A Review of Posteromedial Lesions of the Chest Wall: What Should a Chest Radiologist Know?
Abstract
1. Introduction
2. Posteromedial Chest Wall Anatomy
- Osseous/cartilaginous parts: 12 thoracic spine vertebrae, 12 ribs, and intervertebral discs.
- Muscles: Intercostal muscles (external, internal, and innermost), subcostalis, and transverse thoracic.
- Nerves: intercostal nerves, dorsal root ganglions, and sympathetic trunk.
- Vascular tissues: Intercostal vessels feed above components.
- Subcutaneous fat: beneath the superficial fascia and builds the padding for underlying muscles and bones.
3. Classification of Posteromedial Chest Wall Lesions
4. Role of Imaging
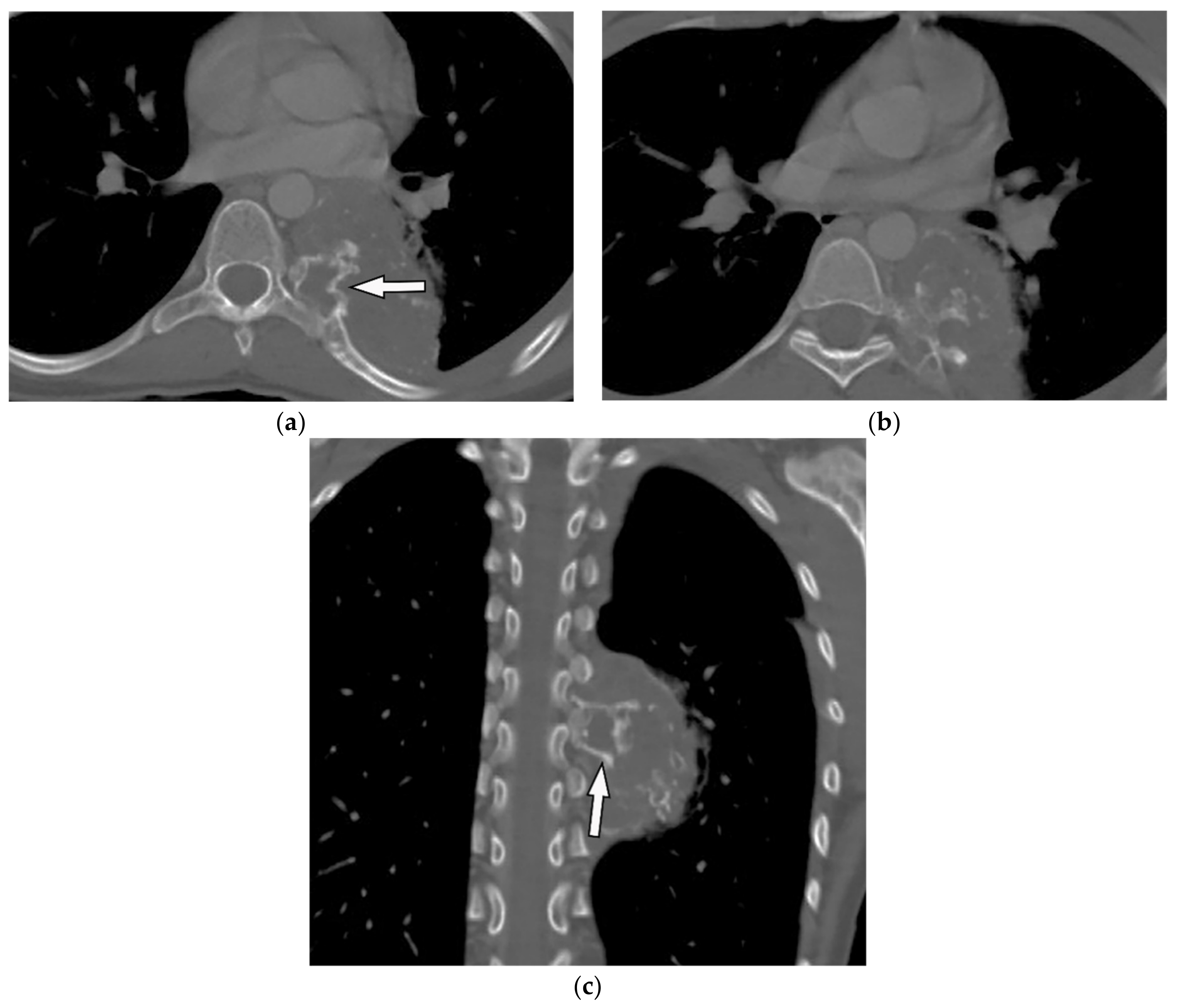
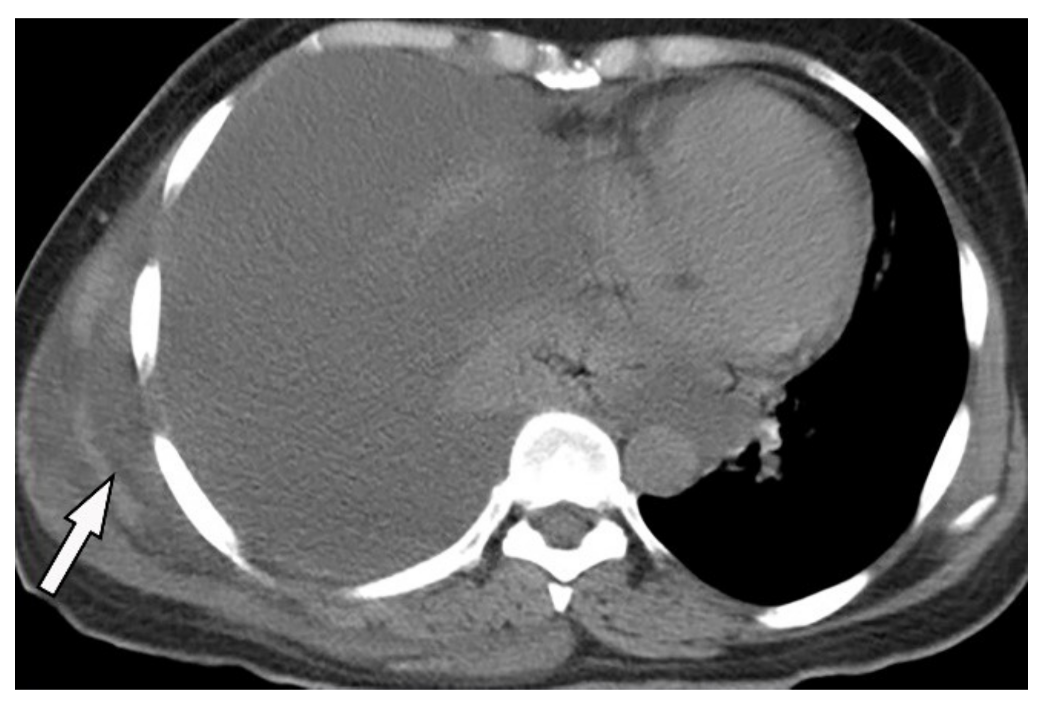
5. Malignant Bone Tumors
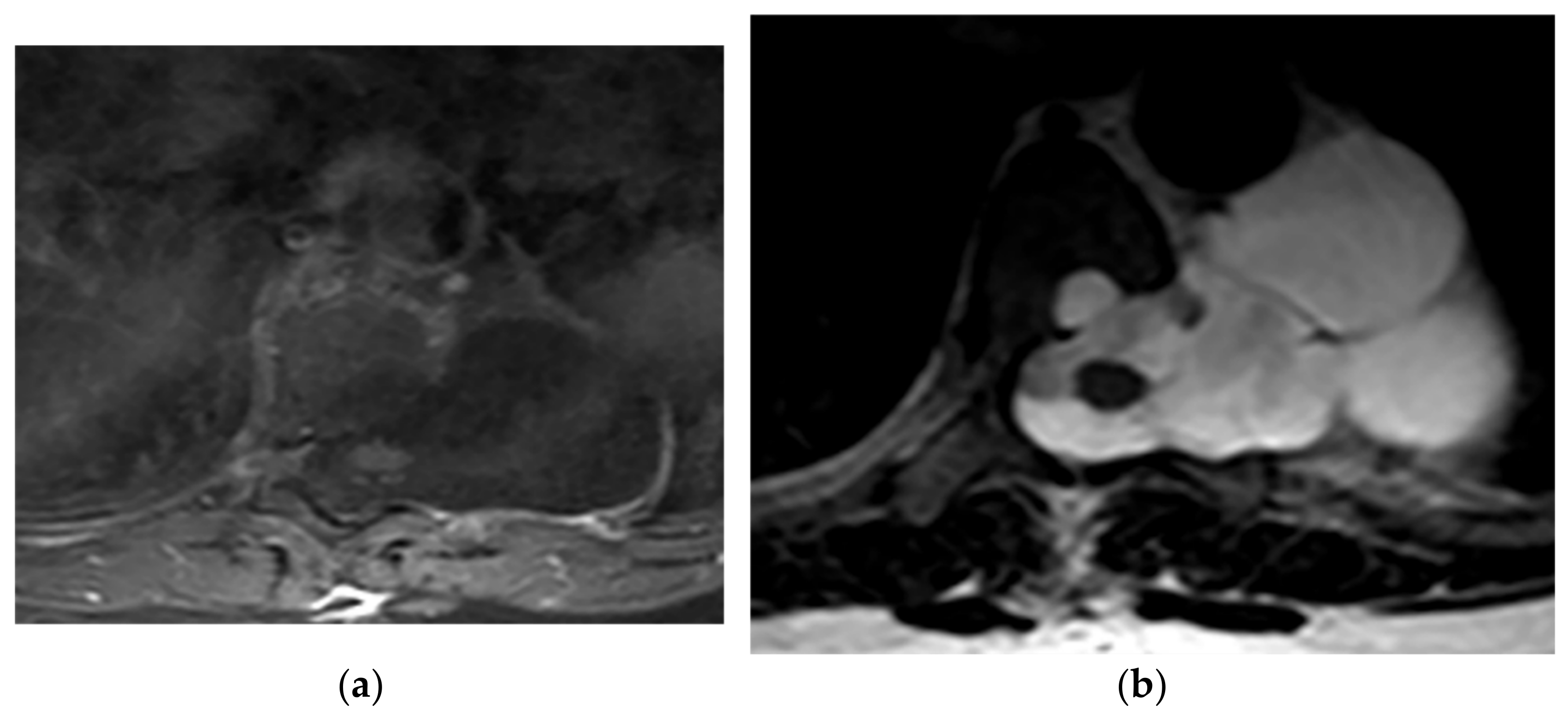
5.1. Osteosarcoma
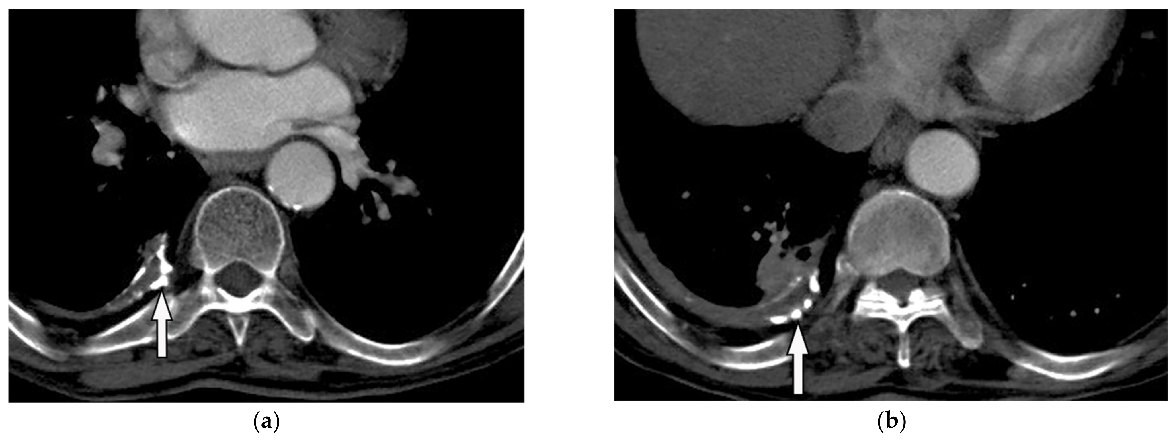
5.2. Ewing Sarcoma
5.3. Chondrosarcoma
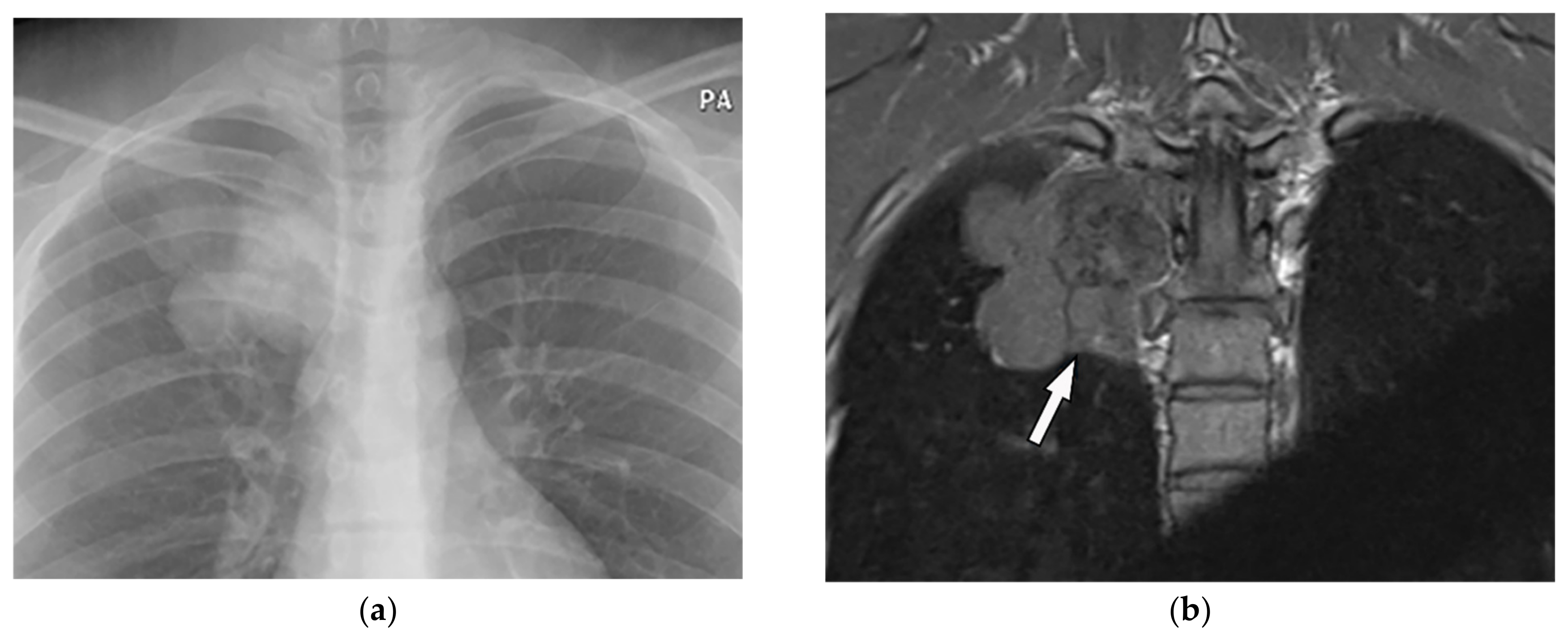
6. Malignant Plasma Cell Tumors
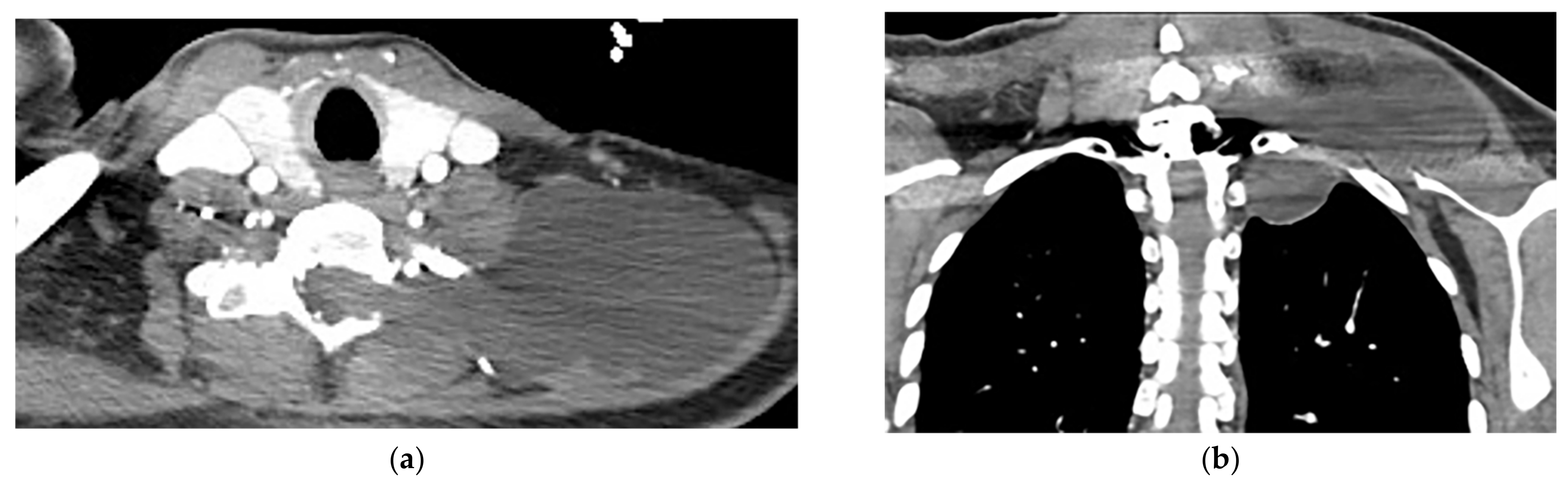
6.1. Multiple Myeloma
Solitary Plasmacytoma of the Bone
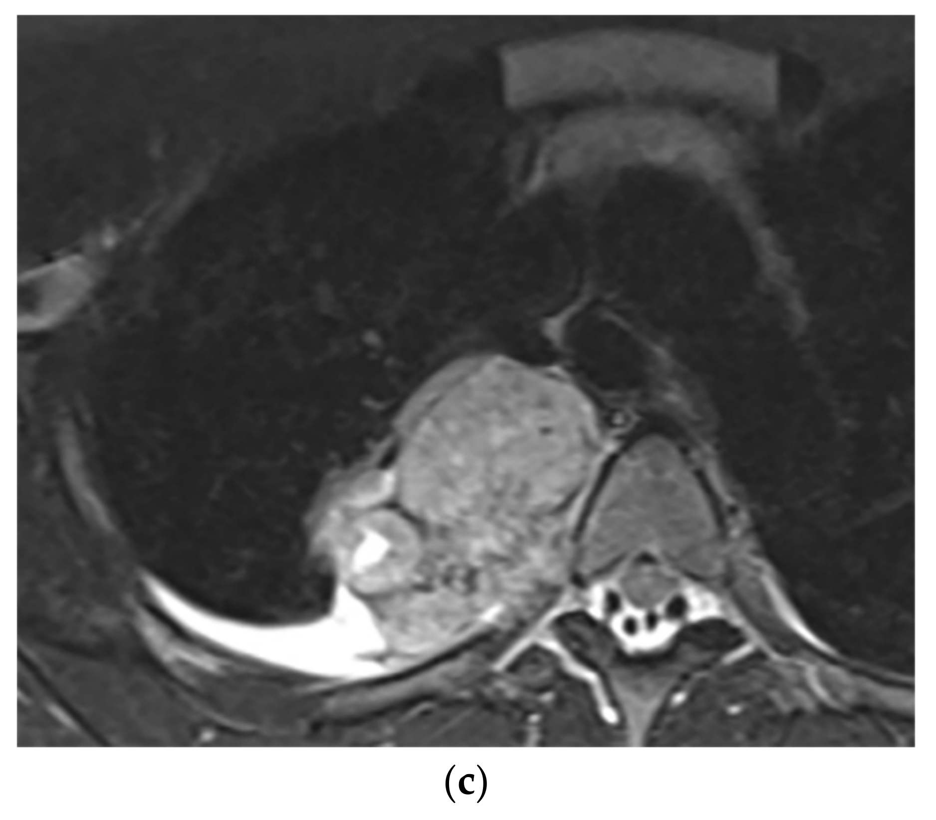
7. Benign Bone Tumors
7.1. Aneurysmal Bone Cyst
7.2. Fibrous Dysplasia
7.3. Giant Cell Tumor
7.4. Enchondroma
7.5. Chondromyxoid Fibroma
7.6. Chondroblastoma
7.7. Paget’s Disease of the Rib
8. Spondylodiskitis
8.1. Pyogenic Spondylodiskitis
8.2. Tuberculosis Spondylodiskitis
9. Soft-Tissue Tumors and Tumor-Like Lesions
9.1. Primary Neurogenic Lesions
9.1.1. Schwannoma
9.1.2. Neurofibroma
9.1.3. Neuroblastoma
9.1.4. Ganglioneuroma
9.2. Lateral Meningocele
9.3. Pseudomeningocele
10. Lipomatosis Tumors
10.1. Lipoma
10.2. Liposarcoma
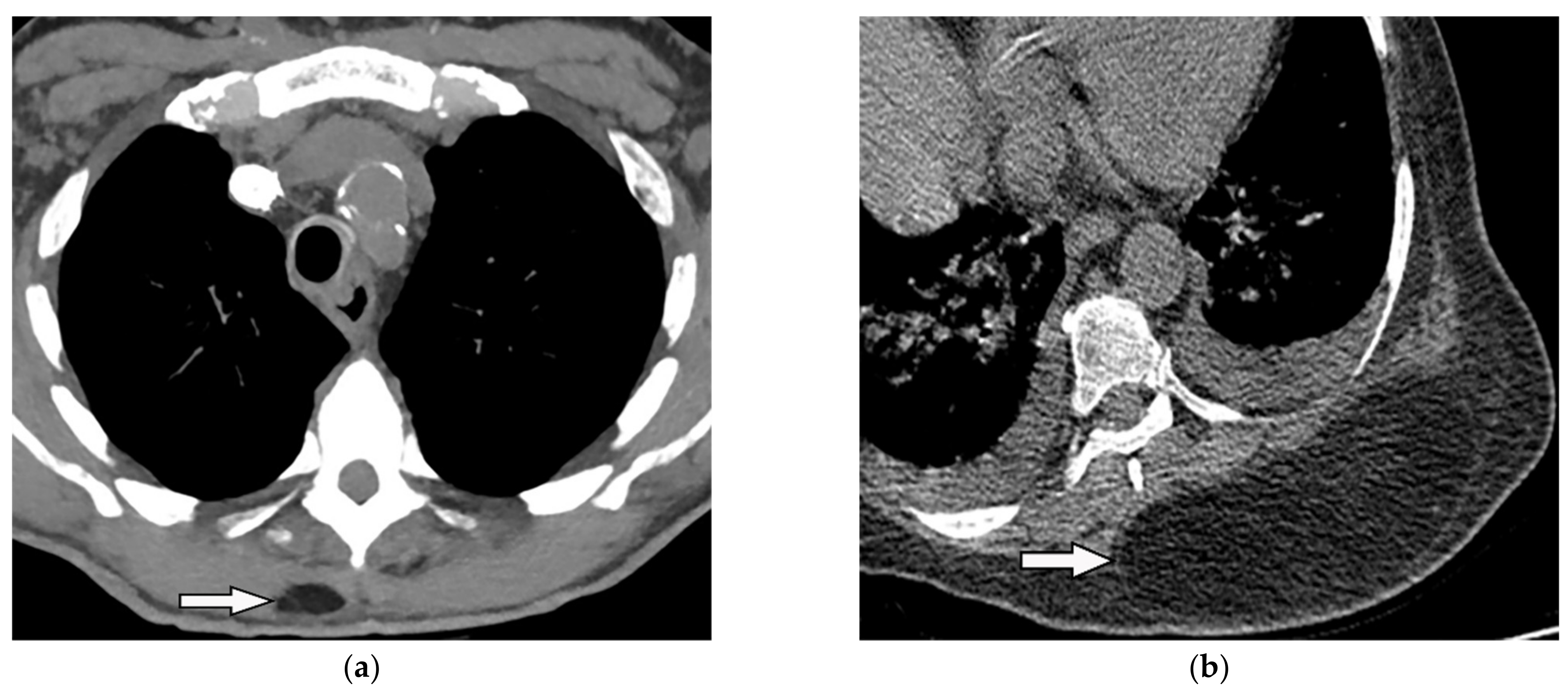
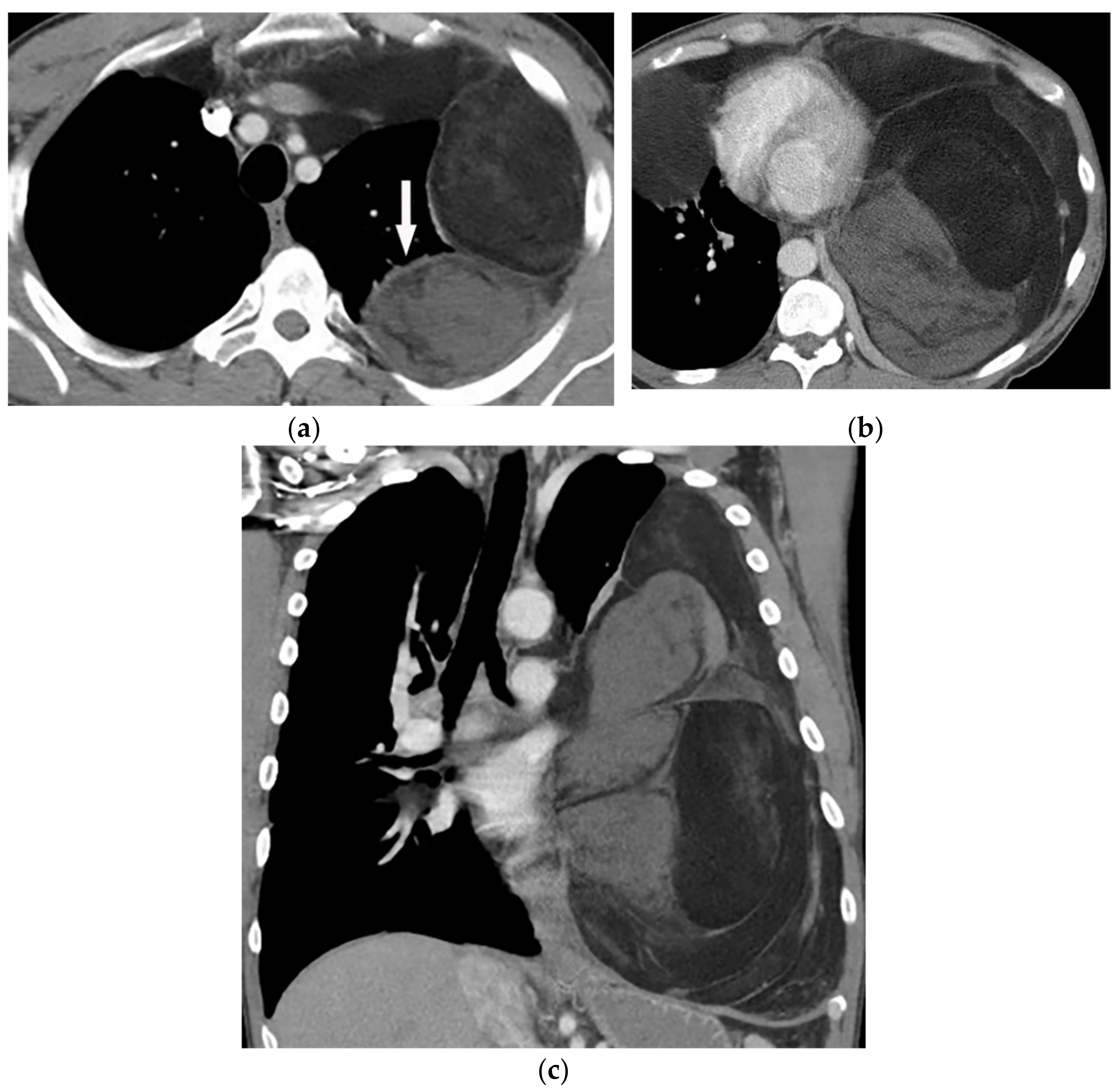
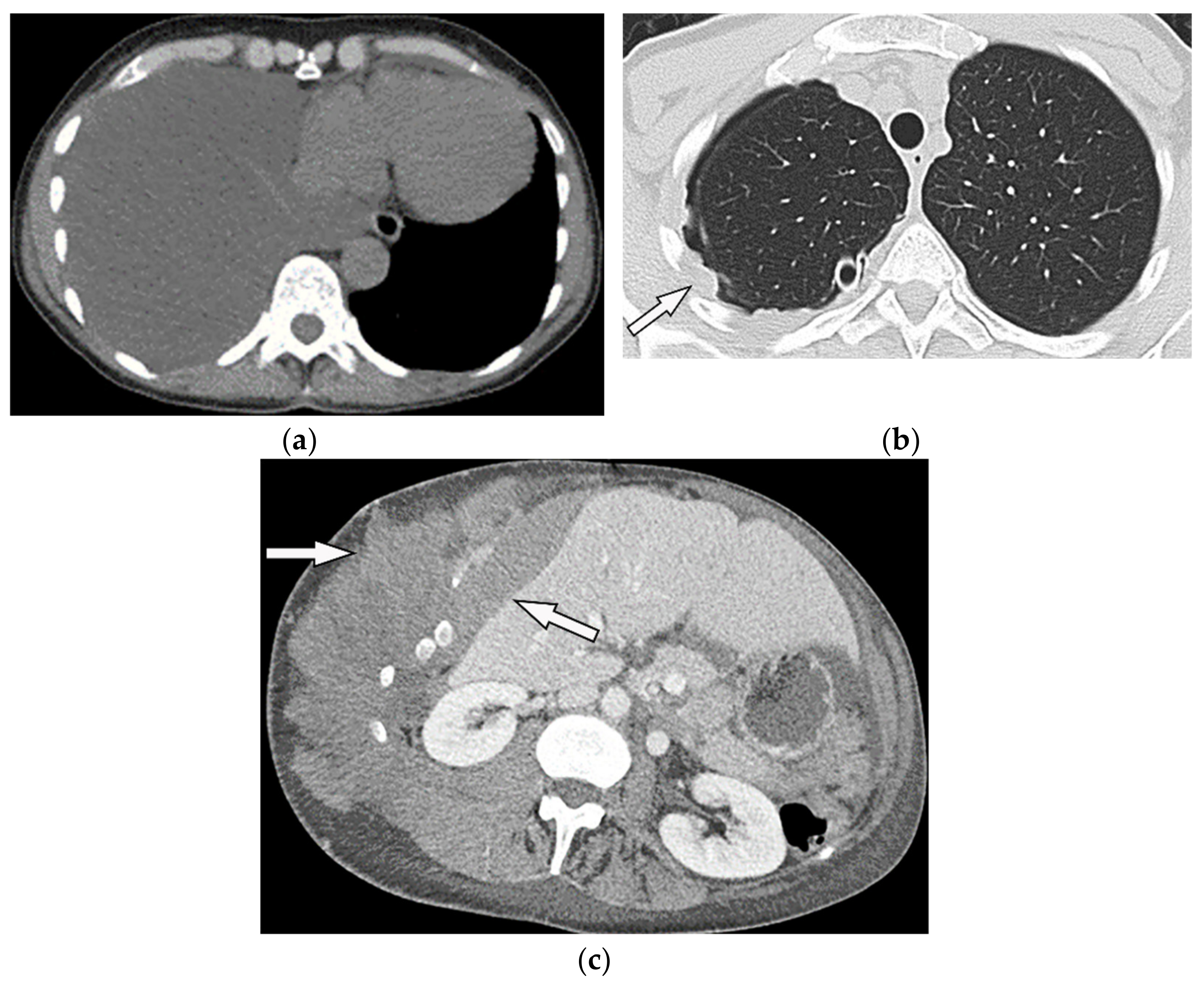
11. Pleural Diseases
11.1. Empyema Necessitance
11.2. Asbestos-Related Pleural Diseases
11.3. Mesothelioma
12. Other Soft Tissue Lesions
12.1. Rhabdomyosarcoma
12.2. Extramedullary Hematopoiesis
12.3. Extramedullary Plasmacytoma
13. Conclusions
Author Contributions
Funding
Conflicts of Interest
Abbreviations
References
- Carter, B.W.; Benveniste, M.F.; Betancourt, S.L.; De Groot, P.M.; Lichtenberger, J.P., III; Amini, B.; Abbott, G.F. Imaging evaluation of malignant chest wall neoplasms. Radiographics 2016, 36, 1285–1306. [Google Scholar] [CrossRef] [PubMed]
- Mullan, C.P.; Madan, R.; Trotman-Dickenson, B.; Qian, X.; Jacobson, F.L.; Hunsaker, A. Radiology of chest wall masses. Am. J. Roentgenol. 2011, 197, W460–W470. [Google Scholar] [CrossRef] [PubMed]
- Tateishi, U.; Gladish, G.; Kusumoto, M.; Hasegawa, T.; Yokoyama, R.; Tsuchiya, R.; Moriyama, N. Chest wall tumors: Radiologic findings and pathologic correlation: Part 1. Benign tumors. Radiographics 2003, 23, 1477–1490. [Google Scholar] [CrossRef] [PubMed]
- Bueno, J.; Lichtenberger, J.P.; Rauch, G.; Carter, B.W. MR imaging of primary chest wall neoplasms. Top. Magn. Reson. Imaging 2018, 27, 83–93. [Google Scholar] [CrossRef]
- Clemens, M.W.; Evans, K.K.; Mardini, S.; Arnold, P.G. Introduction to Chest Wall Reconstruction: Anatomy and Physiology of the Chest and Indications for Chest Wall Reconstruction; Seminars in Plastic Surgery Thieme Medical Publishers: New York, NY, USA, 2011; pp. 5–15. [Google Scholar]
- Imperato, M.C.; Monti, R.; Cappabianca, S.; Caranci, F.; Conforti, R. Thoracic Boundary Pathology: Radiological Investigation and Review. J. Radiol. Clin. Imaging 2021, 4, 141–158. [Google Scholar] [CrossRef]
- Pavlus, J.D.; Carter, B.W.; Tolley, M.D.; Keung, E.S.; Khorashadi, L.; Lichtenberger, J.P., 3rd. Imaging of thoracic neurogenic tumors. Am. J. Roentgenol. 2016, 207, 552–561. [Google Scholar] [CrossRef]
- Nam, S.J.; Kim, S.; Lim, B.J.; Yoon, C.-S.; Kim, T.H.; Suh, J.-S.; Ha, D.H.; Kwon, J.W.; Yoon, Y.C.; Chung, H.W. Imaging of primary chest wall tumors with radiologic-pathologic correlation. Radiographics 2011, 31, 749–770. [Google Scholar] [CrossRef]
- Maheshwarappa, R.P.; Rajdev, M.; Nagpal, P.; Gholamrezanezhad, A.; Soni, N.; Gupta, A. Multimodality imaging of the extrapleural space lesions. Clin. Imaging 2021, 79, 64–84. [Google Scholar] [CrossRef]
- Jaiswal, L.S.; Neupane, D. Benign rib tumors: A case series from tertiary care Centre of Nepal and review of literature. J. Surg. Case Rep. 2021, 2021, rjab518. [Google Scholar] [CrossRef]
- Aboughalia, H.A.; Ngo, A.-V.; Menashe, S.J.; Kim, H.H.; Iyer, R.S. Pediatric rib pathologies: Clinicoimaging scenarios and approach to diagnosis. Pediatr. Radiol. 2021, 51, 1783–1797. [Google Scholar] [CrossRef]
- Graeber, G.M.; Nazim, M. The anatomy of the ribs and the sternum and their relationship to chest wall structure and function. Thorac. Surg. Clin. 2007, 17, 473–489. [Google Scholar] [CrossRef]
- Taralli, S.; Giancipoli, R.G.; Caldarella, C.; Scolozzi, V.; Ricciardi, S.; Cardillo, G.; Calcagni, M.L. The Prognostic Value of 18F-FDG PET Imaging at Staging in Patients with Malignant Pleural Mesothelioma: A Literature Review. J. Clin. Med. 2022, 11, 33. [Google Scholar] [CrossRef]
- Chassagnon, G.; Vakalopoulou, M.; Paragios, N.; Revel, M.-P. Artificial intelligence applications for thoracic imaging. Eur. J. Radiol. 2020, 123, 108774. [Google Scholar] [CrossRef]
- Fischer, A.M.; Yacoub, B.; Savage, R.H.; Martinez, J.D.; Wichmann, J.L.; Sahbaee, P.; Grbic, S.; Varga-Szemes, A.; Schoepf, U.J. Machine learning/deep neuronal network: Routine application in chest computed tomography and workflow considerations. J. Thorac. Imaging 2020, 35, S21–S27. [Google Scholar] [CrossRef]
- Tateishi, U.; Gladish, G.W.; Kusumoto, M.; Hasegawa, T.; Yokoyama, R.; Tsuchiya, R.; Moriyama, N. Chest wall tumors: Radiologic findings and pathologic correlation: Part 2. Malignant tumors. Radiographics 2003, 23, 1491–1508. [Google Scholar] [CrossRef]
- Gladish, G.W.; Sabloff, B.M.; Munden, R.F.; Truong, M.T.; Erasmus, J.J.; Chasen, M.H. Primary thoracic sarcomas. Radiographics 2002, 22, 621–637. [Google Scholar] [CrossRef] [PubMed]
- Zhang, J.; Dong, A.; Cui, Y.; Wang, Y. FDG PET/CT in a case of primary pulmonary Ewing sarcoma. Clin. Nucl. Med. 2019, 44, 666–668. [Google Scholar] [CrossRef]
- Guimarães, J.B.; Rigo, L.; Lewin, F.; Emerick, A. The importance of PET/CT in the evaluation of patients with Ewing tumors. Radiol. Bras. 2015, 48, 175–180. [Google Scholar] [CrossRef]
- Jesus-Garcia, R.; Osawa, A.; Filippi, R.Z.; Viola, D.C.; Korukian, M.; de Carvalho Campos Neto, G.; Wagner, J. Is PET-CT an accurate method for the differential diagnosis between chondroma and chondrosarcoma? SpringerPlus 2016, 5, 236. [Google Scholar] [CrossRef]
- Ormond Filho, A.G.; Carneiro, B.C.; Pastore, D.; Silva, I.P.; Yamashita, S.R.; Consolo, F.D.; Hungria, V.T.M.; Sandes, A.F.; Rizzatti, E.G.; Nico, M.A.C. Whole-Body Imaging of Multiple Myeloma: Diagnostic Criteria. Radiographics 2019, 39, 1077–1097. [Google Scholar] [CrossRef] [PubMed]
- Hanrahan, C.J.; Christensen, C.R.; Crim, J.R. Current concepts in the evaluation of multiple myeloma with MR imaging and FDG PET/CT. Radiographics 2010, 30, 127–142. [Google Scholar] [CrossRef]
- Singal, R.; Dalal, U.; Dalal, A.K.; Attri, A.K.; Gupta, S.; Raina, R. Solitary plasmacytoma of the rib: A rare case. Lung India 2011, 28, 309–311. [Google Scholar] [CrossRef] [PubMed]
- Kayhan, S.; Yilmaz, M.A. Solitary Plasmacytoma of the Chest Wall. J. Clin. Anal. Med. 2015, 6, 496–498. [Google Scholar]
- Haaga, J.R.; Boll, D. Computed Tomography & Magnetic Resonance Imaging of The Whole Body E-Book; Elsevier Health Sciences: Amsterdam, The Netherlands, 2016. [Google Scholar]
- Albano, D.; Bosio, G.; Treglia, G.; Giubbini, R.; Bertagna, F. 18F-FDG PET/CT in solitary plasmacytoma: Metabolic behavior and progression to multiple myeloma. Eur. J. Nucl. Med. Mol. Imaging 2018, 45, 77–84. [Google Scholar] [CrossRef]
- Song, W.; Suurmeijer, A.J.H.; Bollen, S.M.; Cleton-Jansen, A.M.; Bovée, J.; Kroon, H.M. Soft tissue aneurysmal bone cyst: Six new cases with imaging details, molecular pathology, and review of the literature. Skelet. Radiol. 2019, 48, 1059–1067. [Google Scholar] [CrossRef]
- Aras, M.; Ones, T.; Dane, F.; Nosheri, O.; Inanir, S.; Erdil, T.Y.; Turoglu, H.T. False Positive FDG PET/CT Resulting from Fibrous Dysplasia of the Bone in the Work-Up of a Patient with Bladder Cancer: Case Report and Review of the Literature. Iran. J. Radiol. 2012, 10, 41–44. [Google Scholar] [CrossRef]
- Fitzpatrick, K.A.; Taljanovic, M.S.; Speer, D.P.; Graham, A.R.; Jacobson, J.A.; Barnes, G.R.; Hunter, T.B. Imaging findings of fibrous dysplasia with histopathologic and intraoperative correlation. AJR Am. J. Roentgenol. 2004, 182, 1389–1398. [Google Scholar] [CrossRef]
- Muheremu, A.; Ma, Y.; Huang, Z.; Shan, H.; Li, Y.; Niu, X. Diagnosing giant cell tumor of the bone using positron emission tomography/computed tomography: A retrospective study of 20 patients from a single center. Oncol. Lett. 2017, 14, 1985–1988. [Google Scholar] [CrossRef]
- Chakarun, C.J.; Forrester, D.M.; Gottsegen, C.J.; Patel, D.B.; White, E.A.; Matcuk, G.R., Jr. Giant cell tumor of bone: Review, mimics, and new developments in treatment. Radiographics 2013, 33, 197–211. [Google Scholar] [CrossRef]
- Zarqane, H.; Viala, P.; Dallaudière, B.; Vernhet, H.; Cyteval, C.; Larbi, A. Tumors of the rib. Diagn. Interv. Imaging 2013, 94, 1095–1108. [Google Scholar] [CrossRef]
- Yamamoto, A.; Takada, K.; Motoi, T.; Imamura, T.; Furui, S. Chondromyxoid fibroma of the rib with prominent exophytic configuration. Jpn. J. Radiol. 2012, 30, 81–85. [Google Scholar] [CrossRef] [PubMed]
- Brandolini, J.; Bertolaccini, L.; Pardolesi, A.; Salvi, M.; Valli, M.; Solli, P. Chondroblastoma of the rib in a 47-year-old man: A case report with a systematic review of literature. J. Thorac. Dis. 2017, 9, E907–E911. [Google Scholar] [CrossRef] [PubMed]
- Levine, B.D.; Motamedi, K.; Chow, K.; Gold, R.H.; Seeger, L.L. CT of rib lesions. AJR Am. J. Roentgenol. 2009, 193, 5–13. [Google Scholar] [CrossRef] [PubMed]
- Kaim, A.H.; Hügli, R.; Bonél, H.M.; Jundt, G. Chondroblastoma and clear cell chondrosarcoma: Radiological and MRI characteristics with histopathological correlation. Skelet. Radiol. 2002, 31, 88–95. [Google Scholar] [CrossRef]
- Theodorou, D.J.; Theodorou, S.J.; Kakitsubata, Y. Imaging of Paget disease of bone and its musculoskeletal complications: Review. AJR Am. J. Roentgenol. 2011, 196 (Suppl. 6), S64–S75. [Google Scholar] [CrossRef]
- Park, E.T.; Kim, S.E. Radiography, Bone Scan, and F-18 FDG PET/CT Imaging Findings in a Patient with Paget’s Disease. Nucl. Med. Mol. Imaging 2010, 44, 87–89. [Google Scholar] [CrossRef][Green Version]
- Hong, S.H.; Choi, J.-Y.; Lee, J.W.; Kim, N.R.; Choi, J.-A.; Kang, H.S. MR Imaging Assessment of the Spine: Infection or an Imitation? Radiographics 2009, 29, 599–612. [Google Scholar] [CrossRef]
- Ramadani, N.; Dedushi, K.; Kabashi, S.; Mucaj, S. Radiologic Diagnosis of Spondylodiscitis, Role of Magnetic Resonance. Acta Inf. Med. 2017, 25, 54–57. [Google Scholar] [CrossRef]
- Kumar, Y.; Gupta, N.; Chhabra, A.; Fukuda, T.; Soni, N.; Hayashi, D. Magnetic resonance imaging of bacterial and tuberculous spondylodiscitis with associated complications and non-infectious spinal pathology mimicking infections: A pictorial review. BMC Musculoskelet. Disord. 2017, 18, 244. [Google Scholar] [CrossRef]
- Yeom, J.A.; Lee, I.S.; Suh, H.B.; Song, Y.S.; Song, J.W. Magnetic Resonance Imaging Findings of Early Spondylodiscitis: Interpretive Challenges and Atypical Findings. Korean J. Radiol. 2016, 17, 565–580. [Google Scholar] [CrossRef]
- Rha, S.E.; Byun, J.Y.; Jung, S.E.; Chun, H.J.; Lee, H.G.; Lee, J.M. Neurogenic tumors in the abdomen: Tumor types and imaging characteristics. Radiographics 2003, 23, 29–43. [Google Scholar] [CrossRef]
- Kumar, R.; Dhull, V.; Sharma, P.; Agarwala, S.; Bakhshi, S.; Bal, C.; Bhatnagar, V.; Malhotra, A. Utility of 18F-FDG PET-CT in pediatric neuroblastoma: Comparison with 131I-MIBG scintigraphy. J. Nucl. Med. 2013, 54 (Suppl. 2), 199. [Google Scholar]
- Amr, M. Predictive value of FDG PET/CT in pediatric Neuroblastoma patients. Egypt. J. Nucl. Med. 2014, 10, 46–59. [Google Scholar] [CrossRef]
- Kumar, B.E.P.; Hegde, K.V.; Kumari, G.L.; Agrawal, A. Bilateral multiple level lateral meningocoele. J. Clin. Imaging Sci. 2013, 3, 1. [Google Scholar] [CrossRef]
- Teplick, J.G.; Peyster, R.G.; Teplick, S.K.; Goodman, L.R.; Haskin, M.E. CT identification of postlaminectomy pseudomeningocele. Am. J. Neuroradiol. 1983, 4, 179–182. [Google Scholar] [CrossRef]
- Elboga, U.; Yılmaz, M.; Uyar, M.; Çelen, Y.Z.; Bakır, K.; Dikensoy, Ö. The role of FDG PET-CT in differential diagnosis of pleural pathologies. Rev. Española Med. Nucl. Imagen Mol. 2012, 31, 187–191. [Google Scholar] [CrossRef]
- Kusaka, Y.; Hering, K.G.; Parker, J.E. International Classification of HRCT for Occupational and Environmental Respiratory Diseases; Springer: Berlin, Germany, 2005. [Google Scholar]
- Gaerte, S.C.; Meyer, C.A.; Winer-Muram, H.T.; Tarver, R.D.; Conces, D.J., Jr. Fat-containing lesions of the chest. Radiographics 2002, 22, S61–S78. [Google Scholar] [CrossRef]
- Baffour, F.I.; Wenger, D.E.; Broski, S.M. 18F-FDG PET/CT imaging features of lipomatous tumors. Am. J. Nucl. Med. Mol. Imaging 2020, 10, 74. [Google Scholar]
- Yauba, M.S.; Ahmed, H.; Imoudu, I.A.; Yusuf, M.O.; Makarfi, H.U. Empyema necessitans complicating pleural effusion associated with proteus species infection: A diagnostic dilemma. Case Rep. Pediatr. 2015, 2015, 108174. [Google Scholar]
- Kellie, S.P.; Shaib, F.; Forster, D.; Mehta, J.P. Empyema Necessitatis. Chest 2010, 138, 39A. [Google Scholar] [CrossRef]
- Babamahmoodi, F.; Davoodi, L.; Sheikholeslami, R.; Ahangarkani, F. Tuberculous Empyema Necessitatis in a 40-Year-Old Immunocompetent Male. Case Rep. Infect. Dis. 2016, 2016, 4187108. [Google Scholar] [CrossRef] [PubMed]
- Roach, H.D.; Davies, G.J.; Attanoos, R.; Crane, M.; Adams, H.; Phillips, S. Asbestos: When the dust settles an imaging review of asbestos-related disease. Radiographics 2002, 22, S167–S184. [Google Scholar] [CrossRef] [PubMed]
- Nickell, L.T., Jr.; Lichtenberger, J.P., 3rd; Khorashadi, L.; Abbott, G.F.; Carter, B.W. Multimodality imaging for characterization, classification, and staging of malignant pleural mesothelioma. Radiographics 2014, 34, 1692–1706. [Google Scholar] [CrossRef] [PubMed]
- Tyszko, S.M.; Marano, G.D.; Tallaksen, R.J.; Gyure, K.A. Best cases from the AFIP: Malignant mesothelioma. Radiographics 2007, 27, 259–264. [Google Scholar] [CrossRef]
- Wang, Z.J.; Reddy, G.P.; Gotway, M.B.; Higgins, C.B.; Jablons, D.M.; Ramaswamy, M.; Hawkins, R.A.; Webb, W.R. Malignant pleural mesothelioma: Evaluation with CT, MR imaging, and PET. Radiographics 2004, 24, 105–119. [Google Scholar] [CrossRef]
- Yildirim, H.; Metintas, M.; Entok, E.; Ak, G.; Ak, I.; Dundar, E.; Erginel, S. Clinical value of fluorodeoxyglucose-positron emission tomography/computed tomography in differentiation of malignant mesothelioma from asbestos-related benign pleural disease: An observational pilot study. J. Thorac. Oncol. 2009, 4, 1480–1484. [Google Scholar] [CrossRef]
- Saboo, S.S.; Krajewski, K.M.; Zukotynski, K.; Howard, S.; Jagannathan, J.P.; Hornick, J.L.; Ramaiya, N. Imaging features of primary and secondary adult rhabdomyosarcoma. AJR. Am. J. Roentgenol. 2012, 199, W694–W703. [Google Scholar] [CrossRef]
- Dong, Y.; Zhang, X.; Wang, S.; Chen, S.; Ma, C. 18F-FDG PET/CT is useful in initial staging, restaging for pediatric rhabdomyosarcoma. Q. J. Nucl. Med. Mol. Imaging 2017, 61, 438–446. [Google Scholar] [CrossRef] [PubMed]
- Georgiades, C.S.; Neyman, E.G.; Francis, I.R.; Sneider, M.B.; Fishman, E.K. Typical and atypical presentations of extramedullary hemopoiesis. AJR Am. J. Roentgenol. 2002, 179, 1239–1243. [Google Scholar] [CrossRef]
- Roberts, A.S.; Shetty, A.S.; Mellnick, V.M.; Pickhardt, P.J.; Bhalla, S.; Menias, C.O. Extramedullary haematopoiesis: Radiological imaging features. Clin. Radiol. 2016, 71, 807–814. [Google Scholar] [CrossRef]
- Ooi, G.C.; Chim, J.C.; Au, W.Y.; Khong, P.L. Radiologic manifestations of primary solitary extramedullary and multiple solitary plasmacytomas. AJR Am. J. Roentgenol. 2006, 186, 821–827. [Google Scholar] [CrossRef] [PubMed]
- Daghighi, M.H.; Poureisa, M.; Shimia, M.; Mazaheri-Khamene, R.; Daghighi, S. Extramedullary plasmacytoma presenting as a solitary mass in the intracranial posterior fossa. Iran. J. Radiol. 2012, 9, 223–226. [Google Scholar] [CrossRef] [PubMed]







































| Origin | Malignant Neoplasm | Benign Neoplasm | 
|---|---|---|
| Osseous and cartilaginous lesions 
 | Osteosarcoma: 
 Ewing sarcoma: 
 Askin tumor Multiple myeloma Solitary plasmocytoma of bone | Osteochondroma Aneurysmal bone cyst Fibrous dysplasia of bone Ossifying fibromyxoid tumor Giant cell tumor Chondromyxoid fibroma Enchondroma Langerhans cell histiocytosis | 
| Vascular lesions 
 | Angiosarcoma Kaposi sarcoma | Lymphangioma Hemangioma | 
| Adipose tumors | Liposarcoma | Lipoma Spindle cell lipoma | 
| Neurogenic tumors 
 | Malignant peripheral nerve sheet tumor Neuroblastoma | Schwannoma Neurofibroma Ganglioneuroma Paraganglioma Meningocele | 
| Lung and pleural lesions invading the chest wall | Mesothelioma Drop metastasis of thymic malignancy Lung malignancy with chest wall invasion | Localized fibrous tumor of pleura Empyema necessitans | 
| Cutaneous lesions | Dermatofibrosarcoma protuberance | Cavernous hemangioma Epidermal inclusion cyst | 
| Fibrous and muscle tumors | Undifferentiated pleomorphic sarcoma | Fibromatosis | 
| Miscellaneous tumors | Neurofibrosarcoma | Extramedullary hematopoiesis Castleman disease Monoclonal immunoglobulin deposition diseases (MIDDs) | 
| Secondary tumors | Bone metastasis | NA | 
| Tumor Type | Imaging Findings | |
|---|---|---|
| CT | MRI | |
| Malignant | ||
| Osteosarcoma | Dense central calcification, expansile bone remodeling, periosteal reaction, pathologic fracture Sparing of the intervertebral disk while decreasing the height of the vertebral body Lung and nodal metastasis | T1W: low to intermediate signal (high signal in hemorrhage) T2W: hyperintense Mineralization: hypointense on both T1W and T2W T1W FS + C: heterogeneous enhancement | 
| Ewing sarcoma | Lytic bone destruction with ill-defined border, rare calcification, heterogenous paraspinal soft tissue with soft tissue larger than osseous component | T1W: iso to hyperintense to the muscle (high signal in hemorrhage) T2W: heterogeneous to hyperintense T1W FS + C: intense homogenous or heterogeneous enhancement | 
| Chondrosarcoma | Well-defined mass: soft tissue+ mineralization Calcification: rings and arcs, stippled or dense Invasion of adjacent structures | T1W: variable, iso to hypointense to muscle T2W: overall hyperintense Mineralization: hypointense on both T1W and T2W T1WFS + C: heterogeneous enhancement | 
| Multiple Myeloma | Osteolytic lesion with endosteal scalloping, diffuse osteopenia, multiple small lesions with mottled appearance, and osteoporotic fracture | Five patterns of marrow involvement: normal, focal, diffuse, combined diffuse and focal pattern, salt and pepper appearance. T1W: hypointense (significantly in the later phase of the disease) T2W: intermediate to hyperintense DWI: hyperintense T1WFS + C: enhancement expected | 
| Solitary Plasmacytoma of the Bone | Extrapleural mass with well-circumscribed margin and “soap bubble” appearance and rare calcification, multicystic expansion | T1W: hypointense T2W: hyperintense | 
| Benign | ||
| Aneurysmal bone cyst | Well-defined expansile osteolytic lesion with thin marginal sclerosis and typical fluid-fluid level with internal septation | Fluid-fluid level T1W: hyperintense secondary to subacute age of internal hemorrhage T1W FS + C: can be seen in solid component of secondary ABCs | 
| Fibrous dysplasia | Well-defined intramedullary osteolytic lesion with fusiform bony expansion and endosteal scalloping with preservation of cortical contour, sclerotic margin, trabeculation, and cortical thickening, “Ground glass” appearance, sometimes completely radiolucent or sclerotic | T1W: hypointense T2W: variable low to high signal depending on varying amounts of fibrous tissue | 
| Giant cell tumor | Osteolytic lesion with bone expansion, cortical thinning, and heterogeneous soft-tissue attenuation with area of hemorrhage or necrosis | T1W, T2W: low to intermediate intensity representative of the abundant internal amount of hemosiderin and collagen | 
| Enchondroma | Focally expansile well-demarcated osteolytic lesion, with or without cortical bulging, matrix calcification | T1W: significantly hypointense T2W: significantly hyperintense T1WFS + C: contrast uptake is uncommon unless in the small enchondromas or peripheral enhancement. Internal calcification: hypointense in all sequences | 
| Chondromyxoid fibroma | Cortical expansion with lobulated border, abundant peripheral sclerosis, and rarely internal matrix calcification | T1W: isointense with hypointense rim T2W: intermediate to significantly hyperintense with hypointense rim T1WFS + C: diffuse moderate to intense enhancement | 
| Chondroblastoma | Oval or round well-circumscribed lesion with internal mineralization and variable aggressiveness. Radiography is more accurate than MRI for diagnosis. | T1W: homogenously hypointense T2W: heterogeneously signal intensity with common peri-tumoral marrow edema, ABC changes, and periosteal reaction resembling malignant bone lesions. | 
| Paget’s disease of the rib | Osseous expansion, cortical thickening, and trabecular coarsening | Blastic phase: hypointense on both T1W and T2W images Lytic phase: speckled hypointense on T1W and hyperintense on T2W, T1WFS + C enhancement | 
| Tumor Type | Imaging Findings | |
|---|---|---|
| CT | MRI | |
| Primary Neurogenic Tumors | ||
| Schwannoma | Well-defined mass with homogenous attenuation, “fat-split” sign, internal calcification in long-standing schwannomas, postcontrast enhancement except for areas of necrosis. | T1W: iso or slightly hyperintense; T2W: significantly hyperintense | 
| Neurofibroma | Well-circumscribed mass with smooth margin and soft tissue attenuation, possible internal calcifications, rib erosion, neural foramina widening because of tumor extension along with the spinal nerve roots. | T2W, T1WFS + C: so-called “target sign” appearance: hyperintense rim and hypointense center | 
| Neuroblastoma [7,16,43] | Ill-defined paravertebral soft tissue mass with heterogeneous attenuation with internal calcification in at least 30% of cases (spotty calcification). | T1W: hyposignal T2W: hyperintense T1WFS + C: heterogeneous enhancement Calcification has a signal void in all sequences | 
| Ganglioneuroma [7,16,43] | Homogenous or heterogeneous attenuation with internal calcification in 25% of cases. | T1W, T2W: intermediate signal with the curvilinear or nodular low signal band making the whorled appearance | 
| Lipomatosis Tumors | ||
| Lipoma | Homogenous similar attenuation to macroscopic fat with approximate HU: −100. | T1W, T2W: signal intensity identical to subcutaneous fat T1WFS + C: no enhancement (mild enhancement can be visible for septa < 2 mm thickness) | 
| Liposarcoma | A heterogeneous mass mixture of fat and soft tissue: higher attenuation than normal fat (hypercellularity), necrosis, and calcification in myxoid subtype. Attenuation similar to fat in well-differentiated subtype. Thick septa, enhancing solid component. | T1W: variable hyperintense (myxoid liposarcoma), hypointense (well-differentiated), and intermixed hyper and hypointense (dedifferentiated subtype) T2W: hyperintense (myxoid liposarcoma and dedifferentiated subtype) T1WFS + C: variable enhancement | 
| Others | ||
| Rhabdomyosarcoma | Invasive, destructive homogenous mass with no mineralization and rapid growth with adjacent soft tissue and bone invasion. | T1W: isointense T2W: hyperintense with hypointense areas reflecting area of necrosis (alveolar and pleomorphic subtypes) T1WFS + C: homogenous or ring-like enhancement | 
| Mesothelioma | Circumferential pleural thickening, bony or cartilaginous differentiation, unilateral pleural effusion, interlobular septal thickening, tumoral extension, thoracic and extrathoracic metastasis. | T1W: unilateral hyperintense pleural effusion, iso to slightly hyperintense pleural thickening T2W: moderately hyperintense T1WFS + C: typical enhancement is expected | 
| Extramedullary Plasmacytoma | Soft tissue masses with nonspecific imaging manifestations. Larger lesions show aggressive behavior such as infiltration, destruction, and encasement. | T1W: isointense T2W: iso to hyperintense T1WFS + C: variable enhancement (from mild to marked enhancement) | 
| Tumor Type | Imaging Findings | |
|---|---|---|
| CT | MRI | |
| Neurogenic | ||
| Lateral Meningocele | Well-circumscribed paravertebral mass with attenuation similar to CSF. CT myelography: ipsilateral neural foramina enlargement communicating with subarachnoid space. | T1W: hypointense T2W: hyperintense (similar intensity to CSF) T1WFS + C: lack of enhancement | 
| Pseudomeningocele | Differentiated from Meningocele by lack of dura wrapping. | T1W: hypointense T2W: hyperintense (similar intensity to CSF) T1WFS + C: lack of enhancement [47] | 
| Others | ||
| Extramedullary hematopoiesis | Heterogeneous mass with internal foci of fat with lack of calcification. | T1W, T2W: heterogeneous with internal foci of hyperintensity in old lesions (representative of fat), the intermediate intensity with subtle or no enhancement in active lesions | 
| Asbestos-related pleural plaques | Calcified or non-calcified focal pleural thickening, “Comet tail” appearance usually seen in lower lobes [48]. | T1W: hypo to isointense T2W: hypointense (due to fibrosis or calcification) [49] | 
| Empyema necessitance | Connection of pleural collection to extrapleural mass, soft tissue inflammation, rib destruction with periosteal reaction, and fluid collection. | T1W: hypointense effusion and fluid collection T2W: hyperintense effusion, increased thickness of extrapleural fat, and chest wall muscles with hyperintense on T2WFS T1WFS + C: pleural and septal enhancement | 
| Publisher’s Note: MDPI stays neutral with regard to jurisdictional claims in published maps and institutional affiliations. | 
© 2022 by the authors. Licensee MDPI, Basel, Switzerland. This article is an open access article distributed under the terms and conditions of the Creative Commons Attribution (CC BY) license (https://creativecommons.org/licenses/by/4.0/).
Share and Cite
Haseli, S.; Mansoori, B.; Shafiei, M.; Shomal Zadeh, F.; Chalian, H.; Khoshpouri, P.; Yousem, D.; Chalian, M. A Review of Posteromedial Lesions of the Chest Wall: What Should a Chest Radiologist Know? Diagnostics 2022, 12, 301. https://doi.org/10.3390/diagnostics12020301
Haseli S, Mansoori B, Shafiei M, Shomal Zadeh F, Chalian H, Khoshpouri P, Yousem D, Chalian M. A Review of Posteromedial Lesions of the Chest Wall: What Should a Chest Radiologist Know? Diagnostics. 2022; 12(2):301. https://doi.org/10.3390/diagnostics12020301
Chicago/Turabian StyleHaseli, Sara, Bahar Mansoori, Mehrzad Shafiei, Firoozeh Shomal Zadeh, Hamid Chalian, Parisa Khoshpouri, David Yousem, and Majid Chalian. 2022. "A Review of Posteromedial Lesions of the Chest Wall: What Should a Chest Radiologist Know?" Diagnostics 12, no. 2: 301. https://doi.org/10.3390/diagnostics12020301
APA StyleHaseli, S., Mansoori, B., Shafiei, M., Shomal Zadeh, F., Chalian, H., Khoshpouri, P., Yousem, D., & Chalian, M. (2022). A Review of Posteromedial Lesions of the Chest Wall: What Should a Chest Radiologist Know? Diagnostics, 12(2), 301. https://doi.org/10.3390/diagnostics12020301
 
         
                                                


 
       