu, X.; McComb, J.; Finlay, J.; Nelson, M.; Gilles, F.; Blüml, S. Quantitative short echo time 1H-MR spectroscopy of untreated pediatric brain tumors: Preoperative diagnosis and characterization. AJNR Am. J. Neuroradiol. 2006, 27, 560–572. [Google Scholar] [PubMed]
- Maheshwari, M. Pediatric Presurgical Functional MRI. Top Magn. Reson. Imaging 2019, 28, 197–204. [Google Scholar] [CrossRef] [PubMed]
- Buch, K.; Caruso, P.; Ebb, D.; Rincon, S. Balanced Steady-State Free Precession Sequence (CISS/FIESTA/3D Driven Equilibrium Radiofrequency Reset Pulse) Increases the Diagnostic Yield for Spinal Drop Metastases in Children with Brain Tumors. AJNR Am. J. Neuroradiol. 2018, 39, 1355–1361. [Google Scholar] [CrossRef] [Green Version]
- Hayes, L.L.; Jones, R.A.; Palasis, S.; Aguilera, D.; Porter, D.A. Drop metastases to the pediatric spine revealed with diffusion-weighted MR imaging. Pediatr. Radiol. 2012, 42, 1009–1013. [Google Scholar] [CrossRef]
- Shaw, D.W.; Weinberger, E.; Brewer, D.K.; Geyer, J.R.; Berger, M.S.; Blaser, S.I. Spinal subdural enhancement after suboccipital craniectomy. AJNR Am. J. Neuroradiol. 1996, 17, 1373–1377. [Google Scholar]
- Harreld, J.H.; Mohammed, N.; Goldsberry, G.; Li, X.; Li, Y.; Boop, F.; Patay, Z. Postoperative intraspinal subdural collections after pediatric posterior fossa tumor resection: Incidence, imaging, and clinical features. AJNR Am. J. Neuroradiol. 2015, 36, 993–999. [Google Scholar] [CrossRef] [Green Version]
- Razek, A.A.K.A.; Alksas, A.; Shehata, M.; AbdelKhalek, A.; Baky, K.A.; El-Baz, A.; Helmy, E. Clinical applications of artificial intelligence and radiomics in neuro-oncology imaging. Insights Imaging 2021, 12, 152. [Google Scholar] [CrossRef]
- Napel, S.; Mu, W.; Jardim-Perassi, B.V.; Aerts, H.; Gillies, R.J. Quantitative imaging of cancer in the postgenomic era: Radio(geno)mics, deep learning, and habitats. Cancer 2018, 124, 4633–4649. [Google Scholar] [CrossRef]
- Shaari, H.; Kevrić, J.; Jukić, S.; Bešić, L.; Jokić, D.; Ahmed, N.; Rajs, V. Deep Learning-Based Studies on Pediatric Brain Tumors Imaging: Narrative Review of Techniques and Challenges. Brain Sci. 2021, 11, 716. [Google Scholar] [CrossRef] [PubMed]
- Wang, L.L.; Leach, J.L.; Breneman, J.C.; McPherson, C.M.; Gaskill-Shipley, M.F. Critical role of imaging in the neurosurgical and radiotherapeutic management of brain tumors. Radiographics 2014, 34, 702–721. [Google Scholar] [CrossRef] [PubMed]
- Choudhri, A.F.; Siddiqui, A.; Klimo, P., Jr.; Boop, F.A. Intraoperative MRI in pediatric brain tumors. Pediatr. Radiol. 2015, 45 (Suppl. S3), S397–S405. [Google Scholar] [CrossRef] [PubMed]
- Day, E.L.; Scott, R.M. The utility of intraoperative MRI during pediatric brain tumor surgery: A single-surgeon case series. J. Neurosurg. Pediatr. 2019, 24, 577–583. [Google Scholar] [CrossRef]
- Lescher, S.; Schniewindt, S.; Jurcoane, A.; Senft, C.; Hattingen, E. Time window for postoperative reactive enhancement after resection of brain tumors: Less than 72 hours. Neurosurg. Focus 2014, 37, E3. [Google Scholar] [CrossRef]
- Plimpton, S.R.; Stence, N.; Hemenway, M.; Hankinson, T.C.; Foreman, N.; Liu, A.K. Cerebral radiation necrosis in pediatric patients. Pediatr. Hematol. Oncol. 2015, 32, 78–83. [Google Scholar] [CrossRef]
- Kralik, S.; Ho, C.; Finke, W.; Buchsbaum, J.; Haskins, C.; Shih, C.-S. Radiation Necrosis in Pediatric Patients with Brain Tumors Treated with Proton Radiotherapy. AJNR Am. J. Neuroradiol. 2015, 36, 1572–1578. [Google Scholar] [CrossRef] [Green Version]
- Trybula, S.J.; Youngblood, M.W.; Kemeny, H.R.; Clark, J.R.; Karras, C.L.; Hartsell, W.F.; Tomita, T. Radiation Induced Cavernomas in the Treatment of Pediatric Medulloblastoma: Comparative Study Between Proton and Photon Radiation Therapy. Front. Oncol. 2021, 11, 760691. [Google Scholar] [CrossRef]
- Tartaglione, T.; Izzo, G.; Alexandre, A.; Botto, A.; Di Lella, G.M.; Gaudino, S.; Caldarelli, M.; Colosimo, C. MRI findings of olivary degeneration after surgery for posterior fossa tumours in children: Incidence, time course and correlation with tumour grading. Radiol. Med. 2015, 120, 474–482. [Google Scholar] [CrossRef]
- Louis, D.N.; Perry, A.; Reifenberger, G.; Von Deimling, A.; Figarella-Branger, D.; Cavenee, W.K.; Ohgaki, H.; Wiestler, O.D.; Kleihues, P.; Ellison, D.W. The 2016 World Health Organization Classification of Tumors of the Central Nervous System: A summary. Acta Neuropathol. 2016, 131, 803–820. [Google Scholar] [CrossRef] [Green Version]
- Shih, R.Y.; Koeller, K.K. Embryonal Tumors of the Central Nervous System: From the Radiologic Pathology Archives. Radiographics 2018, 38, 525–541. [Google Scholar] [CrossRef] [PubMed] [Green Version]
- Pierce, T.T.; Provenzale, J.M. Evaluation of apparent diffusion coefficient thresholds for diagnosis of medulloblastoma using diffusion-weighted imaging. Neuroradiol. J. 2014, 27, 63–74. [Google Scholar] [CrossRef] [PubMed] [Green Version]
- Rumboldt, Z.; Camacho, D.L.; Lake, D.; Welsh, C.T.; Castillo, M. Apparent diffusion coefficients for differentiation of cerebellar tumors in children. AJNR Am. J. Neuroradiol. 2006, 27, 1362–1369. [Google Scholar] [PubMed]
- Koeller, K.K.; Rushing, E.J. From the archives of the AFIP: Medulloblastoma: A comprehensive review with radiologic-pathologic correlation. Radiographics 2003, 23, 1613–1637. [Google Scholar] [CrossRef] [PubMed]
- Brandao, L.A.; Poussaint, T.Y. Posterior Fossa Tumors. Neuroimaging Clin. N. Am. 2017, 27, 1–37. [Google Scholar] [CrossRef]
- Dangouloff-Ros, V.; Varlet, P.; Levy, R.; Beccaria, K.; Puget, S.; Dufour, C.; Boddaert, N. Imaging features of medulloblastoma: Conventional imaging, diffusion-weighted imaging, perfusion-weighted imaging, and spectroscopy: From general features to subtypes and characteristics. Neurochirurgie 2021, 67, 6–13. [Google Scholar] [CrossRef]
- Perreault, S.; Ramaswamy, V.; Achrol, A.; Chao, K.; Liu, T.; Shih, D.; Remke, M.; Schubert, S.; Bouffet, E.; Fisher, P.; et al. MRI surrogates for molecular subgroups of medulloblastoma. AJNR Am. J. Neuroradiol. 2014, 35, 1263–1269. [Google Scholar] [CrossRef] [Green Version]
- Patay, Z.; DeSain, L.A.; Hwang, S.N.; Coan, A.; Li, Y.; Ellison, D.W. MR Imaging Characteristics of Wingless-Type-Subgroup Pediatric Medulloblastoma. AJNR Am. J. Neuroradiol. 2015, 36, 2386–2393. [Google Scholar] [CrossRef] [Green Version]
- Iv, M.; Zhou, M.; Shpanskaya, K.; Perreault, S.; Wang, Z.; Tranvinh, E.; Lanzman, B.; Vajapeyam, S.; Vitanza, N.A.; Fisher, P.G.; et al. MR Imaging-Based Radiomic Signatures of Distinct Molecular Subgroups of Medulloblastoma. AJNR Am. J. Neuroradiol. 2019, 40, 154–161. [Google Scholar] [CrossRef]
- Chang, F.-C.; Wong, T.-T.; Wu, K.-S.; Lu, C.-F.; Weng, T.-W.; Liang, M.-L.; Wu, C.-C.; Guo, W.Y.; Chen, C.-Y.; Hsieh, K.L.-C. Magnetic resonance radiomics features and prognosticators in different molecular subtypes of pediatric Medulloblastoma. PLoS ONE 2021, 16, e0255500. [Google Scholar] [CrossRef]
- Yan, J.; Liu, L.; Wang, W.; Zhao, Y.; Li, K.K.-W.; Li, K.; Wang, L.; Yuan, B.; Geng, H.; Zhang, S.; et al. Radiomic Features from Multi-Parameter MRI Combined with Clinical Parameters Predict Molecular Subgroups in Patients with Medulloblastoma. Front. Oncol. 2020, 10, 558162. [Google Scholar] [CrossRef] [PubMed]
- Bluml, S.; Margol, A.S.; Sposto, R.; Kennedy, R.J.; Robinson, N.J.; Vali, M.; Hung, L.T.; Muthugounder, S.; Finlay, J.L.; Erdreich-Epstein, A.; et al. Molecular subgroups of medulloblastoma identification using noninvasive magnetic resonance spectroscopy. Neuro Oncol. 2016, 18, 126–131. [Google Scholar] [CrossRef] [PubMed] [Green Version]
- Burger, P.C.; Yu, I.T.; Tihan, T.; Friedman, H.S.; Strother, D.R.; Kepner, J.L.; Duffner, P.K.; Kun, L.E.; Perlman, E.J. Atypical teratoid/rhabdoid tumor of the central nervous system: A highly malignant tumor of infancy and childhood frequently mistaken for medulloblastoma: A Pediatric Oncology Group study. Am. J. Surg. Pathol. 1998, 9, 1083–1092. [Google Scholar] [CrossRef] [PubMed]
- Arslanoglu, A.; Aygun, N.; Tekhtani, D.; Aronson, L.; Cohen, K.; Burger, P.C.; Yousem, D.M. Imaging findings of CNS atypical teratoid/rhabdoid tumors. AJNR Am. J. Neuroradiol. 2004, 25, 476–480. [Google Scholar] [PubMed]
- Jin, B.; Feng, X.Y. MRI features of atypical teratoid/rhabdoid tumors in children. Pediatr. Radiol. 2013, 43, 1001–1008. [Google Scholar] [CrossRef]
- Zhang, M.; Wong, S.W.; Lummus, S.; Han, M.; Radmanesh, A.; Ahmadian, S.S.; Prolo, L.M.; Lai, H.; Eghbal, A.; Oztekin, O.; et al. Radiomic Phenotypes Distinguish Atypical Teratoid/Rhabdoid Tumors from Medulloblastoma. AJNR Am. J. Neuroradiol. 2021, 42, 1702–1708. [Google Scholar] [CrossRef]
- Hwang, E.I.; Kool, M.; Burger, P.C.; Capper, D.; Chavez, L.; Brabetz, S.; Williams-Hughes, C.; Billups, C.; Heier, L.; Jaju, A.; et al. Extensive Molecular and Clinical Heterogeneity in Patients with Histologically Diagnosed CNS-PNET Treated as a Single Entity: A Report from the Children’s Oncology Group Randomized ACNS0332 Trial. J. Clin. Oncol. 2018, 36, 3388–3395. [Google Scholar] [CrossRef]
- Sturm, D.; Orr, B.A.; Toprak, U.H.; Hovestadt, V.; Jones, D.T.; Capper, D.; Sill, M.; Buchhalter, I.; Northcott, P.A.; Leis, I.; et al. New Brain Tumor Entities Emerge from Molecular Classification of CNS-PNETs. Cell 2016, 164, 1060–1072. [Google Scholar] [CrossRef] [Green Version]
- Jaju, A.; Hwang, E.I.; Kool, M.; Capper, D.; Chavez, L.; Brabetz, S.; Billups, C.; Li, Y.; Foulado, M.; Packer, R.J.; et al. MRI Features of Histologically Diagnosed Supratentorial Primitive Neuroectodermal Tumors and Pineoblastomas in Correlation with Molecular Diagnoses and Outcomes: A Report from the Children’s Oncology Group ACNS0332 Trial. AJNR Am. J. Neuroradiol. 2019, 40, 1796–1803. [Google Scholar] [CrossRef] [PubMed]
- Zamora, C.; Huisman, T.A.; Izbudak, I. Supratentorial Tumors in Pediatric Patients. Neuroimaging Clin. N. Am. 2017, 27, 39–67. [Google Scholar] [CrossRef]
- Leach, J.L.; Roebker, J.; Schafer, A.; Baugh, J.; Chaney, B.; Fuller, C.; Fouladi, M.; Lane, A.; Doughman, R.; Drissi, R.; et al. MR imaging features of diffuse intrinsic pontine glioma and relationship to overall survival: Report from the International DIPG Registry. Neuro Oncol. 2020, 22, 1647–1657. [Google Scholar] [CrossRef] [PubMed]
- Williams, J.R.; Young, C.C.; Vitanza, N.A.; McGrath, M.; Feroze, A.H.; Browd, S.R.; Hauptman, J.S. Progress in diffuse intrinsic pontine glioma: Advocating for stereotactic biopsy in the standard of care. Neurosurg. Focus 2020, 48, E4. [Google Scholar] [CrossRef] [PubMed] [Green Version]
- Aboian, M.S.; Solomon, D.A.; Felton, E.; Mabray, M.; Villanueva-Meyer, J.E.; Mueller, S.; Cha, S. Imaging Characteristics of Pediatric Diffuse Midline Gliomas with Histone H3 K27M Mutation. AJNR Am. J. Neuroradiol. 2017, 38, 795–800. [Google Scholar] [CrossRef] [PubMed] [Green Version]
- Poussaint, T.Y.; Vajapeyam, S.; Ricci, K.I.; Panigrahy, A.; Kocak, M.; Kun, L.E.; Boyett, J.M.; Pollack, I.F.; Fouladi, M. Apparent diffusion coefficient histogram metrics correlate with survival in diffuse intrinsic pontine glioma: A report from the Pediatric Brain Tumor Consortium. Neuro Oncol. 2016, 18, 725–734. [Google Scholar] [CrossRef]
- Makepeace, L.; Scoggins, M.; Mitrea, B.; Li, Y.; Edwards, A.; Tinkle, C.; Hwang, S.; Gajjar, A.; Patay, Z. MRI Patterns of Extrapontine Lesion Extension in Diffuse Intrinsic Pontine Gliomas. AJNR Am. J. Neuroradiol. 2020, 41, 323–330. [Google Scholar] [CrossRef]
- Borja, M.J.; Plaza, M.J.; Altman, N.; Saigal, G. Conventional and advanced MRI features of pediatric intracranial tumors: Supratentorial tumors. AJR Am. J. Roentgenol. 2013, 200, W483–W503. [Google Scholar] [CrossRef]
- Ostrom, Q.T.; de Blank, P.M.; Kruchko, C.; Peterson, C.M.; Liao, P.; Finlay, J.L.; Stearns, D.S.; Wolff, J.E.; Wolinsky, Y.; Letterio, J.J.; et al. Alex’s Lemonade Stand Foundation Infant and Childhood Primary Brain and Central Nervous System Tumors Diagnosed in the United States in 2007–2011. Neuro Oncol. 2015, 16 (Suppl. S10), x1–x36. [Google Scholar] [CrossRef]
- AlRayahi, J.; Zapotocky, M.; Ramaswamy, V.; Hanagandi, P.; Branson, H.; Mubarak, W.; Raybaud, C.; Laughlin, S. Pediatric Brain Tumor Genetics: What Radiologists Need to Know. Radiographics 2018, 38, 2102–2122. [Google Scholar] [CrossRef] [Green Version]
- Koeller, K.K.; Rushing, E.J. From the archives of the AFIP: Pilocytic astrocytoma: Radiologic-pathologic correlation. Radiographics 2004, 24, 1693–1708. [Google Scholar] [CrossRef]
- Koral, K.; Alford, R.; Choudhury, N.; Mossa-Basha, M.; Gargan, L.; Gimi, B.; Gao, A.; Zhang, S.; Bowers, D.; Koral, K.M.; et al. Applicability of apparent diffusion coefficient ratios in preoperative diagnosis of common pediatric cerebellar tumors across two institutions. Neuroradiology 2014, 56, 781–788. [Google Scholar] [CrossRef]
- Plaza, M.J.; Borja, M.J.; Altman, N.; Saigal, G. Conventional and advanced MRI features of pediatric intracranial tumors: Posterior fossa and suprasellar tumors. AJR Am. J. Roentgenol. 2013, 200, 1115–1124. [Google Scholar] [CrossRef] [PubMed]
- Villanueva, K.G.; Rea, N.D.; Krieger, M.D. Novel Surgical and Radiologic Risk Factors for Progression or Recurrence of Pediatric Pilocytic Astrocytoma. Pediatr. Neurosurg. 2019, 54, 375–385. [Google Scholar] [CrossRef] [PubMed]
- Chourmouzi, D.; Papadopoulou, E.; Konstantinidis, M.; Syrris, V.; Kouskouras, K.; Haritanti, A.; Karkavelas, G.; Drevelegas, A. Manifestations of pilocytic astrocytoma: A pictorial review. Insights Imaging 2014, 5, 387–402. [Google Scholar] [CrossRef] [Green Version]
- Maloney, E.; Stanescu, A.L.; Perez, F.A.; Iyer, R.S.; Otto, R.K.; Leary, S.; Steuten, L.; Phipps, A.I.; Shaw, D.W.W. Surveillance magnetic resonance imaging for isolated optic pathway gliomas: Is gadolinium necessary? Pediatr. Radiol. 2018, 48, 1472–1484. [Google Scholar] [CrossRef] [PubMed]
- Malbari, F.; Chintagumpala, M.M.; Wood, A.C.; Levy, A.S.; Su, J.M.; Okcu, M.F.; Lin, F.Y.; Lindsay, H.; Rednam, S.P.; Baxter, P.A.; et al. Gadolinium is not necessary for surveillance MR imaging in children with chiasmatic-hypothalamic low-grade glioma. Pediatr. Blood Cancer 2021, 68, e29178. [Google Scholar] [CrossRef]
- Perkins, S.M.; Mitra, N.; Fei, W.; Shinohara, E.T. Patterns of care and outcomes of patients with pleomorphic xanthoastrocytoma: A SEER analysis. J. Neurooncol. 2012, 110, 99–104. [Google Scholar] [CrossRef]
- Moore, W.; Mathis, D.; Gargan, L.; Bowers, D.; Klesse, L.; Margraf, L.; Koral, K. Pleomorphic xanthoastrocytoma of childhood: MR imaging and diffusion MR imaging features. AJNR Am. J. Neuroradiol. 2014, 35, 2192–2196. [Google Scholar] [CrossRef] [Green Version]
- Yu, S.; He, L.; Zhuang, X.; Luo, B. Pleomorphic xanthoastrocytoma: MR imaging findings in 19 patients. Acta Radiol. 2011, 52, 223–228. [Google Scholar] [CrossRef]
- Yuh, E.L.; Barkovich, A.J.; Gupta, N. Imaging of ependymomas: MRI and CT. Childs Nerv. Syst. 2009, 25, 1203–1213. [Google Scholar] [CrossRef] [Green Version]
- Schneider, J.; Confort-Gouny, S.; Viola, A.; Le Fur, Y.; Viout, P.; Bennathan, M.; Chapon, F.; Figarella-Branger, D.; Cozzone, P.; Girard, N. Multiparametric differentiation of posterior fossa tumors in children using diffusion-weighted imaging and short echo-time 1H-MR spectroscopy. J. Magn. Reson. Imaging 2007, 26, 1390–1398. [Google Scholar] [CrossRef]
- Manias, K.A.; Harris, L.M.; Davies, N.; Natarajan, K.; MacPherson, L.; Foster, K.; Brundler, M.-A.; Hargrave, D.; Payne, G.S.; Leach, M.O.; et al. Prospective multicentre evaluation and refinement of an analysis tool for magnetic resonance spectroscopy of childhood cerebellar tumours. Pediatr. Radiol. 2018, 48, 1630–1641. [Google Scholar] [CrossRef] [PubMed] [Green Version]
- Benesch, M.; Mynarek, M.; Witt, H.; Warmuth-Metz, M.; Pietsch, T.; Bison, B.; Pfister, S.M.; Pajtler, K.W.; Kool, M.; Schüller, U.; et al. Newly Diagnosed Metastatic Intracranial Ependymoma in Children: Frequency, Molecular Characteristics, Treatment, and Outcome in the Prospective HIT Series. Oncologist 2019, 24, e921–e929. [Google Scholar] [CrossRef] [Green Version]
- Santosh, V.; Mangalore, S.; Aryan, S.; Prasad, C. Imaging characteristics of supratentorial ependymomas: Study on a large single institutional cohort with histopathological correlation. Asian J. Neurosurg. 2015, 10, 276–281. [Google Scholar] [CrossRef] [PubMed] [Green Version]
- Fernandez, C.; Girard, N.; Paredes, A.P.; Bouvier-Labit, C.; Lena, G.; Figarella-Branger, D. The usefulness of MR imaging in the diagnosis of dysembryoplastic neuroepithelial tumor in children: A study of 14 cases. AJNR Am. J. Neuroradiol. 2003, 24, 829–834. [Google Scholar] [PubMed]
- Ogiwara, H.; Dipatri, A.J., Jr.; Alden, T.D.; Bowman, R.M.; Tomita, T. Choroid plexus tumors in pediatric patients. Br. J. Neurosurg. 2012, 26, 32–37. [Google Scholar] [CrossRef] [PubMed]
- Lin, H.; Leng, X.; Qin, C.H.; Du, Y.X.; Wang, W.S.; Qiu, S.J. Choroid plexus tumours on MRI: Similarities and distinctions in different grades. Cancer Imaging 2019, 19, 17. [Google Scholar] [CrossRef] [PubMed] [Green Version]
- Tamrazi, B.; Nelson, M.; Bluml, S. Pineal Region Masses in Pediatric Patients. Neuroimaging Clin. N. Am. 2017, 27, 85–97. [Google Scholar] [CrossRef] [PubMed]
- Dumrongpisutikul, N.; Intrapiromkul, J.; Yousem, D.M. Distinguishing between germinomas and pineal cell tumors on MR imaging. AJNR Am. J. Neuroradiol. 2012, 33, 550–555. [Google Scholar] [CrossRef] [Green Version]


















| Tumor Type | Common Location | Key MRI Features |
|---|---|---|
| Medulloblastoma | Exclusively posterior fossa Most commonly in fourth ventricle/cerebellar vermis (non-WNT, non-SHH, or WNT), can involve cerebellopontine angle (WNT) or cerebellar hemispheres with extra-axial extension (SHH) | Diffusion restricting Variable enhancement Cystic/necrotic change may be present Calcifications uncommon Taurine peak characteristic |
| Atypical teratoid/rhabdoid tumor | Posterior fossa (slightly more common) or cerebral hemispheres May be extra-axial | Diffusion restricting Enhancement usually present More heterogenous than medulloblastomas, with cysts/necrosis, calcification, and hemorrhage |
| Supratentorial embryonal | Cerebral hemispheres or deep nuclei, rarely intraventricular | Large tumor Diffusion restricting solid components Variable cysts/necrosis and hemorrhage |
| Tumor Type | Common Location | Key MRI Features |
|---|---|---|
| Diffuse high-grade gliomas | ||
| Diffuse midline glioma (H3K27 altered) | Ventral pons and thalami | Expansile, ill-defined mass No diffusion restriction Usually, non-enhancing at presentation Encasement of basilar artery without narrowing |
| Supratentorial high-grade glioma (H3 G34 mutant or H3 wild-type) | Hemispheric or deep nuclei; most common in frontal and parietal lobes | Large, circumscribed tumor Diffusion restricting solid components Variable cysts/necrosis and hemorrhage |
| Circumscribed gliomas | ||
| Pilocytic astrocytoma | Cerebellum (most common), brainstem, optic chiasm/hypothalamus | Most commonly, cyst with enhancing mural nodule although cystic component can be variable, and may be completely solid |
| Ependymoma | ||
| Posterior fossa ependymoma | Fourth ventricle (PFB) or cerebellopontine angle (PFA) | Heterogeneous mass Calcifications common Intermediate diffusion (between medulloblastoma and pilocytic astrocytoma) Usually enhancing High myo-inositol on MRS |
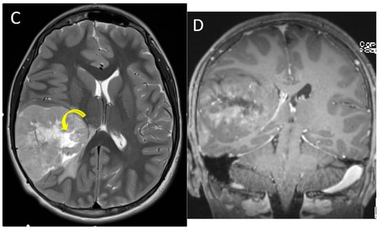
| Supratentorial ependymoma | Frontal or parietal parenchyma | Large mass with necrosis Central chunky calcifications Diffusion restriction in two-thirds |
| Neuronal and glioneuronal tumors | ||
| Ganglioglioma | Temporal lobe | Variable, although commonly cystic with enhancing mural nodule No diffusion restriction |
| Dysembryoplastic neuroepithelial tumor (DNET) | Frontal or temporal lobes, cortically based | Well-circumscribed, triangular configuration, ‘bubbly’ appearance Absent or minimal enhancement May be associated with cortical dysplasia Scalloping of the overlying calvarium |
| Tumor Type | Common Location | Key MRI Features |
|---|---|---|
| Pineal region tumors | ||
| Pineoblastoma | Pineal region | Heterogenous, ‘explode’ pineal calcification Diffusion restricting Enhancement variable |
| Germ cell tumor | Pineal and/or suprasellar region | Heterogenous, usually calcified, ‘engulf’ pineal calcification Diffusion restricting Enhancement usually present |
| Choroid plexus tumors | ||
| Choroid plexus papilloma | Lateral ventricle followed by fourth ventricle | Lobular or papillary lesions Diffuse enhancement No diffusion restriction High myo-inositol, low creatine, moderate choline on MRS |
| Choroid plexus carcinoma | Lateral ventricle | More heterogenous than papillomas Parenchymal invasion/edema May have diffusion restriction Moderate myo-inositol and high choline on MRS |
Publisher’s Note: MDPI stays neutral with regard to jurisdictional claims in published maps and institutional affiliations. |
© 2022 by the authors. Licensee MDPI, Basel, Switzerland. This article is an open access article distributed under the terms and conditions of the Creative Commons Attribution (CC BY) license (https://creativecommons.org/licenses/by/4.0/).
Share and Cite
Jaju, A.; Yeom, K.W.; Ryan, M.E. MR Imaging of Pediatric Brain Tumors. Diagnostics 2022, 12, 961. https://doi.org/10.3390/diagnostics12040961
Jaju A, Yeom KW, Ryan ME. MR Imaging of Pediatric Brain Tumors. Diagnostics. 2022; 12(4):961. https://doi.org/10.3390/diagnostics12040961
Chicago/Turabian StyleJaju, Alok, Kristen W. Yeom, and Maura E. Ryan. 2022. "MR Imaging of Pediatric Brain Tumors" Diagnostics 12, no. 4: 961. https://doi.org/10.3390/diagnostics12040961
APA StyleJaju, A., Yeom, K. W., & Ryan, M. E. (2022). MR Imaging of Pediatric Brain Tumors. Diagnostics, 12(4), 961. https://doi.org/10.3390/diagnostics12040961

