Factors Distinguishing Proximal and Distal Internal Carotid Artery Occlusions in Patients with Acute Ischemic Stroke
Abstract
:1. Introduction
2. Materials and Methods
2.1. Study Population
2.2. Acute Ischemic Stroke Management
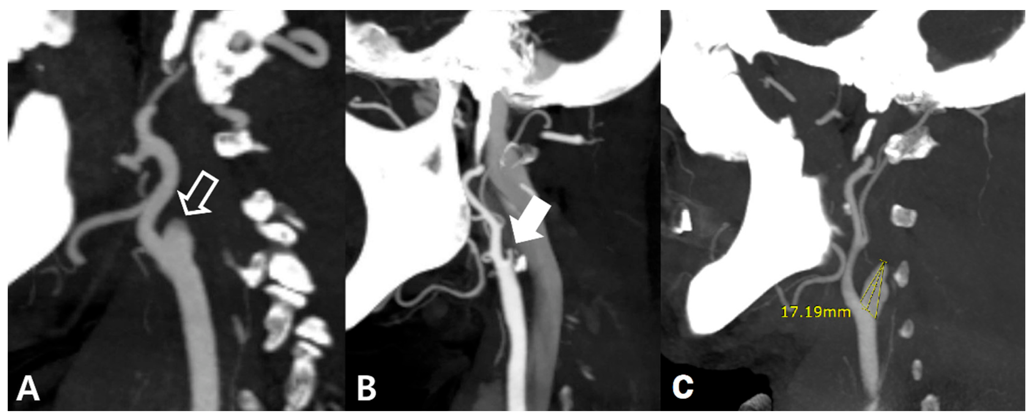
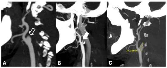
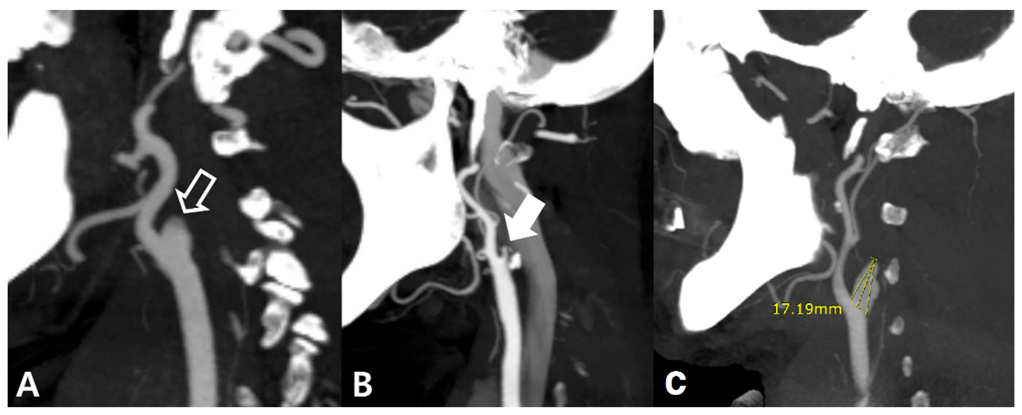
2.3. Data Acquisition and Classification Criteria
2.4. Statistical Analyses
3. Results
3.1. General Characteristics
3.2. Ischemic Stroke Related Characteristics
3.3. Associated Factors of Proximal ICA Occlusion
4. Discussion
5. Conclusions
Supplementary Materials
Author Contributions
Funding
Institutional Review Board Statement
Informed Consent Statement
Data Availability Statement
Acknowledgments
Conflicts of Interest
References
- Paciaroni, M.; Balucani, C.; Agnelli, G.; Caso, V.; Silvestrelli, G.; Grotta, J.C.; Demchuk, A.M.; Sohn, S.I.; Orlandi, G.; Leys, D.; et al. Systemic Thrombolysis in Patients with Acute Ischemic Stroke and Internal Carotid Artery Occlusion: The ICARO Study. Stroke 2012, 43, 125–130. [Google Scholar] [CrossRef] [PubMed] [Green Version]
- Béjot, Y.; Bailly, H.; Durier, J.; Giroud, M. Epidemiology of Stroke in Europe and Trends for the 21st Century. Presse Med. 2016, 45, e391–e398. [Google Scholar] [CrossRef] [PubMed]
- Zafar, F.; Tariq, W.; Shoaib, R.F.; Shah, A.; Siddique, M.; Zaki, A.; Assad, S. Frequency of Ischemic Stroke Subtypes Based on Toast Classification at a Tertiary Care Center in Pakistan. Asian J. Neurosurg. 2018, 13, 984–989. [Google Scholar] [CrossRef] [PubMed]
- Knauth, M.; von Kummer, R.; Jansen, O.; Hähnel, S.; Dörfler, A.; Sartor, K. Potential of CT Angiography in Acute Ischemic Stroke. Am. J. Neuroradiol. 1997, 18, 1001–1010. [Google Scholar] [PubMed]
- Kim, J.J.; Dillon, W.P.; Glastonbury, C.M.; Provenzale, J.M.; Wintermark, M. Sixty-Four-Section Multidetector CT Angiography of Carotid Arteries: A Systematic Analysis of Image Quality and Artifacts. Am. J. Neuroradiol. 2010, 31, 91–99. [Google Scholar] [CrossRef] [PubMed] [Green Version]
- Marquering, H.A.; Nederkoorn, P.J.; Beenen, L.F.; Lycklama à Nijeholt, G.J.; van den Berg, R.; Roos, Y.B.; Majoie, C.B. Carotid Pseudo-occlusion on CTA in Patients with Acute Ischemic Stroke: A Concerning Observation. Clin. Neurol. Neurosurg. 2013, 115, 1591–1594. [Google Scholar] [CrossRef] [PubMed]
- Kappelhof, M.; Marquering, H.A.; Berkhemer, O.A.; Borst, J.; van der Lugt, A.; van Zwam, W.H.; Vos, J.A.; Lycklama, À.; Nijeholt, G.; Majoie, C.B.L.M.; et al. Accuracy of CT Angiography for Differentiating Pseudo-Occlusion From True Occlusion or High-Grade Stenosis of the Extracranial ICA in Acute Ischemic Stroke: A Retrospective MR CLEAN Substudy. Am. J. Neuroradiol. 2018, 39, 892–898. [Google Scholar] [CrossRef] [PubMed] [Green Version]
- Raoult, H.; Eugène, F.; Ferré, J.C.; Gentric, J.C.; Ronzière, T.; Stamm, A.; Gauvrit, J.Y. Prognostic Factors for Outcomes After Mechanical Thrombectomy With Solitaire Stent. J. Neuroradiol. 2013, 40, 252–259. [Google Scholar] [CrossRef] [PubMed]
- de Weert, T.T.; Cakir, H.; Rozie, S.; Cretier, S.; Meijering, E.; Dippel, D.W.; van der Lugt, A. Intracranial Internal Carotid Artery Calcifications: Association with Vascular Risk Factors and Ischemic Cerebrovascular Disease. Am. J. Neuroradiol. 2009, 30, 177–184. [Google Scholar] [CrossRef] [PubMed]
- Campbell, B.C.; Mitchell, P.J.; Kleinig, T.J.; Dewey, H.M.; Churilov, L.; Yassi, N.; Yan, B.; Dowling, R.J.; Parsons, M.W.; Oxley, T.J.; et al. Endovascular Therapy for Ischemic Stroke with Perfusion-Imaging Selection. N. Engl. J. Med. 2015, 372, 1009–1018. [Google Scholar] [CrossRef] [Green Version]
- Hong, J.M.; Lee, S.E.; Lee, S.J.; Lee, J.S.; Demchuk, A.M. Distinctive Patterns on CT Angiography Characterize Acute Internal Carotid Artery Occlusion Subtypes. Medicine 2017, 96, 5722. [Google Scholar] [CrossRef]
- Kim, H.; Kwak, H.S.; Chung, G.H.; Hwang, S.B. Differentiating Pseudo-Occlusion From True Occlusion of Proximal Internal Carotid Artery in Acute Ischemic Stroke on CT Angiography. Clin. Neurol. Neurosurg. 2019, 185, 105495. [Google Scholar] [CrossRef]
- Krejza, J.; Arkuszewski, M.; Kasner, S.E.; Weigele, J.; Ustymowicz, A.; Hurst, R.W.; Cucchiara, B.L.; Messe, S.R. Carotid Artery Diameter in Men and Women and the Relation to Body and Neck Size. Stroke 2006, 37, 1103–1105. [Google Scholar] [CrossRef] [PubMed] [Green Version]
- Hori, E.; Hayashi, N.; Hamada, H.; Masuoka, T.; Kuwayama, N.; Hirashima, Y.; Origasa, H.; Ohtani, O.; Endo, S. A Development of Atheromatous Plaque Is Restricted by Characteristic Arterial Wall Structure at the Carotid Bifurcation. Surg. Neurol. 2008, 69, 586–590. [Google Scholar] [CrossRef] [PubMed]


| Variables | Carotid Occlusion | p-Value | |
|---|---|---|---|
| False (n = 62) | True (n = 40) | ||
| Demographics | |||
| Age | 76.4 ± 11.0 | 71.9 ± 11.5 | 0.052 |
| Male, n (%) | 26 (41.9) | 32 (80) | <0.001 |
| Conventional risk factors, n (%) | |||
| Hypertension | 42 (67.7) | 21 (52.5) | 0.122 |
| Diabetes mellitus | 14 (22.6) | 9 (22.5) | 0.992 |
| Hyperlipidemia | 6 (9.7) | 2 (5.0) | 0.476 |
| Atrial fibrillation | 37 (59.7) | 3 (7.5) | <0.001 |
| Previous stroke | 15 (24.2) | 3 (7.5) | 0.035 |
| Previous CAD | 6 (9.7) | 3 (7.5) | 1.000 |
| Smoking | 9 (14.5) | 9 (22.5) | 0.302 |
| Alcohol consumption | 10 (16.1) | 10 (25.0) | 0.271 |
| Neurological Severity | |||
| Previous mRS | 0 [0–0] | 0 [0–0] | 0.070 |
| Initial NIHSS | 15 [12–18] | 13 [9–17.75] | 0.300 |
| Discharge mRS | 4 [3–5] | 4 [1.25–4.75] | 0.023 |
| Discharge NIHSS | 12.5 [5–20.25] | 10 [4–14.75] | 0.177 |
| 3-month mRS 1 | 4 [1.5–6] | 3 [0.75–4] | 0.076 |
| Variables | Proximal ICA Occlusion | p-Value | |
|---|---|---|---|
| False (n = 62) | True (n = 40) | ||
| Brain CT | |||
| ASPECT score | 7 [5–9] | 8 [7–9] | 0.047 |
| Perfusion mismatch 1 | 50 (80.6) | 38 (97.4) | 0.015 |
| Intravenous tPA | 27 (43.5) | 15 (37.5) | 0.545 |
| State of carotid ICA | |||
| Blunt | 59 (95.2) | 8 (20.0) | <0.001 |
| In-situ stenosis | 14 (22.6) | 38 (95.0) | <0.001 |
| Calcification | 33 (53.2) | 30 (75.0) | 0.027 |
| Length of ICA stump (mm) | 12.7 ± 9.1 | 5.1 ± 4.5 | <0.001 |
| Occlusion site | |||
| Proximal ICA | 0 (0.0) | 17 (42.5) | <0.001 |
| Distal ICA | 42 (67.7) | 0 (0.0) | |
| M1 (T-occlusion) | 20 (32.3) | 0 (0.0) | |
| Proximal ICA with M1 | 0 (0.0) | 23 (57.5) | |
| IA Thrombectomy Results | |||
| TICI | |||
| I | 6 (9.7) | 1 (2.5) | 0.356 |
| IIa | 1 (1.6) | 2 (5.0) | |
| IIb | 5 (8.1) | 2 (5.0) | |
| III | 50 (80.6) | 35 (87.5) | |
| Hemorrhagic complication | |||
| No | 30 (48.4) | 16 (40.0) | 0.473 |
| HI | 19 (30.6) | 17 (42.5) | |
| PH | 13 (21.0) | 7 (17.5) | |
| Variables | Univariate Analysis | Multivariate Analysis | ||
|---|---|---|---|---|
| Crude OR (95% CI) | p-Value | Adjusted OR (95% CI) | p-Value | |
| ICA stump not blunt | 78.667 (19.498–317.395) | <0.001 | 646.584 (21.703–19263.187) | <0.001 |
| Length of ICA stump | 0.85 (0.783–0.924) | <0.001 | 0.696 (0.535–0.904) | 0.007 |
| Calcification | 2.636 (1.102–6.308) | 0.029 | 1.255 (0.202–7.800) | 0.807 |
| Atrial fibrillation | 0.055 (0.015–0.197) | <0.001 | 0.024 (0.002–0.340) | 0.006 |
Publisher’s Note: MDPI stays neutral with regard to jurisdictional claims in published maps and institutional affiliations. |
© 2022 by the authors. Licensee MDPI, Basel, Switzerland. This article is an open access article distributed under the terms and conditions of the Creative Commons Attribution (CC BY) license (https://creativecommons.org/licenses/by/4.0/).
Share and Cite
Ha, S.W.; Lee, C.-H.; Kim, H.S.; Yeon, E.K.; Lee, S.J.; Shin, B.-S.; Kang, H.G. Factors Distinguishing Proximal and Distal Internal Carotid Artery Occlusions in Patients with Acute Ischemic Stroke. Diagnostics 2022, 12, 494. https://doi.org/10.3390/diagnostics12020494
Ha SW, Lee C-H, Kim HS, Yeon EK, Lee SJ, Shin B-S, Kang HG. Factors Distinguishing Proximal and Distal Internal Carotid Artery Occlusions in Patients with Acute Ischemic Stroke. Diagnostics. 2022; 12(2):494. https://doi.org/10.3390/diagnostics12020494
Chicago/Turabian StyleHa, Sang Woo, Chan-Hyuk Lee, Hak Sung Kim, Eung Koo Yeon, Seung Jae Lee, Byoung-Soo Shin, and Hyun Goo Kang. 2022. "Factors Distinguishing Proximal and Distal Internal Carotid Artery Occlusions in Patients with Acute Ischemic Stroke" Diagnostics 12, no. 2: 494. https://doi.org/10.3390/diagnostics12020494
APA StyleHa, S. W., Lee, C.-H., Kim, H. S., Yeon, E. K., Lee, S. J., Shin, B.-S., & Kang, H. G. (2022). Factors Distinguishing Proximal and Distal Internal Carotid Artery Occlusions in Patients with Acute Ischemic Stroke. Diagnostics, 12(2), 494. https://doi.org/10.3390/diagnostics12020494

