Added Value of Ultrasound-Based Multimodal Imaging to Diagnose Hepatic Sclerosed Hemangioma before Biopsy and Resection
Abstract
1. Introduction
2. Materials and Methods
2.1. Data Collection
2.2. Data Analysis
3. Results
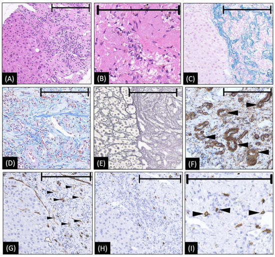
3.1. Our Case
3.2. The Characteristic Findings of CEUS in the Diagnosis of HSH
3.3. The Characteristic Findings of CT/MRI in the Diagnosis of HSH
4. Discussion
5. Conclusions
Author Contributions
Funding
Institutional Review Board Statement
Informed Consent Statement
Data Availability Statement
Conflicts of Interest
References
- Hwang, J.A.; Kang, T.W.; Cha, D.I.; Kim, S.H.; Ha, S.Y.; Kim, S.W. Differentiation of Hepatic Sclerosed Hemangiomas from Cavernous Hemangiomas Based on Gadoxetic Acid-Enhanced Magnetic Resonance Imaging Features. J. Comput. Assist. Tomogr. 2019, 43, 762–769. [Google Scholar] [CrossRef] [PubMed]
- Yamada, S.; Shimada, M.; Utsunomiya, T.; Morine, Y.; Imura, S.; Ikemoto, T.; Mori, H.; Hanaoka, J.; Iwahashi, S.; Saitoh, Y.; et al. Hepatic screlosed hemangioma which was misdiagnosed as metastasis of gastric cancer: Report of a case. J. Med. Investig. 2012, 59, 270–274. [Google Scholar] [CrossRef] [PubMed]
- Koyama, R.; Minagawa, N.; Maeda, Y.; Shinohara, T.; Hamada, T. A hepatic sclerosing hemangioma emerged in the postoperative course of multiple gastric carcinoid tumors masquerading as metachronous liver metastasis. Int. J. Surg. Case Rep. 2019, 58, 1–5. [Google Scholar] [CrossRef] [PubMed]
- Sugo, H.; Sekine, Y.; Miyano, S.; Watanobe, I.; Machida, M.; Kojima, K.; Okubo, H.; Ura, A.; Ogura, K.; Matsumoto, T. Hepatic Sclerosing Hemangioma with Predominance of the Sclerosed Area Mimicking a Biliary Cystadenocarcinoma. Case Rep. Hepatol. 2018, 2018, 7353170. [Google Scholar] [CrossRef] [PubMed]
- Navale, P.; Habib, M.; Stueck, A.; Fiel, M.I. Hepatic Sclerosing Hemangioma Simulating Gallbladder Carcinoma: A Rare Case. J. Clin. Exp. Hepatol. 2018, 8, 474–477. [Google Scholar] [CrossRef]
- Miyata, T.; Beppu, T.; Kuramoto, K.; Nakagawa, S.; Imai, K.; Hashimoto, D.; Namimoto, T.; Yamashita, Y.I.; Chikamoto, A.; Yamashita, Y.; et al. Hepatic sclerosed hemangioma with special attention to diffusion-weighted magnetic resonance imaging. Surg. Case Rep. 2018, 4, 3. [Google Scholar] [CrossRef]
- Ozaki, K.; Yoshikawa, J.; Yamamoto, T.; Maeda, K.; Kaizaki, Y. Preoperative diagnosis of the sclerosed hemangioma of the liver using multimodality imaging findings: A case report. Radiol. Case Rep. 2018, 13, 1025–1029. [Google Scholar] [CrossRef]
- Wang, F.; Numata, K.; Nihonmatsu, H.; Okada, M.; Maeda, S. Application of new ultrasound techniques for focal liver lesions. J. Med. Ultrason. 2020, 47, 215–237. [Google Scholar] [CrossRef]
- Ando, Y.; Ishigami, M.; Ishizu, Y.; Kuzuya, T.; Honda, T.; Hirooka, Y. Utility of contrast-enhanced ultrasonography with perflubutane in evaluating indications for diagnostic percutaneous tumor biopsy in a case of hepatic sclerosed hemangioma. Clin. J. Gastroenterol. 2018, 11, 514–520. [Google Scholar] [CrossRef]
- Kudo, M. Defect Reperfusion Imaging with Sonazoid(R): A Breakthrough in Hepatocellular Carcinoma. Liver Cancer 2016, 5, 1–7. [Google Scholar] [CrossRef]
- Makhlouf, H.R.; Ishak, K.G. Sclerosed hemangioma and sclerosing cavernous hemangioma of the liver: A comparative clinicopathologic and immunohistochemical study with emphasis on the role of mast cells in their histogenesis. Liver 2002, 22, 70–78. [Google Scholar] [CrossRef] [PubMed]
- Akahoshi, S.; Yamamura, K.; Sato, N.; Oda, E.; Kinoshita, K.; Yuki, H.; Motohara, T.; Deguchi, A.; Komohara, Y.; Beppu, T. A hepatic sclerosed hemangioma with drastic changes in contrast-enhanced ultrasonography. Clin. J. Gastroenterol. 2020, 13, 1252–1257. [Google Scholar] [CrossRef] [PubMed]
- Yoo, J.; Lee, J.M. Diagnostic Value of High Frame Rate Contrast-enhanced Ultrasonography and Post-processing Contrast Vector Imaging for Evaluation of Focal Liver Lesions: A Feasibility Study. Ultrasound Med. Biol. 2020, 46, 2254–2264. [Google Scholar] [CrossRef]
- Jia, C.; Liu, G.; Wang, X.; Zhao, D.; Li, R.; Li, H. Hepatic sclerosed hemangioma and sclerosing cavernous hemangioma: A radiological study. Jpn. J. Radiol. 2021, 39, 1059–1068. [Google Scholar] [CrossRef] [PubMed]
- Miyamoto, S.; Oshita, A.; Daimaru, Y.; Sasaki, M.; Ohdan, H.; Nakamitsu, A. Hepatic Sclerosed Hemangioma: A case report and review of the literature. BMC Surg. 2015, 15, 45. [Google Scholar] [CrossRef] [PubMed]
- Kim, Y.Y.; Kang, T.W.; Cha, D.I.; Min, J.H.; Kim, Y.K.; Kim, S.H.; Sinn, D.H.; Won, H.; Kim, S. Gadoxetic acid-enhanced MRI for differentiating hepatic sclerosing hemangioma from malignant tumor. Eur. J. Radiol. 2021, 135, 109474. [Google Scholar] [CrossRef]
- Shimada, S.; Tajiri, K.; Baba, H.; Minemura, M.; Tsuneyama, K.; Nakano, M.; Sugiyama, T. Peritumoral Hyperplasia in Hepatic Sclerosed Hemangioma. ACG Case Rep. J. 2017, 4, e61. [Google Scholar] [CrossRef]
- Toumi, N.; Kallel, R.; Harbi, H. Sclerosed Hemangioma of the Liver in a 17-Year-Old. Clin. Gastroenterol. Hepatol. 2019, 17, e45. [Google Scholar] [CrossRef]
- Ridge, C.A.; Shia, J.; Gerst, S.R.; Do, R.K. Sclerosed hemangioma of the liver: Concordance of MRI features with histologic characteristics. J. Magn. Reson. Imaging 2014, 39, 812–818. [Google Scholar] [CrossRef]
- Hida, T.; Nishie, A.; Tajima, T.; Taketomi, A.; Aishima, S.; Honda, H. Sclerosed hemangioma of the liver: Possible diagnostic value of diffusion-weighted magnetic resonance imaging. Jpn. J. Radiol. 2010, 28, 235–238. [Google Scholar] [CrossRef]
- Shimada, Y.; Takahashi, Y.; Iguchi, H.; Yamazaki, H.; Tsunoda, H.; Watanabe, M.; Oda, M.; Yokomori, H. A hepatic sclerosed hemangioma with significant morphological change over a period of 10 years: A case report. J. Med. Case Rep. 2013, 7, 139. [Google Scholar] [CrossRef] [PubMed]
- Yugawa, K.; Yoshizumi, T.; Harada, N.; Motomura, T.; Harimoto, N.; Itoh, S.; Ikegami, T.; Soejima, Y.; Maehara, Y. Multiple hepatic sclerosing hemangiomas: A case report and review of the literature. Surg. Case Rep. 2018, 4, 60. [Google Scholar] [CrossRef] [PubMed]
- Jin, S.Y. Sclerosed hemangioma of the liver. Korean J. Hepatol. 2010, 16, 410–413. [Google Scholar] [CrossRef]
- Wakasugi, M.; Ueshima, S.; Tei, M.; Tori, M.; Yoshida, K.; Tsujimoto, M.; Akamatsu, H. Multiple hepatic sclerosing hemangioma mimicking metastatic liver tumor successfully treated by laparoscopic surgery: Report of a case. Int. J. Surg. Case Rep. 2015, 8, 137–140. [Google Scholar] [CrossRef] [PubMed]
- Renzulli, M.; Capozzi, N.; Clemente, A.; Tovoli, F.; Cappabianca, S.; Golfieri, R. What happened to my liver lesion (Hepatic Sclerosed Hemangioma)? Let’s not forget (radiological) history. Acta Gastroenterol. Belg. 2019, 82, 554–555. [Google Scholar] [PubMed]
- Song, J.S.; Kim, Y.N.; Moon, W.S. A sclerosing hemangioma of the liver. Clin. Mol. Hepatol. 2013, 19, 426–430. [Google Scholar] [CrossRef]
- Shin, Y.M. Sclerosing hemangioma in the liver. Korean J. Hepatol. 2011, 17, 242–246. [Google Scholar] [CrossRef]
- Andeen, N.K.; Bhargava, P.; Park, J.O.; Moshiri, M.; Westerhoff, M. Cavernous hemangioma with extensive sclerosis masquerading as intrahepatic cholangiocarcinoma—A pathologist’s perspective. Radiol. Case Rep. 2014, 9, 937. [Google Scholar] [CrossRef][Green Version]
- Madrazo, B.L. Use of imaging studies to aid in the diagnosis of benign liver tumors. Gastroenterol. Hepatol. 2011, 7, 683–685. [Google Scholar]
- Kovac, J.D.; Jankovic, A.; Dikic-Rom, A.; Grubor, N.; Antic, A.; Dugalic, V. Imaging Spectrum of Intrahepatic Mass-Forming Cholangiocarcinoma and Its Mimickers: How to Differentiate Them Using MRI. Curr. Oncol. 2022, 29, 698–723. [Google Scholar] [CrossRef]
- Doyle, D.J.; Khalili, K.; Guindi, M.; Atri, M. Imaging features of sclerosed hemangioma. AJR Am. J. Roentgenol. 2007, 189, 67–72. [Google Scholar] [CrossRef] [PubMed]
- Ozturk, A.; Grajo, J.R.; Dhyani, M.; Anthony, B.W.; Samir, A.E. Principles of ultrasound elastography. Abdom. Radiol. 2018, 43, 773–785. [Google Scholar] [CrossRef] [PubMed]
- Matsumoto, N.; Ogawa, M.; Miura, T.; Shiozawa, K.; Abe, M.; Nakagawara, H.; Moriyama, M. B-flow imaging of vascular structure for the diagnosis of liver tumor. J. Med. Ultrason. 2013, 40, 409–415. [Google Scholar] [CrossRef]
- Wachsberg, R.H. B-flow imaging of the hepatic vasculature: Correlation with color Doppler sonography. AJR Am. J. Roentgenol. 2007, 188, W522–W533. [Google Scholar] [CrossRef] [PubMed]
- Hodler, J.; Kubik-Huch, R.A.; von Schulthess, G.K. Diseases of the Abdomen and Pelvis 2018–2021: Diagnostic Imaging-IDKD Book; Springer: Berlin/Heidelberg, Germany, 2018. [Google Scholar]
- Wang, F.; Numata, K.; Chuma, M.; Miwa, H.; Moriya, S.; Ogushi, K.; Okada, M.; Otani, M.; Inayama, Y.; Maeda, S. A study on the inconsistency of arterial phase hypervascularity detection between contrast-enhanced ultrasound using sonazoid and gadolinium-ethoxybenzyl-diethylenetriamine penta-acetic acid magnetic resonance imaging of hepatocellular carcinoma lesions. J. Med. Ultrason. 2021, 48, 215–224. [Google Scholar] [CrossRef] [PubMed]



| Author, Year | Our Case (Wang F.) | Ando Y., 2018 [9] | Akahoshi S., 2020 [12] | Yoo J., 2020 [13] |
|---|---|---|---|---|
| Age (year) | 57 | 69 | 56 | 71 |
| Gender | male | female | male | male |
| Location of hepatic lobe | right | left | right | NM |
| Tumor size (cm) | 2.5 | 3.9 | 2.5 | 4.5 |
| US | ||||
| Echogenicity | slight hyperechoic | NM | Hypo- to isoechoic | NM |
| Tumor margin | unclear | unclear | irregular and unclear | NM |
| Homogeneity | heterogeneous | heterogeneous | homogeneous | NM |
| CEUS | ||||
| Contrast agent | Sonazoid | Sonazoid | Sonazoid | SonoVue |
| AP | hypervascularity | hypervascularity | hypervascularity | hypervascularity |
| PP | hypovascularity | isovascularity | hypervascularity | isovascularity |
| PVP | hypoechogenicity | hypoechogenicity | hypoechogenicity | hypoechogenicity |
| Enhancement in re-injection | Yes | No | Yes | / |
| Dynamic enhancement patterns | peripheral enhancement + centripetal filling | peripheral enhancement + centripetal filling | peripheral enhancement | peripheral enhancement |
| Publishing Year | First Author | Patient Source | Patient Age (Year) 2 | Tumor Size (cm) 2 | Lesions/Patients 3 | Male/Female 3 | Cirrhosis 3 | HBV/HCV/Others/None 3 | Elevated AFP 3 | Elevated CA19-9 3 | Elevated Transaminase 3 | Elevated Bilirubin 3 | Left/Right Lobe (Location) 3 |
|---|---|---|---|---|---|---|---|---|---|---|---|---|---|
| 2021 | Jia C [14] | China | 50.5 (17–63) | 3.9 (1–36.5) | 12/12 | 8/4 | 3 | 4/0/8/0 | 0 | 3 | NM | NM | NM |
| 2015 | Miyamoto S [15] | Japan | 76 | 5.9 | 1/1 | 1/0 | 0 | 0/0/0/1 | 0 | 0 | 0 | 0 | 0/1 |
| 2018 | Miyata T [6] | Japan | 60 (34–79) | 2.7 (0.6–14.8) | 5/5 | 4/1 | 0 | 2/0/0/3 | 0 | 0 | NM | NM | 0/5 |
| 2021 | Kim YY [16] | Korea | 62.1 (53–71.2) | 2.0 (1.7–2.5) | 18/18 | 9/9 | 3 | 5/0/3/10 | NM | NM | NM | NM | NM |
| 2017 | Shimada S [17] | Japan | 27 | 2.2 | 1/1 | 1/0 | 0 | 0/0/1/0 | 0 | 0 | 1 | 1 | 0/1 |
| 2019 | Toumi N [18] | Tunisia | 17 | 80 | 1/1 | 0/1 | NM | NM | 0 | 0 | 0 | 0 | 1/0 |
| 2014 | Ridge C.A. [19] | Ireland | 65 (41–78) | 3.2 (1.2–10.3) | 12/12 | 2/10 | NM | NM | NM | NM | NM | NM | NM |
| 2010 | Hida H [20] | Japan | 75 | 3 | 1/1 | 0/1 | 0 | NM | 0 | 0 | NM | NM | 0/1 |
| 2018 | Navale P [5] | USA | 69 | 3.2 | 1/1 | 0/1 | 0 | NM | 0 | 1 | NM | NM | 0/1 |
| 2018 | Sugo H [4] | Japan | 39 | 1.7 | 1/1 | 0/1 | 0 | 0/0/0/1 | 0 | 0 | NM | 0 | 0/1 |
| 2013 | Shimada Y [21] | Japan | 63 | 1.5 | 1/1 | 1/0 | 0 | 0/0/0/1 | 0 | 0 | 0 | 0 | 0/1 |
| 2018 | Yugawa K [22] | Japan | 48 | 1.3 (0.9–6.7) | 3/1 | 1/0 | NM | NM | 0 | 0 | 1 | 0 | 2/1 |
| 2019 | Hwang JA [1] | Korea | 57.5 (56–73) | 2 (1.2–2.5) | 9/9 | 5/4 | 3 | 4/0/1/4 | NM | NM | NM | NM | NM |
| 2018 | Ozaki K [7] | Japan | 57 | 4.5 | 1/1 | 1/0 | 0 | 0/0/0/1 | 0 | 0 | 0 | 0 | NM |
| 2010 | Jin SY [23] | Korea | 52 | 3.8 | 1/1 | 1/0 | NM | 1/0/0/0 | 1 | 0 | 0 | 0 | NM |
| 2019 | Koyama R [3] | Japan | 68 | 2.2 | 1/1 | 1/0 | NM | NM | 0 | 0 | 1 | 0 | 0/1 |
| 2015 | Wakasugi M [24] | Japan | 67 | 2.0 (1.1–2.8) | 2/1 | 0/1 | NM | NM | NM | 0 | NM | NM | 1/1 |
| 2019 | Renzulli M [25] | Italy | 68 | 2.0 | 1/1 | 1/0 | NM | NM | NM | NM | NM | 0 | 0/1 |
| 2013 | Song JS [26] | Korea | 63 | 9.0 | 1/1 | 0/1 | NM | 0/0/0/1 | 0 | NM | 1 | 0 | 1/0 |
| 2011 | Shin YM [27] | Korea | 50 | 10.0 | 1/1 | 1/0 | NM | 0/0/0/1 | 0 | NM | 0 | 0 | 0/1 |
| 2012 | Yamada S [2] | Japan | 75 | 1.1 | 1/1 | 1/0 | NM | 1/0/0/0 | 0 | 0 | 0 | NM | 0/1 |
| 2015 | Andeen N.K. [28] | America | 60 | 3.5 | 1/1 | 0/1 | NM | NM | NM | 0 | 0 | 0 | 1/0 |
| Total 4 | / | / | 58.8 (17–79) | 3.9 (0.9–80) | 76/73 | 38/35 | 9 | 17/0/13/23 | 1 | 4 | 4 | 1 | 6/17 |
| Publishing Year | First Author | Lesions 2 | Heterogeneous/Homogeneous 2 | “Clear Margin”/“Irregular or Unclear” 2 | Calcification 2 | Capsular Retraction 2 | AP Enhancement in CT/MRI2 | Hypointense/Non-Hypointense in T1-Weighted Image 2 | Hyperintense/Hypointense in T2-Weighted Image 2 | Hypointense/Isointense in HBP Image 2 | Using only CT/only MRI/Both CT and MRI 2 | Centripetal/Peripheral Enhancement Patterns 2 |
|---|---|---|---|---|---|---|---|---|---|---|---|---|
| 2021 | Jia C | 12 | 5/7 | 3/9 | 3 | 1 | 12 | NM | 8/0 | NM | 4/3/5 | 3/NM |
| 2015 | Miyamoto S | 1 | 1/0 | 0/1 | NM | NM | 1 | 1/0 | 1/0 | 1/0 | 0/0/1 | NM/1 |
| 2018 | Miyata T | 5 | NM | 0/3 | NM | 3 | 4 | 5/0 | 5/0 | 5/0 | 0/0/5 | 3/4 |
| 2021 | Kim YY | 18 | NM | 4/14 | NM | NM | 18 | 16/2 | 9/9 | 15/3 | 0/18/0 | 12/6 |
| 2017 | Shimada S | 1 | 1/0 | 0/1 | NM | NM | 1 | NM | NM | 1/0 | 0/0/1 | NM/1 |
| 2019 | Toumi N | 1 | 0/1 | 1/1 | 1 | NM | 1 | 1/0 | 0/1 | NM | 0/1/0 | 1/1 |
| 2014 | Ridge C.A. | 12 | NM | NM | NM | NM | 7 | 12/0 | 5/6 3 | NM | 0/12/0 | 4/9 |
| 2010 | Hida H | 1 | 1/0 | 1/0 | NM | NM | 1 | 1/0 | 1/0 | NM | 0/0/1 | 1/1 |
| 2018 | Navale P | 1 | 1/0 | NM | 1 | NM | 1 | 1/0 | 1/0 | NM | 0/0/1 | NM |
| 2018 | Sugo H | 1 | 1/0 | 1/0 | NM | NM | 1 | 1/0 | 1/0 | 1/0 | 0/0/1 | 0/1 |
| 2013 | Shimada Y | 1 | NM | 0/1 | NM | NM | 1 | 1/0 | 1/0 | 1/0 | 0/0/1 | NM/1 |
| 2018 | Yugawa K | 3 | 3/0 | 0/3 | NM | NM | 3 | 3/0 | 3/0 | 3/0 | 0/0/3 | 0/3 |
| 2019 | Hwang JA | 9 | 3/0 | 2/7 | NM | 3 | 8 | 8/1 | 6/3 | 9/0 | 0/9/0 | 3/5 |
| 2018 | Ozaki K | 1 | 1/0 | 0/1 | NM | NM | 1 | 1/0 | 1/0 | 1/0 | 0/0/1 | 0/1 |
| 2010 | Jin SY | 1 | NM | NM | NM | NM | 1 | 1/0 | 1/0 | 1/0 | 0/0/1 | NM |
| 2019 | Koyama R | 1 | NM | 0/1 | NM | 0 | 1 | 1/0 | 1/0 | 1/0 | 0/0/1 | 0/1 |
| 2015 | Wakasugi M | 2 | 2/0 | 0/2 | NM | NM | 2 | 2/0 | 2/0 | NM | 0/0/2 | 0/2 |
| 2019 | Renzulli M | 1 | 1/0 | 1/0 | NM | NM | 1 | 1/0 | 1/0 | 1/0 | 0/1/0 | 0/1 |
| 2013 | Song JS | 1 | 1/0 | 0/1 | 0 | NM | 1 | / | / | / | 1/0/0 | 1/1 |
| 2011 | Shin YM | 1 | 1/0 | 0/1 | 0 | NM | 1 | 1/0 | 1/0 | NM | 0/0/1 | 1/1 |
| 2012 | Yamada S | 1 | NM | NM | NM | NM | 1 | 1/0 | 1/0 | 1/0 | 0/0/1 | 0/1 |
| 2015 | Andeen N.K. | 1 | NM | NM | NM | 1 | 1 | 1/0 | 1/0 | NM | 0/0/1 | 1/1 |
| Total 4 | / | 76 | 22/8 | 13/46 | 5 | 8 | 69 | 59/3 | 50/19 | 41/3 | 5/44/27 | 30/42 |
Publisher’s Note: MDPI stays neutral with regard to jurisdictional claims in published maps and institutional affiliations. |
© 2022 by the authors. Licensee MDPI, Basel, Switzerland. This article is an open access article distributed under the terms and conditions of the Creative Commons Attribution (CC BY) license (https://creativecommons.org/licenses/by/4.0/).
Share and Cite
Wang, F.; Numata, K.; Nihonmatsu, H.; Chuma, M.; Ideno, N.; Nozaki, A.; Ogushi, K.; Tanab, M.; Okada, M.; Luo, W.; et al. Added Value of Ultrasound-Based Multimodal Imaging to Diagnose Hepatic Sclerosed Hemangioma before Biopsy and Resection. Diagnostics 2022, 12, 2818. https://doi.org/10.3390/diagnostics12112818
Wang F, Numata K, Nihonmatsu H, Chuma M, Ideno N, Nozaki A, Ogushi K, Tanab M, Okada M, Luo W, et al. Added Value of Ultrasound-Based Multimodal Imaging to Diagnose Hepatic Sclerosed Hemangioma before Biopsy and Resection. Diagnostics. 2022; 12(11):2818. https://doi.org/10.3390/diagnostics12112818
Chicago/Turabian StyleWang, Feiqian, Kazushi Numata, Hiromi Nihonmatsu, Makoto Chuma, Naomi Ideno, Akito Nozaki, Katsuaki Ogushi, Mikiko Tanab, Masahiro Okada, Wen Luo, and et al. 2022. "Added Value of Ultrasound-Based Multimodal Imaging to Diagnose Hepatic Sclerosed Hemangioma before Biopsy and Resection" Diagnostics 12, no. 11: 2818. https://doi.org/10.3390/diagnostics12112818
APA StyleWang, F., Numata, K., Nihonmatsu, H., Chuma, M., Ideno, N., Nozaki, A., Ogushi, K., Tanab, M., Okada, M., Luo, W., Nakano, M., Otani, M., Inayama, Y., & Maeda, S. (2022). Added Value of Ultrasound-Based Multimodal Imaging to Diagnose Hepatic Sclerosed Hemangioma before Biopsy and Resection. Diagnostics, 12(11), 2818. https://doi.org/10.3390/diagnostics12112818

