Grade 1 and 2 Chondrosarcomas of the Chest Wall: CT Imaging Features and Review of the Literature
Abstract
1. Introduction
2. Materials and Methods
2.1. Patients
2.2. Image Acquisition
2.3. Image Analysis
2.4. Pathologic Interpretation
2.5. Statistical Analysis
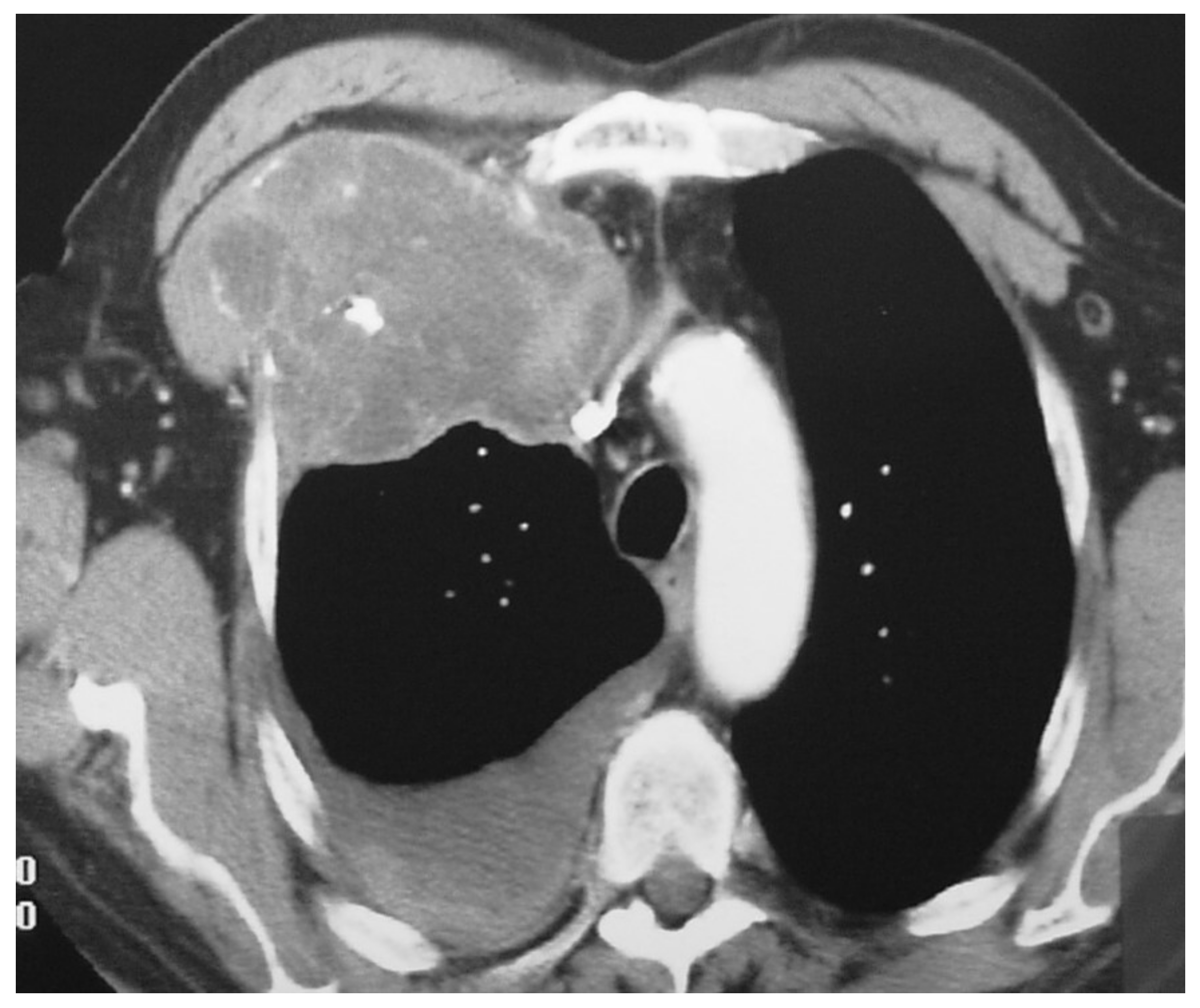
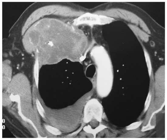
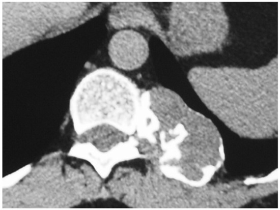
3. Results
4. Discussion
5. Conclusions
Author Contributions
Funding
Institutional Review Board Statement
Informed Consent Statement
Acknowledgments
Conflicts of Interest
References
- Liptay, M.J.; Fry, W.A. Malignant bone tumors of the chest wall. Semin. Thorac. Cardiovasc. Surg. 1999, 11, 278–284. [Google Scholar] [CrossRef]
- Tateishi, U.; Gladish, G.W.; Kusumoto, M.; Hasegawa, T.; Yokoyama, R.; Tsuchiya, R.; Moriyama, N. Chest wall tumors: Radiologic findings and pathologic correlation: Part Malignant tumors. Radiographics 2003, 23, 1491–1508. [Google Scholar] [CrossRef] [PubMed]
- Bedard, E.L.; Tang, A.; Johnston, M.R. Massive primary chest wall chondrosarcoma. Eur. J. Cardiothorac. Surg. 2004, 25, 1124–1125. [Google Scholar] [CrossRef] [PubMed]
- He, B.; Huang, Y.; Li, P.; Ye, X.; Lin, F.; Huang, L.; Gao, S.; Shi, H.; Shan, Y. A rare case of primary chondrosarcoma arising from the sternum: A case report. Oncol. Lett. 2014, 8, 2233–2236. [Google Scholar] [CrossRef][Green Version]
- Kitada, M.; Ozawa, K.; Sato, K.; Hayashi, S.; Sasajima, T. Resection of a chondrosarcoma arising in the right first rib: A case report. Ann. Thorac. Cardiovasc. Surg. 2010, 16, 119. [Google Scholar]
- Lorente, M.P.; De Arriba, C.; Sáenz, J.; Arteche, E.; Abu-Shams, K.; Beloqui, R. An incidental finding in a young woman (2006: 2b). Eur. Radiol. 2006, 16, 1181–1183. [Google Scholar] [CrossRef]
- Rad, M.G.; Mahmodlou, R.; Mohammadi, A.; Mladkova, N.; Noorozinia, F. Spontaneous massive hemothorax secondary to chest wall chondrosarcoma: A case report. Tuberk Toraks 2011, 59, 168–172. [Google Scholar] [CrossRef][Green Version]
- Sangma, M.M.; Dasiah, S. Chondrosarcoma of a rib. Int. J. Surg. Case Rep. 2015, 10, 126–128. [Google Scholar] [CrossRef]
- Yamamoto, N.; Imai, S.; Motohiro, K.; Shiota, Y.; Sato, N.; Nakayama, H.; Sasaki, N.; Taniyama, K. A case of chondrosarcoma of the low grade malignancy originated in rib. Kyobu Geka. Jpn. J. Thorac. Surg. 1995, 48, 1141–1143. [Google Scholar]
- Zisis, C.; Dountsis, A.; Dahabreh, J. Giant chest wall tumor. Eur. J. Cardiothorac. Surg. 2003, 24, 825. [Google Scholar] [CrossRef][Green Version]
- Garrison, R.C.; Unni, K.K.; McLeod, R.A.; Pritchard, D.J.; Dahlin, D.C. Chondrosarcoma arising in osteochondroma. Cancer 1982, 49, 1890–1897. [Google Scholar] [CrossRef]
- Nieh, C.C.; Chua, Y.C.; Thirugnanam, A.; Hlwan, M.H. Chest wall secondary chondrosarcoma arising from enchondroma in a young Asian female. Int. J. Surg. Case Rep. 2014, 5, 968–971. [Google Scholar] [CrossRef][Green Version]
- Rupprecht, H.; Spriewald, B.M.; Hoffmann, A.R. Successful removal of a giant recurrent chondrosarcoma of the thoracic wall in a patient with hereditary multiple exostoses. Eur. J. Surg. Oncol. 2001, 27, 216–217. [Google Scholar] [CrossRef]
- Varma, D.G.; Ayala, A.G.; Carrasco, C.H.; Guo, S.Q.; Kumar, R.; Edeiken, J. Chondrosarcoma: MR imaging with pathologic correlation. RadioGraphics 1992, 12, 687–704. [Google Scholar] [CrossRef]
- Matsuoka, K.; Ueda, M.; Miyamoto, Y. Costal chondrosarcoma requiring differential diagnosis from metastatic tumor. Asian Cardiovasc. Thorac. Ann. 2017, 25, 154–156. [Google Scholar] [CrossRef]
- Park, H.L.; Yoo, I.R.; Lee, Y.; Park, S.Y.; Jung, C.K. Giant Cell Tumor of the Rib: Two Cases of F-18 FDG PET/CT Findings. Nucl. Med. Mol. Imaging 2017, 51, 182–185. [Google Scholar] [CrossRef]
- Saitoh, G.; Yoneshima, Y.; Nakamura, T.; Kitagawa, D.; Kinjo, N.; Ohgaki, K.; Maehara, S.; Teramoto, S.; Adachi, E.; Ikeda, Y.; et al. Dedifferentiated Chondrosarcoma of the Chest Wall. Kyobu Geka. Jpn. J. Thorac. Surg. 2016, 69, 764–767. [Google Scholar]
- EAl-Refaie, R.; Amer, S.; Ismail, M.; Al-Shabrawy, M.; Al-Gamal, G.; Mokbel, E. Chondrosarcoma of the chest wall: Single-center experience. Asian Cardiovasc. Thorac. Ann. 2014, 22, 829–834. [Google Scholar] [CrossRef]
- Le, H.V.; Wadhwa, R.; Theodore, P.; Mummaneni, P. Excision of Thoracic Chondrosarcoma: Case Report and Review of Literature. Cureus 2016, 8, e708. [Google Scholar] [CrossRef]
- Mori, T.; Suzuki, M. Chest wall tumor, rib tumor. Kyobu Geka 2011, 64, 725–732. [Google Scholar]
- Wang, X.L.; De Beuckeleer, L.H.; De Schepper, A.M.A.; Van Marck, E. Low-grade chondrosarcoma vs enchondroma: Challenges in diagnosis and management. Eur. Radiol. 2001, 11, 1054–1057. [Google Scholar] [CrossRef]
- Murphey, M.D.; Flemming, D.J.; Boyea, S.R.; Bojescul, J.A.; Sweet, D.E.; Temple, H.T. Enchondroma versus chondrosarcoma in the aicular skeleton: Differentiating features. RadioGraphics 1998, 18, 1213–1237. [Google Scholar] [CrossRef]
- Rajiah, P.; Ilaslan, H.; Sundaram, M. Imaging of sarcomas of pelvic bones. Semin. Ultrasound CT MRI 2011, 32, 433–441. [Google Scholar] [CrossRef]
- Aoki, J.; Sone, S.; Fujioka, F.; Terayama, K.; Ishii, K.; Karakida, O.; Imai, S.; Sakai, F.; Imai, Y. MR of enchondroma and chondrosarcoma: Rings and arcs of Gd-DTPA enhancement. J. Comput. Assist. Tomogr. 1991, 15, 1011–1016. [Google Scholar] [CrossRef]
- Nam, S.J.; Kim, S.; Lim, B.J.; Yoon, C.-S.; Kim, T.H.; Suh, J.-S.; Ha, D.H.; Kwon, J.W.; Yoon, Y.C.; Chung, H.W.; et al. Imaging of Primary Chest Wall Tumors with Radiologic-Pathologic Correlation. RadioGraphics 2011, 31, 749–770. [Google Scholar] [CrossRef] [PubMed]
- Brown, A.L.; Barrette, W.C. Enchondroma of the sternum. Am. J. Surg. 1958, 96, 559–561. [Google Scholar] [CrossRef]
- Fink, G.; Bergman, M.; Levy, M.; Avidor, I.; Spitzer, S. Giant chondroma of the sternum mimicking a mediastinal mass. Thorax 1990, 45, 643–644. [Google Scholar] [CrossRef]
- Iartsev, L.P.; Kadyrov, F.A. A case of malignant degeneration of chondroma of the sternum. Vopr. Onkol. 1960, 6, 80–82. [Google Scholar]
- Samberg, L.C.; Wilson, G.A.; Wilson, G.S. Chondroma of sternum. A case report. Grace Hosp. Bul. 1959, 37, 93–103. [Google Scholar]
- Hughes, E.K.; James, S.L.; Butt, S.; Davies, A.M.; Saifuddin, A. Benign primary tumours of the ribs. Clin. Radiol. 2006, 61, 314–322. [Google Scholar] [CrossRef]
- Marulli, G.; Duranti, L.; Cardillo, G.; Luzzi, L.; Carbone, L.; Gotti, G.; Perissinotto, E.; Rea, F.; Pastorino, U. Primary chest wall chondrosarcomas: Results of surgical resection and analysis of prognostic factors. Eur. J. Cardiothorac. Surg. 2014, 45, e194–e201. [Google Scholar] [CrossRef] [PubMed]
- McAfee, M.K.; Pairolero, P.C.; Bergstralh, E.J.; Piehler, J.M.; Unni, K.K.; McLeod, R.A.; Bernatz, P.E.; Payne, W.S. Chondrosarcoma of the Chest Wall: Factors Affecting Survival. Ann. Thorac. Surg. 1985, 40, 535–541. [Google Scholar] [CrossRef]
- Wang, J.W.; Ger, L.P.; Shih, C.H.; Hsieh, M.C. Chondrosarcoma of bone: A statistical analysis of prognostic factors. J. Formos. Med. Assoc. 1991, 90, 998–1003. [Google Scholar] [PubMed]






| Imaging Feature | Variables | Grade 1 11/26 (42%) | Grade 2 15/26 (58%) | p-Value | All CS 26/26 (100%) |
|---|---|---|---|---|---|
| Age | Mean and range in years | 60 (33–84) | 62 (25–88) | 0.788 | 61 (25–88) |
| Gender | Males | 9/11 (82%) | 8/15 (53%) | 0.217 | 17/26 (65%) |
| Females | 2/11 (18%) | 7/15 (47%) | 9/26 (35%) |
| Imaging Features | Variables | Grade 1 11/26 (42%) | Grade2 15/26 (58%) | p-Value | All CS 26/26 (100%) |
|---|---|---|---|---|---|
| Tumor location | Costochondral junction | 9/11 (82%) | 10/15 (67%) | 0.804 | 19/26 (73%) |
| Sternum | 2/11 (18%) | 4/15 (27%) | 6/26 (23%) | ||
| Posterior rib | 0/11 (0%) | 1/15 (6%) | 1/26 (4%) | ||
| Tumor size | Mean in mm (range) | 56 (31–151) | 57 (20–127) | 0.435 | 57 (20–151) |
| Median in mm (range) | 40 (31–151) | 46 (20–127) | 45 (20–151) | ||
| Character | Lytic only | 0/11 (0%) | 3/15 (20%) | 0.238 | 3/26 (12%) |
| mixed | 11/11 (100%) | 12/15 (80%) | 23/26 (88%) | ||
| chondroid matrix only | 0/11 (0%) | 0/15 (0%) | 0/26 (0%) | ||
| Chondroid Matrix | 0–25% | 5/11 (45%) | 10/15 (67%) | 0.551 | 15/26 (58%) |
| 25–50% | 4/11(36%) | 3/15 (20%) | 7/26 (27%) | ||
| 50–75% | 1/11 (9%) | 2/15 (13%) | 3/26 (12%) | ||
| 75–100% | 1/11 (9%) | 0/15 (0%) | 1/26 (4%) | ||
| Fracture | No | 9/ 11(82%) | 15/15(100%) | 0.169 | 24/26 (92%) |
| Yes | 2/11 (18%) | 0/15 (0%) | 2/26 (8%) | ||
| Tumor location within the bone | Central | 5/11 (45%) | 7/15 (47%) | 1.000 | 12/26 (48%) |
| peripheral | 6/11 (55%) | 8/15 (53%) | 14/26 (52%) | ||
| Soft tissue mass | No | 3/11(27%) | 1/15 (7%) | 0.279 | 4/26 (15%) |
| Yes | 8/11(73%) | 14/15 (93%) | 22/26 (85%) |
Publisher’s Note: MDPI stays neutral with regard to jurisdictional claims in published maps and institutional affiliations. |
© 2022 by the authors. Licensee MDPI, Basel, Switzerland. This article is an open access article distributed under the terms and conditions of the Creative Commons Attribution (CC BY) license (https://creativecommons.org/licenses/by/4.0/).
Share and Cite
Del Grande, F.; Ahlawat, S.; McCarthy, E.; Fayad, L.M. Grade 1 and 2 Chondrosarcomas of the Chest Wall: CT Imaging Features and Review of the Literature. Diagnostics 2022, 12, 292. https://doi.org/10.3390/diagnostics12020292
Del Grande F, Ahlawat S, McCarthy E, Fayad LM. Grade 1 and 2 Chondrosarcomas of the Chest Wall: CT Imaging Features and Review of the Literature. Diagnostics. 2022; 12(2):292. https://doi.org/10.3390/diagnostics12020292
Chicago/Turabian StyleDel Grande, Filippo, Shivani Ahlawat, Edward McCarthy, and Laura M. Fayad. 2022. "Grade 1 and 2 Chondrosarcomas of the Chest Wall: CT Imaging Features and Review of the Literature" Diagnostics 12, no. 2: 292. https://doi.org/10.3390/diagnostics12020292
APA StyleDel Grande, F., Ahlawat, S., McCarthy, E., & Fayad, L. M. (2022). Grade 1 and 2 Chondrosarcomas of the Chest Wall: CT Imaging Features and Review of the Literature. Diagnostics, 12(2), 292. https://doi.org/10.3390/diagnostics12020292
