Behçet’s Disease: A Radiological Review of Vascular and Parenchymal Pulmonary Involvement
Abstract
1. Introduction
2. Imaging Approach to Thoracic Involvement in Behcet’s Disease
2.1. Vascular Involvement
2.1.1. Systemic Arterial Manifestations
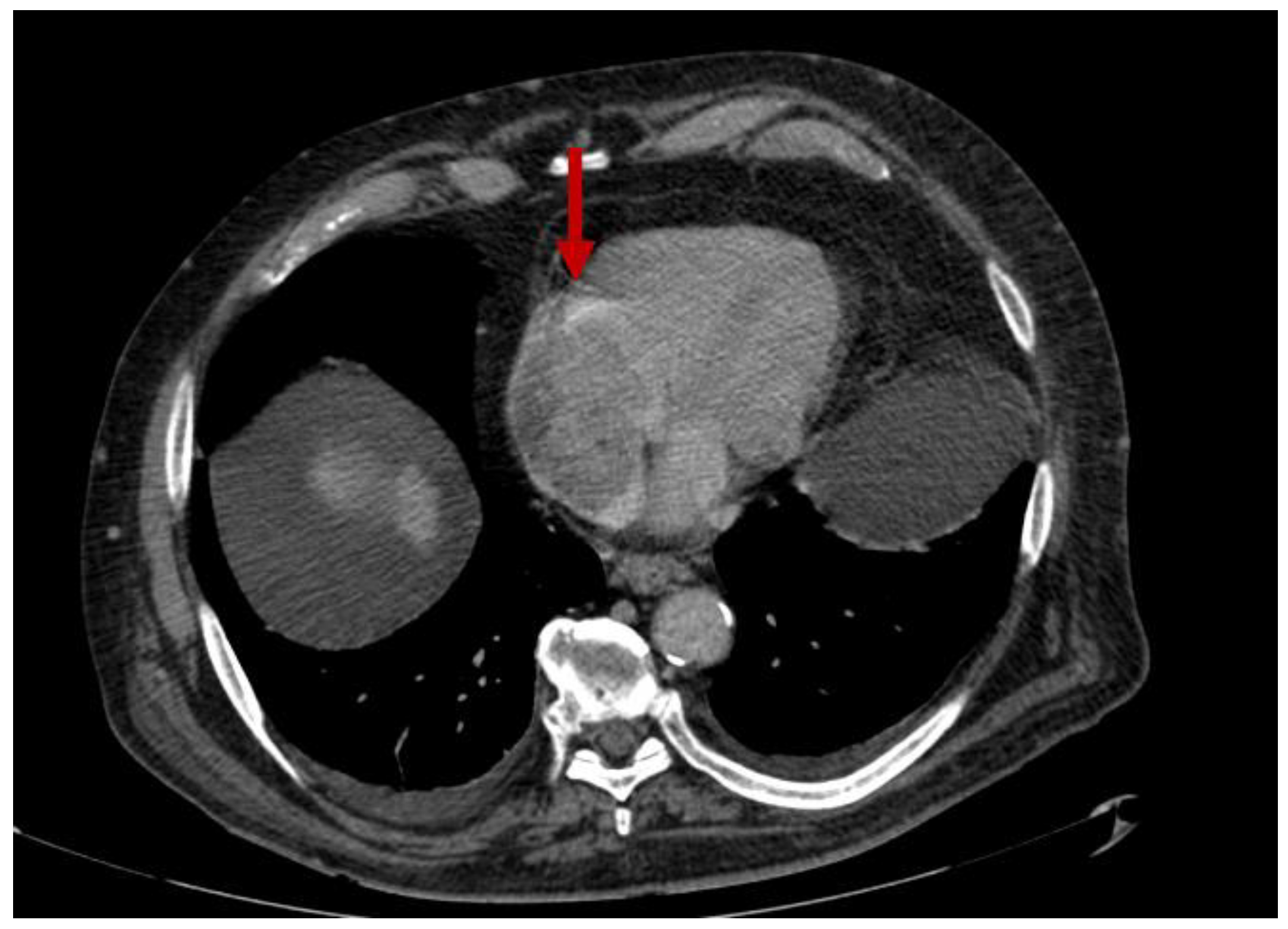
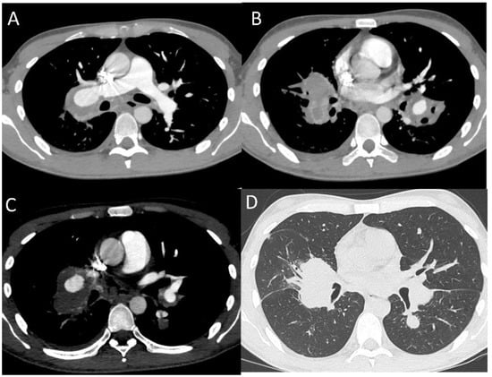
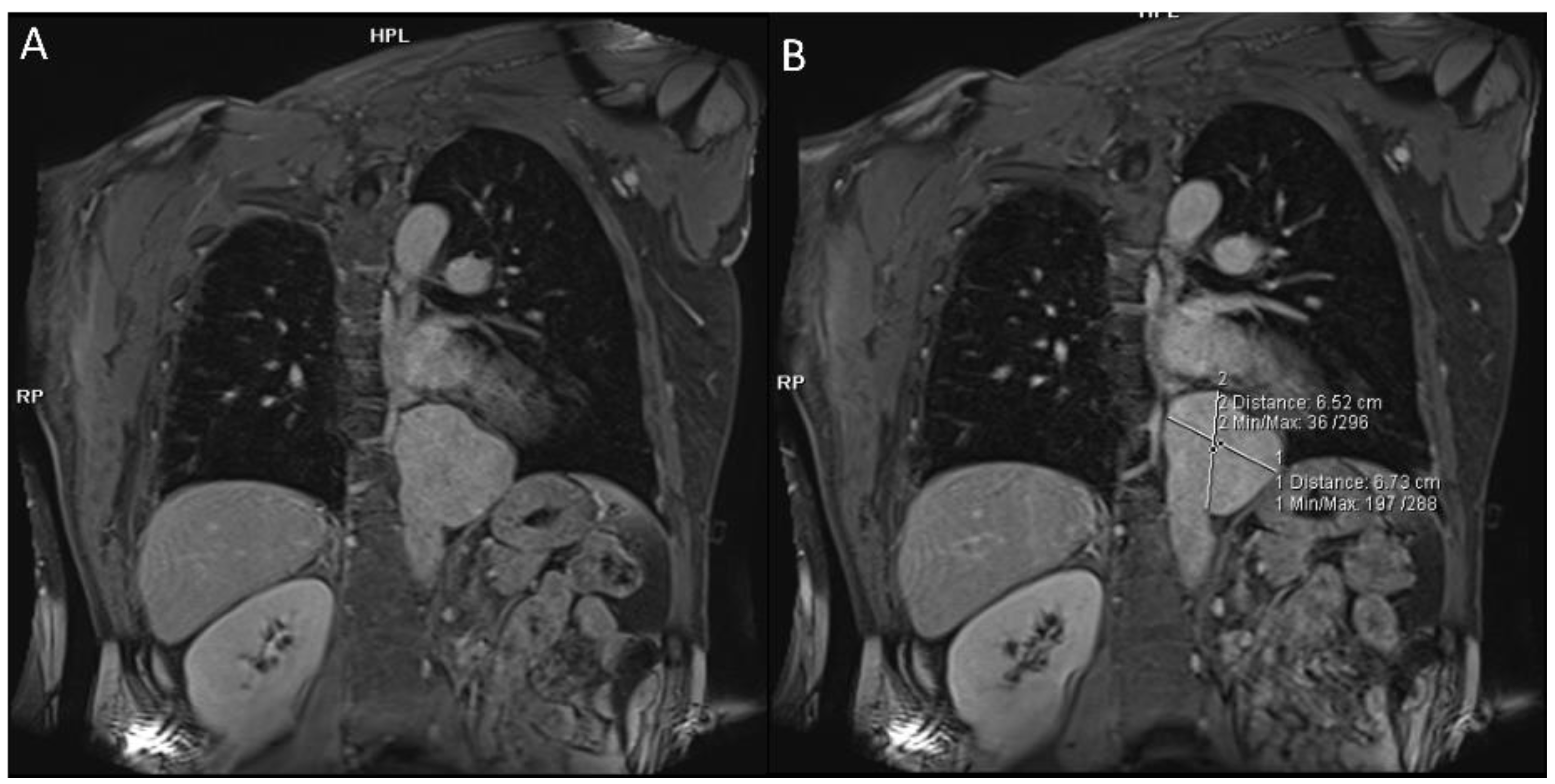
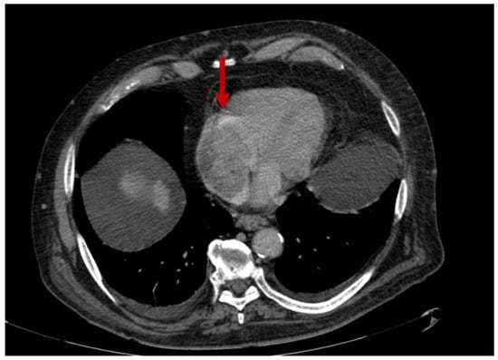
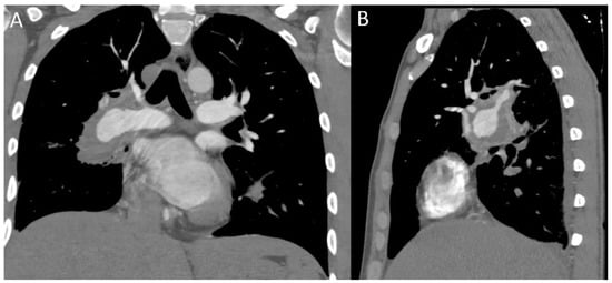
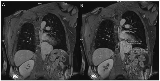
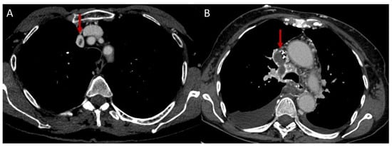
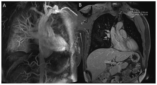
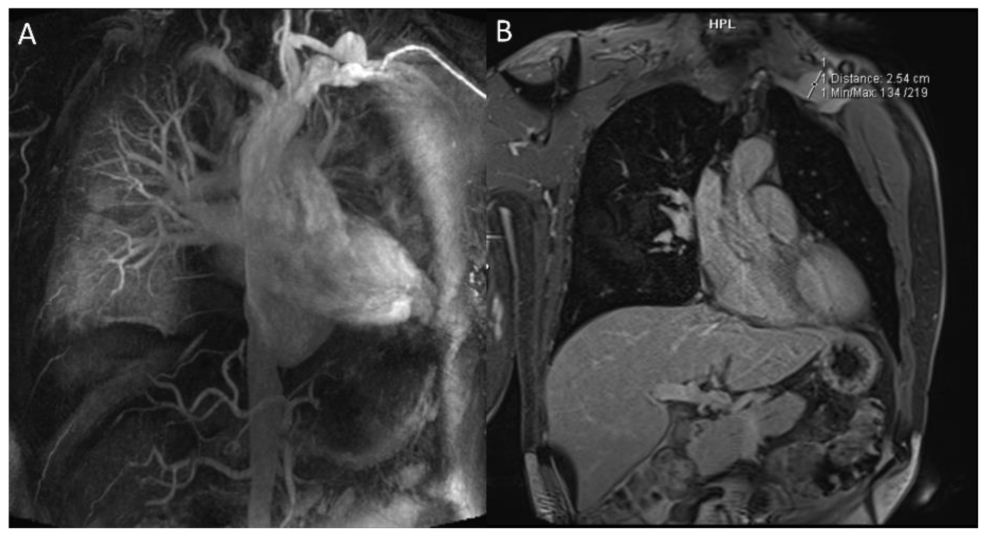
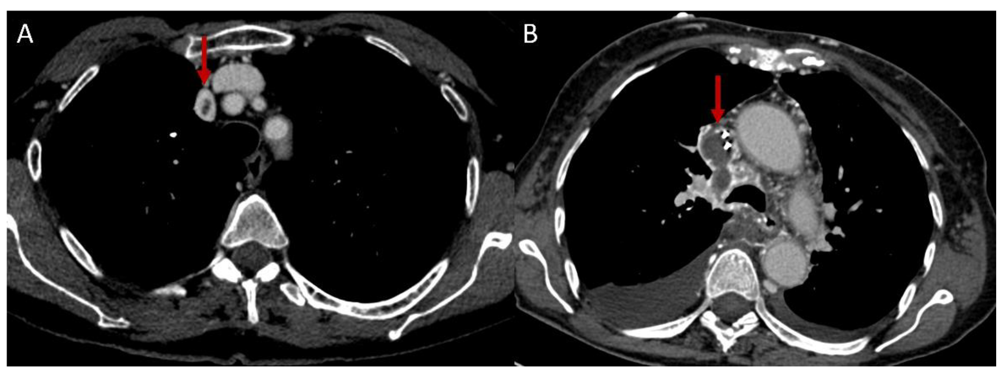
2.1.2. Pulmonary Arterial Manifestations
2.1.3. Systemic Veins
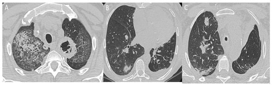
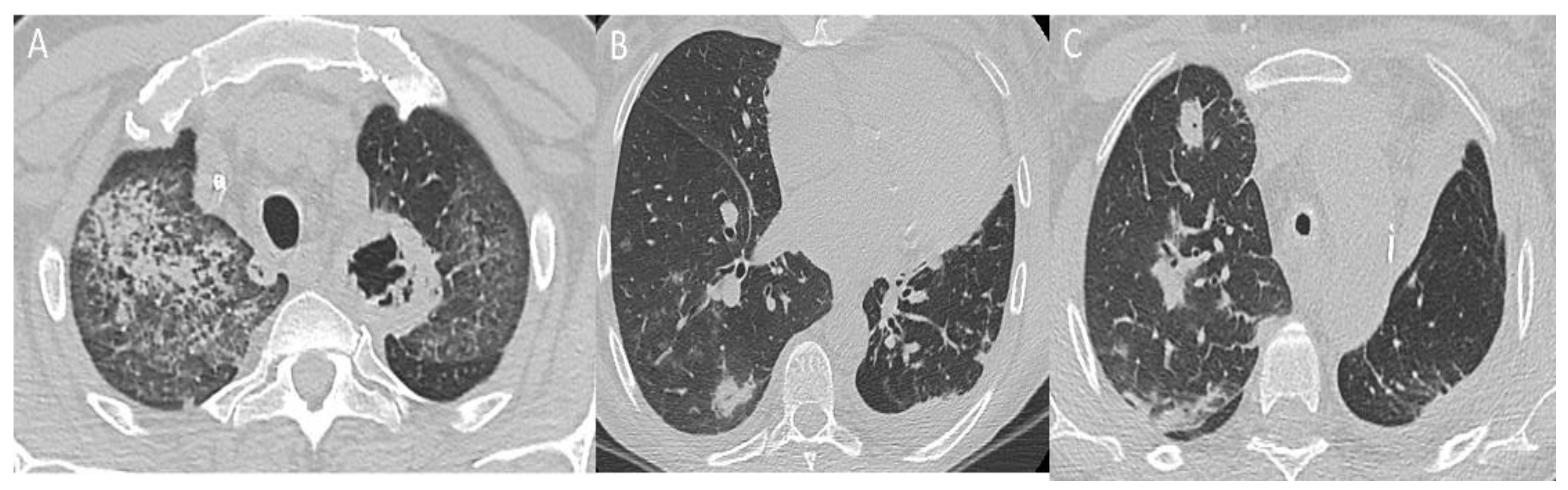
2.2. Pleural and Lung Parenchymal Involvement
2.3. Mediastinum and Heart
3. Management and Therapy
4. Conclusions
Author Contributions
Funding
Institutional Review Board Statement
Informed Consent Statement
Data Availability Statement
Conflicts of Interest
References
- Jennette, J.C.; Falk, R.J.; Bacon, P.A.; Basu, N.; Cid, M.C.; Ferrario, F.; Flores-Suarez, L.F.; Gross, W.L.; Guillevin, L.; Hagen, E.C.; et al. 2012 Revised International Chapel Hill Consensus Conference Nomenclature of Vasculitides. Arthritis Rheum. 2013, 65, 1–11. [Google Scholar] [CrossRef] [PubMed]
- Zouboulis, C.C.; Kötter, I.; Djawari, D.; Krause, L.; Pleyer, U.; Stadler, R.; Kirch, W.; Wollina, U.; Kohl, P.K.; Keitel, W.; et al. Current Epidemiological Data from the German Registry of Adamantiades-Behçet’s Disease. Adv. Exp. Med. Biol. 2003, 528, 43–48. [Google Scholar] [CrossRef] [PubMed]
- Türsen, Ü. Pathophysiology of the Behçet’s Disease. Patholog. Res. Int. 2012, 2012, 1–11. [Google Scholar] [CrossRef]
- de Vargas, R.M.; da Cruz, M.L.N.; Giarllarielli, M.P.H.; Sano, B.M.; da Silva, G.I.; Zoccal, K.F.; Tefé-Silva, C. Vascular Involvement in Behçet’s Disease: The Immunopathological Process. J. Vasc. Bras. 2021, 20, e20200170. [Google Scholar] [CrossRef]
- Davatchi, F.; Shahram, F.; Chams-Davatchi, C.; Shams, H.; Nadji, A.; Akhlaghi, M.; Faezi, T.; Ghodsi, Z.; Faridar, A.; Ashofteh, F.; et al. Behcet’s Disease: From East to West. Clin. Rheumatol. 2010, 29, 823–833. [Google Scholar] [CrossRef] [PubMed]
- Watts, R.A.; Hatemi, G.; Burns, J.C.; Mohammad, A.J. Global Epidemiology of Vasculitis. Nat. Rev. Rheumatol. 2022, 18, 22. [Google Scholar] [CrossRef]
- Maldini, C.; Druce, K.; Basu, N.; Lavalley, M.P.; Mahr, A. Meta-Analysis Exploring the Variability in Behç et’s Disease Prevalence: A Meta-Analytical Approach. Rheumatology 2018, 57, 185–195. [Google Scholar] [CrossRef]
- Hatemi, G.; Seyahi, E.; Fresko, I.; Talarico, R.; Hamuryudan, V. One Year in Review 2020: Behçet’s Syndrome. Clin. Exp. Rheumatol. 2020, 38, 3–10. [Google Scholar]
- Kokturk, A. Clinical and Pathological Manifestations with Differential Diagnosis in Behçet’s Disease. Patholog. Res. Int. 2012, 2012, 1–9. [Google Scholar] [CrossRef]
- Bettiol, A.; Prisco, D.; Emmi, G. Behçet: The Syndrome. Rheumatology 2020, 59, iii101–iii107. [Google Scholar] [CrossRef]
- Davatchi, F.; Assaad-Khalil, S.; Calamia, K.T.; Crook, J.E.; Sadeghi-Abdollahi, B.; Schirmer, M.; Tzellos, T.; Zouboulis, C.C.; Akhlagi, M.; Al-Dalaan, A.; et al. The International Criteria for Behçet’s Disease (ICBD): A Collaborative Study of 27 Countries on the Sensitivity and Specificity of the New Criteria. J. Eur. Acad. Dermatol. Venereol. 2014, 28, 338–347. [Google Scholar] [CrossRef]
- Davatchi, F.; Chams-Davatchi, C.; Shams, H.; Shahram, F.; Nadji, A.; Akhlaghi, M.; Faezi, T.; Ghodsi, Z.; Sadeghi Abdollahi, B.; Ashofteh, F.; et al. Behcet’s Disease: Epidemiology, Clinical Manifestations, and Diagnosis. Expert. Rev. Clin. Immunol. 2017, 13, 57–65. [Google Scholar] [CrossRef] [PubMed]
- Sacoto, G.; Boukhlal, S.; Specks, L.; Flores-Suàrez, L.F.; Cornec, D. Lung involvement in ANCA-associated vasculitis. Presse Med 2020, 49, 104039. [Google Scholar] [CrossRef] [PubMed]
- Adams, T.N.; Zhang, D.; Batra, K.; Fitzgerald, J.E. Pulmonary Manifestations of Large, Medium, and Variable Vessel Vasculitis. Respir. Med. 2018, 145, 182–191. [Google Scholar] [CrossRef]
- Kiafar, M.; Faezi, S.T.; Kasaeian, A.; Baghdadi, A.; Kakaei, S.; Mousavi, S.A.; Nejadhosseinian, M.; Shahram, F.; Ghodsi, S.Z.; Shams, H.; et al. Diagnosis of Behçet’s Disease: Clinical Characteristics, Diagnostic Criteria, and Differential Diagnoses. BMC Rheumatol 2021, 5, 1–7. [Google Scholar] [CrossRef]
- Cozzi, D.; Moroni, C.; Addeo, G.; Danti, G.; Lanzetta, M.M.; Cavigli, E.; Falchini, M.; Marra, F.; Piccolo, C.L.; Brunese, L.; et al. Radiological Patterns of Lung Involvement in Inflammatory Bowel Disease. Gastroenterol. Res. Pract. 2018, 2018, 1–10. [Google Scholar] [CrossRef]
- Davatchi, F. Behcet’s Disease. Int. J. Rheum. Dis. 2014, 17, 355–357. [Google Scholar] [CrossRef]
- Hiller, N.; Lieberman, S.; Chajek-Shaul, T.; Bar-Ziv, J.; Shaham, D. Thoracic Manifestations of Behçet Disease at CT. Radiographics 2004, 24, 801–808. [Google Scholar] [CrossRef]
- Tharwat, S.; ElAdle, S.S.; Moshrif, A.H.; Ismail, F.; El-Shereef, R.; Talaat, E.A.; Hassanein, S.; Hisham, Y.; Gheita, T.A. Computed Tomography Pulmonary Angiography (CTPA) in Behçet’s Disease Patients: A Remarkable Gender Gap and Time to Refine the Treatment Strategy. Clin. Rheumatol. 2022, 41, 195–201. [Google Scholar] [CrossRef]
- Mezalek, Z.T.; Khibri, H.; Chadli, S.; el Fari, S.; Ammouri, W.; Harmouche, H.; Maamar, M.; Adnaoui, M. Vascular Complications of Behçet Disease. Minerva Med. 2021, 112, 767–778. [Google Scholar] [CrossRef]
- Ghembaza, A.; Boussouar, S.; Saadoun, D. Thoracic Manifestations of Behcet’s Disease. Rev. Mal. Respir. 2022, 39, 523–533. [Google Scholar] [CrossRef] [PubMed]
- Tunaci, A.; Berkmen, Y.M.; Gokmen, E. Thoracic Involvement in Behçet’s Disease: Pathologic, Clinical, and Imaging Features. AJR Am. J. Roentgenol. 1995, 164, 51–56. [Google Scholar] [CrossRef] [PubMed]
- Emad, Y.; Abdel-Razek, N.; Gheita, T.; El-Wakd, M.; Gohary, T.; Samadoni, A. Multislice CT Pulmonary Findings in Behçet’s Disease (Report of 16 Cases). Clin. Rheumatol. 2007, 26, 879–884. [Google Scholar] [CrossRef] [PubMed]
- Sheth, S.; Ebert, M.D.; Fishman, E.K. Superior Vena Cava Obstruction Evaluation with MDCT. AJR Am. J. Roentgenol. 2010, 194, W336–W346. [Google Scholar] [CrossRef]
- Iula, G.; Ziviello, R.; del Vecchio, W. Aneurysms of Proximal Pulmonary Arteries: CT Diagnosis and Preoperative Assessment. Eur. Radiol. 1996, 6, 730–733. [Google Scholar] [CrossRef] [PubMed]
- Qanadli, S.D.; el Hajjam, M.; Bruckert, F.; Judet, O.; Barré, O.; Chagnon, S.; Lacombe, P. Helical CT Phlebography of the Superior Vena Cava: Diagnosis and Evaluation of Venous Obstruction. AJR Am. J. Roentgenol. 1999, 172, 1327–1333. [Google Scholar] [CrossRef]
- Zhou, J.; Zhang, D.; Wang, Z.; Hou, Y.; Liu, J.; Zeng, X.; Wang, Y.; Zheng, W.; Zhou, J.; Zhang, D.; et al. The Clinical Features, Image Findings and Risk Factors of Vena Cava Syndrome in Behçet’s Syndrome Behçet’s Syndrome with Vena Cava Syndrome. Clin. Exp. Rheumatol. 2022, 40, 1526–1534. [Google Scholar]
- Cil, B.E.; Turkbey, B.; Canyiǧit, M.; Kumbasar, O.O.; Celik, G.; Demirkazik, F.B. Transformation of a Ruptured Giant Pulmonary Artery Aneurysm into an Air Cavity after Transcatheter Embolization in a Behçet’s Patient. Cardiovasc. Intervent. Radiol. 2006, 29, 151–154. [Google Scholar] [CrossRef]
- Dumont, L.S.; Cunha, R.R.D.O.; Cardoso, T.C.A.; Fleury, L.G.; Nunes, A.W.S.; Oliveira, P.R.F.; Cardoso, H.C. Endovascular Treatment in Behçet’s Disease: An Integrative Review. J. Vasc. Bras. 2022, 21. [Google Scholar] [CrossRef]
- Ödev, K.; Tunç, R.; Varol, S.; Aydemir, H.; Yilmaz, P.D.; Korkmaz, C. Thoracic Complications in Behçet’s Disease: Imaging Findings. Can. Respir. J. 2020, 2020, 4649081. [Google Scholar] [CrossRef]
- Yazgan, Ç.; Ertürk, H.; Taşkın, A. Imaging Features of Thoracic Manifestations of Behçet’s Disease: Beyond Pulmonary Artery Involvement. Curr. Med. Imaging 2021, 17, 996–1002. [Google Scholar] [CrossRef]
- Gaudric, J.; Jayet, J.; Saadoun, D.; Couture, T.; Ferfar, Y.; Davaine, J.M.; Cacoub, P.; Chiche, L.; Koskas, F. Factors Influencing the Recurrence of Arterial Involvement after Surgical Repair in Behçet Disease. J. Vasc. Surg 2020, 72, 1761–1769. [Google Scholar] [CrossRef] [PubMed]
- Ragab, Y.; Emad, Y.; Rasker, J.J. Comment on: Behçet’s Disease in Emergency Department: A Rare Case Presenting with Haemoptysis and Massive Pulmonary Arterial Aneurysms. On Behalf of the Hughes-Stovin Syndrome (HSS) International Study Group. Sarcoidosis Vasc. Diffus. Lung Dis. 2022, 39, 2022004. [Google Scholar] [CrossRef]
- Palmucci, S.; Inì, C.; Cosentino, S.; Fanzone, L.; di Pietro, S.; di Mari, A.; Galioto, F.; Tiralongo, F.; Vignigni, G.; Toscano, S.; et al. Pulmonary Vasculitides: A Radiological Review Emphasizing Parenchymal HRCT Features. Diagnostics 2021, 11, 2318. [Google Scholar] [CrossRef] [PubMed]
- Chae, E.J.; Do, K.H.; Seo, J.B.; Park, S.H.; Kang, J.W.; Jang, Y.M.; Lee, J.S.; Song, J.W.; Song, K.S.; Lee, J.H.; et al. Radiologic and Clinical Findings of Behçet Disease: Comprehensive Review of Multisystemic Involvement. Radiographics 2008, 28, 1–56. [Google Scholar] [CrossRef]
- Hamuryudan, V.; Er, T.; Seyahi, E.; Akman, C.; Tüzün, H.; Fresko, I.; Yurdakul, S.; Numan, F.; Yazici, H. Pulmonary Artery Aneurysms in Behçet Syndrome. Am. J. Med. 2004, 117, 867–870. [Google Scholar] [CrossRef]
- Makhzoum, J.P.; Grayson, P.C.; Ponte, C.; Robson, J.; Suppiah, R.; Watts, R.A.; Luqmani, R.; Merkel, P.A.; Pagnoux, C. Pulmonary involvement in primary systemic vasculitides. Rheumatology 2021, 61, 319–330. [Google Scholar] [CrossRef]
- Edrees, A.; Naguib, S.; el Menyawi, M.; Ismail, I.; Nagah, H. Pulmonary Manifestations in a Group of Patients with Behcet’s Disease. Int. J. Rheum. Dis. 2017, 20, 269–275. [Google Scholar] [CrossRef]
- Cozzi, D.; Moroni, C.; Cavigli, E.; Bindi, A.; Bonini, M.C.; Fattorini, C.; Miele, V. Behçet Disease in Emergency Department: A Rare Case Presenting with Haemoptysis and Massive Pulmonary Arterial Aneurysms. Sarcoidosis. Vasc. Diffuse Lung Dis. 2021, 38, e2021014. [Google Scholar] [CrossRef]
- Emad, Y.; Ragab, Y.; Robinson, C.; Pankl, S.; Young, P.; Fabi, M.; Bawaskar, P.; Ibrahim, O.; Erkan, D.; Barman, B.; et al. Pulmonary Vasculitis in Hughes-Stovin Syndrome (HSS): A Reference Atlas and Computed Tomography Pulmonary Angiography Guide-a Report by the HSS International Study Group. Clin. Rheumatol. 2021, 3, 4993–5008. [Google Scholar] [CrossRef]
- Emmi, G.; Bettiol, A.; Silvestri, E.; di Scala, G.; Becatti, M.; Fiorillo, C.; Prisco, D. Vascular Behçet’s Syndrome: An Update. Intern. Emerg. Med. 2019, 14, 645–652. [Google Scholar] [CrossRef] [PubMed]
- Erkan, F.; Gül, A.; Tasali, E. Pulmonary Manifestations of Behçet’s Disease. Thorax 2001, 56, 572–578. [Google Scholar] [CrossRef]
- Kutluğ Ağaçkıran, S.; Sünbül, M.; Doğan, Z.; Kocakaya, D.; Kayacı, S.; Direskeneli, H.; Alibaz-Oner, F. Pulmonary Arterial Wall Thickness Is Increased in Behçet’s Disease Patients with Major Organ Involvement: Is It a Sign of Severity? Rheumatology 2022, keac452. [Google Scholar] [CrossRef] [PubMed]
- Erkan, F.; Kyan, E.; Tunac, A. Pulmonary Complications of Behçet’s Disease. Clin. Chest. Med. 2002, 23, 493–503. [Google Scholar] [CrossRef]
- Hatemi, G.; Christensen, R.; Bang, D.; Bodaghi, B.; Celik, A.F.; Fortune, F.; Gaudric, J.; Gul, A.; Kötter, I.; Leccese, P.; et al. 2018 Update of the EULAR Recommendations for the Management of Behçet’s Syndrome. Ann. Rheum. Dis. 2018, 77, 808–818. [Google Scholar] [CrossRef] [PubMed]
- Marten, K.; Schnyder, P.; Schirg, E.; Prokop, M.; Rummeny, E.J.; Engelke, C. Pattern-Based Differential Diagnosis in Pulmonary Vasculitis Using Volumetric CT. Am. J. Roentgenol. 2005, 184, 720–733. [Google Scholar] [CrossRef]
- Ayyildiz, V.; Aydin, Y.; Ogul, H. Pulmonary Artery Aneurysm Partially Regressing With Medical Treatment in Behçet’s Disease. Arch. Bronconeumol. 2021, 57, 588. [Google Scholar] [CrossRef]
- Jain, P.; Ruchin, P.; Suttie, J. Proximal pulmonary artery stenosis: A rare manifestation of granulomatosis with polyangiitis. Lancet 2016, 387, 2349–2350. [Google Scholar] [CrossRef]
- Yuan, S.M. Cardiothoracic Interventions in Behçet’s Disease. Clin. Exp. Rheumatol. 2014, 32, S130–S139. [Google Scholar]
- Seyahi, E.; Yazici, H. Behçet’s Syndrome: Pulmonary Vascular Disease. Curr. Opin. Rheumatol. 2015, 27, 18–23. [Google Scholar] [CrossRef]
- Eroglu, D.S.; Torgutalp, M.; Baysal, S.; Colaklar, A.; Sezer, S.; Yayla, M.E.; Uzun, C.; Turgay, T.M.; Kinikli, G.; Ates, A. Clinical Characteristics of Pulmonary Artery Involvement in Patients with Behçet’s Syndrome: Single-Centre Experience of 61 Patients. Clin. Rheumatol. 2021, 40, 4127–4134. [Google Scholar] [CrossRef] [PubMed]
- Alakkas, Z.; Kazi, W.; Mattar, M.; Salem, E.A.W.; Seleem, N.F. Pulmonary Artery Thrombosis as the First Presentation of Behçet’s Syndrome: A Case Report and Review of the Literature. J. Med. Case Rep. 2021, 15, 322. [Google Scholar] [CrossRef]
- Kanbay, A.; Mihcioğlu, İ.; Tekin, N. Behcet’s Disease Presenting with Pulmonary Thromboembolism. Tuberk. Toraks 2020, 68, 184–187. [Google Scholar] [CrossRef]
- Moumtzi, D.; Kakoura, M. Pulmonary Embolism in Behcet’s Disease: A Case Report. Monaldi. Arch. Chest. Dis. 2020, 90, 666–669. [Google Scholar] [CrossRef] [PubMed]
- Khalid, U.; Saleem, T. Hughes-Stovin Syndrome. Orphanet. J. Rare Dis. 2011, 6, 15. [Google Scholar] [CrossRef] [PubMed]
- Ukemenam, C.; Muppaneni, S.P.; De, D.; Lacasse, A. Hugh-Stovin Syndrome: The “Incomplete Behcet’s Disease”. A Case Study of a Young Adult with Recurrent Pulmonary Embolism and Pulmonary Arterial Aneurysms. J. Community Hosp. Intern. Med. Perspect. 2021, 11, 566–567. [Google Scholar] [CrossRef]
- Kechida, M.; Daadaa, S.; Jomaa, W. Clinical Presentation, Radiological Findings and Treatment Options in Hughes-Stovin Syndrome. Reumatologia 2022, 60, 148–152. [Google Scholar] [CrossRef]
- Moussa, N.; Znegui, T.; Snoussi, M.; Gargouri, R.; Bahloul, Z.; Abid, S.; Kammoun, S. Recurrent Haemoptysis Revealing Hughes-Stovin Syndrome. Eur. J. Case Rep Intern. Med. 2021, 8, 10. [Google Scholar] [CrossRef]
- Ketchum, E.S.; Zamanian, R.T.; Fleischmann, D. CT Angiography of Pulmonary Artery Aneurysms in Hughes-Stovin Syndrome. Am. J. Roentgenol. 2005, 185, 330–332. [Google Scholar] [CrossRef]
- Cole, A.; Mandava, A. Hughes-Stovin Syndrome and the Acute Management of Recurrent Pulmonary Aneurysms. Cureus 2022, 14, 9. [Google Scholar] [CrossRef]
- Toledo-Samaniego, N.; Oblitas, C.M.; Peñaloza-Martínez, E.; del-Toro-Cervera, J.; Alvarez-Sala-Walther, L.A.; Demelo-Rodríguez, P.; Galeano-Valle, F. Arterial and Venous Involvement in Behçet’s Syndrome: A Narrative Review. J. Thromb. Thrombolysis 2022, 54, 162–171. [Google Scholar] [CrossRef] [PubMed]
- Ames, P.R.J.; Steuer, A.; Pap, A.; Denman, A.M. Thrombosis in Behçet’s Disease: A Retrospective Survey from a Single UK Centre. Rheumatology 2001, 40, 652–655. [Google Scholar] [CrossRef] [PubMed]
- Ko, G.Y.; Byun, J.Y.; Choi, B.G.; Cho, S.H. The Vascular Manifestations of Behçet’s Disease: Angiographic and CT Findings. Br. J. Radiol. 2000, 73, 1270–1274. [Google Scholar] [CrossRef] [PubMed]
- Temizöz, O.; Genchellac, H.; Yekeler, E.; Demir, M.K.; Ünlü, E.; Özdemir, H. CT-Angiographic Demonstration of Hepatic Collateral Pathways Due to Superior Vena Cava Obstruction in Behçet Disease. Diagn. Interv. Radiol. 2010, 16, 302–305. [Google Scholar] [CrossRef]
- Peachell, M.B.; Müller, N.L. Pulmonary Vasculitis. Semin Respir. Crit. Care Med. 2004, 25, 483–489. [Google Scholar] [CrossRef] [PubMed][Green Version]
- Akpolat, T.; Danaci, M.; Belet, Ü.; Erkan, M.L.; Akar, H. MR Imaging and MR Angiography in Vascular Behçet’s Disease. Magn. Reson. Imaging 2000, 18, 1089–1096. [Google Scholar] [CrossRef]
- Calamia, K.T.; Schirmer, M.; Melikoglu, M. Major Vessel Involvement in Behçet Disease. Curr. Opin. Rheumatol 2005, 17, 1–8. [Google Scholar] [CrossRef]
- Sayeed, F.Z.; Nashit, M.; Bhatty, S.; Sayeed, B.Z.; Asad, F. A Case Report of Behcet’s Disease with Thromboses in the Superior Vena Cava and External Iliac Vein. Cureus 2022, 14, e24064. [Google Scholar] [CrossRef]
- Elzanaty, A.M.; Awad, M.T.; Acharaya, A.; Sabbagh, E.; Elsheikh, E.; Abdalamir, M. Superior Vena Cava Thrombosis and Dilated Cardiomyopathy as Initial Presentations of Behcet’s Disease. Thromb. J. 2020, 18, 1–4. [Google Scholar] [CrossRef]
- de Paiva, T.F.; Ribeiro, H.B.; Campanholo, C.B.; Gonçalves, C.R.; Terigoe, D.Y.; Souza, B.D.B. Behçet’s Disease Associated with Superior Vena Cava Syndrome without Thrombosis. Clin. Rheumatol. 2007, 26, 804–806. [Google Scholar] [CrossRef] [PubMed]
- Harman, M.; Sayarlioglu, M.; Arslan, H.; Ayakta, H.; Harman, E. Fibrosing Mediastinitis and Thrombosis of Superior Vena Cava Associated with Behçet’s Disease. Eur. J. Radiol. 2003, 48, 209–212. [Google Scholar] [CrossRef]
- Nair, A.A.; Christopher, D.J.; Moidu, F.; Chandran, D. Superior Vena Caval Obstruction: A Rare Presentation of Behcet’s Disease. BMJ Case Rep. 2020, 13, e236658. [Google Scholar] [CrossRef]
- Uyaroglu, O.A.; Erden, A.; Kilic, L.; Peynircioğlu, B.; Karadag, O.; Kalyoncu, U. Behçet’s Disease; A Rare Refractory Patient with Vena Cava Superior Syndrome Treated with Infliximab: A Case Report and Review of the Literature. Acta Clin. Belg. 2019, 74, 364–369. [Google Scholar] [CrossRef]
- Kızıldağ, B.; Yurttutan, N.; Sarica, M.A.; Atilla, N.; Baykara, M.; Şereflican, B.; Çetin, G.Y. Insights into Chest Computed Tomography Findings in Behcet’s Disease. Tuberk. Toraks 2018, 66, 325–333. [Google Scholar] [CrossRef]
- Nasser, M.; Cottin, V. Alveolar Hemorrhage in Vasculitis (Primary and Secondary). Semin Respir. Crit. Care Med. 2018, 39, 482–493. [Google Scholar] [CrossRef]
- Gamal, S.M.; Mohamed, S.S.; Tantawy, M.; Siam, I.; Soliman, A.; Niazy, M.H. Lupus-related vasculitis in a cohort of systemic lupus erythematosus patients. Arch. Rheumatol. 2021, 36, 595–692. [Google Scholar] [CrossRef]
- Ceylan, N.; Bayraktaroglu, S.; Erturk, S.M.; Savas, R.; Alper, H. Pulmonary and Vascular Manifestations of Behcet Disease: Imaging Findings. AJR Am. J. Roentgenol. 2010, 194, W158–W164. [Google Scholar] [CrossRef]
- Moroni, C.; Bindi, A.; Cavigli, E.; Cozzi, D.; Luvarà, S.; Smorchkova, O.; Zantonelli, G.; Miele, V.; Bartolucci, M. CT Findings of Non-Neoplastic Central Airways Diseases. JPN J. Radiol. 2022, 40, 107–119. [Google Scholar] [CrossRef]
- Prince, J.S.; Duhamel, D.R.; Levin, D.L.; Harrell, J.H.; Friedman, P.J. Nonneoplastic Lesions of the Tracheobronchial Wall: Radiologic Findings with Bronchoscopic Correlation. Radiographics 2002, 22, S215–S230. [Google Scholar] [CrossRef]
- Bilgin, G.; Sungur, G.; Kucukterzi, V. Systemic and Pulmonary Screening of Patients with Behçet’s Disease during Periodic Follow-Up. Respir. Med. 2013, 107, 466–471. [Google Scholar] [CrossRef]
- Chebbi, D.; Damak, C.; Frikha, F.; Abid, W.; Rebai, M.; Snoussi, M.; Salah, R.B.; Marzouk, S.; Hentati, A.; Bahloul, Z. Cavitary Lung Opacity of Unusual Cause during Behçet Disease. Clin. Cas. Rep. 2022, 10, e6173. [Google Scholar] [CrossRef] [PubMed]
- Schwarz, M.I. Rare diseases bullet 10: Small vessel vasculitis of the lung. Thorax 2000, 55, 502–510. [Google Scholar] [CrossRef] [PubMed]
- Alkhurassi, H.F.; Ocheltree, M.R.; Alsomali, A.; Alqunfoidi, R.A.; Saadallah, A. Pleural Effusion Presenting in a Young Man With Behcet’s Disease. Cureus 2020, 12, e10273. [Google Scholar] [CrossRef] [PubMed]
- Zhang, L.; Zu, N.; Lin, B.; Wang, G. Chylothorax and Chylopericardium in Behçet’s Diseases: Case Report and Literature Review. Clin. Rheumatol. 2013, 32, 1107–1111. [Google Scholar] [CrossRef]
- Manghera, P.; Pradhan, A.; Bajpai, J.; Sethi, R. Acute Myocardial Infarction as the Initial Presentation of Behcet’s Syndrome. Int. J. Appl. Basic. Med. Res. 2020, 10, 292. [Google Scholar] [CrossRef]
- Farouk, H.; Zayed, H.S.; El-Chilali, K. Cardiac Findings in Patients with Behçet’s Disease: Facts and Controversies. Anatol. J. Cardiol. 2016, 16, 529–533. [Google Scholar] [CrossRef]
- Shadmanfar, S.; Masoumi, M.; Davatchi, F.; Akhlaghi, M.; Faezi, S.T.; Kavosi, H.; Balasi, J.; Deravi, N.; Montazeri, S.M.H.; Namazi, M. Cardiac Manifestations in Iranian Patients with Behçet’s Disease. J. Tehran. Heart. Cent. 2021, 16, 109–112. [Google Scholar] [CrossRef]
- Seyahi, E.; Melikoglu, M.; Akman, C.; Hamuryudan, V.; Ozer, H.; Hatemi, G.; Yurdakul, S.; Tuzun, H.; Oz, B.; Yazici, H. Pulmonary Artery Involvement and Associated Lung Disease in Behçet Disease: A Series of 47 Patients. Medicine 2012, 91, 35–48. [Google Scholar] [CrossRef]
- Xing, W.; Swaminathan, G.; Appadorai, D.; Sule, A. A Rare Case of Behçet Disease Presenting with Pyrexia of Unknown Origin, Pulmonary Embolism, and Right Ventricular Thrombus. Int. J. Angiol. 2013, 22, 193–197. [Google Scholar] [CrossRef]
- Xu, Z.; Zhao, X.; Li, Y. Aneurysms of the Sinus of Valsalva in a Patient with Behcet’s Disease. Iran J. Public Health 2014, 43, 372. [Google Scholar]
- Karabulut, M.N.; Topcu, A.C.; Erkul, S.; Kayalar, N. Rare Vascular Involvement in Behçet’s Disease: Coronary Artery Pseudoaneurysm. Int. J. Rheum. Dis. 2022, 25, 957–959. [Google Scholar] [CrossRef] [PubMed]
- Meric, M.; Oztas, D.M.; Ugurlucan, M.; Tireli, E.; Dayioglu, E. Giant Left Anterior Descending Coronary Artery Aneurysm in a Patient with Behçet’s Disease. Braz. J. Cardiovasc. Surg. 2022, 37, 605–608. [Google Scholar] [CrossRef] [PubMed]
- Erdogan, M.; Ozgur, D.S.; Akkuzu, G.; Bes, C. A Giant Coronary Artery Aneurysm in a Patient with Behçet’s Syndrome. Rheumatology 2022, 61, e354–e355. [Google Scholar] [CrossRef] [PubMed]
- Saudi, A. Giant aneurysm of the right coronary artery and magnetic resonance coronary angiography. Ann. Med. 2014, 34, 346–350. [Google Scholar] [CrossRef]
- Moura, A.; Saraiva, M.; Costa, J.M.; Domingues, K.; Martins, V. Recurrent Myocarditis in the Context of Behçet’s Disease: A Case Report. Eur. Heart J. Case Rep. 2021, 5, ytab212. [Google Scholar] [CrossRef]
- Neri, E.; Coppola, F.; Larici, A.R.; Sverzellati, N.; Mazzei, M.A.; Sacco, P.; Dalpiaz, G.; Feragalli, B.; Miele, V.; Grassi, R. Structured Reporting of Chest CT in COVID-19 Pneumonia: A Consensus Proposal. Insights Imaging 2020, 11, 1–9. [Google Scholar] [CrossRef]
- Cappabianca, S.; Fusco, R.; de Lisio, A.; Paura, C.; Clemente, A.; Gagliardi, G.; Lombardi, G.; Giacobbe, G.; Russo, G.M.; Belfiore, M.P.; et al. Clinical and Laboratory Data, Radiological Structured Report Findings and Quantitative Evaluation of Lung Involvement on Baseline Chest CT in COVID-19 Patients to Predict Prognosis. Radiol. Med. 2021, 126, 29–39. [Google Scholar] [CrossRef]
- Fusco, R.; Granata, V.; Mazzei, M.A.; di Meglio, N.; del Roscio, D.; Moroni, C.; Monti, R.; Cappabianca, C.; Picone, C.; Neri, E.; et al. Quantitative Imaging Decision Support (QIDSTM) Tool Consistency Evaluation and Radiomic Analysis by Means of 594 Metrics in Lung Carcinoma on Chest CT Scan. Cancer Control. 2021, 28, 1073274820985786. [Google Scholar] [CrossRef]
- Grassi, R.; Cappabianca, S.; Urraro, F.; Feragalli, B.; Montanelli, A.; Patelli, G.; Granata, V.; Giacobbe, G.; Russo, G.M.; Grillo, A.; et al. Chest CT Computerized Aided Quantification of Pneumonia Lesions in COVID-19 Infection: A Comparison among Three Commercial Software. Int. J. Environ. Res. Public Health 2020, 17, 6914. [Google Scholar] [CrossRef]
- Granata, V.; Fusco, R.; Costa, M.; Picone, C.; Cozzi, D.; Moroni, C.; la Casella, G.V.; Montanino, A.; Monti, R.; Mazzoni, F.; et al. Preliminary Report on Computed Tomography Radiomics Features as Biomarkers to Immunotherapy Selection in Lung Adenocarcinoma Patients. Cancers 2021, 13, 3992. [Google Scholar] [CrossRef]







Publisher’s Note: MDPI stays neutral with regard to jurisdictional claims in published maps and institutional affiliations. |
© 2022 by the authors. Licensee MDPI, Basel, Switzerland. This article is an open access article distributed under the terms and conditions of the Creative Commons Attribution (CC BY) license (https://creativecommons.org/licenses/by/4.0/).
Share and Cite
Giannessi, C.; Smorchkova, O.; Cozzi, D.; Zantonelli, G.; Bertelli, E.; Moroni, C.; Cavigli, E.; Miele, V. Behçet’s Disease: A Radiological Review of Vascular and Parenchymal Pulmonary Involvement. Diagnostics 2022, 12, 2868. https://doi.org/10.3390/diagnostics12112868
Giannessi C, Smorchkova O, Cozzi D, Zantonelli G, Bertelli E, Moroni C, Cavigli E, Miele V. Behçet’s Disease: A Radiological Review of Vascular and Parenchymal Pulmonary Involvement. Diagnostics. 2022; 12(11):2868. https://doi.org/10.3390/diagnostics12112868
Chicago/Turabian StyleGiannessi, Caterina, Olga Smorchkova, Diletta Cozzi, Giulia Zantonelli, Elena Bertelli, Chiara Moroni, Edoardo Cavigli, and Vittorio Miele. 2022. "Behçet’s Disease: A Radiological Review of Vascular and Parenchymal Pulmonary Involvement" Diagnostics 12, no. 11: 2868. https://doi.org/10.3390/diagnostics12112868
APA StyleGiannessi, C., Smorchkova, O., Cozzi, D., Zantonelli, G., Bertelli, E., Moroni, C., Cavigli, E., & Miele, V. (2022). Behçet’s Disease: A Radiological Review of Vascular and Parenchymal Pulmonary Involvement. Diagnostics, 12(11), 2868. https://doi.org/10.3390/diagnostics12112868

