A Rapid RT-LAMP Assay for SARS-CoV-2 with Colorimetric Detection Assisted by a Mobile Application
Abstract
:1. Introduction
2. Materials and Methods
2.1. Origin of Samples
2.2. Real-Time RT-PCR
2.3. Primers and Initial Conditions for LAMP
2.4. Mobile-Assisted Visualization
2.5. Optimization to Avoid RNA Purification
2.6. Rapid LAMP Strategy
2.7. Detection Limit of the Rapid Assay
2.8. Cross-Reactivity
2.9. Performance of the Rapid LAMP Assay
3. Results
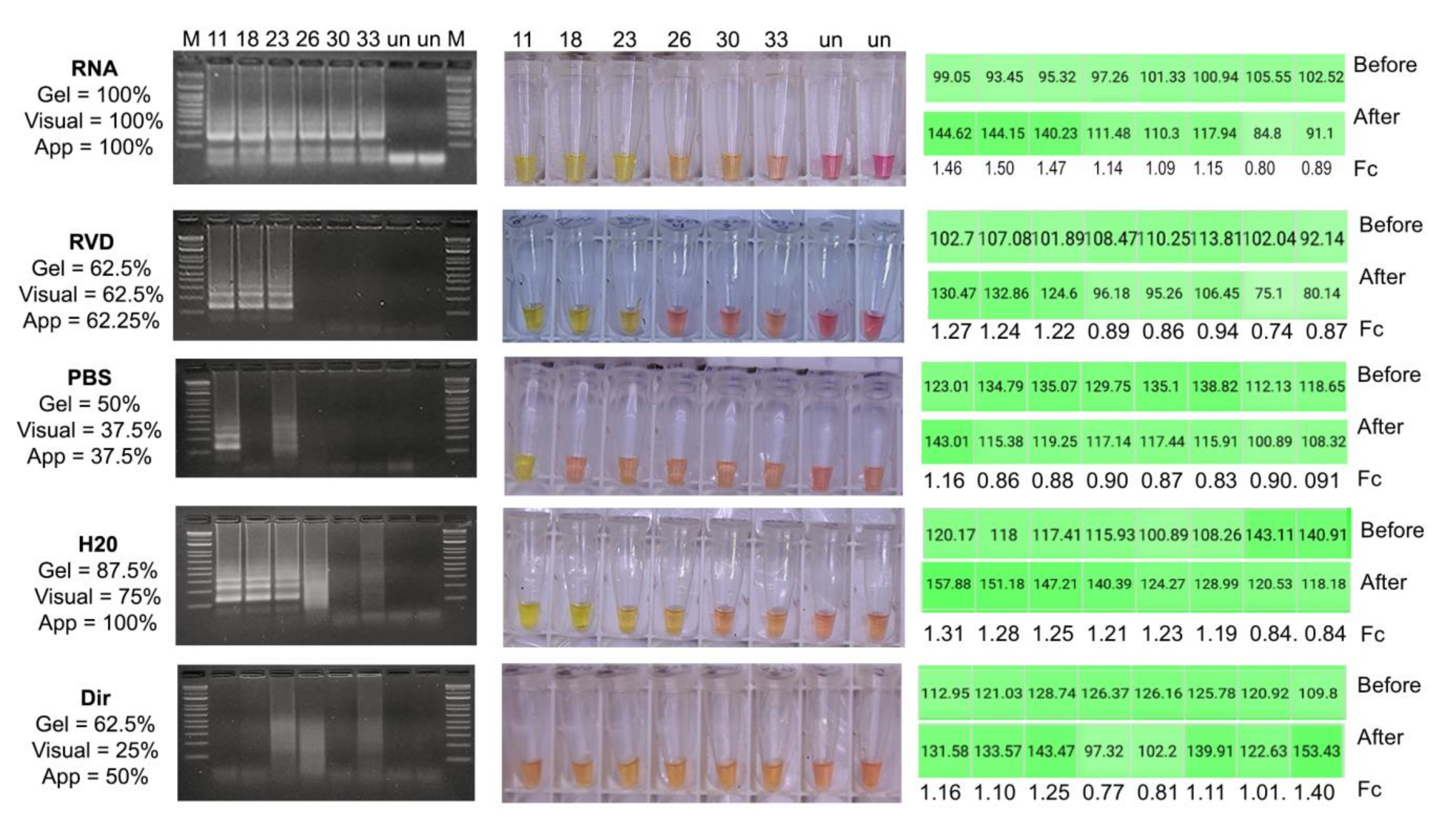
3.1. Setting Up the Conditions
3.2. Detection Limit of a Selected Strategy
3.3. Cross-Reactivity
3.4. Performance of the Visual Approach
3.5. Performance of Assay with Mobile Application
4. Discussion
5. Conclusions
Supplementary Materials
Author Contributions
Funding
Institutional Review Board Statement
Informed Consent Statement
Acknowledgments
Conflicts of Interest
References
- Cucinotta, D.; Vanelli, M. WHO Declares COVID-19 a Pandemic. Acta Biomed. 2020, 91, 157–160. [Google Scholar] [CrossRef] [PubMed]
- Thompson, D.; Lei, Y. 2020. Mini Review: Recent Progress in RT-LAMP Enabled COVID-19 Detection. Sens. Actuators Rep. 2020, 2, 100017. [Google Scholar] [CrossRef] [PubMed]
- Yang, Q.; Meyerson, N.R.; Clark, S.K.; Paige, C.L.; Fattor, W.T.; Gilchrist, A.R.; Barbachano-Guerrero, A.; Healy, B.G.; Worden-Sapper, E.R.; Wu, S.S.; et al. Saliva TwoStep for Rapid Detection of Asymptomatic SARS-CoV-2 Carriers. Elife 2021, 10, e65113. [Google Scholar] [CrossRef]
- Mautner, L.; Baillie, C.K.; Herold, H.M.; Volkwein, W.; Guertler, P.; Eberle, U.; Ackermann, N.; Sing, A.; Pavlovic, M.; Goerlich, O.; et al. Rapid Point-of-Care Detection of SARS-CoV-2 Using Reverse Transcription Loop-Mediated Isothermal Amplification (RT-LAMP). Virol. J. 2020, 17, 160. [Google Scholar] [CrossRef]
- Ali, Z.; Aman, R.; Mahas, A.; Rao, G.S.; Tehseen, M.; Marsic, T.; Mahfouz, M.M. iSCAN: An RT-LAMP-Coupled CRISPR-Cas12 Module for Rapid, Sensitive Detection of SARS-CoV-2. Virus Res. 2020, 288. [Google Scholar] [CrossRef]
- Schermer, B.; Fabretti, F.; Damagnez, M.; Di Cristanziano, V.; Heger, E.; Arjune, S.; Tanner, N.A.; Imhof, T.; Koch, M.; Ladha, A.; et al. Rapid SARS-CoV-2 Testing in Primary Material Based on a Novel Multiplex RT-LAMP Assay. PLoS ONE 2020, 15, e0238612. [Google Scholar] [CrossRef]
- Zhu, X.; Wang, X.; Han, L.; Chen, T.; Wang, L.; Li, H.; Li, S.; He, L.; Fu, X.; Chen, S.; et al. Multiplex Reverse Transcription Loop-Mediated Isothermal Amplification Combined with Nanoparticle-Based Lateral Flow Biosensor for the Diagnosis of COVID-19. Biosens. Bioelectron. 2020, 166, 112437. [Google Scholar] [CrossRef]
- Huang, W.E.; Lim, B.; Hsu, C.C.; Xiong, D.; Wu, W.; Yu, Y.; Jia, H.; Wang, Y.; Zeng, Y.; Ji, M.; et al. RT-LAMP for Rapid Diagnosis of Coronavirus SARS-CoV-2. Microb. Biotechnol. 2020, 13, 950–961. [Google Scholar] [CrossRef] [Green Version]
- Brandsma, E.; Verhagen, H.; van de Laar, T.; Claas, E.; Cornelissen, M.; van den Akker, E. Rapid, Sensitive and Specific SARS Coronavirus-2 Detection: A Multi-Center Comparison between Standard qRT-PCR and CRISPR Based DETECTR. J. Infect. Dis. 2020, 2, 206–213. [Google Scholar] [CrossRef]
- Wang, R.; Qian, C.; Pang, Y.; Li, M.; Yang, Y.; Ma, H.; Zhao, M.; Qian, F.; Yu, H.; Liu, Z.; et al. opvCRISPR: One-Pot Visual RT-LAMP-CRISPR Platform for SARS-cov-2 Detection. Biosens. Bioelectron. 2020, 172, 112766. [Google Scholar] [CrossRef]
- Hou, T.; Zeng, W.; Yang, M.; Chen, W.; Ren, L.; Ai, J.; Wu, J.; Liao, Y.; Gou, X.; Li, Y.; et al. Development and Evaluation of a Rapid CRISPR-Based Diagnostic for COVID-19. PLoS Pathog. 2020, 16, e1008705. [Google Scholar] [CrossRef] [PubMed]
- Broughton, J.P.; Deng, X.; Yu, G.; Fasching, C.L.; Singh, J.; Streithorst, J.; Granados, A.; Sotomayor-Gonzalez, A.; Zorn, K.; Gopez, A.; et al. Rapid Detection of 2019 Novel Coronavirus SARS-CoV-2 Using a CRISPR-Based DETECTR Lateral Flow Assay. medRxiv 2020. [Google Scholar] [CrossRef]
- Food and Drug Administration. In Vitro Diagnostics EUAs—Molecular Diagnostic Tests for SARS-CoV-2. Available online: https://www.fda.gov/medical-devices/coronavirus-disease-2019-covid-19-emergency-use-authorizations-medical-devices/vitro-diagnostics-euas#individual-molecular (accessed on 31 October 2021).
- European Center for Disease Prevention and Control. Diagnostic Testing and Screening for SARS-CoV-2. Available online: https://www.ecdc.europa.eu/en/novel-coronavirus/laboratory-support (accessed on 31 October 2021).
- Lalli, M.A.; Langmade, J.S.; Chen, X.; Fronick, C.C.; Sawyer, C.S.; Burcea, L.C.; Wilkinso, M.N.; Fulton, R.S.; Heinz, M.; Buchser, W.J.; et al. Rapid and Extraction-Free Detection of SARS-CoV-2 from Saliva by Colorimetric Reverse-Transcription Loop-Mediated Isothermal Amplification. Clin. Chem. 2021, 67, 415–424. [Google Scholar] [CrossRef]
- Österdahl, M.F.; Lee, K.A.; Lochlainn, M.N.; Wilson, S.; Douthwaite, S.; Horsfall, R.; Sheedy, A.; Goldenberg, S.D.; Stanley, C.J.; Spector, T.D.; et al. Detecting SARS-CoV-2 at Point of Care: Preliminary Data Comparing Loop-Mediated Isothermal Amplification (LAMP) to Polymerase Chain Reaction (PCR). BMC Infect. Dis. 2020, 20, 783. [Google Scholar] [CrossRef] [PubMed]
- Ganguli, A.; Mostafa, A.; Berger, J.; Aydin, M.Y.; Sun, F.; Stewart de Ramirez, S.A.; Bashir, R. Rapid Isothermal Amplification and Portable Detection System for SARS-CoV-2. Proc. Nat. Acad. Sci. USA 2020, 117, 22727–22735. [Google Scholar] [CrossRef] [PubMed]
- Kim, J.H.; Kang, M.; Park, E.; Chung, D.R.; Kim, J.; Hwang, E.S. A Simple and Multiplex Loop-Mediated Isothermal Amplification (LAMP) Assay for Rapid Detection of SARS-CoV. Biochip J. 2019, 13, 341–351. [Google Scholar] [CrossRef] [PubMed] [Green Version]
- Zhang, Y.; Ren, G.; Buss, J.; Barry, A.J.; Patton, G.C.; Tanner, N.A. Enhancing Colorimetric Loop-Mediated Isothermal Amplification Speed and Sensitivity with Guanidine Chloride. BioTechniques 2020, 69, 178–185. [Google Scholar] [CrossRef]
- Alekseenko, A.; Barrett, D.; Pareja-Sanchez, Y.; Howard, R.J.; Strandback, E.; Ampah-Korsah, H.; Rovšnik, U.; Zuniga-Veliz, S.; Klenov, A.; Malloo, J.; et al. Direct Detection of SARS-CoV-2 Using Non-Commercial RT-LAMP Reagents on Heat-Inactivated Samples. Sci. Rep. 2021, 11, 1820. [Google Scholar] [CrossRef]
- Varona, M.; Eitzmann, D.R.; Anderson, J.L. Sequence-Specific Detection of ORF1a, BRAF, and ompW DNA Sequences with Loop Mediated Isothermal Amplification on Lateral Flow Immunoassay Strips Enabled by Molecular Beacons. Anal. Chem. 2021, 93, 4149–4153. [Google Scholar] [CrossRef]
- Kitagawa, Y.; Orihara, Y.; Kawamura, R.; Imai, K.; Sakai, J.; Tarumoto, N.; Maeda, T. Evaluation of Rapid Diagnosis of Novel Coronavirus Disease (COVID-19) Using Loop-Mediated Isothermal Amplification. J. Clin. Virol. 2020, 129, 104446. [Google Scholar] [CrossRef]
- Lamb, L.E.; Bartolone, S.N.; Ward, E.; Chancellor, M.B. Rapid Detection of Novel Coronavirus/Severe Acute Respiratory Syndrome Coronavirus 2 (SARS-CoV-2) by Reverse Transcription-Loop-Mediated Isothermal Amplification. PLoS ONE 2020, 15, e0234682. [Google Scholar] [CrossRef]
- Lu, R.; Wu, X.; Wan, Z.; Li, Y.; Jin, X.; Zhang, C. A Novel Reverse Transcription Loop-Mediated Isothermal Amplification Method for Rapid Detection of Sars-Cov-2. Int. J. Mol. Sci. 2020, 21, 2826. [Google Scholar] [CrossRef] [PubMed] [Green Version]
- Baek, Y.H.; Um, J.; Antigua, K.; Park, J.H.; Kim, Y.; Oh, S.; Kim, Y.I.; Choi, W.S.; Kim, S.G.; Jeong, J.H.; et al. Development of a Reverse Transcription-Loop-Mediated Isothermal Amplification as a Rapid Early-Detection Method for Novel SARS-CoV-2. Emerg. Microb. Infect. 2020, 9, 998–1007. [Google Scholar] [CrossRef] [PubMed] [Green Version]
- Rohaim, M.A.; Clayton, E.; Sahin, I.; Vilela, J.; Khalifa, M.E.; Al-Natour, M.Q.; Munir, M. Artificial Intelligence-Assisted Loop Mediated Isothermal Amplification (AI-LAMP) for Rapid Detection of SARS-CoV-2. Viruses 2020, 12, 972. [Google Scholar] [CrossRef] [PubMed]
- Mohon, A.N.; Oberding, L.; Hundt, J.; van Marle, G.; Pabbaraju, K.; Berenger, B.M.; Lisboa, L.; Griener, T.; Czub, M.; Doolan, C.; et al. Optimization and Clinical Validation of Dual-Target RT-LAMP for SARS-CoV-2. J. Virol. Methods 2020, 286, 113972. [Google Scholar] [CrossRef]
- Rödel, J.; Egerer, R.; Suleyman, A.; Sommer-Schmid, B.; Baier, M.; Henke, A.; Löffler, B. Use of the variplextm SARS-CoV-2 RT-LAMP as a Rapid Molecular Assay to Complement RT-PCR for COVID-19 Diagnosis. J. Clin. Virol. 2020, 132, 104616. [Google Scholar] [CrossRef]
- Hu, X.; Deng, Q.; Li, J.; Chen, J.; Wang, Z.; Zhang, X.; Hou, T. Development and Clinical Application of a Rapid and Sensitive Loop-Mediated Isothermal Amplification Test for SARS-CoV-2 Infection. MSphere. 2020, 5, e00808–e00820. [Google Scholar] [CrossRef]
- Nagura-Ikeda, M.; Imai, K.; Tabata, S.; Miyoshi, K.; Murahara, N.; Mizuno, T.; Kato, Y. Clinical Evaluation of Self-Collected Saliva by Quantitative Reverse Transcription-PCR (RT-qPCR), Direct RT-qPCR, Reverse Transcription-Loop-Mediated Isothermal Amplification, and a Rapid Antigen Test to Diagnose COVID-19. J. Clin. Microbiol. 2020, 58, e01438-20. [Google Scholar] [CrossRef]
- Lee, J.Y.H.; Best, N.; McAuley, J.; Porter, J.L.; Seemann, T.; Schultz, M.B.; Stinear, T.P. Validation of a Single-Step, Single-Tube Reverse Transcription Loop-Mediated Isothermal Amplification Assay for Rapid Detection of SARS-CoV-2 RNA. J. Med. Microbiol. 2020, 69, 1169–1178. [Google Scholar] [CrossRef]
- Chow, F.W.N.; Chan, T.T.Y.; Tam, A.R.; Zhao, S.; Yao, W.; Fung, J.; Lau, S.K.P. A Rapid, Simple, Inexpensive, and Mobile Colorimetric Assay Covid-19-Lamp for Mass on-Site Screening of Covid-19. Int. J. Mol. Sci. 2020, 21, 5380. [Google Scholar] [CrossRef]
- Dao Thi, V.L.; Herbst, K.; Boerner, K.; Meurer, M.; Kremer, L.P.M.; Kirrmaier, D.; Anders, S. A Colorimetric RT-LAMP Assay and LAMP-Sequencing for Detecting SARS-CoV-2 RNA in Clinical Samples. Sci. Transl. Med. 2020, 556, eabc7075. [Google Scholar] [CrossRef] [PubMed]
- Parker, C.W.; Singh, N.; Tighe, S.; Blachowicz, A.; Wood, J.M.; Seuylemezian, A.; Vaishampayan, P.; Urbaniak, C.; Hendrickson, R.; Laaguiby, P.; et al. End-to-End Protocol for the Detection of SARS-CoV-2 from Built Environments. mSystems 2020, 5, e00771-20. [Google Scholar] [CrossRef] [PubMed]
- Eckel, F.; Küsters, F.; Drossel, B.; Konert, M.; Mattes, H.; Schopf, S. Variplex™ Test System Fails to Reliably Detect SARS-CoV-2 Directly from Respiratory Samples without RNA Extraction. Eur. J. Clin. Microbiol. Infect. Dis. 2020, 39, 2373–2377. [Google Scholar] [CrossRef] [PubMed]
- Yu, L.; Wu, S.; Hao, X.; Dong, X.; Mao, L.; Pelechano, V.; Chen, W.H.; Yin, X. Rapid Detection of COVID-19 Coronavirus Using a Reverse Transcriptional Loop-Mediated Isothermal Amplification (RT-LAMP) Diagnostic Platform. Clin. Chem. 2020, 66, 975–977. [Google Scholar] [CrossRef] [PubMed]
- Yang, Q.; Saldi, T.K.; Gonzales, P.K.; Lasda, E.; Decker, C.J.; Tat, K.L.; Fink, M.R.; Hager, C.R.; Davis, J.C.; Ozeroff, C.D.; et al. Just 2% of SARS-CoV-2-Positive Individuals Carry 90% of the Virus Circulating in Communities. Proc. Natl. Acad. Sci. USA 2021, 118, e2104547118. [Google Scholar] [CrossRef]
- Yan, C.; Cui, J.; Huang, L.; Du, B.; Chen, L.; Xue, G.; Yuan, J. Rapid and Visual Detection of 2019 Novel Coronavirus (SARS-CoV-2) by a Reverse Transcription Loop-Mediated Isothermal Amplification Assay. Clin. Microb. Infect. 2020, 26, 773–779. [Google Scholar] [CrossRef]
- Dong, Y.; Wu, X.; Li, S.; Lu, R.; Li, Y.; Wan, Z.; Qin, J.; Yu, G.; Jin, X.; Zhang, C. Comparative Evaluation of 19 Reverse Transcription Loop-Mediated Isothermal Amplification Assays for Detection of SARS-CoV-2. Sci. Rep. 2021, 11, 2936. [Google Scholar] [CrossRef]
- Janíková, M.; Hodosy, J.; Boor, P.; Klempa, B.; Celec, P. Loop-Mediated Isothermal Amplification for the Detection of SARS-CoV-2 in Saliva. Microb. Biotechnol. 2021, 14, 307–316. [Google Scholar] [CrossRef]
- Pham, J.; Meyer, S.; Nguyen, C.; Williams, A.; Hunsicker, M.; McHardy, I.; Gendlina, I.; Goldstein, D.Y.; Fox, A.S.; Hudson, A.; et al. Performance Characteristics of a High-Throughput Automated Transcription-Mediated Amplification Test for SARS-CoV-2 Detection. J. Clin. Microbiol. 2020, 58, e01669-20. [Google Scholar] [CrossRef]
- Howson, E.L.A.; Kidd, S.P.; Armson, B.; Goring, A.; Sawyer, J.; Cassar, C.; Cross, D.; Lewis, T.; Hockey, J.; Rivers, S.; et al. Preliminary Optimisation of a Simplified Sample Preparation Method to Permit Direct Detection of SARS-CoV-2 within Saliva Samples Using Reverse-Transcription Loop-Mediated Isothermal Amplification (RT-LAMP). J. Virol. Methods 2021, 289, 114048. [Google Scholar] [CrossRef]
- Jiang, M.; Pan, W.; Arasthfer, A.; Fang, W.; Ling, L.; Fang, H.; Daneshnia, F.; Yu, J.; Liao, W.; Pei, H.; et al. Development and Validation of a Rapid, Single-Step Reverse Transcriptase Loop-Mediated Isothermal Amplification (RT-LAMP) System Potentially to Be Used for Reliable and High-Throughput Screening of COVID-19. Front. Cell. Infect. Microbiol. 2020, 10, 331. [Google Scholar] [CrossRef] [PubMed]
- Nawattanapaiboon, K.; Pasomsub, E.; Prombun, P.; Wongbunmak, A.; Jenjitwanich, A.; Mahasupachai, P.; Vetcho, P.; Chayrach, C.; Manatjaroenlap, N.; Samphaongern, C.; et al. Colorimetric Reverse Transcription Loop-Mediated Isothermal Amplification (RT-LAMP) as a Visual Diagnostic Platform for the Detection of the Emerging Coronavirus SARS-CoV-2. Analyst 2021, 146, 471–477. [Google Scholar] [CrossRef] [PubMed]
- Lau, Y.L.; Ismail, I.B.; Izati Binti Mustapa, N.; Lai, M.Y.; Tuan Soh, T.S.; Hassan, A.H.; Peariasamy, K.M.; Lee, Y.L.; Goh, P.P. A Sensitive Reverse Transcription Loop-Mediated Isothermal Amplification Assay for Direct Visual Detection of SARS-CoV-2. Am. J. Trop. Med. Hyg. 2020, 103, 2350–2352. [Google Scholar] [CrossRef]
- Ben-Assa, N.; Naddaf, R.; Gefen, T.; Capucha, T.; Hajjo, H.; Mandelbaum, N.; Elbaum, L.; Rogov, P.; King, D.A.; Kaplan, S.; et al. Direct on-the-Spot Detection of SARS-CoV-2 in Patients. Exp. Biol. Med. (Maywood N. J.) 2020, 245, 1187–1193. [Google Scholar] [CrossRef] [PubMed]
- Lau, Y.L.; Ismail, I.; Mustapa, N.I.; Lai, M.Y.; Tuan Soh, T.S.; Hassan, A.; Peariasamy, K.M.; Lee, Y.L.; Chong, Y.M.; Sam, I.C.; et al. Real-Time Reverse Transcription Loop-Mediated Isothermal Amplification for Rapid Detection of SARS-CoV-2. Peer J. 2020, 8, e9278. [Google Scholar] [CrossRef]
- Fowler, V.L.; Armson, B.; Gonzales, J.L.; Wise, E.L.; Howson, E.L.A.; Vincent-Mistiaen, Z.; Fouch, S.; Maltby, C.J.; Grippon, S.; Munro, S.; et al. A Highly Effective Reverse-Transcription Loop-Mediated Isothermal Amplification (RT-LAMP) Assay for the Rapid Detection of SARS-CoV-2 Infection. J. Infect. 2021, 82, 117–125. [Google Scholar] [CrossRef] [PubMed]
- Schellenberg, J.J.; Ormond, M.; Keynan, Y. Extraction-Free RT-LAMP to Detect SARS-CoV-2 Is Less Sensitive but Highly Specific Compared to Standard RT-PCR in 101 Samples. J. Clin. Virol. 2021, 136, 104764. [Google Scholar] [CrossRef]
- Hamburger, J.; Abbasi, I.; Kariuki, C.; Wanjala, A.; Mzungu, E.; Mungai, P.; Muchiri, E.; King, H.K. Evaluation of Loop-Mediated Isothermal Amplification Suitable for Molecular Monitoring of Schistosome-Infected Snails in Field Laboratories. Am. J. Trop. Med. Hyg. 2013, 88, 344–351. [Google Scholar] [CrossRef]
- Nguyen, A.V.; Orlofsky, A.; Pubill, K.; Tawde, M.; Li, G.; Mata, D.; Bermudes, O.; Fernandez, M.; Santana, J.; Kim, W.; et al. Loop-Mediated Isothermal Amplification (LAMP) as a Rapid, Affordable and Effective Tool to Involve Students in Undergraduate Research. Front. Microbiol. 2020, 11, 603381. [Google Scholar] [CrossRef]
- Freire-Paspuel, B.; Garcia-Bereguiain, M.A. Low Clinical Performance of the Isopollo COVID-19 Detection Kit (M Monitor, South Korea) for RT-LAMP SARS-CoV-2 Diagnosis: A Call for Action against Low Quality Products for Developing Countries. Int. J. Infect. Dis. 2021, 104, 303–305. [Google Scholar] [CrossRef]
- Wilson-Davies, E.S.W.; Mahanama, A.I.K.; Samaraweera, B.; Ahmed, N.; Friar, S.; Pelosi, E. Concerns Regarding the Sensitivity of the OptiGene Direct SARS-CoV-2 LAMP Assay and Its Suitability for Use in at-Risk Groups and Hospital Staff. J. Infect. 2021, 82, 282–327. [Google Scholar] [CrossRef] [PubMed]
- Centers for Disease Control and Prevention. Research Use Only Real-Time RT-PCR Protocol for Identification of 2019-nCoV. 2020. Available online: https://www.cdc.gov/coronavirus/2019-ncov/lab/rt-pcr-detection-instructions.html (accessed on 29 March 2021).
- El-Tholoth, M.; Bau, H.H.; Song, Y. A Single and Two-Stage, Closed-Tube, Molecular Test for the 2019 Novel Coronavirus (COVID-19) at Home, Clinic, and Points of Entry. ChemRxiv 2020. [Google Scholar] [CrossRef]
- Sicasys Software GmbH; Spotxel® Reader : Germersheim, Germany, 2017.
- Medeiros da Silva, R.C.; Nogueira Marinho, L.C.; de Araújo Silva, D.N.; Costa de Lima, K.; Pirih, F.Q.; Luz de Aquino Martins, A.R. Saliva as a Possible Tool for the SARS-CoV-2 Detection: A Review. Travel Med. Infect. Dis. 2020, 38, 101920. [Google Scholar] [CrossRef] [PubMed]
- Rabe, B.A.; Cepko, C. SARS-CoV-2 Detection Using Isothermal Amplification and a Rapid, Inexpensive Protocol for Sample Inactivation and Purification. Proc. Nat. Acad. Sci. USA 2020, 117, 24450–24458. [Google Scholar] [CrossRef]
- Meyerson, N.R.; Yang, Q.; Clark, S.K.; Paige, C.L.; Fattor, W.T.; Gilchrist, A.R.; Barbachano-Guerrero, A.; Sawyer, S.L. A Community-Deployable SARS-CoV-2 Screening Test Using Raw Saliva with 45 Minutes Sample-to-Results Turnaround. Medrxiv 2020. [Google Scholar] [CrossRef]
- Dinnes, J.; Deeks, J.J.; Adriano, A.; Berhane, S.; Davenport, C.; Dittrich, S.; Emperador, D.; Takwoingi, Y.; Cunningham, J.; Beese, S.; et al. Cochrane COVID-19 Diagnostic Test Accuracy Group. Rapid, Point-of-Care Antigen and Molecular-Based Tests for Diagnosis of SARS-CoV-2 Infection. Cochrane Database Syst. Rev. 2020, 8, CD013705. [Google Scholar] [CrossRef] [PubMed]
- Jones, T.C.; Biele, G.; Mühlemann, B.; Veith, T.; Schneider, J.; Beheim-Schwarzbach, J.; Bleicker, T.; Tesch, J.; Schmidt, M.L.; Sander, L.E.; et al. Estimating Infectiousness throughout SARS-CoV-2 Infection Course. Science 2021, 373, eabi5273. [Google Scholar] [CrossRef]
- van Kampen, J.J.A.; van de Vijver, D.A.M.C.; Fraaij, P.L.A.; Haagmans, B.L.; Lamers, M.M.; Okba, N.; van den Akker, J.P.C.; Endeman, H.; Gommers, D.A.M.P.J.; Cornelissen, J.J.; et al. Duration and Key Determinants of Infectious Virus Shedding in Hospitalized Patients with Coronavirus Disease-2019 (COVID-19). Nat. Commun. 2021, 12, 267. [Google Scholar] [CrossRef]
- Kawasuji, H.; Takegoshi, Y.; Kaneda, M.; Ueno, A.; Miyajima, Y.; Kawago, K.; Fukui, Y.; Yoshida, Y.; Kimura, M.; Yamada, H.; et al. Transmissibility of COVID-19 Depends on the Viral Load around Onset in Adult and Symptomatic Patients. PLoS ONE 2020, 15, e0243597. [Google Scholar] [CrossRef]
- Juscamayta-López, E.; Valdivia, F.; Horna, H.; Tarazona, D.; Linares, L.; Rojas, N.; Huaringa, M. A Multiplex and Colorimetric Reverse Transcription Loop-Mediated Isothermal Amplification Assay for Sensitive and Rapid Detection of Novel SARS-CoV-2. Front. Cell Infect. Microbiol. 2021, 11, 653616. [Google Scholar] [CrossRef]
- Escalante-Maldonado, O.; Vidal-Anzardo, M.; Donaires, F.; Solis-Sanchez, G.; Gallesi, I.; Pampa-Espinoza, L.; Huaringa, M.; Rojas-Serrano, N.; García, C.; Angles-Yanqui, E.; et al. Standardization and Validation of an in House RT-LAMP Molecular Test for the Diagnosis of SARS-CoV-2. Rev. Peru Med. Exp. Salud. Publica 2021, 38, 7–16. [Google Scholar] [CrossRef] [PubMed]




| NPS | NPA | SAL | ||||||
|---|---|---|---|---|---|---|---|---|
| Estimated No Copies | Positives Visual | Positives SpotXel | Estimated No Copies | Positives Visual | Positives SpotXel | Estimated No Copies | Positives Visual | Positives SpotXel |
| 564,849 | 4/4 | 4/4 | 558,801 | 4/4 | 4/4 | 582,730 | 4/4 | 4/4 |
| 48,810 | 4/4 | 4/4 | 112,814 | 4/4 | 4/4 | 88,682 | 3/4 | 4/4 |
| 22,594 | 4/4 | 4/4 | 22,563 | 2/4 | 3/4 | 23,309 | 0/4 | 2/4 |
| 7001 | 1/4 | 2/4 | 10,827 | 2/4 | 2/4 | 7906 | 1/4 | 2/4 |
| 621 | 2/4 | 2/4 | 1381 | 3/4 | 3/4 | 933 | 0/4 | 1/4 |
| 181 | 1/4 | 1/4 | 179 | 3/4 | 2/4 | 186 | 1/4 | 2/4 |
| 36 | 0/4 | 2/4 | 36 | 1/4 | 3/4 | 37 | 0/4 | 0/4 |
| 0.0 | 0/4 | 0/0 | 0.0 | 0/4 | 0/4 | 0.0 | 0/4 | 0/4 |
| Virus | No. Samples Tested * | Positives, Visual | Positives, SpotXel |
|---|---|---|---|
| AdV | 4 | 0/4 | 0/4 |
| InfA | 3 | 0/3 | 0/3 |
| InfB | 2 | 0/2 | 0/2 |
| hMPNV | 3 | 0/3 | 0/3 |
| Parainf (1–3) | 6 | 0/6 | 0/6 |
| RSV | 4 | 0/4 | 0/4 |
| HCoV-OC43 | 1 | 0/1 | 0/1 |
| RT-LAMP Visual | |||||
|---|---|---|---|---|---|
| Positives | Faint | Negatives | Total | ||
| qRT-PCR CDC | Positives | 62 | 35 | 34 | 131 |
| Faint | 0 | 0 | 0 | 0 | |
| Negatives | 4 | 14 | 59 | 77 | |
| Total | 66 | 49 | 93 | 208 | |
| Accuracy * | 67.8 (61.03–74.1) | ||||
| Kappa index * | 0.34 (0.26–0.42) | ||||
| Global qPCR (+) = 131 qPCR (−) = 77 | NPS qPCR (+) = 61 qPCR (−) = 25 | NPA qPCR (+) = 37 qPCR (−) = 25 | Saliva qPCR (+) = 33 qPCR (−) = 27 | |
|---|---|---|---|---|
| Accuracy | 80.6 (74.6–85.8) | 54.8 (43.7–65.6) | 69.8 (56.8–80.8) | 79.5 (67.1–88.8) |
| Sensitivity | 74.8 (66.5–82.0) | 42.62 (30.0–55.9) | 46.0 (29.5–63.1) | 57.6 (39.2–74.5) |
| Specificity | 83.1 (72.9–90.7) | 60.0 (38.7–78.9) | 80.0 (59.3–93.2) | 88.9( 70.8–97.7) |
| Positive predictive value | 65.51 (53.4–75.9) | 31.4 (20.7–44.5) | 49.6 (29.4–69.9) | 68.9 (42.4–87.0) |
| Negative predictive value | 88.5 (84.9–91.3) | 70.9 (62.4–78.2) | 77.5 (70.8–83.1) | 83.0 (76.3–88.1) |
| Fold change (average ± sd) | tp = 1.20 ± 0.16 | tp = 1.17 ± 0.14 | tp = 1.22 ± 0.17 | tp = 1.25 ± 0.15 |
| tn = 0.89 ± 0.07 | tn = 0.91 ± 0.04 | tn = 0.91 ± 0.05 | tn = 0.85 ± 0.09 | |
| fp = 1.13 ± 0.07 | fp = 1.10 ± 0.07 | fp = 1.01 ± 0.01 | fp = 1.16 ± 0.05 | |
| fn = 0.92 ± 0.06 | fn = 0.94 ± 0.04 | fn = 0.90 ± 0.04 | fn = 0.90 ± 0.08 |
Publisher’s Note: MDPI stays neutral with regard to jurisdictional claims in published maps and institutional affiliations. |
© 2022 by the authors. Licensee MDPI, Basel, Switzerland. This article is an open access article distributed under the terms and conditions of the Creative Commons Attribution (CC BY) license (https://creativecommons.org/licenses/by/4.0/).
Share and Cite
Londono-Avendano, M.A.; Libreros, G.; Osorio, L.; Parra, B. A Rapid RT-LAMP Assay for SARS-CoV-2 with Colorimetric Detection Assisted by a Mobile Application. Diagnostics 2022, 12, 848. https://doi.org/10.3390/diagnostics12040848
Londono-Avendano MA, Libreros G, Osorio L, Parra B. A Rapid RT-LAMP Assay for SARS-CoV-2 with Colorimetric Detection Assisted by a Mobile Application. Diagnostics. 2022; 12(4):848. https://doi.org/10.3390/diagnostics12040848
Chicago/Turabian StyleLondono-Avendano, María Aurora, Gerardo Libreros, Lyda Osorio, and Beatriz Parra. 2022. "A Rapid RT-LAMP Assay for SARS-CoV-2 with Colorimetric Detection Assisted by a Mobile Application" Diagnostics 12, no. 4: 848. https://doi.org/10.3390/diagnostics12040848
APA StyleLondono-Avendano, M. A., Libreros, G., Osorio, L., & Parra, B. (2022). A Rapid RT-LAMP Assay for SARS-CoV-2 with Colorimetric Detection Assisted by a Mobile Application. Diagnostics, 12(4), 848. https://doi.org/10.3390/diagnostics12040848

