Trauma of Peripheral Innervation Impairs Content of Epidermal Langerhans Cells
Abstract
1. Introduction
2. Materials and Methods
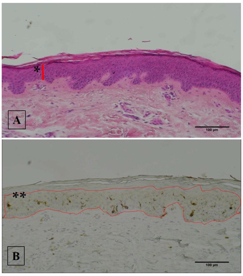
3. Results
4. Discussion
Author Contributions
Funding
Institutional Review Board Statement
Informed Consent Statement
Acknowledgments
Conflicts of Interest
References
- Abdallah, F.; Mijouin, L.; Pichon, C. Skin Immune Landscape: Inside and Outside the Organism. Mediat. Inflamm. 2017, 2017, 5095293. [Google Scholar] [CrossRef] [PubMed]
- Nguyen, A.V.; Soulika, A.M. The Dynamics of the Skin’s Immune System. Int. J. Mol. Sci. 2019, 20, 1811. [Google Scholar] [CrossRef] [PubMed]
- Balan, S.; Saxena, M.; Bhardwaj, N. Dendritic cell subsets and locations. Int. Rev. Cell Mol. Biol. 2019, 348, 1–68. [Google Scholar] [CrossRef] [PubMed]
- Kern, H.; Hofer, C.; Mödlin, M.; Mayr, W.; Vindigni, V.; Zampieri, S.; Boncompagni, S.; Protasi, F.; Carraro, U. Stable muscle atrophy in long-term paraplegics with complete upper motor neuron lesion from 3- to 20-year SCI. Spinal Cord 2008, 46, 293–304. [Google Scholar] [CrossRef] [PubMed]
- Kern, H.; Hofer, C.; Loefler, S.; Zampieri, S.; Gargiulo, P.; Baba, A.; Marcante, A.; Piccione, F.; Pond, A.; Carraro, U. Atrophy, ultra-structural disorders, severe atrophy and degeneration of denervated human muscle in SCI and Aging. Implications for their recovery by Functional Electrical Stimulation, updated 2017. Neurol. Res. 2017, 39, 660–666. [Google Scholar] [CrossRef]
- Kern, H.; Carraro, U.; Adami, N.; Hofer, C.; Loefler, S.; Vogelauer, M.; Mayr, W.; Rupp, R.; Zampieri, S. One year of home-based daily FES in complete lower motor neuron paraplegia: Recovery of tetanic contractility drives the structural improvements of denervated muscle. Neurol. Res. 2010, 32, 5–12. [Google Scholar] [CrossRef]
- Kern, H.; Carraro, U.; Adami, N.; Biral, D.; Hofer, C.; Forstner, C.; Mödlin, M.; Vogelauer, M.; Pond, A.; Boncompagni, S.; et al. Home-based functional electrical stimulation rescues permanently denervated muscles in paraplegic patients with complete lower motor neuron lesion. Neurorehabil. Neural Repair 2010, 24, 709–721. [Google Scholar] [CrossRef]
- Kern, H.; Boncompagni, S.; Rossini, K.; Mayr, W.; Fanò, G.; Zanin, M.E.; Podhorska-Okolow, M.; Protasi, F.; Carraro, U. Long-term denervation in humans causes degeneration of both contractile and excitation-contraction coupling apparatus, which is reversible by functional electrical stimulation (FES): A role for myofiber regeneration? J. Neuropathol. Exp. Neurol. 2004, 63, 919–931. [Google Scholar] [CrossRef]
- Boncompagni, S.; Kern, H.; Rossini, K.; Hofer, C.; Mayr, W.; Carraro, U.; Protasi, F. Structural differentiation of skeletal muscle fibers in the absence of innervation in humans. Proc. Natl. Acad. Sci. USA 2007, 104, 19339–19344. [Google Scholar] [CrossRef]
- Edmunds, K.J.; Gíslason, M.K.; Arnadottir, I.D.; Marcante, A.; Piccione, F.; Gargiulo, P. Quantitative Computed Tomography and Image Analysis for Advanced Muscle Assessment. Eur. J. Transl. Myol. 2016, 26, 6015. [Google Scholar] [CrossRef]
- Recenti, M.; Ricciardi, C.; Edmunds, K.; Gislason, M.K.; Gargiulo, P. Machine learning predictive system based upon radiodensitometric distributions from mid-thigh CT images. Eur. J. Transl. Myol. 2020, 30, 8892. [Google Scholar] [CrossRef] [PubMed]
- Schuhfried Medizintechnik. Available online: https://schuhfriedmed.at/stimulette-en/stimulette-edition5-s2x-2/ (accessed on 16 May 2021).
- Ravara, B.; Hofer, C.; Kern, H.; Guidolin, D.; Porzionato, A.; De Caro, R.; Albertin, G. Dermal papillae flattening of thigh skin in Conus Cauda Syndrome. Eur. J. Transl. Myol. 2018, 28, 7914. [Google Scholar] [CrossRef] [PubMed]
- Albertin, G.; Kern, H.; Hofer, C.; Guidolin, D.; Porzionato, A.; Rambaldo, A.; De Caro, R.; Piccione, F.; Marcante, A.; Zampieri, S. Two years of Functional Electrical Stimulation by large surface electrodes for denervated muscles improve skin epidermis in SCI. Eur. J. Transl. Myol. 2018, 28, 7373. [Google Scholar] [CrossRef] [PubMed]
- Albertin, G.; Hofer, C.; Zampieri, S.; Vogelauer, M.; Löfler, S.; Ravara, B.; Guidolin, D.; Fede, C.; Incendi, D.; Porzionato, A.; et al. In complete SCI patients, long-term functional electrical stimulation of permanent denervated muscles increases epidermis thickness. Neurol. Res. 2018, 40, 277–282. [Google Scholar] [CrossRef]
- Albertin, G.; Ravara, B.; Kern, H.; Hofer, C.; Loefler, S.; Jurecka, W.; Guidolin, D.; Rambaldo, A.; Porzionato, A.; De Caro, R.; et al. Two-years of home based functional electrical stimulation recovers epidermis from atrophy and flattening after years of complete Conus-Cauda Syndrome. Medicine 2019, 98, e18509. [Google Scholar] [CrossRef]
- Hunckler, J.; de Mel, A. A current affair: Electrotherapy in wound healing. J. Multidiscip. Healthc. 2017, 10, 179–194. [Google Scholar] [CrossRef]
- Zhao, M.; Bai, H.; Wang, E.; Forrester, J.V.; McCaig, C.D. Electrical stimulation directly induces pre-angiogenic responses in vascular endothelial cells by signaling through VEGF receptors. J. Cell Sci. 2004, 117, 397–405. [Google Scholar] [CrossRef]
- Bayat, M.; Asgari-Moghadam, Z.; Maroufi, M.; Rezaie, F.-S.; Bayat, M.; Rakhshan, M. Experimental wound healing using microamperage electrical stimulation in rabbits. J. Rehabil. Res. Dev. 2006, 43, 219–226. [Google Scholar] [CrossRef]
- Singer, A.J.; Clark, R.A. Cutaneous wound healing. N. Engl. J. Med. 1999, 341, 738–746. [Google Scholar] [CrossRef]
- Quittan, M.; Sochor, A.; Wiesinger, G.F.; Kollmitzer, J.; Sturm, B.; Pacher, R.; Mayr, W. Strength improvement of knee extensor muscles in patients with chronic heart failure by neuromuscular electrical stimulation. Artif. Organs 1999, 23, 432–435. [Google Scholar] [CrossRef]
- Kern, H.; Carraro, U. Home-Based Functional Electrical Stimulation of Human Permanent Denervated Muscles: A Narrative Review on Diagnostics, Managements, Results and Byproducts Revisited 2020. Diagnostics 2020, 10, 529. [Google Scholar] [CrossRef] [PubMed]
- Krenn, M.; Haller, M.; Bijak, M.; Unger, E.; Hofer, C.; Kern, H.; Mayr, W. Safe neuromuscular electrical stimulator designed for the elderly. Artif. Organs 2011, 35, 253–256. [Google Scholar] [CrossRef] [PubMed]
- Kern, H.; Barberi, L.; Löfler, S.; Sbardella, S.; Burggraf, S.; Fruhmann, H.; Carraro, U.; Mosole, S.; Sarabon, N.; Vogelauer, M.; et al. Electrical stimulation counteracts muscle decline in seniors. Front. Aging Neurosci. 2014, 6, 189. [Google Scholar] [CrossRef] [PubMed]
- Mayr, W. Neuromuscular Electrical Stimulation for Mobility Support of Elderly. Eur. J. Transl. Myol. 2015, 25, 263–268. [Google Scholar] [CrossRef] [PubMed][Green Version]
- Cvecka, J.; Tirpakova, V.; Sedliak, M.; Kern, H.; Mayr, W.; Hamar, D. Physical Activity in Elderly. Eur. J. Transl. Myol. 2015, 25, 249–252. [Google Scholar] [CrossRef]
- Deley, G.; Denuziller, J.; Babault, N. Functional electrical stimulation: Cardiorespiratory adaptations and applications for training in paraplegia. Sports Med. 2015, 45, 71–82. [Google Scholar] [CrossRef]
- Braz, G.P.; Russold, M.F.; Fornusek, C.; Hamzaid, N.A.; Smith, R.M.; Davis, G.M. Cardiorespiratory and Muscle Metabolic Responses During Conventional Versus Motion Sensor-Assisted Strategies for Functional Electrical Stimulation Standing After Spinal Cord Injury. Artif. Organs 2015, 39, 855–862. [Google Scholar] [CrossRef]
- Zampieri, S.; Mosole, S.; Löfler, S.; Fruhmann, H.; Burggraf, S.; Cvečka, J.; Hamar, D.; Sedliak, M.; Tirptakova, V.; Šarabon, N.; et al. Physical Exercise in Aging: Nine Weeks of Leg Press or Electrical Stimulation Training in 70 Years Old Sedentary Elderly People. Eur. J. Transl. Myol. 2015, 25, 237–242. [Google Scholar] [CrossRef]
- Porzionato, A.; Macchi, V.; Guidolin, D.; Parenti, A.; Ferrara, S.D.; De Caro, R. Histopathology of carotid body in heroin addiction. Possible chemosensitive impairment. Histopathology 2005, 46, 296–306. [Google Scholar] [CrossRef]
- Lorenzo-Seva, U.; Ferrando, P.J.; Chico, E. Two SPSS programs for interpreting multiple regression results. Behav. Res. Methods 2010, 42, 29–35. [Google Scholar] [CrossRef]
- Luo, W.; Azen, R. Determining Predictor Importance in Hierarchical Linear Models Using Dominance Analysis. J. Educ. Behav. Stat. 2013, 38, 3–31. [Google Scholar] [CrossRef]
- Chao, Y.-C.E.; Zhao, Y.; Kupper, L.L.; Nylander-French, L.A. Quantifying the relative importance of predictors in multiple linear regression analyses for public health studies. J. Occup. Environ. Hyg. 2008, 5, 519–529. [Google Scholar] [CrossRef] [PubMed]
- Timár, F.; Soós, G.; Szende, B.; Horváth, A. Interdigitation index—A parameter for differentiating between young and older skin specimens. Ski. Res. Technol. 2000, 6, 17–20. [Google Scholar] [CrossRef] [PubMed]
- Groah, S.L.; Charlifue, S.; Tate, D.; Jensen, M.P.; Molton, I.R.; Forchheimer, M.; Krause, J.S.; Lammertse, D.P.; Campbell, M. Spinal cord injury and aging: Challenges and recommendations for future research. Am. J. Phys. Med. Rehabil. 2012, 91, 80–93. [Google Scholar] [CrossRef] [PubMed]
- Capoor, J.; Stein, A.B. Aging with spinal cord injury. Phys. Med. Rehabil. Clin. N. Am. 2005, 16, 129–161. [Google Scholar] [CrossRef]
- Upadhyay, J.; Upadhyay, R.B.; Agrawal, P.; Jaitley, S.; Shekhar, R. Langerhans cells and their role in oral mucosal diseases. N. Am. J. Med. Sci. 2013, 5, 505–514. [Google Scholar] [CrossRef]
- Züchner, M.; Lervik, A.; Kondratskaya, E.; Bettembourg, V.; Zhang, L.; Haga, H.A.; Boulland, J.L. Development of a Multimodal Apparatus to Generate Biomechanically Reproducible Spinal Cord Injuries in Large Animals. Front Neurol. 2019, 10, 223. [Google Scholar] [CrossRef]
- Solis, L.R.; Liggins, A.; Uwiera, R.R.; Poppe, N.; Pehowich, E.; Seres, P.; Thompson, R.B.; Mushahwar, V.K. Distribution of internal pressure around bony prominences: Implications to deep tissue injury and effectiveness of intermittent electrical stimulation. Ann. Biomed. Eng. 2012, 40, 1740–1759. [Google Scholar] [CrossRef]
- Ho, C.H.; Triolo, R.J.; Elias, A.L.; Kilgore, K.L.; DiMarco, A.F.; Bogie, K.; Vette, A.H.; Audu, M.L.; Kobetic, R.; Chang, S.R.; et al. Functional electrical stimulation and spinal cord injury. Phys. Med. Rehabil. Clin. N. Am. 2014, 25, 631–654, ix. [Google Scholar] [CrossRef]
- Ahmetović, A.; Mushahwar, V.K.; Sommer, R.; Schnepf, D.; Kawasaki, L.; Warwaruk-Rogers, R.; Barlott, T.; Chong, S.L.; Isaacson, G.; Kim, S.; et al. Safety and Feasibility of Intermittent Electrical Stimulation for the Prevention of Deep Tissue Injury. Adv. Wound Care 2015, 4, 192–201. [Google Scholar] [CrossRef]
- Kane, A.; Warwaruk-Rogers, R.; Ho, C.; Chan, M.; Stein, R.; Mushahwar, V.K.; Dukelow, S.P. A Feasibility Study of Intermittent Electrical Stimulation to Prevent Deep Tissue Injury in the Intensive Care Unit. Adv. Wound Care 2017, 6, 115–124. [Google Scholar] [CrossRef] [PubMed]
- Atmatzidis, D.H.; Lambert, W.C.; Lambert, M.W. Langerhans cell: Exciting developments in health and disease. J. Eur. Acad. Dermatol. Venereol. 2017, 31, 1817–1824. [Google Scholar] [CrossRef] [PubMed]
- Woods, G.M.; Malley, R.C.; Muller, H.K. The skin immune system and the challenge of tumour immunosurveillance. Eur. J. Dermatol. 2005, 15, 63–69. [Google Scholar]
- Pogorzelska-Dyrbuś, J.; Szepietowski, J.C. Density of Langerhans Cells in Nonmelanoma Skin Cancers: A Systematic Review. Mediators Inflamm. 2020, 2020, 8745863. [Google Scholar] [CrossRef] [PubMed]
- Yan, B.; Liu, N.; Li, J.; Li, J.; Zhu, W.; Kuang, Y.; Chen, X.; Peng, C. The role of Langerhans cells in epidermal homeostasis and pathogenesis of psoriasis. J. Cell. Mol. Med. 2020, 24, 11646–11655. [Google Scholar] [CrossRef]
- Rajesh, A.; Wise, L.; Hibma, M. The role of Langerhans cells in pathologies of the skin. Immunol. Cell Biol. 2019, 97, 700–713. [Google Scholar] [CrossRef] [PubMed]
- Han, Z.; Choi, J.Y.; Ko, Y.J. Dermatological problems following spinal cord injury in Korean patients. J. Spinal Cord Med. 2015, 38, 63–67. [Google Scholar] [CrossRef]




| Analysis | Gender | Age | Years from UMNSCI | |
|---|---|---|---|---|
| UMNSCI.1 | M | Pre NMES | 20 | 1.8 |
| Post NMES | 22 | 3.8 | ||
| UMNSCI.2 | F | Pre NMES | 26 | 3.8 |
| Post NMES | 28 | 3.8 | ||
| UMNSCI.3 | M | Pre NMES | 40 | 3.8 |
| Post NMES | 42 | 3.8 |
| Age | Injury Time | |||||
|---|---|---|---|---|---|---|
| Pearson’s R | p | Pearson’s R | p | Multiple R | p | |
| Epidermis thickness | −0.532 | 0.003 | −0.487 | 0.006 | 0.595 | 0.007 |
| INT index | −0.667 | 0.001 | −0.693 | 0.001 | 0.792 | 0.001 |
| Analysis | Parameter | Pre | Post | Δ% | |||
|---|---|---|---|---|---|---|---|
| H-E UMNSCI.1 | L | 58.48 | 69.52 | ||||
| R | 61 | 66.42 | |||||
| Average | 59.74 | 67.97 | 12 | ||||
| H-E UMNSCI.2 | L | 45.17 | 56.44 | ||||
| R | 35.68 | 40.94 | |||||
| Average | 40.43 | 48.69 | 16 | ||||
| H-E UMNSCI.3 | L | 57.36 | 36.73 | ||||
| R | 80.63 | 60.85 | |||||
| Average | 69 | 48.79 | 41 | ||||
| Analysis | n | pre ± SEM | n | post ± SEM | Δ% | p | |
| H-E UMNSCI | thickness | 6 | 56.39 ± 6.24 | 6 | 55.15 ± 5.50 | −2.2 | 0.85 |
| Epidermis Thickness (µm)—All Analyses to Date | ||||||
| UMNSCI | (Pre + Post NMES) | LMNSCI (Pre h-bFES) | ||||
| mean ± SEM | n | mean ± SEM | n | Δ% | p | |
| thickness | 55.8 ± 3.97 | 12 | 46.25 ± 1.87 | 26 | −17.1 | 0.018 |
| Epidermis thickness (µm)—UMNSCI vs. <1-year LMNSCI | ||||||
| UMNSCI | (Pre + Post NMES) | <1-year LMNSCI (Pre h-bFES) | ||||
| mean ± SEM | n | mean ± SEM | n | Δ% | p | |
| thickness | 55.8 ± 3.97 | 12 | 54.66 ± 3.30 | 6 | 2.04 | 0.86 |
| Epidermis thickness (µm)—UMNSCI vs. 5 to 7-year LNMSCI | ||||||
| UMNSCI | (Pre + Post NMES) | 5–7 year LMNSCI (Pre h-bFES) | ||||
| mean ± SEM | n | mean ± SEM | n | Δ% | p | |
| thickness | 55.8 ± 3.97 | 12 | 40.94 ± 3.20 | 8 | 46.2 | 0.015 |
| Analysis | Parameter | Pre | Post | Δ% | |||
|---|---|---|---|---|---|---|---|
| H-E UMNSCI.1 | L | 1.57 | 1.58 | ||||
| R | 1.38 | 1.38 | |||||
| Average | 1.47 | 1.48 | 0.39 | ||||
| H-E UMNSCI.2 | L | 1.19 | 1.19 | ||||
| R | 1.53 | 1.45 | |||||
| Average | 1.36 | 1.32 | −2.91 | ||||
| H-E UMNSCI.3 | L | 1.44 | 1.13 | ||||
| R | 1.43 | 1.61 | |||||
| Average | 1.43 | 1.37 | −4.13 | ||||
| Analysis | n | pre ± SEM | n | post ± SEM | Δ% | p | |
| H-E UMNSCI Int. index | 6 | 1.42 ± 0.05 | 6 | 55.15 ± 5.50 | −2.2 | 0.63 |
| Epidermis Interdigitation Index—All Analyses to Date | ||||||
| UMNSCI | (Pre + Post NMES) | LMNSCI (Pre h-bFES) | ||||
| mean ± SEM | n | mean ± SEM | n | Δ% | p | |
| INTindex | 1.41 ± 0.05 | 12 | 1.17 ± 0.02 | 26 | −20.2 | <0.0001 |
| Epidermis Interdigitation index—UMNSCI vs. <1-year LMNSCI | ||||||
| UMNSCI | (Pre + Post NMES) | <1-year LMNSCI (Pre h-bFES) | ||||
| mean ± SEM | n | mean ± SEM | n | Δ% | p | |
| INTindex | 1.41 ± 0.05 | 12 | 1.31 ± 0.037 | 6 | 7.6 | 0.20 |
| Epidermis Interdigitation index—UMNSCI vs. 5 to 7-year LNMSCI | ||||||
| UMNSCI | (Pre + Post NMES) | 5–7 year LMNSCI (Pre h-bFES) | ||||
| mean ± SEM | n | mean ± SEM | n | Δ% | p | |
| INTindex | 1.41 ± 0.05 | 12 | 1.09 ± 0.014 | 8 | −29.8 | <0.0001 |
Publisher’s Note: MDPI stays neutral with regard to jurisdictional claims in published maps and institutional affiliations. |
© 2022 by the authors. Licensee MDPI, Basel, Switzerland. This article is an open access article distributed under the terms and conditions of the Creative Commons Attribution (CC BY) license (https://creativecommons.org/licenses/by/4.0/).
Share and Cite
Albertin, G.; Ravara, B.; Kern, H.; Zampieri, S.; Loefler, S.; Hofer, C.; Guidolin, D.; Messina, F.; De Caro, R.; Alaibac, M.; et al. Trauma of Peripheral Innervation Impairs Content of Epidermal Langerhans Cells. Diagnostics 2022, 12, 567. https://doi.org/10.3390/diagnostics12030567
Albertin G, Ravara B, Kern H, Zampieri S, Loefler S, Hofer C, Guidolin D, Messina F, De Caro R, Alaibac M, et al. Trauma of Peripheral Innervation Impairs Content of Epidermal Langerhans Cells. Diagnostics. 2022; 12(3):567. https://doi.org/10.3390/diagnostics12030567
Chicago/Turabian StyleAlbertin, Giovanna, Barbara Ravara, Helmut Kern, Sandra Zampieri, Stefan Loefler, Christian Hofer, Diego Guidolin, Francesco Messina, Raffaele De Caro, Mauro Alaibac, and et al. 2022. "Trauma of Peripheral Innervation Impairs Content of Epidermal Langerhans Cells" Diagnostics 12, no. 3: 567. https://doi.org/10.3390/diagnostics12030567
APA StyleAlbertin, G., Ravara, B., Kern, H., Zampieri, S., Loefler, S., Hofer, C., Guidolin, D., Messina, F., De Caro, R., Alaibac, M., & Carraro, U. (2022). Trauma of Peripheral Innervation Impairs Content of Epidermal Langerhans Cells. Diagnostics, 12(3), 567. https://doi.org/10.3390/diagnostics12030567

